Revisiones
Patologías del hepatopáncreas en camarones marinos cultivados en América y su diagnóstico diferencial mediante histopatología
Hepatopancreas diseases in marine shrimp cultured in the Americas and its differential diagnosis by histopathology
Patologías del hepatopáncreas en camarones marinos cultivados en América y su diagnóstico diferencial mediante histopatología
AquaTIC, núm. 50, pp. 13-30, 2018
Universidad de Zaragoza

Resumen: Los cultivos de camarones marinos en América, han sido afectados por brotes de diversos patógenos. Dichos brotes han sido causados principalmente virus y bacterias, y en menor grado por hongos y parásitos. Durante los últimos años, se ha incrementado la incidencia de infecciones que lesionan el hepatopáncreas de los camarones, atacando en diferentes etapas de desarrollo de los cultivos y con diferentes grados y tipos de severidad. Ante ello, el análisis histopatológico del estado de salud de los camarones cobra gran relevancia. La aparición de nuevas especies y sus posibles similitudes en cuanto a las lesiones que producen, exige constantes actualizaciones y comparaciones para el reconocimiento de sus efectos citopáticos. Este trabajo presenta un resumen no exhaustivo sobre las lesiones causadas por diversos agentes que afectan el hepatopáncreas y que han sido reportados en cultivos de camarón marino en América.
Palabras clave: camarones, patógenos, hepatopáncreas, lesiones, histopatología.
Abstract: Shrimp farming in the Americas has been affected by outbreaks of several pathogens. These outbreaks have been caused mainly by different species of viruses and bacteria, and to a lesser degree by fungi and parasites. During the last years, it has increased the incidence of infections that damage the shrimp hepatopancreas, attacked at different stages of development of the crops and with different degrees and types of severity. In response, Histopathological analysis of the health status of the shrimp acquires great relevance. The appearance of new species and its possible similar injuries requires constant updates and comparisons for the recognition of their cytopathic effects. This paper presents a not exhaustive summary of injuries caused by various agents affecting the hepatopancreas which have been reported in marine shrimp farming in the Americas.
Keywords: shrimp, pathogens, hepatopancreas, lesions, histopathology.
Introducción
El surgimiento y propagación de enfermedades infectocontagiosas, ha impactado recurrentemente a la industria del cultivo de camarones marinos. Múltiples patógenos han logrado esquivar elaborados sistemas y programas de bioseguridad y cuarentena, tanto en forma interregional como internacional (Lightner, 1996; 2004; Morales y cols., 2015; Varela y Peña, 2017).
Debido a la propagación de estos patógenos, la incidencia de brotes afectando a los cultivos se ha convertido en un problema creciente, y diversos agentes virales, bacteriales, micóticos y parasitarios han sido reportados en América (Lightner, 1996; 2004; Lightner y Redman, 1991; Lightner y Pantoja, 2001; Morales-Covarrubias, 2010; Pantoja y Lightner, 2014; Tang y cols., 2017; Varela, 2016; Varela y Peña, 2016; Zhang y cols., 2017).
Anatomopatológicamente y considerando el tropismo de estos microorganismos, se pueden establecer dos grandes grupos: un primer grupo de agentes que infectan y atacan a los camarones de forma sistémica, lesionando múltiples tejidos, órganos y sistemas; un segundo grupo de patógenos presenta un comportamiento más “selectivo” sobre su tejido blanco, desarrollando tropismos limitados (Bondad-Reantaso y cols., 2001; Johnson, 1978; Lightner, 1996; Morales-Covarrubias, 2010; Peña y Varela, 2014; 2016).
Dentro de este segundo grupo de patógenos, presentan especial relevancia los que afectan el hepatopáncreas de los camarones, debido a la gran importancia del órgano, su estructura y múltiples funciones que cumple (Bondad-Reantaso y cols., 2013). Este órgano posee células altamente especializadas (Bell y Lightner, 1988), las cuales son particularmente frágiles y susceptibles a ataques por patógenos (Johnson, 1978; Manan y cols., 2015).
De este modo, el hepatopáncreas es infectado y atacado por diferentes microorganismos, entre ellos el Virus de la mortalidad encubierta, el Baculovirus penaei, el Monodon baculovirus, el Virus de la necrosis de la glándula media y el Parvovirus hepatopancreático; agentes bacteriales como los causantes de la Necrosis séptica del hepatopáncreas, la Hepatopancreatitis necrotizante y la Necrosis aguda del hepatopáncreas; hongos como en la Microsporidiosis del hepatopáncreas y protozoarios, como los haplosporidios (Aranguren y cols., 2017; Bonami y cols., 1995; Bondad-Reantaso y cols., 2001; Cuellar-Anjel, 2015; Johnson,1978; Lightner, 1996; Lightner y Pantoja, 2001; Morales-Covarrubias, 2010; Morales y Cuéllar-Anjel, 2014; Nunan y cols., 2007; Tran y cols., 2013; Tourtip y cols., 2009; Varela, 2016; Varela y cols., 2017; Zhang y cols., 2017).
Nuestra región, frecuentemente presenta brotes patológicos de diversa magnitud, muchos de ellos asociados a daños en el hepatopáncreas, los cuales pueden presentarse en forma aislada o como coinfecciones (Cuellar-Anjel y cols., 2012; Lightner, 1996; Nunan y cols., 2014; Peña y Varela, 2014; 2016; Tang y cols., 2017).
Por ejemplo, durante los últimos años, la Enfermedad de la necrosis aguda del hepatopáncreas (AHPND por sus siglas en inglés), ha impactado severamente las producciones en varios países. Iniciando en China en el año 2009, expandiéndose desde ahí a Vietnam, Malasia, Tailandia y Filipinas. Para luego ingresar en el continente americano, donde ha sido detectada en México y Centroamérica a partir del año 2013 (Cuellar-Anjel y cols., 2012; Han y cols. 2015; Nunan y cols., 2014; Pantoja y Lightner, 2013; Tran y cols., 2013; Varela y Peña, 2016), detectándose recientemente en Suramérica (Ahn y cols., 2017; Restrepo y cols., 2016), Incluyendo cultivos de Ecuador (Saavedra-Olivos y cols., 2018), amenazando así con continuar su propagación.
Durante los brotes por AHPND y en concordancia con otros patógenos, pueden presentarse coinfecciones con otros agentes, como ha ocurrido con el virus de la mortalidad encubierta, la microsporidiosis hepatopancreática, e infecciones secundarias por Vibrio sp., incrementado así los niveles de morbilidad y letalidad generados (Aranguren y cols., 2017; Tang y cols., 2015; Varela, 2016; Varela y Peña, 2014).
Para el diagnóstico de las diferentes patologías, así como para la realización de monitoreos de rutina, se suelen realizar análisis moleculares como la Reacción en cadena de la polimerasa (PCR por sus siglas en inglés), de gran sensibilidad y especificidad (Bondad-Reantaso y cols., 2001; Lightner, 1996; OIE, 2016).
Sin embargo, en muchos casos se requiere, además, establecer con certeza el grado de daño tisular causado por el agente infeccioso, situación en la cual la histología se presenta como una técnica ampliamente desarrollada y con un uso muy extendido. Esta técnica brinda amplia información, permitiendo no solamente observar la severidad, ubicación y tipo de lesiones, sino en muchos casos, la identificación del agente o agentes etiológicos, y las posibles respuestas celulares del hospedador (Bell y Lightner, 1988; Bondad-Reantaso y cols., 2001; Howard y cols., 2004; Lightner, 1996; Morales-Covarrubias, 2010; Morales y Cuéllar-Anjel, 2014; Peña y Varela, 2014).
En el caso de los agentes virales por sus pequeñas dimensiones, la realización de observaciones directas mediante microscopía óptica es imposible, y se recurre por lo tanto a la detección de las alteraciones que éstos generan en las células infectadas. Buscando, por ejemplo, la presencia de inclusiones, oclusiones, cariomegalia, cariorrexis o picnosis, entre otras. Por su parte, las dimensiones de patógenos bacteriales, micóticos y parasitarios, si permiten su observación con ayuda del microscopio, y es posible combinar dichas observaciones con las lesiones asociadas a cada agente.
