Resumen:
Introducción: la COVID-19 (del inglés Coronavirus Disease 2019) es una enfermedad que ha generado una pandemia, la cual ha afectado a todo el mundo, incluido México. Esta enfermedad puede presentarse desde una infección asintomática hasta síndrome de distrés respiratorio agudo (SDRA) grave. El objetivo del reporte de caso es mostrar la utilidad de la posición prono en pacientes no intubados.
Caso clínico: presentamos el caso de una mujer sin comorbilidades con COVID-19 y SDRA moderado, en quien se evitó la intubación tras la mejoría con la posición prono, evaluada por la saturación arterial de oxígeno por pulsioximetría y por la relación de la presión arterial de oxígeno y la fracción inspirada de oxígeno (PaO./FiO.).
Conclusión: existe poca evidencia sobre esta maniobra terapéutica en pacientes despiertos. Sin embargo, puede ser de ayuda para mejorar la oxigenación y evitar la intubación en estos pacientes.
Palabras clave:Infecciones por CoronavirusInfecciones por Coronavirus,PandemiasPandemias,Intubación: Síndrome de Dificultad Respiratoria del AdultoIntubación: Síndrome de Dificultad Respiratoria del Adulto,Posición PronoPosición Prono.
Abstract:
Background: The COVID-19 (from Coronavirus Disease 2019) is a disease that has generated a pandemic that has affected the world, Mexico included. The spectrum of the disease ranges from asymptomatic infection to severe acute respiratory distress syndrome (ARDS). The objective of the case is to demonstrate the usefulness of the prone position in non-intubated patients.
Clinical case: We present the case of a woman without comorbidities with COVID-19 and moderate ARDS, in whom intubation was avoided after improvement with the prone position, as determined by arterial oxygen saturation by pulse oximetry and by the relationship of arterial oxygen pressure and the fraction of inspired oxygen (PaO./FiO.).
Conclusion: There is scarce evidence of this therapeutic maneuver in awake patients. However, it can help to improve oxygenation and to avoid intubation in these patients.
Keywords: Coronavirus Infections, Pandemics, Intubation, Respiratory Distress Syndrome, Adult, Prone Position.
Caso clínico
Posición prono en paciente no intubado con COVID-19 como maniobra para evitar la intubación

