Resumen: Objetivo: El objetivo de este trabajo es presentarel resultado clínico retrospectivo de 11Endocrowns, realizados por el primer autor ensu consultorio privado, en un período de 8 a19 años. Materiales and Métodos: Se establecieroncriterios de inclusión y exclusión para lamuestra y las restauraciones. En ciento treintapacientes seleccionados al azar, 11 Endocrownshabían sido realizados en 11 pacientes. Tresmateriales restauradores y tres cementos de resinafueron utilizados. Se analizaron diferentesvariables. El Indice Kappa de Cohen, referidoal análisis de calidad de las restauraciones, tuvouna variación de 0.78 a 1. Para analizar las diferenciasestadísticas significativas se utilizaronmétodos estadísticos descriptivos. Resultados: Al momento del examen, 10 (90.9%) Endocrownsestaban en función Uno (9.1%) habíafracasado. Conclusiones: Endocrown, es unprocedimiento restaurador técnicamente sensible, conservador, estético, fácil, rápido, conmuy aceptable funcionalidad y longevidad,para rehabilitar dientes posteriores endodónticamentetratados, principalmente molares.
Palabras clave:dientes endodónticamentetratadosdientes endodónticamentetratados, onlays adheridos onlays adheridos, restauración sin poste restauración sin poste, estética estética, adhesión adhesión.
Abstract: Purpose. The aim of this paper is to presentthe retrospective clinical performance of 11 endocrowns, placed in a single private practicein an 8-to-19-year period. Materials and Methods. Inclusion and exclusion criteria for the sample and the restorations were established. One hundred and thirty patients were selected at random. Eleven endocrowns had been placed in 11 patients. Three restorative materials and three resin cements were used. Cohen’s Kappa coefficient, on the quality analysis of the restorations, ranged from 0.78 to 1. Due to the small sample, inferential statistical methods could not be used. There fore, statistical descriptive methods were applied. Results. At the moment of the clinical examination, 10 (90.9%) endocrowns were infunction and 1 failed (9.1%). Conclusions. Endocrown is a conservative and aesthetic technique-sensitive procedure used to resto reposterior endodontically treated teeth, mainly molars, with a very good biomechanical andfunctional performance, and very acceptable longevity.
Keywords: endodontically treated teeth, bonded onlays, restoration without post, aesthetic, adhesion.
Casos Clínicos
Endocrown: Estudio clínico retrospectivo de una serie de pacientes, en un período de 8 a 19 años
Endocrown: A retrospective patient series study, in a 8 to 19-year period
Recepción: 31 Mayo 2016
Aprobación: 30 Agosto 2016
La restauración de dientes posteriores endodónticamente tratados (DPETs), es siempre un desafío para el odontólogo. Factores Biológicos (pronóstico endodóntico y periodontal, evaluación del riesgo de caries individual, anatomía radicular y remanente tisular coronario) y Factores Funcionales (género, hábitos parafuncionales, ubicación del diente en la arcada dentaria y el rol del mismo en el tratamiento global), deben ser considerados antes de definir la terapéutica a realizar. Por lo tanto, en algunas situaciones clínicas, la decisión surge de un enfoque multi y/o interdisciplinario.
Por su parte, algunos estudios clínicos, no han mostrado diferencias estadísticas significativas en el éxito clínico de dientes endodónticamente tratados (DET), restaurados con y sin postes (1,2,3,4). Una de las opciones para restaurar un DPET sin poste, es el procedimiento introducido por Pissis (5) en 1995, descrito como la “técnica del monoblock de porcelana”, posteriormente denominado Endocrown. Cerámicas inyectadas de disilicato de litio y técnicas CAD-CAM sobre bloques de cerámicas feldespáticas, de disilicato de litio y de resinas nanocerámicas, son los materiales y técnicas más usadas en la actualidad (6).
Sin embargo, los estudios clínicos son escasos. Hay algunos reportes de 1 o 2 situaciones clínicas (7,8,9) y pocos estudios clínicos longitudinales que no superan los 12 años (10,11,12,13). Por lo tanto, podría ser de interés, discutir el resultado clínico de una pequeña pero bien documentada serie de casos de Endocrowns.
El objetivo de este trabajo es presentar el resultado clínico retrospectivo de 11 Endocrowns (EC), realizados por el primer autor en su clínica privada, en un período de 8 a 19 años.
Este trabajo ha sido aprobado por el Comité de Ética de la Facultad de Odontología, Universidad de la República, Montevideo, Uruguay.
En Abril de 2013, el primer autor decidió llevar a cabo un estudio clínico longitudinal retrospectivo, de diferentes procedimientos restauradores, realizados por el mismo en su clínica privada, durante 44 años.
Por lo tanto, se requería una base de datos amplia y de larga duración, la que sólo podría obtenerse de los registros clínicos individuales y del examen clínico de pacientes con muchos años de asistencia al consultorio. Los criterios de inclusión para la muestra fueron: los pacientes debían haber sido asistidos y evaluados en la clínica del operador, durante 7 años como mínimo y haber continuado atendiéndose hasta el año 2013, con arcos dentarios completos y relaciones oclusales normales. Los pacientes con Prótesis Dentales Removibles, capacidades diferentes, haberse mudado o fallecido, fueron excluídos.
De 2552 pacientes registrados, 210 cumplían los criterios de inclusión. Una muestra de 140 pacientes fue considerada adecuada por los autores y fueron seleccionados al azar por una asistente dental que desconocía los objetivos de la seleccción. Estos pacientes fueron invitados a participar en un examen clínico, entre los meses de Noviembre de 2013 y Abril de 2014: 130 aceptaron participar; 10 no concurrieron por motivos personales. Un consentimiento informado fue firmado previo al examen.
Los EC debían haber estado en función 5 años como mínimo, para ser incluidos en el estudio. Los criterios de fracaso establecidos fueron: desprendimiento y/o remoción de la restauración, patología endodóntica y/o periodontal o extracción de la pieza dentaria.
Los datos recogidos de las historias clínicas y del examen clínico y radiográfico, de cada paciente, fueron registrados en unas planillas especialmente diseñadas.
Los coautores participaron como evaluadores independientes y la calibración entre los autores, fue llevada a cabo previamente en 120 procedimientos restauradores, fuera de la muestra.
Los exámenes clínicos fueron realizados con un espejo y un explorador agudo. Un control radiográfico fue hecho en cada DPET. La evaluación de las variables relacionada a las restauraciones, fue ciega entre los autores. El Coeficiente Kappa de Cohen (14), en la calidad de las restauraciones y del examen radiográfico, varió de 0.78 a 1 [excelente de acuerdo a la guía de Fleiss (15)]. En los casos de no concordancia en la calificación, se registró el valor más bajo. De 270 DPET evaluados, 26 (9.6%) fueron restaurados sin postes. De éstos, 11 fueron restaurados con un EC (4.1% del total de la muestra) en 11 pacientes. Diez pacientes fueron recitados en Setiembre de 2015 para un nuevo examen. Nueve concurrieron al control. El que no concurrió se encontraba en el exterior del país y contactado telefónicamente, informó no tener ningún problema con el EC en el diente 26. Fue incluido en el estudio, pero con los datos registrados en el primer examen.
Adaptación Marginal, Pigmentación Marginal y Superficie, fueron las variables estudiadas para establecer la calidad de las restauraciones, siguiendo el criterio de Ryge, (16) modificado por los autores (Tabla 1).