Por ello, y basados en esta técnica según la metodología descrita por Bell y Lightner (1988), en secciones a las cuales se les aplicó la tinción de Hematoxilina y eosina (H&E), se presentan las principales características de los agentes que afectan el hepatopáncreas de mayor relevancia reportados para América, así como su efecto citopático característico y las principales diferencias entre ellos. Esto con el fin de facilitar su diagnóstico diferencial desde el punto de vista de la histopatología.
Baculovirus penaei (BP)
El Baculovirus penaei o BP, ha sido reportado por la Organización Mundial de Salud Animal (OIE, por sus siglas en francés), como un agente capaz de causar altas mortalidades en los estadíos larvales y post larvales de camarones peneidos y ha sido diagnosticado en cultivos de camarones en Estados Unidos, México, Centroamérica, Colombia, Ecuador, Perú, Brasil y el Caribe (Cuellar-Anjel, 2015; Lightner, 1996; Lightner y Pantoja, 2001; Morales-Covarrubias y Chávez, 1999; OIE, 2016; Varela, 2018). Este patógeno fue renombrado como “Virus de la poliedrosis nuclear con envoltura única del Penaeus vannamei” (PvSNPV por sus siglas en inglés), de acuerdo con el Comité Internacional de Nomenclatura para Virus (Cuellar-Anjel, 2015; OIE, 2016), pero se suele seguir denominando como BP en los reportes y artículos.
Entre las especies susceptibles a infecciones por BP, se ha reportado a Penaeus duorarum, P. aztecus, P. setiferus, P. vannamei, P. stylirostris, P. marginatus, P. penicillatus, P. schmitti, P. paulensis y P. subtilis (Bondad-Reantaso y cols., 2001; Lightner, 1996; Morales-Covarrubias, 2010; OIE, 2016).
Sus viriones son baciliformes, con envoltura, las dimensiones de su nucleocápside son de 286-337 nm por 56-79 nm. Su genoma está formado por una doble cadena de ADN (Lightner, 1996; Bonami y cols., 1995; Bondad-Reantaso y cols., 2001; Couch, 1974; Overstreet, 1994; Summers, 1977). El tejido blanco son las células epiteliales del hepatopáncreas, aunque sus partículas se pueden localizar también en el intestino medio y heces. Se caracteriza por formar estructuras de naturaleza proteica en las cuales se acumulan los viriones. Dichas estructuras posen forma de tetraedro y se constituyen de “poliedrina” (Bondad-Reantaso y cols., 2001; Cuellar-Anjel, 2015; Couch, 1989; Lightner, 1996; Morales-Covarrubias, 2010; OIE, 2016).
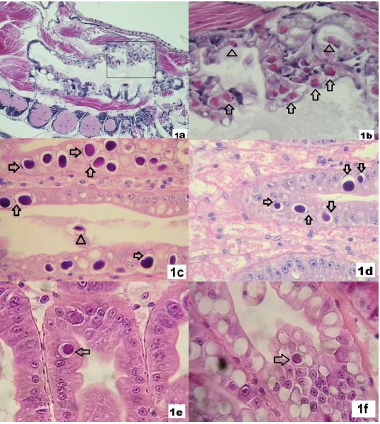
El análisis del BP mediante el PCR, es aplicable en muestras de hepatopáncreas, larvas o postlarvas enteras y a muestras de heces. Estas muestras pueden ser frescas, congeladas o fijadas en sustancias que preserven la integridad de los ácidos nucleicos (Lightner, 1996; OIE, 2016). Histopatológicamente, el BP se diagnostica mediante la observación de los cuerpos de oclusión tetraédricos, eosinofílicos, simples o múltiples, dentro de los núcleos de las células epiteliales del hepatopáncreas o libres en el lumen tubular. Los núcleos de las células infectadas, en muchas ocasiones desarrollan cariomegalia (Figuras 1a y 1b) y marginación cromatínica. Estas oclusiones piramidales tienen dimensiones que oscilan entre menos de 0,1 y 20 µm y desde la base de la pirámide al pico, con una longitud vertical modal de 8 μm y son consideradas patognomónicas para este agente (Bondad-Reantaso y cols., 2001; Cuellar-Anjel, 2015; Couch, 1989; Lightner, 1996; Morales-Covarrubias, 2010; OIE, 2016). No se reportan respuestas inflamatorias por parte del hospedador.
Para su diagnóstico histopatológico, al tratarse de un agente viral, es necesario contrastarlo con los efectos citopáticas de los otros dos virus incluidos en este trabajo. Entre las principales características diferenciales se debe considerar su ubicación, la cual es intranuclear, el tamaño de los núcleos infectados es incrementado, no hay presencia de picnosis y la principal característica es sin duda, la morfología característica de las oclusiones tetraédricas, las cuales son muy particulares y únicas. Es muy común observar las oclusiones en las regiones medias de los túbulos, infectando especialmente células B y R. Dado que dichas oclusiones poseen cubiertas proteicas, su reacción a la tinción H&E es eosinofílica.
Parvovirus hepatopancreático (HPV)
El HPV (por sus siglas en inglés) como su nombre lo indica, pertenece a la familia Parvoviridae, también ha sido denominado Penaeus monodon densovirus, se trata de un virus icosaédrico, de pequeñas dimensiones, entre 22 y 24 nm. Su genoma está formado por ADN de cadena sencilla. Actualmente no se considera un agente causal de altas mortalidades, sin embargo, los animales infectados presentan atrofia severa en el hepatopáncreas y bajo ritmo de crecimiento. Afecta principalmente a post larvas y juveniles. Al afectarse el sistema digestivo, no se descarta que cause debilidad en los animales, aumentando la susceptibilidad a otras enfermedades (Bonami y cols., 1995; Lightner, 1996; Muhammed y cols. 2012).
Inicialmente fue reportado en Asia (Bonami y cols., 1995; Lightner, 1996; Lightner y Redman, 1985; Muhammed y cols., 2012), para posteriormente ser encontrado en América. A partir de 1990, ha sido reportado en la costa Pacífica de México, en poblaciones silvestres de P. vannamei y P. stylirostris, así como en poblaciones silvestres de P. vannamei en la costa de El Salvador (Lightner, 1996; Lightner y Pantoja, 2001), Honduras, Colombia, Ecuador, Perú, y Brasil (OIE, 2007). Fuera de América el HPV ha sido reportado en Australia, China, Korea, Taiwan, Filipinas, Indonesia, Malasia, Singapur, Kenia, Israel, Kuwait, Madagascar y la India por lo que se le considera un agente cosmopolita (Muhammed y cols., 2012; OIE, 2007).
La detección de este virus por la técnica del PCR fue desarrollada eficazmente, pero generalmente implicaba el sacrificio del animal para su análisis. No obstante, posteriormente se han desarrollado protocolos alternativos no invasivos, en los cuales se procesan muestras de heces de los animales sospechosos (Pantoja y Lightner, 2000).
Para el diagnóstico histopatológico del HPV, se observan las células epiteliales del hepatopáncreas presentando sendos cuerpos de inclusión fuertemente basofílicos (Figuras 1c y 1d), dentro de núcleos cariomegálicos así como la presencia de nucleolos marginados y comprimidos contra la membrana nuclear; las inclusiones son frecuentemente encontradas en las zonas distales de los túbulos, afectando a las células embrionarias (Bonami y cols., 1995; Catap, 2003; Lightner, 1996; Lightner y Redman, 1985; Lightner y Pantoja, 2001; Sukhumsirichartl y cols., 1999). Se ha reportado además la detección de inclusiones libres, presentes en el lumen tubular, mediante hibridación in situ (Pantoja y Lightner, 2001).
Para su diferencial se debe considerar su ubicación, que al igual que en el BP es intranuclear, del mismo modo el tamaño de los núcleos se ve incrementado, no hay presencia de picnosis, las principales diferencias radican en que no existen oclusiones tetraédricas, sino inclusiones esféricas, fuertemente basofílicas y la presencia frecuente nucléolos comprimidos contra la membrana, inusuales para los otros agentes. Es común observar las inclusiones presentes desde las regiones distales de los túbulos, infectando a las células E, así como en células epiteliales de las regiones mediales y proximales.
