Cartas científicas
Endocarditis infecciosa a Staphylococcus caprae con múltiples embolias preoperatorias graves y vegetación mitral gigante residual
Infectious endocarditis to Staphylococcus caprae with multiple severe preoperative embolisms and residual giant mitral vegetation
Endocardite infecciosa para Staphylococcus caprae com múltiplos embolismos pré-operatórios severos e vegetação mitral gigante residual
Endocarditis infecciosa a Staphylococcus caprae con múltiples embolias preoperatorias graves y vegetación mitral gigante residual
Revista Uruguaya de Cardiología, vol. 34, núm. 2, pp. 208-212, 2019
Sociedad Uruguaya de Cardiología
Recepción: 21 Mayo 2019
Aprobación: 30 Mayo 2019
Resumen: La endocarditis infecciosa (EI) es una enfermedad infrecuente, heterogénea en su presentación, con una alta mortalidad global y frecuente indicación de cirugía cardíaca. Presentamos el caso de una joven con EI a S. caprae y múltiples embolias preoperatorias graves. Dado que se presenta al ingreso con infección en curso, absceso esplénico y vegetación remanente de muy alto riesgo embólico, plantea un dilema terapéutico en cuanto a oportunidad quirúrgica y orden en que deben resolverse las complicaciones de su enfermedad infecciosa. En este caso se procedió a cirugía vascular, posteriormente esplenectomía y por último cirugía valvular, todas en breve plazo, logrando resolver la patología integralmente y sin complicaciones.
Palabras clave: Endocarditis bacteriana, Staphylococcus caprae, Absceso.
Resumo: A endocardite infecciosa é uma doença infrequente, de apresentação heterogênea, com alta mortalidade e frequente indicação de cirurgia cardíaca. Apresentamos o caso de uma jovem mulher com endocardite infecciosa a S. caprae e múltiplos êmbolos pré-operatórios graves. Por se apresentar na admissão com infecção em curso, abscesso esplênico e vegetação mitral com alto risco embólico, apresenta um dilema terapêutico em relação à oportunidade cirúrgica e a ordem em que as complicações devem ser resolvidas. Neste caso precedeu à cirurgia vascular, depois à esplenectomia e finalmente à cirurgia valvar, tudo em um curto espaço de tempo, para resolver integralmente a patologia e sem complicações.
Palavras-chave: Endocardite bacteriana, Staphylococcus caprae, Abscesso.
Abstract: Infective endocarditis is an infrequent disease, heterogeneous presentation, with high mortality, and frequent indication of heart surgery. We introduce the case of a young woman, with S. caprae infective endocarditis, and multiple preoperative serious emboli. Since she presents at admission with infection in progress, splenic abscess and mitral vegetation with high embolic risk, it poses a therapeutic dilemma regarding surgical opportunity and the order in which the complications should be resolved. In this case we proceeded to vascular surgery, then splenectomy and finally valve surgery, all in a short time, to solve the pathology integrally and without complications.
Keywords: Endocarditis, bacterial, Staphylococcus caprae, Abscess.
Sra. Editora:
Introducción
La endocarditis infecciosa (EI) es una enfermedad infrecuente y muy grave que requiere cirugía cardíaca en la mitad de los casos. Una de sus posibles presentaciones es la embolia sistémica o encefálica. Se presenta una paciente con EI a S. caprae y múltiples embolias preoperatorias graves. Se analiza el algoritmo terapéutico, ya que presentaba alto riesgo embólico por una gran vegetación remanente mitral y, por otro lado, una infección extracardíaca grave. Se procedió en primer lugar a cirugía vascular, posteriormente esplenectomía y por último cirugía valvular, todas en breve plazo, logrando resolver la patología integralmente y sin complicaciones.
Caso clínico
Paciente de sexo femenino, 35 años, en situación de calle. Muy baja instrucción escolar, falta de apoyo familiar y de accesibilidad a centros de salud. Sin controles médicos. Niega uso de drogas. Muy difícil interrogatorio.
Consulta por sensación febril y dolor urente, intenso, y de aparición brusca en miembro inferior derecho, diagnosticándose oclusión arterial aguda que requirió trombectomía quirúrgica urgente.
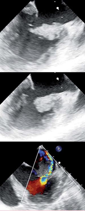
Se planteó una EI indicándose ecocardiograma transtorácico (ETT) que mostró una vegetación en el velo anterior de la válvula mitral, de 20 por 21 mm, friable; insuficiencia mitral (IM) severa; aurícula izquierda (AI) dilatada; ventrículo izquierdo de dimensiones y función normales (figura 1).

