Gregarinosis intestinal en juveniles de Farfantepenaeus brasiliensis de La Restinga, Isla de Margarita (Venezuela)
Intestinal gregarinosis in juvenile Farfantepenaeus brasiliensis from La Restinga, Margarita Island, Venezuela
Gregarinosis intestinal en juveniles de Farfantepenaeus brasiliensis de La Restinga, Isla de Margarita (Venezuela)
AquaTIC, núm. 44, pp. 1-11, 2016
Universidad de Zaragoza

Resumen: Las gregarinas son protistas endoparásitas de camarones, con una amplia distribución mundial. Este trabajo se propuso estudiar la gregarinosis intestinal de camarón rosado, Farfantepenaeus brasiliensis, de la laguna de La Restinga, Isla de Margarita, Venezuela, para aclarar la identidad del parásito involucrado, las características de su infestación y su histopatología. Se observaron diversas fases vitales del parásito: gamontes solitarios, asociaciones (sicigias) lineales y ramificadas, gametoquistes y gimnosporas. Los caracteres merísticos y morfométricos permiten identificar a la gregarina como Nematopsis brasiliensis. La prevalencia fue 77,8%, resultando más conspicuos los gametoquistes y asociaciones dobles, mientras que los gamontes solitarios, asociaciones triples y ramificadas fueron menos frecuentes. La intensidad de infestación osciló entre 1 y 350, promediando 37,7 gregarinas por hospedador. La abundancia se estimó en 29,3 parásitos por hospedador. La densidad se determinó entre 0,2 y 102,5; con una media de 13,9 gregarinas/cm. Se estudió la histología del tracto intestinal, notándose la conformación típica del sistema orgánico para peneidos: intestino integrado por epitelio columnar reposando en una membrana basal que se apoya en dos capas musculares, una transversal y otra longitudinal; el ciego intestinal presentó una notable compartimentalización, con un epitelio columnar de células muy afines a la hematoxilina, yaciendo sobre una membrana basal y tejido conectivo; el recto presentaba numerosos pliegues, constaba de un estrato epitelial simple, yaciendo sobre una matriz de glándulas tegumentarias. No se observaron alteraciones tisulares que sugieran patologías, aunque no puede descartarse que infestaciones más severas pudieran generarla.
Palabras clave: Apicomplexa, Nematopsis brasiliensis, Porosporidae, histología intestinal.
Abstract: Gregarines are protists endoparasites of shrimps, with a broad global distribution. This work focused on studying gregarinose in pink shrimp, Farfantepenaeus brasiliensis, from La Restinga lagoon, Margarita Island, Venezuela, to clarify parasite identity, infestation features and histopatology. Occurrence of gregarines in intestinal tract of pink shrimp, Farfantepenaeus brasiliensis, from La Restinga lagoon, Margarita Island, Venezuela, was studied. Diverse phases of the life cycle of the parasite were observed: solitary gamonts, linear or branched associations (syzygy), gametocysts and gymnospores. Meristic and morphometric features lead to identify the gregarine as Nematopsis brasiliensis. Prevalence was 77.8%, being gametocysts and double associations the most conspicuos, while solitary trophozoites, triple and branched associations were the least. Intensity of infestation ranked from 1 to 350, averaging 37,7 gregarines per host. Abundance was estimated in 29.3 parasites per host. Density was determined between 0.2 y 102.5, with a mean of 13.9 gregarines/cm. Histology of intestinal tract was studied, noting typical conformation of this organic system for penaeid shrimps: midgut integrated by columnar epithelium, laying on a basal membrane, resting on two muscular layers, one transversal and longitudinal the other; midgut ceca showed noticeable compartimentalization, with a columnar epithelium formed by highly haematoxiline-stained cells, laying on basal membrane and connective tissue; and hindgut presented a number of foldings, with a simple epithelium, resting on a tegumentary glands matrix. Tissular alterations linked to pathologies were not observed, although cannot be discarded that higher infestations could cause it.
Keywords: Apicomplexa, Nematopsis brasiliensis, Porosporidae, gut histology.
Introducción
Los estudios parasitológicos han sido reivindicados como una herramienta valiosa para la comprensión de cualquier ecosistema, dada la reciente información generada sobre sus capacidades de modelar la dinámica de poblaciones hospederas, alterar las competencias inter-específicas, influir en el flujo energético y ser conductores de biodiversidad (Hudson y cols., 2006). En condiciones de cautividad, como las implícitas en prácticas de acuicultura, tales evaluaciones adquieren aún mayor relevancia, por las potenciales afecciones que los parásitos pueden generar en sus hospederos y sus connotaciones productivas y económicas (Meyer 1991;Shinn y cols., 2015).
