Casos clínicos
Identificación de nuevas mutaciones en TCIRG1 como causa de osteopetrosis maligna infantil en dos pacientes mexicanos
Identification of new mutations in TCIRG1 as a cause of infantile malignant osteopetrosis in two Mexican patients
Identificación de nuevas mutaciones en TCIRG1 como causa de osteopetrosis maligna infantil en dos pacientes mexicanos
Revista alergia México, vol. 65, núm. 1, pp. 108-116, 2018
Colegio Mexicano de Inmunología Clínica y Alergia, A.C.
Recepción: 09 Octubre 2017
Aprobación: 13 Febrero 2018
Resumen:
Antecedentes: La osteopetrosis es un grupo heterogéneo de enfermedades que se caracterizan por aumento de la densidad ósea debido a anomalías en la diferenciación o función de los osteoclastos, lo que se traduce en falta de reabsorción ósea.
Reporte de casos: Dos pacientes con osteopetrosis quienes iniciaron su padecimiento desde los primeros meses de vida, con dismorfia facial, ceguera, sordera, hepatoesplenomegalia, hipotonía, retraso del neurodesarrollo y bicitopenia. Las radiografías óseas mostraron osteoesclerosis. Fueron valorados por diversos especialistas antes del diagnóstico definitivo. El análisis genético determinó mutaciones en el gen TCIRG1. En el paciente 1 se identificó una mutación homocigota para p.Ile720Alafs*14, la cual no ha sido reportada. En el paciente 2 se registró una mutación heterocigota compuesta: la primera p.Phe459Leufs*79 y la segunda p.Gly159Argfs*68, ninguna de las cuales han sido descritas hasta donde tenemos conocimiento.
Conclusión: La única opción terapéutica de los pacientes con osteopetrosis es el trasplante de células progenitoras hematopoyéticas (TCPH), que se debe realizar en el transcurso de los primeros tres meses de vida, antes de que se origine daño neurológico. Si bien el diagnóstico de osteopetrosis es relativamente sencillo, se retrasa debido a la falta de sospecha clínica.
Palabras clave: Osteopetrosis maligna infantil+ Osteoesclerosis+ TCIRG1+ Trasplante de células progenitoras hematopoyéticas.
Abstract:
Background: Osteopetrosis is a heterogeneous group of diseases that are characterized by increased bone density due to abnormalities in osteoclast differentiation or function, which result in a lack of bone resorption.
Case reports: Two patients with osteopetrosis onset since the first months of life, with facial dysmorphia, blindness, deafness, hepatosplenomegaly, hypotonia, neurodevelopmental retardation and bicytopenia. Bone radiographs showed osteosclerosis. They were assessed by different specialists prior to definitive diagnosis. Genetic analysis determined mutations in the TCIRG1 gene. Patient 1 had a homozygous mutation for p.Ile720Alafs*14 identified, which hasn’t been previously reported. Patient 2 had a compound heterozygous mutation: the first one, p.Phe459Leufs*79, and the second one, p.Gly159Argfs*68, none of which has been previously reported as far as we know.
Conclusion: The only therapeutic option for patients with osteopetrosis is hematopoietic stem cell transplantation (HSCT), which should be carried out in the course of the first 3 months of life, before neurological damage occurs. Although osteopetrosis diagnosis is relatively simple, it is delayed owing to the lack of clinical suspicion.
Keywords: Infantile malignant osteopetrosis, Osteosclerosis, TCIRG1, Hematopoietic stem cell transplantation.
Abreviaturas y siglas
OADosteopetrosis autosómica dominanteOARosteopetrosis autosómica recesivaOMIosteopetrosis maligna infantilORIosteopetrosis recesiva intermedia TCIRG1T-cell immune regulatorTCPHtrasplante de células progenitoras hematopoyéticasIntroducción
La osteopetrosis es una enfermedad ósea heterogénea que se caracteriza por aumento de la densidad ósea debido a anomalías en la diferenciación o función de los osteoclastos, lo que da lugar a alteraciones de la resorción ósea.1),(2),(3
Existen diferentes patrones de herencia determinados por el gen alterado, la forma más frecuente en adultos es la osteopetrosis autosómica dominante con una incidencia de 5 en cada 100 000 habitantes. La osteopetrosis autosómica recesiva tiene una incidencia de 1 en cada 250 000 habitantes. En la literatura se describe que en la osteopetrosis maligna infantil (OMI) 50 % de los casos tienen mutación en el gen TCIRG1. Sin tratamiento, la muerte ocurre a edad temprana.1),(2),(3),(4),(5
Presentamos dos casos de pacientes mexicanos con diagnóstico clínico y molecular de OMI.
