Casos clínicos

Recepción: 22 Abril 2021
Aprobación: 20 Septiembre 2021
Resumen:
Introducción: el sarcoma fibromixoide de bajo grado (LGFMS) se considera un tumor de tejidos blandos raro, que tiene tendencia a surgir del tronco y de las extremidades inferiores, su localización en el área intraabdominal se considera poco común.
Objetivo: describir un caso de LGFMS primario de colon transverso perforado con metástasis hepática.
Caso clínico: describimos el caso de un paciente masculino de 57 años con dolor abdominal de inicio súbito; en la cirugía se encontró un tumor con absceso y perforación en el colon transverso que infiltraba hasta la raíz del mesenterio. Se realizó hemicolectomía izquierda extendida con colostomía de colon ascendente. Más tarde, en una exploración posoperatoria, se encontró que tenía enfermedad hepática metastásica.
Conclusiones: este caso es único en términos de ubicación y presentación. Es un recordatorio del diagnóstico diferencial del dolor abdominal agudo. Hasta donde sabemos, es el primer caso de LGFMS del colon con metástasis hepática sincrónica.
Palabras clave: Neoplasias del Colon, Sarcoma, Metástasis de la Neoplasia, Perforación Intestinal.
Abstract:
Background: Low grade fibromyxoid sarcoma (LGFMS) is considered a rare soft tissue tumor and has a tendency to arise from deep soft tissue of the trunk and lower extremities, the intraabdominal area is considered a rare location.
Objective: To describe the first case of a LGFMS arising from the transverse colon with liver metastasis
Clinical case: We describe a 57-years-old male patient with abdominal pain of sudden onset; at surgery he was found to have an abscessed tumor in the transverse colon that infiltrated to mesentery root. An extended left hemicolectomy was performed with ascending colon colostomy. Later on, a postoperative scan he was found to have metastatic liver disease
Conclusions: This case is unique in terms of the location and presentation. It’s a reminder of differential diagnosis of acute abdominal pain. To our knowledge is the first case of a LGFMS of the colon with synchronous liver metastasis.
Keywords: Colonic Neoplasms, Sarcoma, Neoplasm Metastasis, Intestinal Perforation.
Introducción
Los sarcomas colorrectales primarios son una entidad poco común, representan el 0.1% de todos los cánceres colorrectales.1 Entre estos tumores se encuentra el sarcoma fibromixoide de bajo grado (LGFMS), descrito por primera vez en 1987 por Evans,2,3,4,5,6,7 se considera un tumor raro.8,9,10 Este tumor tiene un ligero predominio en el sexo masculino y típicamente ocurre en el tronco, en las extremidades, en la cabeza, en el área del cuello y en el área intratorácica de los pacientes.4,5,6,7,11,12 El área intraabdominal se considera una ubicación poco común,5,8,9 y solo se ha informado de siete casos en el intestino delgado,3,8,13 así como de cuatro casos de LGFMS en el mesenterio,12,14,15,16 dos casos en colon,11,17 un caso en el hígado,13 un caso en el esfínter anal externo2 y un caso de LGFMS intraabdominal difuso con metástasis hepáticas.18 Consideramos que este es un ejemplo importante de una enfermedad común, un abdomen agudo, debido a una rara manifestación de un tumor de colon. En este caso, el tumor es un LGFMS que surge del colon transverso con enfermedad metastásica en el hígado, que es, a nuestro conocimiento, el primer caso reportado de este tipo.
