Case report
Preservation of Socket for Immediate Dental Implants in Aesthetic Zone from Upper Jaw: Aesthetic Approach-Case Report
Preservación del alvéolo para implantes dentales inmediatos en zona estética del maxilar superior: enfoque estético-reporte de caso
Preservation of Socket for Immediate Dental Implants in Aesthetic Zone from Upper Jaw: Aesthetic Approach-Case Report
Odovtos International Journal of Dental Sciences, vol. 27, no. 1, pp. 22-33, 2025
Facultad de Odontología. Universidad de Costa Rica
Received: 26 January 2024
Accepted: 02 April 2024
Abstract: Ensuring optimal aesthetic outcomes in dental implant cases within the maxillary anterior area requires careful consideration of socket preservation and atraumatic tooth extraction. These factors play a crucial role in achieving successful and aesthetically pleasing treatments. The objective of this study is to present a series of clinical cases involving dental extractions of anterior maxillary teeth with a poor prognosis. This study highlights the importance of socket preservation and atraumatic tooth extraction in ensuring optimal aesthetic results in dental implant cases within the maxillary anterior area. In these cases, a two-armed lever technique was planned for atraumatic alveolar preservation during the extraction process. Following the tooth extraction, the fresh socket was reclassified, and dental implants were subsequently placed using a modified drilling technique in certain cases. The authors assessed the primary stability of the implants, while in other cases, bone regeneration procedures were performed. The presented clinical cases demonstrate the successful implementation of the two-armed lever technique for atraumatic alveolar preservation, leading to favorable outcomes in terms of primary implant stability and bone preservation. Techniques for bone preservation after tooth extraction aim to minimize post-extraction bone resorption. By implementing appropriate protocols, such as the concept of the dual zone and the two-armed lever technique, successful outcomes can be achieved in terms of both aesthetics and preservation of the alveolar bone.
Keywords: Atraumatic extraction, Two armed-lever, Allografts, Socket, Preservation, Dual zone.
Resumen: Asegurar resultados estéticos óptimos en casos de implantes dentales dentro del área maxilar anterior requiere una cuidadosa consideración de la preservación del alvéolo y la extracción atraumática del diente. Estos factores juegan un papel crucial en el logro de tratamientos exitosos y estéticamente agradables. El objetivo de este estudio es presentar una serie de casos clínicos de extracciones dentales de dientes anteriores maxilares con mal pronóstico. Este estudio destaca la importancia de la preservación del alvéolo y la extracción atraumática del diente para garantizar resultados estéticos óptimos en los casos de implantes dentales en el área maxilar anterior. En estos casos, se planificó una técnica de palanca de dos brazos para la preservación alveolar atraumática durante el proceso de extracción. Después de la extracción del diente, se reclasificó el alvéolo fresco y posteriormente se colocaron implantes dentales utilizando una técnica de perforación modificada en ciertos casos. Los autores evaluaron la estabilidad primaria de los implantes, mientras que en otros casos se realizaron procedimientos de regeneración ósea. Los casos clínicos presentados demuestran la implementación exitosa de la técnica de palanca de dos brazos para la preservación alveolar atraumática, lo que lleva a resultados favorables en términos de implante primario. estabilidad y preservación ósea. Las técnicas para la preservación ósea después de la extracción dental tienen como objetivo minimizar la reabsorción ósea posterior a la extracción. Mediante la implementación de protocolos apropiados, como el concepto de la zona dual y la técnica de palanca de dos brazos, se pueden lograr resultados exitosos en términos estéticos y de preservación del hueso alveolar.
Palabras clave: Extracción atraumática, Dos brazos-palanca, Aloinjertos, Alvéolo, Preservación, Zona dual.
Introduction
Currently the esthetic factor in the anterior region of the oral cavity with respect to implant placements and restauration is one of the most important and big challenges on implantology. Hence, good results during implant placement and postoperative period are shown by scientific literature which consist in preserving the alveolar socket right after the dental extraction shows. Consequently, both the preservation of the socket and atraumatic tooth extraction should be conceived as important factors to ensure the aesthetic outcome of the case, by this way the placement of dental implants in the maxillary anterior area of the oral cavity needs to be planned taking into account these two principles.
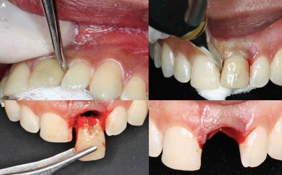
A useful tool to preserve the alveolar bone regeneration keeping in mind the classification of extraction sockets proposed by Elian et al. (2007) (1), an excellent strategy for using the two armed- lever with a straight elevator, which consist in (Figure 1):
Type I Socket. The facial soft tissue and buccal plate of bone are at normal levels in relation to the cementoenamel junction of the pre-extracted tooth and remain intact postextraction.
Type II Socket. Facial soft tissue is present but the buccal plate is partially missing following extraction of the tooth.
Type III Socket. The facial soft tissue and the buccal plate of bone are both markedly reduced after tooth extraction (Figure 2).


