MICROBIOLOGÍA
Vaginosis bacteriana en embarazadas y su impacto en la prematurez y en el bajo peso al nacer
Bacterial vaginosis in pregnant women and its impact on prematurity and low birth weight
Vaginose bacteriana em mulheres grávidas e seu impacto na prematuridade e baixo peso ao nascer
Vaginosis bacteriana en embarazadas y su impacto en la prematurez y en el bajo peso al nacer
Acta Bioquímica Clínica Latinoamericana, vol. 52, núm. 3, pp. 347-353, 2018
Federación Bioquímica de la Provincia de Buenos Aires
Recepción: 21 Diciembre 2017
Aprobación: 29 Junio 2018
Resumen: La vaginosis bacteriana (VB) es un síndrome producido por el desbalance de la microbiota vaginal normal, frecuente en mujeres en edad fértil, incluyendo embarazadas (ME). Los objetivos de este trabajo fueron conocer la prevalencia de VB en el segundo trimestre de embarazo en la población estudiada y su impacto sobre la producción de partos prematuros (PP) y/o de bajo peso al nacer (BPN). Se realizó un estudio retrospectivo, comparativo, de casos y controles, de 315 ME con y sin vaginosis en el segundo trimestre de embarazo entre 2009 y 2016. Se consideraron “casos” a aquellas mujeres afectadas por VB (estadio IV) y “controles” a las que exhibían una microbiota habitual (estadio I). El 20% de las ME presentaron VB (estadio IV). Se registraron 16 BPN (11 entre los 62 casos y 5 entre los 120 controles) (.=0,025). En 16 oportunidades el parto fue prematuro (10 entre los casos y 6 entre los controles) (.=0,007) En total, las dificultades en el parto fueron significativamente más numerosas entre los casos que entre los controles (.=0,009). Al menos en la población estudiada la presencia de vaginosis en el segundo trimestre de las ME estuvo significativamente asociada con PP y/o BPN.
Palabras clave: Vaginosis bacteriana, embarazadas, parto prematuro, bajo peso al nacer.
Abstract: Bacterial vaginosis (BV) is a syndrome produced by the imbalance of the normal vaginal microbiota, common in women of childbearing age including pregnant women (PW). The objectives of this study were to know the prevalence of BV in the second trimester of pregnancy in the population studied and its impact on the production of premature births (PB) and/or low birth weight infants (LBWI). A retrospective, comparative study of cases and controls of 315 PW with and without vaginosis was carried out in the second trimester of pregnancy between 2009 and 2016. Those cases affected by BV (stage IV) were considered “cases”, and “controls” those that exhibited a habitual microbiota (stage I). Twenty percent of PW presented VB (stage IV) and 16 LBWI were recorded (11 among 62 cases and 5 among 120 controls) (p=0.025). On 16 occasions, labour was premature (10 among cases and 6 among controls) (p=0.007). In total, the difficulties in delivery were significantly more numerous among the cases than among the controls (p=0.009), at least in the population studied the presence of vaginosis in the second trimester of the ME was significantly associated with PB delivery and/or LBWI.
Keywords: Bacterial vaginosis, pregnant, premature birth, low birth weight.
Resumo: A vaginose bacteriana (VB) . uma síndrome produzida pelo desequilíbrio da microbiota vaginal normal, comum em mulheres em idade fértil, incluindo mulheres grávidas (MG). Os objetivos deste estudo foram conhecer a prevalência de VB no segundo trimestre da gravidez na população estudada e seu impacto na produção de nascimentos prematuros (NP) e/ou com baixo peso ao nascer (BPN). Um estudo retrospectivo e comparativo de casos e controles de 315 ME com e sem vaginose foi realizado no segundo trimestre de gravidez entre 2009 e 2016. Os casos afetados por VB (estágio IV) foram considerados “casos”, e “controles” aqueles que exibíam uma microbiota habitual (estagio I). Vinte por cento dos MG apresentaram VB (estagio IV), 16 BPN foram registrados (11 entre 62 casos e 5 entre 120 controles) (p=0,025). Em 16 ocasiões, o parto foi prematuro (10 entre os casos e 6 entre os controles) (p=0,007). No total, as dificuldades no parto foram significativamente mais numerosas entre os casos do que entre os controles (p=0,009). Pelo menos na população estudada a presença de vaginose no segundo trimestre das MG foi significativamente aos à PN e/ou BPN.