Recepción: 21 Junio 2020
Aprobación: 24 Agosto 2020
La COVID-19 (del inglés Coronavirus Disease 2019) es la manifestación clínica de la infección por el coronavirus denominado SARS-CoV-2 (del inglés, severe acute respiratory syndrome coronavirus 2). Se trata de una enfermedad emergente que se informó por primera vez en 41 personas, todas ellas asociadas a exposición en un mercado de mariscos en Wuhan, China, y que para el 11 de marzo del 2020 la Organización Mundial de la Salud declaró pandemia.1
El espectro clínico de esta enfermedad comprende portador asintomático, enfermedad leve, enfermedad grave con neumonía, e incluso síndrome de distrés respiratorio agudo (SDRA).2,3 En una cohorte retrospectiva de 138 pacientes en China, el 19.6% de los pacientes desarrolló SDRA; el tiempo promedio para su desarrollo fue a los ocho días del inicio de los síntomas. De los 138 pacientes, 106 recibieron oxígeno mediante inhalación, 15 recibieron ventilación mecánica no invasiva y 17 requirieron ventilación mecánica invasiva.4 Para el 2 de mayo de 2020, se han infectado más de 3.2 millones de personas, con una tasa de letalidad del 7%.5 Aproximadamente el 20% de los pacientes tiene enfermedad grave y crítica.6 Entre los pacientes que progresan a enfermedad crítica, el SDRA es la complicación más común, llegando a afectar al 85% de los pacientes ingresados en una unidad de cuidados intensivos (UCI).7 La mortalidad de los pacientes que requieren ventilación mecánica invasiva alcanza el 67%.8
La posición prono es una maniobra terapéutica que ha sido ampliamente estudiada en el SDRA moderado y grave en relación con la presión arterial de oxígeno y la fracción inspirada de oxígeno (PaO2/FiO2) < 150 en pacientes intubados, la cual se lleva a cabo por 16 horas al día durante uno o más días. Es una estrategia segura que ha demostrado que disminuye la mortalidad y mejora los parámetros mecánicos de la ventilacion.9,10,11,12 Sin embargo, hasta este momento existe poca evidencia sobre el uso de esta maniobra en pacientes despiertos no intubados, por lo que se limita a algunos reportes de casos y cohortes retrospectivas de pacientes sin COVID-19. Sabemos también que en pacientes con SDRA grave no está indicado, ya que el retraso en la intubación parece incrementar la mortalidad.13,14,15
Presentamos el caso de una mujer sana con SDRA moderado en quien se evitó la intubación tras realizar la posicion prono por cuatro días. El objetivo del presente caso es mostrar la utilidad de la posición prono en pacientes no intubados.
Mujer de 42 años, que como única comorbilidad tenía obesidad grado 1 por índice de masa corporal de 30.7 kg/m2 La paciente tuvo contacto con su hermano, quien había estado en un concierto en la Ciudad de México 17 días previos a su ingreso, y del que se tenían reportes de casos de COVID-19 entre sus asistentes. Asimismo, 10 días previos al ingreso de la paciente, el hermano tuvo un cuadro de infección de vías respiratorias con síntomas leves.
Nueve días antes de su ingreso, la paciente presentó odinofagia y tos no productiva, recibió tratamiento con ceftriaxona y betametasona a dosis no especificada, con persistencia de la sintomatología. Después, se agregaron disnea grado 3 en la escala modified Medical Research Council (mMRC), aumento de la tos y fiebre. A su ingreso tuvo los siguientes signos vitales: 120/70 mmHg; frecuencia cardiaca, 115 latidos por minuto; frecuencia respiratoria, 38 respiraciones por minuto; saturación periférica de oxigeno por puloximetría (SpO2) de 84% al aire ambiente y temperatura corporal, 36.5 °C. A la auscultación pulmonar presentó disminución del murmullo vesicular de predominio hacia regiones subescapulares y estertores crepitantes difusos bilaterales, con tiraje supraclavicular y leve disociación tóracoabdominal.
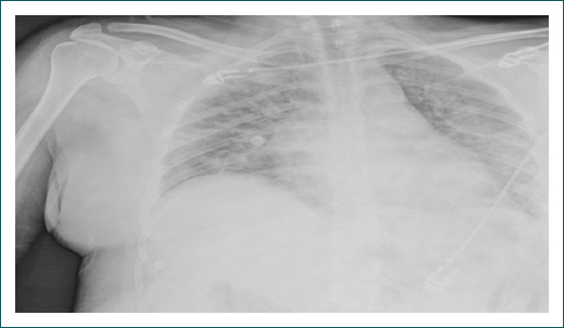
En los exámenes de laboratorio a su ingreso destacaba: leucocitosis (16.94 celulas/microlitro [cel/mL]), neutrofilia (15.96 cel/mL), linfopenia (0.53 cel/mL) y elevación de la lactato deshidrogenasa (380 unidades/litro); la PaO2/FiO2 era de 128 y la SpO2/FiO2 de 240 (Cuadro I). La radiografía de tórax inicial mostró infiltrados intersticiales bilaterales, periféricos, hacia ambas bases (Fig. 1).

ng/mL:nanogramos/litro PaO2: presión parcial de oxígeno arterial; pCO2: presión parcial de dióxido de carbono; PCR: proteína C reactiva; pg: picogramo; pH: potencial de hidrógeno; SaO2: saturación de oxígeno; U/L: unidades/litro; VIH: virus de inmunodeficiencia humana; VSG: velocidad de sedimentación globular.

Se inició tratamiento empírico con ceftriaxona, claritromicina y cloroquina. Se realizó prueba para COVID-19 mediante reacción en cadena de polimerasa en tiempo real (RT PCR, del inglés real time polymerase chain reaction), la cual fue positiva; la procalcitonina fue negativa y el cultivo de expectoración no tuvo desarrollo bacteriano.
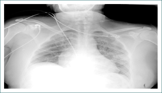
La paciente presentó disminución de la saturación de manera progresiva, llegando a una SpO2 de 84%; la frecuencia respiratoria se mantuvo entre 20-28 rpm (Fig. 2). En este contexto, por hipoxemia persistente, se realizó maniobra de pronación en paciente no intubada con mejoría a los 10 minutos y elevación de la saturación de oxígeno por pulsioximetría hasta 94% (Fig. 3). Esta posición se mantuvo cuatro horas por tolerancia de la paciente. Al encontrar mejoría, se indicó repetir posición prono dos veces al día de cuatro a ocho horas (según tolerancia de la paciente), por cuatro días en total. La paciente presentó mejoría clínica, por pulsioximetría y en la relación PaO2/FiO2, que en supino alcanzó 285 al tercer día posterior a la pronación (Cuadro I). Se realizó nueva PaO2/FiO2, posterior al cuarto día de posición prono con un resultado de 332, y nueva radiografía de tórax tres días después de la maniobra de posición prono, la cual mostró disminución de los infiltrados intersticiales bilaterales (Fig. 4). Se retiró el oxígeno suplementario con SpO2 de hasta 94% al aire ambiente, sin requerimiento de oxígeno suplementario y con una SpO2/FiO2 de 447. Se realizó prueba de caminata de seis minutos con disminución de la SpO2 de 94% a 92%. Se indicó su egreso a los ocho días de hospitalización con signos vitales estables.