Las gregarinas son protistas endoparásitos de ciclo vital complejo, los cuales se sirven de artrópodos, moluscos o anélidos como hospedadores definitivos. Su presencia es un hecho parasitológico común en tracto gastrointestinal de camarones en aguas marinas tropicales y subtropicales a nivel global (Cuéllar-Anjel, 2008). El género Nematopsis, el más ampliamente referido como parásitos de peneidos, cuenta con 12 especies descritas entre estos hospederos. Setna y Bhatia (1934) describieron a N. parapeneopsisi en Parapeneopsis sculptilis. Sprague (1954) propuso a N. aztecus en Penaeus .Farfantepenaeus. aztecus. Thèodoridés describió a Porospora .Nematopsis. mizouleyi parasitando a Solenocera membranacea en 1964 y a Porospora .Nematopsis. soyeri en Aristeus antennatus en 1965. Kruse (1966) propuso a N. duorari encontrado en Penaeus .Farfantepenaeus. duorarum. Feigenbaum (1975) definió a N. sinaloensis y N. vannamei parasitando a Penaeus .Litopenaeus. vannamei y N. brasiliensis en Penaeus .Farfantepenaeus. brasiliensis. Prema y Janardanan (1990) describieron a N. indicusen Penaeus .Fenneropenaeus. indicus. Jiménez y cols. (2002) propuso a N. marinus observado en Litopenaeus vannamei. Aguado definió a N. paulensis como parásito de Penaeus .Farfantepenaeus. paulensis el mismo año. Más recientemente, Chakraborti y Bandyopadhyay (2010) describieron a N. sundarbanensis en Penaeus monodon.
Con relación a sus impactos en hospederos crustáceos, ha sido señalada infiltración hemocitaria, plegamiento y oclusión intestinal, hiperplasia y destrucción del epitelio (Aguado, 2005). Además de las consideraciones histopatológicas, sus efectos económicos pueden ser mayúsculos, ya que han sido asociados a reducidas tasas de crecimiento, elevadas tasas de conversión de alimento y bajas sobrevivencias (Cuéllar-Anjel, 2008;Guzmán-Saenz y cols., 2014). En otros hospederos (el grillo Gryllus pennsylvanicus), también se ha señalado reducción de la longevidad y fecundidad (Zuk, 1987).
En operaciones de camaronicultura, las gregarinosis han sido referidas, al menos, en granjas camaroneras de India (Chakraborti y Bandyopadhyay, 2010), Belice, Brasil, Guatemala, Honduras, México, Nicaragua y Venezuela (Morales-Covarrubias y cols., 2011). Su ocurrencia en Venezuela ha sido reseñada en varias ocasiones en diferentes hospederos peneidos, tanto en aguas del oriente como del occidente del país (Boada y cols., 1994,1999;Aguado y Bashirullah, 1995,2010). No obstante, su relativa abundancia y ubicuidad, la identidad de estos parásitos no ha sido establecida con precisión, refiriéndolo tan sólo como Nematopsis spp., y poco se conoce acerca de sus caracteres diagnósticos o su patogenicidad sobre el hospedador
En Venezuela, los camarones marinos constituyen un recurso pesquero importante, tanto por el volumen de las capturas (compuestas principalmente por Farfantepenaeus brasiliensis y Litopenaeus schmitti) como por su valor. Asimismo, la camaronicultura constituye el rubro más significativo en acuicultura, con muchas perspectivas a incrementarse (FAO, 2005). La definición oportuna de patógenos permitiría la concepción de programas de bioseguridad adecuados, lo cual constituiría un impulso significativo para la promoción del sector.
En atención a lo anterior, este trabajo se propone ahondar en el estudio de la gregarinosis intestinal de camarón rosado, Farfantepenaeus brasiliensis en la laguna de La Restinga, en la isla de Margarita, estado Nueva Esparta, Venezuela, para aclarar la identidad del parásito involucrado, las características de su infestación en este contexto geográfico y su efecto sobre el crustáceo hospedador.
