BIOQUÍMICA CLÍNICA
Injuria renal aguda secundaria a crisis hipercalcémica: a propósito de un caso
Acute renal injury secondary to hypercalcemic crisis: a case report
Lesão ou injúria renal aguda secundária a crise hipercalcêmica: relatório de caso clínico
Injuria renal aguda secundaria a crisis hipercalcémica: a propósito de un caso
Acta Bioquímica Clínica Latinoamericana, vol. 53, núm. 2, pp. 175-182, 2019
Federación Bioquímica de la Provincia de Buenos Aires
Recepción: 11 Octubre 2018
Aprobación: 15 Enero 2019
Resumen: La injuria renal aguda es una entidad clínica compleja, caracterizada por la disminución abrupta de la función renal. La hipercalcemia como etiología de la misma es poco frecuente. Los mecanismos involucrados en su desarrollo son múltiples y poco estudiados. Se presenta el caso de un paciente varón de 59 años que desarrolló un cuadro severo de falla renal aguda como complicación de crisis hipercalcémica por un adenoma de paratiroides. Se observó alteración en los marcadores de daño y función renal. La bioquímica urinaria mostró una necrosis tubular aguda. Los niveles de calcio, parathormona y calciuria se asociaron a endocrinopatía. La ecografía, el centellograma y la biopsia paratiroidea mostraron la presencia de un adenoma. Se presentaron otras complicaciones sistémicas concomitantes como pancreatitis y complicaciones cardíacas. El tratamiento paliativo fue la hemodiálisis y el definitivo la paratiroidectomía. El síndrome de hueso hambriento se presentó como una complicación postquirúrgica. Tras el alta, la recuperación de la función renal nunca fue total. El daño renal agudo asociado a disfunción sistémica por hipercalcemia puede llevar a una recuperación parcial de la función renal. Se debe considerar el desarrollo de enfermedad renal crónica posterior a la falla renal aguda por hipercalcemia como complicación de la misma.
Palabras clave: Injuria renal aguda, Falla renal aguda, Hipercalcemia, Crisis hipercalcémica, Necrosis tubular aguda.
Abstract: Acute renal injury is a complex clinical entity, characterized by the abrupt worsening in renal function. Hypercalcemia as its etiology is rare. The mechanisms involved in its development are multiple and rarely studied. The case of a 59-year-old male patient who developed a severe acute renal failure as a complication of an hypercalcemic crisis due to a parathyroid adenoma is presented here. Alterations in markers of damage and renal function were observed. Urinary biochemistry showed acute tubular necrosis. Calcium, parathormone and urine calcium levels were associated with endocrinopathy. The ultrasound, the scintigraphy and the parathyroid biopsy showed the presence of an adenoma. There were other concomitant systemic complications such as pancreatitis and cardiac complications. Hemodialysis was the palliative treatment, while the definitive treatment was parathyroidectomy. The hungry bone syndrome occurred as a postoperative complication. After discharge, recovery of renal function was never complete. Acute renal damage associated with systemic dysfunction due to hypercalcemia can lead to a partial recovery of renal function. The development of chronic kidney disease after acute renal failure due to hypercalcemia should be considered one of its complications.
Keywords: Acute renal injury, Acute renal failure, Hypercalcemia, Hypercalcemic crisis, Acute tubular necrosis.
Resumo: A Lesão renal aguda é uma entidade clínica complexa, caracterizada pela diminuição abrupta da função renal. A hipercalcemia como etiologia da mesma não é muito frequente. Os mecanismos que participam no seu desenvolvimento são múltiplos e pouco estudados. Apresenta-se o caso de um paciente, homem, de 59 anos, que desenvolveu um quadro severo de insuficiência renal aguda como complicação de crise hipercalcêmica por um adenoma da paratireóide. Foi observada alteração nos marcadores de dano e função renal. A bioquímica urinária mostrou uma necrose tubular aguda. Os níveis de cálcio, paratormona e calciúria foram associados a endocrinopatia. A ultra-sonografia, a cintilografia, e a biópsia da paratireóide mostraram a presença de um adenoma. Apresentaram-se outras complicações sistêmicas concomitantes como pancreatite e cardíacas. O tratamento paliativo foi hemodiálise e o definitivo, a paratireoidectomia. A síndrome do osso faminto apresentou-se como uma complicação pós-operatória. Após a alta, a recuperação da função renal nunca foi total. O dano renal agudo associado à disfunção sistêmica por hipercalcemia pode levar para uma recuperação parcial da função renal. Deve ser considerado o desenvolvimento da doença renal crônica posterior à insuficiência renal aguda por hipercalcemia como complicação da mesma.
