Artículo original
Una copa con final inesperado… Reacción adversa por agua tónica: reporte de un caso
A drink with an unexpected ending… Adverse reaction by tonic water: A case report.
Una copa con final inesperado… Reacción adversa por agua tónica: reporte de un caso
Revista alergia México, vol. 70, no. 2, pp. 107-110, 2023
Colegio Mexicano de Inmunología Clínica y Alergia A.C.
Received: 17 March 2022
Accepted: 04 April 2023
Resumen
Antecedentes: La quinina es un alcaloide con propiedades antipiréticas, antiinfecciosas y, además, un ingrediente del agua tónica. Se han descrito reacciones adversas con este producto, como fotosensibilidad, vasculitis y dermatitis de contacto.
Reporte de caso: Paciente masculino de 31 años, que luego de 3-4 horas de consumir ginebra con agua tónica “Schweppes®” manifestó úlceras en los labios y la cavidad bucal, y una lesión eritematosa fija en la segunda falange de la mano, 24 horas después. Las pruebas cutáneas con aeroalérgenos y alimentos resultaron negativas, y las pruebas epicutáneas de 48 horas positivas (quinina [++] y “Schweppes®” [++]). Con base en los hallazgos de las pruebas, se estableció el diagnóstico de reacción adversa por quinina, contenida en el agua tónica.
Conclusión: La quinina puede encontrarse en diferentes alimentos o medicamentos, por lo que es importante establecer el diagnóstico preciso y ofrecer recomendaciones adecuadas por el consumo de este producto.
Palabra clave: Reacción adversa+ quinina+ agua tónica+ lesión eritematosa fija+ pruebas epicutáneas.
Abstract
Background: Quinine is an alkaloid with antipyretic and anti-infective properties, and also an ingredient in tonic waters. Adverse reactions have been reported with this product, such as photosensitivity, vasculitis, and contact dermatitis.
Case report: A 31-year-old male patient who, after 3-4 hours of consuming “Schweppes®” gin with tonic water, manifested ulcers on the lips and oral cavity, and a fixed erythematous lesion on the second phalanx of the hand, 24 hours later. Skin tests with aeroallergens and food were negative, and 48-hour patch tests were positive (quinine [++] and “Schweppes®” [++]). Based on the test findings, the diagnosis of an adverse reaction to quinine, contained in the tonic water, will be established.
Conclusion: Quinine can be found in other types of foods or medications, so it is important to establish an accurate diagnosis and offer adequate recommendations to the patient with the consumption of this product.
Keyword: Adverse reaction, Quinine, Tonic, Fixes erythematous lesions, Patch test.
ANTECEDENTES
La quinina es un alcaloide que se extrae de la corteza del quino (Cinchona officinalis) y se utiliza para el tratamiento de la malaria. Tiene actividad antipalúdica y se prescribe para calambres musculares e infecciones gripales. Además, puede indicarse como estimulante del apetito y antiasténico, y se ha observado que forma parte de varios fármacos antipiréticos y antiálgicos. También es un ingrediente que se adiciona, en conjunto con el azúcar y extractos de cítricos, para la preparación del agua tónica.
Se han descrito diferentes efectos secundarios con la quinina: citopenia, síndrome urémico hemolítico, hepatitis y vasculitis. Algunos estudios informan diferentes reacciones adversas, por ejemplo: fotosensibilidad, dermatitis de contacto y exantema fijo medicamentoso, y rara vez se han descrito reacciones graves (anafilaxia o síndrome de Stevens-Johnson).
REPORTE DE CASO
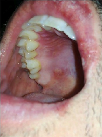
Paciente masculino de 31 años, sin antecedentes médicos de interés ni consumo de medicamentos en la actualidad, que acudió a consulta por haber manifestado, en dos ocasiones luego de 3-4 horas de consumir ginebra con agua tónica “Schweppes®”, una lesión eccematosa en el labio, con formación de úlceras en la cavidad bucal (Figura 1) y una lesión eritematosa fija en la segunda falange de la mano derecha (Figura 2) luego de 24 horas. Las manifestaciones clínicas fueron desapareciendo de forma espontánea; sin embargo, persistió la hiperpigmentación en las zonas durante 2-3 semanas. El paciente refirió haber sufrido, en alguna ocasión, un cuadro con similares características que lo relacionó con el consumo de agua tónica sin ginebra. No refirió la aparición de lesiones con el consumo concomitante de otros alimentos, fármacos ni cofactores adicionales (estrés o consumo de antiinflamatorios).
El examen clínico trascendió sin inconvenientes, sin visualización residual de la hiperpigmentación ni lesiones activas en la piel o mucosas.
Se efectuaron estudios alergológicos en el paciente de este caso y en 10 controles sanos. Se llevaron a cabo pruebas cutáneas con aeroalérgenos y alimentos de referencia, que resultaron negativas. Posteriormente se practicaron pruebas cutáneas con cloroquina y agua tónica “Schweppes” al 1/10, también con resultado negativo. Luego de 8 semanas de la reacción adversa se efectuaron pruebas epicutáneas con agua tónica “Schweppes®”, ginebra y quinina al 20% en vaselina, tanto en el área afectada como en las zonas de piel sana, con resultado positivo (++) para ambos productos empleados. Figura 3
La biopsia obtenida previamente, durante la fase activa de la reacción, por personal de Dermatología reportó: dermatitis de interfase vacuolar con queratinocitos necróticos e infiltrado inflamatorio de predominio linfohistiocitario, con neutrófilos y eosinófilos.
