Cartas científicas
Lipoma pericárdico: tumor benigno como causa de taponamiento cardíaco a baja presión
Pericardial lipoma: benign tumor as a cause of low-pressure cardiac tamponade
Lipoma pericárdico: tumor benigno como causa de tamponamento cardíaco de baixa pressão
Lipoma pericárdico: tumor benigno como causa de taponamiento cardíaco a baja presión
Revista Uruguaya de Cardiología, vol. 35, núm. 1, pp. 135-138, 2020
Sociedad Uruguaya de Cardiología
Recepción: 11 Noviembre 2019
Aprobación: 11 Diciembre 2019
Resumen: Los tumores cardíacos son poco frecuentes y los lipomas constituyen una pequeña parte de ellos. La mayoría de estos tumores difieren en manifestaciones clínicas, diagnóstico, morfología y tamaño, por lo que son difíciles de evaluar. Presentamos el caso de una paciente de 80 años con disnea progresiva e insuficiencia cardíaca descompensada que desarrolló derrame pericárdico y posteriormente taponamiento cardíaco. A través del ecocardiograma transtorácico y de la tomografía computarizada, se determinó que un lipoma cardíaco era la causa del taponamiento cardíaco a baja presión que presentaba la paciente.
Palabras clave: Lipoma pericárdico, Taponamiento cardíaco, Neoplasias cardíacas.
Abstract: Cardiac tumors are rare and cardiac lipomas represent a small fraction of them. Most of these tumors differ in clinical manifestations, diagnosis, morphology and size, making them difficult to diagnose. We report the case of an 80 years old female patient, with progressive dyspnea and decompensated heart failure, who developed pericardial effusion and subsequent cardiac tamponade. After transthoracic echocardiography and thoracic computed tomography, pericardial lipoma was evidenced as the cause of low pressure cardiac tamponade.
Keywords: Pericardial lipoma, Cardiac tamponade, Heart neoplasms.
Resumo: Os tumores cardíacos são raros e os lipomas cardíacos entram em uma pequena fração dentre esses. Grande parte desses tumores diferem em manifestações clínicas, diagnóstico, morfologia e tamanho, tornando-se de diagnóstico difícil. Relata- se o caso de uma paciente feminina de 80 anos, com evolução progressiva de dispneia e insuficiência cardíaca descompensada evoluiu com derrame pericárdico e subsequente tamponamento cardíaco. Após exames de ecocardiografia transtoracica e tomografia computadorizada de toráx, evidenciou-se o lipoma pericárdico como causa de tamponamento cardíaco de baixa pressão.
Palavras-chave: Lipoma pericárdico, Tamponamento cardíaco, Neoplasias cardíacas.
Sr. Editor:
Introducción
Los lipomas cardíacos son extremadamente raros, se encuentran con una frecuencia de 0,001% a 0,28% en necropsias y representan el 8,4% de todos los tumores cardíacos primarios, se localizan con mayor frecuencia en el ventrículo izquierdo o en la aurícula derecha(1). Las neoplasias cardíacas más comunes son las metástasis de tumores primarios de mama y pulmón, seguidas de leucemias y linfomas, con una prevalencia 10 a 40 veces mayor que la de los tumores cardíacos primarios(2).
Los lipomas cardíacos son encapsulados y consisten en masas de tejido adiposo de etiología desconocida, aunque se plantea el origen congénito dentro del grupo de disembriomas, o adquirido, coincidiendo con un inicio reciente de obesidad(3). Generalmente son asintomáticos. Cuando aparecen signos y síntomas, se deben al efecto mecánico de compresión, dependiendo de su localización y tamaño, que puede alcanzar los dos tercios del volumen de un hemitórax(3).
Caso clínico
Mujer, 80 años, granjera retirada, hipertensa, obesa y con insuficiencia cardíaca con fracción de eyección preservada. Refiere disnea de esfuerzo clase funcional (CF) III de la New York Heart Association (NYHA), comenzando hace tres meses, con empeoramiento progresivo, encontrándose actualmente en CF IV NYHA(4). En tratamiento con furosemide 80 mg/día, carvedilol 25 mg/día, ácido acetilsalicílico 81 mg/día, simvastatina 20 mg/día, ranitidina 150 mg/día, clonazepam 2,5 mg/ml 5 gotas/día, diosmina + hisperidina 450/50 mg/día. Hace una semana presentó disnea de reposo y fue hospitalizada en su ciudad para tratamiento de insuficiencia cardíaca descompensada, sin éxito, por lo que fue derivada a nuestro servicio.
Se presenta con regular estado general, apirética, hipotensa (presión arterial 80/50 mmHg), frecuencia cardíaca (FC) 85 lpm y polipneica. Examen cardiovascular: ruidos hipofonéticos sin soplos; pulsos filiformes en extremidades, sin otros elementos a destacar.
Los exámenes complementarios iniciales mostraron marcadores de necrosis miocárdica normales (0,02 ng/ml de troponina I), TSH 2,36 mU/l, creatinina 1,4 mg/dl, alcalosis metabólica leve, hemoglobina 15,3 g/dl, leucocitos 12.560/mm³ y plaquetas 328.400/mm³.