Nodavirus de la mortalidad encubierta (CMNV)
También ha sido llamado “Virus de la Mortalidad del Fondo de los Estanques”, ya que las mortalidades que provoca pueden pasar desapercibidas y en muchas ocasiones son detectadas hasta la realización de la cosecha final. Fue reportado en cultivos de P. vannamei en China y Tailandia, se presenta cerca de los 60 días de cultivo (Thitamadee y cols., 2015; Zhang y cols., 2014).
Su genoma es RNA positivo de cadena sencilla. Sus viriones no poseen envoltura, son esféricos y presentan un diámetro aproximado de 25 nm. Sus primeros reportes datan del año 2002 en China (Zhang y cols., 2014; 2017).
El CMNV fue recientemente reportado en Ecuador (Zhang y cols., 2017). En Centroamérica, se han observado casos esporádicos de animales presentando cuadros clínicos y efectos citopáticos que guardan fuertes similitudes con el CMNV (CMNV-L), en muestras de animales en etapas de engorde, provenientes como nauplios desde Ecuador, aún está pendiente su confirmación molecular (Varela, 2016), actualmente se realizan algunas investigaciones al respecto.
El uso de PCR para la detección del CMNV ha sido desarrollado y utilizado en investigaciones en Asia y América. Dado que se trata de un virus de ARN, la muestra requiere de un paso previo de retrotranscripción, a partir de la cual se genera la plantilla de ADN sobre la que actúa la PCR, en estos protocolos se han incluido además procedimientos en tiempo real y LAMP, de gran sensibilidad (Zhang y cols., 2015).
Los cortes histopatológicos revelan atrofia tubular en los hepatopáncreas, presencia de cariomegalia e inclusiones basofílicas dentro de las células epiteliales (Figuras 1e y 1f), no se observan respuestas inflamatorias del hospedador. Estas inclusiones intracitoplasmáticas son pequeñas y eosinofílicas en estadíos tempranos de desarrollo, para luego ser basofílicas y de mayor tamaño. Es posible observar las inclusiones presentes en células rodeadas de tejidos aparentemente sanos (Varela, 2016; Zhang y cols., 2014; 2017). Adicionalmente, Zhang y cols. (2014) indican que el CMNV también ha sido ubicado en las células mioepiteliales que rodean a los túbulos del hepatopáncreas, pera para su detección se utilizó la técnica de hibridación in situ por fluorescencia, no siendo reportada para tinciones generales como H&E.
El diferencial del CMNV se basa en la ubicación de las inclusiones, que en este caso son intracitoplasmáticas en contraposición a los virus BP y HPV. Las células de los tejidos afectados por CMNV, en ocasiones presentan cariomegalia. La reacción de las inclusiones a la tinción H&E es variable en función al estadío de desarrollo de la inclusión, siendo eosinofílica al principio y basofílica en inclusiones tardías.

1a) BP, vista panorámica de corte sagital de post larva de P. vannamei. Se observan oclusiones intranucleares, eosinofílicas en la mayoría de las células epiteliales, 100X. 1b) BP, ampliación del recuadro en 1a donde destacan las oclusiones simples y múltiples, dentro de núcleos hipertrofiados (flechas), con marginación cromatínica; algunas oclusiones parecen estar libres en el lumen tubular (cabeza de flecha), posterior a la lisis celular, 400X. 1c) HPV, Corte sagital de túbulo hepatopancreático, mostrando sendos cuerpos de inclusión intranucleares, fuertemente basofílicos, se observa una célula desprendida en el lumen tubular (cabeza de flecha), 400X. 1d) HPV, sección apical de túbulo hepatopancreático presentando cuerpos de inclusión, en algunos núcleos de 1c y 1d se señalan los nucléolos comprimidos contra la membrana nuclear (flechas) y halos claros ubicados entre las inclusiones y la membrana nuclear, 400X. 1e) CMNV-L, corte transversal de un túbulo del hepatopáncreas, cuerpo de inclusión intracitoplasmático, ligeramente basofílico, en una célula epitelial, 400X. 1f) CMNV-L, corte sagital de túbulos hepatopancreáticos, cuerpo de inclusión intracitoplasmático, basofílico. No se observan respuestas inflamatorias en ninguno de los cortes, 400X. Tinción H&E.
Necrosis séptica del hepatopáncreas (SHPN)
SHPN es causada por bacterias extracelulares, generalmente pertenecientes al género Vibrio sp., y pueden provocar mortalidades masivas en los cultivos afectados, generando daños severos en los túbulos hepatopancreáticos, asociados a fuertes respuestas de tipo inflamatorio. Afecta todas las etapas del ciclo de cultivo (Lightner, 1996; Johnson, 1978; Morales-Covarrubias, 2010; Peña y Varela, 2014; Prieto y Rodríguez, 1993).
Para el diagnóstico de las vibriosis se han desarrollado técnicas de sensibilidad variable, como los agares generales y agares selectivo diferenciales (Lightner, 1996; Prieto y Rodríguez, 1993) con sensibilidad limitada y generalmente, de baja especificidad. En el caso de las técnicas de PCR, éstas deben ser diseñadas para el agente específico, dada la alta sensibilidad del método y la diversidad de agentes causales.
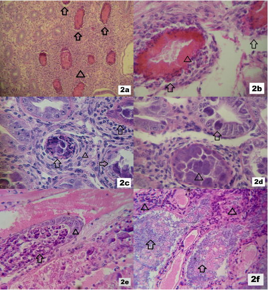
Histopatológicamente, la SHPN comúnmente presenta desprendimientos epiteliales de los túbulos hepatopancreáticos. Estas células pueden lucir fuertemente eosinofílicas, con los núcleos picnóticos. Se genera formación de nódulos hemocíticos con centros sépticos, los cuales pueden estar o no melanizados, el lumen de los túbulos muestra aumento de tamaño, se presenta necrosis tubular y una fuerte infiltración hemocítica como respuesta inmune del hospedador (Figura 2a). Abundan los depósitos de melanina, eosinofílicos, multifocales o diseminados. (Johnson, 1978; Lightner, 1996; Morales-Covarrubias, 2010; Pantoja y Lightner, 2014; Varela y Peña, 2016).
En muchos casos se detectan bacterias extracelulares basofílicas individuales o en cúmulos (Lightner, 1996; Varela y Peña, 2014). En infecciones severas se desarrollan cápsulas hemocíticas rodeando túbulos necrosados (Figura 2b). El progreso de las lesiones no presenta un patrón definido. La distribución de las lesiones y nódulos hemocíticos es por tanto “aleatoria” o diseminada en el órgano (Pantoja y Lightner, 2014; Varela y Peña, 2016).
En este caso, el diferencial debe realizarse entre las tres enfermedades bacteriales, ya que entre ellas se presentan algunas similitudes, como la presencia de respuestas inflamatorias celulares y humorales.
Para el SHPN se debe enfatizar en la ausencia de un patrón definido de propagación a través del hepatopáncreas. En muchas ocasiones es posible observar bacterias individuales o masas bacteriales basofílicas en los espacios hemales, en los intersticios o en centros sépticos de nódulos hemocíticos. Las células epiteliales necróticas presentan eosinofilia y en muchos casos picnosis. La presencia de túbulos necróticos y melanosis es común. La respuesta inflamatoria es evidente, incluyendo infiltración hemocítica y melanosis.
Hepatopancreatitis necrotizante (NHP)
La hepatopancreatitis necrotizante o NHP es causada por alfa Proteobacterias (α-Proteobacteria), intracelulares obligadas, tipo Rickettsias, bajo el nombre propuesto de Hepatobacter penaei (Nunan y cols., 2013). Se trata de bacterias Gram negativas, pleomórficas, su forma infectiva es móvil mediante flagelos (Johnson, 1978; Lightner, 1996; Morales-Covarrubias, 2010).
