Abstract: The presence of deciduous canines in adulthood may be of aesthetic concern for patients. Many clinical alternatives include surgical and orthodontic treatment. Since patients search for highly esthetic results and more conservative alternatives, the present clinical report describes a treatment for deciduous canine through an indirect composite resin veneer and an indirect composite resin fragment restoration in a premolar to improve esthetic outcomes with a one-year follow up.
Keywords: Composite resin veneer, Indirect composite veneer, Deciduous canine, Restoration.
Resumen: La presencia de caninos deciduos en adultos puede ser de preocupación estética por parte de los pacientes. Diversas alternativas clínicas pueden incluir tratamientos quirúrgicos y ortodóncicos. Desde que los pacientes buscan por resultados de alta estética y cada vez más conservadores, es que el presente caso clínico describe el tratamiento de un canino deciduo mediante una carilla indirecta de resina compuesta junto a un fragmento indirecto de resina de un premolar con el fin de mejorar los resultados estéticos, y con un año de seguimiento.
Palabras clave: Carilla de resina, Carilla indirecta, Canino deciduo, Restauración.
Case report
No-Prep Semidirect Composite Resin Veneer. A Step-by-Step Case Report in a Deciduous Canine with a One-Year Follow-Up
Carilla de resina semidirecta sin preparación. Un reporte paso a paso en un canino deciduo con seguimiento de un año
Received: 24 January 2020
Accepted: 16 March 2020
Published: 25 March 2020
Nowdays, patients request for more esthetic and imperceptible treatment in the anterior dentition (1), which forces the clinician to perform more exquisite Restorative Dentistry (2). Likewise, the fast development in dental materials technology have allow for more conservative procedures and long-lasting restorations, (3-4) ensuring the conservation of pulp vitality and the functionality of tooth structure (5).
Composite resin materials have also evolved, achieving improvements in the optical and biomechanical properties, resembling more and more the natural dental structure (6-7). The above has allowed to extend their therapeutic indications at present, being able to be used as indirect resin veneers for anterior dentition with similar survival rates than ceramic laminate veneers at shortterm (8-9). To ensure better performance of indirect composite resin restorations, the post-curing process and the bonding protocol of the restoration becomes most relevant and requires the clinician to highly respect every protocol in order to reduce any possible clinical mistake that could compromise a long-lasting result.
The following case report, describes a simple step-by-step adhesive procedure of an indirect composite resin veneer over a deciduous canine in an adult patient together with an indirect composite resin fragment to enhance harmony and function in a premolar cemented with pre-heated composite resin.
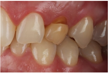
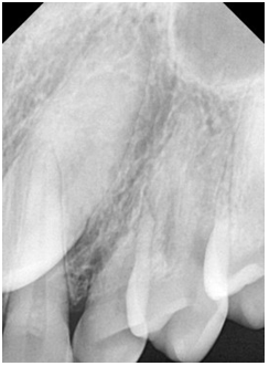
A 40-year-old female patient presented to the private practice of one of the authors with a chief complaint of unaesthetic concern of her deciduous teeth #63 (Figure 1). According to the clinical examination and x ray, tooth #23 was non erupted and was retained on the palatal region Tooth #63 presented as a dark tooth with a non-carious cervical lesion at the vestibular aspect and an obvious smaller size (Figure 2).


After talking with the patient all the possible alternatives, she decided not to remove her deciduous tooth and try the most conservative approach as possible. For this reason, considering costs and the functionality of tooth which requires mechanical properties improvement, it was decided to perform an indirect composite resin veneer together with a small indirect composite resin fragment in the mesial aspect of tooth #24. For this purpose, the patient signed an informed consent and agreed upon her case for publication.
After impression taking with polyvinylsiloxane and once the restorations were finished, the bonding procedure will be performed as follows:
Treatment surface of the indirect restorations:
Tooth treatment surface:
The procedure must be performed under rubber dam isolation.
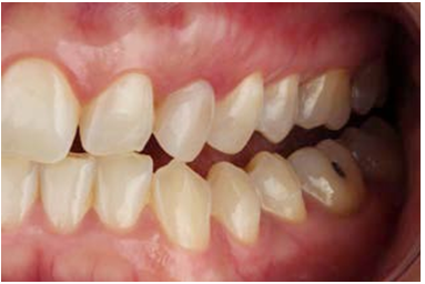
Parallel to these procedures, the selected composite resin must be warming up according to the manufacturer instructions, so that the clinician can quickly charge the pre-heated composite resin over the treated surface of the restorations (Figure 3.D), and so then position them on the teeth with soft pressure. At that moment, pressure must be done vertically and horizontally towards the tooth, allowing the exit of pre-heated resin through the interphase (Figure 5 and Figure 6). The excess of resin must not be light-cured and then cutted with a scalpel, this could leave areas of microleakage at the interphase in case of lack of adaptation. Eliminate and drain excesses of resin through the interphase could ensure sealing voids or gaps. A final control image after 1 year is shown in Figure 7.





Many options can be assessed when a non-erupted canine is found. According to Francisco S et al., (11) extraction of the primary canine may be performed allowing the spontaneous eruption of the permanent tooth or with transplantation of the retained canine to the correct site. Spontaneous eruption may not be suitable if the non-erupted canine is impacted or the orientation does not allow for passive eruption through the alveolar space left by the deciduous canine. In such cases, the transplantation or implant placement may be indicated (12-13).
Orthodontic traction is another clinical option that includes an initial surgical approach to expose the retained canine and to allow the installation of orthodontics appliances. Its principal advantage is related to optimal tooth positioning but requires more clinical time to accomplish. According to Montenegro et al., many factors must be considered for orthodontic traction that conditions the clinical time needed to correctly position the canine such as distance to the alveolar space, angulation, position inside the maxillary arch, root dilacerations and resorptions, and ankyloses (14).
In this particular case, the patient rejected for every surgical approach and also for long lasting treatment. Based on this requirement, the possibility of restoring the deciduous canine was analyzed. The choice to perform a ceramic crown was evaluated, but considered less conservative and the reduction of tooth it is of concern given the reduced size of the tooth. This approach has been presented by Fernandes et al., (15) obtaining acceptable esthetic results independent of the average size of the deciduous canines.
More conservative treatment than ceramic crowns can include ceramic veneers. In this type of cases, Bin-Shuwaish (16) recommends to maintain occlusion in group function in order to reduce stress and to eliminate destructive forces over the deciduous canine. Even so, tooth preparation is still needed.
Another conservative approach may include direct composite resins. To consider this clinical option may bring several advantages such as no need for tooth preparation, reparability, reversibility, acceptable esthetic outcomes, less clinical appointments and reduced costs (17).
Indirect composite resins can be also considered as a reliable alternative, since it brings all the advantages of a composite resin restoration. Also, their clinical performance is better since the post-curing process allow for mechanical properties improvement of the restoration because of the increased degree of conversion of the monomers.
This has been proved by Benitez Sellan and Bresciani, (18) in a case report where they restored a deciduous canine using indirect composite resins that included tooth preparation. In the presented case report, no tooth preparation was performed, and an indirect composite resin fragment was also included for the mesial aspect of tooth #24 to improve the esthetic outcome, finally being the most conservative approach possible.
Indirect composite resin veneer and fragment restorations can be safely used in the anterior dentition when indicated. The bonding procedure must be respected step-by-step to ensure high quality bonding to the tooth substrate and to achieve a long-lasting restoration. Finally, the correct assess of the clinical condition of a non-erupted canine and its restoration must include evaluation of functionality to ensure the success of the restoration.