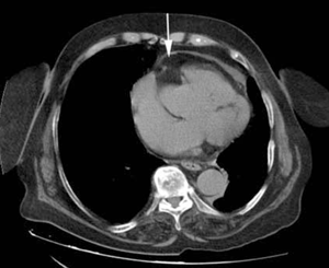
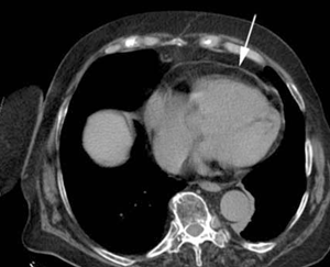
Se solicitó ecocardiografía transtorácica que mostró: fracción de eyección del ventrículo izquierdo (FEVI) 55%, ventrículo izquierdo con hipertrofia leve, hipoquinesia biventricular difusa, dilatación leve de aorta ascendente, aurícula izquierda moderadamente dilatada, engrosamiento pericárdico con probable derrame y colapso parcial de la aurícula derecha. Se solicitó tomografía de tórax (TC) sin contraste (figuras 1 y 2) que mostró una imagen típica de lipoma pericárdico, de 48 por 33 mm, que provocaba colapso de la aurícula derecha, considerándose la causa del taponamiento a baja presión. La angiografía coronaria no evidenció lesiones estenóticas significativas.

Figura 1: Tomografía de tórax sin contraste que muestra lipoma con obstrucción auricular derecha.

Figura 2: Tomografía de tórax sin contraste que muestra derrame pericárdico leve.
El caso fue evaluado por los equipos de cardiología clínica y cirugía cardíaca que optaron por continuar con tratamiento médico, considerando las comorbilidades y el alto riesgo quirúrgico. Se suspendió el furosemide y se realizó expansión de volumen con suero fisiológico al 0,9%.
Tres horas después del ingreso, la paciente se encontraba normotensa, eupneica y con mejoría significativa. Continúa en seguimiento ambulatorio con el tratamiento mencionado, sin diuréticos.
Discusión
Los lipomas cardíacos pueden presentarse en todas las edades y con igual frecuencia en ambos sexos(5). Son tumores muy poco frecuentes, con características idénticas a otros lipomas, que pueden medir de 1 a 15 cm de diámetro, aunque hay informes de tumores gigantes de hasta 2 k de peso(3,5). En cuanto a su histología, los lipomas se pueden dividir en dos grupos: con hipertrofia lipomatosa y lipomas verdaderos(6).
Los lipomas cardíacos suelen ser silenciosos y bien tolerados, aunque pueden causar dolor, tos, disnea, arritmia, síncope, fatiga, ángor e incluso muerte súbita(3,7).
La ecocardiografía, la TC y la resonancia magnética suelen tener un valor significativo para el diagnóstico de lipoma cardíaco(8,9). Sin embargo, la ecocardiografía debe ser la prueba de elección debido a su bajo costo, fácil acceso y capacidad para determinar localización, forma, tamaño y presencia de flujo sanguíneo(9). El ecocardiograma presenta 90% de sensibilidad y 95% de especificidad para el diagnóstico de tumores cardíacos(8,9). Dado que la TC puede contribuir a identificar la presencia de grasa, también resulta útil en el diagnóstico de lipoma cardíaco(9).
La presencia del tumor pericárdico puede determinar derrame pericárdico, pericarditis hemorrágica por fibrina y taponamiento cardíaco(10). El taponamiento cardíaco a baja presión ocurre con una presión pericárdica relativamente baja que produce compresión cardíaca de perderse el gradiente transparietal, por ejemplo, si disminuye la precarga cardíaca(11). Algunos estudios demuestran que 20,7% de los pacientes con taponamiento cardíaco a baja presión son asintomáticos y 48,3% tienen disnea al esfuerzo, no presentando una clínica específica(11).
En pacientes con taponamiento cardíaco, se requiere pericardiocentesis como el tratamiento inicial de elección(12). No existe consenso sobre el uso de fármacos inotrópicos porque la estimulación adrenérgica endógena ya existe(13). La dobutamina reduce la resistencia sistémica, lo que aumenta la FEVI y la FC, así como la perfusión cardíaca(14,15). El suero intravenoso y los vasopresores pueden ser utilizados para lograr la estabilización hemodinámica(16).
La intervención quirúrgica suele ser la opción terapéutica; sin embargo, debido a la baja incidencia de la enfermedad, no existen pautas claras sobre el momento más adecuado para realizarla(17). Se puede efectuar un seguimiento periódico para pacientes asintomáticos o directamente la intervención quirúrgica para aquellos con arritmias, insuficiencia cardíaca, secuelas tromboembólicas, o en los que no es posible descartar la malignidad del tumor(17).
El uso de diuréticos de asa puede conducir a hipopotasemia, hipotensión y aumento de la mortalidad(18).
