Resumen:
Introducción: la Chlamydia trachomatis es la principal causa de infecciones bacterianas de transmisión sexual a nivel mundial. Se estima que cada año se producen 131 millones de casos. Cursa de manera asintomática, pero la infección ascendente en mujeres puede conducir a la enfermedad inflamatoria pélvica, embarazo ectópico e infertilidad.
Objetivo: determinar la prevalencia de C. trachomatis en mujeres de población abierta que acuden al Hospital General de Zona No. 29.
Material y métodos: se realizó la identificación de C. trachomatis por pruebas de PCR a 200 muestras de exudado vaginal y se determinó su genotipo. Paralelamente, se realizó el diagnóstico microbiológico de rutina.
Resultados: la prevalencia de C. trachomatis fue del 8.5% (17/200) con una concomitancia significativa de . = 0.006 con Gardnerella vaginalis (riesgo relativo de 2.871, IC95%: 1.574-5.236). Asimismo, se identificó C. trachomatis en cinco muestras como el único agente etiológico. Dieciséis cepas de C. trachomatis pertenecieron al genotipo F. Una cepa identificada de C. trachomatis presentó motivos genéticos similares a la variante mexicana reportada en 2019.
Conclusiones: la prevalencia de C. trachomatis en la población estudiada nos indica la necesidad de implementar técnicas de diagnóstico para esta bacteria. El uso de la PCR permite realizar una determinación genotípica rápida, que explicaría el comportamiento epidemiológico de la C. trachomatis y representaría una mejora significativa de la calidad de vida de la paciente.
Palabras clave:Chlamydia trachomatisChlamydia trachomatis,Enfermedades de Transmisión SexualEnfermedades de Transmisión Sexual,Reacción en Cadena de la PolimerasaReacción en Cadena de la Polimerasa,GenotipoGenotipo.
Abstract:
Background: Chlamydia trachomatis is the main cause of sexually transmitted bacterial infections worldwide. An estimated of 131 million cases occur each year. It is asymptomatic, but ascending infection in women can lead to pelvic inflammatory disease, ectopic pregnancy, and infertility.
Objective: To determine the prevalence of C. trachomatis in open population women who attend the Hospital General de Zona No. 29.
Material and methods: Identification of C. trachomatis was carried out by PCR testing of 200 vaginal exudate samples and its genotype was determined. In parallel, a routine microbiological diagnosis was carried out.
Results: The prevalence of C. trachomatis was 8.5% (17/200) with a significant concomitance of p = 0.006 with Gardnerella vaginalis (relative risk of 2.871, 95%CI: 1.574-5.236). Likewise, C. trachomatis was identified in 5 samples as the only etiological agent. Sixteen strains of C. trachomatis belong to genotype F. An identified strain of C. trachomatis presented genetic motifs similar to the Mexican variant reported in 2019.
Conclusions: The prevalence of C. trachomatis in the studied population indicates the need to implement diagnostic techniques for this bacterium. The use of PCR allows a rapid genotypic determination that would explain the epidemiological behavior of C. trachomatis and would represent a significant improvement in the quality of life of the patient.
Keywords: Chlamydia trachomatis, Sexually Transmitted Diseases, Polymerase Chain Reaction, Genotype.