Arriba y centro: vista ecocardiográfica (ETE) de la vegetación mitral, implantada fundamentalmente en la valva anterior. Abajo: regurgitación mitral excéntrica severa, con efecto coanda que alcanza el techo de la aurícula izquierda.
Se realizó tomografía computarizada (TC) que evidenció imagen compatible con infarto esplénico. Se consultó con equipo de cirugía cardíaca. Ante la eventualidad de un absceso esplénico se solicitó ecografía abdominal que informó absceso esplénico de grandes dimensiones. Se realizó esplenectomía urgente por incisión mediana abdominal: bazo con lesión cavitada y contenido hemorrágico fétido. Se indicó antibioticoterapia empírica con cefradina-gentamicina-ampicilina. A las 48 horas presenta nueva embolia de miembro inferior contralateral realizándose nuevamente trombectomía quirúrgica. Se traslada a unidad de tratamiento intensivo del centro de cirugía cardíaca. Al ingreso: adelgazada, lúcida, sin déficit focal neurológico, apirética, anemia clínica, hemodinamia estable. Sin focos sépticos dentarios, faltan piezas. Cardiovascular: ritmo regular de 78 cpm, soplo holosistólico de máxima auscultación en ápex, irradiado a axila. Edema pulmonar moderado. Polipneica. Hemocultivo y cultivo de bazo positivos para estafilococo coagulasa negativo. Posteriormente se tipifica como Staphylococcus caprae multisensible.
Serología negativa para virus de inmunodeficiencia humana y hepatitis B y C.
Con diagnóstico de EI definitiva, comunitaria, activa, sobre válvula mitral nativa, con insuficiencia cardíaca izquierda, embolias graves previas y vegetación gigante friable remanente, se realiza cirugía cardíaca urgente.
En el quinto día posesplenectomía y tercer día postrombectomía se realiza resección completa de la válvula mitral y vegetación gigante, con sustitución valvular mitral por bioprótesis St. Jude de 27 mm, con ecocardiograma transesofágico (ETE) intraoperatorio. De la exploración se destacó vegetación gigante y friable, multilobulada, insertada en pared auricular izquierda y válvula mitral (cara auricular de sectores A1, P1 y P2) comprometiendo severamente todo el aparato subvalvular, configurando una vegetación atípica. Se resecó todo el tejido infectado y se envió a cultivo que hasta la fecha de esta comunicación está sin desarrollo. Se realizó lavado local con yodofón e inyección de vancomicina en el anillo mitral nativo. Tiempo de parada cardíaca de 52 minutos y de circulación extracorpórea 75 minutos. ETE intraoperatorio posimplante sin particularidades. Procedimiento sin incidentes (figura 2) y (figura 3).

Vegetación mitral gigante y friable. Vista auricular. Ocupa toda el orificio mitral y gran parte de la aurícula izquierda. Múltiples lóbulos. La válvula mitral se encuentra completamente oculta por la vegetación.

Vegetación luego de la resección. Compromiso severo del aparato subvalvular mitral, que debió ser resecado parcialmente.
Buena evolución en CTI. Hemodinamia estable sin apoyo. Asistencia respiratoria mecánica durante cinco horas. Derrame pleural izquierdo que se drena por toracocentesis. Sin disfunciones orgánicas y en apirexia, pasa a sala de cardiología al séptimo día. En evaluación permanente por infectólogo, se rota a cefazolina y rifampicina. Creatininemia máxima 0,87 mg/dl; leucocitos 11.320/mm3. En el décimo segundo día del posoperatorio es trasladada a su institución de origen, de alta cardiológica, sin actividad infecciosa, para completar tratamiento antibiótico.
Discusión
Diagnóstico
La EI es una patología muy grave y poco frecuente, con una incidencia aproximada de 3/100.000 habitantes. Presenta una mortalidad global de 15% a 30% y aproximadamente 50% de los pacientes deben recibir cirugía cardíaca en la evolución (con una mortalidad operatoria de 30%). Estos datos han permanecido incambiados en los últimos 35 años(1).
Su diagnóstico y tratamiento suelen ser complejos y actualmente se recomienda su abordaje por un equipo multidisciplinario especializado (endocarditis team) en un centro de referencia (que permita el tratamiento integral del cuadro), estrategia que se ha relacionado con menor morbimortalidad(2,3).
El diagnóstico se basa en hallazgos clínicos, ecocardiográficos, bacteriológicos, serológicos y anatomopatológicos que en conjunto forman parte de los criterios de Duke modificados y nos permiten clasificar la EI en definitiva, posible y descartada.