Caso clínico
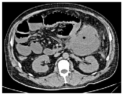
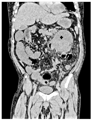
Paciente masculino de 57 años, sin antecedentes familiares de cáncer, que inició su cuadro siete días antes de su ingreso, con dolor abdominal de inicio súbito en cuadrantes abdominales superiores, referido de carácter difuso y de intensidad moderada, tipo cólico, puntuado 7/10 en la escala numérica verbal, que se acompaña de náuseas sin desencadenar vómito, niega fiebre, diarrea o algún otro antecedente relevante, el paciente evoluciona con aumento progresivo del dolor y presencia de escalofríos, motivo por el cual acude a evaluación hospitalaria. En la exploración física se encuentra con presión arterial de 125/75 mmHg, frecuencia cardíaca de 105 lpm, 20 respiraciones por minuto, temperatura de 36.5 °C, abdomen semigloboso, ausencia de peristalsis, con dolor a la palpación superficial y profunda generalizado, con predominio en mesogastrio, resistencia involuntaria, con signo de descompresión positiva. El resto del examen general sin alteraciones. El análisis de sangre de urgencias mostró glucosa 209 mg/dL, creatinina 0.97 mg/dL, proteína total 4 gr/dL, albúmina 2 gr/dL, fosfatasa alcalina 49.8 UI, deshidrogenasa láctica 204 UI, bilirrubina total 1.4 mg/dL, bilirrubina directa 1.08 mg/dL, bilirrubina indirecta 0.32 mg/dL, sodio 140 mmol/L, potasio 3.9 mmol/L, hemoglobina 14.2 gr/dL, hematocrito 45.4%, glóbulos blancos 11.4 k/uL, plaquetas 231 k/uL, TP 17, TPT 24.7, INR 1.33, Se realiza una tomografía computarizada (TC) simple, que muestra una imagen ovoide con bordes regulares y bien definidos de 113 x 89 x 104 mm con contenido heterogéneo en la región inferior del páncreas y anterior al riñón izquierdo. No fue posible identificar la dependencia de órganos del tumor (figuras 1 y 2).

La tomografía axial computarizada muestra lesión tumoral en colon transverso (cruz negra)

La tomografía computarizada corte coronal muestra lesión tumoral en colon trasverso (cruz negra)
Se realizan laboratorios de extensión debido a las imágenes obtenidas con los siguientes resultados: ACE 0.77 ng/mL, alfa-fetoproteína 0.66 ng/mL, CA-125 21.6 UI, CA19-9 2.48 UI.
Debido a los hallazgos y a los síntomas de dolor abdominal agudo, se decide realizar una laparotomía exploradora, con hallazgos de coágulos y un tumor abscedado y perforado en el colon transverso, aproximadamente a 10 cm del ángulo esplénico, de 6 x 5 x 5 cm que infiltraba a la raíz del mesenterio. No se identificaron metástasis hepáticas visibles o palpables durante la laparotomía. Se realizó hemicolectomía izquierda extendida con colostomía de colon ascendente, logrando resección R0 (figuras 3 y 4).

Pieza quirúrgica donde se observa el colon transverso perforado

Pieza quirúrgica producto de hemicolectomía izquierda extendida
El estudio histopatológico definitivo informó un sarcoma fibromixoide de bajo grado dependiente de colon transverso. El estudio de inmunohistoquímica fue no concluyente, con los marcadores CD43, CD117, DOG-1 y s100, negativos a lesión neoplásica, teniendo una expresión del ki67 del 2%. El paciente presentó una evolución posoperatoria favorable, con alta hospitalaria al séptimo día y fue remitido a oncología médica para su evaluación.
Resultado y seguimiento
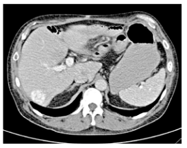
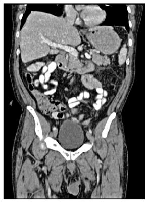
En el posoperatorio temprano, a los cinco días, se realizó una TAC toracoabdominal trifásica como parte de la estadificación adecuada, que mostró metástasis hepáticas en los segmentos III y VI, siendo la primera de 1 x 1 x 1.5 cm y la segunda de 4 x 3 x 2 cm. Estas lesiones no fueron visibles en la primera tomografía debido a que solo se realizó en fase simple, ni tampoco se identificaron a la palpación hepática durante la cirugía. (figuras 5 y 6).

