Artículo
Queilitis actínica: Reporte de tres casos y revisión de literatura
Actinic Cheilitis: Report of Three Cases and Review of Literature
Queilitis actínica: Reporte de tres casos y revisión de literatura
Odovtos International Journal of Dental Sciences, vol. 20, núm. 3, pp. 33-42, 2018
Facultad de Odontología. Universidad de Costa Rica
Recepción: 15 Noviembre 2017
Aprobación: 08 Febrero 2018
RESUMEN: La queilitis actínica (QA) es un desorden potencialmente maligno del labio inducido por la exposición crónica a la luz ultravioleta, que afecta principalmente al bermellón del labio inferior de personas adultas y de piel clara. Si no es tratada en forma oportuna puede transformarse en un carcinoma de células escamosas del labio. Histológicamente la QA presenta una serie de alteraciones a nivel epitelial que van desde hiperplasia a displasia; en el tejido conectivo se presentan distintos grados de elastosis actínica acompañada por infiltrado inflamatorio. El objetivo de este trabajo es presentar tres casos de pacientes con QA y analizar sus características clínicas e histopatológicas.
PALABRAS CLAVE: Queilitis actínica, Displasia epitelial, Carcinoma de células escamosas.
ABSTRACT: Actinic cheilitis (AC) is a potentially malignant lip disorder induced by chronic exposure to ultraviolet light, which mainly affects the vermilion of the lower lip of adults and fair skin. If it is not treated in a timely manner it can become a squamous cell carcinoma of the lip. Histologically, AC presents a series of alterations at the epithelial level ranging from hyperplasia to dysplasia; Connective tissue presents different degrees of actinic elastosis accompanied by inflammatory infiltrate. The objective of this work is to present three cases of patients with AC and analyze their clinical and histopathological characteristics.
KEY WORDS: Actinic cheilitis, Epithelial dysplasia, Squamous cell carcinoma.
INTRODUCCIÓN
La queilitis actínica (QA) es una enfermedad que afecta principalmente al bermellón del labio inferior en personas adultas y de piel clara, inducida por la exposición regular y prolongada a la luz ultravioleta (UV) 1)- (4).
Se le considera un desorden potencialmente maligno (DPM), presenta alteraciones epiteliales que pueden dar origen a un carcinoma de células escamosas (CCE) del labio 5)- (7).
Clínicamente la QA se caracteriza en forma aguda por eritema, descamación, induración, erosión y/o fisuras o úlceras en el bermellón del labio 4), la exposición repetida a la radiación UV durante largo tiempo produce cambios crónicos como aparición de manchas, pérdida de elasticidad, leucoplasia labial y borramiento del límite cutáneo-mucoso labial 2), (4), (8)-( 9).
El bermellón del labio inferior es particularmente susceptible a la radiación UV, debido a sus características topográficas y estructurales de tejido de transición entre piel y mucosa oral; se encuentra cubierto por un epitelio fino, de pocas capas celulares, que contiene menos melanina y carece de glándulas sudoríporas y sebáceas, que ejercen un rol protector contra la luz UV en la piel 10). Además recibe la radiación UV de forma más directa y perpendicular que el labio superior 11).
En los estadios tempranos de la QA el epitelio se observa con hiperqueratosis, ya sea orto o paraqueratosis, atrofia epitelial, hiperplasia y en estadios posteriores puede presentarse algún grado de displasia intraepitelial 4), (8). En el tejido conectivo se observa siempre la presencia de elastosis (en distintos grados) 12), en la mayoría de las lesiones de QA se observa un infiltrado inflamatorio crónico de distinta intensidad y la aparición de vasos sanguíneos telangiectásicos 8).
Actualmente, el estándar de oro para el diagnóstico QA es la inspección visual seguido por la biopsia e histología 13).
El objetivo de este trabajo es presentar tres casos de pacientes atendidos en la Universidad de Costa Rica, los cuales presentaron queilitis actínica y analizar sus características clínicas e histopatológicas.