Aportación original
Prevalencia de Chlamydia trachomatis en mujeres del Hospital General de Zona No. 29
Chlamydia trachomatis prevalence in women from the Hospital General de Zona No. 29

Recepción: 02 Marzo 2021
Aprobación: 12 Mayo 2021
La Chlamydia trachomatis es una bacteria considerada como uno de los principales agentes etiológicos de las infecciones de transmisión sexual (ITS). La Organización Mundial de la Salud estima de 4 a 5 millones de casos de infección por C. trachomatis por año y que cerca de 50 millones de mujeres se encuentran infectadas a nivel mundial.1 Asimismo, las características asintomáticas de la infección y su cronicidad son los principales problemas en el diagnóstico, ya que derivan en problemas de salud pública pues se generan secuelas ginecológicas como la enfermedad pélvica inflamatoria, la obstrucción tubo-ovárica y, finalmente, la infertilidad.2
El diagnóstico de las ITS es uno de los retos de la medicina actual tanto para mejorar la calidad de vida del paciente como la reducción de los costos del tratamiento. Las técnicas microbiológicas rutinarias no son funcionales para la identificación de C. trachomatis debido a que se trata de un microorganismo intracelular.3 Para su identificación se requiere del cultivo celular y técnicas inmunológicas como la inmunofluorescencia directa, pero estas presentan una baja sensibilidad y especificidad, además se requiere de personal calificado.4 Actualmente existen métodos comerciales basados en la amplificación de ácidos nucleicos (NAAT, Nucleic Acid Amplification Techniques) para la identificación de C. trachomatis, como la reacción en cadena de la polimerasa (PCR) de punto final, la PCR en tiempo real, la hibridación de sondas, entre otras. Sin embargo, el diagnóstico de la infección por C. trachomatis se subestima en el ambiente clínico al considerarse un microorganismo atípico.
En México, la prevalencia reportada de C. trachomatis es del 4 al 18% pero son datos de estudios que se han realizado en hospitales de especialidad en ginecología y obstetricia.5 La prevalencia de C. trachomatis en mujeres en población abierta generalmente se desconoce.6 Asimismo, existe el problema de que la mayoría de los centros de salud de este país carecen de los recursos materiales y económicos para incluir este tipo de estudios de manera rutinaria. Sin embargo, en algunos países la incorporación de estas pruebas de diagnóstico tiene un impacto en la salud pública mejorando considerablemente la calidad de vida del paciente.7
Considerando los antecedentes nuestro objetivo es la implementación del diagnóstico molecular por PCR para C. trachomatis y así obtener la prevalencia de la infección en pacientes de población abierta. Asimismo, realizar los estudios que nos permitan identificar los genotipos de C. trachomatis en muestras endocervicales de mujeres que asisten a la clínica ginecológica del Hospital General de Zona No. 29 “Belisario Domínguez” del Instituto Mexicano del Seguro Social (IMSS).
Muestras de estudio
La selección de las pacientes se realizó bajo un muestreo sistemático con una progresión aritmética de 4. Se tomó muestra de exudado endocervical a 200 mujeres que presentaban signos clínicos de ITS que fueron atendidas y valoradas por el servicio médico de Ginecología del Hospital General No. 29 del IMSS de la Ciudad de México entre los meses de enero a junio de 2018. Las pacientes recibieron una carta de consentimiento informado, en la que se le informó a cada participante los detalles del proyecto y de su participación en el mismo, aceptando libremente las condiciones, derechos, responsabilidades, riesgos, beneficios y retribuciones, que conllevaban su participación en la investigación. Se incluyeron todas aquellas pacientes con diagnóstico presuntivo de ITS y que aceptaron su participación en el estudio.
De manera general mostraban sintomatología como: flujo vaginal atípico, ardor, dolor, comezón y mal olor. Los exudados endocervicales se conservaron en el medio de transporte Stuart/Amies Transport (Becton Dickinson, NJ, EE. UU.) y fueron almacenadas a 4 °C hasta su análisis.
Se extrajó el ADN total de las muestras endocervicales utilizando el reactivo de purificación Tripure™ de acuerdo con las especificaciones del fabricante (Boehringer Mannheim, Ingelheim, Alemania). Asimismo, el probable ADN plasmídico presente en las muestras se aisló con el sistema QIAprep Miniprep Kit (Qiagen™, Hilden, Alemania).
