Reporte de caso
Morfología inusual de raíz y canales del primer molar mandibular, como indicación de tomografía computarizada de haz cónico: A propósito de un caso endodóntico "fronterizo"
Morfologia incomum da raiz e do canal do primeiro molar inferior, como indicação para tomografia computadorizada de feixe cônico: sobre um caso endodôntico "limítrofe"
Unusual root and canal morphology of the mandibular first molar as an indication for cone-beam computed tomography: About a “borderline” endodontic case
Morfología inusual de raíz y canales del primer molar mandibular, como indicación de tomografía computarizada de haz cónico: A propósito de un caso endodóntico "fronterizo"
Odontoestomatología, vol. XXIV, núm. 39, e410, 2022
Facultad de Odontología - Universidad de la República
Recepción: 08 Agosto 2021
Aprobación: 16 Febrero 2022
Resumen: La Tomografía Computarizada de Haz Cónico (CBCT) representa una promisoria herramienta para la clínica odontológica. En Endodoncia, CBCT ofrece tridimensionalidad y resolución imagenológica, potenciando el diagnóstico de diferentes condiciones patológicas. Sin embargo, su limitación por sobreexposición a radiación, ha llevado a directrices que recomiendan cautela para su indicación. Se presenta un caso infrecuente de un molar mandibular con una sola raíz y canal, y las circunstancias de uso de CBCT. Mujer de 48 años es derivada para endodoncia del primer molar mandibular izquierdo permanente. El examen radiográfico preoperatorio demostró el hallazgo inusual de un canal centrado en una única raíz. Con la información apropiada y el consentimiento de la paciente, la indicación de CBCT favoreció su diagnóstico y tratamiento. CBCT no debería ser utilizada rutinariamente para estos fines, pero podría justificarse en casos "fronterizos". Se discuten su indicación e implementación clínica, siguiendo actuales recomendaciones y directrices.
Palabras clave: Tomografía computarizada de haz cónico, endodoncia, diagnóstico, bioética, anomalías dentales, comportamiento de reducción de riesgos.
Resumo: A tomografia computadorizada de feixe cônico (TCFC) representa uma ferramenta promissora para a clínica odontológica. Na Endodontia, a CBCT oferece tridimensionalidade e resolução de imagem, potencializando o diagnóstico de diferentes condições patológicas. No entanto, sua limitação devido à superexposição à radiação levou a diretrizes que recomendam cautela em sua indicação. Um caso raro de um molar inferior com uma única raiz e canal é apresentado e as circunstâncias do uso da TCFC. Uma mulher de 48 anos é encaminhada para tratamento de canal para o primeiro molar inferior esquerdo permanente. O exame radiográfico pré-operatório demonstrou o achado incomum de um canal centrado em uma única raiz. Com as devidas informações e o consentimento do paciente, a indicação da TCFC favoreceu seu diagnóstico e tratamento. A CBCT não deve ser usada rotineiramente para esses fins, mas pode ser justificada em casos "fronteiriços". Sua indicação e implementação clínica são discutidas, seguindo as recomendações e diretrizes atuais.
Palavras-chave: Tomografia computadorizada de feixe cônico, endodontia, diagnóstico, bioética, anormalidades dentárias, comportamento de redução de risco.
Abstract: Cone-beam computed tomography (CBCT) is a promising tool in dental practice. CBCT provides three-dimensional images and imaging resolution to be used in endodontics. This enhances the diagnosis of various pathologies. However, guidelines have recommended limiting its use due to overexposure to radiation. This article presents the rare case of a mandibular molar with a single root and canal that benefited from taking a CBCT. A 48-year-old woman is referred for endodontic treatment of the permanent left mandibular first molar. The preoperative radiographic examination showed an unusual canal centered along a single root. Taking a CBCT with the relevant information and the patient’s consent improved her diagnosis and treatment. CBCTs should not be used routinely for these purposes but could be justified in “borderline” cases. This paper discusses its indication and clinical implementation following current recommendations and guidelines.