REPORTE DE CASOS
CASO 1
Mujer de 56 de años, costarricense, soltera, secretaria, vecina de Hatillo 6. La historia médica reporta que hace 5 años le realizaron eliminación con críoterapia lesiones precancerosas en ambos pómulos. No presenta contraindicaciones sistémicas. No toma medicamentos actualmente. Refiere no tomar bebidas alcohólicas, fumó un paquete de cigarrillos diario durante 33 años lo dejó hace 8 años. Al realizar el examen clínico se observó bermellón inferior con resequedad, fisuras, descamación y lado izquierdo de la línea media zona de pigmentación melánica levemente indurada alrededor, paciente menciona que a veces se le ulcera y que le ha ido creciendo e intensificado su coloración en los últimos meses (Figura 1A,1B), refiere no usar ningún tipo de protector labial con factor de protección solar (FPS) sólo a veces se pintura los labios, pero muy poco se maquilla. El color del cabello es castaño, ojos cafés y piel blanca con múltiples efélides y máculas sobretodo en los pómulos y nariz. No se palparon adenopatías.
Considerando los antecedentes de la paciente bajo el diagnóstico clínico de mácula melanótica vs melanoma se procedió a realizar biopsia excisional de la lesión pigmentada. El análisis histopatológico reveló elastosis actínica y pigmentación postinflamatoria (Figura 1C,1D).
Se le recomendó el uso de protector solar labial (FPS 30) tres veces al día mínimo y de ser posible no asolearse. Se le realizaron controles durante 6 años y no han aparecido lesiones nuevas y el bermellón luce humectado (Figura 2).
CASO 2
Hombre de 55 de años, costarricense, casado, chofer, vecino de Heredia. La historia médica reporta no presentar contraindicaciones sistémicas. No toma medicamentos actualmente. Refiere no tomar bebidas alcohólicas, fumó por 40 años un paquete diario de cigarrillos lo dejó hace 3 años. Al realizar el examen clínico se observó bermellón inferior fisurado con aspecto levemente moteado: presencia de áreas eritematosas en medio de placas y máculas blanquecinas y cafés (Figura 3A), refiere no usar protector labial con FPS. No se palparon adenopatías, ni se observaron alteraciones de contorno facial, piel blanca, color de cabello castaño y ojos cafés.
Bajo el diagnóstico clínico de queilitis actínica se le realizó biopsia excisional de la lesión al lado derecho de la línea media. El análisis histopatológico reveló queilitis actínica con displasia moderada y márgenes libres (Figura 3B,C).
Se le explicó la importancia de su condición y el uso diario de protector solar labial (FPS 30) mínimo tres veces al día y no asolearse de ser posible entre las 11:00 am y 3:00 pm, se le recomendó utilizar sombrero.
A pesar que se le enfatizó en los controles estrictos por un tiempo no los tuvo y luego de 4 años nuevamente se le realizó biopsia de otra lesión en bermellón inferior en el lado izquierdo, se trataba de una placa blanca, indurada, en relación a un bermellón muy reseco y con pérdida de línea divisoria cutánea (Figura 4A,B). El análisis histopatológico reveló queilitis actínica con displasia leve (Figura 4D,E). Al control de los dos meses se observó muy buena cicatrización sin comprometer grandemente la estética del paciente y su funcionalidad labial estaba conservada (Figura 4C).
CASO 3
Hombre de 65 de años, costarricense, casado, cuida carros, vecino de San José. La historia médica reporta hipertensión arterial, medicado con amlodipina 20mg 1 vez al día y aspirinita 1 vez al día. Refiere beber seis tragos de bebidas alcohólicas una vez por semana, ha fumado durante treinta años tres paquetes diarios de cigarrillos. Al realizar el examen clínico se observó bermellón de labio inferior con resequedad, alteración de la línea de transición cutánea, edema, áreas eritematosas, úlceras y costras, fisuras, adelgazamiento del bermellón y zonas leucoplásicas (Figura 5A,B), refiere que no utiliza protector labial con FPS. No se palparon adenopatías. En cara y la piel expuesta al sol se observó reseca y con lesiones descamativas, tipo queratosis actínica (Figura 5C,D), color de ojos azules y piel blanca, el paciente refiere que su cabello era castaño oscuro.