La identificación de C. trachomatis se realizó mediante la prueba de la PCR del ORF2 del plásmido críptico. Para esta región se utilizaron los cebadores KL1 y KL2 (sintetizados por IDT®, Coralville, IA, EE. UU.) con un producto de amplificación de 241 pb.8 La mezcla de reacción consistió en TaqPCR Máster Mix Kit (Qiagen™), 10 pM de cada iniciador y 5 mL del ADN plasmídico. Para cada ensayo de PCR se utilizó como control positivo el ADN plasmídico de C. trachomatis (ATCC® LGV Serovar L2 434 / Bu) y como control negativo el ADN de células HeLa. La amplificación se realizó en un termociclador PTC-100 (MJ Research Inc™, Hercules, CA, EE. UU.) con una desnaturalización inicial a 95 °C durante 5 minutos, seguido de 30 ciclos (95 °C/45 seg, 59 °C/45 seg y 72 °C/1 min) y con una extensión final a 72 °C durante 10 minutos. Los productos de la PCR se analizaron mediante electroforesis en gel de agarosa al 2%.
Para el análisis genotípico se realizó la búsqueda de solo la variante reportada con deleción en el ORF1 del plásmido críptico.9 Los productos de 742 pb indican un ORF1 completo y de 365 pb un ORF1 con deleción.9 Se realizó la PCR con 10 pmol de los iniciadores DelC, 2.75 µM de MgCl2, 0.4 µM de dNTP, 1.0 U de Taq polimerasa (Qiagen™) y 200 ng del ADN plasmídico. La amplificación se llevó a cabo con una desnaturalización inicial a 95 °C durante 5 minutos, seguido de 30 ciclos (95 °C/45 seg, 60 °C/45 seg y 72 °C/1 min) y una extensión final a 72 °C por espacio de 5 minutos. Para los ensayos de PCR se utilizó como control positivo el ADN plasmídico de C. trachomatis variante mexicana (GenBank: KY474387, KY474388 y KX300216). Los productos de la PCR se analizaron mediante electroforesis en gel de agarosa al 2%.
La identificación complementaria de las probables variantes o cepas silvestres de C. trachomatis se realizó mediante amplificación completa del gen ompA y parcial del gen pmpH para su posterior genotipificación de las cepas. Se desarrolló la PCR utilizando los cebadores omp1 y omp2 (sintetizados por IDT®) para el gen ompA con un producto de amplificación de 1183 pb,10 y en el caso del gen pmpH, los oligonucleótidos pmpHr y pmpHf (sintetizados por Macrogen Inc. CA, EE. UU.) se emplearon para obtener un producto de 392 pb.9 La mezcla de reacción para la PCR incluyó 10 pmol de cada oligonucleótido, 2.5 µM de MgCl2, 0.4 µM de dNTP, 2.0 U de polimerasa Taq (Qiagen™) y 200 ng del ADN total de cada muestra. Se utilizó como control positivo el ADN total de C. trachomatis ATCC® VR-902B y como control negativo el ADN de células HeLa. Las condiciones de amplificación consistieron en una desnaturalización inicial a 95°C durante 5 minutos, seguido de 30 ciclos (95°C/45 seg, 59°C/45 seg y 72°C/1 min) con una extensión final a 72°C durante 10 minutos. Los productos se analizaron mediante electroforesis en gel de agarosa (2%).
Los productos de PCR de los genes ompA y pmpH se purificaron con el sistema NucleoSpin (Macherey-Nagel™, Düren, Alemania) y se enviaron al Instituto de Biología de la Universidad Nacional Autónoma de México (UNAM) para su secuenciación mediante el secuenciador ABI PRISM (Applied Biosystems, Waltham, MA, EE. UU.). Las secuencias de los genes ompA y pmpH se analizaron con el software de Chromas (Technelysum Pty Ltd, South Brisbane QLD, Australia), identificado por BLASTn (NCBI, MD, EE. UU.)11,12 y alineado con el software ClustalW,13 y Multalin (versión 5.4.1, alineación de secuencia múltiple con agrupamiento jerárquico, Francia).14
Se inocularon placas de gelosa sangre, chocolate y agar Thayer Martin, MacConkey, Biggy y caldo BBLTrichosol (Becton Dickinson, NJ, EE. UU.). Para el aislamiento específico y selectivo de los probables patógenos, las placas inoculadas se manejaron con condiciones diferentes. La gelosa sangre, chocolate y agar Thayer Martin se incubaron a 37 °C en atmósfera parcial de CO2 durante 18 horas, aquellas sin crecimiento se mantuvieron hasta las 48 horas y 72 horas en el caso de Thayer Martin. El agar MacConkey se incubó a 37 °C y el Biggy a 28 °C, ambos medios se revisaron a las 18 horas y fueron desechados si no hubo crecimiento. El caldo BBL Trichosol para el cultivo de Trichomonas vaginalis se incubó a 37 °C por espacio de 72 horas.