Palavras-chave: Injúria ou lesão renal aguda, Insuficiência renal aguda, Hipercalcemia, Crise hipercalcê- mica, Necrose tubular aguda.
Introducción
La injuria renal aguda (IRA) ha sido definida como una compleja entidad clínica, caracterizada por un des- censo abrupto del filtrado glomerular (FG), aumento de los niveles de creatinina plasmática (Crp) y frecuentemente asociada a estados de oliguria y/o anuria (1). La significativa morbimortalidad y complicaciones sistémicas que presenta el fracaso agudo, guardan estrecha relación con la causa que originó la falla intrínseca (2). Registros epidemiológicos mostraron que del total de pacientes que desarrollan IRA, aproximadamente el 24% necesita tratamiento sustitutivo renal como terapéutica del fracaso agudo (3), el 26% evoluciona a enfermedad renal crónica como consecuencia del daño residual, tras no haber recuperado de forma total la función del órgano; e incluso un 6% culmina en enfermedad renal crónica terminal (4).
En base a los mecanismos que originan el fracaso renal agudo, la disminución del flujo plasmático renal que produce hipoperfusión sobre la porción tubular de la nefrona (necrosis tubular aguda isquémica), ha sido documentada como la más frecuente (5). Sin embargo, la lesión también puede ocasionarse por la acción y/o depósito de un agente, exógeno o endógeno, sobre las células del túbulo renal (necrosis tubular aguda nefrotóxica) (6). Dentro del grupo de sustancias denominadas nefrotóxicas, el Ca ha sido considerado como una de ellas, ya que en niveles por encima de los fisiológicos se convierte en un agente nocivo para las células renales, y puede originar complicaciones tanto agudas como crónicas en el órgano (7). El exceso de Ca plasmático, denominado hipercalcemia (HC), ha sido catalogado como un trastorno metabólico frecuente, producido por la sobrecarga excesiva de Ca asociada a una depuración renal deficiente (8). Los estados de HC leves o moderados suelen ser del tipo asintomáticos, pero cuando la presentación es abrupta y está acompañada de valores de Ca por encima de 3,50 mmol/L, se define una nueva entidad clínica, la cual se denomina, crisis hipercalcémica (CHC). La CHC es considerada una complicación poco frecuente pero grave de la HC, requiere de un diagnóstico precoz y tratamiento clínico urgente (9). Una vez instaurada, la CHC produce afecciones sistémicas severas y el desarrollo de una falla multiorgánica en este contexto, es inherente (10) (11). Dentro de las complicaciones sistémicas de la CHC, la IRA ha sido documentada como una de las manifestaciones más atípicas y menos estudiadas, debido a la baja prevalencia de dicha entidad (12).
El objetivo del presente caso clínico fue describir a la IRA como una complicación sistémica poco frecuente de la CHC y revisar los mecanismos asociados a su desarrollo.
Caso clínico
Paciente de sexo masculino de 59 años de edad, que acudió al servicio de emergencia por intenso dolor abdominal. Manifestó náuseas, vómitos y dispepsia. Refería pérdida de peso, anorexia, astenia e inestabilidad emocional semanas anteriores. A la anamnesis negó diarrea y consumo de antiinflamatorios no esteroideos (AINEs). Al examen semiológico se mostraba vigil, sin evidencia de edemas, normotenso, afebril, pero con sig- nos de bradipsiquia y poliuria.
Antecedentes clínicos: Ex tabaquista, dislipemia en tratamiento. Sin historial para hipertensión arterial, diabetes mellitus o enfermedad cardiovascular. Sin embargo, el electrocardiograma realizado en el servicio de emergencia, evidenció un acortamiento en el intervalo QT y una disminución del segmento ST.
Los datos analíticos de laboratorio al ingreso se resumen en la Tabla I. Tanto los niveles de Crp como los de FG, evidencian una caída de la función renal. En base a datos históricos de Crp (0,11 mmol/L) de días previos del paciente y según los criterios para definir IRA de acuerdo a KDIGO (1), se diagnosticó fracaso renal agudo.