Reporte de casos
Caso 1
Niña de 4 años 3 meses, originaria y residente de una comunidad endogámica del estado de Oaxaca. Fue producto de la primera gesta, sin antecedentes heredofamiliares de importancia. Referida por retaso en fijación de la mirada y sostén cefálico. Llegó al Instituto Nacional de Pediatría, Ciudad de México, a los tres meses de edad por cuadro de neumonía. A la exploración física peso 4800 g (percentil 3) y talla 51 cm (percentil -3), se observaron anormalidades como fontanela anterior amplia, proptosis, epicanto inverso bilateral, puente nasal deprimido, columnela corta, pabellones auriculares con implantación baja, hélix plegado, soplo cardiaco, abdomen con hepatomegalia (4 cm debajo del reborde costal), esplenomegalia, extremidades hipotónicas, limitación en la extensión del codo y extremidades inferiores con genu varum.
Se inició abordaje por síndrome dismórfico, ceguera, hepatoesplenomegalia y desnutrición crónica agudizada. Se encontró en los exámenes de laboratorio anemia de 5.5 g/dL, trombocitopenia de 24 000/mm3 y leucocitosis de 42 400 mL/mm3, por lo que la paciente ameritó transfusión de paquete globular. El aspirado de médula ósea no mostró alteraciones. No se llegó a un diagnóstico etiológico en su primera hospitalización.
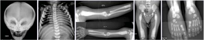
Seis meses después es hospitalizada por una segunda neumonía de origen bacteriano, además se detectó hipocalcemia de 2.5 mg/dL, por lo que la paciente requirió bolos de gluconato de calcio y calcitriol. Durante su revaloración se documentó atrofia óptica bilateral, ceguera, hipoacusia bilateral y hepatoesplenomegalia, todos hallazgos sugestivos de osteopetrosis. Con las radiografías se confirmó el diagnóstico, esclerosis difusa generalizada e imágenes de “hueso en hueso” característicos de esta enfermedad (Figura 1).

Dada la heterogeneidad clínica de la osteopetrosis descrita según el gen afectado, decidimos enviar la muestra de la paciente para su estudio molecular. Al ser TCIRG1 el gen que se afecta con mayor frecuencia en la OMI, fue el primero en analizarse. Se procedió a la extracción de ADN a partir de precipitación con etanol e isopropanol de sangre total, amplificación por PCR de los diferentes exones y secuenciación de estos por técnica de terminador fluorescente. Se halló en el gen TCIRG1 (OMIN *604592), una mutación homocigota (deleción de 19 nucleótidos en el exón 18), que predice corrimiento en el marco de lectura y codón de paro en la secuencia de aminoácidos (p.Ile720Alafs*14; NM_006019.3: c.2160_2178del). Ambos padres eran portadores de la mutación en estado heterocigoto. La mutación descrita no ha sido reportada previamente.
La OMI relacionada con TCIRG1 es letal sin trasplante de células progenitoras hematopoyéticas (TCPH). Se otorgó asesoramiento genético a ambos padres y se les informó que, en futuros embarazos, el diagnóstico radiológico podría realizarse antes del nacimiento y es necesario el TCPH antes de los tres meses de vida. A los cuatro años, la paciente ya no era candidata para trasplante debido a las complicaciones inherentes al procedimiento a esa edad. Los mejores resultados se observan antes de los seis meses.
Al momento de este informe, la paciente continuaba con tratamiento paliativo de las complicaciones, incluyendo interferón gamma recombinante.
