Actualización
Recepción: 05 Abril 2016
Aprobación: 21 Febrero 2017
Resumen: Esta revisión analiza el manejo de caries dentinaria profunda, considerando los eventos histiofisiológicos y biomoleculares del complejo dentino pulpar en dientes permanentes. Se destacan recursos clínicos para evaluar el grado de progresión de la lesión y guiar la remoción de caries. Se describen la Protección Pulpar Indirecta, la Técnica de eliminación de caries en etapas y la Remoción parcial de caries presentando casos clínicos realizados en Clínica Integrada II de la Facultad de Odontología Universidad de la República (Uruguay), con sus seguimientos. Estos tratamientos sencillos y de bajo costo, al alcance de todos los clínicos, disminuyen significativamente las exposiciones pulpares. El éxito de estas acciones terapéuticas depende de una adecuada selección del caso, de la integridad de la restauración y del seguimiento dentro de un plan preventivo integral.
Palabras clave: dentina fisiología, caries dental/terapia, remineralización dental..
Introducción
A pesar de la aplicación de estrategias preventivas, aún es alta la incidencia de caries en Latinoamérica1. Hace algunas décadas que los tratamientos de caries profunda se orientan considerando la biología del complejo dentino- pulpar, sus mecanismos defensivos y la etiopatogenia del proceso carioso, aplicando procedimientos terapéuticos cada vez menos invasivos. Disminuyen significativamente el número de exposiciones si se realizan en un plan preventivo e integral de acuerdo a los factores de riesgo de cada paciente.
El objetivo de esta revisión es analizar los eventos histofisiológicos, biomoleculares y clínicos y transmitir la importancia de las actuales acciones terapéuticas de amplia cobertura, bajo costo y de gran valor biológico.
Revisión
Se realizó la búsqueda bibliográfica en las siguientes bases de datos: Pubmed, Scopus, Odont (Biblioteca Facultad de Odontología UdelaR), Biblioteca Virtual de Salud, PortalTimbo, Cochrane Library.
El dominio de la Histiofisiología, Biología molecular y mecanismos defensivos ayudará a seleccionar las acciones terapéuticas más adecuadas y comprender los eventos relacionados con la reparación.
Una pulpa joven con abundancia celular y pocas fibras tiene mayor capacidad de defensa.
Varias causas pueden acelerar el proceso de envejecimiento, por lo que un diente joven puede presentar una pulpa envejecida y un diente adulto puede presentar una pulpa activa si sus estructuras se mantienen normales. No es tan importante establecer un límite de edad cronológico para estos tratamientos, sino que se debe evaluar la edad pulpar conjuntamente con la clínica y la lectura radiográfica2.
Protección intrínseca del complejo dentino-pulpar
Se destaca el rol protector del fluido dentinario. Es considerado un ultrafiltrado de la sangre de los capilares pulpares. Contiene glucosaminoglucanos, proteínas de la matriz dentinaria, proteínas plasmáticas como el fibrinógeno, y está saturado de calcio y fósforo. Se destaca su función inmunológica por presentar inmunoglobulinas3. Contiene beta defensinas con propiedades antimicrobianas4. Se pueden encontrar citoquinas, quimiocinas y factor de necrosis tumoral α (TNFα). Las sustancias encontradas no se corresponden totalmente con las del plasma, por lo que la composición del fluido parece estar regulada por los odontoblastos5. Estos últimos funcionan como una capa protectora de la pulpa ya que se comunican por complejos de unión. Esto limita la difusión de componentes tóxicos hacia el tejido pulpar, y el plexo capilar subodontoblástico ayuda a diluir las toxinas. Hay que tener en cuenta que el vasoconstrictor de la anestesia disminuye la circulación pulpar y el fluido dentinario, enlenteciendo la remoción de toxinas y reduciendo la capacidad defensiva del complejo dentino-pulpar3, por lo que si se da anestesia terminal, se aconseja que sea sin vasoconstrictor.
Mecanismos defensivos
Se considera a la matriz dentinaria un reservorio de moléculas bioactivas, entre ellas el factor transformador de crecimiento β (TGF-β) como principal responsable en la formación de esclerosis dentinaria, al interactuar con receptores de membrana de los odontoblastos, disminuyendo la permeabilidad de la dentina frente a la agresión6.
La evidencia actual sugiere que el bajo pH de los ácidos liberados por las bacterias cariogénicas tales como acético o láctico, además de desmineralizar los tejidos duros, activa metaloproteinasas (proteinasas endógenas de la dentina). Esto provoca la degradación de la matriz dentinaria, liberando moléculas bioactivas secuestradas durante la dentinogénesis7. Una vez liberadas envían señales moleculares, estimulando así la formación de dentina terciaria, la cual puede ser reactiva o reparadora.
