Case report
Alternativas clínicas para el uso de composites Bulk-Fill compactables y fluidos: Reporte de un caso paso a paso
Clinical Alternatives for the Use of Compactable and Flowable Bulk-Fill Composites: A Step-by-Step Case Report
Alternativas clínicas para el uso de composites Bulk-Fill compactables y fluidos: Reporte de un caso paso a paso
Odovtos International Journal of Dental Sciences, vol. 23, núm. 1, pp. 31-42, 2021
Facultad de Odontología. Universidad de Costa Rica
Recepción: 11 Noviembre 2018
Aprobación: 29 Enero 2019
Publicación: 11 Febrero 2019
Resumen: El uso de resinas compuestas Bulk-Fill para la restauración de dientes posteriores ha sido masificada en los últimos años en las diferentes disciplinas clínicas de la Odontología. Esto puede deberse principalmente a la simplicidad en la técnica de aplicación de este material ya que requiere de su inserción dentro de la preparación cavitaria en espesores de resina compuesta de hasta 4-5mm, lográndose una reducción considerable de tiempo de trabajo clínico. Ante la existencia de diferentes viscosidades de este tipo de resinas compuestas, ciertas dificultades han sido identificadas ante la selección de cada material Bulk-Fill en relación a las posibles combinaciones que se pueden realizar entre las diferentes marcas disponibles en el mercado, inclusive cuando se usan junto con resinas compuestas convencionales. El objetivo del siguiente reporte de caso, es mostrar dos posibilidades clínicas paso a paso utilizando inicialmente resinas Bulk-Fill compactable en un solo incremento para un segundo molar superior, y luego, a través de la combinación de resinas compuestas Bulk-Fill del tipo fluidas, junto a resinas compuestas Bulk-Fill compactables y resinas compuestas convencionales de estratificación para esmaltes de alto índice de refracción para un primer molar superior.
Palabras clave: Resina compuesta, Bulk-Fill, Bulk-Fill flow, Bulk-Fill compactable, Restauración Composite, Resina Directa.
Abstract: The use of Bulk-Fill composite resins to perform posterior restorations has been massified in recent years in the different clinical disciplines of Dentistry. This may be due mainly to the simplicity in the application technique of this material as it requires its insertion into the cavity preparation in 4-5mm of composite resin thickness, achieving a considerable reduction of clinical working time. Given the existence of different viscosities of this type of composite resins, certain difficulties have been identified before the selection of each Bulk-Fill material related to the possible combinations that can be made between the different brands available in the market, even when they are used with conventional composite resins. The purpose of the following case report, is to present two step-by-step clinical possibilities using initially, compactable Bulk-Fill composite resin in a single increment for the restoration of a second upper molar, and later, through the combination of Bulk-Fill flowable composite resin together with compactable Bulk-Fill composite resin and a high- refractive-index enamel-like conventional composite resin, for a first upper molar.
Keywords: Composite resin, Bulk-Fill, Bulk-Fill Flowable, Compactable Bulk-Fill, Composite Restoration, Direct Resin.
Introducción
El uso de los materiales adhesivos en los procedimientos restauradores ha tenido uno de los crecimientos más inmensurables de la Odontología actual, siendo quizás una de las mayores revoluciones de los últimos tiempos en esta disciplina (1).
No ajeno a esta revolución, las resinas compuestas han tenido un gran desarrollo tecnológico, el cual ha sido centrado principalmente en la reducción y resolución de los problemas asociados a un fenómeno físico-químico inherente a su composición como lo es la contracción de polimerización, fenómeno que se caracteriza por el acercamiento molecular de diferentes o iguales tipos de monómeros para formar una gran cadena tridimensional llamada polímero (2,3,4). Como resultado de este proceso, habrá un cambio volumétrico con una reducción dimensional que producirá estrés durante la contracción de polimerización cuando se restauran dientes posteriores, y que es responsable de la formación de deflexión cuspídea, microfiltración, caries secundaria, y sensibilidad post-operatoria (5,6).