Estas bacterias infectan, se multiplican y acumulan en el citoplasma de las células epiteliales de los túbulos del hepatopáncreas. Es una enfermedad que puede ser de curso agudo o crónico, y tiende a afectar más a animales juveniles y adultos que a post larvas (Bondad-Reantaso y cols., 2001; Lightner, 1996; Vincent y cols., 2004; Crabtree y cols., 2006; Morales-Covarrubias, 2010; Morales-Covarrubias y cols., 2006).
Para la detección, diagnóstico y estudio de este patógeno, al ser un agente intracelular, no se dispone aún de líneas celulares para su cultivo y se han desarrollado múltiples métodos moleculares, incluyendo pruebas con anticuerpos monoclonales, inmunohistoquímica, hibridación in situ y PCR. Éste último método, puede ser aplicado ensayos no letales en muestras de heces (Morales-Covarrubias, 2010; OIE, 2016).
Histopatológicamente, las lesiones que presenta inicialmente son una disminución de las reservas y desprendimiento de células epiteliales de los túbulos hepatopancreáticos (Figura 2c), cuyos núcleos son desplazados hacia la periferia celular. En algunas células se observa material granular en los citoplasmas, constituido por masas de bacterias basofílicas (Figura 2d). La formación de granulomas fuertemente basofílicos, las estrangulaciones tubulares, encapsulaciones de tejidos afectados y la necrosis tubular multifocal son características (Lightner, 1996; Morales-Covarrubias, 2010; Morales-Covarrubias y cols., 2006; Peña y Varela, 2016).
La distribución de las lesiones no sigue un patrón definido, los túbulos afectados pueden estar rodeados de tejido aparentemente sano. Durante la fase crónica de la infección, la respuesta inflamatoria del hospedador disminuye hasta prácticamente desaparecer, los túbulos se atrofian y hay una severa reducción del tamaño del órgano, pueden o no presentarse regiones edematizadas, se observa una pérdida de la altura de las células epiteliales, las cuales pasan de columnares a cúbicas (Morales-Covarrubias, 2006; Morales y Cuéllar-Anjel, 2014; Peña y Varela, 2016; Varela y Peña, 2016).
Su diferencial se basa en la observación de masas de bacterias dentro el citoplasma de las células infectadas, mismas que pueden ser rodeadas por hemocitos dando lugar a granulomatosis focal o multifocal, estos granulomas son basofílicos. Al igual en el SHPN, no existe un patrón definido de propagación a través del hepatopáncreas. En la fase aguda del cuadro infeccioso por NHP la respuesta inflamatoria es evidente, incluyendo infiltración hemocítica y melanosis. Sin embargo, en los estadíos avanzados de la infección se da atrofia del hepatopáncreas, el epitelio tubular pasa a ser cúbico simple y cesa la respuesta inflamatoria.
Necrosis aguda del hepatopáncreas (AHPND)
La AHPND es causada por cepas altamente virulentas del género Vibrio. Actualmente han sido confirmadas al menos, cepas de V. parahaemolyticus, V. harveyi y V. campbellii, sin descartar la aparición de otras especies o géneros mediante la transferencia del plásmido que codifica las toxinas. Estas bacterias no se alojan en el hepatopáncreas del camarón sino en su estómago, lugar desde el cual liberan toxinas que lesionan el hepatopáncreas generando desprendimientos celulares masivos (Ahn y cols., 2017; Han y cols., 2015; Joshi y cols., 2014; Kondo y cols., 2015; Pantoja y Lightner, 2014; Tran y cols., 2013).
Esta infección se da generalmente entre los 20 a 30 días de cultivo, por lo que en sus inicios se conoció como “Síndrome de mortalidad temprana” y puede causar mortalidades que ascienden al 100% de las poblaciones afectadas (Aranguren y cols., 2017; Pantoja y Lightner, 2014; Tran y cols., 2013).
El diagnóstico mediante detección molecular de las cepas causantes de AHPND, se debe realizar mediante PCR cuyos primer estén diseñados para reconocer al plásmido, específicamente en las secuencias que codifican para la síntesis de la toxina binaria (Han y cols., 2015; Joshi y cols., 2014; Kondo y cols., 2015, Kongrueng y cols., 2015; OIE, 2016; Varela y cols., 2017).
Histopatológicamente se pueden distinguir tres fases secuenciales, aguda, intermedia y terminal (Pantoja y Lightner, 2014; Varela y Peña, 2014; 2016).
Durante la fase inicial de la infección por el AHPND se presentan desprendimientos masivos de las células epiteliales de los túbulos hepatopancreáticos, acompañados de una disminución de la actividad mitótica de las células embrionarias. Los núcleos de las células desprendidas lucen una apariencia normal. Hay una clara disminución de las reservas, iniciando así la atrofia del órgano. El avance de las lesiones se desarrolla desde las zonas proximales o basales de los túbulos y avanzan hacia las zonas distales o apicales, característica con valor diagnóstico (Figura 2e) (Aranguren y cols., 2017; Cuéllar-Anjel y cols., 2012; Pantoja y Lightner, 2014; Varela y Peña, 2014; 2016; Varela y cols., 2017).
Posteriormente, durante la fase intermedia o de transición del cuadro infeccioso, es posible, por primera vez, observar la presencia de masas bacteriales basofílicas y continúa el desprendimiento celular. En esta etapa inician los procesos inflamatorios, y se observa una fuerte infiltración hemocítica (Cuéllar-Anjel y cols., 2012; Pantoja y Lightner, 2014; Varela y Peña, 2016).
Finalmente, durante la fase terminal, se presenta la destrucción del hepatopáncreas por los desprendimientos celulares masivos, unidos a la acción bacterial, hay una severa infiltración hemocítica acompañada de melanosis y necrosis multifocal (Figura 2f), así como la presencia de edemas (Cuéllar-Anjel y cols., 2012; Tran y cols., 2013; Pantoja y Lightner, 2014; Varela y Peña, 2014; 2016).
Durante la etapa final, es muy difícil distinguir histopatológicamente entre el AHPND y una necrosis séptica del hepatopáncreas (SHPN), originado por otras cepas diferentes a las causales de AHPND, por lo que generalmente los resultados histopatológicos son no concluyentes y se requiere de técnicas de confirmación adicionales como el PCR, de mayor especificidad.
Para su diferencial histopatológico es importante procesar animales en estadíos iniciales de la infección, momento en que se tiene como principales características la presencia masiva de desprendimientos celulares epiteliales, el patrón de propagación de dichos desprendimientos en sentido proximal-terminal de los túbulos del hepatopáncreas, así como la ausencia de bacterias y de respuesta inflamatoria.

2a) SHPN, se señalan algunos de los nódulos hemocíticos presentes, con centros eosinofílicos (flechas), se observan extensas áreas de acumulación de hemocitos como respuesta a la infección (cabeza de flecha), 100X. 2b) SHPN, nódulos melanizados formados por capas concéntricas de hemocitos (flechas) y áreas de melanización, eosinofílicas (cabeza de flecha), 400X. 2c) NHP, corte transversal de túbulo de hepatopáncreas, mostrando tres encapsulaciones hemocíticas fuertemente basofílicas con restos de células (flechas), en su interior se observan células epiteliales con apariencia granular, y capas de hemocitos concéntricas (cabeza de flecha), 400X. 2d) NHP, encapsulaciones basofílicas con presencia de células epiteliales en su interior, éstas células presentan incrementos de tamaño, apariencia granular y núcleos desplazados hacia la periferia (flechas), 400X. 2e) AHPND en fase aguda, corte sagital de túbulo hepatopancreático, se observan fuertes desprendimientos celulares en la región tubular medial (flecha), la zona apical aun no presenta lesiones (cabeza de flecha), 400X. 2f) AHPND en etapa terminal. Masas bacteriales basofílicas (flechas) y agregaciones hemocíticas adyacentes (cabeza de flecha), atrofia total de epitelio tubular y ausencia de reservas. Presencia de edemas intertubulares y pérdida total de la estructura normal del órgano (asteriscos), 400X. Tinción H&E.