Si la injuria es moderada, los odontoblastos sobreviven y segregan una matriz de dentina reactiva debajo del sitio de la injuria8. La dentina resultante es similar a la fisiológica y sólo se distingue por un cambio en la dirección de los nuevos túbulos dentinarios3. La fibronectina depositada por los odontoblastos regula la formación de dentina terciaria reactiva.
Los factores de crecimiento actúan como moléculas señalizadoras activando a receptores de superficie de los odontoblastos. Estos adquieren actividad enzimática y disparan vías de transducción de señales, causando la fosforilación de factores de transcripción en el citoplasma o en el núcleo, lo que conduce a una hiperregulación de la actividad génica. Recientemente se ha dado mucho interés a la regulación de la actividad secretora de los odontoblastos para identificar los mecanismos involucrados en la formación de dentina terciaria. Esta actividad está relacionada con los genes y las vías de regulación9.
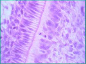
Cuando la injuria es más severa, algunos odontoblastos son destruidos. Se forma dentina de reparación, con menor cantidad de túbulos y más irregulares. Esta es depositada por nuevos odontoblastos derivados de las células de Höhl, consideradas células madre pulpares. Durante la última mitosis de las células mesenquimáticas, la célula en contacto con la membrana basal del epitelio interno se diferencia en odontoblasto, y la subyacente queda como célula de Höhl con el potencial de diferenciarse en células similares a odontoblastos (Fig.1) 10,11.

La cantidad y calidad de la dentina terciaria que se produce está relacionada con la duración e intensidad del estímulo. Cuanto más acentuados sean esos factores, más rápida e irregular será su aposición. En estos casos se depositan hasta 3,5µm diarios de dentina10.
Simultáneamente desde el inicio de la injuria se desencadena a nivel pulpar un mecanismo defensivo inflamatorio inmunitario. Los odontoblastos son los primeros en encontrase con los antígenos y desencadenar una respuesta inmune innata. Presentan receptores tipo Toll (TLR, Toll-like receptors) que reconocen patrones moleculares de antígenos bacterianos. Una vez activados estos receptores, los odontoblastos liberan sustancias que regulan la respuesta inflamatoria e inmunitaria tales como citoquinas proinflamatorias, quimiocinas y péptidos antimicrobianos3,4,12. De esta forma reclutan y estimulan células inmunes, además de destruir directamente bacterias. Dentro de las quimiocinas liberadas está la Interleuquina (IL-8), que actúa con TG-F -β1 liberado desde la matriz dentinaria, lo que produce aumento del número de células dendríticas con liberación de mediadores quimiotácticos3. El siguiente flujo de células del sistema inmune está compuesto por macrófagos, linfocitos y células plasmáticas. A medida que progresa la lesión de caries, aumenta la densidad de células dendríticas. Se distribuyen preferentemente en la región perivascular de la pulpa central y en la región subodontoblástica. Después se extienden dentro de la capa odontoblástica y algunas extienden sus prolongaciones dentro de los túbulos. Capturan los antígenos y luego los presentan a los linfocitos T13. La estrecha relación entre odontoblastos y células dendríticas bajo la caries, hace pensar que pueden tener un papel en la diferenciación de los odontoblastos y/o actividad secretora en la dentinogénesis y mecanismo inmunitario3.
Frente a la injuria del proceso carioso, existen varios mecanismos que regulan la microcirculación pulpar, disminuyendo la presión intrapulpar y restableciendo el flujo sanguíneo.
Además, por la acción de los antígenos bacterianos, las terminaciones nerviosas asociadas a los vasos sanguíneos responden liberando neuropéptidos vasoactivos como sustancia P (SP), péptido relacionado con el gen de la calcitonina (CGRP), péptido intestinal vasoactivo (VIP), lo que pone en marcha la inflamación neurogénica. Esta forma parte del mecanismo defensivo inmunitario. Estos neuropéptidos regulan el flujo sanguíneo aumentando el volumen y permeabilidad vascular en el área afectada. Modulan la respuesta inmune pulpar reclutando células inmunitarias, facilitando los procesos de reparación tisular13. Se ha demostrado que la SP actúa como quimiotáctico y estimulador de macrófagos y linfocitos T14.
Los avances en Biología molecular e Inmunología dan las bases científicas a las nuevas estrategias terapéuticas en el manejo de la caries profunda.
¿Qué se debe valorar en el diagnóstico de caries profunda?
Es importante valorar el grado de progresión de la lesión, si es de avance rápido o lento y su ecosistema, si éste es abierto o cerrado, para guiar la remoción de caries8.