Tomografía axial computarizada trifásica con metástasis hepática en el segmento VI

Tomografía computarizada trifásica corte coronal con metástasis hepática en el segmento III
Con estadio clínico IVa el paciente rechazó un nuevo procedimiento quirúrgico para resecar los segmentos hepáticos afectados con metástasis, por lo que se le propuso someterse a quimioterapia en la unidad de Oncología, donde continuó su seguimiento. El paciente ha tenido una enfermedad metastásica estable después de un año de tratamiento oncológico con una puntuación RECIST estable.
Discusión
Dada su apariencia suave, el LGFMS puede ser difícil de distinguir de algunos tumores mesenquimales benignos y de otros sarcomas de bajo grado.4 El antígeno de membrana epitelial (EMA) es uno de los marcadores de diagnóstico de LGFMS. Estos tumores también son positivos para la expresión de MUC4,10,12 (que recientemente se descubrió que es un marcador altamente específico y sensible para LGFMS).4,8,11 Citogenéticamente el LGFMS se caracteriza en > 95% por la translocación específica t (7;16) (q34;p11) o más raramente la translocación t (11;16) (p11;p11), lo que da lugar a los genes de fusión FUS-CREB3L2 o FUS-CREB3L1 y CREB3L2,3,8,11 los cuales son considerados como apoyos diagnósticos. El examen radiológico juega un papel fundamental en el diagnóstico y tratamiento de este tipo de enfermedad.6 La tomografía computarizada y la imagen de resonancia magnética (MRI) pueden visualizar y caracterizar lesiones con características morfológicas, características de textura y relaciones con estructuras adyacentes.19 Las técnicas de resonancia magnética convencionales y avanzadas pueden ser más útiles que la tomografía computarizada. En la resonancia magnética, los LGFMS son heterogéneos, debido a sus dos zonas distintas: mixoide y fibrosa. Generalmente, la intensidad baja de la señal en T1 y T2, así como un leve aumento, corresponde a los componentes fibrosos del tumor; la intensidad baja de la señal en T1 y el aumento variable después de la inyección de gadolinio corresponden a los componentes mixoides del mismo.7,10,13 El estándar de oro para el diagnóstico de este tumor es la histopatología, que muestra un tumor celular de baja a moderada, con patrón de verticilo de células tumorales, compuesto de áreas mixoides y colágenas alternas7 caracterizadas por la presencia de células fusiformes blandas con un patrón de crecimiento principalmente en espiral en áreas alternas con sarcoma mixoide o fibroso.4,9 El tratamiento para los sarcomas fibromixoides es una resección quirúrgica temprana y completa, con márgenes de resección negativos.2,5,11,20 La radioterapia y la quimioterapia podrían usarse para lesiones metastásicas o no resecables, sin embargo, las respuestas clínicas e histológicas parecen bastante pobres.2,13,18 Se ha informado de tasas de recurrencia que oscilan entre el 20 y el 80%. Se ha demostrado que el hígado es el sitio más común de recidiva a distancia (50%), mientras que el peritoneo fue el segundo sitio más común.1,12 La mediana de supervivencia de los sarcomas colorrectales primarios es mala, con informes de entre 30 y 53 meses, con una mortalidad global del 2%.6 El género femenino se asoció fuertemente a una mejor supervivencia. Se necesita más investigación para determinar la estrategia de manejo óptima para estos tumores difíciles de tratar. Se ha sugerido que los tumores pequeños (< 2 cm de diámetro) y de bajo grado pueden considerarse para la escisión local. Los sarcomas colorrectales se presentan a una edad más temprana y en un grado más alto que el adenocarcinoma de colon y recto, y tienen una supervivencia a largo plazo significativamente peor en comparación con el adenocarcinoma1. Debido a que el diagnóstico temprano impacta de manera directa en el pronóstico de los pacientes se recomienda seguir las recomendaciones internacionales para tamizaje de cáncer de colon. El estudio de tamizaje recomendado por el Colegio Americano de Gastroenterología es la colonoscopia, debido a que tiene la capacidad de detectar y resecar las lesiones premalignas identificadas, la colonoscopia se deberá realizar cada 10 años, iniciando a los 50 años de edad y 10 años antes de esta edad en los pacientes con factores de riesgo o familiares en primer grado con cáncer de colon. Las ventajas de la colonoscopia incluyen alta sensibilidad para cáncer de colon y toda clase de lesiones precancerosas, lo que permite realizar el diagnóstico y dar inicio al tratamiento en etapas tempranas. 21,22.
