Artículos
Aspectos biológicos y reproductivos en hembras Prochilodus magdalenae (Steindachner, 1879) Ciénagas del Departamento del Cesar, Colombia
Biological and reproductive aspects in females Prochilodus magdalenae (Steindachner, 1879) Ciénagas del Departamento del Cesar, Colombia
Aspectos biológicos y reproductivos en hembras Prochilodus magdalenae (Steindachner, 1879) Ciénagas del Departamento del Cesar, Colombia
AquaTIC, núm. 54, pp. 1-14, 2019
Universidad de Zaragoza

Resumen: El bocachico (Prochilodus magdalenae) es una especie reofilica nativa de la cuenca del río Magdalena, es la especie de mayor importancia comercial en Colombia, gran parte de su ciclo de vida de P. magdalenae lo transcurre en ciénagas al norte del país. El objetivo de esta investigación fue analizar la dinámica estacional del comportamiento biológico-reproductivo de P. magdalenae en ciénagas formadas por el río Cesar y Magdalena pertenecientes al complejo cenagoso de la Zapatosa. Se realizaron capturas en tres ciénagas empleando como arte de pesca el trasmallo, se tomaron mediciones biométricas como: longitud total (LT), la longitud estándar (LS) y el peso total (PT). Se analizaron 930 ejemplares, con tallas de 20 - 35 cm LT (27,02 ± 2,46), 17,7 - 31,0 cm de LS (22,15 ± 2,10) y peso de 119 - 664 g (247,08 ± 75,48). El factor de condición (K) mostró valores de 0,53 - 2,39 (1,22 ± 0,128), el índice gonadosomático (IGS) de 13,80 - 0,069 (0,419 ± 0,33), el índice hepatosomático (IHS) de 2,37- 0,39 (0,95 ± 0,2). La población de la ciénaga de Sahaya (SH) mostró diferencias con la ciénaga de Candelaria (CA) y Chimichagua (CH) en cuanto al crecimiento y el factor de condición, a causa de varios factores antrópicos que estarían afectando el buen desarrollo de los peces. El índice gonadosomático y la presencia de ejemplares con ovarios desarrollados, se demostró que para los meses de febrero - abril la ciénaga CH registró importantes niveles en el IGS, ya que es una zona migratoria de P. magnalenae, para realizar desoves en el mes mayo en el cauce del río Cesar
Palabras clave: reofilica, ciénaga, gonadosomático, hepatosomático, isométrico.
Abstract: The bocachico (Prochilodus magdalenae) is a migratory species native to the Magdalena river basin, it is the most commercially important species in Colombia, much of its life cycle is spent in swamps in the north of the country. The objective of this research was to analyze the seasonal dynamics of the biological-reproductive behavior of P. magdalenae in marshes formed by the Cesar and Magdalena River belonging to the swampy complex of the Zapatosa. Captures were made in three marshes using the fishing net as a tram, biometric measurements were taken such as: total length (LT), standard length (LS) and total weight (PT). 930 specimens were analyzed, with sizes of 20 - 35 cm LT (27.02 ± 2.46), 17.7 - 31.0 cm of LS (22.15 ± 2.10) and weight of 119 - 664 g (247.08 ± 75.48). The condition factor (K) showed values of 0.53 - 2.39 (1.22 ± 0.128), the gonadosomatic index (IGS) of 13.80 - 0.069 (0.419 ± 0.33), the hepatosomatic index (IHS) of 2.37- 0.39 (0.95 ± 0.2). The population of the swamp of Sahaya (SH) showed differences with the swamp of Candelaria (CA) and Chimichagua (CH) in terms of growth and condition factor, due to several anthropic factors that would be affecting the good development of the fish. The gonadosomatic index and the presence of specimens with developed ovaries, it was shown that the corresponding swamp (CH) is of great importance in february - april around gonadal development, since it is a migratory zone of P. magnalenae, to perform spawning in the month of May on the Cesar riverbed.
Keywords: rheophilic, bog, gonadosomatic, hepatosomatic, isometric.
Introducción
Prochilodus magdalenae (Steindachner, 1879), es una especie reofilica nativa de la cuenca del río Magdalena. El género Prochilodus se encuentra ampliamente distribuido en Sudamérica siendo uno de los géneros más estudiados. Es considerada la principal especie de pesca continental colombiana y sus capturas han disminuido en 90% en los últimos 40 años (Atencia et al., 2013).