En un ecosistema cerrado las bacterias están protegidas por esmalte, por lo que es una lesión activa de rápida progresión. Si el esmalte se desmorona, el entorno puede cambiar y la placa cariogénica se torna más vulnerable al cepillado, fuerzas masticatorias y otros fenómenos de autolimpieza. Por lo cual cambia favorablemente la ecología microbiana, permitiendo remineralizar la dentina tornándola más dura, oscura y resistente a los ácidos.
Con inadecuadas medidas de higiene, se puede producir caries de progresión rápida en ecosistemas abiertos. La coloración clara y textura blanda muestran que es una caries muy activa, donde hay que actuar rápidamente.
El análisis de color, consistencia y textura refleja diferencias en las moléculas bioactivas de la dentina cariada y en el potencial de reparación pulpar.
Se debe evaluar el estado pulpar. Las acciones terapéuticas que evitan exposición pulpar en caries profunda se indican en pulpitis reversibles15 como Caries profunda pulpa asintomática (CPPA) e Hiperemia16. En la radiografía se puede ver una caries profunda con pulpa amplia, lo que presupone buen potencial de reparación.
Criterios en el manejo de caries profunda
Remover caries en cavidades profundas siempre resulta una maniobra de riesgo que puede eliminar tejido dentinario sano y exponer la pulpa innecesariamente. Actualmente no se ha logrado aún consenso, coexistiendo varios criterios en cuanto a cómo se puede identificar el límite entre el tejido cariado a remover y el tejido a conservar.
Fusayama17 describe 2 zonas en la dentina cariada: la zona externa o dentina infectada imposible de remineralizar y la zona interna o dentina afectada que mantiene su capacidad de remineralización.
Los métodos físicos de diagnóstico o sea el color y la dureza del tejido, si bien se usan actualmente, son muy subjetivos18. La dureza de la dentina varía según la zona, siendo menor en la profundidad. Por lo que la dentina circumpulpar sana puede ser más blanda que algunos valores de dentina cariada. En caries aguda la dentina blanda precede a la invasión bacteriana, lo que puede provocar un desgaste innecesario de tejido sano.
Con respecto al color no hay clara correlación con el grado de infección. La dentina oscura puede corresponder a una infección detenida con bacterias inviables. La dentina desmineralizada puede tornarse oscura por acción extrínseca de la dieta18.
Los métodos químicos son cuestionados por su falta de especificidad. En el año 1963 Turell19 propone el uso de fucsina básica en solución hidroalcohólica. Fusayama, por la amenaza de carcinogenicidad de la fucsina, reformula el detector de caries empleando el rojo ácido al 1% en propilenglicol20. Demuestra que en lesiones agudas de caries, el colorante puede extenderse a dentina sana, ya que el frente de tinción es más profundo que el de invasión bacteriana. En lesiones crónicas, la tinción es superficial con respecto al frente de invasión bacteriano, quedando tejido infectado sin teñir17.
Estudios de Yip y Kidd demuestran que los test colorimétricos tienden a sobreextender la cavidad, especialmente a nivel del límite amelo dentinario y dentina circumpulpar, que son zonas de menor mineralización21,22. Las ramificaciones terminales que conforman el plexo de Fish a nivel del límite amelo dentinario y el mayor diámetro de los túbulos de la dentina circumpulpar, conjuntamente con la presencia de dentina interglobular (Espacios interglobulares de Czermack) hacen que sea una dentina mucho más permeable y menos mineralizada10. En el mercado japonés se desarrolló un nuevo test colorimétrico con polipropilenglicol (PM=300) en lugar de propilenglicol (PM=76) para prevenir excesiva remoción dentinaria, ya que a mayor peso molecular hay menor difusión en tejidos porosos23.
Actualmente en Facultad de Odontología UdelaR se usan productos orgánicos como ácido rojo 52 al 1% con cuidadosa interpretación y breve tiempo de exposición. Se aplica e inmediatamente se elimina con agua.
Teniendo en cuenta las limitaciones de los métodos físicos, químicos, y en base a múltiples estudios microbiológicos, que han demostrado que las lesiones cariosas selladas muestran disminución del número de bacterias, inactivación y detención de su progresión, cambian los conceptos de cómo debería manejarse la caries dentinaria24,25.
Acciones terapéuticas en Caries Profunda
Se describen diferentes estrategias en el manejo de la caries profunda, considerando que los paradigmas han cambiado en esta área.
1. Protección Pulpar Indirecta
Es la protección dentinaria después de una excavación profunda dejando una fina capa de dentina cariada para evitar exponer. Ha recibido diferentes denominaciones. Se la conoce como Protección Pulpar Indirecta26, Recubrimiento Pulpar Indirecto27, Terapia Pulpar Indirecta28, Tratamiento Expectante29, Tratamiento Pulpar Indirecto30,31. También se puede realizar Protección Pulpar Indirecta sobre una fina capa de dentina sana expuesta por traumatismo. Según las escuelas, la Protección Pulpar Indirecta de una fina capa residual de dentina cariada, se puede realizar en 1 sesión sin reabrir o en 2 sesiones reabriendo en 6 a 8 semanas26.