Conclusiones
El sarcoma fibromixoide de bajo grado (LGFMS) se considera un tumor de tejidos blandos poco común, que tiene tendencia a surgir del tejido blando profundo del tronco y las extremidades inferiores; el área intraabdominal se considera una ubicación poco común.
• El diagnóstico oportuno es fundamental para un correcto abordaje quirúrgico, sin embargo en algunos casos, como el nuestro, los pacientes pueden presentar como primera manifestación la necesidad de una cirugía urgente por absceso tumoral, sangrado o perforación de vísceras huecas. En este caso realizamos una hemicolectomía izquierda extendida con colostomía de colon ascendente. Posteriormente, el paciente rechazó un procedimiento quirúrgico para resecar todos los segmentos hepáticos con metástasis y ha tenido una enfermedad estable al año, a pesar de la enfermedad metastásica.
• Este caso es único en términos de ubicación y presentación (sobre los LGFMS de colon transverso con metástasis hepática, únicamente hay otros dos casos reportados en el colon sin metástasis en la literatura mundial).11,17 Es un recordatorio del diagnóstico diferencial del dolor abdominal agudo.
Referencias
1. Cooper CR, Scully BF, Lee-Kong S. Colorectal sarcoma: More than a gastrointestinal stromal tumor. Transl Gastroenterol Hepatol. 2018;3:42.
2. Ban LK, Tseng AH, Huang SH, Lee HHC. Low-grade fibromyxoid sarcoma of the external anal sphincter: A case report. World J Surg Oncol. 2017;15(1):1-4.
3. Laurini JA, Zhang L, Goldblum JR, Montgomery E, Folpe AL. Low-grade fibromyxoid sarcoma of the small intestine: Report of 4 cases with molecular cytogenetic confirmation. Am J Surg Pathol. 2011;35(7):1069-73.
4. Tinoco-Téllez L, Aguirre-Trigueros J, Domínguez-Gasca LG, Domínguez-Carrillo LG. Sarcoma fibromixoide de bajo grado. Acta Médica Grupo Ángeles. 2016;14(4):230-4.
5. Del Valle-González N, Largo JS, Oceja JMS, Tesedo VR. Sarcoma fibromixoide renal. Actas Urol Esp. 2009;33(9):1036-9.
6. Villalobos-León ML. Sarcoma de partes blandas. Medicine. 2013;11(27):1659-68.
7. Geramizadeh B, Zare Z, Dehghanian AR, Bolandparvaz S, Marzban M. Huge mesenteric low-grade fibromyxoid sarcoma: A case report and review of the literature. Rare Tumors. 2018;10:4-7
8. Murshed KA, Ammar A. Hybrid sclerosing epithelioid fibrosarcoma/low grade fibromyxoid sarcoma arising in the small intestine with distinct HEY1-NCOA2 gene fusion. Pathology. 2020;52(5):607-10.
9. Chetverikova E, Kasenõmm P. Low-Grade Fibromyxoid Sarcoma of the Lateral Skull Base: Presentation of Two Cases. Case Rep Otolaryngol. 2019;2019:1-6.
10. Din NU, Ahmad Z, Zreik R, Horvai A, Folpe AL, Fritchie K. Abdominopelvic and retroperitoneal low-grade fibromyxoid sarcoma: A clinicopathologic study of 13 cases. Am J Clin Pathol. 2018;149(2):128-34.