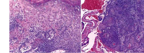
Bajo el diagnóstico clínico de queilitis actínica y alta sospecha de CCE se le realizaron dos biopsias incisionales del bermellón inferior. El análisis histopatológico reveló en una de las muestras queilitis actínica con displasia leve (Figura 6A) y en la otra carcinoma de células escamosas muy bien diferenciado (Figura 6B).
Se le realizó control post biopsia a los veintidós días (Figura 7) y se le indicó al paciente que el CCE que presentaba debía ser tratado a nivel hospitalario, por lo que fue referido al Hospital Calderón Guardia; así mismo se le recomendó utilizar diariamente sombrero de ala ancha y protector solar en piel y labios mínimo tres veces Los tres pacientes dieron por escrito al día, procurando entre lo posible no asolearse su consentimiento libre e informado para la entre las 11:00 am y 3:00 pm. publicación de sus casos.







DISCUSIÓN
Se ha estimado que la radiación UV representa aproximadamente el 93 % de los cánceres de piel y alrededor de la mitad de los cánceres labiales 14).
La QA se caracteriza por alteraciones en el epitelio y el tejido conectivo inducidas principalmente por la sobreexposición a la luz UV 15)- (16, afecta el labio inferior en más del 95% de los casos 1), (8), (17.
Aunque la radiación solar es el factor más importante de riesgo para el desarrollo de QA, no es el único. Se ha reportado que el tabaco es un factor de riesgo elevado cuando interacciona con la exposición solar 18. Algunos otros factores asociados son el abuso de alcohol, raza blanca, predisposición genética, estado inmunosupresor, mala alimentación y la situación socioeconómica 19)- (20. En los tres casos presentados los pacientes tenían el antecedente de fumar por más de treinta años y todos eran de piel blanca.
En la distribución por la edad la QA se presenta en la quinta década mostrándose la mayoría de los casos entre 40 y 70 años 17, esto es explicable pues el daño producido por la radiación UV es acumulativo, por ello no se observan frecuencias elevadas en población joven 17, nuestros casos reportados superaban los 55 años de edad.
La QA se presenta a menudo en personas expuestas a la radiación UV debido al trabajo al aire libre 8), (2), (21). Diferentes estudios en los que se han analizado distintas ocupaciones coinciden en que es más importante el número de horas de exposición solar que el trabajo analizado como factor de riesgo 22)- (25. Es decir, la exposición acumulativa a la radiación UV es la causa más importante de QA 8. De los tres casos presentados el último fue el que refirió jornadas de trabajo con alta exposición UV sin protección solar durante años, presentando además de la QA un CCE en labio inferior.
La QA predomina en hombres. Diferentes estudios muestran una menor incidencia de QA y CCE de labio en la mujer que en el hombre 17), (26)- (28. Se considera que esto se debe a una menor frecuencia de trabajo al aire libre y al uso de cosméticos y filtros solares, los cuales, proporcionan un efecto protector a la radiación UV 9), (29). De los casos presentados el de la mujer fue clínica e histológicamente daño actínico por fotoenvejecimiento.
Los signos clínicos en el labio asociados con el desarrollo de CCE o displasia severa incluyen la existencia de una marcada apariencia roja y blanca en el bermellón, atrofia generalizada con leucoplasia labial, la aparición de fisuras con escamas y costras localizadas y un borde bermellón indistinguible 2), (9. Aunque no todas las leucoplasias progresan a cáncer, el potencial de transformación maligna es bien conocido, estudios sugieren una tasa de transformación maligna del 8% al 18 % 30. En nuestros casos reportados conforme la clínica mostraba signos de mayor daño solar acumulado, a nivel histológico en la lesión se observó mayor progresión por daño actínico.
