Literature review
Recepción: 01 Febrero 2021
Aprobación: 19 Marzo 2021
Publicación: 15 Abril 2021
DOI: https://doi.org/10.15517/IJDS.2021.46637
Resumen: En la cavidad oral se pueden presentar lesiones en gíngiva que no están asociadas a placa bacteriana, las cuales requieren de un adecuado diagnóstico y tratamiento. La gingivitis descamativa está usualmente relacionada con desórdenes mucocutáneos, como el pénfigo vulgar (PV), donde las lesiones orales incluyendo las lesiones gingivales, pueden preceder las lesiones cutáneas. El manejo es multidisciplinario y el tratamiento incluye terapia farmacológica tópica y sistémica, se requiere un adecuado control de la placa bacteriana por parte del paciente y una estricta supervisión en el tiempo por parte del profesional para el mantenimiento y estabilidad de los tejidos gingivales. Se presentan dos casos clínicos de pacientes con diagnóstico de PV los cuales fueron manejados de manera oportuna e integral para controlar y estabilizar el factor sistémico y local.
Palabras clave: Pénfigo, Gingivitis descamativa, Corticosteroides, Biopsia, Higiene oral.
Abstract: In the oral cavity, gingiva lesions may occur that are not associated with bacterial plaque, which require adequate diagnosis and treatment. Desquamative gingivitis is usually related to mucocutaneous disorders, such as pemphigus vulgaris (PV), where oral lesions, including gingival lesions, may precede skin lesions. Management is multidisciplinary and treatment includes topical and systemic pharmacological therapy, require adequate control of dental plaque by the patient and strict supervision over time by the professional for the maintenance and stability of the gingival tissues. Two clinical cases of patients with a diagnosis of PV are presented, which were managed in a timely and integral way to control and stabilize the systemic and local factor.
Keywords: Pemphigus, Desquamative gingivitis, Corticosteroids, Biopsy, Oral Hygiene.
Introducción
La gíngiva como otros tejidos orales puede presentar diferentes lesiones patológicas no inducidas por placa bacteriana, que en algunas circunstancias pueden ser manifestaciones de condiciones sistémicas o desordenes médicos, o solamente pueden representar cambios patológicos limitados a los tejidos gingivales. A pesar de que estas lesiones no están directamente causadas por la placa bacteriana, su curso clínico puede estar exacerbado por esta, con la subsecuente inflamación gingival. El World Workshop del 2017 de la Academia Americana de Periodoncia y de la Federación Europea de Periodoncia presentó una clasificación contemporánea de las relevantes condiciones y enfermedades gingivales no inducidas por placa bacteriana (1) (Tabla 1).
La gingivitis descamativa (GD) es un desorden común en el cual la encía muestra descamación epitelial, eritema, erosión y/o lesiones vesiculobulosas de la encía adherida y marginal, en algunos casos dolor (2). La GD es un término que denota un cuadro clínico particular y no es un diagnóstico por sí mismo (3). Está usualmente relacionada con desórdenes mucocutáneos aunque puede ser consecuencia de daño químico o respuestas alérgicas (4). Varias enfermedades pueden presentar GD, las más comunes son el liquen plano erosivo (LPE), penfigoide de las membranas mucosas (PMM) y pénfigo vulgar (PV) (5).
El pénfigo abarca un grupo de enfermedades ampollosas autoinmunes potencialmente mortales caracterizadas por ampollas flácidas y erosiones de las membranas mucosas y la piel (6). Hay diferentes variantes del pénfigo como: el PV localizado en mucosa, el PV que además involucra piel y otras mucosas, el pénfigo foliáceo, el pénfigo paraneoplásico, y el pénfigo IgA (4).
El PV es la variante más común, con una incidencia de 0.1 a 0.5 por 100,000 personas por año, con mayor frecuencia en pacientes entre 40 y 60 años de edad, con una ligera predilección femenina (7,8).
Su presencia en la mucosa oral es común, y en cerca del 54% de los casos, la cavidad oral ha sido reportada como el sitio primario de su desarrollo (9). Las lesiones orales incluyendo las lesiones gingivales, pueden preceder las lesiones cutáneas (10).