11. Mendoza AS, O’Leary MP, Peng SK, Petrie BA, Li AI, French SW. Low-grade fibromyxoid sarcoma of the sigmoid colon. Exp Mol Pathol. 2015;98(2):300-3.
12. Alatise OI, Oke OA, Olaofe OO, Omoniyi-Esan GO, Adesunkanmi ARK. A huge low-grade fibromyxoid sarcoma of small bowel mesentery simulating hyper immune splenomegaly syndrome: A case report and review of literature. Afr Health Sci. 2013;13(3):736-40.
13. Citores-Pascual MÁ, Tinoco-Carrasco C, Arenal-Vera JJ, Benito-Fernández C, De Los Torres-Nieto MÁ, Zamora-Martínez T. Sarcoma fibromixoide de bajo grado: A propósito de 3 casos y revisión de la bibliografía. Cir Cir. 2013;81(4):333-9.
14. Kim KJ, Seo JW. Intra-abdominal low-grade fibromyxoid sarcoma of the transverse mesocolon mimicking lymphoma. Jpn J Radiol. 2014;32(6):360-4.
15. Huang J, Cohen S, Jour G. Primary small intestine mesenteric low-grade fibromyxoid sarcoma with foci of atypical epithelioid whorls and diffuse DOG1 expression: A case report. Diagn Pathol. 2020;15(1):1-7.
16. Fujii S, Kawawa Y, Horiguchi S, Kamata N, Kinoshita T, Ogawa T. Low-grade fibromyxoid sarcoma of the small bowel mesentery: Computed tomography and magnetic resonance imaging findings. Radiat Med - Med Imaging Radiat Oncol. 2008;26(4):244-7.
17. Park IJ, Kim HC, Yu CS, Kim JS, Jang SJ, Kim JC. Low-grade fibromyxoid sarcoma of the colon. Dig Liver Dis. 2007;39(3):274-7.
18. Konecna J, Liberale G, Haddad J, De Saint-Aubain N, El Nakadi I. Diffuse intra-abdominal low grade fibromyxoid sarcoma with hepatic metastases: Case report and review of the literature. Int J Surg Case Rep. 2015;14:40-3.
19. Yue Y, Liu Y, Song L, Chen X, Wang Y, Wang Z. MRI findings of low-grade fibromyxoid sarcoma: A case report and literature review. BMC Musculoskelet Disord. 2018;19(1):10-3.
20. Bonvalot S, Tzanis D, Bouhadiba T, Marsaoui L, Caignard E, Meeus P, et al. Tratamiento quirúrgico de los sarcomas abdominales. EMC - Técnicas Quirúrgicas - Apar Dig. 2020;36(1):1-11.
21. Rex DK, Boland CR, Dominitz JA, Giardiello FM, Johnson DA, Kaltenbach T, et al. Colorectal cancer screening: Recommendations for physicians and patients from the U.S. Multi-Society Task Force on Colorectal Cancer. Gastrointest Endosc. 2017;86(1):18-33.
22. Bénard F, Barkun A, Martel M, von Reiten D. Systematic review of colorectal cancer screening guidelines for average-risk adults: Summarizing the current global recommendations. World J Gastroenterol. 2018;(24):124-138.
Notas de autor
jlberistain@yahoo.com
Información adicional
Declaración de conflicto de interés: los autores han completado y enviado la forma traducida al español de la declaración de conflictos potenciales de interés del Comité Internacional de Editores de Revistas Médicas, y no fue reportado alguno que tuviera relación con este artículo.
Cómo citar este artículo: Beristain-Hernandez JL, Quintero-Sada BE. Sarcoma fibromixoide primario de colon transverso metastásico perforado. Rev Med Inst Mex Seguro Soc. 2021;59(6):579-84.
PubMed: https://pubmed.ncbi.nlm.nih.gov/34913635/
Enlace alternativo
http://revistamedica.imss.gob.mx/editorial/index.php/revista_medica/article/view/4109/4300 (pdf)