El río Magdalena es la principal cuenca de Colombia comprendida por 257,438 km., y la principal vía fluvial del Mar Caribe al centro de Colombia, en esta cuenca habita cerca del 80% de la población total de Colombia (32 millones de habitantes) (Jiménez-Segura et al., 2010).
Diversas investigaciones han demostrado que el éxito reproductivo de P. magdalenae está directamente relacionado con las condiciones ambientales, siendo el régimen hidrológico, química del agua, alimentación y los bajos niveles del caudal en las ciénagas o humedales son los principales factores que promueven el desarrollo gonadal de los individuos (Jaramillo-Villa y Jiménez-Segura, 2008), de este modo, P. magdalenae muestra una serie de movimientos entre hábitats en respuesta a estos factores. Los investigadores se han enfocado en estudiar de la familia Prochilodontidae debido a su considerable valor ecológico y económico; diversos estudios están enfocado en su actividad reproductiva y su comportamiento migratorio (Silva y Stewart, 2017).
El complejo cenagoso Zapatosa, funciona estacionalmente como una zona de amortiguamiento de los ríos Magdalena y Cesar, esto hace que tenga la capacidad de recibir todas las cargas sedimentarias de estos afluentes en especial el sistema de acumulación lótico del río Cesar (Rangel, 2012).
Diversos autores como Jaramillo-Villa y Jiménez-Segura (2008) y Torregroza-Espinoza et al. (2015), han evidenciado que las poblaciones de P. magdalenae han disminuido considerablemente, ya que esta especie es altamente susceptible a las perturbaciones antropogénicas, tales como: Sobrepesca, construcción de embalses y deforestación (Allan et al., 2005; Jiménez-Segura et al., 2014). La invasión antrópica en la cuenca del río Magdalena asociado con las actividades mineras y agropecuarias en las últimas cuatro décadas han tenido impactos negativos en los ecosistemas acuáticos, causando fragmentación del hábitat y cambios en el comportamiento de varias especies migratorias (Restrepo y Restrepo, 2013; Hatanaka et al., 2006).
El estudio de parámetros reproductivos de P. magdalenae en condiciones naturales proporciona información de referencia para determinar cuál es el estado reproductivo de las poblaciones de P. magdalenae en las ciénagas, esto permita obtener información importante para el manejo pesquero, tal como tallas mínimas de reproducción, fecundidad y madurez reproductiva (FAO, 2014).
El objetivo de esta investigación fue analizar la dinámica estacional del comportamiento biológico-reproductivo, la condición corporal y alimenticio de las poblaciones de P. magdalenae en ciénagas formadas por el río Cesar y Magdalena pertenecientes al complejo cenagoso de la Zapatosa, con el fin de proporcionar información útil para el manejo ecológico y pesquero dentro de las ciénagas.
Material y Métodos
Área de estudio
La ciénaga de Zapatosa se encuentra localizada en los departamentos de Cesar y Magdalena, al Norte de Colombia entre las coordenadas (9°00’-10°15’ N, 73°45’-75°56’ W), a una altitud de 40 msnm. Es el cuerpo de agua más grande en la zona inundable del Departamento del Cesar, y se forma por la confluencia del río Cesar con el río Magdalena, entre los municipios de Chimichagua, Curumaní, Chiriguaná y Tamalameque (Cesar) y El Banco del Departamento del Magdalena (Figura 1).

El régimen hidrológico de las zonas de estudio presenta precipitaciones de 1800-2500 mm; un régimen bimodal de lluvias, con períodos lluviosos en abril-junio y agosto-octubre. El principal período seco se prolonga desde noviembre-marzo, con uno de menor proporción en julio-agosto (Rangel-Ch, 2012).
Se realizaron muestreos en tres ciénagas dos ubicadas en el complejo cenagoso de la Zapatosa: Ciénaga Chimichagua (9°14'46.10" N, 73°44'23.48" W) y ciénaga de Candelaria (9°11'21.44" N, 73°52'40.10" W) con influencia del río Cesar; la ciénaga de Sahaya (8°43'10.71" N, 73°45'11.09" W) ubicado en el municipio de Pelaya con influencia del río Magdalena.