Materiales y métodos
Zona de Muestreo
La zona de muestreo la constituyó el sector conocido como Botadero, al noreste de la laguna de La Restinga, en la isla de Margarita, estado Nueva Esparta, Venezuela, en un radio de 1 km del punto definido por las coordenadas 10º 58’ 53” N y 64º 06’ 25” W. Los ejemplares juveniles de Farfantepenaeus brasiliensis se capturaron por medio de un arte de pesca tipo chinchorro playero. De inmediato fueron trasladados al laboratorio de parasitología de la UDONE-ECAM, donde fueron identificados siguiendo la clave de Pérez-Farfante (1988).
Aspectos Ecológicos
Se determinaron los parámetros más comúnmente empleados en estudios de ecología parasitaria: prevalencia, intensidad de infestación, abundancia y densidad, siguiendo los criterios de Bush y cols. (1997). Los análisis estadísticos se realizaron sirviéndose del software Microsoft Office Excel 2007.
Aspectos Taxonómicos
Un total de 149 camarones Farfantepenaeus brasiliensis fueron analizados para la obtención de parásitos. A los camarones se les practicaron cortes, empleando bisturí y/o tijeras, para exponer y extraer el tracto intestinal. Este sistema orgánico fue colocado en lámina portaobjeto y se sometió a presión para extraer su contenido. Logrado ello, se colocaron gotas de solución salina y se cubrió con lámina cubreobjetos, para su evaluación al microscopio. Para la observación se empleó un microscopio Olympus BH2, provisto de ocular graduado. Se obtuvieron imágenes de los parásitos por medio de una cámara digital Olympus VG-120. Finalmente, se procedió a comparar los caracteres observados con las descripciones de especies conocidas de gregarinas.
Aspectos Histológicos
Otro grupo de camarones fue destinado a evaluación histológica, siguiendo un protocolo modificado de Luna (1968) y Bell y Lightner (1988). Se procedió igual que en la sección anterior hasta la extracción del tracto intestinal. Logrado esto, los órganos se sumergieron en solución de Bouin por un lapso de 24 horas para su fijación. Posteriormente, se lavó el exceso de fijador con alcohol 50%, se sometió a deshidratación en una batería de etanol (75%, 80%, 85%, 90%, 95%, 100%, 100%, una hora en cada caso), se sumergieron en dos baños sucesivos de xilol (cada uno de media hora de duración), y luego en tres baños consecutivos de parafina líquida (en el interior de una estufa Memmert mantenida a 60 ºC). Una vez embebido en parafina, el órgano fue montado en bloques y cortado a 5 micras de espesor con un micrótomo de rotación Leica 2125. Los cortes fueron montados en láminas portaobjetos y teñidos siguiendo el protocolo clásico de Hematoxilina-Eosina y observados en microscopio Olympus BH2 para su análisis.
Resultados
De los 149 ejemplares de Farfantepenaeus brasiliensis examinados, 116 resultaron positivamente infestados con gregarinas intestinales, cuya descripción se ofrece a continuación:
Descripción
Se observaron varios morfotipos de gregarinas, correspondientes a diversos estadios vitales del parásito:
La forma más simple fue el gamonte solitario, provisto de un cuerpo alargado, cilíndrico, con una relación ancho-largo de 1:3,5 (Figura 1a). El cuerpo estaba compartimentalizado por medio de un tabique derivado del ectoplasma y un collar muscular. El compartimento anterior, el protomerito, mostró forma esférica, mientras que el posterior, el deuteromerito, portador del núcleo, tenía forma más alargada. Tales compartimentos guardaron una relación promedio de 1:2,7. La parte más externa del citoplasma, el epicito, mostró un mayor índice de refracción que el resto. Su longitud total, establecida en base a 25 individuos medidos, promedió 65,1 ± 19 µm, oscilando entre 37,5 y 101,3 µm. El ancho promedió 18,6 ± 5,8 µm, variando entre 11,3 µm y 30,0 µm.