Palavras-chave: Vaginose bacteriana, grávidas, parto prematuro, baixo peso ao nascer.
Introducción
La microbiota vaginal normal contribuye en forma significativa a mantener el estado fisiológico del tracto genital femenino, lo cual asegura la función óptima de la actividad sexual y reproductiva. Entre otros aspectos, contribuye a controlar la colonización por microorganismos provenientes de otros nichos ecológicos humanos y/o por patógenos externos.
El desbalance de la microbiota vaginal es frecuente en la mujer en edad fértil y, en un 15-20% de los casos ocasiona una disfunción vaginal que afecta la salud sexual y reproductiva (1).
La vaginosis bacteriana (VB) es un síndrome producido por el desbalance de la microbiota vaginal normal. Se caracteriza por el reemplazo de Lactobacillus spp. y otros bacilos gram positivos anaerobios productores de ácido láctico, por un grupo de bacterias aeróbicas y anaeróbicas en su mayoría, que incluye Gardnerella vaginalis, Atopobium vaginae, Megasphaera Tipo 1 y Tipo 2, Bacterial Vaginosis- Associated Bacterium 2 (BVAB2), Bacteroides spp., Mobiluncus spp., Mycoplasma hominis, Ureaplasma urealyticum y otras bacterias anaerobias no cultivables. El signo clínico más frecuente es la aparición de una secreción vaginal diferente a la fisiológica, generalmente grisácea, maloliente, fluida y con presencia de burbujas. No presenta signos inflamatorios destacables (2). Sin embargo, la mitad de las mujeres en las que se encuentran criterios clínicos de la entidad se mantienen asintomáticas (3).
La VB es una entidad clínica frecuente en mujeres en edad fértil incluyendo embarazadas (4). En este contexto, se ha demostrado que la VB está asociada con un riesgo de complicaciones obstétricas por la acción de enzimas hidrolíticas producidas por los microorganismos responsables de esta patología, en particular por la presencia de Mobiluncus spp. (5). Estas enzimas son capaces de inducir la degradación de la mucosidad vaginal, y así favorecen la colonización del epitelio vaginal por las bacterias que producen la VB. Éstas pueden causar rotura prematura de membranas, parto prematuro, corioamnionitis y bajo peso al nacer (6). El mecanismo por el cual las enzimas hidrolíticas conducen a la prematurez puede explicarse por la modulación del sistema inmune. Gardnerella vaginalis es capaz de producir una toxina hemolítica selectiva de células epiteliales vaginales humanas, llamada vaginolisina. La vaginolisina es un elemento peyorativo en términos de complicaciones obstétricas en el subgrupo de mujeres con VB y cuyo sistema inmune local es incapaz de dar una respuesta adaptada a esta toxina. El mecanismo es el clivaje de las inmunoglobulinas de tipo A (IgA) por las enzimas hidrolíticas. De esta manera se pueden identificar dos subgrupos de pacientes con VB:
Por lo tanto, una respuesta inmune local deficitaria conduce a complicaciones obstétricas (5).
Sin embargo, no hay consenso en la necesidad de realizar el estudio de vaginosis en el embarazo para decidir su tratamiento en función de prevenir eventos adversos tales como el nacimiento prematuro (7). Probablemente el tratamiento no impida el parto prematuro ni el bajo peso del recién nacido.