La enfermedad está caracterizada por una bula intraepitelial en piel y en membranas mucosas debido a los anticuerpos dirigidos contra los antígenos protéicos (desmoglein-3) (1). La formación de ampollas en el PV es el resultado de la acción nociva de los autoanticuerpos dirigidos contra las moléculas superficiales de los queratinocitos dañando así la sustancia intercelular y dando como resultado la separación de los queratinocitos entre sí, un proceso conocido como acantólisis (11).
El tratamiento está encaminado a disminuir los síntomas, incluido el dolor. Sin tratamiento, el PV puede ser mortal. La causa más frecuente de muerte es la infección grave.
El objetivo de este trabajo es presentar por medio de dos casos el manejo oportuno e integral para controlar y estabilizar el factor sistémico y local que se debe realizar al tratar pacientes con PV.

Reportes de casos
Caso 1
Mujer de 37 de años, costarricense, casada, profesora de inglés. La historia médica reporta cesárea con salpingectomía en el 2003 y apendicetomía en el 2006. No presenta contraindicaciones sistémicas ni trastornos con el ciclo menstrual. No toma medicamentos actualmente. No fuma ni toma bebidas alcohólicas. Se presenta con la queja de tener en cavidad oral las encías muy rojas y sangrantes al cepillarse, a pesar que se ha realizado con su odontólogo general limpiezas cada tres meses.
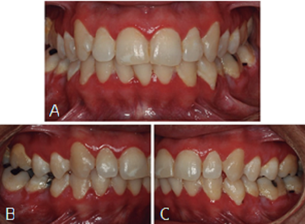
Al realizar el examen clínico, se observó áreas erosivas en margen gingival superior e inferior, en zona posterior inferior por vestibular se observaron lesiones pseudomembranosas descamativas, abundante placa bacteriana en molares (Figura 1), paciente refiere que le arde mucho al cepillarse, que las lesiones aparecieron hace seis meses y medio en forma espontánea. No presenta bolsas periodontales. Resto de los tejidos dentro de límites normales. No se palparon adenopatías, ni se observaron alteraciones de contorno facial ni en piel, pero refiere que hace dos meses le apareció una única úlcera en espalda que fue tratada con prednisona en crema y le sanó.
Bajo el diagnóstico clínico de gingivitis descamativa asociada a liquen plano erosivo vs PV, se le realizaron dos biopsias incisionales en fondo de surco derecho, una muestra del tejido perilesional y otra de la lesión con margen de tejido sano, con signo de Nikolsky positivo en el momento de la toma. Los especímenes se enviaron para estudio histopatológico para inmunofluorescencia directa (IFD). Se dieron recomendaciones a la paciente para efectuar una adecuada higiene oral que incluía Oddent periodontal gel (clorhexidina al 0,20%) cada 12 horas por 10 días, además para el dolor y la inflamación Enantyum® (dexketoprofeno) 25mg una cada 8 horas por 5 días, cepillo dental suave y pasta dental oddent desensibilizante. Informe de las biopsias reportó moderada acantólisis, vesícula suprabasal, inmunofluorescencia positiva de IgG a nivel intercelular en el epitelio escamoso que corresponden a desmosomas, lo cual es característico de PV.

Para el tratamiento, previo se solicitaron exámenes de laboratorio incluyendo hemograma completo, función renal y hepática, los cuales presentaron valores dentro de límites normales. Se trató con propinado de clobetasol 0.05% en orobase colocado en fundas flexibles para llevar a boca durante 5 minutos, tres veces al día (Figura 2), a diario enjuague por la noche con 5ml de nistatina 100.000 UI/cc para prevenir sobreinfección micótica, la paciente inició su tratamiento asistiendo cada semana a control.

Luego de una semana de tratamiento tópico las lesiones disminuyeron notablemente de tamaño; además, la sintomatología desapareció completamente, lo cual permitió que se higienizara correctamente. Se realizó seguimiento por ocho años, en los dos primeros años a pesar que tenía un buen control de placa bacteriana mantenía una leve descamación gingival, que luego del divorcio desapareció por completo y la paciente lo asoció al estrés que le ocasionaba su exesposo.