Criterios de Ryge 16 modificados
Los Criterios de Éxito (CE) fueron definidos por los autores, de acuerdo al criterio de Ryge modificado y a lo establecido por Anusavice (16) y agrupados de la siguiente manera:
Excelente (Ex): Cuando las restauraciones calificaron “Alfa” en Adaptación Marginal, Pigmentación Marginal y Superficie.
Bueno (B): Cuando las restauraciones calificaron “Bravo” en Adaptación Marginal y/o Pigmentación Marginal y/o Superficie.
Sobrevida Funcional (SF): Cuando las restauraciones calificaron “Charlie” en Adaptación Marginal y/o Pigmentación Marginal y/o Superficie.
Sobrevida Funcional (SF): Cuando las restauraciones calificaron “Charlie” en Adaptación Marginal y/o Pigmentación Marginal y/o Superficie.
Considerados juntos, Excelente y Bueno, se calificaron de Éxito Clínico (EC).
Todos los pacientes fueron inscriptos en un Plan Preventivo Integral, se determinó el riesgo individual de caries y se les aconsejó tener una terapia de mantenimiento periódica, de acuerdo al riesgo de caries diagnosticado.
Para el operador, la preparación dentaria es el factor más importante en el éxito clínico del tratamiento restaurador. Se basa en un enfoque conservador, teniendo en cuenta, la extensión de la lesión cariosa, la estructura dentaria remanente, la ubicación de los contactos oclusales, la altura coronaria, el plano oclusal, los hábitos del paciente, las propiedades bio- mecánicas de los materiales restauradores y las consideraciones estéticas.
Para los autores, Endocrown* puede definirse como: La restauración coronaria, total o parcial, de un diente posterior endodónticamente tratado, con remanente dentario coronario, mediante un material procesado en forma indirecta, anclado en la cámara pulpar, recubriendo siempre la superficie oclusal y adherido a la estructura dentaria.
* ( Nota: Los autores decidieron utilizar la palabra en inglés, pues su traducción al español no abarcaría todos los contenidos de los términos de la definición antedicha).
Tres materiales restauradores y tres cementos resinosos fueron utilizados.
El aislamiento con dique de goma es imprescindible en el cementado de la restauración. Siguiendo las indicaciones del fabricante, después de instalar el EC, se removieron los excesos de cemento mediante hilo dental o cepillitos descartables. Siempre manteniendo en posición la restauración, se fotopolimerizó en forma alternada en vestibular, lingual o palatino, oclusal y superficies interproximales, hasta completar 40 a 60 segundos en cada sector. Previo a la finalización de esta etapa, los márgenes de la restauración fueron recubiertos con un gel translúcido de glicerina, para evitar la formación de una capa inhibida de polimerizar por la presencia de oxígeno. Una unidad de curado con una luz halógena de cuarzo-tungsteno fue utilizada hasta el año 2002 y posteriormente una unidad LED (luz emitida por diodos). Un meticuloso control funcional de la oclusión fue llevado a cabo antes del pulido final.
Las variables evaluadas fueron: edad, género, período de asistencia al consultorio, preparación dentaria, material restaurador, cemento resinoso, calidad y longevidad de las restauraciones, hábitos parafuncionales, distribución en las arcadas dentarias, recidiva de caries y terapia de mantenimiento.
Debido al número de la muestra, los métodos estadísticos inferenciales no podían usarse. Por lo tanto, se aplicaron métodos estadísticos descriptivos.
La muestra estuvo constituida por 9 mujeres y 2 hombres, en una relación de 4.5 mujeres/ hombres. La edad media fue 52 años y 8 meses en mujeres (rango: 27 a 75) y 67 años en hombres (rango: 65 a 79).
El tiempo durante el cual los pacientes fueron atendidos en el consultorio, varió de 7 a 43 años. El promedio fue de 18 años, 1 mes.
Al momento del examen, 10 (90.9%) EC estaban en función en 10 pacientes. Un molar 26, restaurado con EC, se perdió por enfermedad periodontal después de 12 años y 9 meses en función. Ninguna restauración se desprendió, no hubo recidiva de caries y al examen radiográfico no se observaron lesiones patológicas en los 10 DPET en función (Figs. 1a,1d; 2c; 3c,3d; 4c).