A la vista de estos problemas, una nueva gama de resinas compuestas han aparecido con el nombre de resinas compuestas Bulk-Fill, cuya principal característica es su aplicación en incrementos de 4 a 5mm (7). Esta posibilidad de poder realizar incrementos en mayores espesores se debe al desarrollo en la dinámica de los fotoiniciadores y de la elevada translucidez, lo que permite mayor penetración de luz a mayores profundidades (8). Actualmente, las resinas compuestas Bulk-Fill han demostrado reducir el estrés de contracción de polimerización respecto a las resinas compuestas convencionales compactables y fluídas. Así también, presentan un grado de conversión comparable a los sistemas convencionales, y propiedades mecánicas que permiten poner a este material como una alternativa aceptable al momento de restaurar dientes posteriores (9,10,11,12).
Ante la compatibilidad que existe entre las resinas compuestas convencionales y las resinas compuestas Bulk-Fill, diferentes opciones clínicas para su uso se pueden encontrar. En la actualidad, estas últimas pueden utilizarse como un único material restaurador o en combinación con resinas compuestas convencionales, tanto para las resinas Bulk-Fill compactables como para aquellas que son fluídas (13,14).
El siguiente artículo tiene como objetivo describir dos protocolos clínicos utilizando resinas Bulk-Fill de consistencia fluida y compactable, siguiendo protocolos adhesivos y restauradores fundamentados en la evidencia.
Reporte de caso
Se presenta a la consulta de los autores un paciente género femenino de 32 años de edad, sin patología sistémica de base, que presenta clínicamente restauraciones de amalgama en las piezas 1.6 y 1.7, en estado Charlie según el criterio RYGE modificado (USPHS) (Figura 1). Luego del aislamiento absoluto, se procedió a la eliminación de las restauraciones, dejando las superficies cavitarias libre de caries y residuos metálicos (Figura 2). Una vez verificado lo anterior, se procedió a realizar la técnica adhesiva, la cual consistió en una técnica de grabado selectivo utilizando un adhesivo autograbante de dos pasos (ClearFill SE, Kuraray) en la pieza 1.6, mientras que en la pieza 1.7 se utilizó un adhesivo de grabado y lavado de tres pasos (Optibond FL, Kerr) (Figura 3). En la Tabla 1 se muestra una lista de todos los materiales utilizados en este caso clínico.
Procedimiento restaurador pieza 1.7
En la pieza 1.7 la técnica adhesiva inicia con el grabado del esmalte por un tiempo de 15 a 20 segundos, para luego extenderla hacia la dentina por un tiempo de 5 a 10 segundos, seguido de un lavado profuso con agua, secado suave, aplicación de primer frotando la dentina por 20 segundos y pasando suavemente por el esmalte, sin frotar. A continuación, se utilizó aire suave para volatilizar el solvente contenido en el primer, seguido de la aplicación del adhesivo, suavemente y sin frotar ninguna de las dos superficies (Figura 4a y 4b), para finalmente fotopolimerizar por un tiempo de 20 segundos.
Debido a la profundidad cavitaria (cercana a 4mm) y a la regularidad del piso cavitario es que se decidió utilizar una resina Bulk-Fill compactable, en un solo incremento (Filtek Bulk Fill Posterior, 3MEspe), compactando esta resina dentro de la preparación cavitaria (AEC2TNZ, American Eagle) para lograr adaptación a las paredes cavitarias y provocando un leve excedente de material, el cual fue esculpido y tallado mediante un instrumental conoide (AEC1TNZ, American Eagle) (Figura 5). Luego de lograr la correcta morfología oclusal, se polimerizó por un tiempo de 10 segundos en la cara oclusal, 10 segundos por vestibular y 10 segundos por palatino. Finalmente, se aplicaron tintes (Brown 2, ENA Stains, Micerium SPA) para dar sensación de profundidad y de continuidad de los surcos teñidos (Figura 6), para luego ser polimerizado por 30 segundos.
Procedimiento restaurador pieza 1.6
Se inició la técnica adhesiva partiendo por la aplicación de ácido fosfórico al 37% por un tiempo de 20 segundos en esmalte, seguido de un profuso lavado con agua hasta dejar la superficie libre de ácido y secado suave, aplicación de primer conteniendo monómero funcional acídico frotando la superficie dentinaria por 20 segundos y pasando suavemente sin frotar por el esmalte, soplando enseguida con aire para la volatilización del solvente y aplicación del adhesivo con un nuevo microbrush, sin frotar, por la superficie del esmalte y dentina (Figura 7), para finalmente polimerizar por un tiempo de 20 segundos.