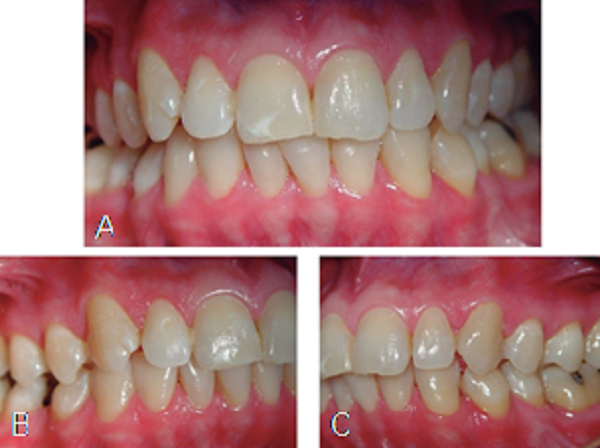
Actualmente refiere funcionalidad bucal y confort, mantiene los controles con los diferentes especialistas. A nivel bucal ha estado muy estable y no ha presentado áreas erosivas o descamativas (Figura 3), sin problema se le han podido realizar cirugías de las terceras molares inferiores con osteotomía y odontosección sin complicaciones, una endodoncia en el primer molar inferior izquierdo, debido a la estabilidad periodontal se le realizó un alargamiento coronario en distal de dicha molar, con gingivectomía y osteotomía, obteniendo una adecuada cicatrización de los tejidos periodontales. En ningún caso se presentó reactivación del PV. La paciente se encuentra con un intervalo de mantenimiento periodontal cada 6 meses, donde se han controlado los factores locales de retención de placa bacteriana, para su estabilidad en el tiempo. En piel cuando ha tenido alguna lesión le ha resuelto fácilmente con tratamiento tópico enviado por el dermatólogo.

Caso 2
Hombre de 45 de años, costarricense, soltero, sexualmente muy activo y muchas veces sin utilizar protección. La historia médica reporta hígado graso, hace 10 años le confirmaron ser positivo para virus del papiloma humano 16-18 y clamidia hace 5 años. Actualmente está medicado con Crestor® (rosuvastatina) 20mg y Controlip® (Fenofibrato) 250mg una por día. Refiere nunca haber fumado, le gusta beber vino tinto (250ml) o whisky (45ml) aunque ahora por el dolor bucal no puede. Se presenta con la queja de tener múltiples lesiones dolorosas en la boca y que ahora están por todo el cuerpo. Por sus antecedentes de promiscuidad trae examen para virus de inmunodeficiencia humana (VIH) realizado hace dos días con resultado negativo.
Al realizar el examen clínico se observaron úlceras y ampollas dolorosas con presencia de sangrado en encía, paladar blando, mucosa yugal y piso de boca (Figura 4. A,C,E), así como lesiones vesiculares y de tipo erosivo recubiertas por una costra en cuero cabelludo, pecho, espalda (Figura
4. B,D,F) y genitales, que le generan gran incomodidad y dolor, además, estéticamente le afectan en su trabajo y para socializar ya que por el aspecto a veces siente rechazo de las otras personas, dan impresión de descuido o desaseo y por la localización no siempre puede ocultarlas. Paciente refiere que inició hace tres meses en boca, luego en todo el cuerpo siendo el ardor y sensación de escozor terrible en el pene y cavidad oral. No se palparon adenopatías.

Tomando en cuenta las características clínicas se sospecha de enfermedad mucocutánea, posible PV. Se le realizaron dos biopsias incisionales en fondo de surco izquierdo, una muestra del tejido perilesional y otra de la lesión con margen de tejido sano, con signo de Nikolsky positivo en el momento de la toma. Los especímenes se enviaron para estudio histopatológico para IFD. Se dieron recomendaciones al paciente para efectuar una adecuada higiene oral que incluía Perio kin gel (clorhexidina al 0,20%) cada 12 horas por 10 días, además para el dolor y la inflamación Enantyum® (dexketoprofeno) 25mg una cada 8 horas por 5 días, cepillo dental suave y pasta dental Gingi Kin plus, instrucciones para una dieta blanda con mucha hidratación y evitar el estrés. El análisis histopatológico mostró acantólisis epidérmica, infiltración mixta de células inflamatorias redondeada de edema; la inmunofluorescencia directa reveló deposición intercelular de IgG, diagnóstico de PV.