Considering that the more atraumatic the extraction is, the less bone and tissue is lost, so it will show better osseointegration with the new implant and will have future good results. Also, it is really essential the atraumatic process in the maxillary anterior region due to the aesthetic characteristics a patient wants, in which it is that the implant doesn’t produce a change of color in the gingiva because of the little bone present in the labial region. That is why it is recommended the use of bone graft accompanied with the implant, in the remaining spaces between the alveolar socket and the implant (2).
The present cases report shows the use of two armed-lever, for the atraumatic extraction process in the anterior maxillary incisors for the correct preservation of the alveolar socket and the immediate implant placement with bone grafting if it is possible.
Presentation of cases
Case 1
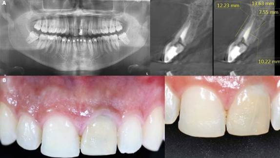
A 24-year-old male patient who required extraction of the upper left central incisor due to a corono-radicular fracture, reason for which is requested, panoramic radiography and cone beam, in which, as in the immediately previous case, the extraction was planned using a two-armed lever as an atraumatic alveolar preservation technique. During the clinical examination, it was observed at the level of the upper left central incisor, resin filling of 4 surfaces and slight redness was evident at the gingival margin (Figure 3.A and Figure 3.B). The extraction procedure was initiated by applying the strength of the two-arm lever, the straight elevator is in a horizontal position resting on the mesial and distal surfaces have the greatest possible palatal rest and resistance in the mesial and/or disto-vestibular areas; that generates an extrusive dental dislocation that combined with the vestibular palatine grip with the left hand helps to avoid compromising the vestibular table, then it is produced in the first instance, tooth crown extraction (Figure 4.A and Figure 4.B), by the corono-radicular fracture already mentioned, then its proceed to the dental root´s extraction, using lever of the second degree, without compromising the vestibular and palatal tables. Once confirmed the integrity of the vestibular wall and the gingival biotype: type I socket, 1cc of Puros® particulate cortical bone (250-1000 microns) is used for the graft. Subsequently, Zimmer TSV 3.7 * 13mm implant was placed (Figure 5). The implant was prepared and placed 2.5mm from the gingival margin to achieve primary fixation, a surgical cover screw was placed, the cavity was occluded with a collagen membrane (CollaTape®) and sutured transverse and horizontally with acid polyglycolic 5-0, followed by a provisional restoraion, finally, the patient is prescribed oral capsules of dicloxacillin 500mg and nimesulide tablets orally 100mg. After five months of clinical and radiographic controls, the second phase begins. The patient received a metallic ceramic crown with functional and aesthetic results after 18 months of continuous controls.



Case 2
A 36-year-old male patient who required extraction of the upper left central incisor due to radicular-crown fracture as the anterior case, finding a type II socket with a dehiscence of 25% by this reason it is decided follow the protocol to the extraction procedure initiated by applying the strength of the two-arm lever, then 1cc of puros particulate cortical bone (250-1000 microns) is used for the graft. Subsequently implant was placed (Figure 6.A and Figure 6.B).

Case 3
A 22-yer-old female patient required extraction of the upper right central incisor finding a type III socket by this it is used particulate cortical bone graft and resorbable membrane without place the implant in this phase (Figure 7.A and Figure 7.B).

Case 4
A male patient in fourth decade of life who required extraction of the upper right canine finding a type I socket with thick biotype by this an implant is immediate placement follow by bone graft with puros cortico-cancellous due to a provisional tooth is not placed immediately (Figure 8).

Case 5
A 36-year-old male patient who required an extraction of the upper right central incisor finding a type II socket with a dehiscence of 50% associated to thick biotype by this reason is chosen an immediate implant placement with bone graft puros cancellous and resorbable membrane adjacent to provisional tooth (Figure 9).

Case 6
A male patient in sixth decade of life who presented a type III socket with a dehiscence <75% with thin biotype by this reason it is decided to bone regeneration with puros, cortico-cancellous bone and membrane (Figure 10).