Caso 2
Niño de 5 años 7 meses, originario de Chiapas, con antecedente de una hermana que murió a los 6 meses de edad sin causa determinada, pero los padres refirieron que tuvo el mismo cuadro clínico. Fue enviado con el diagnóstico de osteopetrosis a los 11 meses al Instituto Nacional de Pediatría. A su ingreso se documentó peso de 6950 g (percentil -3) y talla de 65 cm (percentil -3), dismorfias faciales, fontanela anterior amplia, endotropía de ojo izquierdo, implantación baja de pabellones auriculares, puente nasal deprimido, micrognatia, pectus excavatum, cardiomegalia, hepatomegalia (4 cm debajo del borde costal), hipotonía severa y retraso psicomotor. Sus laboratorios mostraron anemia de 6.4 g/dL, trombocitopenia de 13 000/mm3 e hipocalcemia de 3.2 mg/dL. Se transfundieron plaquetas y paquete globular, además de administrar suplementos de calcio. Se documentaron las siguientes alteraciones radiográficas con las que se confirmó el diagnóstico de osteopetrosis: osteoesclerosis en base de cráneo, región periorbitaria, columna vertebral (vértebras en sándwich), metáfisis de fémur y huesos iliacos (figura 1). Durante su evolución cursó con múltiples neumonías tanto bacterianas como virales. Otra complicación fue hipertensión arterial pulmonar y cardiomegalia asociadas con tórax restrictivo. Con la misma metodología empleada en el caso 1 se determinó una mutación heterocigota compuesta en el gen TCIRG1 (OMIN *604592). La primera (encontrada en estado heterocigoto en la madre) fue una inserción de un solo nucleótido que predice un corrimiento del marco de lectura en la secuencia de aminoácidos (p.Gly159Argfs*68; NM_006019.3:c.474dup). La segunda (encontrada en estado heterocigoto en el padre) fue una duplicación de 29 nucleótidos en el exón 12, que predice corrimiento del marco de lectura en la secuencia de aminoácidos y codón de paro prematuro 79 aminoácidos río abajo (p.Phe459Leufs*79; NM_006019.3:c.1348_1376dup). La detección de las dos mutaciones en los dos alelos es compatible con el cuadro clínico de osteopetrosis, sumada al antecedente de una hermana menor con la misma sintomatología.
Se otorgó asesoramiento genético a ambos padres. Es muy probable que el primer hijo finado que procreó la pareja haya padecido OMI.
El paciente fue valorado por el servicio de TCPH, donde se consideró candidato a tratamiento. A los dos años de edad recibió trasplante haploidéntico relacionado, sin embargo, presentó falla primaria de injerto un mes después. El paciente falleció debido a complicaciones de la osteopetrosis como plaquetopenia, anemia severa e hipertensión arterial pulmonar severa asociada con insuficiencia cardiaca.
Discusión
Hasta antes del año 2000 no se había descrito los genes responsables de la enfermedad, su descripción ha sido de utilidad para entender en funcionamiento del osteoclasto, que a continuación describimos brevemente.(6
En condiciones fisiológicas, las tasas de depósito y de resorción son equilibradas, de forma que la masa ósea total permanece constante. El esqueleto adulto se encuentra en estado dinámico, sometido a depósito y resorción por las acciones coordinadas de osteoclastos y osteoblastos. El osteoclasto es una célula gigante multinucleada con un borde en cepillo que se pone en contacto con la matriz ósea, sintetiza activamente enzimas lisosómicas y varias metaloproteinasas, que disuelven el colágeno y eliminan la matriz ósea en conjunción con una intensa secreción de protones que acidifican y facilitan la disolución de los cristales de hidroxiapatita.
Son varias las proteínas que participan en la regulación del pH intra y extracelular en el borde en cepillo (Figura 2) En el Cuadro 1 se describen los genes que actualmente se asocian con osteopetrosis. Cada gen codifica una proteína con una función específica en el osteoclasto.(7


TCIRG1 (T-cell immune regulator) es un gen que con mayor frecuencia se asocia con OMI y codifica para varias isoformas. Dos de ellas son las que se transcriben más frecuentemente, una de ellas es OC116, con 20 exones, codifica para la subunidad A3 (830 aminoácidos), parte del complejo proteico H + ATPasa vacuolar (ATPasa-V). Este complejo proteico actúa como una bomba para mover protones a través de la membrana. Este movimiento ayuda a regular el pH de los osteoclastos y su entorno. La acidificación de organelos dependientes de ATPasa-V es necesaria para procesos intracelulares.
