Casos Clínicos

Recepción: 09/06/2015
Aprobación: 18 Febrero 2016
Resumen: El Mucocele del seno maxilar es una formación quística benigna originada en el interior del mismo, limitado por un epitelio (mucosa sinusal) con un contenido de moco. Es una patología poco frecuente que puede causar grandes dificultades a la hora de resolver su terapéutica, sobre todo en aquellos casos que invaden la órbita llevando a una exoftalmia. El presente estudio reporta el caso de un mucocele de seno maxilar derecho, en una paciente de sexo femenino de 68 años. Al examen clínico se visualizaba una deformación por vestibular desde el área de la pieza dentaria 12 a la 16. Al examen imagenológico se observaba el seno maxilar ocupado con límites cercanos a la órbita. Se realizó una biopsia exéresis, con resultado histopatológico de Mucocele de seno maxilar. Se discute su presentación y tratamiento clásico.
Palabras clave: seno maxilar, mucocele, CaldwellLuc.
Abstract: Maxillary sinus mucocele is a benign cyst formation that originates within the sinus and is lined by epithelium (sinus mucosa) containing mucus. It is a rare condition for which it might be very difficult to find a suitable therapeutic approach, especially when it involves the orbit, leading to exophthalmos.This study reports the case of a right maxillary sinus mucocele in a 68-year-old female patient. Through clinical examination, vestibular deformation from tooth 12 to tooth 16 was determined. Radiologic examination showed that the maxillary sinus was affected, with borders near the orbit. An excision biopsy was performed, which showed histopathological findings of maxillary sinus mucocele. Presentation and classic treatment are discussed.
Keywords: maxillary sinus, mucocele, Caldwell Luc.
Introducción
El Mucocele del maxilar es una formación quística benigna originada en el interior de unos de los senos paranasales, limitado por epitelio (mucosa sinusal) con un contenido de moco, debido a la acumulación progresiva del mismo. Presenta un crecimiento lentamente expansivo con inicio asintomático. El desarrollo se vincula a la obstrucción del ostium del seno maxilar y/o senos paranasales por sinusitis crónica, pólipos, tumores óseos, trauma o luego de intervenciones quirúrgicas (1, 2). El moco por lo general es aséptico y de consistencia espesa (1). El Mucocele de seno maxilar se produce por la obstrucción del ostium de drenaje o por un compartimiento de un seno tabicado. La pared de la lesión corresponde a la membrana sinusal y el seno maxilar se expande, dando lugar a la remodelación de sus paredes óseas (1, 2). Clínicamente puede presentarse con tumefación de la mejilla, diplopía y problemas dentales, generalmente sin dolor que cuando existe indica la presencia de un mucocele infectado (3). El desarrollo del mucocele es gradual, con una mayor incidencia entre la tercera y cuarta década de la vida, no se ha reportado una predilección de género (4, 5). Cuando se produce el cierre del ostium por un tiempo prolongado, sin posibilidad de aireación y drenaje, el moco se acumula paulatinamente y por presión produce una dilatación progresiva del mismo, pudiendo desencadenar a largo plazo una deformación y destrucción ósea. La expansión se produce por el sitio de menor resistencia, siendo en el seno maxilar en general su pared medial y posterior (4). Los Mucoceles de los senos maxilares son excepcionales, su prevalencia varía entre el 3 al 10%
(6) y frecuentemente son secundarios a bridas cicatriciales debidas a intervenciones anteriores (tipo Cadwell-Luc) (7-9). Un paciente sometido a una intervención de seno maxilar puede desarrollar un tabique fibroso entre los márgenes laterales del defecto quirúrgico, en la pared sinusal anterior y en la pared sinusal posterior. Si adquiere un tamaño suficiente puede extenderse al cuerpo del cigoma y aparecer en la mejilla como una masa de tejido blando o progresar a la región ínferolateral de la órbita (11).
Caso clínico. Paciente de 68 años, sexo femenino que consulta en el Servicio de Urgencia de la Facultad de Odontología, Udelar, por tumefacción en zona geniana alta derecha y dolor moderado. Se realiza drenaje intraoral en la zona vestibular a la altura de la pieza dentaria 13 y se indica medicación antibiótica (Amoxicilina 875 mg. cada 8 hs.). La paciente es derivada a la Clínica Quirúrgica Bucomaxilofacial III presentando persistencia de la tumefacción pero sin dolor. Como antecedentes médicos la paciente es hipertensa controlada pero no compensada y con hipercolesterolemia. Es portadora de prótesis completa superior e inferior. Al examen clínico facial se observa deformación del lado derecho de la cara con borramiento del surco naso geniano (Fig.1). Al examen intraoral, en la zona del cuadrante superior derecho presenta ambas corticales deformadas por vestibular, abarcando desde la pieza dentaria 12 hasta la 16 que se extiende hasta el fondo de surco, coincidiendo con el flanco interno derecho de la prótesis superior, realizada hace veinte meses. Cabe destacar que la mucosa que recubre la zona y el reborde son de características normales en cuanto al color y libre de lesiones (Fig. 2). A la palpación, la deformación se presenta dura y firme tanto por vestibular como por palatino. En dicha maniobra se constata un pequeño drenaje coincidente con el tratamiento efectuado previamente en el Servicio de Urgencia.


