Reporte de caso
Síndrome del incisivo central maxilar único: reporte de caso
Single maxillary central incisor syndrome: case report
Síndrome do incisivo central maxilar único: relato de caso
Síndrome del incisivo central maxilar único: reporte de caso
Odontoestomatología, vol. XXIV, núm. 40, e412, 2022
Facultad de Odontología - Universidad de la República
Recepción: 31 Enero 2022
Aprobación: 27 Septiembre 2022
Resumen
Caso Clínico: Paciente masculino de 10 años de edad, procedente de Jamundí, Valle del Cauca- Colombia. Reporta ausencia de órgano dentario superior. En el examen intraoral se observa un incisivo central único sobre la línea media del maxilar, ausencia de frenillo labial y papila incisiva, paladar oval y retrognatismo mandibular. Fue tratado en una primera fase con ortopedia funcional maxilar para mejorar la clase II y está a la espera de iniciar la segunda fase de tratamiento con ortodoncia.
Conclusiones: El síndrome de incisivo central maxilar único es un síndrome poco frecuente el cual conlleva múltiples afecciones que interfieren en el normal desarrollo y crecimiento de estructuras anatómicas.
Palabras claves: Síndrome del incisivo central maxilar único+ Malformación craneofacial+ Anomalía congénita+ Incisivo único.
Abstract
Clinical case: Male patient, 10 years old, from Jamundí, Valle del Cauca- Colombia. Reports absence of upper dental organ. Intraoral examination shows a solitary central incisor on the maxillary midline, absence of labial frenulum and incisive papilla, oval palate and mandibular retrognathism. He was treated in a first phase with maxillary functional orthopedics to improve class II and is waiting to start the second phase of orthodontic treatment.
Conclusions: Solitary maxillary central incisor syndrome is a rare syndrome which involves multiple conditions that interfere with the normal development and growth of anatomical structures.
Keywords: Solitary maxillary central incisor syndrome, development, craniofacial malformation, congenital anomaly, single incisor.
Resumo
Caso clínico: Paciente do sexo masculino, 10 anos, procedente de Jamundí, Valle del Cauca- Colômbia. Relata ausência de órgão dentário superior. O exame intraoral mostra um único incisivo central na linha média maxilar, ausência de frênulo labial e papila incisiva, palato oval e retrognatismo mandibular. Foi tratado numa primeira fase com ortopedia funcional maxilar para melhorar a classe II e aguarda para iniciar a segunda fase do tratamento ortodôntico.
Conclusões: A síndrome do incisivo central superior único é uma síndrome rara que envolve múltiplas condições que interferem no desenvolvimento e crescimento normal das estruturas anatômicas.
Palavras chave: Síndrome do incisivo central superior único, Desenvolvimento, Malformação craniofacial, Anomalia congênita, Incisivo único.
Introducción
El síndrome del incisivo central maxilar único (SICMU) es una rara alteración en el desarrollo y formación de órganos ubicados principalmente en la línea media; ocurre de manera temprana entre los días 35 al 38 de vida intrauterina 1-4. Las características principales consisten en múltiples defectos localizados en: los huesos craneofaciales, la vía aérea nasal, el cerebro y mayor riesgo de malformación y mal funcionamiento de la hipófisis 5,6,7. También se ha reportado una asociación en el 25% de los casos con estatura baja, microcefalia y episodios de epilepsia (2.
Fue descrito por primera vez por Scott y cols. como un defecto aislado en 195811. En 1976, Rapport y col. lo asociaron a estatura pequeña y lo denominaron síndrome Monosuperoincisivo 8. Hall y cols. en 1997 denominaron este síndrome como “síndrome del incisivo central maxilar solitario, baja estatura, atresia coanal/estenosis medionasal”, el cual ahora se abrevia como “síndrome del incisivo central maxilar único” 9. Involucra ambas denticiones, tanto decidua como permanente, y aunque difiere anatómicamente del incisivo central “normal”, su raíz y corona son completamente simétricas 1.
Diagnóstico
El diagnóstico se puede hacer realizando una ecografía a las 18 a 22 semanas de gestación, con pruebas genéticas en casos familiares, pero rara vez se hace antes del nacimiento 4. Con el conocimiento actual de la afección, el diagnóstico debe realizarse a más tardar a los 8 meses de edad con la erupción del incisivo maxilar temporal 9.
Para definir con precisión el diente característico presente en este síndrome, es necesario detallar lo siguiente:
-Solitario: el diente presente existe como el único diente incisivo central en el maxilar 1,2,9,10.