Captura, análisis biométricos e índices biológicos
La investigación se realizó con hembras de P. magdalenae en tres ciénagas a lo largo del complejo cenagoso de la Zapatosa. Se colectaron los individuos utilizando el trasmallo como arte de pesca, los muestreos se realizaron en junio 2017 a mayo del 2018; teniendo en cuenta un número mínimo de 30 ejemplares de P. magdalenae provenientes de desembarco.
Para la evaluación de las muestras se tomaron las mediciones morfométricas: longitud total (LT), longitud estándar (LS), peso total (PT), peso de hígado, peso de gónada y determinación del sexo. Para la determinación del estado de madurez gonádica se usó la clasificación de (Vazzoler, 1996) que asume cinco estados de maduración: “I: Inmaduros, II: En maduración, III: Maduro, IV: Desovantes; V: Desovados”. Para evaluar la biología reproductiva de los ejemplares se pesaron los organismos completos y las muestras de gónadas e hígados previo a su fijación en formol amortiguado al 10%.
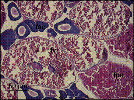
Se contaron los ovocitos de las gónadas maduras de las hembras, para evaluar fecundidad y posteriormente las gónadas se fijaron en formol amortiguado al 10% para la evaluación tisular mediante cortes histológicos y tinción H-E. Los micropreparados obtenidos fueron estudiados bajo microscopio óptico siguiendo criterios de diámetro ovocitario y cantidad de vitelo depositado.
Se analizó la relación talla-peso de P. magdalenae mediante regresión lineal, calculando los valores de a y b de la ecuación W=aLb (Froese, 2006), donde W es el peso total en gramos y L la talla en cm. La talla es una magnitud lineal y el peso es igual al cubo de la talla. Los individuos que mantienen un balance de talla-peso al crecer, entonces el crecimiento es isométrico (b=3).
Se estimaron los índices biológicos de acuerdo con los criterios de (Páez et al., 2008). Factor de condición (K): K = (peso total * 100) / (longitud total)3; Índice Hepatosomático (IHS): IHS = (peso hígado * 100) / peso total; Índice Gonadosomático (IGS): IGS = (peso gónada * 100) / peso total.
Análisis estadístico
Los resultados fueron procesados mediante análisis descriptivos expresados como medias ± desviación estándar. La normalidad de las variables fue comprobada mediante la prueba Shapiro-Wilk. Para identificar diferencias significativas entre factor de condición (K), Índice Hepatosomático (IHS), Índice Gonadosomático (IGS) entre ciénagas, se realizó análisis de varianza de una vía (ANOVA) y correlación de variables biológicas con las precipitaciones, en los casos donde se obtuvo diferencia significativa (p<0,05), se llevó a cabo la comparación de medias por el método de Tukey mediante el software STATGRAPHICS Centurión 16.1.
Resultados

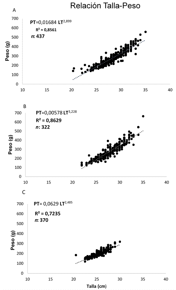
Se analizó la relación existente entre el peso (PT) y longitud total (LT) mediante la relación talla-peso, en la que se muestran las proporciones corporales de los individuos, y las líneas de tendencia, para evidenciar los ajustes de R2 obtenidas. En cuento a la relación de variables talla-peso, la ciénaga CA presentó el porcentaje más alto con el 86,6%, seguido de los individuos presentes en la ciénaga CH con 85,6%, lo que indica que las variables se ajustan a la línea de tendencia, determinando que los peces pequeños y grandes presentan una proporción parecida en tamaño y peso total. La ciénaga de SH presentó el porcentaje más bajo de asociación con 72,3%, indicando que esta ciénaga existe desproporción en talla-peso (Figura 2).

Las variables biométricas muestran diferencias significativas entre las ciénagas, siendo la variable PT la única que presentó similitud entre la ciénaga CH y CA, las LT y LS presentaron diferencias significativas entre ciénagas. Los individuos colectados en SH se caracterizaron por su bajo peso corporal (Tabla 1).
La ciénaga CH reporto un rango en la variable LT de 20 - 35 cm, PT de 141 - 538 g; un crecimiento isométrico b=2,85 (b=3), cerca del 40% de los individuos analizados en esta ciénaga se encontraban por debajo de la talla mínima de captura (TMC). La ciénaga de CA presentó un rango en las LT de 22 - 35 cm y PT entre 122 - 664 g con un crecimiento isométrico de b=3,22 (b>3), cerca de 25% de los peces analizados se encontraban por debajo de la TMC. La ciénaga de SH presentó LT de 20 - 30 cm y PT entre 119 - 319 g, con tallas y pesos bajos en comparación con las otras ciénagas, SH presentó un crecimiento alométrico negativo b=2,45 (b<3) cerca del 75% de los presentaron TMC (Figura 2).