En este caso clínico se realizó el diagnóstico de SDRA asociado a COVID-19, mediante los criterios de Kigali modificados con SpO2/FiO2 menor de 315, radiopacidades bilaterales no explicadas por otra causa y dentro del tiempo estipulado posterior al insulto.16,17,18,19 Dado que el diagnóstico de SDRA por los criterios de Berlín requiere una presión mínima positiva al final de la espiración (PEEP, del inglés positive end expiratory pressure), los criterios de Kigali se propusieron en 2016. Esto con la finalidad de adaptar el diagnostico de SDRA a las condiciones del sistema de salud en los países en vías de desarrollo. Se eliminó el requisito mínimo de PEEP, mientras que la hipoxemia se evalúa utilizando la proporción de saturación de oxígeno arterial medida por oximetría de pulso (SpO2)/FiO2 < 315 con SpO2 < 97%.
La posición prono en SDRA ha mostrado resultados prometedores para evitar la intubación en pacientes con SDRA moderado, en combinación con cánulas nasales de alto flujo o ventilación mecánica no invasiva, principalmente en SDRA sin COVID-19. Algunos pacientes seleccionados con COVID-19 pueden beneficiarse de la combinación de la posición prono más la ventilación mecánica no invasiva temprana/cánulas nasales de alto flujo/oxígeno suplementario por métodos convencionales, para evitar la intubación y permitir a los pacientes “ganar tiempo” para sanar, o también en caso de falta de ventiladores. Existen algunos estudios retrospectivos, prospectivos y series de casos en los que se ha observado esta utilidad en pacientes con COVID-19 y se han propuesto algoritmos de tratamiento.20,21,22,23,24,25,26 Sin embargo, serán los estudios prospectivos actualmente en curso los que nos brindarán un mayor nivel de evidencia.
Nuestra paciente (SDRA moderado, etiología infecciosa) mejoró tras la posición prono con oxígeno suplementario mediante cánulas nasales comunes convencionales (no de alto flujo), con lo que presentó mejoría hasta una PaO2/FiO2 > 300. Si bien, la posición prono se ha realizado hasta el momento en pacientes con SpO2 > 90%, en este caso se realizó como maniobra de salvamento previo a la intubación; tras evidenciarse mejoría, se continuó con la maniobra por cuatro días.
La posición prono en pacientes despiertos no intubados puede ser una herramienta terapéutica que ayude a evitar la intubación en los pacientes con SDRA secundario a la infección por COVID-19. Sin embargo, esta maniobra no debe retrasar la necesidad de intubación en caso de requerirlo, ya que hacerlo puede aumentar la mortalidad. Hasta el momento no hay mucha evidencia sobre esta maniobra, la cual parece prometedora. Deberemos esperar a que haya más estudios aleatorizados.
Los autores han completado y enviado la forma traducida al español de la declaración de conflicto potencial de intereres del Comité Internacional de Editores de Revistas Médicas, y no fue reportado alguno relacionado con este artículo.
Protección de personas y animales. Los autores declaran que para esta investigación no se han realizado experimentos en seres humanos ni en animales.
Confidencialidad de los datos. Los autores declaran que han seguido los protocolos de su centro de trabajo sobre la publicación de datos de pacientes.
Derecho a la privacidad y consentimiento informado. Los autores declaran que en este artículo no aparecen datos de pacientes.
PubMed: https://pubmed.ncbi.nlm.nih.gov/34695347/
Cómo citar este artículo: Aguilar-Z..iga I, Ju.rez-Villa JD, Mora-Ruiz P, Zavala-Jonguitud LF,Hern.ndez-Castillo I, de Lira-Barraza R et al. Posici.n prono enpaciente no intubado con COVID-19 como maniobra para evitar laintubaci.n. Rev Med Inst Mex Seguro Soc. 2020;58 Supl 2:S323-328.
Agradecimientos: Los autores agradecen a todo el personal que participó en el cuidado de esta paciente y aquellos que participaron en la realización de este reporte de caso.

ng/mL:nanogramos/litro PaO2: presión parcial de oxígeno arterial; pCO2: presión parcial de dióxido de carbono; PCR: proteína C reactiva; pg: picogramo; pH: potencial de hidrógeno; SaO2: saturación de oxígeno; U/L: unidades/litro; VIH: virus de inmunodeficiencia humana; VSG: velocidad de sedimentación globular.