En la pieza 1.6, luego de la técnica adhesiva, se aplicó una resina Bulk-Fill fluida (Surefil SDR flow, DENTSPLY) para homogeneizar el piso cavitario en un incremento no superior a 1mm (Figura 8). Luego de esto, se aplicó un incremento único de resina Bulk-Fill compactable para reemplazar la dentina (Filtek Bulk Fill Posterior A3 3Mespe), la cual fue separada internamente mediante surcos para guiar los incrementos finales de esmalte (Figura 9). Posteriormente, se polimerizó por el tiempo indicado por el fabricante. Finalmente, para reconstruir la morfología oclusal se utilizó una resina para estratificación de esmalte de alto índice de refracción (UE1, ENA Hri, Micerium SPA), a través de un incremento por cúspide, polimerizando entre cada incremento hasta lograr la morfología deseada (Figura 10).
Una vez hecho esto, se incorporaron tintes bajo el mismo procedimiento que la pieza 1.7.
Procedimiento de termincación y pulido
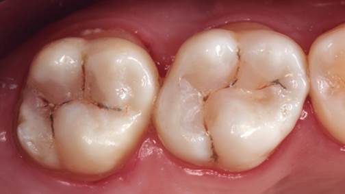
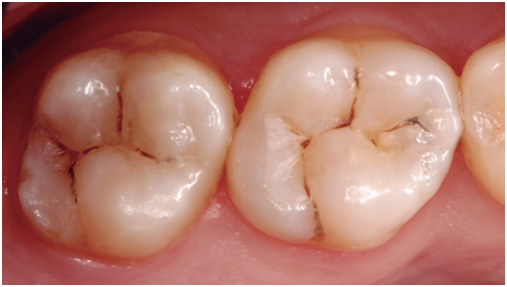
Como paso inicial en esta etapa, se terminó la morfología eliminando los excesos con piedra diamantada de grano fino de 45μm (8368.314.023, Komet USA), seguido de la regularización mediante gomas diamantadas de pre-pulido de 40 μm (Enhance, DENTSPLY), con el fin de lograr una superficie suave y sin irregularidades. Posteriormente, se continuó con la secuencia de pulido, la cual fue realizada mediante tres pastas. El primer paso incluyó el uso secuencial de pastas diamantadas, primero de 3μm y 1μm (ENA Shiny A y B, Micerium SPA, respectivamente), las que se aplicaron con escobilla de pelo de cabra húmedas. Una tercera pasta diamantada de alto lustre (ENA Shiny C) se aplicó como paso final con fieltro de algodón en seco(ENA Shiny F, Micerium SPA) (Figura 11). El control inmediato y al año con seis meses pueden observarse en las figuras Figura 12 y 1313.














Discusión
Diversas son las técnicas restauradoras que se han planteado para rehabilitar mediante resinas compuestas directas en el sector posterior. Gran parte de estas restauraciones requieren un alto tiempo clínico y experiencia debido a la complejidad en su ejecución (15,16,17). La primera técnica presentada en este artículo tiene como ventaja la reducción del tiempo clínico, pero indudablemente requiere de un clínico altamente entrenado debido a la dificultad de esculpir la resina compuesta en un solo incremento, así como también requerir de una mayor pulcritud debido a la posibilidad de incorporación de burbujas de aire y mayor rapidez de ejecución por la posibilidad de polimerización determinada por la alta translucidez del material (6,18). Aun así, autores como Ali Riza y Mehmet Esad (19), describen la presencia de “tecnología de fotopolimerización amplificada por radicales”, la cual ofrecería un tiempo reducido de polimerización y excelente estabilidad ante la luz ambiental.
La segunda técnica tiene como ventaja lograr una correcta mimética oclusal debido a que la capa final de esmalte es realizada con una resina para estratificación de esmalte, cuyo índice de refracción es idéntico al esmalte natural (6). Además, esta técnica requiere menor tiempo clínico, ya que la masa dentinaria es incorporada mediante un solo incremento, en comparación a la técnica convencional por capas.
