Cartas científicas
Cartas científicas
Revista Uruguaya de Cardiología, vol. 31, núm. 2, pp. 315-325, 2016
Sociedad Uruguaya de Cardiología
Hipotermia terapéutica posparo cardiorrespiratorio. Reporte de dos casos
Sr. Editor
La hipotermia terapéutica (HT) es la aplicación de frío con el objetivo de disminuir de forma controlada la temperatura corporal como medida de protección cerebral. El éxito del tratamiento se basa en conseguir y mantener una hipotermia inducida leve (entre 32 ºC y 36 ºC) durante un período de al menos 24 horas(1). Se aplica en el paro cardiorrespiratorio (PCR) por fibrilación ventricular (FV) o taquicardia ventricular sin pulso con recuperación de la circulación espontánea con score coma de Glasgow (SCG) menor de 8 tras 20 minutos posresucitación cardiopulmonar (RCP) en adultos de ambos sexos, con PCR intra o extrahospitalario, presenciado o no(1).
Caso 1
Paciente de sexo masculino, 42 años, fumador, sin otros antecedentes personales a destacar. Consulta en el Hospital de Minas por episodio de dolor precordial, donde instala PCR en FV; se desconocen tiempos y características de la RCP, recuperando circulación espontánea. Posresucitación, el paciente está en coma, con movimientos anormales e inestabilidad hemodinámica. El electrocardiograma (ECG) muestra ritmo sinusal (RS) e imagen de infarto agudo de miocardio (IAM) anterolateral con sobre elevación de ST de V1 a V5, DI y AVL. Se traslada a centro de terapia intensiva (CTI) en Montevideo. Al ingreso a CTI: paciente en coma, sin apertura ocular, sin gestos, sin reactividad espinal. SCG 3. Pupilas intermedias, reflejo fotomotor positivo bilateral. La cineangiocoronariografía (CACG) de urgencia muestra oclusión con imagen de trombo endoluminal en un tercio proximal de arteria descendente anterior (ADA), oclusión crónica de arteria circunfleja distal y lesión leve a moderada en un tercio proximal de ramo marginal. Se realiza angioplastia transluminal percutánea (ATPC) de ADA; se implanta stent. El ecocardiograma transtorácico (ETT) al ingreso evidencia extensa aquinesia apicoseptal y de sectores medios de paredes inferior y posterior. Fracción de eyección del ventrículo izquierdo (FEVI) 20%.
Se realizó HT por 24 horas según protocolo de la unidad, con buena evolución (figura 1). Se extuba a los cinco días, con adecuada tolerancia clínica y gasométrica. Hemodinamia estable sin vasopresores.

SCG 15, sin déficit focal neurológico. Sin elementos de falla cardíaca ni de inestabilidad eléctrica. El ETT a los 12 días del primero muestra FEVI de 32%, con las alteraciones sectoriales descritas. Se otorga alta a sala a los 15 días de su ingreso a CTI.
Caso 2
Paciente de sexo masculino, 50 años, fumador intenso, estresado. Cardiopatía isquémica con IAM anteroseptal en 2005; se realizó APTC primaria sobre ADA con colocación de stent. Tratado con ácido acetilsalicílico 325 mg/día, clopidogrel 75 mg/día, atenolol 100 mg/día, atorvastatina 20 mg/día. En octubre 2014, presenta PCR fuera del hospital durante situación de estrés, recibiendo RCP con uso de DEA, constatándose FV que es revertida a RS luego de tres choques. Ingresa a la unidad posresucitación.
Al ingreso no presenta apertura ocular, gestos faciales al estímulo nociceptivo, extenso-pronación de miembros, SCG 5. Pupilas intermedias, reflejo fotomotor positivo bilateral. Sin elementos de falla cardíaca. Hemodinamia estable. El ECG evidencia RS de 80 cpm, QS de V1 a V4 con supradesnivel del ST de 2 mm. CACG de urgencia: estenosis intrastent de ADA; se realiza ATPC de la misma. Se aplica protocolo de hipotermia (figura 1), con necesidad de prolongarlo por 48 horas por ascenso térmico mayor a lo previsto durante fase de recalentamiento. El ETT 48 horas después evidencia VI dilatado con extensa zona de aquinesia septal anterior y posterior; FEVI 22%. Presentó como complicación neumonía asociada a la ventilación mecánica. Se extuba con buena tolerancia a los 20 días del ingreso. Se implanta cardiodesfibrilador. Alta de CTI a los 26 días de su ingreso, lúcido, y sin déficit neurológico.
Comentario
La recuperación neurológica sin secuelas o con secuelas mínimas luego de un PCR es poco frecuente(2).
Una RCP precoz y correcta, y las intervenciones durante las horas inmediatamente siguientes a la recuperación de la circulación espontánea son cruciales para lograr este objetivo. Existe evidencia que la utilización de la HT moderada (32 ºC a 36 ºC) pos PCR por FV mejora tanto el pronóstico neurológico como la mortalidad con recomendación clase I, nivel de evidencia B-R (estudios aleatorizados)(1, 3). Las guías de la American Heart Association 2015 avalan el uso de este tratamiento con recomendación clase I, nivel de evidencia B-R para pacientes en coma tras PCR por FV o taquicardia ventricular sin pulso (TVp) con el objetivo de disminuir el daño neurológico por isquemia-reperfusión, y recomendación clase I, nivel de evidencia C-EO (consenso, opinión de expertos) para pacientes en coma pos PCR de causa no FV/TVp y PCR intrahospitalario(1).
