Casos clínicos
Dermatitis atópica de inicio tardío con patrón numular
Late-onset atopic dermatitis with nummular pattern
Dermatitis atópica de inicio tardío con patrón numular
Revista alergia México, vol. 66, núm. 4, pp. 483-487, 2019
Colegio Mexicano de Inmunología Clínica y Alergia, A.C.
Recepción: 22 Septiembre 2018
Aprobación: 15 Enero 2019
Resumen
Antecedentes: Los adultos con dermatitis atópica tienen una forma persistente en la infancia o con inicio después de los 18 años. La dermatitis atópica de inicio tardío puede cursar con heterogeneidad clínica y muchas veces sin el patrón clásico de dermatitis flexural.
Caso clínico: Hombre de 26 años, portador de rinitis alérgica, con eccema de inicio tardío y patrón numular atípico en tronco y miembros. Con la biopsia cutánea se observaron lesiones tipo eccema, lo que asociado con la historia personal y alteraciones en los exámenes de laboratorio, permitió el diagnóstico de dermatitis atópica del adulto de inicio tardío. Se prescribió metotrexato, sin respuesta, por lo que se inició fototerapia debido a la dependencia de corticoides sistémicos.
Conclusión: Las presentaciones atípicas de la dermatitis atópica en el adulto representan un desafío clínico. La historia personal de atopia, la sensibilidad a aeroalérgenos, la eosinofilia y la biopsia cutánea son esenciales para establecer el diagnóstico.
Palabras clave: Dermatitis atópica+ Heterogeneidad clínica+ Dermatitis flexural+ Adultos.
Abstract
Background: Adults with atopic dermatitis have had a persistent form in childhood or with an onset after the age of eighteen years. Late-onset atopic dermatitis may present with clinical heterogeneity and it often lacks the classic pattern of flexural dermatitis.
Clinical case: A 26-year-old man with allergic rhinitis, with late-onset eczema, and an atypical nummular pattern on his trunk and limbs. The skin biopsy showed eczema-like lesions which, together with the patient’s personal history and laboratory abnormalities, allowed the diagnosis of the adult’s late-onset atopic dermatitis. Treatment with methotrexate was started and there was no response, which is why phototherapy was prescribed due to the dependence on systemic corticosteroids.
Conclusion: Atypical presentations of atopic dermatitis in adults represent a clinical challenge. A personal history of atopy, sensitivity to aeroallergens, eosinophilia, and a cutaneous biopsy are essential to establish the diagnosis.
Keywords: Atopic dermatitis, Clinical heterogeneity, Flexural dermatitis, Adults.
Antecedentes
La dermatitis atópica (DA) es una dermatosis multifactorial inflamatoria crónica cutánea que resultaría de la interacción de factores genéticos personales o familiares y ambientales.1 Se presenta de forma aislada o como manifestación de un desorden sistémico cuando se asocia con rinitis alérgica, asma y alergia alimentaria.2,3
En la mayoría de las ocasiones, la DA se inicia en la infancia (inicio precoz). Su prevalencia en la actualidad varía entre 15 y 30 % de la población pediátrica y entre 1 y 3 % de la población adulta.4 Aunque gran parte de las DA de la infancia entran en remisión antes de la pubertad, algunas persisten o recidivan durante la vida adulta. Recientemente ha sido reconocida una DA de inicio tardío que comienza después de los 18 años,3,4,5 cuya prevalencia varía aproximadamente de 8 a 24 % en los casos de eccema atópico.6,7
El diagnóstico de la DA se basa en criterios clínicos y para la definición de los casos que con inicio en la vida adulta se adaptaron los criterios utilizados en la población pediátrica.5 Sin embargo, la DA de inicio tardío del adulto posee gran heterogeneidad clínica y con frecuencia no sigue el patrón clásico de la dermatitis flexural. Existen formas de presentación propias en la adultez: afectación de cabeza y cuello, eccema crónico de las manos y lesiones numulares. Debido a su morfología atípica, con frecuencia la DA de inicio tardío es un diagnóstico de exclusión y se necesita la realización de pruebas para descartar otras enfermedades u otros tipos de eccema sobreañadidos.4 Se presenta un caso de DA de inicio tardío de difícil diagnóstico debido al patrón clínico atípico numular y lesiones sugestivas de linfoma cutáneo.