Según Hirata et al., (20) otra forma eficiente de poder restaurar dientes posteriores con resinas Bulk-Fill es mediante la incorporación de un solo incremento de un sustituto dentinario efectuado mediante la incorporación de una resina Bulk-Fill fluida, dejando suficiente espacio para restaurar el esmalte a través de una resina de estratificación convencional.
Las posibilidades restauradoras mediante resinas Bulk-Fill ya sea fluida o de alta viscosidad, pueden determinarse al evaluar el comportamiento mecánico de cada una de ellas. Está comprobado que las resinas compuestas Bulk-Fill compactables poseen mejores propiedades físico-mecánicas que las resinas compuestas Bulk-Fill fluidas, pero menores que las resinas compuestas convencionales en términos de grado de conversión, módulo elástico, resistencia flexural y dureza superficial (21,22,23) Por otra parte, el uso de resinas Bulk-Fill fluidas puede sustentarse ante el mayor módulo de elasticidad, así como también ante mejores valores de creep que las resinas compuestas fluidas convencionales (24). Aun así, ante la baja resistencia mecánica de las resinas fluidas Bulk-Fill, no se recomienda que éstas queden en contacto funcional con los dientes antagonistas, ni menos en contacto interproximal, justificándose su recubrimiento con una resina compuesta que puede ser de tipo Bulk-Fill de alta viscosidad o resina compuesta convencional compactable (25).
Se recomienda el uso de la técnica de un solo incremento mediante resina compuesta Bulk-Fill compactable siempre y cuando el sustrato dentinario no presente un cambio de coloración o aumento en la cromaticidad que pudiese resultar en un diente restaurado oscurecido o grisáceo, debido a la alta translucidez de las resinas Bulk-Fill de consistencia alta viscosidad (26) Para efectos del presente artículo, la presencia de dentina esclerótica, así como también una dentina más cromática de lo normal (pieza 1.6), sugirió la utilización de una resina Bulk-Fill fluida para lograr regularizar del piso cavitario y a continuación se reconstruyó el cuerpo dentinario con resina Bulk-Fill compactable, la que presenta menos translucidez (27), permitiendo enmascarar el color del sustrato dentinario original oscurecido, el cual, al ser finalmente restaurado con una resina del mismo índice de refracción al esmalte, resultará en la correcta mimética del color final.
Conclusión
Las resinas Bulk-Fill compactables y fluidas pueden utilizarse con seguridad para la restauración de dientes posteriores. Las resinas Bulk-Fill compactables pueden usarse en un único incremento siempre y cuando la profundidad de la preparación cavitaria no sea superior a 4mm, que requiere de un clínico entrenado para lograr la anatomía final en un solo paso clínico. Por otra parte, las resinas Bulk-Fill fluidas podrán utilizarse en preparaciones más profundas, ya sea para homogeneizar y regularizar el piso cavitario, así también como sustituto dentinario de forma única o en combinación de resinas Bulk-Fill compactables, que pueden ser cubiertas con resinas compuestas convencionales para esmalte de alto índice de refracción con el fin de lograr una anatomía oclusal correcta, y un resultado estético final ideal.
Referencias
Tyas M., Burrow M. Adhesive restorative materials: A review. Australian Dental Journal. 2004; 49 (3): 112-121.
Ferracane J. Resin composite-State of the art. Dent Mater. 2011; 27 (1): 29-38.
Kleverlaan C., Feilzer A. Polymerization shrinkage and contraction stress of dental resin composites. Dent Mater. 2005; 21 (12): 1150-1157.
Braga R., Ballester R., Ferracane J. Factors involved in the development of polymerization shrinkage stress in resin- composites: A systematic review. Dent Mater. 2005; 21 (10): 962-970.
Lee S.Y., Park S.H. Correlation between the amount of linear polymerization shrinkage and cuspal deflection. Oper Dent, 2006; 31 (3): 364-370.
Gerardo D., Ismael H., José Pablo T., Báez A. A novel technique for Bulk-Fill resin- based restorations: Achieving function and esthetics in posterior teeth. Case Rep Dent, 2017. https://doi.org/10.1155/2017/9408591
Manhart J., Hickel R. Bulk-fill-composites. Modern application technique of direct composites for posterior teeth. Swiss Dent J, 2014; 124 (1): 19-37.