Se prepararon suspensiones bacterianas de las cepas en 3 mL solución salina estéril (NaCl 0.45% a 0.5%, pH 4.5 a 7). La turbidez se ajustó a 0.50-0.63 U con el densitómetro DensiChek™ (Biomérieux, Marcy-l’Étoile, Francia). Las suspensiones bacterianas y las tarjetas de identificación se insertaron en el equipo VITEK® 2 Compact (Biomérieux). La identificación se basó en la comparación de los patrones bioquímicos de los resultados obtenidos con los de referencia (cepas ATCC, American Type Culture Collection).
El análisis de los datos obtenidos en este estudio se evaluó con el programa SPSS Stastistics 24 (IBM, NY, EE. UU.). Se emplearon las tablas 2 por 2 para determinar la asociación entre las variables y obtener el riesgo relativo de los eventos en presencia del factor respecto al riesgo del evento en ausencia del factor con la prueba Chi cuadrada de Pearson y la prueba exacta de Fisher.
Descripción de la población
De las 200 muestras analizadas, el 55.5% de las mujeres presentó datos clínicos de cervicovaginitis, el 8.5% de vaginosis bacteriana y el 7% presentó infección de vías urinarias (IVU). Además, se registraron casos de sangrado uterino (4%), amenorrea (3.5%), miomatosis uterina (3%), cistocele (1.5%), VIH (1%), VPH (0.5%) e infertilidad (0.5%). Asimismo, se estudiaron muestras de pacientes que presentaban ITS que acudieron a los diferentes controles de la clínica de salud del hospital, como el control durante el embarazo (8%), el control del posparto (4%) y el control en el climaterio (3%).
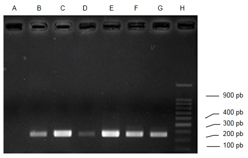
La prevalencia detectada por PCR en este trabajo de C. trachomatis fue del 8.5% (17/200). De las 17 pruebas positivas, 12 mostraron una concomitancia con otro agente patógeno y 5 se encontraron como el único agente etiológico causante de la infección endocervical en muestras con reporte microbiológico negativo (microbiota normal). En las infecciones múltiples encontradas se observó una coinfección con G. vaginalis en el 47.05% (8/17), Streptococcus agalactiae en el 11.76% (2/17), Candida sp. en el 5.88% (1/17) y E. coli en el 5.88% (1/17). La identificación de C. trachomatis se basó en la amplificación del ORF2 del plásmido críptico con un producto de 241 pb (figura 1). Los datos obtenidos, además de mostrarnos las coinfecciones, también indican 5 pruebas positivas a C. trachomatis que por estudios de laboratorio convencionales se emitieron como resultados negativos o con presencia de microbiota normal o no patogénica.

En la imagen se muestra el desarrollo electroforético representativo de los productos de PCR para la identificación de C. trachomatis.