Microsporidiosis del hepatopáncreas por Enterocytozoon hepatopenaei (EHP)
Las infecciones causadas por microsporidios en camarones, han sido reportadas en múltiples ocasiones, causadas por diversas especies, entre las que se incluyen algunas pertenecientes a los géneros Pleistophora, Agmasoma, Ameson, Vavraia, Enterospora yPerezia. Los cuales tienen diferentes tejidos blancos (Cuéllar-Anjel, 2013; Han y cols., 2016; Lightner, 1996; Morales-Covarrubias, 2010; Tourtip y cols., 2009).
En el año 2009, un nuevo microsporidio fue descrito en Tailandia, afectando al hepatopáncreas de camarones marinos, el cual fue reportado en P. monodon, y se describieron diferentes estadíos del parásito (Tourtip y cols., 2009).
Este agente infeccioso es similar a otro reportando anteriormente en Australia, y no se descarta que sea el mismo microorganismo. Causa la enfermedad llamada Microsporidiosis hepatopancreática, y su agente etiológico es el Enterocytozoon hepatopenaei, (EHP por sus siglas en inglés) el cual se aloja y replica dentro de los citoplasmas de las células epiteliales en los túbulos hepatopancreáticos, alcanzando altas densidades y retardando con ello el crecimiento de los camarones afectados. Esto puede generar una alta variabilidad de tallas en las poblaciones de camarones infectados. Afecta principalmente a los camarones juveniles entre los 60 y 80 días de cultivo, ha sido detectado infectando cultivos de P. monodon y P. vannamei (Putth y cols., 2016; Su y cols., 2017; Tang y cols., 2016; Tourtip y cols., 2009).
Su presencia en el continente americano ha sido confirmada en camarones de cultivo P. vannamei en Venezuela (Tang y cols., 2017) y posteriormente fue detectado en Nicaragua, por lo que es probable que continúe diseminándose (Su y cols., 2017).
No se le atribuyen mortalidades directas, pero se ha demostrado que puede actuar como factor de riesgo para el ingreso de otras enfermedades como el AHPND (Aranguren y cols., 2017).
Para la detección de este microsporidio se han desarrollado sistemas moleculares de diferentes tipos, entre ellos la hibridación in situ (Tang y cols., 2016), y análisis por PCR con diversos primer, algunos de los cuales han sido diseñados para reconocer las secuencias que codifican para la sub unidad ribosomal 18s (Biju y cols., 2016; Tourtip y cols., 2009) y otros sobre secuencias que codifican para proteínas constituyentes de la pared de la espora (Tang y cols., 2016; Tang y cols., 2017). Existen, asimismo, protocolos de PCR anidado de mayor sensibilidad y especificidad (Jaroenlak y cols., 2016).
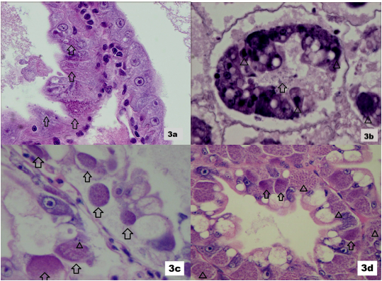
Mediante análisis histopatológico de tejidos afectados, es posible observar diferentes etapas de desarrollo de este hongo (Figura 3a), desde los plasmodios tempranos, dando lugar a plasmodios esporogonales tardíos, para liberar finalmente las esporas maduras. Los plasmodios se presentan como estructuras fuertemente basofílicas, irregulares, las esporas maduras son de forma ovalada, midiendo 0,7-1,1 µm, basofílicas, ubicadas dentro del citoplasma de las células afectadas o libres en el lumen de los túbulos (Figura 3b) (Aranguren y cols., 2017; Tourtip y cols., 2009), no se ha documentado ningún tipo de respuesta inflamatoria por parte del hospedador.
En el caso del EHP pueden observarse similitudes con las haplosporidiosis, ambos presentan diferentes estadíos de desarrollo del microorganismo, pasando por formas mononucleadas y multinucleadas.
Su diferencial se puede basar en la forma de los plasmodios, los cuales presentan formas irregulares, fuertemente basofílicas, además, no se conocen reportes de respuestas inflamatorias directas causadas por este agente.
Haplosporidiosis del hepatopáncreas (HPH)
Estos parásitos unicelulares han sido reportados pocas veces y en forma esporádica en América, en muestras de P. vannamei silvestres y de cultivo, en Cuba y en Nicaragua. También se han documentado en P. vannamei, generando un brote durante los años 2004 y 2005 en Belice (Nunan y cols., 2007). En muestras de P. stylirostris y P. setiferus silvestres en México (Cuellar-Anjel, 2014b; del Río-Rodríguez y cols., 2013; Johnson, 1978; Lightner, 1996; Morales-Covarrubias, 2010; Nunan y cols., 2007).
La detección de este parásito se puede realizar mediante ensayos de PCR. Para el brote de Belice, se utilizaron primers diseñados para reconocer la secuencia que codifica la sub unidad ribosomal 18s (Nunan y cols., 2007).
Mediante análisis histopatológico, durante el diagnóstico del HPH, se observa la presencia intracelular del protozoario en las células epiteliales de los túbulos del hepatopáncreas. Este parásito generalmente se ubica apicalmente o lateralmente al núcleo, sus plasmodios presentan formas regulares (Figura 3c), multinucleados los cuáles se fragmentan en formas mononucleadas. Estas formas mononucleadas ligeramente basofílicas (Figura 3d), pueden ser localizadas en el lumen de los túbulos del hepatopáncreas, presumiblemente después de haber sido liberadas a partir de células necróticas (Cuellar-Anjel, 2014b).
Se ha reportado que, en las infestaciones severas por el HPH, es posible observar túbulos hepatopancreáticos encapsulados por capas múltiples de hemocitos, generando melanizaciones, como respuesta del hospedador ante el parásito (Cuellar-Anjel, 2013; Cuellar-Anjel, 2014b; Johnson, 1978; Lightner, 1996; Morales-Covarrubias, 2010; Nunan y cols., 2007).
Para la realización del diferencial se puede recurrir a la forma de los plasmodios, los cuales presentan formas ovales, más regulares que los observados en cortes de EHP, su basofilia es menos pronunciada, además, se han reportado respuestas inflamatorias directas causadas por este agente, incluyendo infiltración de hemocitos, encapsulaciones tubulares y melanosis.

3a) EHP, en muestra de camarones cultivados en Tailandia, corte trasversal de túbulo del hepatopáncreas, se observan esporas intracitoplasmáticas, basofílicas, ligeramente ovaladas (flechas), 400X. 3b) EHP, muestra de camarón de Indonesia, en una sección de la zona medial del túbulo, lo que se evidencia por la presencia de células R y F, así como esporas libres en el lumen tubular (flechas), se observan plasmodios tempranos, fuertemente basofílicos, de forma irregular, los cuales aún no presentan estructuras internas evidentes (cabeza de flecha), plasmodio de gran tamaño, en la esquina inferior derecha en el que se perciben algunas estructuras (plasmodio tardío), la membrana basal del túbulo presenta festoneo leve (borde ondulado), 600X. 3c) HPH, se observan múltiples plasmodios, de forma regular oval, presentes en las células epiteliales del hepatopáncreas, se perciben diferentes estadíos de desarrollo, desde plasmodios tempranos sin esporas detectables, hasta plasmodios tardíos, con esporas en su interior (flechas) y aparentes esporas libres (cabeza de flecha), 600X. 3d) HPH, plasmodios esporogonales (flechas), se observan además, múltiples agregados de plasmodios maduros (punta de flecha), con ubicación apical dentro de las células epiteliales, se distinguen las esporas maduras (cabeza de flecha), 600x. En este caso, no se observan respuestas inflamatorias. Tinción H&E.
Dada que en este trabajo se han expuesto diversos agentes de origen viral, bacterial, micótico y parasitario, todos compartiendo el mismo órgano como blanco y ante las posibles similitudes histopatológicas existentes entre algunos de ellos, se presenta un resumen integrado en la Tabla 1. En ella se exponen las principales características diferenciales entre ellos, con el fin de facilitar su utilización en el laboratorio.