Características clínicas y paraclínicas
La actividad anormal de los osteoclastos y la actividad normal de los osteoblastos conducen a fragilidad ósea y fracturas en 80 % de los pacientes, tanto de huesos largos y arco posterior de las vértebras. Los pacientes tienen mayor riesgo de desarrollar osteomielitis secundaria a la falta de irrigación asociada con la esclerosis ósea. El crecimiento longitudinal de los huesos se deteriora provocando baja estatura. Todos los pacientes con osteopetrosis pueden presentar defectos de la erupción dental; la osteomielitis mandibular a menudo se asocia con abscesos dentales o caries.1),(2),(4),(8),(9
El aumento de la masa ósea conduce a macrocefalia y prominencia frontal, los pacientes presentan exoftalmos, micrognatia, tórax restrictivo e hipertelorismo. Algunos pacientes con osteopetrosis autosómica recesiva muestran signos de neurodegeneración primaria como convulsiones, retraso del neurodesarrollo, hipotonía, atrofia neurosensorial de la retina y sordera.(1),(2),(8)
También la mayor densidad ósea da lugar al estrechamiento de los forámenes óseos, lo que resulta en compresión nerviosa de la vía óptica, auditiva y nervios faciales, puede por tanto ocasionar ceguera, sordera e hidrocefalia. Existe además una falla en la hematopoyesis secundaria a esclerosis, con una compensación extramedular que se manifiesta con anemia, hemorragias secundarias a trombocitopenia, infecciones recurrentes, esplenomegalia y hepatomegalia. El hiperesplenismo acentúa trombocitopenia y anemia por hemólisis.1),(2),(8),(10
Se ha reportado que los pacientes con mutación en los genes TNFRSF11A y TCIRG1 pueden cursar con hipogammaglobulinemia, probablemente por disminución en los linfocitos B de memoria y por falla en el proceso de cambio de isotipo de inmunoglobulinas, así como en la maduración.11
La hipocalcemia es un hallazgo frecuente de laboratorio y se puede encontrar asociada con hiperparatiroidismo secundario, incluso ocasionar crisis hipocalcémicas con tetania y crisis convulsivas.4),(8
Los hallazgos radiológicos característicos incluyen marcado aumento en la densidad ósea con remodelación metafisiaria y apariencia de "hueso dentro de un hueso" (hueso menos denso sobre hueso más denso). La esclerosis focal de la base de cráneo y pelvis pueden presentar alternancia de bandas escleróticas, llamadas de “Lucent”, y placas en las vértebras (vértebras "sándwich"), típicas de formas adultas menos graves. La tomografía computarizada se puede utilizar para evaluar la vía óptica y el conducto auditivo, así como la efectividad del tratamiento. Otros datos clínicos son hipotrofia, mal estado general y atresia de coanas.1),(3),(10
Osteopetrosis autosómica dominante
Existen varias clasificaciones de la osteopetrosis. En la literatura se han descrito tres subtipos de acuerdo con el gen mutado; solo el tipo II se puede presentar en la infancia y es el que describimos como parte del diagnóstico diferencial de las formas autosómicas recesivas.3),(12
En la osteopetrosis autosómica dominante tipo II, 70 % de los casos albergan mutaciones en el gen CLCN7, en el 30 % restante no se han identificado los genes responsables. Los signos clínicos se presentan en etapas tardías de la niñez o adolescencia.4),(5),(12
Osteopetrosis autosómica recesiva
La osteopetrosis autosómica recesiva se ha clasificado en dos rubros según la edad de presentación: autosómica recesiva o maligna infantil y autosómica recesiva intermedia.4
La OMI es la forma más grave de la enfermedad, inicia in utero. Al momento del nacimiento o durante el primer año de vida ya hay signos y síntomas de la enfermedad y suele tener mal pronóstico. Aproximadamente 50 % de los pacientes con OMI estudiados en diferentes grupos tienen mutaciones del gen TCIRG1. Las primeras mutaciones en este gen fueron descritas en el año 2000 por Villa et al. Pangrazio et al. expusieron una de las series más grandes de pacientes con OMI con mutación en el gen TCIRG1, con más de 100 pacientes. En ellos, la distribución de las diferentes mutaciones fue la siguiente: sentido erróneo 24 %, sin sentido 20 %, deleciones pequeñas 22 %, inserciones pequeñas 5 % y del sitio de empalme 29 %.13 Se han observado mutaciones homocigotas como heterocigotas compuestas. Recientemente se han identificado mutaciones sinónimas, lo cual complica el diagnóstico molecular.14