Se solicitaron exámenes de laboratorio incluyendo hemograma completo, función renal y hepática, los cuales presentaron valores dentro de límites normales. Se le explicó al paciente la importancia de un manejo multidisciplinario, máxime que las lesiones más molestas las presentaba en piel, por lo que fue referido a dermatología. Por la gravedad y extensión de las lesiones se decidió tratar de forma oral con Meticorten® (Prednisona) 50mg e Imuran® (Azatriopina) 50mg por día por una semana, mejorando significativamente, luego se fue bajando la dosis de forma gradual hasta 5mg de Meticorten® como dosis de mantenimiento y diario enjuague por la noche con 5ml de nistatina para prevenir sobreinfección micótica.
Al mes de iniciado el tratamiento era evidente la mejoría en piel, ya no tenía dolor y poco a poco las lesiones fueron disminuyendo de tamaño hasta prácticamente estar ausentes; intraoralmente los tejidos se ven muy bien, no había lesiones activas sólo algunas áreas blancas en margen gingival (Figura 5). En la actualidad, el paciente está libre de lesiones y la dosis de esteroides se redujo gradualmente hasta suspenderlos.

Sin embargo, el paciente no se ha adherido a un adecuado intervalo de mantenimiento periodontal y presenta un pobre control de placa bacteriana, lo cual es vital para la estabilidad y control en el largo plazo de este tipo de enfermedades.
Los dos pacientes dieron por escrito su consentimiento libre e informado para la publicación de sus casos.
Discusión
PV es la variante clínica más común de pénfigo. Se ha informado una tasa anual de incidencia entre 0,76 y 16,1 por millones de habitantes, dependiendo del área geográfica y la etnia (12).
En la mayoría de los casos, PV inicialmente se manifiesta con erosiones de la mucosa oral extremadamente dolorosas, particularmente mucosa yugal, encía, lengua, paladar duro y blando (13,14). Sultan y cols. (2017) reportaron que 84% de los casos PMM presentaron GD y que la participación de sitios no gingivales fue poco frecuente (16%), mientras que solo el 28% de los pacientes con PV tenían GD y el 72% tenía participación de sitios no gingivales (15).
Scully y cols en 1999, reportaron que una cuarta parte de los pacientes con lesiones en la cavidad oral desarrollaron en el transcurso del tiempo, lesiones en la piel, que llegaron a manifestarse meses o años tras las lesiones intraorales (16). Esto concuerda con el caso clínico uno, donde las lesiones orales fueron el primer signo de la enfermedad.
Existe un daño de los desmosomas por anticuerpos dirigidos contra las moléculas de adhesión celular particularmente las desmoglein-3, y plakoglobin, con depósitos intraepiteliales inmunes y pérdida de contacto celular (acantosis), lo que lleva a la formación de vesículas intraepiteliales (17).
El diagnóstico de PV se basa en signos clínicos, histopatología, inmunopatología o serología. Histopatología característica de PV consiste en separación intraepitelial, acantólisis y una capa única de queratinocitos basales. El diagnóstico correcto, en nuestros casos, se basó en un estudio cuidadoso de la historia de los pacientes, el examen clínico y la biopsia para IFD.
El análisis de IFD revela depósito intercelular de IgG y ocasionalmente complemento 3 (C3) entre células epiteliales, comúnmente referidas como un patrón de "alambre de gallina" en pacientes con PV (18). Según los estudios revisados, la IFD es muy útil para el diagnóstico diferencial del PV de otras condiciones con similar presentación clínica, como el PMM y el LPE, ya que estos demuestran diferentes patrones de tinción en IFD. En nuestros dos casos el estudio con IFD fue de gran utilidad.