Según dichos criterios(4) esta paciente presentaba una EI definitiva (dos criterios mayores: dos hemocultivos positivos a germen causante de EI y vegetación como lesión endocárdica típica), comunitaria, activa, sobre válvula mitral nativa, con insuficiencia cardíaca izquierda, embolias previas graves y vegetación gigante friable remanente.
El ETT es el estudio fundamental para el diagnóstico de EI (indicación clase I, nivel de evidencia B). De ser positivo, siempre debe complementarse con ETE y repetirse durante la cirugía si está indicada (indicación clase I, nivel de evidencia B)(5). El ETE también debe realizarse cuando la EI es probable pero no definitiva por ETT y cuando existe bacteriemia por S. aureus con ETT negativo (indicación clase IIa, nivel de evidencia B)(6-8).
En el ETT se encontró una vegetación (criterio diagnóstico mayor) gigante y friable de la valva anterior mitral. Estas características están relacionadas con el mayor riesgo embólico. El trombo determinaba, además, IM severa (libre) por déficit de coaptación valvar. La AI se encontraba dilatada, lo que es sugestivo de enfermedad mitral previa. Se realizó ETE que no encontró otras lesiones anatómicas.
El microorganismo aislado en los hemocultivos y bazo fue S. caprae. Es una bacteria grampositiva, coagulasa negativa, agente poco frecuente como causante de EI, y generalmente asociada a infección ósea, especialmente si hay material protésico(9). Los casos no asociados a infecciones óseas son muy infrecuentes. Luego de una búsqueda exhaustiva, no se encontraron casos de EI a S. caprae reportados en Uruguay.
Tratamiento
Más allá del tratamiento antibiótico específico deben definirse, precozmente y evolutivamente, indicación y oportunidad de cirugía en un paciente que por definición es dinámico. El peso de los distintos elementos de riesgo definirán si se trata de una emergencia, urgencia o cirugía diferida.
Las principales indicaciones de tratamiento quirúrgico en la EI son: falla cardíaca (edema pulmonar, shock cardiogénico, inestabilidad hemodinámica), infección o fiebre persistente y riesgo embólico(6).
Esta paciente presentaba indicación de cirugía clase I, nivel de evidencia B por IM severa con falla cardíaca, e indicación clase IIa, nivel de evidencia B, por tener una vegetación gigante (remanente luego de varias embolias graves).
En la EI activa (infección en curso en el momento de la cirugía) se sugiere el uso de imagenología adicional, como ser TC o ecografía de abdomen y TC de cráneo. El objetivo es descartar focos infecciosos extracardíacos y minimizar las complicaciones infecciosas y posoperatorias.
Puede utilizarse la imagen multimodal en muchos escenarios de EI (especialmente en la infección de una prótesis previa) con resonancia magnética (RM), TC multicorte, 18F-fluorodeoxyglucosa y tomografía por emisión de positrones, entre otros(10).
En este caso la TC abdominal encontró una lesión esplénica que en la evaluación adicional con ecografía se diagnosticó como absceso esplénico. Los infartos son frecuentes (30%) pero solo 5% de estos se abscedan. Es uno de los elementos principales a descartar con TC o RM. En abscesos grandes suele ser necesaria la esplenectomía. Existe consenso en que debe realizarse previo a la cirugía valvular para erradicar el foco infeccioso extracardíaco y así disminuir la posibilidad de EI protésica posterior. En escenarios infrecuentes pueden realizarse simultáneamente ambas cirugías, pero aumenta la mortalidad operatoria significativamente.
En esta paciente el riesgo embólico se sopesó con el riesgo de una cirugía valvular en un posoperatorio reciente de cirugía abdominal mayor, con breve tratamiento antibiótico previo (riesgo de complicaciones hemorrágicas e infecciosas posoperatorias). Debido a que la falla cardíaca era moderada, se dejó un intervalo de cinco días entre la esplenectomía y la cirugía valvular.
El ecocardiograma es el principal predictor de riesgo embólico. Los parámetros más importantes a considerar son el tamaño y la movilidad de la vegetación, aumentando exponencialmente la incidencia de embolismo cerebral luego de los 10-15 mm de diámetro(11). Como otros elementos de riesgo embólico, presentaba infección por estafilococo y uso de antibióticos durante un lapso menor a dos semanas. La cirugía precoz de vegetaciones grandes disminuye significativamente la muerte y los eventos embólicos(12).