Se establece como diagnóstico clínico: quiste residual y como diagnóstico diferencial: quiste del desarrollo, tumor odontogénico y no odontogénico y mucocele. Se realizan radiografías periapicales, oclusal, teleradiografía de frente con incidencia de Waters y una ortopantomografía. Del conjunto se hace la siguiente lectura: lesión corticalizada con una extensión promedio de entre 25 mm. de alto y 35 mm. de largo, dividida la misma por un tabique. En la porción más posterior existe una ligera fenestración en el piso del seno maxilar. Se constata también un elemento radiopaco a la altura de la pieza dentaria 13 rodeado por un halo radiolúcido nítido (Fig. 3).

A efectos del diagnóstico y plan de tratamiento se indica una Tomografía Computada (TC), examen realizado a través de adquisición de haz cónico único de rayos X, donde se corroboran las medidas de la lesión de 40.2 mm. en sentido ántero posterior por 30.1mm en sentido vertical. En todos los cortes tomográficos se observa que el seno maxilar derecho está ocupado por una lesión, con un tabicamiento a la altura del 13, que no deforma la pared nasal del seno maxilar (Figs. 4, 5).


El diagnóstico radiológico inicial fue de quiste residual y el diagnóstico diferencial de Mucocele. Como plan de tratamiento se indica: valoración médica previa de la paciente dado sus antecedentes médicos, abordaje de la lesión bajo anestesia local para realizar una biopsia incisional y exploración quirúrgica y/o eventualmente biopsia excisional.
Procedimiento quirúrgico. Mediante la anestesia local correspondiente se procede a realizar una incisión crestal desde la zona tuberosal hasta cerca de la línea media, con una incisión relajante a ese nivel. Previamente a la misma se hizo una punción exploratoria dando como resultado la extracción de un contenido tipo muco purulento. Se elevó un colgajo de espesor total desde adelante hacia atrás, observándose en la zona posterior una fenestración ósea por donde drena abundante contenido mucopurulento (Fig. 6).

Se procede a hacer ostectomía con instrumental rotatorio y abundante irrigación con suero fisiológico, con la finalidad de agrandar la fenestración para facilitar la visibilidad. Con curetas de elevación sinusal se realiza la eliminación total de la lesión mediante la técnica de enucleación y curetaje, procediendo luego a hacer la exéresis del tabique óseo que divide dicha patología (Figs. 7, 8, 9). Por último se realizó un cierre mediante sutura continua con nylon 5 cero (Fig. 10).

En el post operatorio se indica Amoxicilina 500 mg. cada 8 horas durante 10 días, Ibuprofeno como analgésico y antiinflamatorio a razón de un comprimido de 400 mg. cada 6 horas durante un período de 48 a 72 horas. Como no se realizó contrabertura en el meato inferior se le prescribió gotas nasales con vasoconstrictor para mantener permeable el ostium, facilitando de esa manera el drenaje hasta darle el alta al paciente. A los diez días se retiró la sutura, controlando la evolución cada semana por un período de 2 meses (Fig. 11).




Informe anátomo patológico: Examen Macroscópico: Pieza redondeada de 15x15x4 mm. blanda, blanquecina, al corte contenido sólido gelatinoso amorfo, la membrana externa es fina de 1mm. (Fig. 12).

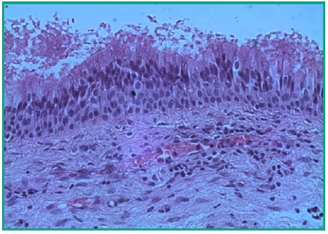
Examen Microscópico: Cavidad quística revestida por membrana fina constituída por epitelio seudoestratificado cilíndrico ciliado (mucosa sinusal), que alterna con zonas de hiperplasia, respaldada por un tejido conectivo fibroso, con zonas edematosas, con abundantes capilares algunos de ellos congestivos y exudados inflamatorios mixtos. El contenido es eosinófilo amorfo con células inflamatorias (linfocitos y plasmocitos) dispersas en un material mucoso (Figs. 13, 14).