En el carril A se encuentra el control negativo (PCR con ADN de células HeLa), de los carriles B al F muestras clínicas aleatorias con amplicón de 241 pb, en el carril G se encuentra el control positivo, producto de PCR de 241 pb, que pertenece a la amplificación del ORF2 del plásmido de la cepa de C. trachomatis ATCC® VR-902B. Carril H, marcador de tamaño molecular de 100 pb (Biobasic™, Markham, Ontario, Canadá)
Solo una cepa de las 17 identificadas de C. trachomatis presentó la deleción de 377 pb del ORF1 del plásmido críptico, característica principal de las variantes sueca y mexicana que han sido reportadas recientemente9 (figura 2). El estudio complementario de las secuencias de los genes ompA y pmpH y el análisis bioinformático mostraron que la variante aislada pertenece al genotipo D (figura 3) y al patotipo genitourinario (figura 4), que son motivos genéticos característicos de la cepa mexicana de C. trachomatis. Las cepas restantes pertenecen al genotipo F y al patotipo genitourinario con base en los análisis informáticos.

En la imagen se muestra el desarrollo electroforético de la amplificación de ORF1 y la detección de la deleción de 377pb
En el carril A se observa la cepa silvestre ATCC® LGV Serovar 434/Bu sin deleción en el ORF1 del plásmido críptico de C. trachomatis; en el carril B se observa la variante con deleción de 377 pb con un producto final de amplificación de 365 pb; en el carril C se encuentra el control negativo (PCR con ADN de células HeLa), y en el carril D se observa el marcador de tamaño molecular de 100 pb (Invitrogen™, CA, EE. UU.)

Análisis filogenético del gen ompA de las cepas de Chlamydia trachomatis
En la figura se puede observar el alineamiento y asociación al cluster formado por las secuencias de C. trachomatis genotipo D reportadas en el GenBank y de la muestra clínica con la cepa variante de C. trachomatis. El análisis de las secuencias se basó en los algoritmos de los programas de ClustalW y Multalin y de la alineación por matrices Fitch para filogenia

Análisis filogenético del gen pmpH de Chlamydia trachomatis
En la figura se muestra que la muestra clínica se incluyó en el cluster del patotipo genitourinario con base a las secuencias del gen pmpH registradas y publicadas en el GenBank
El análisis microbiológico demostró la presencia de un microorganismo patógeno en el 61% de las muestras, y con microbiota normal en el resto (39%). Los microorganismos predominantes fueron E. coli en el 30.8%, G. vaginalis en el 28.3%, C. albicans en 12.5% y Candida sp. en el 10%. Solo en dos muestras se detectó la presencia de T. vaginalis (1%). De manera similar, se identificaron otras especies bacterianas como patógenos primarios: Proteus mirabilis con un 3.27%, Kokuria kristinae con un 2.45%, Streptococcus agalactiae con un 1.63% al igual que Sphingomonas paucimobilis y con un 0.82% de los casos a C. glabrata, Citrobacter braakii, Citrobacter koseri, Sacharomyces cerevisiae, Klebsiella pneumoniae, Staphylococcus haemolyticus, Staphylococcus aureus, Staphylococcus hominis, Staphylococcus warneri, Streptococcus anginosus. Asimismo, se observó en 13 muestras el crecimiento y reconocimiento de dos o más microorganismos infecciosos (10.6%). En el 8.8% se encontraron dos patógenos (C. albicans en el 2.4%, Candida sp. en el 2.4% y G. vaginalis en el 4%) y en el 1.8% a tres patógenos específicos (C. albicans).
El diagnóstico clínico microbiológico en México es limitado debido a que los recursos económicos otorgados solo cubren las necesidades esenciales. En la actualidad, el número de casos de C. trachomatis y otros microorganismos infecciosos como Mycoplasma sp, Neisseria y Haemophilus es elevado.15 La aparente prevalencia de microorganismos atípicos compromete la salud óptima de la población vulnerable, por lo que un diagnóstico inadecuado afecta el tratamiento oportuno y eficaz.16 Asimismo, la derivación de complicaciones por infección crónica por el limitado diagnóstico realizado representa un desafío directo para los sistemas de salud locales en este país.
