Estudo de caso
Resumo: Este é um estudo do caso de um lactente de um ano e seis meses portador de doença falciforme com internação prolongada para o tratamento de osteomielite em diversos ossos de membros superiores e inferiores no Hospital de Clínicas da Universidade Federal do Triângulo Mineiro (UFTM). O caso foi relatado baseado na análise retrógrada de prontuário médico. O paciente descrito realiza acompanhamento no Serviço de Hematologia Pediátrica do Hemocentro Regional de Uberaba – Fundação Hemominas. Os achados são compatíveis com os encontrados na literatura e evidenciam que o diagnóstico precoce e a terapêutica oportuna colaboram para a redução das sequelas da osteomielite.
Palavras-chave: Anemia falciforme, Lactente, Osteomielite.
Abstract: This is a case study which aims to describe the case of an infant of a year and six months with sickle cell disease with prolonged hospital stay for treatment of osteomyelitis in many bones of the upper and lower limbs at the UFTM. The case was reported by retrograde analysis of medical records. The patient described performs monitoring in pediatric hematology service of the Regional Blood Bank of Uberaba - Hemominas Foundation, MG/Brazil. The findings are consistent with those found in the literature and show that early diagnosis and timely treatment collaborate to reduce the sequelae of osteomyelitis.
Keywords: Sickle cell, Infant, Osteomyelitis.
Resumen: Este es un estudio de caso que tiene como objetivo describir el caso de un lactante de un año y seis meses portador de la enfermedad de células falciformes con internación prolongada para el tratamiento de osteomielitis en diversos huesos de los miembros superiores e inferiores en el Hospital de Clínicas de la Universidad Federal do Triângulo Mineiro (UFTM). El caso fue relatado a partir del análisis retrógrado a partir de la historia clínica. El paciente descripto realiza acompañamiento en el Servicio de Hematología Pediátrica del Hemocentro Regional de Uberaba – Fundación Hemominas, MG/Brasil. Los hallazgos son compatibles con los encontrados en literatura y evidencian que el diagnóstico precoz y la terapia oportuna colaboran para la reducción de las secuelas de la osteomielitis.
Palabras clave: Anemia de células falciformes, Lactante, Osteomielitis.
INTRODUÇÃO
A doença falciforme (DF) é a hemoglobinopatia mais frequente no Brasil e é considerada problema de saúde pública. Constitui uma das doenças hereditárias mais comuns no mundo, surgindo de uma mutação originada na África, e vitimando especialmente afrodescendentes no país. O diagnóstico é feito precocemente por meio do teste de triagem neonatal/teste do pezinho1. Desde o momento do diagnóstico, o paciente acometido já é encaminhado ao serviço especializado para acompanhamento.
Na doença falciforme ocorre a substituição do ácido glutâmico pela valina na cadeia beta da hemoglobina, gerando deformidade estrutural da hemoglobina associada à presença da hemoglobina S. Pode se apresentar sob as seguintes formas: homozigótica (SS) e heterozigótica (genótipos AS, SC e S-talassemia)2.
Os eritrócitos cujo conteúdo predominante é a hemoglobina S assumem, em condições de hipóxia, forma semelhante à de uma foice, decorrente da polimerização da hemoglobina S. Os glóbulos vermelhos em forma de foice não circulam adequadamente na microcirculação, resultando tanto em obstrução do fluxo sanguíneo capilar como em sua própria destruição precoce2.
Dessa forma, muitas complicações podem surgir, como: crises álgicas, síndrome torácica aguda, febre consequente à infecção, asplenia funcional, crise aplásica, sequestro esplênico, litíase biliar e acidente vascular cerebral.