La Organización Mundial de la Salud (OMS) define nacimiento prematuro o pretérmino al parto que se produce antes de completarse la semana 37 de gestación, independientemente del peso al nacer. Muchos de los bebés prematuros que sobreviven corren el riesgo de sufrir complicaciones tanto a corto como a largo plazo. La morbilidad observada es inversamente proporcional a la edad gestacional al nacer. Las secuelas de un nacimiento prematuro son numerosas y entre ellas se destacan lesiones neurológicas como hemorragia intracraneal; respiratorias, como dificultad respiratoria, displasia broncopulmonar; digestivas, como enterocolitis ulceronecrosante. Predominan las secuelas neuropsiquiátricas, como parálisis cerebral, deterioro mental, epilepsia, problemas de conducta, déficit de atención, de aprendizaje y auditivo (5).
Según la OMS, el bajo peso al nacer (BPN) se define como un peso menor de 2.500 gramos en el recién nacido, independientemente de la edad gestacional. Los neonatos con BPN, y especialmente con peso inferior a 1.500 gramos (muy bajo peso al nacer), determinan el 60% de la mortalidad neonatal y cerca del 4% de la mortalidad infantil (8). De los sobrevivientes, se calcula que entre el 13% y el 24% padecen trastornos neurológicos y entre el 6% y el 13%, déficit intelectual. Una prevalencia cercana al 16% en los países en desarrollo hace del BPN el principal responsable de la mortalidad infantil en estos países (8).
La prematurez y el BPN son causas importantes de morbilidad y mortalidad infantil, y constituyen un serio problema en el sistema de salud.
Los objetivos de este trabajo fueron conocer la prevalencia de VB en el segundo trimestre de embarazo en la población estudiada y el impacto de la VB sobre la producción de nacimientos prematuros y/o de recién nacidos de bajo peso.
Materiales y Métodos
DISEÑO
Se realizó un estudio retrospectivo, comparativo, de casos y controles, de mujeres embarazadas con y sin vaginosis en el segundo trimestre de embarazo. El grupo estudiado estaba conformado por 315 gestantes que concurrieron al Centro de Atención Primaria de la Salud (CAPS) Nº32 en la localidad de José Hernández, partido de La Plata. La muestra de este estudio incluyó a pacientes monitoreadas en el período 2009-2016, en el marco del proyecto de extensión “Estudio de vaginosis bacteriana, infección urinaria y colonización por Streptococcus agalactiae en embarazadas que asisten a Centros de Atención Primaria del Partido de La Plata”, llevado a cabo por la Cátedra de Microbiología Clínica de la Facultad de Ciencias Exactas, Universidad Nacional de La Plata. Todas las pacientes estudiadas eran originarias del barrio José Hernández y sus alrededores.
Se consideraron “casos” a aquellas pacientes afectadas claramente por VB (estadio IV) según los criterios que se detallan más adelante y “controles” a las que exhibían una microbiota habitual (estadio I). Se tomaron dos controles por cada caso en forma aleatoria (muestra anterior y posterior a cada caso). Se revisaron las historias clínicas de casos y controles.
CRITERIOS DE EXCLUSIÓN
Se excluyeron aquellas pacientes en cuyas historias clínicas no figuraba el peso del recién nacido o la semana de gestación. También se excluyeron aquellas a las que se les detectó bacteriuria asintomática o infección urinaria en algún momento del embarazo, dado que éste es un factor de riesgo para prematurez y BPN. También se excluyeron pacientes con otras patologías, como sífilis, diabetes o tuberculosis, asociadas a esas u otras complicaciones en el recién nacido.
TOMA DE LAS MUESTRAS
Las muestras estudiadas correspondieron a exudados vaginales, recogidos en el segundo trimestre de embarazo. A cada paciente se la colocó en posición ginecológica y se le realizó la toma de muestra del fondo de saco vaginal posterior, sin la colocación de espéculo, separando manualmente los grandes labios e introduciendo el hisopo de algodón estéril respectivo en el tracto vaginal, rotándolo y regulando la mayor profundidad posible alcanzada naturalmente. Se utilizaron dos hisopos por toma. Se realizaron dos extendidos en portaobjetos y se dejaron secar al aire. Uno de los hisopos se introdujo en un tubo estéril con 0,5 mL de solución fisiológica. El otro fue utilizado para realizar la prueba de aminas (fish odor). Las muestras fueron transportadas al laboratorio de la Cátedra de Microbiología, donde fueron analizadas.