Keywords: Cone-Beam Computed Tomography, endodontics, diagnosis, bioethics, tooth abnormalities, risk-reduction behavior.
Introducción
La tecnología médica imagenológica ha avanzado rápidamente en las últimas décadas, ofreciendo importantes beneficios a los pacientes en todo el mundo. Este desarrollo se ha visto particularmente potenciado en la Tomografía Computarizada (TC), la que constituye hoy una herramienta establecida en muchas áreas de la medicina. Las nuevas aplicaciones de TC, representan hoy un avance no sólo como herramienta en la práctica clínica sino además para la investigación; tal es el caso de la Tomografía Computarizada de Haz Cónico (CBCT), diseñada para satisfacer las necesidades de la práctica dental 1. Específicamente en el área de la Endodoncia (la especialidad odontológica dedicada al estudio de las enfermedades de la pulpa dental, de sus repercusiones sobre los tejidos periapicales y de sus tratamientos), CBCT ofrece no sólo visibilidad tridimensional de la región de interés, sino además adecuado detalle y resolución de la anatomía dental y alveolar 2, favoreciendo el mejor diagnóstico de diferentes condiciones malformativas y patológicas pulpares y periapicales 1,3. Sin embargo, CBCT posee conocidas limitaciones, incluyendo una posible sobreexposición a radiación al paciente 4; aunque la dosis efectiva de CBCT es menor que la de una TC convencional, es mucho mayor que la de las radiografías intraorales periapicales convencionales 2.
Se han publicado diferentes guías y directrices para el uso de CBCT en radiología dental y maxilofacial, todas recomendando conductas cautelosas para su indicación, así como también asegurando calidad asistencial y estrategias de optimización para radiólogos, odontólogos, médicos y fabricantes 1,5. Aunque esas directrices se encuentran fundamentadas en evidencia suficiente que justifica un uso clínico sólido y científico de CBCT basándose en indicaciones específicas, en algunos "casos particulares", cuando las radiografías convencionales dan un resultado negativo o los pacientes presentan signos y síntomas clínicos contradictorios o no específicos, CBCT puede ser considerada la modalidad de imagen de elección para el diagnóstico 1,4. Esos "casos particulares", también denominados "fronterizos" 3, han justificado que algunos autores recomienden una investigación más minuciosa para establecer objetivamente la precisión diagnóstica de CBCT y su impacto en la toma de decisiones 1,6.
Se presenta el caso infrecuente de un primer molar mandibular permanente con una sola raíz y un solo canal, donde CBCT favoreció el conocimiento preciso de la anatomía radicular y con ello la apropiada limpieza y conformación del sistema canalicular, elementos de gran importancia para posibilitar un tratamiento endodóntico exitoso. Debido a que CBCT no debería ser utilizada rutinariamente para diagnóstico endodóntico, pero podría justificarse en casos "particulares" o "fronterizos", se discute la indicación de CBCT como herramienta diagnóstica y terapéutica en estos casos, así como también su implementación en investigación clínica, siempre siguiendo las recomendaciones legales y directrices actuales.