Situación inicial en #26. La raíz distovestibular debe ser amputada.

Preparación dentaria para EC en #26

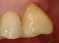
EC en #26 a los 9 años (Gradia).

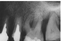
Control radiográfico a los 9 años

Preparación dentaria para EC en #34.

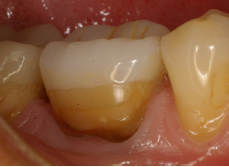
EC en #34 a los 19 años (IPS-Empress). El ionómero de vidrio en gingival tiene una longevidad de 23 años y debe repararse.

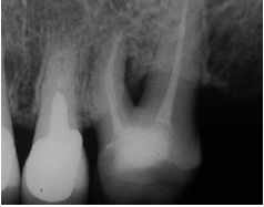
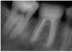
Control radiográfico a los 19 años.

Preparación dentaria en #36 para EC. Un chamfer fue realizado en la pared vestibular.

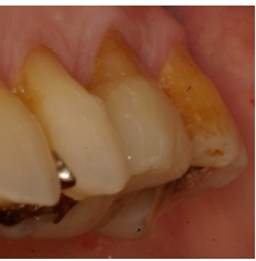
EC en #36 después de 18 años (IPS-Empress). Obsérvense las facetas de desgaste parafuncionales, la recesión gingival y la lesión cervical no-cariosa. Esta paciente se negó a usar placa de estabilización nocturna.

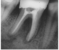
Radiografía final del tratamiento endodóntico

Control radiográfico a los 18 años

Preparación dentaria en #26 para EC. Obsérvese el chamfer en. vestibular, distal y palatino

EC en #26 a los10 años (IPS-Empress).

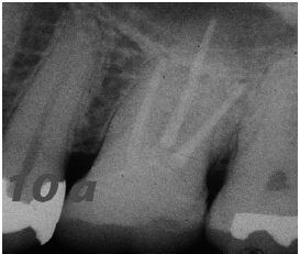
Control radiográfico a los 10 años..
Tres EC habían sido instalados en molares superiores, 5 en molares inferiores y 2 en premolares inferiores, observándose una relación 4.0 molares/premolares (Tabla 2)..
Por su parte, la sobrevida media observada de los 10 DPET en función fue de 12 años, 3 meses. El patrón de desvío estandar fue 3años y 11 meses (95% CI, 2 años y 10 meses – 6 años y 5 meses).
Dos pequeñas fracturas en crestas marginales distales fueron pulidas, sin afectar la restauración. El Éxito Clínico, relacionado a la calidad de las restauraciones, fue Excelente, 5 (50%), Bueno, 4 (40%) y Sobrevida Funcional, 1(10%) (Tabla 2).