Los labios son una zona de fácil inspección por el clínico, pero muchas veces son pasados por alto al examen de rutina. En definitiva, el diagnóstico precoz del QA es la clave, en el caso presentado número tres le podría haber significado una detección temprana de la lesión y así evitado el deterioro en la calidad de vida del paciente.
Se debe extender la capacitación para que los odontólogos realicen como parte de su práctica rutinaria un tamizaje de cáncer oral y ante una lesión sospechosa de malignidad realizar la biopsia correspondiente (31), así mismo, educar a la población en el tema, el uso de filtros solares debería ser introducido temprano en la infancia y continuó a lo largo de la vida.
CONCLUSIONES
Es de suma importancia que los profesionales del área de la salud y en especial los odontólogos generales se familiaricen con el diagnóstico y sobre todo prevención de la QA, esta última es fundamental y se deben dar indicaciones a todo paciente sobre la protección de los labios y minimizar los factores de riesgo, sobretodo la exposición a la radiación solar.
AGRADECIMIENTOS
Se le agradece a la Dra. Alejandra Jiménez Prado y a la Dra. Treicy Porras por las fotos clínicas del caso tres.
CONFLICTO DE INTERESES
Ninguno declarado.
REFERENCIAS
Main J. H., Pavone M. Actinic cheilitis and carcinoma of the lip. J Can Dent Assoc. 1994; 60: 113-6.
Markopoulos A., Albanidou-Farmaki E., Kayavis I. Actinic cheilitis: clinical and pathologic characteristics in 65 cases. Oral Dis 2004; 10: 212-216.
de Souza Lucena E. E., Costa D. C., da Silveira E. J., Lima K. C. Prevalence and factors associated to AC in beach workers. Oral Dis. 2012; 18: 575-9.
Lopes M. L. D, de S., da Silva Júnior, F. L., Lima K, C., de Oliveira P, T., da Silveira É, J. D. Clinicopathological profile and management of 161 cases of actinic cheilitis. Anais Brasileiros de Dermatologia.2015; 90 (4): 505-512.
Menta Simonsen Nico, M., Rivitti E, A., Lourenço S, V., “Actinic cheilitis: histologic study of the entire vermilion and comparison with previous biopsy,” J. Cutan. Pathol. 2007; 34 (4): 309-314.
Jadotte Y. T., Schwartz R. A., “Solar cheilosis: an ominous precursor: part I. Diagnostic insights,” J. Am. Acad. Dermatol. 2012; 66 (2): 173-186.
Maia H. C, de M., Pinto N A, S., Pereira J, dos S., de Medeiros A M, C., da Silveira É J, D., Miguel M C, da C. Potentially malignant oral lesions: clinicopathological correlations. Einstein. 2016; 14 (1): 35-40.
Kaugars G. E., Pillion T., Svirsky J. A., Page D. G., Burns J. C., Abbey L. M. Actinic cheilitis. A review of 152 cases. Oral Surg. Oral Med. Oral Pathol. Oral Radiol Endod 1999; 88: 181-186.
Michaell A., Huber S., Geza T., Terezhalmy D. The patient with actinic cheilosis. Gen Dent. 2006; 6: 274-282.
Nicolau S. G., Baelus L. Chronic actinic cheilitis and cancer of the lower lip. Br J. Dermatol. 1964; 76: 278-89.
de Santana S., Da Costa M., Queiroz L., Godoy G., da Silveira E. Actinic cheilitis: clinicopathologic profile and association with degree of dysplasia. Int. J. Dermatol . 2014; 53 (4): 466-72.
Imayama S., Nakamura K., Takeuchi M., Hori Y.; Takema Y.; Sakaino Y.; Imokawa G. Ultraviolet-B irradiation deforms the configuration of elastic fibers during the induction of actinic elastosis in rats. J DermatolSci 1994; 7:32-8.
Cosci A., Nogueira M. S., Pratavieira S., Takahama A. Jr., Azevedo R. S., Kurachi C. Time-resolved fluorescence spectroscopy for clinical diagnosis of actinic cheilitis. Biomed Opt Express. 2016; 7 (10): 4210-4219.