Otro estadio presente fue la sicigia, asociación de individuos en cadenas. Éstas solían ser rectas (con un máximo de tres organismos) o ramificadas (hasta cuatro ejemplares) (Figuras 1b y 1c). En las sicigias, el primer elemento de la cadena, denominado primito, suele mantener la compartimentalización inicial, no así los restantes miembros, los satélites. Las asociaciones rectas de dos individuos (biasociaciones), partiendo de 202 elementos medidos, mostraron una longitud promedio de 186,6 ± 85,2 µm, con un mínimo de 75,0 µm y un máximo de 791,3 µm. En estas sicigias, el ancho máximo y la longitud total guardan una relación de 1:7,7. Asimismo, el primito resultó de menor tamaño que el satélite, guardando relación de 1:1,4. Por otro lado, en las asociaciones de tres individuos (triasociaciones), la longitud total promedió 217,3 ± 53,2 µm, un mínimo de 116,3 µm y un máximo de 348,8 µm, a partir de 37 asociaciones medidas. En estas asociaciones, el ancho máximo guardaba una relación con la longitud total de 1:9,1. De la misma manera, entre el primito y los satélites la relación existente fue de 1:0,82:1,44.
Un tercer estadio observado fue el gametoquiste, elemento esférico u ovoidal (Figura 1d). Sus dimensiones, establecidas en base a 74 unidades medidas, fueron: diámetro promedio de 159,9 ± 31,2 µm, oscilando entre 93,8 µm y 243,8 µm. En los gametoquistes fue posible notar varias fases de desarrollo, desde muy tempranas, donde se distinguen aún los gamontes originales, hasta otras muy avanzadas, donde se percibieron abundantes cuerpos esféricos (gimnosporas), fase infestante para el hospedero intermediario.
Microhábitat
Se observaron gregarinas en toda la longitud del tracto intestinal de Farfantepenaeus brasiliensis, aunque con una marcada zonación vinculada a los estadios. Las formas vegetativas (gamontes solitarios y sicigias) estuvieron restringidas al intestino, mientras que los gametoquistes sólo se observaron en el recto, específicamente a nivel anterior, entre los pliegues que se forman en dicho órgano.

Aspectos ecológicosAspectos ecológicos
Los principales parámetros ecológicos de la infestación por gregarinas en Farfantepenaeus brasiliensis de la laguna de La Restinga se muestran en la Tabla 1. Un 77,8% de los camarones evaluados hospedaba algún estadio del parásito a nivel intestinal. La mayor prevalencia correspondía a gametoquistes (56,4%) y biasociaciones (53,0%), mientras que los menores valores recaían en gamontes solitarios (26,2%), triasociaciones (22,8%) y ramificaciones (20,8%).
La intensidad de infestación general osciló entre 1-350 gregarinas, promediando 37,7 parásitos por hospedador. Nuevamente, asociaciones dobles y gametoquistes fueron quienes mostraron mayores valores, de intensidad de infestación (1-342 y 1-138, respectivamente), mientras que los restantes estadios presentaron rangos menos significativos. La intensidad media y la abundancia mostraron similar comportamiento. La densidad de infestación varió de 0,2 a 102,5, con una media de 13,9 ± 21,1 gregarinas/cm.
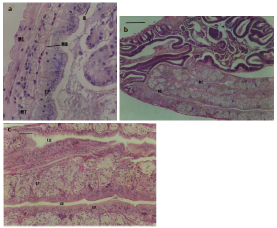
![Secciones histológicas de tracto intestinal de Farfantepenaeus brasiliensis: (a) Intestino medio mostrando reborde [R], epitelio [EP], membrana basal [MB], capas musculares transversal [MT] y longitudinal [ML]; (b) conjunción de ciego intestinal [CI] y recto [RC]; y (c) detalle del recto, notándose el lumen [LU], epitelio [EP] y glándulas de tegumento [GT].](../49449812001_gf3.png)
La prevalencia observada fue ligeramente inferior a los hallazgos previos de gregarinas en Farfantepenaeus brasiliensis. Feigenbaum (1975) señaló un 86% en Florida (EEUU), mientras que Aguado y Bashirullah (1995) indicaron entre 75% y 92,5% en Anzoátegui y Sucre (Venezuela), dependiendo de la talla. Otra diferencia interesante resulto del patrón de la prevalencia a incrementarse con la talla de los hospederos, justo lo opuesto a lo referido por Aguado y Bashirullah (1995). La intensidad de infestación, sin embargo, resultó superior a las halladas por los autores anteriores. Los restantes parámetros no se pueden comparar por no haber sido determinados en trabajos previos.