Endocrown: ubicación del diente, preparación dentaria y tipo de restauración, material restaurador, tipo de cemento, Éxito Clínico, longevidad (ON=onlay; MO= mesio-oclusal; DO= disto-oclusal; MODV= mesio-ocluso-disto-vestibular; MODVP= mesio-ocluso-disto-vestíbulo-palatino; a=años; m=meses; long.= longevidad).
Por otra parte, 2 pacientes asintomáticos presentaron facetas de desgaste parafuncionales (la actividad no fue evaluada) y 5 estaban usando placas nocturnas de estabilización debido a bruxismo o Desórdenes Témporo- Mandibulares (DTM). Si estos dos grupos de pacientes se consideraran juntos, 7 (70%) de los 10 pacientes en el período observado, tenían o habían tenido historia de parafunción. Cinco pacientes (50%), concurrieron a la terapia de mantenimiento una vez al año como mínimo.
No existe evidencia científica suficiente respecto al comportamiento clínico de los Endocrowns. Estudios clínicos longitudinales de EC son escasos. Lander y Dietschi (7) presentaron 2 casos exitosos en 3 años; Biacchi y cols. (8) 1 caso en 3 años y Fages y Bennasar (9) un caso sin seguimiento. Después de un año, Otto (10) encontró que en 10 EC, la calificación de Bravo en Adaptación Marginal se incrementó de 30% a 55%. Por su parte, Bernhart y cols.(11), en 20 EC, en 2 años, tuvieron 90% de éxito. En el presente trabajo, 90.9% (10) EC permanecían en función con una sobrevida media observada de 12 años y 3 meses. Considerando la calidad de las restauraciones, el Éxito Clínico fue de 90%.
Estos resultados fueron mejores que los de cuatro artículos revisados (7,8,9,10) y podrían ser similares o mejores que los de Bernhart et al(11), teniendo en cuenta el alto porcentaje de fallas observadas en sólo dos años.
Por otra parte, Otto y Mörmann (12), en 25 EC, presentaron un éxito de 90.5% en molares y 76% en premolares, a los 12 años, mientras que Bindl y cols. (13) en un estudio prospectivo a 7 años de 86 EC (70 en molares y 16 en premolares), el éxito fue de 80% y 68.8% respectivamente. Los autores concluyeron que los EC serían inadecuados para usar en premolares.
La relación molar/premolar en el presente estudio, fue similar a Otto y Mörman (12) y Bindl y cols. (13). Por lo tanto, la ubicación en las arcadas dentarias de los EC, no habría influenciado los resultados clínicos. Además, en la presente investigación, 90.9% de EC estaban en función, resultado similar a Otto y Mörmann (12) y superior al de Bindl y cols.(13), en el que hubieron además 14 desprendimientos de EC y ninguno en el presente trabajo.
Los resultados clínicos en este estudio fueron mejores o similares que los artículos revisados (7,8,9,10,11,12,13). Sin embargo, la diferencia en los tamaños de las muestras, entre los dos últimos artículos referidos (12,13) y este trabajo, podría constituir una limitación en las comparaciones hechas entre ellos.
Los resultados de este estudio, mostraron un patrón de desvío estandar de 3 años y 11 meses (95% CI, 2 años y 10 meses - 6 años y 5 meses). Por su parte, varios estudios clínicos, concluyeron que el remanente coronario es el factor más importante en el éxito clínico del DET (18,19,20,21). Por lo tanto, un criterio conservador es esencial en la preparación dentaria para un EC. Toda la superficie oclusal debe ser cubierta por la restauración, teniendo en cuenta la función oclusal del paciente. Los onlays transmiten fundamentalmente, fuerzas compresivas en la interfase adhesiva restauracióndiente, mejorando el comportamiento biomecánico (22,23,24). Para este procedimiento restaurador fue sugerido un espesor oclusal de 3 mm. (25) y aumentando el mismo la resistencia a la fractura sería más alta (26). Además. si las paredes vestibular y/o palatina o lingual, tienen un espesor mayor de 2.0 mm., un chamfer de 1.2 mm. en oclusal de estas paredes, podrían tener un efecto zuncho o abrazadera, aumentando la resistencia a la fractura de los dientes y la retención de la restauración (Figs. 3a, 4a).
Las paredes internas de la corona dentaria y de la cámara pulpar, deben tener una divergencia hacia oclusal mayor de 60 y si presentan depresiones o zonas retentivas, deben rellenarse con cemento de ionómero de vidrio. El operador, dispensa una fina capa del mismo cemento en el piso cameral. En este estudio cuatro preparaciones tenían 3 paredes coronarias (Figs. 1b, 2a), cuadro 2 paredes (Fig. 3a) y en 2, las restauraciones abarcaban 4 paredes coronarias.
Los autores de este trabajo, consideran que extender la preparación a la cara vestibular está condicionada por requerimientos estéticos o reducidas dimensiones de la misma. En esta situación clínica (Fig. 4a), una reducción axial de 1.2 mm. de la pared vestibular fue suficiente. En vestibular, distal y palatino, el borde cavo de la preparación se definió en forma de chamfer. Estos criterios no concuerdan con la reducción total de la corona dentaria, propuesta por Fages y Benassar (9).