Los ejemplares de la ciénaga CH muestran un valor de b cercano a 3 (2,90) que indica que tienen un crecimiento isométrico. Los ejemplares de CA, por el contrario, muestran un valor de b>3 (b=3,23), que indica un crecimiento alométrico positivo, ya que los peces presentan más peso que longitud. Los ejemplares de la ciénaga SH, presentan un valor de b<3 (b=2,49), crecimiento alométrico negativo, que indica que los individuos estaban flacos y alargados (Figura 2).
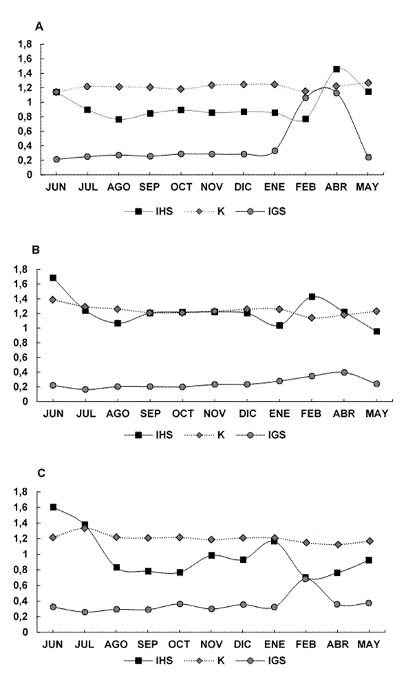
Índices biológicos (IHS, IGS y K)
Los índices de bienestar proporcionan información del estado de salud de los individuos. Como se puede apreciar en la Figura 4, los individuos mostraron diferencias fisiológicas dependiendo de la ciénaga en que se encuentra. La ciénaga con el mayor IHS fue CA (1,22 ± 0,19) seguido de SH (0,98 ± 0,28) y luego CH (0,95 ± 0,20), este resultado es fluctuante con el tiempo (Figura 4) siendo el mes de abril con el mayor nivel de IHS para la ciénaga CH (Figura 4A), las ciénagas CA y SH presentaron los niveles más altos en los meses de junio y febrero.
El índice IHS de la ciénaga SH presentó un descenso en el mes de julio y se mantuvo hasta diciembre. De las tres ciénagas, CA presenta los mejores índices de IHS y K, resultados que se ven reflejados en las LT, LS y PT expresadas en las Tabla 1 y 2, teniendo en cuenta estos índices, CA presenta las mejores condiciones ambientales y ecológicas.
El factor de condición (K) de los individuos en las ciénagas estudiadas mostraron poca fluctuación en el tiempo durante el estudio, identificando que las ciénagas CH (1,21 ± 0,03) y SH (1,20 ± 0,05) mostraron patrones parecidos (Figura 4A y 4C) siendo estos promedios los más bajos de las tres ciénagas, la ciénaga CA representado en la Figura 4B presentó un valor promedio de 1,24 ± 0,06 reflejado en la Tabla 2 mostrando que CA presenta diferencias significativas entre CH y SH.


El IGS fue la variable más fluctuante entre las ciénagas, evidenciando que la ciénaga CH presentó un valor promedio (0,42 ± 0,33) siendo los meses de febrero y abril los más altos (5,30 ± 4,53) durante el ciclo de estudio (Figura 4), cabe destacar que para el mes de marzo no se encontraron individuos en las ciénagas por motivos migratorios reproductivos. Las ciénagas SH presentó un IGS de 0,35 ± 0,11 y CA presentó los niveles más bajos con 0,24 ± 0,068, pero los más altos en IHS, pudiendo notar que las condiciones de cada ciénaga modifican los índices fisiológicos de los individuos. La ciénaga CH que presentó el IGS más alto (Figura 4) siendo el estado gonadal IV el de mayor peso estadístico (Tabla 3). En la ciénaga SH se encontró un individuo en estado gonadal (EG) avanzado en maduración con un PT de 246 g y una LS de 22,5 cm, longitud por debajo de talla mínima de maduración (TMM) y una fecundidad de 20756,88 ovocitos. La ciénaga CH se encontraron 6 individuos con EG IV y un promedio de fecundidad de 20921,3 ± 14785,3 ovocitos. La ciénaga CA no se encontró ningún individuo en EG avanzado. El análisis tisular (Figura 3), complementó los resultados obtenido en la Tabla 3. Se observaron en ellos tres fases de crecimiento de los ovocitos así: una fase perinucleolar (fpn), previtelogénicos, por lo mismo no estar en algún estado de maduración vitelogénica; una fase alveolo cortical (fac), una fase vitelogénica (fv).