Histología
El tracto intestinal de Farfantepenaeus brasiliensis se encontró dividido en tres regiones bien definidas, el intestino, el ciego posterior y el recto. El intestino estaba estructurado histológicamente de la siguiente manera: un epitelio columnar en contacto con el lumen, células provistas de un núcleo medio-distal, con un reborde de microvellosidades en su extremo apical, dispuesto sobre una membrana basal que a su vez reposaba sobre dos capas de tejido muscular, transversal la primera y longitudinal la subyacente (Figura 2a). El ciego intestinal presentó una notable compartimentalización. Internamente, mostraba un epitelio columnar formado por células con alta afinidad a la hematoxilina y núcleos mediales, yaciendo sobre una membrana basal y tejido conectivo (Figura 2b). El recto presentaba numerosos pliegues que le conferían una apariencia parcelada; estaba igualmente constituido por un estrato epitelial simple, pero sin mostrar la afinidad por la hematoxilina del ciego. Masivamente, se observaron glándulas tegumentarias subyacentes al epitelio (Figura 2c).



Discusión
Identidad del parásito
Existen siete familias de gregarinas con representantes parásitos de crustáceos decápodos: Cephaloidophoridae (Kamm, 1922), Cephalolobidae (Théodoridès y Desportes, 1975), Ganymedidae (Huxley, 1910), Gregarinidae (Labbé, 1899), Lecudinidae (Kamm, 1922), Porosporidae (Labbé, 1899) y Uradiophoridae (Grassé, 1953). La compartimentalización observada permitió descartar las familias Ganymedidae y Lecudinidae, cuyos representantes no la poseen. La familia Uradiophoridae se dejó de lado por no tener el epimerito elongado y papiliforme. Los miembros de Cephalolobidae poseen el epimerito modificado en ventosa multilobulada, alojándose, además, en el estómago de sus hospederos, por lo cual también se pueden descontar. En las familias Cephaloidophoridae y Gregarinidae, los satélites retienen la compartimentalización, hecho que no se observó durante este estudio, lo cual también las excluye. Sólo resta la familia Porosporidae, cuyos miembros poseen epimerito esférico, collar muscular, están presentes en intestino y carecen de compartimentalización en los satélites, todo en concordancia con los parásitos aquí observados, lo cual permite atribuirle esa afiliación.
En la familia Porosporidae hay cuatro géneros registrados: Nematopsis (Schneider, 1892), Pachyporospora (Théodoridès, 1961), Porospora (Schneider, 1875) y Stephanospora (Prema y Janardanan, 1989). Pachyporospora puede descartarse por no ocurrir una fusión múltiple de los individuos asociados en un solo compartimiento. En Stephanospora, el epimerito se modifica formando un anillo anterior en el epimerito, lo cual no ocurre en los ejemplares evaluados. Porospora suele alcanzar varios milímetros de longitud, no formar asociaciones y parasitar homáridos, todo lo cual lo descarta. Por el contrario, Nematopsis suele formar asociaciones, su rango de talla se solapa con lo registrado en este trabajo y es un parásito común de peneidos, por lo que se acepta como el género de los parásitos observados.
Nematopsis contiene 35 especies descritas, de las cuales 12 han sido asociadas a camarones peneidos (Tabla 2). Muchas de estas descripciones son escuetas, requiriéndose su complementación. Contrastando los principales caracteres diagnósticos, resulta obvia la correspondencia del parásito observado con Nematopsis brasiliensis(Feigenbaum, 1975)(Tabla 3). Los caracteres más significativos son la morfometría, el número de elementos en sicigias, la proporción de biasociaciones entre las sicigias, la posición del gametoquiste y el hospedador. Atendiendo a la breve descripción suministrada por el citado autor, se ofrecieron abundantes datos para constituir la re-descripción del parásito.
Efectos sobre el hospedador
No se observó alteración alguna del patrón histológico normal descrito para peneidos (Bell y Lightner, 1988). Trabajos en otras especies de crustáceos han referido lesiones como oclusión intestinal, reducción o desprendimiento epitelial, hiperplasia y necrosis (Aguado, 2005;Cuéllar-Anjel, 2008). La ausencia de tales desórdenes puede vincularse a una baja intensidad de infestación del parásito, no descartando que puedan manifestarse en infestaciones más severas.
CONCLUSIONES
Este trabajo permite afirmar que la gregarinosis está presente en poblaciones silvestres de Farfantepenaeus brasiliensis, de la Laguna de La Restinga, Isla de Margarita, Venezuela, teniendo al porospórido Nematopsis brasiliensis como patógeno. Se amplía la descripción del parásito, muy parcamente realizada por el autor del taxón. Las infestaciones afectan una alta fracción de la población (77,8% de prevalencia), aunque los niveles de intensidad (37,7 gregarinas por hospedador en promedio, oscilando entre 1 y 350) no pudieron asociarse a ningún daño histológico. Las actividades de acuicultura de camarón en esta localidad deben cuidarse del patógeno referido.