PROCESAMIENTO DE LAS MUESTRAS
El procesamiento de las muestras se llevó a cabo según las recomendaciones del Manual de Procedimientos BACOVA, del Programa PROSAR de la Fundación Bioquímica Argentina (9).
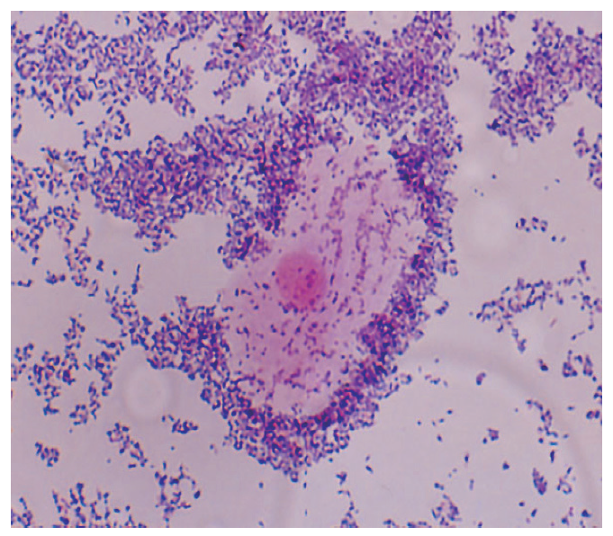
Se trabajó con el hisopo que se encontraba en el tubo de 0,5 mL de solución fisiológica estéril y se procedió a la observación en fresco. Se homogeneizó manualmente, tratando de transferir la mayor cantidad de material a la fase líquida. Se colocaron gotas de la suspensión entre porta y cubreobjetos para la observación en fresco. De esta manera se evaluó el contenido vaginal utilizando un microscopio óptico, con aumento de 400X. El examen en fresco permitió evaluar la relación de lactobacilos y el resto de la microbiota habitual, resultado que fue verificado luego mediante el recuento relativo estandarizado en el Gram. Se registró la detección de bacterias móviles compatibles con Mobiluncus spp., la presencia de levaduras y Trichomonas. También se realizó la apreciación global preliminar subjetiva de la relación de leucocitos por campo y leucocitos por célula epitelial. Esta cifra nuevamente fue confirmada a través de la coloración de Gram. Se detectaron morfotipos bacterianos extraños, presencia de células guía y células redondas o francamente distintas de las epiteliales típicas. Las células guía o clue cells son células del epitelio vaginal tapizadas de cocobacilos gram variables (Fig. 1).

Ambos extendidos fueron coloreados con la tinción de Gram, previa fijación por calor. Los extendidos teñidos con la coloración de Gram brindan tres criterios fundamentales prioritarios: establecer el Valor Numérico (VN), informar sobre morfotipos no habituales en la vagina y una segunda apreciación sobre la cantidad de leucocitos por campo (RIV). En este caso la línea de corte que se acepta es de 5 leucocitos por campo.
Se estableció con seguridad el VN, siguiendo la metodología propuesta por Nugent. El VN se asignó teniendo en cuenta la proporción relativa de tres criterios morfológicos: morfotipo de bacilos rectos gram positivos compatibles con Lactobacillus spp. (Fig. 2); morfotipo de bacilos pequeños gram variables compatibles con Gardnerella, Bacteroides y otros anaerobios; morfotipo de bacilos curvos gram variables compatibles con Mobiluncus spp.

La detección de células guía (Fig.1), en cualquiera de los extendidos, independientemente de su número, significó la corrección del valor numérico básico de Nugent: se sumaron 2 puntos cuando éste se ubicó entre 5 y 6. Valores numéricos de 7 o más se consideraron de hecho indicadores de franca alteración de la microbiota vaginal y no requirieron corrección (Tabla I).