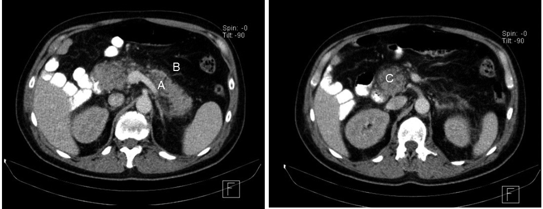
El paciente presentaba al ingreso alteraciones en los niveles de amilasa y lipasa séricas. El aumento por sobre tres desvíos estándar de los límites de referencia fue indicativo de una posible pancreatitis aguda (13), diagnóstico constatado mediante tomografía axial computada (Fig. 1).
En base a los valores aumentados de Ca y parathormona (PTH), se solicitó la medición de Ca en orina como parte del algoritmo diagnóstico de la HC. La excreción fraccional de calcio elevada observada al ingreso (Tabla I), fue compatible con una posible hiperactividad paratiroidea y sugestiva de una endocrinopatía como etiología de la HC.
En la ecografía de la glándula tiroides, se observó una lesión nodular sólida y heterogénea con una marcada vascularización central y periférica al Doppler de calor. Se complementó el hallazgo con una centellografía paratiroidea con Sestamibi-Tecnecio 99 (Fig. 2). En base a las pruebas de laboratorio e imágenes realizadas, se diagnosticó hiperparatiroidismo primario (HPP) por probable adenoma de paratiroides.
El tratamiento, en primera instancia, se basó en una terapéutica paliativa de urgencia enfocada en la restitución de la función renal y en la normalización de los niveles de Ca del paciente. Se indica un plan dinámico de hidratación en combinación con un diurético del asa (furosemida) asociado a bifosfonatos (pamidronato) (14). Dada la severidad del cuadro clínico y la refractariedad del mismo en las siguientes 24 h y debido a que el paciente no mostró recuperación de la función renal ni disminución de los niveles de Ca circulante, se emplea como siguiente terapéutica tratamiento sustitutivo renal con baño bajo en Ca (15). Como tratamiento definitivo de la lesión nodular, se realizó una paratiroidectomía. La biopsia del tejido analizado fue compatible con un score de adenoma paratiroideo (Fig. 3).
| BIOQUÍMICA EN SANGRE | ||||||
| Calcio total [mmol/L] | Calcio iónico [mmol/L] | Cr actual/histórico [mmol/L] | Urea (mmol/L) | Sodio [mmol/L] | Potasio [mmol/L] | Cloro [mmol/L] |
| 5,51 *(2,15-2,54) | 2,90 *(1,13-1,32) | 0,61/0,11 *(0,06-0,11) | 24 *(2-8) | 139 *(135-145) | 3,47 *(3,50-5,1O) | 99 *(96-108) |
| FGe CK-EPI (mL/min/1,73m2) | Amilasa [µkat/L] | Lipasa [µkat/L] | Fósforo [mmol/L] | Magnesio [mmol/L] | PTH (µg/L) | Vitamina D [nmol/L] |
| 10 *(mayor de 60) | 17,5 *(0,5-1,7) | 28,02 *(0,22-1,00) | 2,3 *(0,8-1,45) | 1,05 *(0,65-1,05) | 1.224 *(15-72) | 38 *(mayor de 78) |
| pH | pCO2 (torr) | p02 (torr) | HCO3 - [mmol/L] | EB [mmol/L] | Sat02 (%) | |
| 7,420 *(7,350-7,450) | 43 *(35-45) | 79*(mayor de 80) | 27,3 *(22,0-26,0) | 2,5 *(-2,0-2,0) | 95 *(mayor de 95) | |
| BIOQUÍMICA EN ORINA | ||||||
| Sodio [mmol/L] | Potasio [mmol/L] | Cloro [mmol/L] | Calcio [mmol/L] | Fósforo [mmol/L] | Creatinina [mmol/L] | Urea [mmol/L] |
| 55 | 35 | 65 | 7,84 | 5,86 | 6,93 | 138 |
| Pr/Cr | Sedimento urinario | EF calcio (%) | EF sodio (%) | EF urea (%) | Índice de falla renal | EF fósforo (%) |
| 0,41 *(hasta 0,20) | Sin alteraciones | 12,6 *(hasta 1) | 3,5 | 50 | 4,8 | 22 *(hasta 10) |


Se observa una zona de aumento de la captación del radiotrazador (Sestamibi-Tc99m) a nivel de la glándula paratiroidea izquierda, la cual se encuentra aumentada de tamaño.