Las técnicas de amplificación de ácidos nucleicos son una herramienta útil para el diagnóstico de microorganismos que son difíciles de crecer en medios convencionales o que no pueden ser cultivados.7 La técnica de PCR se ha aplicado eficazmente para el diagnóstico de una amplia gama de microorganismos, además estos métodos presentan una gran sensibilidad, especificidad y reproducibilidad.8 Los expertos en enfermedades infecciosas han recomendado la PCR para identificar a los microorganismos que no pueden cultivarse in vitro, o en casos en los que las técnicas de cultivo existentes son insensibles o necesitan tiempos de incubación prolongados. Otras limitaciones del diagnóstico incluyen pruebas adicionales y especiales que caracterizan a los patógenos, como la identificación de subespecies, la clasificación por serotipos, reconocimiento de factores de virulencia y determinación de resistencia a los antimicrobianos.
En este estudio, la prevalencia de C. trachomatis fue del 8.5%. Este hallazgo concuerda con el 8.5% reportado en África Oriental, así como con el 6.9% en África Meridional y el 6.1% en África Occidental/Central. De igual manera, existen estudios en otras partes del mundo, pero con datos más dispersos en donde la prevalencia de C. trachomatis se determinó en 4.9 a 14% en China, 0.1 a 35.9% en India, 5.7 a 16.2% en Tailandia, 19.3% en Mongolia y 41 a 44% en Bangladesh.17 Asimismo, la prevalencia detectada en este estudio es ligeramente superior a la prevalencia total en Australia, que es del 4.6%18 y en Europa, donde varía entre el 1.7 al 17% según el país.19 Este hallazgo también es ligeramente superior a la prevalencia total en los EE. UU., que es del 5%.20
De manera relevante en este trabajo se identificó que al 6.4% de las pacientes se le da un diagnóstico erróneo. Desafortunadamente, las técnicas convencionales de microbiología implementadas en el laboratorio son insuficientes e inadecuadas para la identificación de microrganismos atípicos, como es el caso de C. trachomatis. En este estudio se logró identificar la C. trachomatis por PCR en cinco muestras que se reportaron como microbiota normal, lo que implica un diagnóstico erróneo con repercusión en la calidad de vida de la paciente. Asimismo, algunos estudios han afirmado que al analizar una serie de muestras clínicas con cultivo negativo se ha detectado la presencia de ADN bacteriano. De hecho, un porcentaje significativo de estas muestras de cultivo negativo (14%) contenían ADN bacteriano, utilizando cebadores universales y específicos contra enterobacterias.21 Este porcentaje de muestras de cultivo negativo y PCR positivo aumentó al 27% cuando solo se consideraron las infecciones sintomáticas.22
Los datos anteriores muestran que no solo las técnicas de PCR o NAAT son útiles para la identificación de microorganismos no cultivables o de difícil crecimiento, sino que también se pueden utilizar en el diagnóstico de microorganismos comunes, que por su carga microbiológica o ubicación son difíciles de aislar e identificar. Algunos estudios sugieren que la PCR dirigida al gen del rRNA16S ha sido útil para la detección e identificación de bacterias vivas o muertas en casos de infección en pacientes sometidos a antibioticoterapia o en pacientes sintomáticos con informe microbiológico negativo.21 Asimismo, en algunos trabajos se ha observado que los reportes microbiológicos de cultivo negativo son frecuentes en infecciones sintomáticas en algunas áreas del cuerpo (espacio pleural, hueso y endocardio), pero son positivas por PCR.23
Las pruebas de amplificación de ácidos nucleicos no solo nos permiten realizar una identificación general de los microorganismos, también se pueden obtener datos de genotipos y variantes de la misma bacteria. En este estudio se observó que de las 17 muestras con C. trachomatis, 16 pertenecen al genotipo F y una de ellas al D. Sin embargo, este último hallazgo es importante ya que mostró características genéticas similares a la C. trachomatis variante mexicana. Estos motivos genéticos que se presentan en estas variables son la deleción de 377 pb del ORF1 y la ausencia de 44 pb en la región tándem del ORF3 del plásmido críptico.9