El cerebro recibe el 15% del flujo cardíaco y el 20% del oxígeno consumido por el organismo. Cuando es sometido a isquemia aguda, se produce apoptosis y muerte celular, y se desencadena una cascada de reacciones químicas que son prevenibles con la HT(4). Los mecanismos de neuroprotección propuestos incluyen: reducción del metabolismo neuronal de 6% a 10% por cada grado centígrado que baje la temperatura, atenuación de la cascada citotóxica y de las especies reactivas de oxígeno, disminución de la apoptosis (que ocurre entre las 48 y 72 horas pos PCR), reducción de la respuesta inflamatoria y protección de la barrera hematoencefálica(5). Los dos pacientes presentaron reflejo pupilar desde el ingreso y se mantuvo en la evolución. Su ausencia a las 72 horas del episodio es un marcador de mal pronóstico(6). Como estos pacientes fueron curarizados para evitar el recalentamiento por chuchos de frío durante la hipotermia hasta 48 horas, la respuesta motora durante este período no pudo ser evaluada.
Actualmente se recomienda un rango meta de temperatura central más flexible, entre 32 °C y 36
°C, que recientemente evidenciaron tan buenos resultados neurológicos como en el rango entre 32 °C y 34 °C(1, 3, 7). Durante el recalentamiento del paciente luego de las 24 horas de hipotermia se recomienda evitar la fiebre, dado que en los primeros días pos PCR podría empeorar el resultado neurológico, clase IIb, nivel de evidencia C-LD (datos limitados)(1). Por esta razón, en el caso 2 se debieron prolongar las medidas de hipotermia.
Exceptuando la HT, ninguna medida ha mostrado en ensayos clínicos aleatorizados beneficio alguno para los pacientes en coma recuperados de un PCR(8). Numerosos estudios han demostrado que la HT es un tratamiento que se puede aplicar de forma segura y con mínimos efectos adversos. Parece rade mal pronóstico(6). Como estos pacientes fueron curarizados para evitar el recalentamiento por chuchos de frío durante la hipotermia hasta 48 horas, la respuesta motora durante este período no pudo ser evaluada.
Actualmente se recomienda un rango meta de temperatura central más flexible, entre 32 °C y 36
°C, que recientemente evidenciaron tan buenos resultados neurológicos como en el rango entre 32 °C y 34 °C(1,3,7). Durante el recalentamiento del paciente luego de las 24 horas de hipotermia se recomienda evitar la fiebre, dado que en los primeros días pos PCR podría empeorar el resultado neurológico, clase IIb, nivel de evidencia C-LD (datos limitados)(1). Por esta razón, en el caso 2 se debieron prolongar las medidas de hipotermia.
Exceptuando la HT, ninguna medida ha mostrado en ensayos clínicos aleatorizados beneficio alguno para los pacientes en coma recuperados de un PCR(8). Numerosos estudios han demostrado que la HT es un tratamiento que se puede aplicar de forma segura y con mínimos efectos adversos. Parece radeterminar con mayor precisión el nivel y la duración óptima de esta terapia(9).
Dres. Anabela Fernández, Jorge Castelli, Leonardo Marrubio
Centro de Tratamiento Intensivo. Hospital Central de las Fuerzas Armadas.
Correo electrónico: anabelafm@telefónica.net
Bloqueo de rama izquierda isquémico inducido por el ejercicio. Reporte de caso y revisión de sus implicancias pronósticas
Sr. Editor
En ocasiones, la ergometría evidencia otros fenómenos fisiológicos de suma importancia diagnóstica que van más allá del infradesnivel del segmento ST y el ángor. Describimos el caso de una paciente con cardiopatía isquémica multivaso que exhibe bloqueo de rama (BR) taquicardia-dependiente asociado a la isquemia inducida por el esfuerzo, discutiendo las implicancias pronósticas de este evento fisiológico a mediano y largo plazo.
Caso clínico
Paciente de 65 años, sexo femenino, sedentaria, hipertensa, dislipémica e hipotiroidea, portadora de cardio patía isquémica. Hace diez años sufrió infarto de miocardio infero-posterior, se realizó angioplastia coronaria percutánea primaria con implante de un stent metálico sobre el segundo ramo marginal. Recibe tratamiento con tetrayodotironina, losartán, atorvastatina yaspirinaadosisplenassegúnlasrecomendacionesactuales(10), con buena tolerancia. Es derivada para una ergometríaporanginacrónicaclasefuncional IIdecinco meses de evolución. Eco Doppler transtorácico: fracción de eyección del ventrículo izquierdo (FEVI)=65% (método elipsoide), motilidad global y segmentaria del VI normal, sin valvulopatías.. En el gabinete de ergometría la paciente estaba normocoloreada, eupneica, índice de masa corporal (IMC): 31 kg/m2, presión arterial (PA) = 140/80 mmHg, auscultación cardíaca central: ritmo regular de 75 cpm sin soplos, campos pulmonares libres. El electrocardiograma (ECG) basal se muestra en la figura 1.

Ergometría
Tras obtener el consentimiento informado por escrito se realizó un esfuerzo graduado y continuo en ciclo-ergómetro siguiendo protocolo de Astrand, bajo monitoreo ECG continuo y controles de PA en cada etapa del esfuerzo y en el posesfuerzo (PE). En la etapa II (300 kgm) la paciente instaló ángor e infradesnivel del segmento ST horizontal de 1 mm en V5, que alcanzó 1,5 mm en la etapa III (450 kgm, figura 2). Al primer minuto de esta etapa se registró extrasistolía ventricular en duplas y bloqueo completo de rama izquierda (BCRI) intermitente, que se hizo permanente a una frecuencia de 125-130 cpm (figura 2). Al final de la etapa IV se registró una caída de la PA sistólica de 30 mmHg, que en este contexto obligó a suspender la prueba. Durante la recuperación, la conducción ventricular basal se restableció a una frecuencia de 95 cpm (intervalo RR: 630 ms). En la tabla 1 se resumen los datos clínicos, ECG y hemodinámicos obtenidos durante la prueba.


Angiografía coronaria
La angiografía coronaria confirmó la presencia de enfermedad coronaria multivaso (figura 3), tras lo cual la paciente fue derivada a cirugía de revascularización miocárdica.