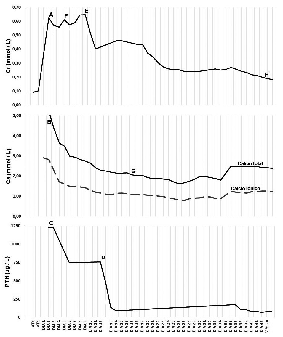
En la Figura 4 se observa el orden secuencial de los cambios en los niveles de Ca total, iónico, Crp y PTH tanto pre como post cirugía. A las 48 h posteriores al acto quirúrgico, se constató la aparición de un cuadro clínico de hipocalcemia que se manifestó como consecuencia de un síndrome de hueso hambriento (SHA); el mismo revirtió con el transcurrir de los días tras la administración de Ca y calcitriol (16).
Al alta del paciente, los niveles de Crp que presentaba mostraron una recuperación parcial de la función renal. Por tal motivo se realizó el seguimiento por consultorio de nefrología de forma ambulatoria. En los 24 meses posteriores, los controles de laboratorio continuaron mostrando niveles aumentados de Crp con un valor persistente de FG menor a 60 mL/min/1,73m2.
Discusión
Dentro del contexto de las etiologías nefrotóxicas de la IRA, la HC y más aún la CHC asociada a HPP es un desorden electrolítico severo, poco frecuente y escasamente documentado en la literatura (9). Gómez et al en un estudio prospectivo de 158 individuos con HPP, encontraron que solo 12 de ellos (7,6%) manifestaron una CHC (12). Moysés Neto et al en un análisis de 8 casos de HC asociada a IRA hallaron que el HPP fue la entidad menos prevalente (17). Una exhaustiva revisión bibliográfica sólo identificó 17 casos de HC mayores de 5 mmol/L que presentaron complicaciones sistémicas en donde las renales se manifestaron; una característica en común de todos ellos, es una mortalidad asociada a la IRA de aproximadamente el 60% (18).
Aún no se conocen con total claridad todos los mecanismos fisiopatológicos implicados en el desarrollo de la IRA secundaria a HC (19). A pesar de ello y dependiendo de la bibliografía documentada, es posible explicar la falla renal aguda en este contexto a partir de dos posibles mecanismos: cambios hemodinámicos-hipovolémicos y/o por injuria directa.
Las teorías que consideran que los cambios hemodinámicos e hipovolémicos son los principales desencadenantes de la IRA en la HC, atribuyen a la vasoconstricción y al estado poliúrico producido por el exceso de Ca como responsables de la hipoperfusión del órgano (20). Hay evidencia que demuestra que los niveles elevados de Ca generan una exacerbada e inadecuada vasoconstricción en el riñón. Tanto la arteriola aferente renal como la microcirculación se ven afectadas. Esto facilita un escenario propicio para el desarrollo de la consiguiente isquemia (21) (22). En cuanto al estado poliúrico, el mismo podría ser originado por el desarrollo de una diabetes insípida adquirida de origen nefrogénico. Los mecanismos desencadenantes de la misma podrían ser diversos y manifestarse de manera simultánea como consecuencia del exceso de Ca (23). Tanto el descenso en la carga filtrada producida por la vasoconstricción, que ocasiona una menor llegada de cloro y sodio al loop del asa de Henle (24) como la inhibición de la reabsorción de Na/Cl en la porción ascendente del asa producida por bloqueo del cotransportador (Na-K-2Cl) (25); así como la disminución de la permeabilidad al agua mediada por la hormona antidiurética en el túbulo colector (a causa de una menor expresión de acuaporina 2) serían los responsables del desarrollo de la diabetes insípida y la consiguiente poliuria (26).

ATC: Antecedente histórico. A: Insuficiencia renal aguda. B: Crisis hipercalcémica. C: Hiperparatiroidismo primaro. D: Paratiroidectomía. E: Tratamiento sustitutivo renal (hemodiálisis). F: Insuficiencia renal aguda refractaria. G: Sindrome de hueso hambriento. H: Enfermedad renal crónica.