Conclusión
El lipoma es una entidad rara entre los tumores cardíacos y presenta varias formas de presentación clínica, desde cuadros asintomáticos hasta muerte súbita. Se describió el caso de una mujer de 80 años que consultó en la sala de emergencia con cuadro de taponamiento cardíaco a baja presión causado por un lipoma pericárdico.
Bibliografía:
1. Liu Y, Zheng X, Du Y, Zhu Z, Wang T, Xu R, et al. A large left atrial lipoma combined with coronary artery disease. J Cardiothorac Surg. 2017; 12(1):71. doi: 10.1186/s13019-017-0633-1
2. Pêgo-Fernandes P, Costa P, Fernandes F, Benvenuti L, Oliveira S. Right atrial lipoma. Arq Bras Cardiol 2003; 80(1):1-6. Disponible en: http://www. scielo.br/scielo.php?script=sci_arttext&pid=S0066- 782X2003000100009&lng=en. [Consulta 28 Oct 2019]. doi: 10.1590/S0066- 782X2003000100009
3. Peñalver R, López A. Lipoma pericárdico: presentación de un caso. Rev Ciencias Médicas 2013; 17(6): 196-201. Disponible en: http://scielo.sld.cu/ scielo.php?script=sci_arttext&pid=S1561- 31942013000600019. [Consulta 28 Oct 2019].
4. Braunschweig F, Linde C, Benson L, Ståhlberg M, Dahlström U, Lund L. New York Heart Association functional class, QRS duration, and survival in heart failure with reduced ejection fraction: implications for cardiac resychronization therapy. Eur J Heart Fail. 2017; 19(3):366-76. doi: 10.1002/ejhf.563
5. Pêgo-Fernandes P, Batagello C, Fernandes F, Jatene F, Oliveira S. Lipoma de ventrículo esquerdo: relato de caso. Arq Bras Cardiol. 2004; 82(2): 188- 90.
6. Habertheuer A, Andreas M, Wiedemann D, Rath C, Kocher A. A rare case of obstructive right atrial lipoma. Ann R Coll Surg Engl. 2014; 96(7):e39-41. doi: 10.1308/003588414X13946184902965
7. Valencia Á, Lombo M, Correa J. Lipoma intrapeicárdico gigante silente. Rev Colomb Cir. 2011; 26(3): 222-5.
8. Liu L, Zuo Y, Huang Y, Cao L. Echocardiographical findings of giant cardiac lipoma: A case report. Medicine (Baltimore) 2019; 98(8):e14456. doi: 10.1097/MD.0000000000014456
9. Naseerullah F, Javaiya H, Murthy A. cardiac lipoma: an uncharacteristically large intra-atrial mass causing symptoms. Case Rep Cardiol. 2018; 2018: 3531982. doi: 10.1155/2018/3531982
10. Raspopovic S, Natalic D, Miketic V. Pericardial tumor and pregnancy: a case report study. Clin Exp Obstet Gynecol. 2017; 44(3):480-2.
11. Sagristà-Sauleda J, Angel J, Sambola A, Alguersuari J, Permanyer-Miralda G, Soler-Soler J. Low-pressure cardiac tamponade: clinical and hemodynamic profile. Circulation 2006; 114(9):945-52. doi: 10.1161/CIRCULATIONAHA.106.634584
12. Poterucha T, Kochav J, O’Connor D, Rosner G. Cardiac tumors: clinical presentation, diagnosis, and management. Curr Treat Options Oncol. 2019; 20(8):66. doi: 10.1007/s11864-019-0662-1
13. Spodick D. Acute cardiac tamponade. N Engl J Med. 2003; 349(7):684-90. doi: 10.1056/NEJMra022643
14. Carmona P, Mateo E, Casanovas I, Peña J, Llagunes J, Aguar F, et al. Management of cardiac tamponade after cardiac surgery. J Cardiothorac Vasc Anesth. 2012; 26(2):302-11. doi: 10.1053/j.jvca. 2011.06.007
15. Martins J, Manuel W, Marcus M, Kerber R. Comparative effects of catecholamines in cardiac tamponade: experimental and clinical studies. Am J Cardiol 1980; 46(1):59-66. doi: 10.1016/0002-9149(80)90606-2
16. Pandey Y, Hasan R, Joshi K, Habash F, Jagana R. Acute influenza infection presenting with cardiac tamponade: a case report and review of literature. Perm J. 2019; 23:18-104. doi: 10.7812/TPP/18-104
17. Karangelis D, Palios J, Tzertzemelis D, Economidou S, Panagiotou M. Surgical resection of a cardiac lipoma of the right ventricle. Ann Card Anaesth. 2019;22(4):452-4. doi: 10.4103/aca.ACA_ 87_18
18. Palazzuoli A, Ruocco G, Ronco C, McCullough P. Loop diuretics in acute heart failure: beyond the decongestive relief for the kidney. Crit Care 2015; 19(1):296. doi: 10.1186/s13054-015-1017-3
Notas