Bauer A., Diepgen T. L., Schmitt, J. Is occupational solar ultraviolet irradiation a relevant risk factor for basal cell carcinoma? A systematic review and meta-analysis of the epidemiological literature. Br JDermatol . 2011; 165 (3): 612-25.
Picascia D. D., Robinson J. K. Actinic cheilitis: a review of the etiology, differential diagnosis, and treatment. J Am Acad Dermatol 1987; 17: 255-64.
van der Waal I. Potentially malignant disorders of the oral and oropharyngeal mucosa; terminology, classification and present concepts of management. Oral Oncol. 2009; 45: 317-23.
Ochsenius R., Germán; Ormeno Q., Andrea; Godoy R., Luis y Rojas, René. Estudio retrospectivo de 232 casos de cáncer y precáncer de labio en pacientes chilenos: Correlación clínico-histológica. Rev. méd. Chile. 2003; 131 (1): 60-66.
Lindqvist C. Risk factors in lip cancer: a questionnaire survey. Am J Epidemiol. 1979; 109 (5): 521-30.
Abreu M. A., Silva O. M., Neto Pimentel D. R., Hirata C. H., Weckx L. L., Alchorne M. M., et al. Actinic cheilitis adjacent to squamous carcinoma of the lips as an indicator of prognosis. Braz J Otorhinolaryngol. 2006; 72: 767-71.
Vieira R. A., Minicucci E. M., Marques M. E., Marques S. A. Actinic cheilitis and squamous cell carcinoma of the lip: clinical, histopathological and immunogenetic aspects. An. Bras. Dermatol . 2012; 87 (1): 105-114.
Cavalcante A. S. R., Anbinder A. L., Carvalho Y. R., “Actinic Cheilitis: Clinical and Histological Features,” J. Oral Maxillofac. Surg. 2008; 66 (3): 498-50.
Douglass C. W., Gammon M. D. The epidemiology of dental caries and its impact on the operative dentistry curriculum. J. Dent Educ. 1984; 48 (10): 547-55.
Khuder S. A. Etiologic clues to lip cancer from epidemiologic studies on farmers. Scand J Work Environ Health. 1999; 25 (2): 125-30.
Lindqvist C., Teppo L. Epidemiological evaluation of sunlight as a risk factor of lip cancer. Br J Cancer. 1978; 37 (6): 983-9.
Pukkala E., Söderholm A. L., Lindqvist C. Cancers of the lip and oropharynx in different social and occupational groups in Finland. Eur J Cancer BOral Oncol . 1994; 30B (3): 209-15.
Moore S, R., Allister, J., Roder, D., Pierce A M, Wilson D. F. Lip cancer in South Australia, 1977-1996. Pathology. 2001; 33 (2): 167-71.
King G. N., Healy C. M., Glover M. T., Kwan J. T., Williams D. M., Leigh I. M., Worthington H. V., Thornhill M. H. Increased prevalence of dysplastic and malignant lip lesions in renal-transplant recipients. N Engl J. Med. 1995; 332 (16): 1052-7.
Reichart P. A. Oral mucosal lesions in a representative cross-sectional study of aging Germans. Community Dent Oral Epidemiol. 2000; 28 (5): 390-8.
Luna-Ortiz K., Güemes-Meza A., VillavicencioValencia V., Mosqueda-Taylor A. Lip cancer experience in Mexico. An 11-year retrospective study. Oral Oncol . 2004; 40 (10): 992-9.
Brouns E., Baart J., Karagozoglu K., Aartman I., Bloemena E., van der Waal I. Malignant transformation of oral leukoplakia in a welldefined cohort of 144 patients. Oral Dis . 2014; 20: 19-24.
British Columbia Oral Cancer Prevention Program, BC Cancer Agency; College of Dental Surg eons of British Columbia. Guideline for the early detection of oral cancer in British Columbia 2008. J Can Dent Assoc. 2008; 74 (3): 245-253.