La aberrancia es un fenómeno electrofisiológico caracterizado por la alteración transitoria de la conducción ventricular en ausencia de BR preexistente, preexcitación o efecto de drogas. En lo morfológico, adopta patrón de bloqueo completo de rama derecha en 75%-80% de los casos, siendo esta la regla en el corazón normal(11). En lo fisiológico, se produce principalmente por bloqueo dependiente de frecuencia(12).
La velocidad de conducción en el miocardio específico depende de la tasa de aumento y amplitud máxima de la fase 0 del potencial de acción, variables que se relacionan directamente con el potencial transmembrana previo a la estimulación. Cuanto más negativo sea el potencial previo, más canales de cinética rápida de sodio estarán disponibles para la activación, más veloz será el influjo iónico y mayor la velocidad de conducción. Si, en cambio, el miocito recibe un estímulo anticipado (en fase 3), habrá menos canales de sodio disponibles para activarse, menor velocidad de ascenso en fase 0 y conducción más lenta del potencial de acción. Este fenómeno, denominado bloqueo taquicardia-dependiente o en fase 3, es la forma más común de BR dependiente de frecuencia(13). A su vez, es frecuente observar un restablecimiento de la conducción basal a una frecuencia menor a la que aparece el BR. Esta situación, denominada fenómeno de enlace (linking), se atribuye a la activación transeptal oculta hacia la rama del His bloqueada, que persiste durante la desaceleración(14).
Para diagnosticar un BR dependiente de frecuencia, el clínico debe analizar un registro ECG prolongado, detectando el momento exacto en que desaparece el patrón de BR, para entonces asumir que el QRS se estrecha en algún punto en torno a la frecuencia cardíaca previa inmediata (longitud de ciclo crítica). Asimismo, para concluir que la conducción previa se produce desde las aurículas a los ventrículos, debe definir si todos los latidos con patrón de BR iban precedidos de onda P e intervalo PR similares a los latidos previos y posteriores.
El bloqueo taquicardia-dependiente o en fase 3 que observamos es la forma más frecuente de aberrancia paroxística. Sus manifestaciones clínicas son muy variables, yendo desde un bloqueo fascicular aislado al bloqueo auriculoventricular completo(15). En este caso, la aberrancia asienta en una cardiopatía isquémica crónica avanzada, en la que suele existir una prolongación anormal del período refractario en alguna porción del sistema de His-Purkinje. Al aumentar la frecuencia cardíaca, el potencial de acción de las ramas del His no puede acortarse y, paradójicamente, el período refractario efectivo se prolonga. Como durante la aceleración el período refractario de la rama derecha se acorta más que el de la rama izquierda, la aberrancia suele adoptar morfología de BCRD a frecuencias más bajas y de BCRI a frecuencias más altas(16).
En lo fisiológico, la aparición transitoria de un BR durante el ejercicio es una manifestación muy inusual de isquemia, que casi siempre se asocia con enfermedad de la arteria descendente anterior (ADA) proximal. KJ Boran y colaboradores describen una prevalencia de BR taquicardia-dependiente cercana a 0,45% en las pruebas ergométricas (n=8) en forma de bloqueo fascicular anterosuperior izquierdo (n=4), o posteroinferior izquierdo (n=2), BCRD con eje eléctrico normal o desviado a derecha (n=2), BCRD con eje eléctrico desviado a izquierda (n=1) y bloqueo fascicular anterior izquierdo que evoluciona a BCRI (n=1). En todos los casos se comprobó estenosis severa de la ADA proximal antes del origen del primer ramo septal(17). JP Bounhoure y colaboradores describen la aparición de BR taquicardia-dependiente en 32 de 16.500 pruebas de esfuerzo (prevalencia=0,002%); 78% de ellos con morfología de BCRI. En esta serie, la aparición de BCRI se correlacionó con enfermedad severa de la ADA proximal en 18/25 casos (valor predictivo positivo de 72%), especialmente cuando el BCRI aparecía a una frecuencia cardíaca menor a 120 cpm(18). Debido a que la presencia transitoria de BCRI es un modelo de “memoria” cardíaca, las alteraciones en la repolarización que observamos al restablecerse la conducción normal deben ser interpretadas con cautela como signo de isquemia persistente (ver figura 2 y tabla 1).
El pronóstico de los pacientes con BCRI en fase 3 está signado principalmente por la presencia y severidad de la enfermedad coronaria(18, 19). En la cardiopatía isquémica multivaso con perfil estable que presenta nuestra paciente, los registros y ensayos clínicos han demostrado la superioridad de la cirugía de bypass sobre la terapia médica o el intervencionismo percutáneo en términos de mortalidad global, mortalidad cardíaca, infarto y necesidad de nueva revascularización(20), beneficios que son aún mayores cuando hay compromiso de la ADA proximal(21). Por tratarse de un fenómeno eléctrico que se asocia con la isquemia extensa, la aparición de BCRI al esfuerzo per se no siempre representa una manifestación de daño severo o irreversible del sistema de conducción infrahisiano. En teoría, el tratamiento efectivo de la isquemia en el territorio de la ADA disminuiría el riesgo de progresión a bloqueo auriculoventricular avanzado(19). En décadas anteriores se sugería una asociación significativa entre los trastornos de la conducción ventricular preoperatorios y una menor sobrevida posquirúrgica a largo plazo(22, 23). Posteriormente, una revisión sistemática y metaanálisis publicada por Kumbhani y colaboradores comprobó que la cirugía de bypass coronario reducía sustancialmente la mortalidad alejada, aun cuando la tasa de trastornos de la conducción ventricular preopera torios era elevada(24). Aunque se reconoce que la enfermedad coronaria aumenta la posibilidad de desarrollar BCRI permanente(25), las grandes series publicadas no se han referido al BR intermitente previo, ya sea inducido por el ejercicio o en otras variantes fisiológicas(18, 19, 24, 26). Mientras tanto, el valor predictivo de los BR en fase 3 de causa isquémica en relación con la necesidad de marcapaso posoperatorio sigue siendo incierto.