Discusión
El Mucocele de seno maxilar clínicamente puede presentarse con abultamiento de la mejilla, diplopía y problemas dentarios, aunque típicamente sin dolor (3). En las fases tempranas el diagnóstico es casual, casi exclusivamente al realizar una Tomografía Computarizada de senos paranasales (12). La Tomografía tipo ConeBean (T.C.B.) describe a los mucoceles como una masa homogénea, hipodensa e isodensa como se ve en una T.C. de cerebro (13) y típicamente muestra un contorno redondeado a nivel óseo (13-16) no siendo necesario la inyección de un medio de contraste para su diagnóstico. El detalle óseo es una ventaja añadida de la T.C.B. (15-17) ya que un seno maxilar radio opaco, sin erosión ósea, invita al diagnóstico de sinusitis, pólipos y quistes de retención antrales (18).El Mucocele de seno maxilar típico, opacifica por completo el antro y expande la cavidad sinusal (10). En la fase temprana no se puede diferenciar un seno con obstrucción transitoria lleno de moco, de un seno similar obstruido, con formación posterior de un mucocele. El diagnóstico definitivo sólo puede establecerse cuando existe expansión sinusal (12, 19). Con expansión y destrucción ósea, el diagnóstico diferencial incluye las condiciones malignas como el carcinoma adenoide quístico, plasmocitoma, rabdomiosarcoma, linfoma,schwannoma y tumores de origen dental (14). Tradicionalmente la erosión ósea no se asocia con el mucocoele de seno maxilar. En nuestro paciente había producido el adelgazamiento de las pared posterior y medial del antro maxilar tal cual lo describe la literatura consultada (4) con una pérdida ósea a la altura de la zona de la pieza 16. Sostenemos que un gran mucocele puede causar erosión ósea, pero la naturaleza homogénea de la lesión maxilar junto con la conservación de los planos mucosos adyacentes al hueso erosionado, revela la naturaleza benigna de la enfermedad. Histológicamente, el mucocele de seno maxilar está limitado por una cápsula epitelio-conectiva, constituida por mucosa respiratoria normal (epitelio seudoestratificado cilíndrico ciliado), el corion subyacente presenta fibrosis e inflamación crónica. Es raro encontrar epitelio escamoso metaplásico, siendo la mucosa respiratoria ciliada el revestimiento más frecuente (19-21). Para explicar los mecanismos responsables de la formación y crecimiento del mucocele, se han propuesto muchas teorías incluyendo la degeneración quística de una glándula seromucosa, aunque los análisis histopatológicos y moleculares realizados por Lund et al. (22, 23), analizan un proceso dinámico de resorción ósea, en el que la inflamación interviene mediante las citoquinas que actúan entre el hueso y epitelio, con la producción de prostaglandinas, las cuales desempeñan un papel crucial en su desarrollo junto con la obstrucción sinusal. A su vez los Mucoceles pueden ser el resultado de un trauma facial o cirugía previa pudiendo producir áreas compartimentadas como presentaba la paciente de referencia (8). En el caso que nos ocupa no se tenía certeza del diagnóstico, por lo que inicialmente se planificó la biopsia incisional y cuando se hizo el abordaje y se certificó la benignidad clínica de la lesión, se procedió a la exéresis total de la misma, sin contrabertura nasal a nivel del meato inferior como se indica para este tipo de tratamiento y por ese motivo se indicó gotas nasales para mantener permeable el ostium. Como complemento del tratamiento quirúrgico se prescribió Amoxicilina en dosis de 500 mg. cada 8 hrs. por un período no menor a 7 días, y como analgésico Ibuprofeno en dosis de 400 mg. cada 6 hrs. por un tiempo mínimo de 48 horas. La evolución fue favorable a corto plazo, con un seguimiento de dos meses.
Conclusiones
El Mucocele de seno maxilar es una formación quística benigna, originada en el interior de del seno, limitado por una membrana quística constituida por epitelio seudoestratificado cilíndrico ciliado (mucosa sinusal) y tejido conjuntivo, con contenido de moco. Se produce principalmente por la obstrucción del orificio sinusal (ostium). Imagenológicamente se presenta con aspecto hipodenso con un halo tenue, de contornos frecuentemente semilunares con base de partida de los senos paranasales, y con una tendencia expansiva delimitada con márgenes óseos adelgazados. El tratamiento recomendado para los mucoceles del seno maxilar sin extensión es la evacuación endoscópica con amplia antrostomía del meato medio. Asimismo, puede ser necesario un enfoque quirúrgico tipo CaldwellLuc para aquellos casos con extensión a los tejidos blandos de la cara, fosa pterigomaxilar o cuando no han sido satisfactoriamente evacuados por la cirugía endoscópica de los senos maxilares (24).