-Mediano: este diente está precisamente en la línea media del alvéolo maxilar (un solo diente incisivo central presente a uno u otro lado de la línea media indica que el diente contralateral se ha perdido por trauma o enfermedad, o no continuó desarrollándose) 1,2,10-16.
-Maxilar: este diente característico se presenta únicamente en el maxilar y no en la mandíbula 1,2,8,10-16.
-Incisivo central: el diente es un incisivo central, aunque la corona se presente de forma inusual y no es un diente supernumerario (mesiodens)19.
De ahí el acrónimo síndrome SICMU 9,10,16-18,20.
Diagnóstico diferencial
No se conocen otras condiciones en las que se presente esta forma característica de diente incisivo. Una de las tres formas de obstrucción nasal y baja estatura estará presente en la mayoría de los casos. El SICMU debe considerarse un predictor de Holoprosencefalia (especialmente si además se presenta microcefalia e hipotelorismo) 9.
Aunque generalmente la afectación es leve, los pacientes con SICMU pertenecen al espectro Holoprosencefalia y corren el riesgo de tener hijos con formas más graves de esta alteración. Por lo tanto, un diagnóstico molecular y asesoramiento genético es importante para los pacientes con SICMU y sus familias 12.
Etiología y epidemiología
Su etiología es desconocida, aunque se ha asociado a deleciones de los cromosomas 7 (7q.36.1) y 8, y a mutaciones en el gen Sonic Hedgehog (SHH). Presenta una prevalencia de 1/50.000 nacidos vivos siendo una anomalía poco frecuente, pero no menos importante. No tiene predilección por género, aunque existe mayor número de reportes en mujeres 1,2,4,8,9,12,16,21-25.
El SICMU presenta 5 características fenotípicas propias en las dos denticiones:
1.Filtrum labial ausente con un labio superior en forma de arco 5
2.Un único incisivo central superior simétrico 1,2,5,10,16,20
3.Ausencia tanto del frenillo labial superior como de la papila entre los incisivos centrales superiores 5
4.Fusión parte anterior de la sutura palatina (5
5.Presencia de una protuberancia ósea en la mitad del paladar 5.
Tratamiento
La Academia Americana de Odontología Pediátrica (AAOP) reconoce la importancia del correcto manejo del desarrollo y de la oclusión durante los primeros años de vida. Así, es posible establecer un nivel mayor de bienestar en los lactantes, niños y adolescentes 21,23. Para el logro de tales objetivos, es necesario un diagnóstico temprano y un manejo multidisciplinario 1, donde se incluyen las especialidades de: Odontopediatría, Ortopedia maxilar, Ortodoncia, Periodoncia y en algunos casos Cirugía Maxilofacial. Dentro de las opciones de tratamiento reportadas en la literatura se encuentran: Ortopedia funcional para manejo de la maloclusión clase II 7, expansión rápida palatina (7.14,26), distalización de la zona posterior para abrir espacio anterior con ortodoncia y colocar, posteriormente, un implante reemplazando el incisivo faltante 3,5,7,14,21,26. Otra opción de tratamiento reportada incluye realizar autotransplante de un órgano dental, por ejemplo, premolares, seguido de la mimetización del diente trasplantado y reemplazar el incisivo faltante 27. Una opción más radical es la realización de la exodoncia del incisivo central único, cierre de espacios con ortodoncia y posterior rehabilitación de los incisivos laterales con coronas cerámicas y mimetización de caninos 5.
Por lo tanto, el objetivo de este caso es reportar la fase inicial de tratamiento en un niño con SICMU quien no había sido diagnosticado anteriormente.
Se presenta el siguiente caso de SICMU el cual tiene una etiología familiar.
Descripción del caso clínico
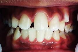
Paciente masculino de 10 años de edad, peso 23 Kg., estatura 123 cm., procedente de Jamundí, Valle del Cauca- Colombia. Asiste a consulta, en compañía de su tía, responsable del menor, quien refiere como motivo de consulta: “Mi sobrino tiene un solo diente adelante”. Al interrogatorio refiere: El niño es el segundo hijo de tres embarazos llevados a término; Antecedentes familiares, tía paterna padece diabetes, hipertensión y cáncer sin especificar. Antecedentes personales no reporta; la tía refiere que el niño, en la dentición decidua también presentó un solo incisivo central superior. Además, relata que sus otros dos hermanos presentan el mismo problema. Al examen extraoral se observa que la línea media no coincide con la punta de la nariz, ni con el centro del mentón; no presenta filtrum labial, el plano bipupilar no es paralelo a la línea comisural; existe incompetencia labial; orejas de tamaño, proyección e implantación aumentadas. (Figura 1) En el examen intraoral se observa un incisivo central único sobre la línea media del maxilar, ausencia de frenillo labial y papila incisiva, paladar oval y maloclusión clase II con proinclinación de incisivo central. (Figura 2 a, b y c).
