Informe de caso
Carcinoma de la corteza suprarrenal. Presentación de un caso
Carcinoma of the adrenal cortex. Case presentation
Carcinoma de la corteza suprarrenal. Presentación de un caso
Revista Información Científica, vol. 97, núm. 1, pp. 166-174, 2018
Universidad de Ciencias Médicas Guantánamo
Recepción: 02 Junio 2017
Aprobación: 04 Julio 2017
RESUMEN: Se realizó un estudio clínico anatomopatológico sobre la base de la metodología cualitativa para la descripción de un caso de carcinoma de la corteza suprarrenal en el Hospital General Docente “Dr Agostinho Neto” de Guantánamo en el año 2015. Se describió el caso de un paciente con antecedentes de buena salud, que acude por presentar molestia dolorosa de intensidad gravativa en región posterior izquierda lumboabdominal, se indica chequeo general y mediante la ecografía se diagnostica tumoración suprarrenal izquierda se realizó supraadrenelectomia. El resultado histopatológico señala carcinoma de la corteza suprarrenal.
Palabras clave: carcinoma suprarrenal, tumor suprarrenal, estudio anatomopatológico.
ABSTRACT: A pathological clinical study was carried out based on the qualitative methodology for the description of a case of carcinoma of the adrenal cortex at Guantanamo General Teaching Hospital in 2015. A case of a patient with a history of good health, but presenting painful discomfort of gravel intensity in the left posterior lumbo-abdominal region is presented besides general check by ultrasound were indicated. Left adrenal tumor is diagnosed and supra adrenelectomy is performed. Histopathologic results indicate carcinoma of the adrenal cortex.
Keywords: adrenal carcinoma, adrenal tumor, anatomopathological study.
Introducción
El carcinoma de la corteza suprarrenal, es una neoplasia maligna de mal pronóstico. Es una enfermedad poco frecuente por lo que se forman células malignas en la capa exterior de la glándula suprarrenal.
La incidencia global es del 0.5-2 x 1000000 habitantes y de los incidentalomas adrenales de 2-3 %. Un tumor de la corteza suprarrenal puede ser funcionante elabora más hormona de lo normal o no funcionante no elabora más hormona de lo normal.
La mayoría de los tumores de la corteza suprarrenal son funcionantes, los no funcionantes predominan en la cuarta y séptima década, de la vida con predominio del sexo masculino, sufrir de ciertas afecciones genéticas aumenta el riesgo de carcinoma, los síntomas incluyen masa en el abdomen, dolor en la espalda, fosa iliaca y abdomen y sensación de saciedad, puede que los no funcionantes no causen signos ni síntomas en los estadios tempranos.1,2,3,4,5,6,7,8
El diagnóstico se realiza en la mayoría de las veces en estadío avanzado en forma incidental, metastizan precozmente por su tendencia de invasión a las estructuras vasculares.
Para detectar y diagnosticar el carcinoma de la corteza se usan estudios de imágenes y pruebas que examinan la sangre y la orina, ciertos factores afectan el pronóstico y probabilidad de recuperación y las opciones de tratamiento, como por ejemplo tamaño del tumor, si se disemina hasta otras partes del cuerpo, si fue tratado antes, estado general del paciente, el grado de células tumorales, si la cirugía fue exitosa. El carcinoma de la corteza suprarrenal se puede curar si se trata durante un estadio temprano.9
Presentación del caso
Paciente RVM, masculino de 50 años, raza negra, con buena salud aparente, carga genética oncológica negativa que comenzó a presentar molestia dolorosa de intensidad gravativa en la región posterior izquierda lumboabdominal, variaciones de la tensión arterial con tendencia a la hipotensión, mareos, decaimiento.
Su exploración física: signos vitales normales, peso 63 kg, talla 72 cm.
Estudios de laboratorio: biometría hemática, química y sanguínea normales, exámenes radiológicos.
Tomografía axial computarizada y ecografía informan masa tumoral en suprarrenal izquierda.
Ante estos hallazgos se decide realizar cirugía supraadrenelentomia y biopsia para el diagnóstico anatomopatologico.
Se egresa del postoperatorio en buenas condiciones con evolución clínica satisfactoria y tratamiento oncológico con seguimiento.10,11,12
Examen físico:
Aparato respiratorio: frecuencia respiratoria, 20/minutos. Normal.
Aparato cardiovascular: frecuencia cardíaca, 82/minutos, tensión arterial, 120/80 mmHg.
Abdomen: normal.
Sistema urogenital, molestia dolorosa al puño percusión.
Estudios imaginológicos:
Ecografía: riñón izquierdo mide 111x52 mm con parénquima en 27 mm; riñón derecho mide 98x38mm con parénquima en 14 mm.
Se observa a nivel de la glándula suprarrenal izquierda entre el riñón izquierdo y el bazo imagen hipoecogénica irregular que mide 104x71 mm con imagen ecolúcida en su interior que mide 11x11 mm, se corresponde con áreas de necrosis, dicha imagen guarda contacto con el músculo psoas provocando desplazamiento del riñón izquierdo.