Algunas Consideraciones Finales
La histopatología se presenta como una poderosa y versátil técnica diagnóstica en camaronicultura, ésta ha experimentado un desarrollo muy importante. Lo cual, unido a la caracterización de las diferentes lesiones y sus detalles diferenciales, posibilita su utilización en diagnósticos presuntivos e incluso confirmatorios, así como la detección de infecciones o infestaciones secundarias (Howard y cols., 2004; Lightner, 1996; Morales-Covarrubias, 2010; Morales y Cuéllar-Anjel, 2014; OIE, 2016).
Sin embargo, se debe tener claro que la obtención de un diagnóstico confirmatorio comprende mucho más que la “simple” interpretación de una lámina histopatológica, en el estudio de un caso, se deben considerar además, todas las fuentes de información disponibles, desde la anamnesis del caso, hasta la posible utilización de técnicas alternativas o complementarias de análisis (Morales y Cuéllar-Anjel, 2014), como la identificación molecular por PCR, qPCR, LAMP o hibridación in situ (Han y cols., 2015; Jaroenlak y cols., 2016; Joshi y cols., 2014; Kondo y cols., 2015, Kongrueng y cols., 2015; Lightner, 1996; Morales-Covarrubias, 2010; Nunan y cols., 2007; OIE, 2016; Pantoja y Lightner, 2000; Tang y cols., 2016, 2017; Zhang y cols., 2015).
Como toda técnica analítica, la obtención de información certera mediante histopatología, requiere de una muestra representativa para establecer el estado sanitario de los animales de estudio. El procesamiento de la muestra debe ser realizado correctamente, desde la captura, selección y fijación, hasta el procesamiento de los cortes (Bell y Lightner, 1988; de Blas y cols., 2007; Lightner, 1996; Morales-Covarrubias, 2010; Morales y Cuéllar-Anjel, 2014). Muestras incorrectamente tomadas o procesadas, brindan sesgos y resultados incorrectos o nulos.
La experticia del histopatólogo es de gran importancia, esta sólo puede ser obtenida mediante la práctica constante, la investigación y las actualizaciones regulares, no sólo sobre las histotécnicas sino, además, de los hallazgos detectados y publicados para los diferentes patógenos. Es indispensable conocer profundamente la anatomía normal de los camarones para que, a partir de ese punto, se puedan detectar las lesiones tisulares causadas por los diferentes patógenos y sus características (Bell y Lightner, 1988; Howard y cols., 2004).
Ninguna de las enfermedades presentadas en este trabajo, es excluyente de las demás. Esto significa que la presencia de un agente viral, bacterial, micótico o parasítico no significa la ausencia de los demás. Por ello, las láminas histológicas deben ser sometidas a observaciones rigurosas y, en caso necesario, el uso de análisis moleculares complementarios como los ya citados. Las coinfecciones no son inusuales, y ya han sido reportadas con anterioridad (Aranguren y cols., 2017; Pantoja y Lightner, 2014; Tran y cols., 2013).
Finalmente, como se indicó con anterioridad, toda técnica diagnóstica, presenta algunos limitantes. En el caso de la histopatología, la limitante es la necesidad de presencia de lesiones, por lo que no es aplicable a infecciones latentes. Los diagnósticos certeros serán entonces el resultado de la integración de información, su análisis y la combinación de técnicas múltiples de diagnóstico (Lightner, 2004; Morales y Cuéllar-Anjel, 2014).
Agradecimientos
Al Dr. Donald V, Lightner y la Dra. Katty Tang, por facilitar las microfotografías del Enterocytozoon hepatopenaei.
Al departamento de histopatología de la Universidad de Arizona, por permitir el uso de su colección de tejidos para la captura de algunas de las imágenes utilizadas.
Bibliografía
Ahn, Y. S., Piamsomboon, P., Tang, K. T. F., Han, J. E., Kim, J. H. (2017). Complete Genome Sequence of Acute Hepatopancreatic Necrosis Disease - Causing Vibrio campbellii LA16-V1, Isolated from Penaeus vannamei Cultured in a Latin American Country. Genome Announc. 5: e01011-17.
Aranguren, L. F., Han, J. E., Tang, K. F. J. (2017). Enterocytozoon hepatopenaei (EHP) is a risk factor for acute hepatopancreatic necrosis disease (AHPND) and septic hepatopancreática necrosis (SHPN) in the Pacific white shrimp Penaeus vannamei. Aquaculture. 471: 37–42.
Bell, T. A., Lightner, D. V. (1988). A handbook of normal penaeid shrimp histology. World Aquaculture Society, Baton Rouge, LA, USA.
Biju, N., Sathiyaraj, G., Raj, M., Shanmugam, V., Baskaran, B., Govindan, U., Kumaresan, G., Kasthuriraju, K., Raj, T. S., Chellamma, Y. (2016). High prevalence of Enterocytozoon hepatopenaei in shrimps Penaeus monodon and Litopenaeus vannamei sampled from slow growth ponds in India. Dis. Aquat. Org. 120: 225–230.
Bonami, J. R., Bruce, L. D., Poulos, B. T., Mari, J., Lightner, D. V. (1995). Partial characterisation and cloning of the genome of PvSNPV (= BP-type virus) pathogenic for Penaeus vannamei. Dis. Aquat. Org. 23: 59‒66.
Bonami, J. R., Mari., J., Poulos, B. T., Lightner, D.V. (1995). Characterization of hepatopancreatic parvo-like virus, a second unusual parvovirus pathogenic to penaeid shrimps. J. Gen. Virol. 76: 813–817.
Bondad-Reantaso, M. G., Mc Gladdery, S. E., East, I., Subasinghe, R. P. (2001). Asia Diagnostic Guide to Aquatic Animal Diseases. FAO Fisheries Technical Paper No. 402, Supplement 2. Rome, FAO. 240 pp.
Bondad-Reantaso, M. B., Tran, L., Thanh Hue, D. T. (2013). What happens when hepatopancreas - shrimp’s main organ for food absorption, digestion and storage - becomes infected by a pathogen? FAO Aquaculture Newsletter. 51, June 2013.
Catap, E. S., Lavilla-Pitogo, C. R., Maeno, Y., Traviña, R. D. (2003). Occurrence, histopathology and experimental transmission of hepatopancreatic parvovirus infection in Penaeus monodon postlarvae. Dis. Aquat. Org. 57: 11–17.
Couch, J. A. (1974). An enzootic nuclear polyhedrosis virus of pink shrimp: ultrastructure, prevalence, and enhancement. J. Invertebr. Pathol. 24: 311‒331.
Couch, J. A. (1989). The membranous labyrinth in Baculovirus infected crustacean cells: possible roles in viral reproduction. Dis. Aquat. Org. 7: 39-53.
Crabtree, B. G., Erdman, M. M., Harris, D. L., Turney, I. (2006). Preservation of necrotizing hepatopancreatitis bacterium (NHPB) by freezing tissue collected from experimentally infected Litopenaeus vannamei. Dis. Aquat. Org. 70: 175-179.
Cuellar-Anjel, J., Lightner, D. V., Pantoja, C. (2012). Síndrome de Mortalidad Temprana o Síndrome de Necrosis Hepatopancreática Aguda. Panorama Acuícola Magazine. Nov-Dic: 42-43.
Cuellar-Anjel, J. (2013). Enfermedades parasitarias en camarones. The Center for food security and public health / Institute for international cooperation in Animal biologics. Iowa University. USA.
Cuellar-Anjel, J. (2014a). Enfermedades virales (p. 197-221). En: Morales, V. y Cuéllar-Anjel, J. (eds.). Guía Técnica – Patología e Inmunología de Camarones Penaeidos. OIRSA, Panamá, Rep. de Panamá. 382 pp.
Cuellar-Anjel, J. (2014b). Haplosporidios (p. 209-210). En: Morales, V. y Cuéllar-Anjel, J. (eds.). Guía Técnica – Patología e Inmunología de Camarones Penaeidos. OIRSA, Panamá, Rep. de Panamá. 382 pp.