Se realizan estudios complementarios: modelos de estudio, radiografías panorámica y lateral de cráneo, fotos extra e intraorales, para realizar un correcto diagnóstico e el iniciar tratamiento.


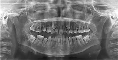
La radiografía panorámica (Figura 3) mostró un incisivo único maxilar con una sola raíz y un solo conducto radicular. No se observa formación o impactación del otro incisivo central.

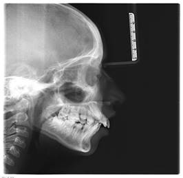
En la Cefalometría De Lavergne Y Petrovick, realizada tomando como referencia la radiografía lateral de cráneo (Figura 4) el paciente tiene: rotación mandibular neutra, maxilar mayor que la mandíbula, relación distal anteroposterior con relación vertical normal (R2DN)

Para ver la necesidad de espacio en los arcos superior e inferior, se realizaron los análisis de Pont (espacio transversal) en el cual se obtuvo que el paciente presenta déficit de espacio tanto en la zona anterior como en la posterior en los dos arcos. En el análisis de Moyers (espacio para erupción de caninos y premolares), paciente presenta déficit de espacio solo en el arco inferior.
Con el estudio de la cefalometría se obtuvo que el paciente presenta:
-Perfil retrognático
-Retrognatismo mandibular
-Rotación mandibular en sentido de las manecillas del reloj
-Crecimiento vertical
-Clase II dental y esquelético
-Longitud mandibular corta
-Patrón dolicofacial
-Incisivos superiores proinclinados y protruidos
-Overjet y overbite aumentados
-Mordida profunda
En base a los estudios realizados, se concluye el diagnóstico de Síndrome del Incisivo Central Maxilar Único.
Debido al compromiso funcional y estético del paciente se realiza plan de tratamiento que incluye dos fases. La primera fase tiene una duración aproximada de 1 año en la que se coloca aparatología ortopédica maxilar. Para la segunda fase se da dos opciones de tratamiento que tienen la finalidad de reemplazar el incisivo ausente.
FASE 1:
1. Ortopedia maxilar con Simoes Network 1 (SN1), para aumentar la longitud mandibular y corregir la Clase II.
FASE 2:
1. Ortodoncia para dar espacio entre el incisivo central y lateral para la colocación de implante en reemplazo del incisivo ausente.
2. Ortodoncia para alinear los dientes, cerrar espacios y mimetizar el sector anterior.
La opción de la ortopedia fue aceptada por la representante del menor y se está a la espera de definir la segunda fase de tratamiento debido al factor económico.
La fase 1 se inició el 8 de junio del 2021, se citó al paciente a controles mensuales durante 6 meses. En diciembre del 2021 se realizó control fotográfico donde se observa disminución en el overjet y overbite, mejora en el perfil y corrección de la mordida profunda (Figuras 5 y 6). Actualmente continúa en seguimiento hasta cumplir el año del tratamiento.


Cabe indicar que el paciente se encuentra en seguimiento por la especialidad de Medicina Pediátrica para su tratamiento integral.
Discusión
El SICMU es una alteración rara que puede presentarse como un hallazgo aislado o puede estar asociado con anomalías sistémicas, factores genéticos y ambientales, los cuales alteran la división mitótica normal durante la formación del órgano dental 8. Los hallazgos clínicos y radiológicos, y la ausencia de antecedentes de trauma, confirmaron que el paciente de este caso clínico presentaba SICMU 10. Es considerada una alteración rara que puede presentarse como un hallazgo aislado o puede estar asociado con anomalías sistémicas, factores genéticos y ambientales los cuales alteran la división mitótica normal durante la formación del órgano dental 8.
Se puede inferir, en este caso, que la herencia afectó a los 3 hermanos los cuales refirieron las mismas características compatibles con SICMU tanto en la dentición decidua y permanente; no se reportó que algún otro familiar presente esta afectación.
Existen características fenotípicas que son muy específicas del SICMU, y que son evidentes en el caso reportado anteriormente como lo son: baja estatura, deficiencia intelectual, retrognatismo mandibular, labio superior en forma de arco, filtrum poco definido, ausencia de frenillo labial 19. Inger y cols. describen también al incisivo central único presente en boca con una morfología coronal simétrica, no se distingue si es el diente 1.1 o 2.127. Sistémicamente, las personas que presentan este síndrome pueden padecer de enfermedades cardiacas, renales, alteraciones en los órganos sexuales, entre otros 3, por lo cual, para este paciente es importante realizar estudios complementarios ya que al momento de la anamnesis no se había descartado disfunciones en los órganos involucrados en este síndrome.