La mutación en gen CLCN7 que codifica para el canal de cloro 7, necesario para la acidificación del área de resorción ósea se ha descrito en 10 % de los pacientes. Las mutaciones en el gen OST1 o OSTM1 han sido descritas como causantes en 5 % de los casos, este gen codifica una proteína transmembrana responsable de la formación del borde en cepillo. Menos de 4% de los pacientes tiene alteraciones en la función de TNFSF11, que codifica para un ligando de la osteoprotegerina, clave para la diferenciación y activación de osteoclastos. Finalmente existe solo un par de casos de formas intermedias de osteopetrosis causadas por mutaciones en PLEKHM1 y SNX10, el primero está involucrado en el transporte vesicular hacia el borde en cepillo y el segundo en la movilización de la bomba ATPasa-V (Figura 2).4),(5),(11
Osteopetrosis recesiva intermedia
Este tipo de osteopetrosis presenta un fenotipo clínico menos severo y con mejor pronóstico. La mayoría de los casos se ha observado en familias del medio oriente del Mediterráneo, en los cuales se han involucrado dos genes: CLCN7 y CAI II, el primero ya descrito y el segundo codifica la enzima anhidrasa carbónica tipo II. Estos últimos además presentan acidosis tubular renal.3),(4),(12
Tratamiento
El TCPH es la única opción curativa de la OMI, sin este tratamiento los pacientes fallecen antes de los seis años. En este procedimiento, el osteoclasto anormal es reemplazado por los progenitores hematopoyéticos del donador que se diferencian a osteoclastos normales. Debe realizarse en edad temprana, antes de los tres meses de edad, para que se eviten las secuelas neurológicas. El TCPH no está indicado en fenotipos clínicos menos severos. El diagnóstico prenatal en familias con osteopetrosis autosómica recesiva puede ser posible mediante radiografías in utero y el TCPH se puede realizar después del nacimiento.15),(16 El TCPH no se recomienda en pacientes con mutación en los genes TNFSF11 y OSTM1. En el primer caso debido a que el defecto no está en el osteoclasto y en los dos últimos hay daño neurológico progresivo per se.16
Los objetivos de la farmacoterapia son reducir la morbilidad y prevenir las complicaciones; se recomienda incluir suplementos nutricionales, vitamina D, corticosteroides, eritropoyetina, antibióticoterapia e interferón gamma. Este último disminuye el número de infecciones severas e incrementa la resorción ósea. En los pacientes con hipogammaglobulinemia, el tratamiento con inmunoglobulina humana a dosis sustitutivas puede disminuir los procesos infecciosos recurrentes.1),(2),(4),(8),(11
Conclusiones
La OMI es la forma más grave, las manifestaciones se presentan inmediatamente al nacimiento. Los pacientes reportados presentaron características clínicas propias de la enfermedad desde los primeros meses de vida. Steward describió que en los pacientes con TCIRG1 las manifestaciones más tempranas son alteraciones visuales e hipocalcemia sintomática en el primer mes de vida. Otros signos frecuentes genotipo-fenotipo son fracturas, anemia, trombocitopenia, hepatoesplenomegalia y retardo en el crecimiento,17 sin embargo, no se diagnosticaron sino hasta los seis meses y 12 meses de edad, cuando ya presentaban daño neurológico.
Otra complicación que presentaban los casos reportados fue neumonía. La cuantificación de inmunoglobulinas séricas en estos pacientes está indicada por asociación con hipogammaglobulinemia. Otra explicación de las infecciones recurrentes es la afectación de los órganos inmunológicos primarios (médula ósea) y secundarios (bazo), por hematopoyesis secundaria.
En México solo se han reportado casos aislados, no existe una cohorte que describa las características clínicas y genéticas de la enfermedad. En San Luis Potosí, México, Toranzo et al. describieron a una niña que inició la enfermedad a los nueve meses de edad, sin embargo, el diagnóstico se realizó a los siete años.9 En esta descripción no se realizó detección del gen mutado. Probablemente no fue TCIRG1, debido a que estos casos inician in utero y sin tratamiento fallecen a los seis años. Existió un retardo importante del diagnóstico que puede ser explicado por un fenotipo clínico leve, descrito en la osteopetrosis autosómica recesiva asociada con el gen CLCN7. Otros dos casos de OMI en México fueron reportados por González et al. y Argüelles et al., uno antes de los nueve meses y otro al mes de vida; en ninguno se describieron las mutaciones responsables de la enfermedad. No identificamos más casos de México en la literatura.