Tomografía axial computarizada (TAC): en los cortes tomográficos, se identifica imagen hiperdensa que se localiza a nivel de la glándula suprarrenal izquierda de 40 uh con áreas centrales de menor densidad de necrosis, de contornos regulares, contacta con el músculo psoas y desplaza inferiormente el riñón izquierdo.
Ambos riñones con índice córtico-medular conservada con buena concentración y eliminación del medio de contraste. Restos de órganos normales. Tumor de glándula suprarrenal izquierda.
Evolución clínica: favorable.
Diagnóstico anatomopatológico:
Lesión de aspecto tumoral bilobulada que pesa 200 g y mide 11.5 x 10.5 x 6 cm aparentemente encapsulada, de color grisáceo-rojizo blando, carnoso, con dilataciones quísticas, áreas focales de tejido más sólido situado hacia la periferia acompañado de una porción de tejido suprarrenal (Figuras 1 y Figuras 2).


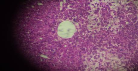
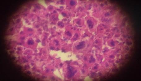
Descripción microscópica
Proliferación de células anaplásicas con núcleos bizarros con falta de cohesión (Figura 3), presencia de numerosas mitosis atípicas, células gigantes multinucleadas (Figura 4) y otras fusiformes con citoplasma rosado eosinofílico con algunas inclusiones y áreas focales con patrón trabecular que delimita del tejido suprarrenal sano por una cápsula gruesa escasa con focos de necrosis y hemorragia.


Discusión del caso
El carcinoma de la corteza suprarrenal es una enfermedad poco frecuente por lo que se forman células malignas en la capa exterior de la glándula suprarrenal. Hay dos glándulas suprarrenales, cada una se ubica encima de cada riñón y tiene dos partes.
La capa exterior es la corteza suprarrenal y el centro es la médula suprarrenal. La corteza suprarrenal elabora hormonas importantes como cortisol, aldosterona, testosterona y estrógenos que mantiene el equilibrio del agua, ayuda a mantener normal la presión arterial, controla además el uso que hace el cuerpo de las proteínas, las grasas y los carbohidratos, hacen que el cuerpo tenga características masculinas o femeninas.
Los síntomas del carcinoma de la corteza suprarrenal pude causar estos y otros síntomas como masa y dolor abdominal o en la espalda además de sensación de saciedad en el abdomen. Un tumor de corteza suprarrenal puede ser funcionante o no.
Las pruebas y procedimientos que se usan para el diagnóstico de un carcinoma de la corteza suprarrenal dependen de los síntomas y signos del paciente. Se pueden utilizar las siguientes pruebas:13
Examen físico y antecedentes del paciente.
Exploración con TAC, IRM (imagen por resonancia magnética) y ecografía.
El diagnóstico patológico se basa en las características macroscópicas y microscópicas.
Macroscópicas: peso, tamaño, hemorragia, invasión tumoral a la cápsula.
Microscópicas: la puntuación de Weiss es la más utilizada universalmente emite 9 criterios: alta tasa de mitosis más de 5x50 campo de mayor aumento, mitosis atípica, invasión venosa, alto grado nuclear, ausencia de células con citoplasma claro menos de un 25 %, un patrón de crecimiento difuso en más de un tercio del tumor, necrosis, invasión sinusoidal y capsular. Son necesarios 3 o más para realizar un diagnóstico.
Es importante la información adicional obtenida con la inmunohistoquímica estos estudios son tinción Ki67 en la diferenciación de lesiones benignas y malignas, Mart-1 gen que codifica un antígeno reconocido por las células citotoxicas, aunque se ha dicho que se ha restringido en su expresión a los melanocitos.
Otros marcadores como D11, cromogranina A, ayudan a definir si el tumor es adrenocortical o descartar un tumor de otro origen, nuevos marcadores se han propuestos como LOH en 17 pb con sobreexpresión de IGF-2, cíclicas. Para el carcinoma de la corteza se utilizan los siguientes estadios:
Estadio I: mide 5 cm o menos se encuentra solo en la glándula suprarrenal.
Estadio II: mide más de 5 cm y se encuentra en la glándula suprarrenal.
Estadio III: tiene cualquier tamaño y se disemina hasta la grasa, ganglios linfáticos cercanos y tejidos cercanos, pero no hasta órganos cercanos.
Estadio IV: tiene cualquier tamaño y se disemina hasta la grasa, ganglios linfáticos, tejidos cercanos, órganos cercanos, y otras partes del cuerpo como hígado y pulmón.14
Se usan tres tipos de tratamiento: cirugía, radioterapia y quimioterapia.