De acuerdo con la (Tabla 3) el IGS es comparado con los estados gonadales, se muestra que el estado gonadal IV muestra diferencias significativas ante los demás estados, caso repetitivo con la ciénaga SH. El IHS entre los estados gonadales mostro que el estado V es diferente a los demás especialmente para la ciénaga CH (Tabla 3).
Las precipitaciones y el IGS están directamente relacionadas, ya que a medida que aumenta la precipitación aumenta el IGS, solo para le época lluviosa de abril-mayo se evidenció desove durante los muestreos, siendo marzo el mes de migración este fue el único mes donde no se colectó individuos (Figura 5). Dentro del análisis de correlación (Tabla 4) se logra interpretar que la ciénaga CH es la única que mostró una correlación entre el IGS respecto a la precipitación, las demás variables biológicas como LT, LS, PT, K e IHS no mostraron cambios entorno al aumento o disminución de las precipitaciones. De las tres ciénagas, CH representa la zona de mayor importancia reproductiva.




Discusión
P. magdalenae es considerada una especie con crecimiento isométrico, presentando valores de b=2,96 reportado por (Alonso et al., 2014). Esta especie mostró representatividad de tallas en las ciénagas CH y CA, por lo cual estos valores muestran un aumento de peso proporcional a la longitud durante el crecimiento. Sin embargo, se evidenció que en la ciénaga SH presentó valores b<3, que estarían más acorde con un aumento exponencial de la talla, por lo cual hay mayor ganancia en longitud que en peso, el crecimiento alométrico en peces es raros, esto deben ir acompañado de estudios de crecimiento de dicho cambio ontogenético en proporciones corporales (Froese, 2006; Vicentin et al., 2012). Con respecto a los valores b<3 presentados principalmente en la ciénaga SH se asocian a la alta presión de captura a tallas inferiores a las permitidas y también a la actividad agrícola estarían modificando las condiciones ambientales de dicha ciénaga, haciendo que los individuos estén alterando su capacidad de crecimiento, situación similar aconteció en estudios realizado por (Cifuentes et al., 2012) en que las perturbaciones antrópicas ocasionaron alteraciones en el factor de condición y su crecimiento isométrico.
La relación talla-peso mostró que los individuos de la ciénaga SH presentaron un crecimiento alométrico en relación con CA y CH (Figura 2), de esta manera se observa en la Tabla 1 que las variables LT y LS presentan diferencias altamente significativas, lo que quiere decir que los individuos capturados en las ciénagas no presentaron similitud en las longitudes; situación diferente se notó en la variable PT, el cual las ciénagas CA y CH no mostraron diferencias significativas entre ellas y si con la ciénaga SH (Tabla 1) donde los individuos presentan un crecimiento desproporcional al peso, lo que indica que PT no es proporcional a la LT, estas condiciones son notables debido a la amenazada por la actividad extractiva de la pesca, ejerciendo gran presión en los individuos presentes en SH (ONF Andina, 2014).
El IHS indica la disponibilidad de energía metabólica y el estado nutricional a corto plazo en los individuos, se considera como un indicador de salud general, sensible a los contaminantes ambientales, permite determinar la capacidad de almacenamiento energético de los peces, también brinda indicios de la disponibilidad del alimento presente en la ciénaga (Mancera-Rodríguez, 2017). El IHS reportado en la ciénaga CA determinó que hay mayor disponibilidad de alimento. Los mayores IHS se reportaron en el mes de junio para todas las ciénagas, esto se debe a que en el mes de mayo se presentan precipitaciones de la zona; estas lluvias arrastran gran cantidad de detrito depositados en las riberas de los ríos que a su vez son arrastrados a las ciénagas para ser aprovechados por especies detritívoras como P. magdalenae, tal como lo reporta Ríos-Pulgarín et al. (2008) en la ciénaga de Ayapel en el departamento Córdoba.