Los mecanismos por los cuales el exceso de Ca posee su efecto tóxico sobre el riñón, aún no se comprenden completamente y varían según se trate de un proceso crónico o agudo (27) (28). Complicaciones a largo plazo como la nefrocalcinosis producida por la deposición renal de Ca o la nefrolitiasis han sido bien descritas, no así los efectos tóxicos del ion en procesos agudos (29). El aumento brusco de Ca podría generar complicaciones severas en múltiples órganos. A nivel renal, un desbalance de este ion libre a nivel citosólico conduciría a un daño mitocondrial por toxicidad, depleción de adenosín trifosfato (ATP) y la consiguiente muerte de las células del epitelio tubular renal. Este fenómeno junto a la isquemia producida por la vasoconstricción sería el paradigma de la necrosis tubular aguda secundaria a HC (30). Atribuir un solo mecanismo fisiopatológico al desarrollo de IRA secundaria a HC sería precipitado ya que su fisiopatología es compleja y poco conocida (19) (29) (30).
Un hallazgo llamativo en el presente caso clínico es que, a pesar de la severidad de la falla renal instaurada, el sedimento urinario inicialmente se mostró normal. Sin embargo, existe evidencia de que un 15% de los casos de necrosis tubular aguda muestran un sedimento urinario sin cambios en las fases iníciales, independientemente de la magnitud del daño o de la etiología que lo desencadenó (31).
Se encuentran documentadas otras complicaciones sistémicas asociadas a la HC y más aún a la CHC (32). El exceso de Ca produce alteraciones en todas las células excitables con función contráctil debido a su efecto sobre el potencial de acción (33). Complicaciones cardiovasculares se asocian al efecto que tiene el exceso de Ca sobre el potencial de contractibilidad del cardiomiocito. A nivel cardiaco la HC produce un descenso en la fase de plateau del potencial de acción miocárdico, lo que se traduce en un acortamiento del intervalo QT y en la disminución del segmento ST del ECG (34). Otra complicación reportada por CHC es la pancreatitis aguda, cuya prevalencia varía entre 1,5-13% (35). La pancreatitis inducida por HC se explica como una activación de novo del tripsinógeno pancreático, el cual conduce a un proceso de autodigestión del páncreas y/o a obstrucción crónica asociada a litiasis pancreática (36). En el presente caso clínico, el paciente desarrolló ambas complicaciones sistémicas relacionadas a la HC y mostró elevaciones de amilasa y lipasa séricas (Tabla I), así como también alteraciones en el ECG.
La estrategia terapéutica inicialmente tuvo por objeto reducir los niveles de Ca circulantes y restituir la función renal mediante un plan de reposición de volumen, asociado a terapia diurética y antirresortiva (bifosfonatos) (37). Sin embargo, el tratamiento definitivo se basa en eliminar la causa que origina la CHC. En los casos de HPP producidos por un adenoma de paratiroides o carcinoma, la extirpación mediante cirugía es la terapéutica de elección (38). Una complicación post quirúrgica de las cirugías de adenomas de paratiroides que han cursado con HPP es la disminución de los valores Ca que originan un cuadro de hipocalcemia. Este hallazgo frecuentemente se asocia con la presencia del desarrollo de un síndrome de hueso hambriento. El mismo es habitual tras un HPP severo y es consecuencia de las altas concentraciones de PTH circulantes, que exacerban el remodelado óseo durante la etapa aguda. Tras la paratiroidectomía, la caída abrupta de los niveles de PTH conduce a una marcada disminución de la resorción osteoclástica, descenso de la frecuencia de activación de sitios de remodelado y disminución en el espacio resorbido; se favorece así la actividad de los osteoblastos y la consecuente formación ósea. Estos mecanismos serían la causa de la caída abrupta y en ocasiones prolongada de los niveles séricos de Ca como así también de fósforo y magnesio observados tras una cirugía de esta patología (39) (40).
La CHC aguda puede ocasionar diversas afecciones orgánicas concomitantes que se traducen en el desarrollo de una disfunción sistémica. Complicaciones a nivel cardiovascular, pancreáticas y renales han sido descriptas en ese contexto. La IRA como una manifestación poco frecuente de esa falla sistémica, presenta múltiples comorbilidades asociadas debido a la conjunción de los mecanismos fisiopatológicos anteriormente descriptos, quienes podrían ejercer un daño irreversible sobre el riñón facilitando el desarrollo de nefroesclerosis renal, tanto a nivel glomerular, tubular como intersticial (2) (41). De esta manera, una vez finalizado el evento agudo también es importante considerar la progresión a enfermedad renal crónica en individuos que han tenido IRA severa secundaria a CHC (1) (41).