Benetti A., Havndrup-Pedersen C., Honoré D., Pedersen M., Pallesen U. Bulk-Fill Resin Composites: Polymerization Contraction, Depth of Cure, and Gap Formation. Operative Dentistry. 2015; 40 (2): 190-200.
Alshali R., Silikas N., Satterthwaite J. Degree of conversion of bulk-fill compared to conventional resin-composites at two time intervals. Dental Materials. 2013; 29 (9): e213-e217.
Rosatto C., Bicalho A., Veríssimo C., Bragança G., Rodrigues M., Tantbirojn D. et al. Mechanical properties, shrinkage stress, cuspal strain and fracture resistance of molars restored with bulk-fill composites and incremental filling technique. Journal of Dentistry. 2015; 43 (12): 1519-1528.
Van Ende A., De Munk J., Lise D.P., Van Meerbeek B. Bulk-Fill Composites: A Review of the Current Literature. J Adhes Dent, 2017: 19 (2): 95-109.
Chesterman J., Jowett A., Gallacher A., Nixon P. Bulk-fill resin-based composite Restorative materials: a review. Brit Dent J., 2017; 222 (5): 337-344.
Hirata R., Kabbach W., de Andrade O.S., Bonfante E.A., Giannini M., Coelho P.G. Bulk Fill Composites: An Anatomic Sculpting Technique. J Esthet Restor Dent, 2015; 27 (6): 335-343.
Manhart J. , Hickel R. Bulk-Fill composites. Modern application technique of direct composites for posterior teeth. Swiss Dent J, 2014; 124 (1): 19-37.
Klaff D. Blending incremental and stratified layering techniques to produce an esthetic posterior composite resin restoration with a predictable prognosis. J Esthet Restor Dent, 2001; 13 (2): 101-113.
Chi H.H. A posterior composite case utilizing incremental and stratified layering technique. Oper Dent, 2006; 31 (4): 512-516.
Araujo Jr E.M., De Goes M.F., Chan D.C.N. Utilization of oclusal index and layering technique in Class I silorane-based composite restorations. Oper Dent, 2009; 30 (5): 491-496.
Nagi S.M., Moharam L.M., Zaazou M.H. Effect of resin thickness, and curing time on the micro-hardness of Bulk-fill resin composites. J Clin Exp Dent, 2015; 7: e600-604.
Ali Riza T., Mehmet Esad G. Effects of fibers on color and translucency changes of Bulk-fill and anterior composites after accelerated aging. Biomed Res Int, 2018. https://doi.org/10.1155/2018/2908696
Hirata R. , Kabbach W. , Scopin O., Bonfante E. Traditional layering vs. Modified Bulk filling: two techniques for posterior composite restorations. J Cosmetic Dent, 2015; 30 (4): 120-131.
Leprince J., Palin W., Vanacker J., Sabbagh J., Devaux J., Leloup G. Physico-mechanical characteristics of commercially available bulk-fill composites. Journal of Dentistry. 2014; 42 (8): 993-1000.
Ilie N., Bucuta S., Draenert M. Bulk-fill Resin- based Composites: An In Vitro Assessment of Their Mechanical Performance. Operative Dentistry. 2013; 38 (6): 618-625.
Rosatto C. , Bicalho A. , Veríssimo C. , Bragança G. , Rodrigues M. , Tantbirojn D. et al. Mechanical properties, shrinkage stress, cuspal strain and fracture resistance of molars restored with bulk-fill composites and incremental filling technique. Journal of Dentistry. 2015; 43 (12): 1519-1528.
Walter R. Bulk-Fill Flowable Composite Resins. Journal of Esthetic and Restorative Dentistry. 2013; 25 (1): 72-76.
Tomaszewska I., Kearns J., Ilie N. , Fleming G. Bulk fill restoratives: To cap or not to cap- That is the question?. Journal of Dentistry. 2015; 43 (3): 309-316.
Lassila L.V., Nagas E., Vallitu P.K., Garoushi S. Translucency of flowable Bulk-filling composites of various thicknesses. Chin J Dent Res, 2012; 15 (1): 31-35.
Stefan B., Nicoleta I. Light transmittance and micro-mechanical properties of Bulk fill vs. Conventional resin based composites. Clin Oral Invest, 2014; 18 (8): 1991-2000.