Petrou31 lo denomina Tratamiento Pulpar Indirecto en 1 paso o Tratamiento Pulpar Indirecto en 2 pasos. Bjørndal denomina Stepwise tradicional cuando se protege una fina capa de dentina cariada y se reabre32.
En suma Protección Pulpar Indirecta y Tratamiento Pulpar Indirecto son sinónimos, pudiendo realizarse en una o dos sesiones.
2. Técnica de eliminación de caries en etapas (Stepwise Excavation)
Varios autores se cuestionaron cómo saber cuál es el límite para eliminar caries lo más cerca posible de la pulpa y dejar una fina capa de tejido infectado sin correr riesgo de exposición pulpar32. Por lo que surge la técnica Stepwise Excavation, cuya intención en la primera sesión no es eliminar la mayor cantidad de tejido posible, sino cambiar el entorno cariogénico y la actividad de la lesión32. En la literatura se lo encuentra como Excavación Seriada30, Técnica de eliminación de caries en etapas33, Excavación escalonada de las caries34.
Se realiza en dos etapas clínicas: En la primera se elimina la capa de dentina necrótica superficial, eliminación total de caries de las paredes laterales, sin actuar sobre la pared pulpar, quedando ésta cubierta por dentina blanda, húmeda y altamente infectada. Se coloca apósito medicamentoso y se sella la cavidad.
De dos a seis meses, en la segunda sesión se plantea la reevaluación dentinaria, eliminación total de caries y reconstrucción definitiva con sus seguimientos correspondientes.
3. Remoción parcial de caries
Teniendo en cuenta el gran porcentaje de éxito de estos tratamientos, basados en estudios que muestran que al sellar la cavidad se logra detener el proceso carioso, hay autores que se cuestionan la necesidad de reintervenir25. Señalan que realizar el tratamiento en dos sesiones aumenta el riesgo de exposición pulpar, el costo del tratamiento y es menos confortable. Principalmente si son períodos prolongados hay riesgos de microfiltración, de que el paciente no retorne para terminar el tratamiento y de fractura dentaria, lo que puede hacer fracasar el mismo35.
Ejemplos clínicos
Las acciones terapéuticas anteriormente descritas se contextualizarán en casos abordados por estudiantes de la Clínica Integrada II, adultos, Facultad de Odontología Universidad de la República (UdelaR) y bajo la supervisión directa de docentes de Endodoncia y Operatoria.
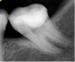
Caso clínico IFig. 2dFig. 2eFig. 2fFig. 2g
En 2013 concurre paciente de sexo femenino de 37 años de edad a la Clínica Integrada II UdelaR por caries profunda en pieza 37 (Fig. 2a). Se diagnostica CPPA ya que solo el test de fresado da positivo. Se planifica eliminación total de caries de paredes laterales con aislación absoluta. Se observa último test colorimétrico con rojo ácido 52 en propilenglicol (Detector, Pharma Dent, Uruguay) dejando fina capa de dentina infectada en pared axial (Fig. 2b) la cual se protege con mezcla de hidróxido de calcio (Ca(OH)2) puro con suero fisiológico y luego encima Ca(OH)2 fraguable (Life, Kerr, USA) (Fig. 2c). Se sella con ionómero vítreo (Gold Label Luting & Lining Cement, Tokyo, Japan).







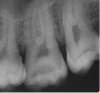
Caso Clínico 2Fig. 3cFig. 3dFig. 3eFig. 3fFigs. 3ghi
En 2011 concurre paciente de sexo masculino, de 22 años, por caries profunda en pieza 38. Radiográficamente se destaca la cercanía de la cavidad cariosa con respecto a la amplia cámara pulpar (Fig. 3a). Se diagnostica CPPA, luego de eliminar la dentina necrótica reblandecida superficial con cucharita de dentina y verificar su vitalidad con test de fresado. En la evaluación dentinaria se constata dentina de color marrón, blanda y húmeda. Se planifica Técnica de eliminación de caries en etapas. La Fig.3b muestra eliminación total de caries de paredes laterales con control colorimétrico sin tocar la pared pulpar.