TCIRG1 se ha asociado con 50 % de los casos de OMI en diferentes estudios internacionales. El análisis genético en los dos pacientes reportados aquí también evidenció mutaciones en este gen: en el primer caso fue una mutación homocigota y en el segundo fue heterocigota compuesta, ninguna descrita en las bases de datos que reportan mutaciones como Human Gene Mutation Data Base, Leinden Open Variation Database, NCBI, Exome Variant Serve y Exac Browswer. Tampoco las encontramos con el programa AlamutVisual-2.8.1.
El estudio molecular de los pacientes ratifica el diagnóstico. Determinar el gen afectado evidencia el tipo de herencia. Es importante señalar que entre las diferentes mutaciones de TCIRG1 se han descrito diferentes fenotipos clínicos.6 Se han identificado particularidades clínicas entre los pacientes según el gen mutado, por ejemplo, las fracturas y la microcefalia se asociaron con OSTM1, la hipocalcemia y la hipogammaglobulinemia con TCIRG1.(16)
Las diferentes mutaciones en los diferentes genes afectados se han asociado con mal pronóstico, con excepción de algunos casos clínicos con mutación en CLCN7 y CAI II.12
Actualmente una de las nuevas herramientas para el diagnóstico molecular es la secuenciación completa del exoma, con la que se puede detectar a los genes responsables descritos de la osteopetrosis. Mediante esta técnica se han estudiado cohortes en diferentes países; en la mayoría existen aún casos sin evidencia de alteración genética, lo cual refleja genes aún pendientes de describir en la OMI.18
El único tratamiento curativo es el TCPH, cuyo éxito depende de la realización en los primeros tres meses de vida; adicionalmente, el daño neurológico no se revierte con el procedimiento. En Monterrey, México, González et al. reportaron un lactante con TCPH parcialmente compatible no relacionado en dos ocasiones, a los nueve y 13 meses edad; presentó falla al injerto en ambos y desenlace fatal por progresión de la enfermedad los 2.6 años. En Puebla, México, Argüelles et al. reportaron a una lactante con dos TCPH haploidéntico de donador relacionado, al mes y a los seis meses de vida, ambos con falla de injerto posiblemente por antecedente de múltiples trasfusiones sanguíneas.
En relación con el caso 2 descrito, recibió a los dos años de edad TCPH con un HLA idéntico relacionado. En los pacientes que reciben TCPH de hermanos con HLA idéntico tienen una supervivencia a cinco años de 73 a 79 %, mientras los que reciben trasplante de donador no relacionado o no HLA idéntico es de 13 a 45 %. El éxito del trasplante entonces está determinado por el tipo de donador.16 Por otro lado, la mejor supervivencia se asocia con la realización del procedimiento antes de los tres meses y la ausencia de trasfusiones sanguíneas previas (los pacientes se sensibilizan). En el caso 2 ambos factores pudieron ser desfavorables para el éxito.8),(19),(20
El interferón gamma recombinante es uno de los tratamientos que incrementan la resorción ósea y disminuye la masa ósea, como consecuencia incrementa el espacio medular, lo que mejora la hematopoyesis. El Instituto Nacional de Pediatría es la única institución que cuenta con este fármaco en México.
Finalmente, resaltamos que el diagnóstico temprano se realiza con base en la exploración clínica, un hemograma, cuantificación de calcio sérico y radiografías óseas. Las ventajas del diagnóstico genético han sido mencionadas a lo largo de todo este escrito.
Referencias
1. Essabar L, Meskini T, Ettair S, Erreimi N, Mouane N. Malignant infantile osteopetrosis: case report with review of literature. Pan Afr Med J. 2014;17:63. DOI: 10.11604/pamj.2014.17.63.3759
2. Usta M, Gulec SG, Karaman S, Erdem E, Emral H, Urganci N. A case report of malignant infantile osteopetrosis. Iran J Pediatr. 2012;22(3):421-424.