Se estableció la reacción inflamatoria vaginal (RIV) de la muestra al evaluar cuantitativamente los leucocitos por campo, con un aumento de 1.000X. Se analizaron no menos de cinco campos no adyacentes. Cuando se hallaron valores de dispersión racionales, se calculó el promedio de las lecturas obtenidas y se informó un solo número entero. Cuando de la muestra resultaron valores muy dispares entre los distintos campos evaluados, el estudio se realizó analizando cinco campos más. Como se dijo más arriba, se consideró RIV positiva a la presencia de 5 leucocitos o más por campo.
Se asignó un diagnóstico a la muestra, teniendo en cuenta el VN y el RIV. De acuerdo a los resultados obtenidos, se jerarquizó el resultado dentro de un Estadio Vaginal Básico (EVB) (Tabla II).

ANÁLISIS ESTADÍSTICO
Se utilizó el programa VassarStats para determinar los intervalos de confianza del 95% y los valores de p utilizando la prueba de asociación de chi cuadrado para variables discretas, de acuerdo a la corrección de Yates, o el test exacto de Fisher, según correspondiera, con un nivel de significación de á ≤0,05.
Resultados
El 20% de las mujeres estudiadas presentaron VB (estadio IV), mientras que solo un 5,1% estaban afectadas de vaginitis (estadio V) (Tabla III).

Se registraron 16 RN de bajo peso (11 entre los 62 casos y 5 entre los 120 controles) (p=0,025) y en 16 oportunidades el parto fue prematuro (10 entre los casos y 6 entre los controles) (p=0,007). En total, las dificultades en el parto fueron significativamente más numerosas entre los casos que entre los controles (p=0,009).
Discusión y Conclusiones
Se estima que la VB globalmente constituye un tercio del total de las infecciones ginecológicas diagnosticadas. La frecuencia en la población obstétrica es de alrededor del 20% (4), porcentaje equivalente al observado en la población estudiada por estos autores, donde una de cada cinco mujeres embarazadas estaba afectada de vaginosis. No obstante esta prevalencia varía de un 5 a un 55% según la localización geográfica, el origen étnico y las condiciones socioeconómicas (5). En los EE.UU., por ejemplo, la prevalencia es más elevada (18 a 55%) que en Europa (5 a 14%) (5).
Durante el embarazo, la presencia de VB se asocia con un riesgo mayor de complicaciones obstétricas (ruptura prematura de membranas, prematurez, corioamnionitis, BPN) (5). En la población de mujeres embarazadas de CAPS del Gran La Plata, la presencia de vaginosis en el segundo trimestre estuvo significativamente asociada con parto prematuro y/o BPN. Todas ellas fueron tratadas con metronidazol por vía vaginal. Queda la duda de si el tratamiento, a pesar de resolver los síntomas, podría ser capaz de prevenir los efectos negativos de la VB en el parto.
El metronidazol resuelve la mayoría de los síntomas clínicos de las mujeres embarazadas inmunocompetentes, independientemente de la vía de administración, pero en la mayoría de los estudios no ha tenido impacto en las tasas de nacimientos prematuros (11). No hay evidencia de que el metronidazol sea teratogénico o mutagénico, y se considera seguro para usar en el embarazo (7).
En mujeres con bajo riesgo de tener un parto prematuro, no hubo diferencias significativas en los resultados adversos, como parto prematuro, trabajo de parto prematuro o BPN, a pesar del tratamiento adecuado y la erradicación de la VB. Aunque los regímenes de tratamiento vaginal han demostrado ser eficaces en la erradicación de la vaginosis bacteriana en el embarazo, parecen no ser efectivos para prevenir el parto prematuro. Algunos ensayos de tratamiento oral han tenido éxito en mostrar una disminución de la tasa de prematurez en las mujeres tratadas por vaginosis bacteriana, pero solo en aquellas con antecedentes de nacimientos prematuros (mujeres de alto riesgo) (11).