Lo informado en la literatura médica mundial es una incidencia de un caso en 1.7 millones de personas, generalmente se reportan en adultos con edad media de 44 años en etapa reproductiva siendo este de un potencial maligno con una tasa de supervivencia en 5 años alrededor de 40 %.15,16
Referencias bibliográficas
1. Turcios Tristá SE, Cabrera Gámez M, Torres Peña R. Conducta ante un incidentaloma suprarrenal. Rev Cub Endocrinol [en línea]. 2014 [citado 15/02/2017]; 25(2):243-252. Disponible en: http://www.bvs.sld.cu/revistas/end/vol25_3_14/end13314.htm
2. Kerkhofs TM, Verhoeven RH, Van der Zwan JM, Dieleman J, Kerstens MN, Links TP, et al. Adrenocortical carcinoma: apopulation-based study on incidence and survival in the Nether-lands since 1993. Eur J Cáncer. 2013; 49:2579-86 doi: 10.1016/j.ejca.2013.02.034.
3. Guelho D, Paiva I, Vieira A, Carrilho F. Adrenocortical carcinoma: Retrospective analysis of the last 22 years. Endocrinol Nutr. 2016; 63(5):212-219. doi.org/10.1016/j.endonu.
4. American Cáncer Society. Cáncer Facts & Figures. Atlanta, Ga: American Cáncer Society; 2015.
5. National Cancer Institute. Treatingh Testicular Cancer. Making treatment decisions. Physician Data Query (PDQ) [en línea]. 2017 [citado 10/02/2017]. Disponible en: https://www.cancer.org/cancer/testicular-cancer/treating.html
6. National Comprehensive Cancer Network (NCCN). Clinical practice Guidelines in Oncology: Testicular Cancer. J Natl Compr Canc Netw. 2009 Jun; 7(6):672-93
7. Howlader N, Noone AM, Krapcho M, Miller D, Bishop K, Kosary CL, et al. SEER Cancer Statistics Review, 1975-2014 [en línea]. USA: National Cancer Institute; 2014 [citado 10/02/2017]. Disponible en: http: //seer.cancer.gov/csr/1975_2011/
8. Miron B, Ristau B T, Tomaszewski JJ, Jones J, Milestone B, Yu-Ning W, Uzzo RG, et al. Biology is Destiny: A Case of Adrenocortical Carcinoma Diagnosed and Resected at Inception in a Patient Under Close Surveillance for Lung Cancer. Urology Case Reports. 2016: 9-11. doi: 10.1016/j.eucr.2016.07.009
9. Polley M-YC, Leung SCY, Gao D. An international study to increase concordance in Ki-67 scoring. Mod Pathol. 2015; 28(6): 778-86. doi: 10.1038/modpathol.
10. Sánchez Pérez IF, Fong Estrada JA, Llanes Revilla OJ, Fong Sinobas JA, Couso Seoane C. Incidentaloma o carcinoma de la glándula suprarrenal. MEDISAN [en línea]. 2009 [citado 22/02/2017]; 13(2):[aprox. 7 p.]. Disponible en: http://bvs.sld.cu/revistas/san/vol13_2_09/san17209.htm
11. Cofán F, Romero R. Incidentaloma suprarrenal: un reto diagnóstico Servicio de Nefrología. Hospital Universitario Germans Trias Pujol. Badalona. Nefrología [en línea]. 1995 [citado 20/03/2017]; XV (1): [aprox. 4 p.]. Disponible en: http://www.revistanefrologia.com/revistas/P1-E118/P1-E118-S123-A1728.pdf
12. Larrad Jiménez A. Carcinoma de la glándula suprarrenal Cir Esp [en línea]. 2000 Jun [citado 20/03/2017]; 67(6):594-604. Disponible en: http://www.elsevier.es/es- revista-cirugia-espanola-36-articulo-carcinoma-glandula-suprarrenal-10594
13. Menéndez Calderón M, Casal F, Prieto J, Cacho l. Carcinoma suprarrenal. Análisis retrospectivo de cinco casos. An Med Interna [en línea]. 2006 Nov [citado 11/04/2017]; 23: 533-6. Disponible en: http://scielo.isciii.es/scielo.php?pid=S0212-71992006001100006&script=sci_arttext
14. Else T, Kim AC, Sabolch A. Adrenocortical carcinoma. Endocr Rev. 2014; 35(2):282-326. doi: 10.1210/er.2013-1029.
15. Erdogan I, Deutschbein T, Jurowich C, Kroiss M, Ronchi C, Quinkler M, et al. The role of surgery in the management of recurrent adrenocortical carcinoma. J Clin Endocrinol Metab. 2013; 98:181-191. doi: 10.1210/jc.2012-2559.
16. Gaujoux S, Al-Ahmadie H, Allen PJ, Gonen M, Shia J, D'Angelica M, et al. Resection of adrenocortical carcinoma liver metástasis: is it justified? Ann Surg Oncol. 2012; 19: 2643-2651. doi: 10.1245/s10434-012-2358-7.
Notas de autor
*Autor para la correspondencia: nvmasso@infomed.sld.cu