Results
Satisfactory results were obtained with all the cases, between five to eight months after the clinical and radiographic controls, the second phase began with the rehabilitation, in which work was done with a zirconium crown, restoring safety and confidence to patients when they smile. These results support the efficacy of the techniques used and their contribution to positive aesthetic and functional results in dental rehabilitation with implants.
Discussion
The mechanical advantage of a lever is deter- mined by the relative lengths of the arms on either side of the fulcrum. If the lengths of the two arms are equal, the lever is said to be in balance, and the forces on both sides are equal. When one arm is longer than the other, it creates a mechanical advantage, allowing you to exert a smaller force on the longer arm to lift or move a heavier load on the shorter arm. The use of a double lever minimizes the risk of fracturing the labial alveolar wall, allowing guided bone regeneration in type I socket or preserve the maximum labial alveolar wall in type II or III.
The design and shape of the second lever arm are specifically crafted to minimize trauma to surrounding tissues and structures. The elevator's blade or tip is usually thin and tapered to fit into the space between the tooth and the bone without causing excessive damage or trauma preserving the structure of the socket (3, 4).
Follow the classification of the socket after the extraction must be the basis for choosing the appropriate treatment (Figure 11.A and Figure 11. B).
Different authors like Park et al. recommended the use of immediate implant placement because preservation of bone and soft tissue, reduced treatment time, improved esthetics, increased functional stability, enhanced patient satisaction and can be cost-effective compared to delayed placement, as it eliminates the need for additional bone grafting procedures and reduces the overall treatment time. It's important to note that immediate implant placement may not be suitable for every case. Factors such as the quality and quantity of the remaining bone, presence of infection or pathology, and the patient's overall oral health should be carefully evaluated to determine the appropriateness of immediate implant placement in a specific situation (5, 6). Like the present report of cases in which in some cases was decided immediate implant placement in others it was not in order to obtain bone first.
Evian et al. mentioned several factors can influence the anterior maxilla, these factors include ridge thickness, socket dimensions, bone quality, esthetic considerations, the condition and health of the soft tissues, including the gingiva and surrounding mucosa, an appropriate soft tissue contours contribute to optimal esthetic outcomes, proximity to anatomical structures, the abutment exposure and the type of material used in the restauration (7, 8). In the present cases it was done with a metal ceramic crown correctly placed which showed no discolor in the gingiva and great aspect in the anterior region.
Osseointegration refers to the process of direct structural and functional connection between living bone and the surface of a dental implant or another alloplastic material. After atraumatic dental extraction, the socket undergoes a healing process, which may affect the subsequent osseointegration of a dental implant placed in that area, several studies found greater results of osseointegration during larger periods of time after atraumatic extraction using the double lever (9). By all of this the two armed-lever technique was used in each case.
Wanis et al. mention the term called the dual zone which refers to a concept related to dental implant placement and aesthetics. It refers to the consideration of two important zones or areas in the mouth when planning implant treatment, peri-implant soft tissue zone: this refers to the gum tissue that surrounds the dental implant, the quality and quantity of the soft tissue play a crucial role in achieving an esthetical pleasing outcome, factors such as the thickness, colour, contour, and texture of the gum tissue are taken into account. The goal is to create harmonious, natural-looking soft tissue around the implant restoration, and the peri-implant bone zone: this refers to the bone structure surrounding the dental implant, sufficient bone volume and density are necessary to provide stability and support for the implant. The bone should be healthy and properly positioned to ensure long- term success and optimal function (10,11,12). The dual zone concept emphasizes the importance of considering both during dental implant treatment.
Preservation of bone after tooth extraction is an important aspect of dental care, especially when considering future dental implant placement. On the one hand, authors such as Seyssens et al., indicate it can be determined by the immediate placement of the implant, this technique has the advantage of preserving the bone surrounding the extracted tooth by providing functional loading to the area. On the other hand, authors such as Feher et al mention that tooth extraction result in marginal bone loss, by this reason the best way to avoid it is by socket preservation that involves placing a bone graft material into the socket immediately after tooth extraction, the bone graft material helps to maintain the dimensions of the socket and preserve the existing bone volume (13-14). In the current work, some cases were treated with immediate implant placement other with bone regeneration, in both techniques was observed preservation of the alveolar bone.