De acuerdo con los hallazgos clínicos y los resultados de las pruebas se decidió no someter al paciente a una prueba de provocación con agua tónica; se recomendó de forma estricta evitar el consumo del líquido, pero por decisión propia decidió tomarlo en su domicilio, manifestando de nuevo los mismos síntomas.



DISCUSIÓN
La quinina es un fármaco antipalúdico y uno de sus tantos usos (agua tónica) se desarrolló para modificar su sabor amargo, añadiendo extracto de cítricos y azúcares. Diversos estudios han publicado reacciones de hipersensibilidad con este producto, sobre todo reacciones tardías luego del consumo de agua tónica.
La reacción más frecuente es el exantema fijo, que suele afectar los labios, y el diagnóstico se establece de forma tardía, cuando los síntomas evolucionan a reacciones más graves (necrólisis epidérmica tóxica), pues los pacientes no lo relacionan con la toma de agua tónica hasta que se repite en varias ocasiones.
La erupción medicamentosa fija se caracteriza por la aparición de un parche, una placa o ampolla circulares, eritematosas o violáceas, con un centro gris oscuro que se repite en la misma localización después de una nueva exposición a un producto o fármaco específico. A menudo, después de cada evento de reacción adversa, suelen afectarse otros sitios anatómicos. Se trata de una reacción de hipersensibilidad retardada tipo IV, descrita por primera vez en 1889.1 El periodo de incubación, desde el inicio del contacto con el fármaco hasta la sensibilización, la duración es variable, normalmente entre 1-2 semanas. Una vez que el paciente se ha sensibilizado, la reacción puede expresarse desde los 30 minutos hasta las 8 horas de la exposición, aunque en ciertas ocasiones las manifestaciones clínicas pueden aparecer luego de varios días.
Las lesiones pueden ser únicas o múltiples, de morfología ovalada o circular y aparecer en forma de placas eritematosas con edema y bordes normalmente circunscritos. Suelen localizarse en las manos, pies, tronco y cara. Posteriormente, las placas evolucionan a una coloración violácea, con frecuente pigmentación residual. En algunos casos pueden asociarse con ampollas y frecuentemente hay afectación de las mucosas y las uniones mucocutáneas (zona buco-labial o genital) donde se forman ampollas que evolucionan a escoriaciones y úlceras. Los pacientes no manifiestan síntomas sistémicos, pero pueden tener malestar general, náuseas, diarrea y, aunque analíticamente no suelen mostrar alteraciones, en ocasiones puede haber eosinofilia y leucocitosis.
Dentro de las variantes clínicas se encuentran la erupción medicamentosa fija no pigmentada, erupción medicamentosa fija generalizada y otras formas atípicas, como las placas eritematosas migratorias o pulsátiles sin pigmentación residual. Además, algunos estudios describen placas de aspecto eccematoso, similares a la psoriasis en placas.2
La quinina se ha implicado en diferentes reacciones: trombocitopenia y síndrome hemolítico urémico. A lo largo de los años se han descrito reacciones de hipersensibilidad; por ejemplo, Asero3 reportó un paciente que manifestó lesiones hiperpigmentadas numulares compatibles con exantema fijo medicamentoso.3-4 Por su parte, González y sus colaboradores5 informaron un caso de urticaria provocada por el consumo de agua tónica; y Wada y su grupo reportaron un paciente masculino de 26 años con erupciones cutáneas recurrentes, de más de un año de evolución, con empeoramiento de los síntomas y extensión de la lesión, desde placas eritematosas hasta máculas eritematosas con erosiones, a quien diagnosticaron con síndrome de Steven-Johnson, debido al consumo de agua tónica.6
CONCLUSIÓN
El caso aquí expuesto corresponde a un paciente con reacción de hipersensibilidad retardada tipo IV, compatible con exantema fijo medicamentoso en una variante atípica (placas eccematosas), provocada por la ingesta de quinina contenida en el agua tónica. La quinina puede encontrarse en diferentes alimentos o medicamentos, por lo que es importante establecer el diagnóstico preciso y ofrecer recomendaciones adecuadas por el consumo de este producto.
Referencias
Patel S, Jhon AM, Handler MZ, Schwartz RA. Fixed Drug Eruptions: An Update, Emphasizing the Potentially LethalGeneralized Bullous Fixed Drug Eruption. Am J Clin Dermatol 2020; 21 (3): 393-399. doi: 10.1007/s40257-020-00505-3.
Guin JD, Baker GF. Chronic fixed drug eruption caused by acetaminophen. Cutis 1988; 41 (2): 106-8.
Asero R. Fixed drug eruptions caused by tonic water. J Allergy Clin Immunol 2003; 111 (1): 198-9. doi: 10.1067/mai.2003.44.
Kaku Y, Ito T, Wada M, Nozaki Y, et al. Tonic water-induced generalized bullous fixed eruption. Acta Derm Venereol 2015; 95 (4): 505-6. doi: 10.2340/00015555-1947.
González R, Merchán R, Crespo JF, Rodríguez J. Allergic urticaria from tonic water. Allergy 2002; 57 (1): 52. doi: 10.1046/j.0105-4538.2001.00001.x-i10.
Wada S, Namiki T, Tokoro S, Miura K, et al. Stevens-Johnson syndrome induced by tonic water. J Eur Acad Dermatol Venereol 2021; 35 (10): e662-e663. doi: 10.1111/jdv.17368.
Author notes
Correspondencia: Lucía Moreno Lozano, luciamoreloza@gmail.com