As infecções constituem complicações frequentes da doença falciforme. Dentre elas, tem-se a osteomielite, que corresponde a uma inflamação óssea, usualmente causada por infecção bacteriana ou fúngica e pode permanecer localizada ou difundir-se, comprometendo medula, parte cortical, parte esponjosa e periósteo. Dependendo do comprometimento, pode afetar diversos ossos, levando a um tratamento prolongado, realizado geralmente intra-hospitalar e com riscos de levar a sequelas ósseas a longo prazo, de forma a prejudicar, inclusive, o crescimento ósseo e o desenvolvimento estatural de pacientes afetados.
Este estudo tem como objetivo descrever o caso de um lactente de um ano e seis meses portador de doença falciforme com internação prolongada para o tratamento de osteomielite em diversos ossos de membros superiores e inferiores no Hospital de Clínicas da Universidade Federal do Triângulo Mineiro (UFTM).
MÉTODO
Este é um estudo de caso que utilizou a análise retrógrada de prontuário de paciente, por informes clínicos levantados no prontuário do paciente no hospital e no serviço de hemoterapia regional.
O Hospital de Clínicas da Universidade Federal do Triângulo Mineiro (HC/UFTM) possui o serviço de arquivo médico, onde são armazenados os prontuários de todos os pacientes registrados que já receberam algum atendimento no serviço.
Utilizou-se também o prontuário próprio do Hemocentro Regional de Uberaba, onde o paciente realiza acompanhamento regular devido à doença falciforme. O caso em questão descreve um atendimento de 2016.
Apresentam-se dados clínicos e também exames de imagem de evolução da osteomielite armazenados em programa eletrônico do hospital e cedidos pela equipe de radiologia.
Para efeitos de proteção do paciente e família, não se usou nomes e houve autorização da família para publicação, bem como, se obteve autorização da direção hospitalar para descrição e publicação.
RESULTADOS
Um lactente, um ano e seis meses, previamente portador de doença falciforme, com internações anteriores por crises álgicas, foi admitido no Pronto Socorro do HC-UFTM em fevereiro de 2016 devido a sequestro esplênico, sendo adequadamente tratado. Entretanto evoluiu com síndrome febril com necessidade de antibióticos.
Na mesma internação, apresentou edema doloroso em mãos e pés acompanhado de hipertermia, sendo aventada a hipótese de dactilite. Não houve melhora, e o paciente permanecia febril com edema nos pés.
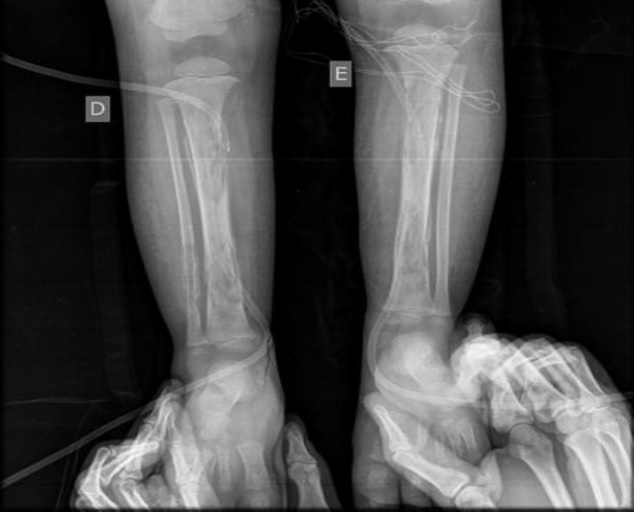
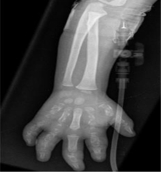
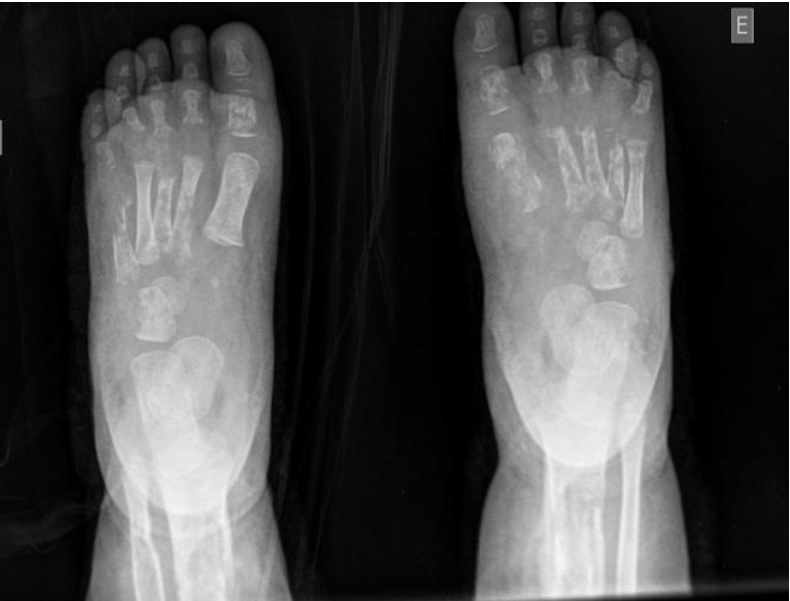