Antecedentes
Las anomalías dentales en la dentición permanente son raras y a menudo hallazgo incidental en los exámenes rutinarios 3. Entre estas situaciones "de excepción", las variaciones anatómicas de los primeros molares mandibulares, tanto de forma como de número de raíces o de canales, son bien conocidas por presentar complejidades particulares 7-9. La circunstancia de presentar sólo una raíz y canal únicos, ha sido reportada como altamente infrecuente y de cuidado si se pretende un tratamiento endodóntico correcto 7,9-12. Si bien el uso de radiografías convencionales preoperatorias múltiples con diferentes angulaciones podría confirmar esta morfología anómala, CBCT ha sido sugerida como herramienta ideal para la búsqueda de canales accesorios ocultos, o para evitar la remoción excesiva de dentina o complicaciones aún mayores 7. Aunque las actuales directrices publicadas para el uso de CBCT han mencionado que este estudio no es indicación estándar para demostrar la anatomía del canal radicular dental, esas mismas directrices recomiendan CBCT para el abordaje preoperatorio endodóntico de dientes con morfología inusual de raíces o canales. 1,5
Descripción del caso
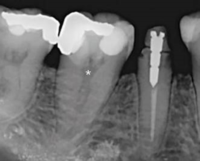
Paciente mujer de 48 años de edad sin antecedentes médicos de mención, fue derivada al Área de Endodoncia de la Clínica Odontológica Docente Asistencial (C.O.D.A.) de la Facultad de Odontología de la Universidad de La Frontera (Temuco, Chile) para realizar tratamiento del primer molar mandibular izquierdo permanente (diente 46), indicado este procedimiento por una posterior rehabilitación protésica. Luego de realizadas las pruebas clínicas usuales, se llegó al diagnóstico de “pulpitis irreversible asintomática con tejidos apicales normales”. El examen radiográfico preoperatorio demostró la presencia de restauraciones profundas, una cámara pulpar levemente retraída y el hallazgo inusual de un canal centrado en una única raíz (Figura 1), de tipo I según la clasificación de Vertucci 13. Informada la paciente de esta situación, consentido el procedimiento, y procediendo al tratamiento endodóntico no quirúrgico de rutina, se realizó el acceso convencional a la cámara pulpar con fresas específicas e instrumental rotatorio. La trepanación permitió la confirmación macroscópica de un único gran canal localizado en el centro de la cámara pulpar, el cual fue preparado quimiomecánicamente siguiendo los protocolos estándar de la institución. Debido a la "particularidad" de la anatomía canalicular, y para evaluar potenciales presencias de canales accesorios o enmascaramientos morfológicos que pudieran condicionar el éxito del procedimiento, se consideró realizar CBCT antes de continuar con el tratamiento endodóntico en una sesión posterior.

Siguiendo los estándares legales sanitarios, se discutieron con la paciente los costos y las ventajas ofrecidas por CBCT en relación a los estudios imagenológicos ya realizados, y se requirió su consentimiento informado luego de ser considerados los riesgos y beneficios de CBCT. La paciente fue también notificada de los potenciales errores terapéuticos de la endodoncia de no contar con la información provista por un estudio de mayor confiabilidad. Una vez recibida y discutida toda la información, la paciente accedió a la realización del estudio en el área de Imagenología de la institución.
El CBCT (Vatech Pax Zenith CBCT machine, 120 kVp and 9.0 mA, FOV 8 × 6 cm, voxel size 0.12 mm) fue visualizado utilizando el software GALILEOS Viewer 1.9 (SICAT GmbH & Co. KG, Bonn, Germany), obteniendo una imagen tridimensional del diente para su evaluación en secciones axiales, sagitales y coronales. Las imágenes confirmaron la presencia de una sola raíz con un único canal de forma ovalada, extendido desde la cámara pulpar al ápice, correspondiendo al mencionado tipo I de Vertucci (Figura 2).

Confirmadas así las características inusuales estimadas originalmente y estableciéndose la no existencia de condiciones desfavorables para continuar el procedimiento, la paciente fue citada para una segunda sesión para finalizar el tratamiento endodóntico. Esta se concretó siete días después, momento en el que fue retirada la obturación provisoria y se continuó la preparación quimiomecánica ya iniciada en la primera sesión. El tratamiento se finalizó mediante obturación con técnica de compactación lateral de gutapercha en frío para lograr un mejor control apical y sellado del canal siguiendo los protocolos estándar para ese tipo de anatomía canalicular. Se realizaron los controles apropiados a los 7 y 14 días corroborando la ausencia de signos y síntomas clínicos y radiográficos remitiéndose nuevamente el caso a su odontólogo tratante para continuar con la rehabilitación protésica ya planificada (Figura 3).