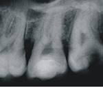
Caso clínico 3Fig. 4dFig. 4eFig. 4fFig. 4gFig. 4hFig. 4iFig. 4j
Paciente de sexo masculino de 23 años, con piezas 27 y 28 con caries profunda, ecosistema cerrado y cámaras amplias en análisis clínico radiográfico (figs. 4a,b). Se plantea tratamiento conservador en 27 y extracción en 28 ya que no ocluye con antagonista. En 27 se abre esmalte socavado, se elimina con cucharita la dentina necrótica reblandecida superficial, constatando ligera sensibilidad sin comunicación. En el análisis dentinario se observa dentina de color amarillo, blanda y húmeda, o sea con las características de una caries muy activa (Fig 4c).










Discusión
En base a la literatura sobre tratamientos conservadores, se analizan eventos histofisiológicos y clínicos que confirman la tendencia de remoción de caries con enfoques más biológicos.
La falta de especificidad de los métodos físicos18 y químicos21,22 para identificar el límite del tejido cariado a remover, los mecanismos defensivos del complejo dentino pulpar, conjuntamente con la detención de la progresión de lesiones cariosas selladas24,25 posibilitan manejar la caries profunda con técnicas menos invasivas, como la Protección Indirecta, la Eliminación de Caries en Etapas y la Remoción Parcial de Caries.
Los diferentes autores coinciden en la eliminación total de caries de paredes laterales. Así se logra mejor acción de los adhesivos, asegurando buen sellado para evitar penetración de nutrientes a las bacterias residuales deteniendo la lesión24,25,35.
Las diferencias se plantean en relación a: cantidad de dentina infectada que se deja en pared pulpar o axial, protector usado, tiempo de espera antes de reintervenir y si es necesario reabrir o no.
En la Protección Pulpar Indirecta se elimina la mayor cantidad posible de dentina infectada en pared pulpar o axial26 mientras que la técnica de Eliminación de Caries en Etapas sólo remueve la dentina necrótica superficial32 Según la revisión bibliográfica se han propuesto variados protectores en los tratamientos de caries profunda, y el más recomendado en estrategias terapéuticas de dos sesiones ha sido el hidróxido de calcio en distintas formulaciones36.
En los casos clínicos presentados en este estudio, al igual que Hasse26 se coloca al final de la primera sesión como apósito medicamentoso, mezcla de Ca(OH)2 puro con suero fisiológico, y sobre el mismo Ca(OH)2 fraguable.
En la reevaluación del piso cavitario en la segunda sesión en todos los casos la dentina se presenta más oscura, dura y seca, en coincidencia con múltiples trabajos publicados27,32,33,34.
Cuando se sella la capa de dentina infectada, se eliminan los nutrientes desde el exterior, quedando las glicoproteínas séricas del fluido dentinario, las que disminuyen con la formación de dentina esclerótica y terciaria, eliminando así también los nutrientes desde el interior37.
Según Bjørndal24 y Maltz25, el análisis microbiológico después de la primera sesión muestra reducción de la flora cariogénica de lactobacilos, estreptococos y predominio de Estreptococos Oralis y Actinomyces Naeslundi, los cuales no están asociados a lesiones activas, confirmando la detención del progreso carioso.
El tiempo de espera antes de reintervenir varía entre 1 a 12 meses. Los partidarios de un período de espera más largo (de 6 meses o mayor) opinan que permite inducir más dentina terciaria y reducir el riesgo de exposición pulpar38. Leksel y cols.(39 en un estudio clínico no encontraron diferencias en la frecuencia de exposiciones entre un grupo reabierto a los dos meses y otro a los seis meses. El éxito de la técnica de eliminación de caries en etapas depende del sellado. El seguimiento es esencial. Si la restauración fracasa y no es detectada a tiempo, la lesión se reactiva y puede llegar a un estado muy avanzado40. Por lo que actualmente reabren a los 2-3 meses, tiempo que se considera adecuado para que el Ca(OH)2 ejerza su efecto dentinogénico sobre el complejo dentino-pulpar.
Maltz en 200225 publica estudio de 32 dientes con caries profunda después de Remoción parcial de caries. Cuestiona la necesidad de reintervenir considerando la detención del progreso carioso clínica, microbiológica y radiográficamente. El tratamiento en dos sesiones aumenta riesgo de: exposición pulpar, microfiltración, fractura dentaria, que el paciente no retorne, y mayor costo25,35.
Algunos autores describen aspectos favorables a la reintervención como ser:
• Poder realizar un control clínico de la reacción del complejo dentino-pulpar verificando la detención de la lesión27,38.
• Poder remover la caries de progresión lenta aún infectada antes de colocar la restauración permanente27,38.
• Tener en cuenta el vacío, descrito por Ricketts en 200140, formado debajo de la restauración por contracción dentinaria (como consecuencia de la detención del proceso carioso). Sin embargo el propio autor en 2006 señala que no hay evidencias claras a favor de la reintervención 41.