Em ultrassonografia de membros inferiores, foram confirmados abscessos nos pés. Na investigação, foi diagnosticada a osteomielite que acometia úmero, tíbia, ossos dos pés e das mãos bilateralmente. Foi feita drenagem contínua de lojas de secreção purulenta na região das tíbias.
As radiografias confirmaram o diagnóstico de osteomielite (Figuras 1 a 5). Em culturas de secreção tibial, foram isolados Escherichia coliESBL e Proteus mirabilis, sensíveis a imipenem e amicacina. Dessa forma, optou-se por tratamento com antibioticoterapia parenteral, ao longo de tempo prolongado de internação.
Além disso, foi indicado tratamento adjuvante com câmara hiperbárica, sendo realizadas trinta sessões. Manteve-se a antibioticoterapia por oito semanas. Na alta hospitalar, foram prescritos amoxicilina e clavunalato por quatro meses e tala gessada por 60-90 dias segundo avaliação da ortopedia. Ambulatorialmente, prolongou-se o tratamento por mais cinco meses.





DISCUSSÃO
Em até 12% dos portadores de anemia falciforme, a osteomielite pode acontecer. Os ossos mais atingidos são fêmur, tíbia e úmero. Os principais agentes etiológicos são Salmonella, Staphylococcus e bacilos gram negativos entéricos. No caso descrito, os agentes isolados foram Proteus mirabilis e Escherichia coli2.
Como consequência do infarto ósseo, ocorreu necrose da medula óssea, predispondo à osteomielite e à artrite séptica. São complicações mais comuns no sexo masculino (2:1), sendo rara a ocorrência abaixo de um ano de idade, o que torna esse caso compatível com a estatística, apesar da pouca idade do paciente3.
O paciente descrito apresentou quadro clínico compatível com osteomielite, como dor, edema, calor, rubor, sensibilidade local aumentada e febre. Os ossos são o segundo órgão mais afetado pela doença falciforme, depois do baço4.
Foram realizadas radiografias seriadas e o consequente tratamento cirúrgico de drenagem de abscessos e colocação de drenos. Não foram realizadas cintilografias e ressonância magnética, uma vez que o diagnóstico se fez tardiamente com o quadro já instalado de forma importante. Esses últimos exames contribuiriam para um diagnóstico mais precoce. Não foi realizada biópsia óssea das áreas acometidas, exame eventualmente necessário1. Em alguns casos, radiografias podem estar normais4, porém, em outros, como no caso descrito, elas se apresentam alteradas, conforme visto nas imagens.
Foi necessária antibioticoterapia prolongada com imipenem, vancomicina, amicacina e clindamicina devido ao perfil de sensibilidade em antibiograma e à internação prévia com osteomielite. A escolha dos antibióticos é geralmente direcionada pelo microorganismo detectado; caso haja evidência de acúmulo de fluidos no sítios acometidos pela infecção, a drenagem é recomendada5.