Discusión
Los molares permanentes pueden presentar gran variabilidad en la morfología de raíces y canales, alteraciones o malformaciones que pueden verse determinadas por cualquier disturbio durante la diferenciación canalicular en cualquier etapa del desarrollo embriológico dentario 9,14. La anomalía presentada en este reporte ha sido mencionada como infrecuente en primeros molares mandibulares 7,9-11 (se ha informado explícitamente que el tipo I de Vertucci es el más raro de todos) 15. Si bien el número de raíces es la variación más frecuente en relación con ciertas etnias 16, en Chile la alta tasa de migración, la mayor prevalencia de personas con antecedentes multiétnicos y los fenómenos reconocidos de miscegenación y globalización 17 hacen sumamente dificultosa de considerar esta variable sin los correspondientes respaldos genéticos, tal cual lo considera la literatura actual 18. Todo esto conlleva un desafío implícito para el endodoncista quien deberá realizar una correcta planificación del caso.
Los canales ovales son complejos de tratar endodónticamente, especialmente durante la preparación quimiomecánica, debido a que tienen zonas de difícil acceso las cuales favorecen la acumulación de detritus y dificultan la eliminación de microorganismos (19. Además, los instrumentos tienden a centrarse en el canal impidiendo una correcta conformación y desinfección, especialmente en sentido bucolingual 20.
Sin dudas el examen radiográfico es esencial en el diagnóstico y en todas las etapas del tratamiento endodóntico 9; sin embargo, la bidimensionalidad de las técnicas intraorales convencionales y la consiguiente superposición de estructuras y distorsión geométrica de las estructuras anatómicas son problemas no menores por los potenciales enmascaramientos morfológicos, todos susceptibles de originar complicaciones diagnósticas o terapéuticas. CBCT reproduce imágenes tridimensionales permitiendo la exploración en planos sagitales y coronales, proporcionando así, información precisa sobre la morfología radicular y canalicular, siendo su uso recomendado en casos de variaciones en la morfología radicular y canalicular 2. Ya ha sido sugerido el empleo de CBCT para casos de morfologías radiculares aberrantes 12; sin embargo, y según nuestro conocimiento, la atención cautelosa a las indicaciones precisas de CBCT apenas ha sido reportada en este tipo de casos 21.
Más allá del atractivo que supone esta tecnología, su aplicabilidad diagnóstica, terapéutica e incluso investigativa es hoy motivo de profunda discusión para casos como el que se presenta. Las actuales directrices publicadas para indicaciones de CBCT han mencionado que este estudio no debería ser procedimiento estándar para demostrar la anatomía del canal radicular, lo cual, no debería reemplazar a las técnicas radiológicas convencionales de baja dosis y riesgo 1,5. Sin embargo, estas mismas directrices mencionan que CBCT podría indicarse en casos "particulares" donde el tratamiento endodóntico puede verse complicado por factores concurrentes entre los que se cuentan una "anatomía pulpar atípica" 1 o "anomalías de canales tanto radiculares como accesorios" 5. Si bien la 1º recomendación de las directrices de la American Association of Endodontists (AAE) y la American Academy of Oral and Maxillofacial Radiology (AAOMR) acentúa que "las radiografías intraorales deben ser consideradas la modalidad imagenológica de elección para la evaluación del paciente endodóntico", la 3º recomendación de ese mismo documento justifica a CBCT "en el tratamiento inicial de dientes con potenciales canales extra o morfología compleja tales como molares mandibulares y anomalías dentarias, entre otros" 4. El caso presentado configura una de las tantas situaciones de cuidadoso análisis muchas veces controversiales o, cuando menos, inmersas en situaciones "fronterizas" donde la evidencia científica publicada 1 parece ser aún difusa como para catalogar a la "anatomía pulpar atípica" como una indicación específica de CBCT.