Maltz y cols en un estudio clínico de 299 tratamientos, comparan la Remoción parcial de caries con la técnica de Eliminación de caries en etapas. Luego de 3 años de seguimiento, es menor la supervivencia pulpar en la segunda técnica, posiblemente porque los pacientes no retornaron para la segunda sesión42.
Maltz y cols. en 201135 publican seguimiento clínico de 10 años en 32 dientes posteriores con Remoción parcial de caries. A los 3 años de control se obtiene un índice de supervivencia del 90%. A los 5 desciende a 82% y entre los 5 y 10 años de seguimiento baja a 63%. La mayoría de los fracasos ocurrieron en dientes con múltiples superficies restauradas.
Existen dudas sobre el reducido Módulo Elástico de la dentina cariada remanente y su influencia en la integridad de la restauración.
Schwendicke y cols43 en un estudio in vitro de 62 premolares superiores muestran que mantener una pequeña capa de dentina infectada, puede afectar la resistencia a la fractura. Los sistemas adhesivos que funcionan bien para dientes con eliminación total de caries también son buenos para piezas con eliminación parcial de caries, y menciona las resinas reforzadas con fibra como Ever X para aumentar la resistencia a la fractura.
No hay conclusiones definitivas en cuanto a si es mejor realizar tratamiento en 1 o 2 sesiones.
Si bien los casos clínicos presentados en este estudio se realizaron en dos sesiones, el éxito de los mismos y de una amplia casuística realizada en Clínica Integrada II, señala que en determinadas situaciones puede ser innecesario reabrir. Los factores que influyen en esta decisión son: ausencia de dolor previo (hiperemia), evaluación dentinaria y evaluación del remanente. Si se retiró la mayor parte de la dentina cariada, quedando una mínima capa de dentina infectada en que los bordes cavitarios están en esmalte, puede ser innecesario reabrir. Si hay dudas en cuanto a la actividad de la lesión, abarca múltiples superficies y/o presenta margen gingival en dentina, que comprometa el sellado a largo plazo, pudiendo reactivarse, es conveniente reingresar.
En los casos en que se realiza el tratamiento en una sesión, materiales bioactivos como ionómero vítreo, MTA, Biodentine son los que se proponen como base protectora. La bioactividad de estos materiales produce remineralización con el sustrato dentinario subyacente 44 y excelente sellado. Se evita la disolución que se produce al colocar Ca(OH)2 y la ausencia de adhesión del mismo.
Bjørnal y cols45 en seguimiento de estudio multicéntrico en 314 pacientes concluyen que la Eliminación de caries por etapas disminuye significativamente el número de exposiciones pulpares y que la supervivencia pulpar es muy superior a la de Pulpotomía superficial en exposición por caries.
Conclusiones
• El objetivo principal de los tratamientos conservadores de caries profunda no es eliminar todo el tejido infectado sino inactivar o detener la lesión por cambios en el entorno cariogénico, promoviendo a su vez mecanismos defensivos del complejo dentino-pulpar.
• Realizar el tratamiento en una o más sesiones todavía se mantiene en discusión. Depende del análisis de la salud pulpar, de su capacidad reaccional, de la evaluación dentinaria y de las características del remanente dentario.
• En caso de optar por el tratamiento en una sola sesión se indica el uso de materiales con buenas cualidades mecánicas, correcto sellado y características bioestimulantes.
• El éxito de estos tratamientos depende de la integridad de la restauración y del seguimiento dentro de un plan preventivo integral de acuerdo a los factores de riesgo del paciente.
• Considerando la disminución de la tasa de éxito apreciada durante seguimientos a largo plazo, se justifica como norma la realización de controles clínicos y radiográficos periódicos.
• Se puede concluir que en casos seleccionados con un buen diagnóstico, los tratamientos descritos disminuyen significativamente las exposiciones pulpares y sus posteriores complicaciones.
Referencias
1. Olmos P, Piovesan S, Musto M, Lorenzo S, Alvarez R, Massa F. Caries dental. La enfermedad más prevalente. Primer estudio poblacional en jóvenes y adultos uruguayos del interior del país. Odontoestomatología 2013; XV (nº especial): 26-34
2. Alonso Mª E, Golubchin D, Modyeievsky I. Tratamientos Conservadores Pulpares. En: Cátedra de Endodoncia de la Facultad de Odontología. UdelaR. Endodoncia Clínica. Manual de apoyo a la Enseñanza Clínica en terapias Endodónticas. Montevideo: Tradinco, 2008. P 81-105
3. Fouad AF, Levin L. Efectos de la caries y los tratamientos dentales sobre la pulpa. En: Cohen S, Hargreaves KM. Vías de la Pulpa. 10 ed. España: Elsevier, 2011. p 504-28.