Dres. Federico Ferrando-Castagnetto, Roberto Ricca-Mallada, Erika Mirandetti, Alejandro Vidal, Lic. NC Pablo Marichal
Centro Cardiovascular Universitario, Facultad de Medicina, UdelaR.
Correo electrónico: federico.ferrando@gmail.com
Recibido Jun 19, 2016; aceptado Jul 1, 2016.
Disfunción apical transitoria en el posoperatorio de cirugía de sustitución valvular mitral
Sr. Editor
El síndrome de balonamiento apical o miocardiopatía de takotsubo se corresponde con una disfunción ventricular transitoria y generalmente reversible, evidenciada en el electrocardiograma (ECG) por una afectación difusa que determina un supradesnivel del segmento ST y/o inversión de onda T, no asociada a territorios coronarios específicos(27, 28). La morfología del ventrículo izquierdo remeda, en los estudios de imagen, un dispositivo utilizado en Japón para la captura de pulpos (takotsubo), de allí su denominación.
Se asocia a situaciones de estrés y presenta como característica fundamental el compromiso difuso de la motilidad parietal, sin lesiones coronarias, de topografía predominantemente apical, asociado a una hiperdinamia basal compensadora(28, 29). La etiología no está completamente establecida, se describen, como probables mecanismos implicados, una respuesta anormal al estímulo catecolaminérgico y disfunción microvascular(27, 29, 30). Recientemente ha sido incorporada como entidad propia en la clasificación de cardiomiopatíasde la American Heart Association(31). Lamayoría de los casos y series publicados hacen referencia a pacientes no quirúrgicos. Sin embargo, existen pocoscasosreportadosen la literaturade disfunción apical transitoria luego de la cirugía cardíaca(32, 33, 34, 35). Curiosamente, la mayoría de estos están vinculados a pacientes sometidos a cirugía valvular mitral.
Presentamos un caso de disfunción apical transitoria (takotsubo) luego de sustitución valvular mitral en una paciente con antecedente de síndrome coronario agudo sin ST con coronarias normales.
Caso clínico
Paciente de sexo femenino, 46 años de edad, antecedentespersonalesde prolapso valvular mitral, dislipemia, hipertensión y fiebre reumática. Presentó en 2010 un síndrome coronario agudo sin ST, realizándose una cineangiocoronariografía (CACG) que no evidenció lesiones coronarias. Refiere una historia de disnea de esfuerzo clase funcional III, disnea de decúbito, disnea paroxística nocturna, acompañado de ángortípico decinco añosdeevolución. Enmayo de 2015 se realizó un ecocardiograma transesofágico que informó: “Válvula mitral mixomatosa, engrosada, redundante, con prolapso de ambos velos, que determina una insuficiencia mitral severa, no observándose trastornos de la motilidad; FEVI normal con un diámetro diastólico del ventrículo izquierdo de 51 mm”.
Se indica tratamiento quirúrgico sobre válvula mitral. Por tratarse de una patología que involucra ambas valvas y por presentar características anatómicas y funcionales que determinan un riesgo considerable de recidiva en caso de reparación, se opta por una cirugía de sustitución valvular empleando una prótesis mecánica (paciente joven sin contraindicaciones para anticoagulación). Nueva CACG preoperatoria no evidencia lesiones coronarias significativas. El ECG preoperatorio no evidencia alteraciones (figura 1-A). En febrero de 2016 se realiza sustitución valvular mitral conimplantacióndeprótesismecánicanúmero 28, preservando el aparato subvalvular; tiempo de circulación extracorpórea 90 minutos, tiempo de clampeo 70 minutos. Sin complicaciones ni incidentes a destacar. El ecocardiograma transesofágico intraoperatorio mostró prótesis normofuncionante, sin fugas, con función sistólica normal.

ECG posoperatorio: ritmo sinusal con una frecuencia de 90 cpm, bloqueo auriculoventricular de primer grado, supradesnivel de segmento ST en derivaciones DI, aVL, V2 a V5 (figura 1-B). Ante la probabilidad de infarto agudo de miocardio perioperatorio se solicita ecocardiograma transesofágico que evidencia: “Aquinesia de todos los segmentos medio-apicales, FEVI 20%, prótesis mitral mecánica con gradiente medio de 2 mmHg, discos móviles. Resto sin particularidades” (figura 1).
Basados en elementos electrocardiográficos de isquemia transmural difusa y el hallazgo ecocardiográfico de un trastorno difuso de la contractilidad, de predominio medio-apical, sin respetar un claro territorio vascular, sumado al antecedente de ausencia de lesiones coronarias en la CACG reciente, se plantea el diagnóstico de miocardiopatía de takotsubo. En la evolución presenta tendencia a la hipotensión, por lo que se realizatratamiento fisiopatológico de ladisfunción contráctil de etiología isquémica, con fármacos inotrópicos y vasodilatadores coronarios,
A las horas se constata una renivelación de segmento ST, asociado a una mejoría en parámetros hemodinámicos, que permite el descenso del apoyo inotrópico (figura 1-C). Es extubada a las 8 horas de la cirugía. En la evolución inmediata no presenta alteraciones electrocardiográficas. En el ecocardiograma a las 24 horas se constata una notoria mejoría de la función sistólica, con una FEVI de 60%, sin trastornos sectoriales de la contractilidad. La paciente evoluciona favorablemente, sin otras complicaciones, y recibe el alta quirúrgica a los 10 días.