Bibliografía
1. Aguado, N. (2002). Nematopsis paulensis sp. nova. Parásito del intestino del camarón rosa Farfantepenaeus paulensis; histopatología, prevalencia y factor de condición. Trabajo de Ascenso Profesor Asociado, Universidad de Oriente, Venezuela, 68 pp.
2. Aguado, N. (2005). Efecto histológico de parásitos intestinales de camarones peneidos en el oriente de Venezuela. En XXV Congreso de Ciencias del Mar- XI Congreso Latinoamericano de Ciencias del Mar. Viña del Mar, Chile.
3. Aguado, N. y A.K.M. Bashirullah (1995). Epibiontes y parásitos protozoarios de camarones peneidos de la región oriental de Venezuela. Bol. Inst. Oceanogr. Venez.; 34 (1 y 2):49-58.
4. Aguado, N. y A.K.M. Bashirullah (2010). Epibionts and parasites of juvenile penaeid shrimp from the north-eastern region of Venezuela. Proc. 62th Gulf Caribb. Fish Inst.; 62:487-557.
5. Ball, G.H. (1938). The life history of Carcinoecetes hesperus n. gen., n. sp., a gregarine parasite of the stripped shore crab, Pachygrapsus crassipes, with observation in related forms. Arch. Protistenkd; 90:299-319.
6. Bell, T.A. y Lightner, D.V. (1988). Handbook of Normal Penaeid Shrimp Histology. The World Aquaculture Society. Baton Rouge, LA, U.S.A.
7. Boada, M., J.D. Álvarez, D. Rueda y R. Parra (1994). Parásitos de camarones silvestres del género Penaeus en Venezuela. En Memorias VIII Congreso Latinoamericano de Acuicultura, Bogotá, Colombia; 191-196.
8. Boada, M., D. Rueda y R. Parra (1999). Parásitos intestinales de juveniles de Litopenaeus schmitti (Burkenroad, 1936) del Lago de Maracaibo, estado Zulia, Venezuela. Mem. Soc. Cienc. Nat. La Salle; LIX(151):3-15.
9. Bush, A.O., Lafferty, K.D., Lotz, J.M. y Shostak, A.W. (1997). Parasitology meets ecology on its own terms: Margolis et al. revisited. J. Parasitol; 83(4):575-83.
10. Chakraborti, J. y P.K. Bandyopadhyay (2010). First record of a parasitic septate gregarines (Apicomplexa: Sporozoea) in the shrimp Peneaus monodon in Sundarbans of West Bengal. J. Parasit. Dis.; 34(1):40-3.
11. Chaweepack, T., L. Ruangpan y V. Nuphin (2007). Parasites and vibrio flora of wild broodstock banana shrimp (Penaeus merguiensis) from eastern Gulf of Thailand. Technical Paper N. 3. Chantaburi Coastal Fisheries Research and Development Center - Coastal Fisheries and Development Bureau, Department of Fisheries, Tailandia.
12. Clotilde-Ba, F.L. y B.S. Toguebaye (1995). Occurrence of Microsporidia and gregarines in the shrimp Penaeus notialis from Senegal (West Africa). Bull. Eur. Assoc. Fish Pathol.; 15(4):122-24.
13. Cuéllar-Anjel, J. (2008). Enfermedades por parásitos. En Morales, V. y J. Cuéllar-Anjel (Eds.). Guía Técnica - Patología e Inmunología de Camarones Peneidos. Programa CYTED, Red II-D-Vannamei. 1era ed. Panamá, Rep. de Panamá; 135-58.
14. FAO (2005). Fishery country Profile – Venezuela. Food and Agriculture Organization of the United Nations. Citado en mayo 5, 2014.
15. Feigenbaum, D.L. (1975). Parasites of the commercial shrimp Penaeus vannamei Boone and Penaeus brasiliensis Latreille. Bull. Mar. Sci.; 25(4):491-514.
16. Guzmán-Saenz, F.M., R. Pérez-Castañeda, G.J. Gutiérrez-Salazar, P. González-Alanis, M. Hernández-Acosta y J.G. Sánchez-Martínez (2014). Impacto de la parasitosis por gregarinas (Nematopsis sp.) en el cultivo de camarón Litopenaeus vannamei. Ra Ximhai; 10(6):1-8.