Caso clínico
Hombre de 26 años de edad, portador de rinitis alérgica leve, quien presentaba placas pruriginosas en tronco desde un año atrás, que se diseminaron a cuello y miembros superiores e inferiores. También informó de prurito y descamación en el cuero cabelludo. Usaba 40 mg/día de prednisona en forma intermitente, con mejoría parcial.
Al examen físico se identificó xerosis difusa, placas policíclicas, algunas de formato anular, con bordes violáceos, infiltradas y descamativas en tronco y en miembros superiores e inferiores. No había lesiones en fosa cubital y poplítea. Fueron consideradas las hipótesis diagnósticas de micosis fungoide, tiña corporis, sífilis terciaria y dermatitis atópica del adulto con padrón numular (figuras 1 y 2).


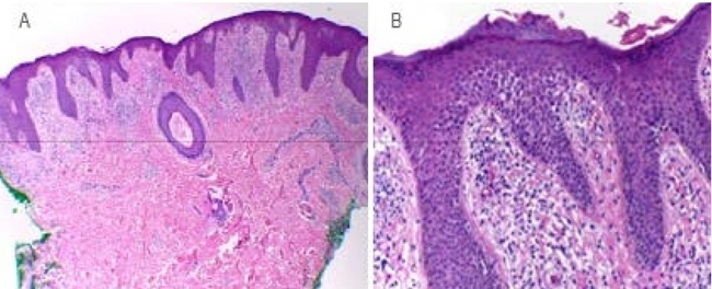
Los exámenes de laboratorio mostraron hemograma con eosinofilia (12 %), IgE total de 2500 UI/mL, velocidad de sedimentación de 6 mm/hora, proteína C reactiva de 0.22, pruebas negativas VDRL, FTA-ABS y serologías para HTLV-1 y VIH. Fueron realizadas dos biopsias de piel con las que se evidenció dermatitis perivascular espongiótica (figura 3). La investigación sérica de IgE específica indicó sensibilización para aeroalérgenos: Dermatophagoides pteronyssinus, Blomia tropicalis, pelo de perro y de gato.

Mediante los resultados se consideró la hipótesis de DA del adulto con patrón de eccema numular. Se le recomendó iniciar fototerapia, sin embargo, el paciente no aceptó someterse a dicho procedimiento, por lo que se consideró el empleo de ciclosporina, sin embargo, el paciente no la consiguió. Como alternativa se propuso metotrexato (15 mg/semana), asociado con ácido fólico (5 mg/semana) e hidratantes. El paciente continúo con prurito intenso, por lo que se prescribió hidroxizina (50 mg/día) y pregabalina (75 mg/día).
Inicialmente presentó mejoría con posterior recaída clínica con cuadro de eritrodermia exfoliativa, por lo que requirió recurrentemente prednisona (0.5 mg/kg/día). Como no respondió a 25 mg/semana de metotrexato, la medicación se suspendió y se inició fototerapia con UVB-NB. El tratamiento se ha llevado en forma irregular por dificultad del paciente para trasladarse al centro hospitalario, por ello, al momento de este informe todavía no se observaba respuesta satisfactoria.
Discusión
La DA de inicio en el adulto con presentación atípica es un diagnóstico que implica desafíos, dado que la morfotopografía de las lesiones es un elemento importante de los criterios clásicamente utilizados para ese propósito.7 Según Kanwar y Narang, apenas 18 % de los adultos cumple con los criterios de Hanifin y Rajka.
En población tailandesa con DA de inicio tardío, Kulthanan et al.6 describieron 5.1 % (n = 3) de lesiones flexurales aisladas, 74.6 % (n = 44) flexurales y en otros sitios y en 20.3 % (n = 12) apenas había afectación de áreas no flexurales.
Las lesiones numulares se caracterizan por placas bien delimitadas, redondeadas, eritematosas y descamativas, frecuentemente de evolución crónica; en la DA del adulto se pueden asociar con lesiones de eccema flexural o presentarse de forma aislada.8 En la literatura especializada han sido descritas como comunes en pacientes asiáticos (17 %)4,5,6,7,8 y resistentes al tratamiento.
Es común la asociación de la DA del adulto con otras enfermedades atópicas, principalmente rinitis alérgica.5 No parece haber diferencia entre la DA de inicio precoz y tardío en cuanto a la historia personal o familiar de atopia5 o en la manifestación de signos y síntomas como xerosis, queilitis y queratosis pilar, entre otros.9 En el paciente descrito con presentación cutánea atípica, el antecedente de rinitis atópica y las alteraciones laboratoriales como la sensibilidad a aeroalérgenos y eosinofilia fueron esenciales para el diagnóstico. En general no se utiliza biopsia de piel en la investigación de los eccemas, debido a que no permite distinguir entre las posibles etiologías,4 sin embargo, en el paciente descrito algunas lesiones en placa tenían aspecto infiltrado y sugerían micosis fungoide, diagnóstico eliminado después del análisis de dos fragmentos de piel.