Discusión
Hasta el momento no existe consenso con respecto a los criterios diagnósticos de esta entidad. Investigadores de la Clínica Mayo han propuesto un conjunto de criterios que resultan los más utilizados en la actualidad(28): 1) Hipoquinesia, disquinesia o aquinesia transitoria de segmentos medios ventriculares, con o sin compromiso apical, trastornos de la motilidad regional que se extienden más allá de un territorio vascular coronario; un evento estresante es un desencadenante frecuente, pero no siempre está presente. 2) Ausencia de enfermedad coronaria obstructiva o evidencia angiográfica de accidente de placa. 3) Nuevos cambios electrocardiográficos (elevación de ST y/o inversión de onda T), o elevación de troponinas. 4) Ausencia de feocromocitoma y miocarditis. Este caso cumple con los cuatro criterios: el patrón ecocardiográfico característico, ausencia de enfermedad coronaria, cambios dinámicos electrocardiográficos y ausencia de patología concomitante.
Tanto la etiología como la fisiopatología de esta afección no están del todo aclaradas; varios mecanismos han sido propuestos: espasmo arterial coronario, disfunción microvascular, cardiotoxicidad mediada por catecolaminas, entre otros(27, 28). El es trés físico y mental y también el estrés postraumatismo físico se han descrito como determinantes en su desarrollo(27, 29). Se han descrito casos puntuales de pacientes con miocardiopatía de takotsubo en posoperatorio de cirugía cardíaca(33, 34, 35). La mayoría tiene en común la presentación luego de cirugía mitral, no estando clara la causa de esta asociación. A diferencia de reportes previos, este caso presenta la particularidad de tratarse de una paciente con un antecedente de síndrome coronario agudo, con coronarias angiográficamente normales, lo cual apoyaría la teoría del vasoespasmo como etiología(29). La disfunción microvascular o la toxicidad catecolaminérgica son mecanismos que también podrían estar implicados y ser causantes de ambos cuadros clínicos(29, 31).
Aunque presenta una baja incidencia, es importante considerar la miocardiopatía de takotsubo en pacientes que presentan shock cardiogénico en el posoperatorio de cirugía cardíaca(34, 35).
A pesar de presentar un patrón ecocardiográfico característico se deben plantear diagnósticos diferenciales como la embolia aérea y la mala protección miocárdica. La embolia predomina en la circulación coronaria derecha, manifestándose como una disfunción contráctil segmentaria ligada a su territorio de vascularización (afectando principalmente el ventrículo derecho). La mala protección miocárdica durante la cirugía se manifiesta desde la salida de la circulación extracorpórea, y no de forma aguda como en este caso.
Los agentes inotrópicos pueden empeorar el cuadro clínico al determinar un aumento en el gradiente intraventricular(29, 32). Algunos autores respaldan el uso de betabloqueantes con el objetivo de aumentar el tiempo diastólico así como el volumen de fin de diástole ventricular(32). Por otra parte, el uso de alfa-agonistas, como la fenilefrina, podrían incrementar la poscarga y por lo tanto determinar una disminución en el gradiente intraventricular, aunque su utilización es discutida(29, 32).
Si bien se trata de una complicación poco frecuente en el posoperatorio de cirugía cardíaca, es necesario su conocimiento y comprensión, en función de lograr un rápido y preciso diagnóstico, con el objetivo de implementar medidas terapéuticas adecuadas que en algunos casos pueden diferir de la terapia convencional utilizada en la falla cardíaca de otra etiología.
Dres. Martín Antelo, Lucía Florio, Pablo Straneo, Álvaro Marichal, Gerardo Soca, Juan José Paganini, Daniel Brusich, Víctor Dayan Centro Cardiovascular Universitario, UdelaR
Correo electrónico: martin.antelo@hotmail.com
Recibido Jul 3, 2016; aceptado Jul 28, 2016.
Embolia pulmonar con hallazgo de trombo en tránsito
Sr. Editor
Presentamos el caso de un paciente de 57 años, sexo masculino, con antecedentes personales de trombosis venosa profunda (TVP) a los 30 años; recibió tratamiento con warfarina, suspendiéndolo sin controles posteriores. Consulta por disnea brusca y palpitaciones de 48 horas de evolución, presentando en la exploración física una taquicardia regular de 120 cpm con cadencia de galope sin otros elementos a destacar.
Electrocardiograma (figura 1): taquicardia sinusal de 120 cpm, onda P y PR normales, eje eléctrico no desviado, QRS 80 mseg, descenso difuso del segmento ST y supradesnivel en aVR y V1.

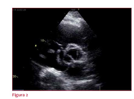
Como parte de la valoración se solicita ecocardiograma Doppler transtorácico (ETT) (figura 2) que mostró trombo blando móvil en aurícula derecha (AD) que se insinúa a través del septum interauricular (SIA), lo que configura un trombo en tránsito (TT) a través de un foramen oval permeable (FOP). No se observa pasaje de contraste salino de izquierda a derecha (el trombo oblitera el FOP). Hipertrofia ventricular izquierda concéntrica moderada. Alteraciones de la motilidad septal atribuibles a sobrecarga de presión en cavidades derechas (D-shape). Fracción de eyección de ventrículo izquierdo: 60%. Cavidades derechas dilatadas. Presión sistólica en arteria pulmonar: 40 mmHg. Disfunción sistólica del ventrículo derecho (VD).

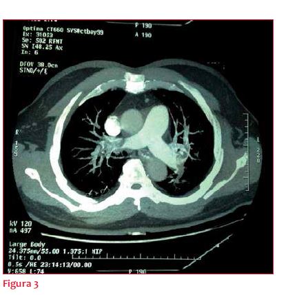
Paraclínica: función renal, gasometría e ionograma normales. No se solicitaron biomarcadores cardíacos. Angiotomografía de tórax: (figura 3) se observan imágenes de defecto de relleno a nivel de la rama derecha de la arteria pulmonar y en las ramas lobares y segmentarias de todos los lóbulos bilateralmente, compatibles con tromboembolismo pulmonar (TEP). Eco Doppler venoso de miembros inferiores (MMII): sin evidencias de TVP.