17. Hudson, P.J., A.P. Dobson y K.D. Lafferty (2006). Is a healthy ecosystem one that is rich in parasites? Trends Ecol. Evol.; 21(7):381-85.
18. Hutton, R.F., F. Sogandares-Bernal, B. Eldred, R.M. Ingle y K.D. Woodburn (1959). Investigations on the parasites and diseases of saltwater shrimps (Penaeidae) of sports and commercial importance to Florida. Florida St. Brd. Conserv. Tech. Ser.; 26:1-38.
19. Jayasree, L., P. Janakiram y R. Madhavi. (2001). Epibionts and parasites of Macrobrachium rosenbergii and Metapenaeus dobsoni from Gosthani estuary. J. Nat. Hist.; 35:157-67.
20. Jiménez, R., L. de Barniol y M. Machuca (2002). Nematopsis marinus n. sp., a new septate gregarine from cultured penaeoid shrimp Litopenaeus vannamei (Boone) in Ecuador. Aquac. Res.; 33(4):231-40.
21. Kruse, D.N. (1966). Life cycle studies on Nematopsis duorari n. sp. (Gregarinia: Porosporidae), a parasite of the pink shrimp (Penaeus duorarum) and pelecypods molluscs. Dis. Abst.; 27B:2919-B.
22. Luna, L.G. (1968). Manual of histological staining methods of the Armed Forces Institute of Pathology. Mc Graw Hill, 3rd ed. New York, EEUU.
23. Meyer, F.P. (1991). Aquaculture disease and health management. J. Anim. Sci.. 69:4201-8.
24. Morales-Covarrubias, M.S., A. Ruiz-Luna, A.M.L. Pereira, V.T. Solís Montiel y G. Conroy (2011). “Prevalencia de enfermedades de camarón blanco (Litopenaeus vannamei) cultivado en ocho regiones de Latinoamérica.” Rev. Cient. FCV-LUZ; XXI(5):434-46.
25. Nunoy, P., C. Tuntiwaranuruk, J. Noparat-Arpakul y A. Meepool. (2011). Observations on protozoa parasite Nematopsis in green tiger prawn (Penaeus semisulcatus) from Ang-Sila pier, Chonburi province, Thailand. J. Microsc. Soc. Thailand; 4(2):9-83.
26. Pérez-Farfante, I. (1988). Illustrated key to penaeoid shrimps of commerce in the Americas. NOAA Tech. Rep. NFMS; 64:1-38.
27. Prema, S. y K.P. Janardanan. (1990). Two new species of cephaline gregarines (Apicomplexa, Sporozoa) from the marine prawn Penaeus indicus H. Milne Edwards. Acta Protozool.; 29(4):365-73.
28. Setna, S.W. y B.L. Bhatia. (1934). On some gregarines from the prawn Parapeneopsis sculptilis (Heller). Parasitology; 26(1):34-43.
29. Shinn, A.P., J. Pratoomyot, J.E. Bron, G. Paladini, E.E. Brooker y A.J. Brooker (2015). Economic costs of protistan and metazoan parasites to global mariculture. Parasitology; 142(1):196-270.
30. Sprague, V. (1954). Protozoa. En Galtsoff, P.S. (Ed.). Gulf of Mexico: Its Origin, Waters, and Marine Life. U.S. Fish Wildl Serv. Fish Bull.; 55(89):243-56.
31. Thèodoridés, J. (1964). Grégarines d’ invertébrés marins de la region de Banyuls. II. Deux nouvelles eugrégarines parasites de Solenocera membranacea (Risso, 1816) (Decapoda: Penaeidae) et remarques sur les grégarines de Penaeidae. Vie Milieu, Vol. Jubil. Prof. G. Petit, 17 (suppl.): 115–27.
32. Thèodoridés, J. (1965). Grégarines d´invertébrés marins de la region de Banyuls. III. Porospora soyeri n. sp. (Eugregarina, Porosporidae) parasite de Aristeus antennatus (Risso, 1816) (Decapoda: Penaeidae). Vie Milieu; 16:637-46.
33. Zuk, M. (1987). The effects of gregarine parasites on longevity, weight loss, fecundity and developmental time in the field crickets Gryllus veletis and G. pennsylvanicus. Ecol. Entomol.; 12(3):349-354.