Conclusion
The techniques for bone preservation after tooth extraction have been developed to address the natural process of alveolar bone resorption that occurs following an extraction. The techniques mentioned, such as socket preservation using the double lever placing the implant immediately and guided bone regeneration following the classification of socket after extraction, have been shown to be effective in preserving bone volume and density after tooth extraction. They help to minimize the amount of resorption that occurs, which is crucial for maintaining the integrity of the jawbone. Nonetheless, the choice of bone preservation technique should be based on individual patient factors, including the specific case, the patient's overall oral health, and treatment goals. Not all cases require the same approach, and a comprehensive evaluation by a dental professional is necessary to determine the most appropriate technique.
Ethical considerations
The established ethical protocols and the Declaration of Helsinki (15) were applied in all the procedures that involved the participation of human beings in the study, the written authorization of the patients was obtained to publish their clinical photographs and disclose the case.
work completion site
Private consultation.
Financing
No.
Conflict of interests
The authors declare no conflict of interests.
Author contribution statement
All authors contributed to the conduct of this study.
Drafting of the manuscript, Literature review: J.C.Z. Elaboration of the manuscript, writing-review & editing, supervision contribution of the theme, final approval of the manuscript, investigation and data collection: E.T.M.
Elaboration of the manuscript, writing-review & editing, supervision, conceptualization and design, contribution of the theme, final approval of the manuscript, investigation and data collection: S.U.V.
Acknowledgements
We sincerely thank the patients who participated in this study and allowed their clinical information to be used for this report. Their participation and trust in our work team was essential for the development of this work and advancement of clinical practice.
References
Elian N., Cho S.C., Froum S., Smith R.B., Tarnow D.P. A simplified socket classification and repair technique. Pract Proced Aesthet Dent. 2007; 19 (2): 99-104.
Juodzbalys G., Stumbras A., Goyushov S., Duruel O., Tözüm T.F. Morphological Classification of Extraction Sockets and Clinical Decision Tree for Socket Preservation/ Augmentation after Tooth Extraction: a Systematic Review. J Oral Maxillofac Res. 2019; 10 (3): e3. doi:10.5037/jomr.2019.10303.
Gomez-Meda R., Esquivel J., Blatz M.B. The esthetic biological contour concept for implant restoration emergence profile design. J Esthet Restor Dent. 2021; 33 (1): 173-184. doi:10.1111/jerd.12714.
Gamborena I., Sasaki Y., Blatz M.B. Transmucosal abutments in the esthetic zone: Surgical and prosthetic considerations. J Esthet Restor Dent. 2023; 35 (1): 148-157. doi:10.1111/jerd.13006
Testori T., Weinstein T., Scutellà F., Wang H.L., Zucchelli G. Implant placement in the esthetic area: criteria for positioning single and multiple implants. Periodontol 2000. 2018; 77 (1): 176-196. doi:10.1111/prd.12211
Gamborena I. , Sasaki Y. , Blatz M.B. Predictable immediate implant placement and restoration in the esthetic zone. J Esthet Restor Dent. 2021; 33 (1): 158-172. doi:10.1111/jerd.12716
Evian C.I., Waasdorp J.A., Ishii M., Mandracchia M., Sanavi F., Rosenberg E.S. Evaluating extraction sockets in the esthetic zone for immediate implant placement. Compend Contin Educ Dent. 2011; 32 (3): e58-65.
ElAskary A., Elfana A., Meabed M., Abd-ElWahab Radi I., Akram M., Fawzy El-Sayed K. Immediate implant placement utilizing vestibular socket therapy versus early implant placement with contour augmentation for rehabilitation of compromised extraction sockets in the esthetic zone: A randomized controlled clinical trial. Clin Implant Dent Relat Res. 2022; 24 (5): 559-568. doi:10.1111/cid.13120
Abdullah A.H., Abdel Gaber H.K., Adel- Khattab D. Evaluation of soft tissue and labial plate of bone stability with immediate implant in direct contact versus gap with socket shield: A randomized clinical trial with 1 year follow-up. Clin Implant Dent Relat Res. 2022; 24 (5): 548-558. doi:10.1111/cid.13117
Wanis R.W., Hosny M.M., ElNahass H. Clinical evaluation of the buccal aspect around immediate implant using dual zone therapeutic concept versus buccal gap fill tobone level: A randomized controlled clinical trial. Clin Implant Dent Relat Res. 2022; 24 (3): 307-319. doi:10.1111/cid.13091
Song S.J., Chu S.M., Chu S.J., Saito H., Levin B.P., Egbert N.L., Sarnachiaro G.O., Tarnow D.P. A comparative analysis of dual- axis implants placed into maxillary anterior extraction sockets versus virtual planning with uniaxial implants: A simulated cone beam computed tomography study of implant length and diameter. J Esthet Restor Dent. 2023; 35 (1): 206-214. doi:10.1111/jerd.13011
Chu S.J. , Östman P.O., Nicolopoulos C., Yuvanoglu P., Chow J., Nevins M., Tarnow D.P. Prospective Multicenter Clinical Cohort Study of a Novel Macro Hybrid Implant in Maxillary Anterior Postextraction Sockets: 1-Year Results. Int J Periodontics Restorative Dent. 2018; 38: s17-s27. doi:10.11607/prd.3987
Seyssens L., De Lat L., Cosyn J. Immediate implant placement with or without connective tissue graft: A systematic review and meta-analysis. J Clin Periodontol. 2021; 48 (2): 284-301. doi:10.1111/jcpe.13397
Feher B., Frommlet F., Ulm C., Gruber R., Kuchler U. Preoperative buccal bone volume predicts long-term graft retention following augmentation in the esthetic zone: A retrospective case series. Clin Oral Implants Res. 2022; 33 (5): 492-500. doi:10.1111/clr.13909
Mesa D., Espinosa Y., Garcia I. Reflexiones sobre bioética médica. Rev. Méd Electrón. 2022. 44 (2): 413-424.