Referencias
1. Palevsky PM, Liu KD, Brophy PD, Chawla LS, Parikh CR, Thakar CV, et al. KDOQI US commentary on the 2012 KDIGO clinical practice guideline for acute kidney injury. Am J Kidney Dis 2013; 61: 649–72.
2. Grams ME, Rabb H. The distant organ effects of acute kidney injury. Kidney Int 2012; 81: 942-8.
3. Hoste EA, Bagshaw SM, Bellomo R, Cely CM, Colman R, Cruz DN, et al. Epidemiology of acute kidney injury in critically ill patients: the multinational AKI-EPI study. Intensive Care Med 2015; 41: 1411-23.
4. Coca SG, Singanamala S, Parikh CR. Chronic kidney disease after acute kidney injury: a systematic review and meta-analysis. Kidney Int 2012; 81: 442-8.
5. Sharfuddin AA, Molitoris BA. Pathophysiology of ischemic acute kidney injury. Nat Rev Nephrol 2011; 7: 189-200.
6. Turner JM, Coca SG. Acute tubular injury and acute tubular necrosis. In: Gilbert SJ, Weiner DE, eds. National Kidney Foundation Primer on Kidney Diseases. 7th ed. Philadelphia, PA: Elsevier; 2018: chap 34.
7. Kumbar L, Yee J. Nephrocalcinosis: A diagnostic conundrum. Am J Kidney Dis 2018; 71: A12-A14.
8. Peacock M. Calcium metabolism in health and disease. Clin J Am Soc Nephrol 2010; 5 Suppl 1: S23-30.
9. Ahmad S, Kuraganti G, Steenkamp D. Hypercalcemic Crisis: a clinical review. Am J Med 2015; 128: 239-45.
10. Al Zahrani A, Sinnert R, Gernsheimer J. Acute kidney injury, sodium disorders, and hypercalcemia in the aging kidney: diagnostic and therapeutic management strategies in emergency medicine. Clin Geriatr Med 2013; 29: 275-319.
11. Carroll MF, Schade DS. A practical approach to hypercalcemia. Am Fam Physician 2003; 67: 1959-66.
12. Gómez A, García M, Barrios B, Gutiérrez MT, Gómez J, Expósito A, et al. Hiperparatiroidismo primario y crisis hipercalcémica aguda tóxica. Cir Esp 2012; 90: 660-6.
13. Greenber JA, Hsu J, Bawazeer M, Marshall J, Friedrich JO, Nathens A, et al. Clinical practice guideline: management of acute pancreatitis. Can J Surg 2016; 59: 128–40.
14. Basso SM, Lumachi F, Nascimben F, Luisetto G, Camozzi V. Treatment of acute hypercalcemia. Med Chem 2012; 8: 564-8.
15. Kindgen-Milles D, Kram R, Kleinekofort W, Morgera S. Treatment of severe hypercalcemia using continuous renal replacement therapy with regional citrate anticoagulation. ASAIO J 2008; 54: 442-4.
16. Jain N, Reilly RF. Hungry bone syndrome. Curr Opin Nephrol Hypertens 2017; 26: 250-5.
17. Moysés-Neto M, Guimarães FM, Ayoub FH, Vieira-Neto OM, Costa JA, Dantas M. Acute renal failure and hypercalcemia. Ren Fail 2006; 28: 153-9.
18. Gurrado A, Piccinni G, Lissidini G, Di Fronzo P, Vittore F, Testini M. Hypercalcaemic crisis due to primary hyperparathyroidism-a systematic literature review and case report. Endokrynol Pol 2012; 63: 494-502.
19. Shavit L, Jaeger P, Unwin RJ. What is nephrocalcinosis? Kidney Int 2015; 88: 35-43.
20. Ziegler R. Hypercalcemic crisis. J Am Soc Nephrol 2001; 12 Suppl 17: S3-9.
21. Levi M, Ellis MA, Berl T. Control of renal hemodynamics and glomerular filtration rate in chronic hypercalcemia. J Clin Invest 1983; 71: 1624-32.
22. Chomdej B, Bell PD, Navar LG. Renal hemodynamic and autoregulatory responses to acute hypercalcemia. Am J Physiol 1977; 232: 490-6.