El PV es una enfermedad con una mortalidad de hasta el 90% si no se trata (19), lo que enfatiza la importancia de un diagnóstico precoz. Para el PV se recomienda la prednisolona como primera línea de terapia, en combinación con el uso de ahorradores de esteroides, como azatioprina y micofenolato mofetilo (6,20), para permitir una reducción de la dosis total y la duración de los corticosteroides (21). Esto concuerda con nuestro caso dos, donde la terapia combinada de prednisolona y azatioprina resultó muy efectiva, logrando una mejoría al mes de iniciado el tratamiento tanto en piel como intraoralmente.
En ambos casos la supervisión clínica y el control de laboratorio fue importante, ya que los efectos secundarios del tratamiento pueden ser graves o incapacitantes, se debe tener un monito- reo de la función renal y hepática.
Existe la necesidad de controlar a los pacientes con PV durante un período prolongado, es fundamental el adecuado control de la placa bacteriana como factor etiológico primario de las enfermedades periodontales y de los factores locales de retención, como caries o restauraciones desajustadas, para evitar la acumulación de la misma y así prevenir recidivas de la enfermedad o un aumento en su severidad. Una monitorización constante con un intervalo de mantenimiento periodontal que va a depender del riesgo individual de cada paciente va a ser crucial para la conservación de la salud gingival.
Debido a que la acumulación de placa bacteriana agrava los síntomas de las gingivitis descamativas, la necesidad de una apropiada fisioterapia oral, debería ser reforzada constantemente, además se debe realizar el tratamiento periodontal convencional que incluye raspados y alisados radiculares selectivos. Se propone que los pacientes deben de ser tratados normalmente de cualquier condición periodontal remanente, y programar visitas de mantenimiento frecuentes (22).
Es importante resaltar el papel del periodoncista en el equipo que debe conformarse para el diagnóstico de este tipo de lesión mucocutánea, puesto que al recibir pacientes con lesiones gingivales que no responden al tratamiento periodontal rutinario y al conocer las características clínicas de la enfermedad, puede contribuir a establecer el diagnóstico diferencial entre los diferentes tipos de lesiones gingivales (23).
Conclusiones
Es de suma importancia establecer el diagnóstico definitivo, oportuno y certero del PV; de esta manera se puede optar por protocolos terapéuticos con un manejo integral y aliviar al paciente de esta afección debilitante. El seguimiento clínico se debe realizar a largo plazo para prevenir exacerbaciones y remisiones.
Conflicto de intereses
Ninguno declarado.
Referencias
Holmstrup P., Plemons J, Meyle J. Non-plaque-induced gingival diseases. J Clin Periodontol. 2018; 45: S28-43.
Maderal A.D., Lee Salisbury P., Jorizzo J.L. Desquamative gingivitis: Diagnosis and treatment. J Am Acad Dermatol (Internet). 2018; 78 (5): 851-61. Available from: https:// doi.org/10.1016/j.jaad.2017.04.1140
Scully C., Porter S.R. The clinical spectrum of desquamative gingivitis. Semin Cutan Med Surg. 1997; 16 (4): 308-13.
Scully C. , Laskaris G. Mucocutaneous disorders. Periodontol 2000. 1998; 18 (1): 81-94.
Lo Russo L., Fierro G., Guiglia R., Compilato D., Testa N.F., Lo Muzio L., et al. Epidemiology of desquamative gingivitis: Evaluation of 125 patients and review of the literature. Int J Dermatol. 2009; 48 (10): 1049-52.
Feliciani C., Cozzani E., Marzano A.V., Caproni M., Di Zenzo G., Calzavara-Pinton P. Italian guidelines in pemphigus - adapted from the European Dermatology Forum (EDF) and European Academy of Dermatology and Venerology (EADV). G Ital di Dermatologia e Venereol. 2018; 153 (5): 599-608.