Por otra parte, cuando deban realizarse cajas proximales, se deben seguir los protocolos establecidos para inlays/onlays de cerámicas adheridas (27,28). En este sentido, los autores discrepan con la propuesta de Rocca y Krejci (29) que restauran parcialmente dichas superficies con resinas compuestas directas fotopolimerizables, aumentando el número de interfases y reduciendo la superficie de adhesión para el EC.
Por lo tanto, los criterios discutidos en las preparaciones dentarias y la presencia y preservación de las estructuras dentarias remanentes por parte del operador, pudieron haber influido favorablemente en los resultados clínicos de este estudio.
Además, estudios recientes de laboratorio han demostrado: 1) que los dientes restaurados con EC, fueron potencialmente más resistentes a la fractura que los rehabilitados con postes de fibra (30,31) o tuvieron similar resistencia a la fractura (32,33,34,35,36); 2) que al eliminar el uso de postes, se reduce el número de interfases adhesivas, por lo que la restauración sería menos susceptible a la degradación de la capa híbrida (8); 3) que los EC realizados con resinas nanocerámicas, podrían tener mejor resistencia y modo de fractura pero mayor microfiltración (37), comparados con algunos bloques cerámicos.
Mientras, en estudios clínicos y de laboratorio, los cementos resinosos de polimerización química y dual, tuvieron un mejor comportamiento que los fotopolimerizables y los de autograbado (38,39,40,41,42,43,44). Sin embargo, utilizando unidades de curado LED de alta potencia y aumentando el tiempo de exposición, a través de materiales cerámicos con diferentes espesores, recientes investigaciones de laboratorio han encontrado mayor grado de conversión y después de 24 horas, mayores valores de microdureza, en cementos resinosos fotopolimerizables y duales (45,46). Por lo tanto, los procedimientos clínicos y los cementos utilizados, pudieron haber influido en el Éxito Clínico obtenido (90%) (Figs. 1c, 2b, 3b, 4b).
En una publicación reciente (47), el bruxismo fue estadísticamente el factor de mayor riesgo de fracturas en DET. En esta investigación, 7 pacientes (70%) tenían o habían tenido historia de parafunción, lo que está en relativa concordancia con estudios epidemiológicos de bruxismo y DTM (48,49). Pero en el trabajo de Bindl y cols. (13), los pacientes con historia de DTM fueron excluidos de la muestra, lo que pudo haber mejorado los resultados clínicos del mismo.
Considerando al género como variable, los hombres desarrollan fuerzas más intensas que las mujeres, incrementándose la diferencia cuando existen hábitos parafuncionales (50). En este estudio, la relación fue de 4.5 mujeres por hombre, por lo que el género pudo haber favorecido los resultados clínicos.
No hubo recidivas de caries en esta investigación. Este resultado pudo deberse, a que cada paciente fue inscripto en un Plan Preventivo Integral, se diagnosticó el riesgo de caries individual y se estableció una terapia de mantenimiento de acuerdo a este último. A pesar de esto, sólo el 50% de los pacientes concurrieron a controlarse, al menos una vez al año. Las variables edad, material restaurador y terapia de mantenimiento, no pudieron ser evaluadas en este trabajo, debido al tamaño de la muestra y a que hubo una sola falla.
Por lo tanto, Endocrown puede ser considerado como un procedimiento restaurador conservador, fácil y rápido de realizar, estético y funcional en DPET, principalmente en molares. Estaría indicado en casi todos los casos, especialmente en coronas cortas y en raíces delgadas o calcificadas. Está contraindicado cuando el espesor de la pared a nivel cervical es menor de 2mm.(9).
Por otra parte, la longevidad de las restauraciones posteriores, depende de factores relacionados con el material, el paciente y el operador (51,52). En el presente trabajo todos los Endocrown fueron realizados por un experimentado operador, lo que pudo haber mejorado los resultados clínicos de este estudio.
En función del muy buen Éxito Clínico y dentro de las limitaciones de este estudio, se podría concluir que Endocrown es un procedimiento técnicamente sensible, conservador y estético, para restaurar dientes posteriores endodónticamente tratados, principalmente molares, con muy buen resultado biomecánico y funcional y una longevidad muy aceptable. A pesar de la pequeña muestra, los resultados destacan que varios factores deben ser considerados, para alcanzar un excelente éxito clínico.
Futuras investigaciones deberían realizarse, para determinar el éxito clínico a largo plazo, de muestras más grandes de Endocrown con diferentes materiales.