El tratamiento de la DA de inicio tardío en el adulto es el habitualmente utilizado en el eccema atópico.7 Nuestro paciente no presentó respuesta favorable al inmunosupresor sistémico prescrito en un inicio; posteriormente se prescribió fototerapia por la disponibilidad del paciente, si bien en primera instancia se había negado a ella. La IgE elevada y la afectación de cabeza y cuello son factores conocidos de peor pronóstico en la DA del adulto, con mayor probabilidad de persistencia de las lesiones de eccema.3
Debido a la complejidad de la patología y su tratamiento, se continúan estudiando diferentes medicamentos para el control y la estabilización de la DA moderada a grave que no responde a los inmunosupresores habituales. Como alternativa prometedora existen los inmunobiológicos, sin embargo, hasta el momento solo el dupilumab ha sido aprobado por la Food and Drugs Administration para el tratamiento de DA en adultos. El dupilumab es un anticuerpo monoclonal humano que inhibe la hiperactividad de la señalización de las citocinas IL-4 e IL-13, los principales inductores de la inflamación crónica subyacente.10
El diagnóstico de la DA de inicio tardío puede ser difícil cuando la presentación clínica es atípica. El establecimiento de criterios diagnósticos para este subtipo de DA y la búsqueda de biomarcadores específicos podrán auxiliar en la definición de casos.
Referencias
Querol-Nasarre I. Dermatitis atópica. Rev Pediatr Aten Primaria. 2009;11(Supl 17):s317-329. Disponible en: http://scielo.isciii.es/scielo.php?script=sci_arttext&pid=S1139-76322009000700003
Williams HC. Epidemiology of atopic dermatitis. Clin Exp Dermatol. 2000;25(7):522-529. DOI: 10.1046/j.1365-2230.2000.00698.x
Katsarou A, Armenaka M. Atopic dermatitis in older patients: particular points. J Eur Acad Dermatol Venereol. 2011;25(1):12-18. DOI: 10.1111/j.1468-3083.2010.03737.x
Silvestre-Salvador JF, Romero-Pérez D, Encabo-Durán B. Atopic dermatitis in adults: a diagnostic challenge. J Investig Allergol Clin Immunol. 2017;27(2):78-88. DOI: 10.18176/jiaci.0138
Megna M, Patruno C, Balato A, Rongioletti F, Stingeni L, Balato N, et al. An Italian multicentre study on adult atopic dermatitis: persistent versus adult-onset disease. Arch Dermatol Res. 2017;309(6):443-452. DOI: 10.1007/s00403-017-1739-y
Kulthanan K, Samutrapong P, Jiamton S, Tuchinda P. Adult-onset atopic dermatitis: a cross-sectional study of natural history and clinical manifestation. Asian Pac J Allergy Immunol. 2007;25(4):207-214. Disponible en: http://apjai-journal.org/wp-content/uploads/2018/01/3AdultOnsetAtopicDermatitisVol25No4December2007P207.pdf
Kanwar AJ, Narang T. Adult onset atopic dermatitis: under-recognized or under-reported? Indian Dermatol Online J. 2013;4(3):167-171. DOI: 10.4103/2229-5178.115508
Reguiaï Z. Dermatite atopique de L’adulte: présentation clinique, complications et comorbidités. Ann Dermatol Venereol. 2017;144(Suppl 5):VS15-VS22. DOI: 10.1016/S0151-9638(18)30087-5
Son JH, Chung BY, Kim HO, Park CW. Clinical features of atopic dermatitis in adults are different according to onset. J Korean Med Sci. 2017;32(8):1360-1366. DOI: 10.3346/jkms.2017.32.8.1360
Rincón-Pérez C, Larenas-Linnemann D, Figueroa-Morales MA, Luna-Pech J, García-Hidalgo L, Macías-Weinmann A, et al. Mexican consensus on the diagnosis and treatment of atopic dermatitis in adolescents and adults. Rev Alerg Mex. 2018;65(Supl 2):s8-s88. DOI: 10.29262/ram.v65i6.526
Notas
Notas de autor
*Correspondencia: Evelia Pautt-Lara. eeveliapautt@hotmail.com