Los estudios de los genotipos de C. trachomatis en México son escasos y frecuentemente son de poblaciones cautivas de hospitales de especialidad ginecológica. En la Ciudad de México, en 2011, estudios en mujeres con infertilidad determinaron por técnicas de RFLP y de secuenciación que el genotipo F fue el más prevalente (54.2%), seguido del E (8.7%), G (8.7%), K (8.7%) y LGV (8.7%), y los serovares restantes D, H e Ia (4.2% cada uno).24 Asimismo, en Jalisco en 2017 se detectaron ocho genotipos de C. trachomatis: E (39.6%), F (29.2%), D (15.6%), K (6.3%), L2 (3.1%), G, J e I (2.1% cada uno) en muestras de pacientes de clínicas de ginecología del estado.25 Alternativamente, en 2021 se realizaron estudios en hombres con infertilidad asociada a la presencia de C. trachomatis en donde se identificaron cinco genotipos: F en un 51%, D en un12.2%, E en un 12.2%, L2 en un 6.1% e Ia en un 4.1%.26 De manera importante, en estos tres estudios y el nuestro, se observa que el genotipo F se identifica de manera predominante en los casos de infección genitourinaria y de infertilidad. Además, el análisis del gen pmpH alojó a esta cepa en el patotipo genitourinario en donde se agrupan los genotipos D, E, F, G, H e I asociados al desarrollo de infecciones en los aparatos genital y urinario.
Finalmente, estos resultados hacen imperativo no solo el diagnóstico por PCR de Chlamydia, sino también su genotipificación. Nosotros vemos que el método más factible es la secuenciación del gen ompA por su sensibilidad, especificidad y costo, con respecto a técnicas como el RFLP que necesitan de una PCR anidada dirigida al mismo gen y la posterior digestión con la enzima Alu I; sin embargo, este método además de encarecerse presenta problemas de sensibilidad (se requieren producto de PCR suficiente) y de especificidad, ya que hay genotipos que presentan patrones similares de corte.
Las consecuencias de estas variaciones aún se desconocen, pero se ha observado que el plásmido regula más de una docena de genes cromosómicos, incluido los genes implicados en la síntesis de glucógeno,27 lo que explica la falta de acumulación de glucógeno en inclusiones de clamidias sin plásmido,28 así como la colonización de tejidos.
Paralelamente, además de la identificación de C. trachomatis por PCR se encontró que 12 muestras mostraron una coinfección con otros microorganismos como Streptococcus agalactiae, Candida sp. y E. coli, pero sin significancia. Sin embargo, se observó que existe una relación significativa con G. vaginalis (cuadro I).

Asociación de microorganismos y riesgo relativo
Datos obtenidos de la prueba Chi cuadrada de Pearson y la prueba exacta de Fisher. Para los microorganismos Candida sp., Escherichia coli, Candida albicans, Proteus mirabilis, Sacharomyces cereviseae, Kokuria kristiane, Citrobacter braakii, Citrobacter krusei, Staphylococcus haemolyticus, Staphylococcus hominis, Staphylococcus aureus, Staphylococcus warneri, Streptococcus anginosus, Candida glabrata, Klebsiella pneumoniae, Sphingomonas paucimobilis y Trichomonas vaginalis
Los valores calculados no fueron significativos o independientes
Los valores calculados indican que cuando se aísla e identifica la G. vaginalis existe un riesgo relativo de 2.871 (IC95%: 1.574-5.236) de que C. trachomatis esté presente. Asimismo, la identificación de C. trachomatis por PCR da un riesgo relativo de 3.789 para que esté presente G. vaginalis (IC95%: 1.565-9.177). Los datos calculados además indican una relación significativa entre ambos microorganismos con una p = 0.006. Esta asociación también ha sido demostrada e indica que existe un mayor riesgo de desarrollar una ITS por C. trachomatis cuando la paciente tiene vaginosis bacteriana con aislamiento de G. vaginalis.29 Además, se sugiere que las ITS y la vaginosis ocurren simultáneamente cuando se adquiere una infección por C. trachomatis o N. gonorrhoeae.30 Por lo tanto, estos estudios indican que la microbiota vaginal anormal podría modular la susceptibilidad y ser un factor de riesgo para contraer ITS.