Con planteo de TEP de riesgo moderado (simplified Pulmonary Embolism Severity Index: sPESI= 1), signosimagenológicosde disfunción del VD y el hallazgo de TT se realizó tratamiento con fibrinolíticos (FBL): rTPA 100 mg i/v, lográndose una rápida mejoría en horas de la sintomatología cardiovascular (CV); un nuevo ETT no evidencia trombo intracardíaco.
A las 24 horas instala parálisis facial central derecha y disartria. Tomografía de cráneo (TC) (figura 4): hematoma agudo frontal izquierdo. En acuerdo con neurólogo se decide continuar con controles clínicos y tomográficos en 24 horas y suspender la anticoagulación, no considerándose indicación de drenaje. La TC a las 48 horas evidencia persistencia de hematoma frontal izquierdo, sin cambios significativos. Se decide mantener sin anticoagulación por 15 días.

Al noveno día del ingreso instala polipnea, Sat O2 88% ventilando al aire, taquicardia sinusal de 108 cpm y presión arterial de 140/90. Se inicia ventilación no invasiva y se realiza tomografía de tórax y abdomen que muestra TEP masivo en ambas arterias pulmonares e infarto renal derecho extenso. TC de cráneo muestra reabsorción parcial del sangrado a nivel frontal presentando sangre a nivel ventricular. Se reinicia anticoagulación con heparina sódica en infusión continua sin conseguir KPTT adecuados en las primeras 12 horas, por lo que se decide implante de filtro cava transitorio (Gunther Tulip) a nivel infrarrenal. El paciente evolucionó posteriormente en forma favorable tanto en lo CV como en lo neurológico. Se reinició warfarina que debió suspenderse a los 15 días por INR 7,5 sin sangrados evidentes. De la valoración hematológica se destacan factores protrombóticos negativos, excepto homocisteína levemente elevada (25 mmol/L). Plaquetas 830.000/mm3 (BCR-abl, JAK2 negativos). Se otorga alta con internación domiciliaria a las cuatro semanas delingreso bajo anticoagulación con warfarina.
Discusión
El hallazgo ecocardiográfico de una masa de forma serpiginosa, con movimiento caótico en cavidades derechas, es un hecho infrecuente. La mayoría de las veces corresponde a un trombo que ha migrado desde el sistema venoso de los MMII y conlleva una alta mortalidad, casi invariablemente por TEP masivo.
Los trombos pueden clasificarse en tipo A y B según sus características morfológicas, presentando riesgos diferentes(36). Los tipo A son serpiginosos o con forma de “gusano”, extremadamente móviles, pudiendo incluso observarse entrando y saliendo del VD a través de la tricúspide en cada ciclo cardíaco. La probabilidad de embolia es muy alta así como la mortalidad (44,7%), asociada en la mayoría de los casos a TEP. La presencia de un FOP implica un peor pronóstico al agregar el riesgo de embolia paradojal. Pueden estar asociados a implante de electrodos (marcapasos), alimentación parenteral por vías centrales y TVP. Los tipo B suelen ser organizados y presentarse adheridos a la pared de la cavidad en la que probablemente se originaron. La probabilidad de embolia es baja.
El diagnóstico de un TT es una situación poco frecuente pero que conlleva un riesgo de muerte inminente del paciente(37). El manejo es discutido dada la escasa evidencia al respecto. Las alternativas terapéuticas son: anticoagulantes(AC), FBLoembolectomíaquirúrgica(EQ). La mayor serie fue publicada en 2002 por Rose y colaboradores(38), quienes realizaron un análisis retrospectivo de todos los casos reportados en lengua inglesa de trombos en cavidades derechas en el período comprendido entre 1966 y 2002. Se analizaron 177 pacientes que presentaban TT, de los que 98% presentó TEP. Con respecto al tratamiento: 35% recibió anticoagulación, 36% EQ, 20% FBL y 9% no recibió tratamiento. La mortalidad total fue de 27%. Según tratamiento: AC 28,6%, EQ 23,8%, FBL 11,3% y el grupo que no recibió tratamiento 100%. Este análisis evidencia la mejoría significativa de la sobrevida con el tratamiento.
Las Guías de embolia pulmonar aguda 2014(39) de la Sociedad Europea de Cardiología señalan que en aquellos pacientes con trombos móviles en el corazón derecho, los beneficios terapéuticos de la trombolisis siguen siendo controvertidos. Se han descrito buenos resultados en algunas series, pero en otros informes la mortalidad a corto plazo superaba el 20% a pesar de la trombolisis. La EQ también se ha realizado con éxito en pacientes con TT. Se ha reportado un caso en nuestro país de un paciente tratado con ACO que presentó evolución favorable(40).
Desde el punto de vista práctico, en la mayor parte de las series publicadas de TT los pacientes se encontraban internados por TEP, por lo tanto los factores a considerar para definir el tratamiento son aquellos que connotan severidad: situación hemodinámica, índice de gravedad de la embolia pulmonar (sPESI), signos imagenológicos de repercusión sobre cavidades derechas y dosificación de biomarcadores, así como la presencia o ausencia de contraindicaciones para el uso de FBL. En este caso, el hallazgo ecocardiográfico hizo plantear el diagnóstico de embolia pulmonar (EP)(41). Sin embargo, el riesgo de este paciente de acuerdo a dicho índice es intermedio. Actualmente la única indicación (clase Ib) de FBL en la EP es la presencia de hipotensión o shock. Sin embargo, existiría una tendencia a favor de su uso por sobre el de ACO aun en pacientes hemodinámicamente estables que presentan disfunción del VD y biomarcadores elevados(41). El hallazgo de un TT agrava la situación y obliga a un tratamiento más agresivo.