McMillan R., Taylor J., Shephard M., Ahmed R., Carrozzo M., Setterfield J., et al. World Workshop on Oral Medicine VI: A systematic review of the treatment of mucocutaneous pemphigus vulgaris. Oral Surg Oral Med Oral Pathol Oral Radiol (Internet). 2015; 120 (2): 132-142.e61. Available from: http://dx.doi. org/10.1016/j.oooo.2015.01.022
Stoopler E.T., Sollecito T.P. Oral mucosal diseases: Evaluation and management. Med Clin North Am (Internet). 2014; 98 (6): 1323-52. Available from: http://dx.doi. org/10.1016/j.mcna.2014.08.006
Shamim T., Varghese V.I., Shameena P.M.,Sudha S. Pemphigus vulgaris in oral cavity: Clinical analysis of 71 cases. Med Oral Patol Oral Cir Bucal. 2008; 13 (10): 2-6.
Rath S.K., Reenesh M. Gingival pemphigus vulgaris preceding cutaneous lesion: A rare case report. J Indian Soc Periodontol. 2012;16 (4): 588-91.
Grando S.A., Bystryn J.C., Chernyavsky A.I., Frušić-zlotkin M., Gniadecki R., Lotti R., et al. Apoptolysis: A novel mechanism of skin blistering in pemphigus vulgaris linking the apoptotic pathways to basal cell shrinkage and suprabasal acantholysis. Exp Dermatol. 2009; 18 (9): 764-70.
Didona D., Maglie R., Eming R., Hertl M. Pemphigus: Current and future therapeutic strategies. Front Immunol. 2019; 10 (June): 1-28.
Kasperkiewicz M., Ellebrecht C.T., Takahashi H., Yamagami J., Zillikens D., Payne A.S., et al. Pemphigus. Nat Rev Dis Prim. 2017;3.
Kneisel A., Hertl M. Blasenbildende Autoim- mundermatosen. Teil 1: Klinik. JDDG - J Ger Soc Dermatology. 2011; 9 (10): 844-57.
Sultan A., Villa A., Saavedra A., Treister N., Woo S. Oral mucous membrane pemphigoid and pemphigus vulgaris-a retrospective two-center cohort study. Oral Dis. 2017; 23 (4): 498-504.
Scully C. , Paes De Almeida O., Porter S.R. , Gilkes J.J.H. Pemphigus vulgaris: The manifestations and long-term management of 55 patients with oral lesions. Br J Dermatol. 1999; 140 (1): 84-9.
Nishikawa T., Hashimoto T., Shimizu H., Ebihara T., Amagai M. Pemphigus: From immunofluorescence to molecular biology. J Dermatol Sci. 1996; 12 (1): 1-9.
Silva S.C., Nasser R., Payne A.S. , Stoopler E.T. Pemphigus Vulgaris. J Emerg Med (Internet). 2019; 56 (1): 102-4. Available from: https:// doi.org/10.1016/j.jemermed.2018.10.028
Buonavoglia A., Leone P., Dammacco R., Di Lernia G., Petruzzi M., Bonamonte D., et al. Pemphigus and mucous membrane pemphigoid: An update from diagnosis to therapy. Autoimmun Rev (Internet). 2019; 18 (4): 349-58. Available from: https://doi. org/10.1016/j.autrev.2019.02.005
Harman K.E., Brown D., Exton L.S., Groves R.W., Hampton P.J., Mohd Mustapa M.F., et al. British Association of Dermatologists’ guidelines for the management of pemphigus vulgaris 2017. Br J Dermatol. 2017; 177 (5): 1170-201.
Cholera M., Chainani-Wu N. Management of Pemphigus Vulgaris. Vol. 33, Advances in Therapy. Springer Healthcare; 2016. 910-958 p.
Damoulis P.D., Gagari E. Combined Treatment of Periodontal Disease and Benign Mucous Membrane Pemphigoid. Case Report With 8 Years Maintenance. J Periodontol. 2000; 71 (10): 1620-9.
Benito-Urdaneta M., Chaparro N., Benito- Urdaneta M, Pérez L, Bernardoni-Socorro C. Tratamiento periodontal en paciente con liquen plano. Presentación de un caso. Cienc Odontológica. 2008; 5 (1): 44-52.