3. Del-Fattore A, Cappariello A, Teti A. Genetics, pathogenesis and complications of osteopetrosis. Bone. 2008;42(1):19-29. DOI: 10.1016/j.bone.2007.08.029
4. Coudert AE, De-Vernejoul MC, Muraca M, Del-Fattore A. Osteopetrosis and its relevance for the discovery of new functions associated with the skeleton. Intern J Endocrinol. 2015;2015:372156. DOI: 10.1155/2015/372156
5. Anderson SL, Jalas C, Fedick A, Reid KF, Carpenter TO, Chirnomas D, et al. A founder mutation in the TCIRG1 gene causes osteopetrosis in the Ashkenazi Jewish population. Clin Genet. 2015;88(1):74-79. DOI: 10.1111/cge
6. Frattini A, Orchard PJ, Sobacchi C, Giliani S, Abinun M, Mattsson JP, et al. Defects in TCIRG1 subunit of the vacuolar proton pump are responsible for a subset of human autosomal recessive osteopetrosis. Nat Genet. 2000;25(3):343-346. DOI: 10.1038/77131
7. Guyton A. Tratado de fisiología médica. España: Elsevier; 2011.
8. Sobacchi C, Schulz A, Coxon FP, Villa A, Helfrich MH. Osteopetrosis: genetics, treatment and new insights into osteoclast function. Nat Rev Endocrinol. 2013;9(9):522-536. DOI: 10.1038/nrendo.2013.137
9. Toranzo-Fernandez JM, Noyola-Frias MA, Hernandez-Duarte SP. Infantile osteopetrosis: a case report with osteomyelitis of the maxilla. J Clin Pediatr Dent. 2002;27(1):77-80.
10. Ba ID, Ba A, Thiongane A, Ba M, Fattah M, Faye PM, et al. Malignant infantile osteopetrosis revealed by choanal atresia: a case report. Arch Pediatr. 2016;23(5):514-518. DOI: 10.1016/j.arcped.2016.02.006
11. Guerrini MM, Sobacchi C, Cassani B, Abinun M, Kilic SS, Pangrazio A, et al. Human osteoclast-poor osteopetrosis with hypogammaglobulinemia due to TNFRSF11A (RANK) mutations. Am J Hum Genet. 2008;83(1):64-76. DOI: 10.1016/j.ajhg.2008.06.015
12. Balemans W, Van-Wesenbeeck L, Van-Hul W. A clinical and molecular overview of the human osteopetroses. Calcif Tissue Int. 2005;77(5):263-274. DOI: 10.1007/s00223-005-0027-6
13. Pangrazio A, Caldana ME, Sobacchi C, Panaroni C, Susani L, Mihci E, et al. Characterization of a novel Alu-Alu recombination-mediated genomic deletion in the TCIRG1 gene in five osteopetrotic patients. Journal of bone and mineral research. J Bone Miner Res. 2009;24(1):162-167. DOI: 10.1359/jbmr.080818
14. Palagano E, Susani L, Menale C, Ramenghi U, Berger M, Uva P, et al. Synonymous mutations add a layer of complexity in the diagnosis of human osteopetrosis. J Bone Miner Res. 2017;32(1):99-105. DOI: 10.1002/jbmr.2929
15. Askmyr MK, Fasth A, Richter J. Towards a better understanding and new therapeutics of osteopetrosis. Br J Haematol. 2008;140(6):597-609. DOI: 10.1111/j.1365-2141.2008.06983.x
16. Mazzolari E, Forino C, Razza A, Porta F, Villa A, Notarangelo LD. A single-center experience in 20 patients with infantile malignant osteopetrosis. Am J Hematol. 2009;84(8):473-479. DOI: 10.1002/ajh.21447
17. Steward CG. Neurological aspects of osteopetrosis. Neuropathol Appl Neurobiol. 2003;29(2):87-97. DOI: 10.1046/j.1365-2990.2003.00474.x
18. Shamriz O, Shaag A, Yaacov B, NaserEddin A, Weintraub M, Elpeleg O, et al. The use of whole exome sequencing for the diagnosis of autosomal recessive malignant infantile osteopetrosis. Clin Genet. 2017;92(1):80-85. DOI: 10.1111/cge.12804
19. Llano OG, Perez JC, Rodriguez OC, Guerra CM, Aguirre HG, Garza JL, et al. Allogeneic hematopoietic stem cell transplantation using a reduced-intensity conditioning regimen in infants: experience at a single institution in Mexico. Pediatric Hematol Oncol. 2008;25(1):39-47. DOI: 10.1080/08880010701773621
20. Ruiz-Argüelles GJ, Gómez-Almaguer D, Tarin-Arzaga LD, Morales-Toquero A, Cantu-Rodriguez OG, Manzano C. Second allogeneic peripheral blood stem cell transplants with reduced-intensity conditioning. Rev Invest Clin. 2006;58(1):34-38.
Notas de autor
Correspondencia: Lizbeth Blancas Galicia. blancas.lizbeth@gmail.com