Un metaanálisis que exploró el tema del tratamiento oral o vaginal en mujeres con bajo riesgo frente a aquellas con alto riesgo no encontró una reducción significativa en el parto prematuro por tratamiento de todo el grupo de mujeres. Sin embargo, en el subgrupo de mujeres que tuvieron un parto prematuro anterior y que habían recibido tratamiento oral durante al menos siete días, hubo una disminución altamente significativa de la prematurez en el nuevo parto. No obstante, no se observó el mismo beneficio en el grupo de mujeres que recibieron tratamiento vaginal (7).
Aún no está claro por qué el tratamiento vaginal podría no ofrecer el mismo beneficio para la prevención del parto prematuro que la terapia sistémica. Sin embargo, algunos autores han planteado la hipótesis que se podría requerir tratamiento sistémico para erradicar completamente los microorganismos asociados a la vaginosis bacteriana del tracto genital inferior y superior, evitando así el parto prematuro (7).
Al menos en la población estudiada la presencia de vaginosis en el segundo trimestre de las mujeres embarazadas estuvo significativamente asociada con parto prematuro y/o bajo peso al nacer. Deberían realizarse estudios prospectivos que puedan determinar la posibilidad de prevenir estas complicaciones con el uso de antibióticos orales vs. vaginales utilizando un grupo control sin tratamiento.
CONFLICTOS DE INTERESES
Los autores declaran no tener conflictos de intereses respecto de este trabajo.
CONSIDERACIONES ÉTICAS
Dado que el trabajo fue retrospectivo, solo se utilizó el protocolo de consentimiento informado estándar correspondiente a la CAPS N° 32. Por otra parte, se protegió debidamente la identidad de las pacientes.
Agradecimientos
Los autores agradecen a las profesoras Laura Delaplace y María Cecilia Girard Bosch por permitir la realización del trabajo final a Agustina Venturi Grosso en este tema y estimularlas en toda su tarea.
Referencias
1. Bologno R, Díaz YM, Giraudo MC, Fernández R, Menéndez V, Brizuela JC, et al. Importancia del estudio del balance del contenido vaginal (BACOVA) en el control preventivo de las trabajadoras sexuales. Rev Argent Microbiol 2011; 43: 246-50.
2. Lopardo H, Gobet LM, Viegas Caetano J, Moviglia AM, Vigliarolo L, Suárez M. Introducción a la Microbiología Clínica. EDULP, 2015. ISBN 978-950-34-1313-5. http://sedici.unlp.edu.ar/handle/10915/52389 (Fecha de acceso: 20 de diciembre de 2017).
3. CDC. Guidelines for treatment of sexually transmitted diseases. Center for Disease Control and Prevention. MMWR 1998; 47(RR-1): 71-4.
4. Lamont RF, Fisk NM. The role of infection in the pathogenesis of preterm labour. In: Studd JWW editor(s). Progress in Obstetrics and gynaecology. Vol. 10, London: Churchill Livingstone 1993; 135-58.
5. Menard J-P, Bretelle F. Vaginose bactérienne et accouchement prématuré. Gynecol Obstet Fertil 2012; 40: 48-54.
6. Menard J-P, Bretelle F. How can the treatment of bacterial vaginosis be improved to reduce the risk of preterm delivery? Womens Health (Lond) 2012; 8: 491-3.
7. Yudin MH, Money DM. No. 211-Screening and management of bacterial vaginosis in pregnancy. J Obstet Gynaecol Can 2017; 39: e184-e191.
8. Álvarez Fumero R, Urra Cobas LR, Aliño Santiago M. Repercusión de los factores de riesgo en el bajo peso al nacer; Ministerio de Salud Pública 2001; 14: 117-24.
9. Manual de Procedimientos BACOVA 2007/8. Disponible en http://www.fba.org.ar/programas/prosar/bacova 2-3.html (Fecha de acceso: 20 de diciembre de 2017).
10. Nugent RP, Krohn MA, Hillier SL. Reliaty of diagnosing bacterial vaginosis is improved by a standardized method of Gram stain interpretation. J Clin Microbiol 1991; 29: 297-301.
11. Manns-James L. Bacterial vaginosis and preterm birth. J Midwifery Womens Health 2011; 56: 575-83.
Notas de autor