En cuanto al manejo al alta en este caso deben resolverse tres factores: 1) posibilidad de manejo ambulatorio con anticoagulantes orales no antivitamina K (AVK), dados los malos resultados obtenidos con warfarina. El uso de rivaroxabán, apixabán o dabigatrán está probado como tratamiento a largo plazo de los pacientes con EP como alternativa a los AVK (IIa)(39). En cuanto a la duración del mismo, considerando que el paciente tiene una EP no provocada, debería prolongarse más allá de los tres meses con evaluaciones sucesivas de riesgo/beneficio. 2) La permanencia del filtro cava implantado. Se trata de un dispositivo transitorio pero no está pautada su duración. Esto también estará supeditado al logro de una buena anticoagulación. 3) Eventual cierre del FOP en paciente con embolia paradojal demostrada y recurrencia del TEP.
Dres. Natalia Reborido, Juan Berutti, Alba Bonelli
Servicio de Cardiología. Asociación Española. Montevideo.
Correo electrónico: nataliareborido@gmail.com
Recibido May 2, 2016; aceptado Jul 31, 2016
Bibliografía
1. Callaway C, Donnino M, Fink L, Geocadin R, Golan E, Kern KB, et al. Part 8: Post-cardiac arrest care: 2015 American Heart Association guidelines update for cardiopulmonary resuscitation and emergency cardiovascular care. Circulation 2015; 132(18 Suppl 2):S465-82.
2. Nolan J P, Neumar RW, Adrie C, Aibiki M, Berg RA, Böttiger BW, et al. Post-cardiac arrest syndrome: epidemiology, pathophysiology treatment, and prognostication. A scientific statement from the International Liaison Committee on Resuscitation; the American Heart Association Emergency Cardiovascular Care Committee; the Council on Cardiovascular Surgery and Anesthesia; the Council on Cardiopulmonary, Perioperative, and Critical Care; the Council on Clinical Cardiology; the Council on Stroke. Resuscitation 2008; 79(3):350-79.
3. Holzer M, Bernard SA, Hachimi-Idrissi S, Roine RO, Sterz F, Müllner M, et al. Hypothermia for neuroprotection after cardiac arrest: Systematic review and individual patient data meta-analysis. Crit Care Med 2005;33(2):414-8.
4. Karibe H, Zarow GJ, Graham SH, Weinstein PR. Mild intraischemic hypothermia reduces postischemic hyperperfusion, delayed postischemic hypoperfusion, blood-brain barrier disruption, brain edema, and neuronaldamage volume after temporary focal cerebral ischemia in rats. J Cereb Blood Flow Metab 1994;14(4):620-7.
5. Siesjö BK. Mechanisms of ischemic brain damage. Crit Care Med 1988;16(10):954-63.
6. Samaniego EA, Mlynash M, Caulfield AF, Eyngorn I, Wijman CA. Sedation confounds outcome prediction in cardiac arrest survivors treated with hypothermia. Neurocrit Care. 2011;15(1):113-119. doi: 10.1007/s12028-010-9412-8.
7. Nielsen N, Wetterslev J, Cronberg T, Erlinge D, Gasche Y, Hassager C, et al. TTM Trial Investigators. Targeted temperature management at 33°C versus 36°C after cardiac arrest. N Engl J Med 2013;369(23):2197-206. doi: 10.1056/NEJMoa1310519.
8. Lopez–de-Sa E. ¿Qué hacer con los supervivientes de una parada cardíaca?¿Inducirhipotermia o basta evitar la hipertermia? Rev Esp Cardiol 2015;68(5): 369-72.
9. Viana Tejedor A. Hipotermia terapêutica: ¿lo dejamos?. Rev Esp Cardiol 2015;15 (Supl D):20-4. doi:10.1016/S1131-3587(15)30029
10. Yancy CW, Jessup M, Bozkurt B, Butler J, Casey DE Jr, Drazner MH, et al.; American College of Cardiology Foundation; American Heart Association Task Force on Practice Guidelines. 2013 ACCF/AHA guideline for the management of heart failure: a report of the American College of Cardiology Foundation/American Heart Association Task Force on Practice Guidelines. JAm Coll Cardiol 2013; 62(16):e147-239.
11. Chilson DA, Zipes DP, Heger JJ, Browne KF, Prystowsky EN. Functional bundle branch block: discordant response of right and left bundle branches to changes in heart rate. Am J Cardiol 1984;54:313.
12. Fish C, Zipes DP, McHenry PL. Rate dependent aberrancy. Circulation 1973;48:714-24.
13. Issa Z, Miller JM, Zipes DP. Intraventricular conduction abnormalities. In: Clinical arrhytmology and electrophysiologiy: a COMPANION to Braunwald`s heart disease. 1st ed. Elsevier, Phildadelfia, PA; 2009. p. 143-46.
14. Maury P, Duparc A, Heìbrard A, Mondoly P, Rollin A, Delay M. Reverse left septal activation during intermittent left bundle-branch block. Indirect proof for concealed retrograde left bundle-branch activation. Journal of Electrocardiology 2009;42:671-673.
15. Josephson ME. Intraventricular conduction disturbances. In: Josephson ME (eds.): Clinical Cardiac Electrophysiology, 3rd ed. Philadelphia, Lippincott Williams & Wilkins; 2004. p. 110-139.
16. Kilborn MF, McGuire MA. Electrocardiographic manifestations of supernormal conduction, concealed conduction, and exit block. En Zipes DP, Jalife J (eds): Cardiac Electrophysiology: From Cell to Bedside, 4ta ed. Philadelphia, WB Saunders, 2004, p. 733-738.
17. Boran KJ, Oliveros RA, Boucher CA, Beckmann CH, Seaworth JF. Ischemia-associated intraventricular conduction disturbances during exercise testing as a predictor of proximal left anterior descending coronary artery disease. Am J Cardiol 1983;51(7):1098-102.
18. Bounhoure JP, Donzeau JP, Doazan JP, Queyreau JM, Galinier M, Estrabaud M, et al. Complete bundle branch block during exercise test. Clinical and coronary angiographic data. Arch Mal Coeur Vaiss 1991;84(2):167-71.