El SICMU se caracteriza por presentar maloclusión clase II, con hipoplasia y rotación posterior mandibular 26. Conforme a lo reportado previamente en la literatura, el análisis de los exámenes radiográficos realizados en el presente caso clínico reveló una clase II esquelética con tendencia a la hiperdivergencia debido al crecimiento en la postrotación mandibular, proinclinación de los incisivos superiores e inferiores y perfil facial cóncavo, por lo cual se requiere manejo integral, no solo la parte estética sino también la funcional 3,7,9,10,16,20,21.
Diversos procedimientos clínicos han sido reportados para el tratamiento de esta alteración, una vez realizado un correcto diagnóstico 3,7,14,21,26. Dentro de las opciones terapéuticas está el uso de aparatología para ortopedia funcional, como se realizó en el caso presentado anteriormente, donde se logró mejorar el tamaño mandibular, teniendo en cuenta la edad del paciente y el potencial de crecimiento que este presenta. Posteriormente, cuando el paciente esté en dentición permanente se realizará el manejo estético con ortodoncia fija 5,14,21,26 y rehabilitación oral para dar por terminado el manejo odontológico del paciente 26.
Conclusión
El presente caso es un síndrome poco frecuente el cuál conlleva múltiples afecciones que interfieren en el normal desarrollo y crecimiento de estructuras anatómicas, por lo tanto, como odontólogos y especialidades a fines, se debe estar atentos a las manifestaciones orales del SICMU, pues estos hallazgos pueden ser cruciales para el correcto diagnóstico de este síndrome, que puede pasar desapercibido durante la vida del individuo. Un oportuno tratamiento en edades tempranas, con el uso de ortopedia funcional, mejorará el pronóstico funcional y estético, logrando así una mejor satisfacción por parte del paciente.
Referencias
1. Medellín Pedraza N.; Garrigós Esparza L.D.; Márquez Preciado R. y cols. Síndrome del incisivo central maxilar único y el papel del odontopediatra en el manejo interdisciplinario: Reporte de un caso clínico. Odontol Pediátr. 2018;26 (2): 155-63.
2. Mustafa MM, Zakirulla M, AlShahrani I, Togoo RA, Alkahtani ZM, Ain TS. Clinical Evaluation of Solitary Median Maxillary Central Incisor Syndrome. Case Rep Dent. 2019 Sep 12;2019:2637825.
3. Nalawade TM, Mallikarjuna RM, Sogi HPS, Bhat KG, Kumbar VM. Solitary Median Maxillary Central Incisor: A Case Report with 3-Year Follow-Up and Literature Review. Contemp Clin Dent. 2021 Jul-Sep;12(3):324-327.
4. Johnson N, Windrim R, Chong K, Viero S, Thompson M, Blaser S. Prenatal diagnosis of solitary median maxillary central incisor syndrome by magnetic resonance imaging. Ultrasound Obstet Gynecol. 2008 Jul;32(1):120-2.
5. Schneider UEM, Moser L. Orthodontic space closure in a young female patient with solitary median maxillary central incisor syndrome. Am J Orthod Dentofacial Orthop. 2021 Jul;160(1):132-146.
6. Ilhan O, Pekcevik Y, Akbay S, Ozdemir SA, Memur S, Kanar B, Kirbiyik O, Ozer EA. Solitary median maxillary central incisor, holoprosencephaly and congenital nasal pyriform aperture stenosis in a premature infant: case report. Arch Argent Pediatr. 2018 Feb 1;116(1):e130-e134.
7. Lygidakis NN, Chatzidimitriou K, Petrou N, Lygidakis NA. Solitary median maxillary central incisor syndrome (SMMCI) with congenital nasal puriform aperture stenosis: literature review and case report with comprehensive dental treatment and 14 years follow-up. Eur Arch Paediatr Dent. 2013 Dec;14(6):417-23.
8. Rappaport EB, Ulstrom R, Gorlin RJ. Monosuperocentroincisivodontic dwarfism. Birth Defects Orig Artic Ser. 1976;12(5):243-5.
9. Viana Eda S, Kramer PF, Closs LQ, Scalco G. Solitary median maxillary central incisor syndrome and holoprosencephaly: a case report. Pediatr Dent. 2010 Sep-Oct;32(5):424-7.