4. Dommisch H, Winter J, Acil Y, Dunsche A, Tiemann M, Jepsen S. Human beta-defensin (hBD-1,-2) expression in dental pulp. Oral Microbiol Inmunol 2005; 20: 163-6
5. Gerardeli S, Li Y, Hogan MM, Tjäderhane LS, Pashley DH, Morgan TA, Zimmerman MB, Brodgen KA.Inflamatory mediators in fluid extracted from the coronal oclusal dentine of trimmed teeth. Arch Oral Biol 2012; 57: 264-70
6. Goldberg M, Smith A. Cells and extracellular matrices of dentin and pulp: a biological basis for repair and tissue engineering. Crit Rev Oral Biol Med 2004; 15(1): 13-27
7. Chaussain-Miller C, Fioretti F, Goldberg M, Menashi S. The role of matrix metalloproteinases (MMPs) in human caries. J Dent Res 2006; 85: 22-32.
8. Bjørndal L, Mjör IA. Dental Caries: Characteristics of Lesions and Pulp Reactions. In: Mjör IA. Pulp-Dentin Biology in Restorative Dentistry. Chicago: Quintessence Publishing, 2002. p 55-75
9. Simon S, Smith AJ, Berdal A, Lumley PJ, Cooper PR. The MAP Kinase Pathway is involved in odontoblast stimulation via p 38 Phosphorylation. J Endod 2010; 36: 256-9
10. Gomez de Ferraris MªE, Campos Muñoz A. Complejo dentino-pulpar II: dentina. En: Histología, Embriología e Ingeniería Tisular Bucodental. 3ª ed México: Panamericana, 2009. p 255-90
11. Duarte G, Sanchiz O, Martínez MªN, Ringel S, Botana A. Consideraciones acerca del "Complejo pulpo dentinario". Montevideo: Universidad de la República. Facultad de Odontología; 2010. p 1-23
12. Farges JC, Carrouel F, Keller JF, Baudouin C, Msika P, Bleicher F, Staquet MJ. Cytokine production by human odontoblast-like cells upon Toll-like receptor-2 engagement. Inmunobiology 2011; 216:513-7
13. Gomez de Ferraris MªE, Campos Muñoz A. Complejo dentino-pulpar I: Pulpa dental. En: Histología, Embriología e Ingeniería Tisular Bucodental. 3ª ed. México: Panamericana, 2009. p 231-53
14. Smith AJ, Scheven BA, Takahashi Y, Ferracane JL, Shelton RM, Cooper PR. Dentine as a biengagement bioactive extracelular matrix. Arch Oral Biol 2012; 57: 109-21
15. AAE Consensus Conference Recommended Diagnostic Terminology. J Endod 2009; 35(12): 1634
16. Universidad de la República. Facultad de Odontología. Cátedra de Anatomía Patológica, Cátedra de Endodoncia, Servicio de Urgencia, Cátedra de Quirúrgica. Alteraciones pulpares y sus complicaciones. Calibración Interdisciplinaria de diagnóstico pulpar y manejo terapéutico. Montevideo. Universidad de la República. Facultad de Odontología; 2005: 1-9
17. Fusayama T, Terashima S. Differentiation of two layers of carious dentin by staining. J Dent Res 1972; 51(3): 866
18. Banerjee A, Watson F, Kidd E. Dentin Caries: take it or leave it? Dent Update 2000; 27: 272-6
19. Turell JC. El diagnóstico clínico de la dentina cariada. Método de la fucsina básica. Odontol Urug 1963; 18(71): 8-11
20. Kuboki Y, Liu CF, Fusayama T. Mechanism of differential staining in carious dentin. J Dent Res 1983; 62(6): 713-4
21. Yip HK, Stevenson AG, Beeley JA. The specificity of caries dyes in cavity preparation. Br Dent J 1994; 176: 417-21
22. Kidd E, Ricketts DNJ, Beighton D. Criteria for caries removal at the enamel-dentine junction: a clinical and microbiological study. Br Dent J 1996; 180(8): 287-91
23. Hosoya Y, Taguchi T, Arita S, Tay FR . Clinical evaluation of polypropylene glycol-based caries detecting dyes for primary and permanent carious dentin. J Dent 2008; 36: 1041-7
24. Bjørndal L, Larsen T. Changes in the cultivable flora in deep carious lesions following a Stepwise Excavation procedure. Caries Res 2000; 34:502-8
25. Maltz M, de Oliveira E, Fontanella V, Bianchi R. A clinical, microbiologic, and radiographic study of deep caries lesions after incomplete caries removal. Quintessence Int 2002; 33: 151-9