Las directivas quirúrgicas son remover completamente el tejido infectado y reconstruir la anatomía y función cardíacas. Debido al amplio compromiso de las valvas y del aparato subvalvular mitral se descartó la posibilidad de una plastia mitral. Este sería el método de elección (por no implantar material protésico), pero se realiza poco frecuentemente. No existe diferencia en cuanto a la sobrevida entre válvula mecánica y biológica. De común acuerdo con la paciente se optó por una bioprótesis de durabilidad acotada pero exenta de la necesidad de anticoagulación crónica, en una paciente con las características expuestas. Se resecó una vegetación mayor de 30 mm de diámetro, muy friable. El ETE preoperatorio puede subestimar el tamaño real de la vegetación, mientras que el ETE 3D presenta una mejor definición anatómica y mejor predicción del riesgo embólico(13).
Esta paciente pasó a formar parte del grupo de alto riesgo de EI (EI previa), por lo que debe recibir profilaxis antibiótica (indicación clase IIa, nivel de evidencia C)(3,6).
Referencias
1. Tornos P, Iung B, Permanyer-Miralda G, Baron G, Delahaye F, Gohlke-Barwolf C, et al. Infective endocarditis in Europe: lessons from the Euro Heart Survey. Heart 2005;91(5):571-5. doi:10.1136/hrt.2003.032128
2. Lancellotti P, Rosenhek R, Pibarot P, Lung B, Otto CM, Tornos P, et al. ESC working group on valvular heart disease position paper—heart valve clinics: organization, structure, and experiences. Eur Heart J. 2013;34(21):1597–606. doi: 10.1093/eurheartj/ehs443
3. Chirillo F, Scotton P, Rocco F, Rigoli R, Borsatto F, Pedrocco A, et al. Impact of a multidisciplinary management strategy on the outcome of patients with native valve infective endocarditis. Am J Cardiol. 2013;112(8):1171–6. doi: 10.1016/j.amjcard. 2013.05.060
4. Li JS, Sexton DJ, Mick N, Nettles R, Fowler VG, Ryan T, et al. Proposed modifications to the Duke criteria for the diagnosis of infective endocarditis. Clin Infect Dis. 2000;30(4):633-8. doi:10.1086/ 313753
5. Thuny F, Di Salvo G, Belliard O, Avierinos JF, Pergola V, Rosenberg V, et al. Risk of embolism and death in infective endocarditis: prognostic value of echocardiography: a prospective multicenter study. Circulation. 2005;112(1):69–75. doi:10.1161/ CIRCULATIONAHA.104.493155
6. Habib G, Lancellotti P, Antunes MJ, Bongiorni MG, Casalta JP, Del Zotti F. 2015 ESC Guidelines for the management of infective endocarditis: The Task Force for the management of Infective endocarditis of the European Society of Cardiology (ESC). Endorsed by: European Association for Cardio-Thoracic Surgery (EACTS), the European Association of Nuclear Medicine (EANM). Eur Heart J. 2015; 36(44): 3075-3128. doi:10.1093/eurheartj/ehv319
7. Habib G, Badano L, Tribouilloy C, Vilacosta I, Zamorano JL, Galderisi M, et al. Recommendations for the practice of echocardiography in infective endocarditis. Eur J Echocardiogr. 2010;11(2): 202– 19. doi: 10.1093/ejechocard/jeq004
8. Rasmussen RV, Host U, Arpi M, Hassager C, Johansen HK, Korup E, et al. Prevalence of infective endocarditis in patients with Staphylococcus aureus bacteraemia: the value of screening with echocardiography. Eur J Echocardiogr. 2011;12(6):414– 20. doi: 10.1093/ejechocard/jer023
9. Shuttleworth R, Behme RJ, McNabb A, Colby WD J. Human isolates of Staphylococcus caprae: association with bone and joint infections. J Clin Microbiol. 1997;35(10):2537-41.
10. Bruun NE Habib G Thuny F Sogaard P. Cardiac imaging in infectious endocarditis. Eur Heart J. 2014;35(10):624–32. doi: 10.1093/eurheartj/eht274
11. Rohmann S, Erbel R, Darius H, Gorge G, Makowski T, Zotz R, et al. Prediction of rapid versus prolonged healing of infective endocarditis by monitoring vegetation size. J Am Soc Echocardiogr. 1991; 4(5):465–74.
12. Kang DH, Kim YJ, Kim SH, Sun BJ, Kim DH, Yun SC, et al. Early surgery versus conventional treatment for infective endocarditis. N Engl J Med. 2012;366(26):2466–73. doi: 10.1056/NEJMoa1112843
13. Berdejo J, Shibayama K, Harada K, Tanaka J, Mihara H, Gurudevan SV, et al. Evaluation of vegetation size and its relationship with emolism in infective endocarditis: a real-time 3-dimensional transesophageal echocardiography study. Circ Cardiovasc Imaging 2014;7(1):149-54. doi: 10.b1161/ CIRCIMAGING.113.000938