Los individuos encontrados en CA mostraron gran capacidad de almacenamiento energético a diferencia de la ciénaga de CH con el IHS más bajo junto a la ciénaga SH como punto intermedio (Figura 4A).
Cabe destacar que este índice aparte de predecir la capacidad energética de los peces, también puede anunciar la presencia de agentes contaminantes que están causando estrés en el individuo, esto alteraciones generan aumento en el volumen y peso del hígado (Páez et al., 2008)
El factor de condición está directamente relacionado con la relación talla-peso dado que el crecimiento isométrico de los peces es directamente proporcional al bienestar del animal (Tabla 3), K en la ciénaga SH muestra diferencias significativas con la ciénaga CA (Tabla 2), por esta razón se considera que las condiciones ambientales presentes SH no son las más favorables para la especie (ONF Andina, 2014) y están ocasionando que los individuos de P. magdalenae maduren por debajo de la TMM promedio (Alonso et al., 2014) (Figura 2, Tabla 3).
En estudios comparativos realizada por Speranza et al. (2013) en el cuenca alta y baja del río de La Plata, Argentina estudiando la especie Prochilodus lineatus, se demostró que el detrito presente en la cuenca baja del río La Plata presentaba contaminación antrópica y el detrito de la cuenca alta no presentaba contaminación, al comparar los resultados de los individuos se encontró que el pescado contaminado de Buenos Aires (cuenca baja) presentó hígado agrandado (ÍHS 1,4 ± 0,4) y altos niveles de colesterol y triglicéridos, confirmando la teoría de (Páez et al., 2008). La ciénaga CA presentó los valores más altos (1,22 ± 0,19), teniendo en cuenta su bajo nivel de contaminación antrópica, se considera que el resultado obtenido representa más una acumulación energética por disponibilidad de alimento; caso contrario a la ciénaga SH (0,98 ± 0,28) que presenta un mayor grado de contaminación agrícola e influencia del río Magdalena con alto grado de contaminantes (ONF Andina, 2014).
El desarrollo gonadal está directamente relacionado con el estado fisiológico y las variables ambientales (Jiménez-Segura et al., 2010; Mancera-Rodríguez, 2017; Ribeiro et al., 2007), variables que son influyentes en peces migratorios. P. magdalenae cuando se encuentran en estado gonadal III y IV interrumpen su actividad alimenticia para emprender su viaje migratorio de desove. Las hembras con mayor (IGS) fueron las encontradas en la ciénaga CH y en la ciénaga de SH (Tabla 3).
De acuerdo con Jiménez-Segura et al. (2010) y Silva y Stewart (2017), los peces del género Prochilodus emprenden su migración hacía los ríos en una etapa inmadura y desarrolla sus gónadas durante este recorrido, durante este estudio se evidencio que algunos individuos capturados dentro de las ciénagas se encontraban en un estado avanzado de maduración, hallazgo que muestra un cambio de tendencia o adaptación de esta especie; aunque en la mayoría de los casos P. magdalena fueron encontrados en etapas inmaduras en todos los sitios de muestreo.
El análisis de muestreos indico que las variables biométricas de peces colectados en la ciénaga CH y CA son similares. Se observaron valores bajos para las variables LT y PT en la ciénaga de SH, esta condición puede generar alteraciones en el crecimiento isométrico (Tabla 1).
En el análisis de datos se observa que el IGS en el estado gonadal IV presentó diferencias significativas con los demás estados en la ciénaga CH, para el mes de febrero ya se encontraban organismos maduros y dispuestos migrar especialmente por el río Cesar, y el mismo caso aconteció en la ciénaga de SH, pero en la ciénaga CA el IGS presentó diferencia significativa con la ciénaga CH (Tabla 2). La ciénaga CA presente condiciones diferentes al resto de las ciénagas, por su formación geológica, variables físico-químicas, mayores profundidades, pH (7,5 – 8,0), mayor productividad primaria y menos recambio de agua directo de un sistema lotico, como si ocurre en otras ciénagas, CA es una zona intermedia donde confluye la fauna íctica proveniente de río Magdalena y Cesar (Rangel-Ch, 2012).