Cuellar-Anjel, J. (2015). Baculovirosis tetraédrica. The Center for food security and public health / Institute for international cooperation in Animal biologics. Iowa University. USA.
de Blas, I., Ruiz-Zarzuela, I., Bayot, B., Ferreira, Ch. (2007). Manual de epidemiología veterinaria. Unidad de Patología Infecciosa y Epidemiológica. Dto. de patología animal. Facultad de veterinaria. Universidad de Zaragoza. España.
del Río-Rodríguez, R., Pech, D., Soto-Rodriguez, S. A., Gomez-Solano, M. I., Sosa-Lopez, A. (2013) A ten-month diseases survey on wild Litopenaeus setiferus (Decapoda: Penaeidae) from Southern Gulf of Mexico. Rev. Biol. Trop. 61(3): 1175-1188.
Han, J., Tang, K., Lightner, D. V. (2015). Genotyping of virulence plasmid from Vibrio parahaemolyticus isolates causing acute hepatopancreatic necrosis disease in shrimp. Dis. Aquat. Org. 115: 245–251.
Han, J., Tang, K., Pantoja, C. R., Lightner, D. V., Redman, R. M., Le Groumellec, M. (2016). Detection of a new microsporidium Perezia sp. in shrimps Penaeus monodon and P. indicus by histopathology, in situ hybridization and PCR. Dis. Aquat. Org. 120: 165–171.
Howard, D. W., Lewis, E. J., Keller, B. J., Smith, C. S. (2004). Histological techniques for marine bivalve mollusks and crustaceans. NOAA Technical Memorandum NOS NCCOS. 5, 218 pp.
Huang, J. (2012). Experiences in EMS/AHPNS from China. On Network of Aquaculture Centers in Asia-Pacific Regional Consultation on the Emerging Shrimp Disease: Early Mortality Syndrome (EMS) / Acute Hepatopancreatic Necrosis Syndrome (AHPNS). Final Report.
Jaroenlak, P., Sanguanrut, P., Williams, B. A. P., Stentiford, G. D., Flegel, T. W., Sritunyalucksana, K., Itsathitphaisarn, O., (2016). A Nested PCR Assay to Avoid False Positive Detection of the Microsporidian Enterocytozoon hepatopenaei (EHP) in Environmental Samples in Shrimp Farms. PLoS ONE. 11(11): e0166320.
Johnson, S. K. (1978). Handbook of shrimp diseases. Sea Grant Publ. No. TAMU-SG-75-603, Texas A&M University, College Station TX. 27 pp.
Joshi, J. Srisala, J., Truong, V. H., Chen, I. T., Nuangsaeng, B., Suthienkul, O., Lo, C. F., Flegel, T. W., Sritunyalucksana, K., Thitamadee, S. (2014). Variation in Vibrio parahaemolyticus isolates from a single Thai shrimp farm experiencing an outbreak of acute hepatopancreatic necrosis disease (AHPND). Aquaculture. 428-429: 297-302.
Kondo, H., Van, P. T., Dang, L. T. Hirono, I. (2015). Draft genome sequence of non-Vibrio parahaemolyticus acute hepatopancreatic necrosis disease strain KC13.17.5, isolated from diseased shrimp in Vietnam. Genome Announc. 3(5): e000978-15.
Kongrueng, J., Tansila, N., Mitraparp-Arthorn, P., Nishibuchi, M., Vora, G. J., Vuddhakul, A. V. (2015). LAMP assay to detect Vibrio parahaemolyticus causing acute hepatopancreatic necrosis in shrimp. Aquacult. Inter. 23: 1179-1188.
Lightner, D. V., Redman, R. M. (1985). A parvo-like virus disease of penaeid shrimp. J. Invertebr. Pathol. 45: 47–53.
Lightner, D. V., Redman, R., M. (1991). Hosts, geographic range and diagnostic procedures for the penaeid virus diseases of concern to shrimp culturists in the Americas. In: De Loach, P., Dougherty, W.J., Davidson, M.A. (eds.) Frontiers in shrimp research (p. 173–196). Elsevier Science Publishers, Amsterdam.
Lightner. D. V. (1996). A handbook of shrimp pathology and diagnostic procedures for diseases of cultured penaeid shrimp. World Aquaculture Society, Baton Rouge, LA, USA.
Lightner, D. V., Pantoja, C. (2001). Manual para el Diagnóstico de Enfermedades del Camarón. United States Department of Agriculture - Programa de construcción Huracán Mitch. (USDA/CSREES/USAID/UAZ).
Lightner, D. V. (2004). The Penaeid Shrimp Viral Pandemics due to IHHNV, WSSV, TSV and YHV: History in the Americas and Current Status. J. Invertebr. Pathol. 110: 174-183.
Manan, H., Hwei Zhong, Othman, F., Ikhwanuddin, M. (2015). Histopathology of the Hepatopancreas of Pacific White Shrimp, Penaeus vannamei from None Early Mortality Syndrome (EMS) Shrimp Ponds. Journal of Fisheries and Aquatic Science. 10: 562-568.
Morales-Covarrubias, M. S., Chávez, M. C. (1999). Manual para la detección de enfermedades de camarones peneidos utilizando análisis en fresco. Centro de Investigaciones en Alimentación y Desarrollo. México. 68 p.
Morales-Covarrubias, M. S., Osuna, A. G., García, A., Lightner, D. V., Mota, J. C. (2006). Prevalence of necrotizing in female broodstock of white shrimp Penaeus vannamei with unilatral eyestalk ablation and hormone injection. J. Aquatic Anim. Health. 18: 19-25.
Morales-Covarrubias, M. S. (2010). Enfermedades del camarón: detección mediante análisis en fresco e histopatología. Editorial Trillas, México, D.F. EHP
Morales, V., Cuéllar-Anjel, J. (eds.) (2014). Guía Técnica – Patología e Inmunología de Camarones Penaeidos. OIRSA, Panamá.
Morales, V., Cuéllar-Anjel, J., Pantoja, C. (2015). Enfermedades transfronterizas del camarón blanco Penaeus vannamei en las Américas. Organismo Internacional Regional de Sanidad Agropecuaria (OIRSA). Panamá. 31 pp.
Muhammed, P., Safeena, M. P., Rai, P., Karunasagar, I. (2012). Molecular Biology and Epidemiology of Hepatopancreatic parvovirus of Penaeid Shrimp. Indian J. Virol. 23(2): 191–202.
Nunan, L., Lightner, D. V., Pantoja, C. R., Stokes, N. A., Reece, K. S. (2007). Characterization of a rediscovered haplosporidian parasite from cultured Penaeus vannamei. Dis. Aquat. Org. 74: 67–75.
Nunan, L., Pantoja, C., Gómez-Jiménez, S., Lightner, D. V. (2013). “Candidatus Hepatobacter penaei’’ an shrimp Penaeus vannamei in the Hepatopancreas of the marine intracellular pathogenic enteric bacterium (Crustacea: Decapoda). Appl. Environ. Microbiol. 79(4): 1407.
Nunan, L., Lightner, D. V., Pantoja, C., Gómez-Jiménez, S. (2014). Detection of acute hepatopancreatic necrosis disease (AHPND) in Mexico. Dis. Aquat. Org. 111: 81-86.
OIE (2007). Hepatopancreatic parvovirus disease. OIE Aquatic Animal Disease Cards.
OIE (2016). Baculovirus penaei. Capítulo 2.2.10. Organización Mundial de Sanidad Animal. Manual de diagnóstico en animales acuáticos. 6ed. Paris, Francia.
Overstreet, R. M. (1994). BP (Baculovirus penaei) in penaeid shrimps. USMSFP 10th. Anniversary Review. GCRL Special Publication. 1: 97‒106.
Pantoja, C., Lightner, D. V. (2000). A non-destructive method based on the polymerase chain reaction for detection of hepatopancreatic parvovirus (HPV) of penaeid shrimp. Dis. Aquat. Org. 39: 177-182.
Pantoja, C., Lightner, D. V. (2001). Detection of hepatopancreatic parvovirus (HPV) of penaeid shrimp by in situ hybridization at the electron microscope level. Dis. Aquat. Org. 44: 87–96.