19. Candell Riera J, Oller Martínez G, Vega J, Gordillo E, Ferreira I, et al. Exercise-induced left bundle-branch block in patients with coronary artery disease versus patients with normal coronary arteries. Rev Esp Cardiol 2002;55(5): 474-80.
20. Windecker S, Kolh P, Alfonso F, Collet JP, Cremer J, Falk V, et al. 2014 ESC/EACTS Guidelines on myocardial revascularization: The Task Force on Myocardial Revascularization of the European Society of Cardiology (ESC) and the European Association for Cardio-Thoracic Surgery (EACTS) developed with the special contribution of the European Association of Percutaneous Cardiovascular Interventions (EAPCI). Eur Heart J 2014;35(37):2541-619.
21. Yusuf S, Zucker D, Peduzzi P, Fisher LD, Takaro T, Kennedy JW, et al. Effect of coronary artery bypass graft surgery on survival: overview of 10-year results from randomised trials by the Coronary Artery Bypass Graft Surgery Trialists Collaboration. Lancet 1994;344(8922):563–70.
22. Zeldis SM, Morganroth J, Horowitz LN, Michelson EL, Josephson ME, Lozner EC, et al. Fascicular conduction distrubances after coronary bypass surgery. Am J Cardiol 1978;41(5):860-4.
23. Bateman TM, Weiss MH, Czer LS, Conklin CM, Kass RM, Stewart ME, et al. Fascicular conduction disturbances and ischemic heart disease: adverse prognosis despite coronary revascularization. J Am Coll Cardiol 1985;5(3):632-9.
24. Kumbhani DJ, Sharma GV, Khuri SF, Kirdar JA. Fascicular conduction disturbances after coronary artery bypass surgery: a review with a meta-analysis of their long-term significance. J Card Surg 2006;21(4):428-34.
25. Heinsimer JA, Irwin JM, Basnight LL. Influence of underlying coronary artery disease on the natural history and prognosis of exercise-induced left bundle branch block. Am J Cardiol 1987;60(13): 1065-7.
26. Merin O, Ilan M, Oren A, Fink D, Deeb M, Bitran D, Silberman S. Permanent pacemaker implantation following cardiac surgery: indications and long-term follow-up. Pacing Clin Electrophysiol 2009;32(1):7-12
27. Prasad A, Lerman A, Rihal CS. Apical ballooning syndrome (takotsubo or stress cardiomyopathy): a mimic of acute myocardial infarction. Am Heart J 2008; 155(3): 408-17.
28. Madhavan M, Prasad A. Proposed Mayo Clinic criteria for the diagnosis of takotsubo cardiomyopathy and long-term prognosis. Herz 2010; 35(4):240-4.
29. Gianni M, Dentali F, Grandi AM, Sumner G, Hiralal R, Lonn E. Apical ballooning syndrome or takotsubo cardiomyopathy: a systematic review. Eur heart J 2006; 27(13): 1523-9.
30. Gabe ED, Bazán FP, Sartori FG, Segovia ME, del Pozo JF. Recidiva de takotsubo. Una forma poco frecuente de presentación del síndrome coronario agudo. Revista Argentina de Cardioangiología Intervencionista 2016 [consulta 11 Ago 2016];7(01):[aprox.4p.]. Disponible en: http://www.revistacaci.org.ar/contenido/art.php?recordID=MTIw
31. Maron BJ, Towbin JA, Thiene G, Antzelevitch C, Corrado D, Arnett D. Contemporary definitions and classification of the cardiomyopathies an Americanheart association scientific statement from the council on clinical cardiology, heart failure and transplantation committee; quality of care and outcomes research and functional genomics and translational biology interdisciplinary working groups; and council on epidemiology and prevention. Circulation 2006; 113(14): 1807-16.
32. Komamura K, Fukui M, Iwasaku T, Hirotani S, Masuyama T. Takotsubo cardiomyopathy: pathophysiology, diagnosis and treatment. World J Cardiol 2014;6(7):602-9
33. Blázquez González JA, Ramírez Valdiris U, Silvestre García J, Mesa García JM. Síndrome de takotsubo en el postoperatorio de cirugía cardiaca. Primeroscasospublicados. Cir Cardiov 2014; 21(3): 226-7.
34. Chiariello GA, Bruno P, Colizzi C, Crea F, Massetti M. Takotsubo cardiomyopathy following cardiac surgery. J Card Surg 2016; 31(2): 89-95.
35. Pergolini A, Zampi G, Casali G, Madeo A, Visconti CL, Cipullo PL, et al. Takotsubo syndrome after mitral valve replacement: Case report and brief review of the literature. J Cardiothorac Vasc Anesth 2015;29(2): 431-5
36. Kronik G; The European Working Group on Echocardiography. The European Cooperative Study on the clinical significance of right heart thrombi. Eur Heart J 1989;10(12):1046-59.
37. Shah CP, Thakur RK, Ip JH, Xie B, Guiraudon GM. Management of mobile right atrial thrombi: a therapeutic dilemma. J Card Surg 1996;11(6):42831.
38. Rose P, Punjabi N, Pearse D. Treatment of right heart tromboemboli. Chest 2002;121(3):806-14.
39. Konstantinides S, Torbicki A, Agnelli G, Danchin N, Fitzmaurice D, Galié N, et al. Guía de práctica clínica de la ESC 2014 sobre el diagnóstico y el tratamientode la embolia pulmonar aguda. Rev Esp Cardiol 2015;68(1):64.e1-e45
40. Meneses M, Fernández A, González V, Areco D, Montes de Oca O. Tratamiento con heparina Na en un paciente con tromboembolismo pulmonar y trombo en tránsito a través de foramen oval permeable. Rev Urug Cardiol 2013; 28(3): 382-6
41. Konstantinides S, Geibel A, Olschewski M, Heinrich F, Grosser K, Rauber K, et al. Association between thrombolytic treatment and the prognosis of hemodynamically stable patients with major pulmonary embolism: results of a multicenter registry. Circulation 1997;96(3):882-8