La demanda por CBCT en odontología se encuentra en aumento, y las bondades son innegables; los costos del equipamiento han disminuido significativamente y en muy pocos años, seguramente esta tecnología será recibida como una herramienta diagnóstica en la misma práctica odontológica general 22. Específicamente en el área de la investigación clínica, CBCT se presenta sin dudas como un instrumento con notables y valorados aportes. Introducida a la Endodoncia en el año 1990, esta técnica ha posibilitado estudios morfológicos y morfométricos de gran confiabilidad, más aún en entornos tridimensionales y con valor poblacional 23. Es aquí donde la provisión de exámenes y las indicaciones precisas de sus obtenciones juegan un papel fundamental. Noffke y col. 5 afirman que CBCT con fines de investigación, administrativos o de carácter médico legal que no posean ningún beneficio sanitario potencial para el paciente o su comunidad, no deberían ser admitidos ni recomendados de ninguna manera. Más allá de los mencionados riesgos de exposición innecesaria a radiación, existen innumerables tópicos en lo que refiere a competencias en la interpretación radiológica, comunicación de diagnósticos o las mismas responsabilidades y certificaciones del operador que aún permanecen sin resolver 22.
Se ha enfatizado que CBCT debería ser solicitada sólo en casos donde los beneficios sean superiores a los riesgos potenciales de irradiación; otros procedimientos diagnósticos deberían ser discutidos con el paciente, sobre todo en lo que refiere a los costos; toda la información debe ser adecuadamente provista, los motivos que justifiquen el examen CBCT, así como también sus guías de tratamiento deben ser consentidas por el paciente y documentadas 5,24. En el presente caso, el paciente fue informado de la disponibilidad de CBCT para examinar su condición debido a que la variación anatómica radicular de su diente a tratar ofrecía complejidad diagnóstica y terapéutica, y de la totalidad de beneficios reportados por la literatura 2 para CBCT en relación a un resultado específico: identificar la totalidad de canales (en algunos casos enmascarados por la misma conformación morfológica atípica), permitiendo con ello la completa desinfección del sistema canalicular. Rosen y col. 25, luego de una cuidadosa revisión y análisis de la literatura respecto de evaluar el nivel de eficacia diagnóstica de CBCT en endodoncia, concluyeron que sus esperables beneficios aún se mantienen poco claros y sólo limitados a su eficacia técnica. Consideramos que en el caso que se presenta, las radiografías intraorales iniciales no brindaban la información suficiente para el propósito buscado y CBCT ofrecía la justificación clínica para ese fin. Aún cuando pros y contras fueron cuidadosamente evaluados y discutidos con el paciente respecto a los estándares actuales sanitarios, coincidimos con Scarfe 24 en que el uso de CBCT "debería justificarse de caso a caso y nunca propuesto como rutinario". Ya que CBCT ofrece la posibilidad de valorar tridimensionalmente la morfología canalicular evitando la remoción excesiva de tejido y permitiendo la desinfección completa del sistema 7, consideramos que esta rara condición necesita ser analizada, o al menos mencionadas sus particulares características clínicas y radiológicas en las directrices actuales para el uso seguro de CBCT dental y maxilofacial. Los criterios para seleccionar casos de indicación de CBCT como respaldo imagenológico en endodoncia no son suficientemente claros ni específicos 25.
El estándar profesional para CBCT es el "cuidado apropiado" de "elegir CBCT para cada paciente, "sabiamente apoyados en criterios de selección derivados de la mejor evidencia disponible" 24. Coincidimos con Noffke y col. 5 en que la selección de imágenes CBCT debe apoyarse en el buen juicio profesional de las necesidades del paciente, y en que nunca debe realizarse rutinariamente como una "expedición de pesca" por una enfermedad no sospechada.