23. Araujo CA, Araujo NA, Daher EF, Oliveira JD, Kubrusly M, Duarte PM, et al. Resolution of hypercalcemia and acute kidney injury after treatment for pulmonary tuberculosis without the use of corticosteroids. Am J Trop Med Hyg 2013; 88: 592-5.
24. Sands JM, Bichet DG. Nephrogenic diabetes insipidus. Ann Intern Med 2006; 144: 186-94.
25. Gamba G, Friedman PA. Thick ascending limb: the Na(+): K (+): 2Cl (‐) co‐transporter, NKCC2, and the calcium‐sensing receptor, CaSR. Pflugers Arch 2009; 458: 61-76.
26. Ranieri M, Zahedi K, Tamma G, Centrone M, Di Mise A, Soleimani M, et al. CaSR signaling down-regulates AQP2 expression via a novel microRNA pathway in pendrin and NaCl cotransporter knockout mice. FASEB J 2018; 32: 2148-59.
27. Etayo EH, Restrepo CA. Necrosis tubular aguda por hipercalcemia secundaria a intoxicación por vitamina D. Acta Med Colomb 2010; 35: 100-3.
28. Evan A, Lingeman J, Coe FL, Worcester E. Randall’s plaque: pathogenesis and rolein calcium oxalate nephrolithiasis. Kidney Int 2006; 69: 1313-8.
29. Rejnmark L, Vestergaard P, Mosekilde L. Nephrolithiasis and renal calcifications in primary hyperparathyroidism. J Clin Endocrinol Metab 2011; 96: 2377-85.
30. Dong Z, Saikumar P, Weinberg JM, Venkatachalam MA. Calcium in cell injury and death. Annu Rev Pathol 2006; 1: 405-34.
31. Perazella MA, Coca SG, Kanbay M, Brewster UC, Parikh CR. Diagnostic value of urine microscopy for differential diagnosis of acute kidney injury in hospitalized patients. Clin J Am Soc Nephrol 2008; 3: 1615-9.
32. Rojas JA, Beltrán C, Rodríguez F, Leal R, Valencia A, Nieto V, et al. Crisis hipercalcémica en unidad de cuidado intensivo: disfunción multiorgánica secundaria a adenoma paratiroideo. Reporte de caso. Acta Colomb Cuid Intensivo 2017; 17: 85-154.
33. Reid IR, Birstow SM, Bolland MJ. Calcium and cardiovascular disease. Endocrinol Metab (Seoul) 2017; 32: 339–49.
34. Durant E, Singh A. ST elevation due to hypercalcemia. Am J Emerg Med 2017; 35: 1033.e3-1033.e6.
35. Carnaille B, Oudar C, Pattou F, Combemale F, Rocha J, Proye C. Pancreatitis and primary hyperparathyroidism: Forty cases. Aust N Z J Surg 1998; 68: 117-9.
36. Misgar RA, Mathew V, Pandit K, Chowdhury S. Primary hyperparathyroidism presenting as recurrent acute pancreatitis: a case report and review of literature. Indian J Endocrinol Metab 2011; 15: 54-6.
37. Rosner MH, Dalkin AC. Onco-nephrology: the pathophysiology and treatment of malignancy-associated hypercalcemia. Clin J Am Soc Nephrol 2012; 7: 1722-9.
38. Lew JI, Solorzano CC, Irvin GL 3rd. Long-term results of parathyroidectomy for hypercalcemic crisis. Arch Surg 2006; 141: 696-9; discussion 700.
39. Chia SH, Weisman RA, Tieu D, Kelly C, Dillmann WH, Orloff LA. Prospective study of perioperative factors predicting hypocalcemia after thyroid and parathyroid surgery. Arch Otolaryngol Head Neck Surg 2006; 132: 41-5.
40. Witteveen JE, van Thiel S, Romijn JA, Hamdy NA. Hungry bone syndrome: still a challenge in the post-operative management of primary hyperparathyroidism: a systematic review of the literature. Eur J Endocrinol 2013; 168: R45-53.
41. Ronco C, Rosner MH. Acute kidney injury and residual renal function. Crit Care 2012; 16: 144.
Notas de autor
Especialista en Emergentología. Jefe de servicio del Laboratorio Central del Instituto Modelo de Cardiología Privado S.R.L.
Instituto Modelo de Cardiología Privado S.R.L. - CP (5000) Sagrada Familia 359, Ciudad de Córdoba, Argentina