Houve indicação de sessões de câmara hiperbárica para melhora da cicatrização dos pontos de drenagem e das lesões causadas pela osteomielite com bons resultados.
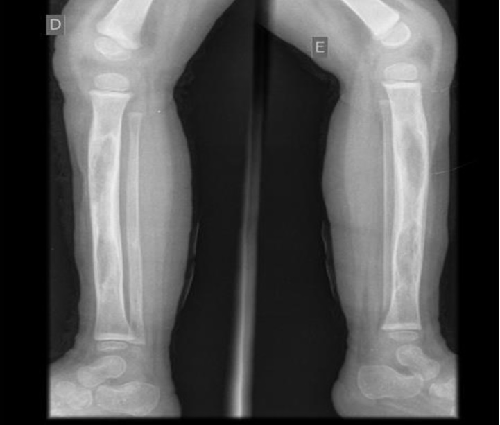
Em seguimento ambulatorial, o paciente apresenta padrão radiológico melhor, como evidenciado em radiografia recente, ausente o atraso no crescimento, uma vez que placas epifisárias não se mostram afetadas. Permaneceu em antibioticoterapia estendida por mais cinco meses além do programado na alta hospitalar e isento de complicações novas por osteomielite. Internações devido às crises álgicas ou outros tipos de infecções já foram registradas.
Uma equipe multidisciplinar com fisioterapeutas, terapeutas ocupacionais e psicólogos, além dos médicos e enfermeiros, foi solicitada a abordar o caso de forma a promover progressão na recuperação do paciente.
Discutiu-se, durante a internação, sobre o prognóstico do paciente e as possíveis sequelas, sendo considerado até mesmo o óbito; mas, após meses de tratamento, percebeu-se que as sequelas foram as mínimas, e o paciente segue com desenvolvimento favorável.
CONCLUSÃO
O diagnóstico precoce de osteomielite aliado ao tratamento breve com antibioticoterapia evita complicações ao paciente. No entanto, não só o tratamento clínico é suficiente, sendo necessários, por vezes, irrigação e desbridamento cirúrgico da região afetada. No caso, um tratamento com sessões de câmara hiperbárica foi necessário, apresentando-se como mais uma opção para melhor resolução do quadro.
Tratamento prolongado intra-hospitalar e acompanhamento extra-hospitalar de longa duração constituem condutas essenciais uma vez que o crescimento e desenvolvimento estatural pode ser afetado.
Antibioticoterapia extra-hospitalar pode ser prescrita por tempo prolongado a depender da gravidade e da evolução de cada paciente.
Pacientes portadores de comorbidades, como a doença falciforme, podem apresentar outras complicações durante o tratamento, o que o torna mais prolongado – havendo, porém, possibilidade de evolução satisfatória.
REFERÊNCIAS
1. Cançado RD, Jesus JA. A doença falciforme no Brasil. Rev Bras Hematol Hemoter. 2007; 29(3):204-6.
2. Brunetta DM, Clé DV, TM, Roriz-Filho JS, Moriguti JC. Manejo das complicações agudas da doença falciforme. Medicina (Ribeiräo Preto) [Internet]. 2010 [citado em 20 nov 2016]; 43(3):231-7. Disponível em: http://revista.fmrp.usp.br/2010/vol43n3/Simp2_Manejo%20das%20complica%E7%F5es%20agudas%20da%20doen%E7a%20falciforme.pdf.
3. Di Nuzzo DVP, Fonseca SF. Anemia falciforme e infecções. J Pediatr. 2004; 80(5):347-54.
4. Silva Junior GB, Daher, Francesco E, Rocha FAC. Osteoarticular involvement in sickle cell disease. Rev Bras Hematol Hemoter. 2012; 34(2):156-64.
5. Almeida A, Roberts I. Bone involvement in sickle cell disease. Br J Haematol. 2005; 129:482-90.
Autor notes