Conclusiones
CBCT es una herramienta de gran utilidad cuyas indicaciones diagnósticas deben ser evaluadas según los conceptos actuales de protección radiológica, pues no es considerada un procedimiento estándar para evaluar anatomía del canal radicular. Así mismo, alteraciones morfológicas como las del caso que se presenta, justifican ese uso diagnóstico ya que el tratamiento endodóntico puede verse complicado por ese tipo de anomalías tanto en raíces como en canales radiculares. El uso de CBCT recae entonces en un buen juicio profesional y en la evaluación apropiada del riesgo/beneficio de exponer al paciente a esas radiaciones.
Referencias
1. European Commission (EC). Radiation protection No. 172: evidence based guidelines on cone beam CT for dental and maxillofacial radiology. (internet). Luxembourg: Office for Official Publications of the European Communities, 2012 (fecha de acceso: 8 de Agosto de 2021). Disponible en: Disponible en: https://ec.europa.eu/energy/sites/ener/files/documents/172.pdf
2. Patel S, Durack C, Abella F, Shemesh H, Roig M, Lemberg K. Cone beam computed tomography in Endodontics - a review. Int. Endod, J. 2015; 48(1): 3-15. doi: 10.1111/iej.12270.
3. Gulsahi A, Ates U, Tirali RE, Cehreli SB. Use of cone-beam computed tomography in diagnosis of an otherwise undetected periapical lesion in an anomalous tooth. Oral Radiol. 2014; 30: 111-4. doi: 10.1007/s11282-013-0130-8.
4. AAE and AAOMR Joint Position Statement: Use of Cone Beam Computed Tomography in Endodontics 2015 Update. J. Endod. 2015; 41(9): 1393-6. doi: 10.1016/j.joen.2015.07.013.
5. Noffke CE, Farman AG, Nel S, Nzima N. Guidelines for the safe use of dental and maxillofacial CBCT: a review with recommendations for South Africa. SADJ. 2011; 66(6): 262, 4-6.
6. Kiljunen T, Kaasalainen T, Suomalainen A, Kortesniemi M. Dental cone beam CT: A review. Phys. Med. 2015; 31(8): 844-60. doi: 10.1016/j.ejmp.2015.09.004.
7. Sooriaprakas C, Ballal S, Velmurugan N. Mandibular first molar with a single root and single canal. Case Rep. Dent. 2014; 2014: 159846. doi: 10.1155/2014/159846.
8. Filpo-Perez C, Bramante CM, Villas-Boas MH, Húngaro Duarte MA, Versiani MA, Ordinola-Zapata R. Micro-computed tomographic analysis of the root canal morphology of the distal root of mandibular first molar. J. Endod. 2015; 41(2): 231-6. doi: 10.1016/j.joen.2014.09.024.
9. Munavalli A, Kambale S, Ramesh S, Ajgaonkar N. Mandibular first molar with single root and single root canal. J. Conserv. Dent. 2015; 18(4): 346-8. doi: 10.4103/0972-0707.159757.
10. Ioannidis K, Lambrianidis T, Beltes P, Besi E, Malliari M. Endodontic management and cone-beam computed tomography evaluation of seven maxillary and mandibular molars with single roots and single canals in a patient. J. Endod 2011; 37(1): 103-9. doi: 10.1016/j.joen.2010.09.001.
11. Demirbuga S, Sekerci AE, Dinçer AN, Cayabatmaz M, Zorba YO. Use of cone-beam computed tomography to evaluate root and canal morphology of mandibular first and second molars in Turkish individuals. Med Oral Patol Oral Cir Bucal. 2013; 18(4): e737-44. doi: 10.4317/medoral.18473.
12. Raghavendra SS, Napte BD, Desai NN, Hindlekar AN. Single C-shaped canal in mandibular first molar: A case report. J. Conserv Dent. 2015; 18(2): 168-71. doi: 10.4103/0972-0707.153060.