Criterios de Ryge 16 modificados

Situación inicial en #26. La raíz distovestibular debe ser amputada.

Preparación dentaria para EC en #26

EC en #26 a los 9 años (Gradia).

Control radiográfico a los 9 años

Preparación dentaria para EC en #34.

EC en #34 a los 19 años (IPS-Empress). El ionómero de vidrio en gingival tiene una longevidad de 23 años y debe repararse.

Control radiográfico a los 19 años.

Preparación dentaria en #36 para EC. Un chamfer fue realizado en la pared vestibular.

EC en #36 después de 18 años (IPS-Empress). Obsérvense las facetas de desgaste parafuncionales, la recesión gingival y la lesión cervical no-cariosa. Esta paciente se negó a usar placa de estabilización nocturna.

Radiografía final del tratamiento endodóntico

Control radiográfico a los 18 años

Preparación dentaria en #26 para EC. Obsérvese el chamfer en. vestibular, distal y palatino

EC en #26 a los10 años (IPS-Empress).

Control radiográfico a los 10 años..

Endocrown: ubicación del diente, preparación dentaria y tipo de restauración, material restaurador, tipo de cemento, Éxito Clínico, longevidad (ON=onlay; MO= mesio-oclusal; DO= disto-oclusal; MODV= mesio-ocluso-disto-vestibular; MODVP= mesio-ocluso-disto-vestíbulo-palatino; a=años; m=meses; long.= longevidad).