Referencias
1. Costan VV, Popescu E, Stratulat SI. A new approach to cosmetic/esthetic maxillofacialsurgery: surgicaltreatment of unilateral exophthalmosdue to maxillarysinusmucocele J CraniofacSurg. 2013 May; 24(3): 914–916.
2. Mohan S. Frontal Sinus Mucocele with Intracranial and Intraorbital Extension: A Case Report.J Maxillofac Oral Surg [en línea] 2012; 11(3):337–339. Citado 16 febrero 2016. Disponible en: http://www.ncbi.nlm.nih.gov/pmc/articles/PMC3428446/
3. Mendelsohn DB, Glass RBJ, Hertzanu Y. Giant maxillary antralmucocele. J LaryngolOtol. 1984; 98:305–310.
4. Fu CH, Chang KP, and Lee TJ. The difference in anatomical and invasive characteristics between primary and secondary para-nasal sinus mucoceles. Otolaryngol Head Neck Surg 2007; 136:621–625.
5. Stiernberg CM, Bailey BJ, Calhoun KH, Quinn FB. Management of invasive frontoethmoidal sinus mucoceles. Arch Otolaryngol Head Neck Surg1986;112:1060– 1063.
6. Natvig K, Larsen TE. Mucocele of the paranasal sinuses-a retrospective clinical and histological study. J LaryngolOtol1978; 2:1075–1082.
7. Garg AK, Mugnolo GM, Sasken H. Maxillary antralmucocele and its relevance for maxillary sinus augmentation grafting: a case report. Int J Oral Maxillofac Implants 2000; 15(2):287-90.
8. Hasegawa M, KuroishikawaY.Protrusion of postoperative maxillary sinus mucocele into the orbit: case reports.Ear Nose ThroatJ1993; Nov,72(11):752-4.
9. Tuli I, Pal I, Chakraborty S, Sengupta S. Persistent deciduous molar as an etiology for a maxillary sinus mucocele. Indian J Otolaryngol Head NeckSurg [en línea] 2011; 63(Suppl 1): 6-8. Citado 16 febrero 2016. Disponible en: http://www.ncbi.nlm.nih.gov/pmc/articles/PMC3146690/
10. Som PM, Curtin HD. Head and neck imaging. 4ed. v1. St. Louis: Mosby: Mosby, p204–230.
11. Bilnuk LT, Zimmerman RA. Computer assisted tomography: sinus lesions with orbital involvement. Head Neck Surg 1980; 2(4): 293–301.
12. Som PM, Curtin HD. Head and neck imaging. 4ed. v1. St. Louis: Mosby: Mosby, 838–840.
13. Trimarchi M, Bertazzoni G, Bussi M. Endoscopic Treatment of Frontal Sinus Mucoceles with Lateral Extension. Indian J Otolaryngol Head NeckSurg [en línea] 2013;65(2):151–156. Citado 16 febrero 2016. Disponible en: http://www.ncbi.nlm.nih.gov/pmc/articles/PMC3649028/
14. Mendelsohn DB, Glass RBJ, Hertzanu Y. Giant maxillary antralmucocele. J Laryngol Otol1984;98:305–310.
15. Garg AK, Mugnolo GM, Sasken H. Maxillary antralmucocele and its relevance for maxillary sinus augmentation grafting: a case report. Int J Oral Maxillofac Implants 2000; 15(2):287-90.
16. SujaSreedharan, M. P. Kamath, Mahesh Chandra Hegde, KiranBhojwani ,Arathi Alva, C. WaheedaIndian. Giant Mucococele of the Maxillary Antrum: A Case Report. J Otolaryngol Head Neck Surg [en línea] 2011;63(1):87–88. Citado 16 febrero 2016.
17. Busaba NY, Salman SD. Maxillary sinus mucoceles: clinical presentation and long-term results of endoscopic surgical treatment. Laryngoscope 1999;109:1446–1449.
18. Lloyd G, Lund VJ, Savy L, Howard D. Optimum imaging for mucoceles. J Laryngol Otol 2000;114(3):233–236.
19. Har-El G. Endoscopic management of 108 sinus mucoceles. Laryngoscope 2001; 111:2131–2134.
20. Weitzel EK, Hollier LH, Calzada G, Manolidis S. Single stage management of complex fronto-orbital mucoceles. J Craniofacial Surg2002;13:739–745.
21. Stankiewicz JA, Newell DJ, and Park AH. Complications of inflammatory diseases of the sinuses. OtolaryngolClin North Am1993; 26:639–655.
22. Lund VJ, Henderson B, Song Y. Involvement of cytokines and vascular adhesion receptors in the pathology of fronto-ethmoidalmucoceles. Acta Otolaryngol 1993; 113:540–546.
23. Lund VJ, Milroy CM. Fronto-ethmoidalmucoceles: a histopathological analysis. J LaryngolOtol1991;105:921–923.
24. Bockmuhl U, Kratzsch B, Benda K, Draf W. Surgery for paranasal sinus mucoceles: efficacy of endonasal micro-endoscopic management and long term results of 185 patients. Rhinology2006;44:62–67.
Notas