10. Utreja A, Zahid SN, Gupta R. Solitary median maxillary central incisor in association with hemifacial microsomia: A rare case report and review of literature. Contemp Clin Dent. 2011 Oct;2(4):385-9.
11. Hall RK. Solitary median maxillary central incisor (SMMCI) syndrome. Orphanet J Rare Dis. 2006 Apr 9;1:12.
12. Chandrasekaran D, Yezdani A, Tajir F, Saravanan B, Rajasekar L. Solitary median maxillary central incisor: A case report of a rare dental anomaly. J Pharm Bioallied Sci. 2015 Apr;7(Suppl 1):S307-8.
13. Poelmans S, Kawamoto T, Cristofoli F, Politis C, Vermeesch J, Bailleul-Forestier I, Hens G, Devriendt K, Verdonck A, Carels C. Genotypic and phenotypic variation in six patients with solitary median maxillary central incisor syndrome. Am J Med Genet A. 2015 Oct;167A(10):2451-8.
14. Garcia Rodriguez R, Garcia Cruz L, Novoa Medina Y, Garcia Delgado R, Perez Gonzalez J, Palma Milla C, Lopez Siles J, Medina Castellano M, Garcia Hernandez JA, Santana Rodriguez A. The solitary median maxillary central incisor (SMMCI) syndrome: Associations, prenatal diagnosis, and outcomes. Prenat Diagn. 2019 May;39(6):415-419.
15. Machado E, Machado P, Grehs B, Grehs RA. Solitary median maxillary central incisor syndrome: Case report. Dental Press J Orthod. 2010 July-Aug;15(4):55-6
16. Szakszon K, Felszeghy E, Csízy I, Józsa T, Káposzta R, Balogh E, Oláh E, Balogh I, Berényi E, Knegt AC, Ilyés I. Endocrine and anatomical findings in a case of Solitary Median Maxillary Central Incisor Syndrome. Eur J Med Genet. 2012 Feb;55(2):109-11.
17. Barcelos R, Tannure P, Farinhas J, Kahn E, Gleiser R. Solitary median maxillary central incisor in two healthy siblings: case report. J Disability Oral Health 2011; 12(3): 133-135.
18. Mendoza D, Fragoso A, Yamamoto A. Síndrome del incisivo central único de la línea media del maxilar y fusión de incisivos centrales permanentes mandibulares: Reporte de un caso clínico. Revista Odontológica Mexicana a 2005;9 (1): 37-41
19. Negi A, Negi A, Mohanan M. Solitary median maxillary central incisor syndrome: A rare entity. J Oral Maxillofac Pathol. 2020 May-Aug;24(2):402.
20. Blackmore K, Wynne DM. A case of solitary median maxillary central incisor (SMMCI) syndrome with bilateral pyriform aperture stenosis and choanal atresia. Int J Pediatr Otorhinolaryngol. 2010 Aug;74(8):967-969.
21. Bolan M, Derech CD, Côrrea M, Ribeiro GLU, Almeida ICS. Palatal expansion in a patient with solitary median maxillary central incisor syndrome. Am J Orthod Dentofacial Orthop. 2010 Oct;138(4):493-497.
22. De Lima Pedro R, Kchler EC, Primo LG, de Castro Costa M. Solitary Median Maxillary Central Incisor Syndrome: An esthetic solution in a child. J Dent Probl Solut 2017; 4(4): 072-075
23. Muñoz Aguilar G, Alcón Sáez J.J., Domingo Triadó I. Síndrome del incisivo central maxilar único. Acta Pediatr Esp. 2014; 72(3): e100-e104.
24. Srivathsa SH. Congenitally missing maxillary central incisor or solitary median maxillary central incisor?. Int J Orofac Res 2018;3:17-9.
25. Nanni L, Ming JE, Du Y, Hall RK, Aldred M, Bankier A, Muenke M. SHH mutation is associated with solitary median maxillary central incisor: a study of 13 patients and review of the literature. Am J Med Genet. 2001 Jul 22;102(1):1-10.
26. Zatonski T, Pazdro-Zastawny K, Morawska-Kochman M, Biela M, Koltowska A, Rydzanicz M, Rozensztrauch A, Kosinska J, Dorobisz K, Ploski R, Smigiel R. Single median maxillary central incisor syndrome and variant in SMO gene associated with SHH pathway. Int J Pediatr Otorhinolaryngol. 2020 Jul;134:110038.
27. Nota A, Ehsani S, Pittari L, Gastaldi G, Tecco S. Rare case of skeletal third class in a subject suffering from Solitary Median Maxillary Central Incisor syndrome (SMMCI) associated to panhypopituitarism. Head Face Med. 2021 Nov 23;17(1):49.
Notas