Finalmente, este trabajo es un precedente para el análisis microbiológico en los centros de salud, ya que se manifiesta la importancia del uso e implementación de las pruebas de amplificación de ácidos nucleicos en la identificación de los agentes etiológicos y en la prevención en la emisión de resultados falsos negativos. Así mismo, la calidad de vida del paciente mejoraría al contar con un diagnóstico rápido, eficaz y especifico y por lo tanto un tratamiento oportuno. Además, se ha observado que en laboratorios que han implementado este tipo de pruebas el costo-beneficio es alto al proporcionar mecanismos de detección rápidos y confiables.
Declaración de conflicto de interés: los autores han completado y enviado la forma traducida al español de la declaración de conflictos potenciales de interés del Comité Internacional de Editores de Revistas Médicas, y no fue reportado alguno que tuviera relación con este artículo.
Cómo citar este artículo: Escobedo-Guerra MR, López-Hurtado M, Gutiérrez-Trujillo R, Guerra-Infante FM. Prevalencia de Chlamydia trachomatis en mujeres del Hospital General de Zona No. 29. Rev Med Inst Mex Seguro Soc. 2021;59(4):281-9.
PubMed: https://pubmed.ncbi.nlm.nih.gov/35014772/
http://revistamedica.imss.gob.mx/editorial/index.php/revista_medica/article/view/3972/4067 (pdf)
syramses@yahoo.com

En la imagen se muestra el desarrollo electroforético representativo de los productos de PCR para la identificación de C. trachomatis.
En el carril A se encuentra el control negativo (PCR con ADN de células HeLa), de los carriles B al F muestras clínicas aleatorias con amplicón de 241 pb, en el carril G se encuentra el control positivo, producto de PCR de 241 pb, que pertenece a la amplificación del ORF2 del plásmido de la cepa de C. trachomatis ATCC® VR-902B. Carril H, marcador de tamaño molecular de 100 pb (Biobasic™, Markham, Ontario, Canadá)

En la imagen se muestra el desarrollo electroforético de la amplificación de ORF1 y la detección de la deleción de 377pb
En el carril A se observa la cepa silvestre ATCC® LGV Serovar 434/Bu sin deleción en el ORF1 del plásmido críptico de C. trachomatis; en el carril B se observa la variante con deleción de 377 pb con un producto final de amplificación de 365 pb; en el carril C se encuentra el control negativo (PCR con ADN de células HeLa), y en el carril D se observa el marcador de tamaño molecular de 100 pb (Invitrogen™, CA, EE. UU.)

Análisis filogenético del gen ompA de las cepas de Chlamydia trachomatis
En la figura se puede observar el alineamiento y asociación al cluster formado por las secuencias de C. trachomatis genotipo D reportadas en el GenBank y de la muestra clínica con la cepa variante de C. trachomatis. El análisis de las secuencias se basó en los algoritmos de los programas de ClustalW y Multalin y de la alineación por matrices Fitch para filogenia

Análisis filogenético del gen pmpH de Chlamydia trachomatis
En la figura se muestra que la muestra clínica se incluyó en el cluster del patotipo genitourinario con base a las secuencias del gen pmpH registradas y publicadas en el GenBank

Asociación de microorganismos y riesgo relativo
Datos obtenidos de la prueba Chi cuadrada de Pearson y la prueba exacta de Fisher. Para los microorganismos Candida sp., Escherichia coli, Candida albicans, Proteus mirabilis, Sacharomyces cereviseae, Kokuria kristiane, Citrobacter braakii, Citrobacter krusei, Staphylococcus haemolyticus, Staphylococcus hominis, Staphylococcus aureus, Staphylococcus warneri, Streptococcus anginosus, Candida glabrata, Klebsiella pneumoniae, Sphingomonas paucimobilis y Trichomonas vaginalis
Los valores calculados no fueron significativos o independientes