26. Hasse PN, Conrado CA, De Oliveira MR. Proteção Pulpar Indireta. Uma revisão bibliográfica analítica e apresentação de casos clínicos. Rev Odon Ciên 2001; 16(34): 288-97
27. Bjørndal L, Kidd E. The treatment of deep dentine caries lesions. Dent Update 2005; 32: 402-13
28. Orhan AL, Oz FT, Orhan K. Pulp exposure ocurrence and outcomes after 1 o 2 visit Indirect Pulp Therapy vs complete caries removal in primary and permanent molars. Pediatr Dent 2010; 32(4): 347-55
29. Borba de Araújo F, Moreira C, Souza A, Massara Mª de L. Enfoque contemporáneo de la Terapia Pulpar en dientes deciduos. En: Estrela C. Ciencia Endodóntica. San Pablo: Artes Médicas, 2005. p 941-67
30. Waterhouse P, Whitworth J, Camp J, Fuks A. Endodoncia pediátrica: tratamiento endodóntico en la dentición temporal y permanente joven. En: Hargreaves KM, Cohen S. Vías de la Pulpa. 10 ed. España: Elsevier , 2011. p 821-2
31. Petrou MA, Alhamoui FA, Welk A, Altarabulsi MB. A randomized clinical trial on the use of medical Portland cement, MTA and calcium hydroxide in indirect pulp treatment. Clin Oral Invest 2014; 18: 1383-9
32. Bjørndal L. Indirect Pulp Therapy and Stepwise Excavation. J Endod 2008; 34: S29-S33
33. Castellanos L, González J, Calvo C, López FJ, Velasco E, Llamas JM, Segura JJ. Endodoncia preventiva: Protección pulpar mediante la técnica de eliminación de la caries en etapas (Stepwise Excavation). Av Odontoestomatol 2011; 27(5): 245-52
34. Holland GR, Trowbridge HO, Rafter M. Protección de la pulpa, conservación del ápice. En: Torabinejad M, Walton RE. Endodoncia. Principios y práctica. 4ª ed. Barcelona: Elsevier, 2010. p 28
35. Maltz M, Alves LS, Jardim JJ, Moura MS, de Oliveira EF. Incomplete caries removal in deep lesions: a 10 year prospective study. Am J Dent 2011; 24: 211-4
36. Hayashi M, Fujitani M, Yamaki Ch, Momoi Y. Ways of enhancing pulp preservation by Stepwise excavation-a systematic review. J Dent 2011; 39(2):95-107
37. Paddick JS, Brailsford SR, Kidd EA, Beighton D. Phenotypic and genotypic selection of microbiota surviving under dental restorations. Appl Environ Microbiol 2005; 71(5): 2467-72
38. Bjørndal L, Thylstrup A. A practice-based study on Stepwise excavation of deep carious lesions in permanent teeth: a 1 year follow-up study. Community Dent Oral Epidemiol 1998; 26: 122-8
39. Leksell E, Ridell K, Cvek M, Mejare I. Pulp exposure after Stepwise versus direct complete excavation of deep carious lesions in young posterior permanent teeth. Endod Dent Traumatol 1999; 12: 192-6
40. Ricketts D. Management of deep carious lesion and the vital pulp dentine complex. Br Dent J 2001; 191(11): 606-10
41. Ricketts DN, Kidd EA, Innes N, Clarkson J. Complete or ultraconservative removal of decayed tissue in unfilled teeth. Cochrane Database Syst Rev 2006; 3: CD003808
42. Maltz M, García R, Jardim JJ, de Paula LM, Yamaguti PM, Moura MS, Garcia F, Nascimento C, Oliveira A, Mestrinho HD. Randomized trial of Partial vs Stepwise caries removal: 3 years follow-up. J Dent Res 2012: 1-6
43. Schwendicke F, Kern M, Dörfer C; Kleemann-Lüpkes J, Paris S, Blunck U. Influence of using different bonding systems and composites on the margin integrity and the mechanical properties of selectively excavated teeth in vitro. J Dent 2015; 43: 327-34
44. Atmeh AR, Chong EZ, Richard G, Festy F, Watson TF. Dentin-cement interfacial interaction: calcium silicates and polyalkenoates. J Dent Res 2012; 91(5): 454-9
45. Bjørndal L, Reit C, Bruun G; Markvart M, Kjaeldgaard M, Näsman P, Thordrup M, Dige I, Nyvad B, Fransson H, Lager A, Ericson D, Petersson K, Olsson J, Santimano EM, Wennström A, Winkel P, Gluud Ch. Treatment of deep caries lesions in adults: randomized clinical trials comparing Stepwise vs direct complete excavation, and direct pulp capping vs Partial pulpotomy Eur J Oral Sci 2010; 118: 290-7