Pantoja, C., Lightner, D. V. (2013). EMS/AHPND Descripción de la enfermedad en Asia y América. En: Guía técnica patología e inmunología de camarones peneidos. Morales, V. Cuéllar- Ánjel, J. (eds.). Programa CYTED Red II-D Vannamei, Panamá, Rep. de Panamá. 172 pp.
Pantoja, C., Lightner, D. V. (2014). Enfermedades virales (p. 99-164). En: Morales, V. Cuéllar- Ánjel, J. (eds.). Guía Técnica – Patología e Inmunología de Camarones Penaeidos. OIRSA, Panamá, Rep. de Panamá. 382 pp.
Peña, N., Varela, A. (2014). Análisis histopatológico en Litopenaeus vannamei infectado con Vibrio parahaemolyticus. Agronomía Mesoamericana. 26(1): 43-53.
Peña, N., Varela, A. (2016). Prevalencia de las principales enfermedades infecciosas en el camarón blanco Penaeus vannamei cultivado en el Golfo de Nicoya, Costa Rica. Revista de Biología Marina y Oceanografía. 51(3): 553-564.
Prieto, A., Rodríguez, M. C. (1993). Diagnóstico y control de enfermedades bacterianas en camarón de cultivo. FAO (Food and Agriculture Organization of United Nations), México.
Putth, S., Polchana, J. (2016). Current status and impact of early mortality syndrome (EMS)/acute hepatopancreatic necrosis disease (AHPND) and hepatopancreatic microsporidiosis (HPM) outbreaks on Thailand’s shrimp farming (p. 79-87). In: Pakingking, R. V., de Jesus-Ayson, E., G., Acosta, B. O. (Eds.). Addressing Acute Hepatopancreatic Necrosis Disease (AHPND) and Other Transboundary Diseases for Improved Aquatic Animal Health in Southeast Asia. Proceedings of the ASEAN Regional Technical Consultation on EMS/AHPND and Other Transboundary Diseases for Improved Aquatic Animal Health in Southeast Asia, Philippines.
Restrepo, L., Bayot, B., Betancourt, I., Pinzón, A. (2016). Draft genome sequence of pathogenic bacteria Vibrio parahaemolyticus strain Ba94C2, associated with acute hepatopancreatic necrosis disease isolate from South America. Genomics Data. 9: 143–144.
Saavedra-Olivos, K. Y., Peralta-Ortiz, T., Ordinola-Zapata, A., Sandoval-Ramayoni, J. E., Vieyra-Peña, E. G., Zapata-Cruz, M. A., Hidalgo-Mogollón, A., Morán-Ávila, B., Mendoza-Neyra, O. A., Mendoza-Dioses, M. E., Campoverde-Peña, S. T. (2018). Detección de una proteína asociada a la enfermedad de la necrosis hepatopancreática aguda (AHPND) en Litopenaeus vannamei bajo cultivo semi-intensivo en Ecuador. Rev. Inv. Vet. Perú. 29(1): 328-338.
Su, C., Hsieh, Y. C., Lu, W., Ma, L. J., Tsai, C. F., Chen, Y. M. (2017). The Diagnostic And Treating Strategies of EHP - An Example from A Chinese Super-Intensive Farming System. Presentación en el Asian-Pacific Aquaculture. World Aquaculture Society, Meeting. Kuala Lumpur.
Sukhumsirichartl, W., Wongteerasupaya, C., Boonsaengl, V., Panyiml, S., Sriurairatana, S., Withyachumnarnku, B., Flegel, T. W. (1999). Characterization and PCR detection of hepatopancreatic parvovirus (HPV) from Penaeus monodon in Thailand. Dis. Aquat. Org. 38: 1-10.
Summers, M. D. (1977). Characterization of Shrimp Baculovirus. U.S. Environmental Protection Agency Report, EPA-600/3-77-130. US E.P.A., Gulf Breeze, Florida, USA, 35 pp.
Tang, K., Han, J. W., Aranguren, L. F., White-Noble, B., Schmidt, M. M., Piamsomboon, P., Risdiana, E., Hanggono, B. (2016). Dense populations of the microsporidian Enterocytozoon hepatopenaei (EHP) in feces of Penaeus vannamei exhibiting white feces syndrome and pathways of their transmission to healthy shrimp. J. Invertebrate Pathology. 140: 1-7.
Tang, K. F. J., Aranguren, L. F., Piamsomboon, P., Han, J. E., Maskaykina, I. Y., Schmidt, M. M. (2017). Detection of the microsporidian Enterocytozoon hepatopenaei (EHP) and Taura syndrome virus in Penaeus vannamei cultured in Venezuela. Aquaculture. 480: 17–21.
Tran, L., Nunan, L., Redman, R., Mohney, L., Pantoja, C., Fitzsimmons, K., Lightner, D. V. (2013). Determination of the infectious nature of the agent of acute hepatopancreatic necrosis syndrome affecting penaeid shrimp. Dis. Aquat. Org. 105: 45–55.
Thitamadee, S., Prachumwat, A., Srisala, J., Jaroenlak, P., Salachan, P., Sritunyalucksana, K., Flegel, T. W., Itsathitphaisarn, O. (2015). Review of current disease threats for cultivated penaeid shrimp in Asia. Aquaculture. 452: 69–87.
Tourtip, S., Wongtripop, S., Stentiford, G., Bateman, K., Sriurairatana, S., Chavadej, J., Sritunyalucksana, K., Withyachumnarnkul, B. (2009). Enterocytozoon hepatopenaei sp. nov. (Microsporida: Enterocytozoonidae), a parasite of the black tiger shrimp Penaeus monodon (Decapoda: Penaeidae): Fine structure and phylogenetic relationships. Journal of Invertebrate Pathology. 102: 21–29.
Varela. A., Peña, N. (2014). Síndrome de mortalidad temprana (EMS/AHPNS) en camarones cultivados: Una revisión. Rev. Repertorio Científico. Universidad Estatal a Distancia. 17(1): 25-30.
Varela, A. (2016). Nodavirus de la mortalidad encubierta (CMNV) en camarones marinos de cultivo. Nota técnica. Rev. Repertorio Científico. Universidad Estatal a Distancia. 19(1): 33-40.
Varela, A., Peña, N. (2016). Histopatología diferencial de tres enfermedades bacterianas que afectan el hepatopáncreas de camarones peneidos. Rev. Agron. Mesoam. 27(1): 73-80.
Varela, A., Peña, N. (2017). Transfronterización de enfermedades infecciosas en la camaronicultura. Rev. Rev. Repertorio Científico. Universidad Estatal a Distancia. 20(1): 1-11.
Varela-Mejías, A., Peña-Navarro, N., Aranguren-Caro, L. F. (2017). Necrosis aguda del hepatopáncreas: una revisión de la enfermedad en Penaeus vannamei. Revisión bibliográfica. Agron. Mesoam. 28(3): 735-745.
Vincent, A., Breland, V., Lotz, J. (2004). Experimental infection of pacific white shrimp Litopenaeus vannamei with Necrotizing Heptopancreatitis (NHP) bacterium by per os exposure. Dis. Aquat. Org. 61(3): 227–233.
Zhang, Q., Liu, S., Yang, H., Liu, S., Zhu, L., Yang, B., Jin, J., Ding, L., Wang, X., Liang, Y., Wang, Q., Huang, J. (2014). A new nodavirus is associated with covert mortality disease of shrimp. Journal of General Virology. 95: 2700–2709.
Zhang, Q., Liu, S., Yang, H., Zhu, L., Wan, X., Li, X., Huang, J. (2015). Reverse transcription loop-mediated isothermal amplification for rapid and quantitative assay of covert mortality nodavirus in shrimp. Journal of Invertebrate Pathology.
Zhang, Q., Xu, T., Wan, X., Liu, S., Wang, X., Liu, X., Dong, X., Yang, B., Huang, J. (2017). Prevalence and distribution of covert mortality nodavirus (CMNV) in cultured crustacean. Journal of Virus Research. 233: 113–119.