13. Vertucci FJ. Root canal anatomy of the human permanent teeth. Oral Surg Oral Med Oral Pathol Oral Radiol Endodontics. 1984; 58(5): 589-99. doi: 10.1016/0030-4220(84)90085-9.
14. Haridoss S, Swaminathan K, Rajendran V, Rajendran B. Single-rooted primary first mandibular molar. BMJ Case Rep. 2014; 2014. pii: bcr2014206347. doi: 10.1136/bcr-2014-206347.
15. Gaur A, Trivedi HP, Gupta M, Sharma A, Likhyani L, Agarwal M. Mandibular First Molar with Vertucci Type I Canal Configuration diagnosed with the Help of Cone Beam Computed Tomography: A Rare Case Report. J Contemp Dent Pract. 2014; 15(6): 784-7. doi: 10.5005/jp-journals-10024-1618.
16. de Pablo OV, Estevez R, Heilborn C, Cohenca N. Root anatomy and canal configuration of the permanent mandibular first molar: clinical implications and recommendations. Quintessence Int. 2012;43(1):15-27.
17. Torres A, Jacobs R, Lambrechts P, Brizuela C, Cabrera C, Concha G, Pedemonte ME. Characterization of mandibular molar root and canal morphology using cone beam computed tomography and its variability in Belgian and Chilean population samples. Imaging Sci Dent. 2015; 45(2): 95-101. doi: 10.5624/isd.2015.45.2.95.
18. Delgado M, Ramírez LM, Adhikari K, Fuentes-Guajardo M, Zanolli C, Gonzalez-José R, Canizales S, Bortolini MC, Poletti G, Gallo C, Rothhammer F, Bedoya G, Ruiz-Linares A. Variation in dental morphology and inference of continental ancestry in admixed Latin Americans. Am J Phys Anthropol. 2019; 168(3): 438-47. doi: 10.1002/ajpa.23756.
Velozo C, Prado VFF, Sousa ISDS, Albuquerque MBA, Montenegro L, Silva S, Silva P, Albuquerque D. Scope of Preparation of Oval and Long-Oval Root Canals: A Review of the Literature. ScientificWorldJournal. 2021; 2021:5330776. doi: 10.1155/2021/5330776.
20. Busquim S, Cunha RS, Freire L, Gavini G, Machado ME, Santos M. A micro-computed tomography evaluation of long-oval canal preparation using reciprocating or rotary systems. Int Endod J. 2015; 48(10): 1001-6. doi: 10.1111/iej.12398.
Yendreka VC, Fonseca GM. A borderline dental trauma with 12 y of evolution justifying CBCT as diagnostic method. Biomed. Res. 2018; 29(13): 2800-5. doi: 10.4066/biomedicalresearch.29-18-728.
Noffke CE, Farman AG, Van der Linde A, Nel S. Responsible use of cone beam computed tomography: minimising medico-legal risks. SADJ. 2013; 68(6): 256, 8-9.
Naseri M, Safi Y, Akbarzadeh Baghban A, Khayat A, Eftekhar L. Survey of Anatomy and Root Canal Morphology of Maxillary First Molars Regarding Age and Gender in an Iranian Population Using Cone-Beam Computed Tomography. Iran Endod. J. 2016; 11(4): 298-303. doi: 10.22037/iej.2016.8.
Scarfe WC. All that glitters is not gold: standards for cone-beam computerized tomographic imaging. Oral Surg Oral Med Oral Pathol Oral Radiol Endod. 2011; 111(4): 402-8. doi: 10.1016/j.tripleo.2011.01.006.
Rosen E, Taschieri S, Del Fabbro M, Beitlitum I, Tsesis I. The Diagnostic Efficacy of Cone-beam Computed Tomography in Endodontics: A Systematic Review and Analysis by a Hierarchical Model of Efficacy. J. Endod. 2015; 41(7): 1008-14. doi: 10.1016/j.joen.2015.02.021.
Notas