La alta presencia de organismos desovados (estado V) en todas las ciénagas para los meses de mayo y junio fue un patrón, lo que se considera que estas ciénagas son zonas de recuperación física y energética de las especies reofilicas, ya que después del desove retornan a las ciénagas para reiniciar el ciclo reproductivo (Jiménez-Segura et al., 2010; Kerguelén-Durango y Atencio-García, 2015). Teniendo en cuenta las precipitaciones y el IGS se puede apreciar que la precipitación más la cercanía de un río, promueve la reproducción (Figura 4).
El análisis tisular complemento la información sobre la estrategia de maduración de los ovarios y la reproducción propiamente, siendo que se trata de una especie que inicia la maduración de lotes de ovocitos durante un ciclo hidrológico de manera que desova durante el periodo conforme el número de lotes de ovocitos que madura, constituyéndose así en una especie de maduración sincrónica y desove parcial, esta estrategia de maduración parcial corresponde a la disponibilidad energética de los peces, por lo tanto esta especie no madura un número de ovocitos mayor al que energéticamente no puedo albergar y transportar durante la migración.
De acuerdo con los estudios realizados por Vicentin et al. (2012) en el río Miranda en Brasil, y Jiménez-Segura et al. (2010) en el río Magdalena, reportaron que los mayores IGS fueron encontrados para los meses entre septiembre y diciembre, época de altas precipitaciones, cabe destacar que estos estudios fueron realizados en ríos, por esa razón muestra diferencias con este estudio, dado que los peces migran a los esteros (ríos) antes de las lluvias, por lo tanto, en época de lluvia es fácil encontrar grupos de individuos migrando río arriba en EG avanzado. Generando tema de discusión para las poblaciones de P. magdalenae presentes en las ciénagas de la región caribe. Para evitar estos problemas es importante mantener monitoreos genéticos y reproductivo de las poblaciones silvestres en estos cuerpos de agua.
Conclusiones
Los aspectos reproductivos de P. magdalenae mostraron diferencias entre los individuos encontrados en la ciénaga de SH al resto de ciénagas, ya que presentó la relación talla-peso, la longitud total, longitud estándar y el factor de condición (K) más bajo durante los nuestros. Las ciénagas CA y CH si mostraron una relación talla-peso acorde a lo reportado con otros trabajos; de estos resultados sé considera que la ciénaga SH presenta problemas que están afectando el crecimiento y la reproducción de P. magdalenae, sometiendo a la especie a condiciones desfavorables en cuanto a la alimentación y supervivencia, dado que durante todo el año se encontraron individuos con tallas y pesos bajos.
El IGS solo mostró un pico de maduración anual en el desarrollo gonadal en la ciénaga CH, resultado correlacionado con la precipitación, considerando esta ciénaga como la de mayor importancia reproductiva. La ciénaga CA no mostró picos reproductivos, pero sí se encontraron picos en el IHS, indicando que la ciénaga presenta una buena disponibilidad de alimento para la especie. De lo anterior se puede considerar que algunos individuos inicien el proceso de maduración dentro de las ciénagas.
Agradecimientos
Se agradece a las asociaciones de pescadores de las diferentes ciénagas en estudio, y al financiamiento del proyecto “Influencias antrópicas en hembras de Prochilodus magdalenae en el complejo cenagoso de la Zapatosa)” otorgando por la Gobernación del Departamento del Cesar a través del macroproyecto: Consolidación de las Capacidades de Ciencia, Tecnología E Innovación del Sector Agropecuario del Departamento del Cesar - Componente Acuícola y Pesquero.
Bibliografía
1. Allan, J. D., Abell, R., Hogan, Z. E. B., Revenga, C., Taylor, B. W., y Welcomme, R. L. (2005). Overfishing of Inland Waters. BioScience, 55(12).
2. Alonso, J. C., Escobar, C. J., Polo, V. (2014). Aguas continentales. In: Alonso, J. C. (Ed.), Estado de los principales recursos pesqueros de Colombia (pp. 164-213).
3. Atencio, V. G., Kerguelén, E. D., El Naar, E., Petro, R. (2013). Desempeño reproductivo del bocachico prochilodus magdalenae inducido dos veces en un mismo año. Revista MVZ Córdoba, 18(1): 3304-3310.
4. Cifuentes, R., González, J., Montoya, G., Jara, A., Ortíz, N., Piedra, P., Habit, E. (2012). Relación longitud-peso y factor de condición de los peces nativos del río San Pedro (cuenca del río Valdivia, Chile). Gayana (Concepción), 76: 86-100.
5. FAO (2014). Colombia Pesca en Cifras.
6. Froese, R. (2006). Cube law, condition factor and weight-length relationships: History, meta-analysis and recommendations. Journal of Applied Ichthyology, 22(4): 241-253.
7. Jaramillo-Villa, U., Jiménez-Segura, L. F. (2008). Algunos aspectos biológicos de la población de Prochilodus magdalenae en las ciénagas de Tumaradó (Río Atrato), Colombia. Actualidades Biológicas, 30(88): 55-66.
8. Jiménez-Segura, L. F., Palacio, J., Leite, R. (2010). River flooding and reproduction of migratory fish species in the Magdalena River basin, Colombia. Ecology of Freshwater Fish, 19(2), 178-186.
9. Jiménez-Segura, L. F., Restrepo-Santamaría, D., López-Casas, S., Delgado, J., Valderrama, M., Álvarez, J., Gómez, D. (2014). Ictiofauna y desarrollo del sector hidroeléctrico en la cuenca del río Magdalena-Cauca, Colombia. Biota Colombiana, 15(2): 3-25.
10. Kerguelén-Durango, E., Atencio-García, V. (2015). Environmental characterization of the reproductive season of migratory fish of the Sinú river (Cordoba, Colombia). Revista MVZ Cordoba, 20(3), 4766-4778.
11. Mancera-Rodríguez, N. J. (2017). Reproductive biology of Brycon henni (Teleostei: Bryconidae) and conservation strategies for the Nare and Guatapé rivers, Magdalena River Basin, Colombia. Revista de Biologia Tropical, 65(3): 1105-1119.
12. ONF Andina (2014). Plan de Manejo Ambiental del Complejo de Humedales del Sur del Departamento del Cesar. ONFA, ONFI, CORPOCESAR. Valledupar, Cesar. Colombia.
13. Páez, Y. C., Betancourt, C. A., González-Sansón, G. (2008). Indicadores morfológicos y reproductivos del pez Gambusia puncticulata (Poeciliidae) en sitios muy contaminados del río Almendares, Cuba. Revista de Biologia Tropical, 56(4): 1991-2004.
14. Rangel-Ch, J. (2012). Colombia Diversidad Biótica. Publicación Especial No. 7. Las ciénagas del departamento del Cesar: Zapatosa y ciénagas del Sur, Biodiversidad y Conservación. (I. de C. N. U. N. De Colombia, Ed.). Bogotá D.C. Colombia.
15. Restrepo, J. C., Restrepo, J. D. (2013). Efectos naturales y antrópicos en la producción de sedimentos de la cuenca del río Magdalena. Revista de La Academia Colombiana de Ciencias Exactas, Físicas y Naturales, 29(111): 239-254.
16. Ribeiro, V. M. A., Santos, G. B., Bazzoli, N. (2007). Reproductive biology of Steindachnerina insculpta (Fernandez-Yépez) (Teleostei, Curimatidae) in Furnas reservoir, Minas Gerais, Brazil. Revista Brasileira de Zoologia, 24(1): 71-76.
17. Ríos-Pulgarín, M. I., Jiménez-Segura, L. F., Palacio, J. A., Ramírez-Restrepo, J. J. (2008). Comunidad de peces en la ciénaga de Ayapel, río Magdalena (Córdoba) Colombia: cambios espacio-temporales en su asociación. Actual Biol, 30(88): 29-53.
18. Silva, E. A., Stewart, D. J. (2017). Reproduction, feeding and migration patterns of Prochilodus nigricans (Characiformes: Prochilodontidae) in northeastern Ecuador. Neotropical Ichthyology, 15(3), 1-13.
19. Speranza, E. D., Tatone, L. M., Cappelletti, N., Colombo, J. C. (2013). Cost-benefit of feeding on anthropogenic organic matter: Lipid changes in a detritivorous fish (Prochilodus lineatus). Ichthyological Research, 60(4): 334-342.
20. Vazzoler, A. E. (1996). Biologia da reprodução de peixes teleósteos: teoria e prática. São Paulo., Brasil: (SBI).
21. Vicentin, W., Rocha, A. S., Rondon, P. L., Costa, F. E. dos S., Súarez, Y. R. (2012). Parâmetros populacionais, período reprodutivo e crescimento de Prochilodus lineatus (characiformes, prochilodontidae) na cabeceira do Rio Miranda, Alto Rio Paraguai. Oecologia Australis, 16(4): 891-904.