Informe de caso
Arterioesclerosis de Monckeberg en vasos uterinos: un interesante hallazgo incidental
Monckeberg arteriosclerosis in uterine vessels: an interesting incidental finding
Arteriosclerose de Monckeberg nos vasos uterinos: um achado incidental interessante
Arterioesclerosis de Monckeberg en vasos uterinos: un interesante hallazgo incidental
Revista Información Científica, vol. 98, núm. 2, pp. 263-271, 2019
Universidad de Ciencias Médicas Guantánamo
Recepción: 03 Marzo 2019
Aprobación: 29 Marzo 2019
RESUMEN: Se realizó la comunicación de un caso clínico-patológico, diagnosticado en el Hospital Docente Clínico Quirúrgico “Joaquín Albarrán” de La Habana. En dicha entidad se presentó en una paciente femenina de 85 años de edad con antecedentes de diabetes mellitus tipo 2, ingresada por cuadro de insuficiencia arterial de miembro inferior izquierdo por lo cual se le realizan amputación supracondilia y al tercer día de su estadía hospitalaria, fallece. En la autopsia se arribó al diagnóstico anatomopatológico de arterioesclerosis de Mönckeberg de vasos del útero. Esta es una forma de arterioesclerosis muy relacionada con la senectud, pero factores de riesgo como diabetes mellitus y la enfermedad renal crónica pueden contribuir de forma directa en su desarrollo y progresión. Su diagnóstico es un hallazgo incidental en muestras histopatológicas.
Palabras clave: esclerosis, arterioesclerosis de Mönckeberg, túnica media, calcificaciones.
ABSTRACT: A clinical-pathological case was reported, diagnosed at the "Joaquín Albarrán" Clinical Surgical Teaching Hospital in Havana. In this entity, an 85-year-old female patient with a history of type 2 diabetes mellitus was presented, admitted due to arterial insufficiency of the lower left limb, for which she underwent supracondylar amputation and died on the third day of her hospital stay. At the autopsy, the pathological diagnosis of Mönckeberg arteriosclerosis of vessels of the uterus was reached. This is a form of arteriosclerosis closely related to old age, but risk factors such as diabetes mellitus and chronic kidney disease can directly contribute to its development and progression. Its diagnosis is an incidental finding in histopathological samples.
Keywords: sclerosis, Mönckeberg arteriosclerosis, medium tunic, calcifications.
RESUMO: Um caso clínico-patológico foi relatado, diagnosticado no Hospital de Clínica Cirúrgica "Joaquín Albarrán" em Havana. Nessa entidade, apresentou-se uma paciente de 85 anos, com história de diabetes mellitus tipo 2, internada por insuficiência arterial do membro inferior esquerdo, para a qual sofreu amputação supracondiliana e faleceu no terceiro dia de internação. Na autopsia, o diagnóstico patológico da arteriosclerose de Mönckeberg de navios do útero foi conseguido. Essa é uma forma de arteriosclerose intimamente relacionada à velhice, mas fatores de risco como diabetes mellitus e doença renal crônica podem contribuir diretamente para seu desenvolvimento e progressão. Seu diagnóstico é um achado incidental em amostras histopatológicas.
Palavras-chave: esclerose, arteriosclerose de Mönckeberg, túnica média, calcificações.
Introducción
La calcificación vascular es una consecuencia común del envejecimiento y es más frecuente en pacientes con diabetes, dislipidemia, enfermedades genéticas y enfermedades relacionadas con trastornos del metabolismo del calcio.1) La arterioesclerosis de Mönckeberg generalmente es circunferencial y puede afectar el vaso de forma focal o difusa.2) Su incidencia es mayor en diabéticos, en personas de edad avanzada, su aparición predice el riesgo de enfermedades vasculares cardíacas y periféricas, incrementando el riesgo de amputaciones.3
La arterioesclerosis de Mönckeberg o esclerosis de la media de Mönckeberg, fue descrita por primera vez en 1903 por Johann Georg Mönckeberg, como una calcificación de la túnica media de las arterias musculares medianas y pequeñas de las extremidades inferiores y con menor frecuencia, en las arterias viscerales o coronarias. En su forma asintomática es una enfermedad degenerativa y aparentemente no inflamatoria, no asociada con el estrechamiento de la luz o alteración de la íntima4; por lo cual, la repercusión clínica es escasa, a menos que se sobreponga junto a un proceso de aterosclerosis, donde las manifestaciones clínicas se hacen más evidentes y graves.5) Etiopatogénicamente es una entidad de origen desconocida.6
Por lo general, es un hallazgo incidental identificado ya sea clínicamente, en radiografías o en los estudios de autopsias, como en esta oportunidad, y, dada su escasa frecuencia, se decide realizar la comunicación de la presentación de arterioesclerosis de Mönckeberg en vasos uterinos y además se revisa la literatura con énfasis en el diagnóstico histopatológico.
Se realizó una búsqueda de la literatura en idioma inglés y español a través de las bases de datos MEDLINE/PubMed, ELSEVIER, SciELO, EBSCO, Hinari y Búsqueda Avanzada en Google Scholar, encontrándose un total de nueve publicaciones entre 1999 y 2018.
Presentación del caso
Paciente femenina de 85 años de edad de raza blanca, con antecedentes patológicos personales de cardiopatía isquémica, hipertensión arterial, epilepsia y diabetes mellitus tipo 2, la cual fue ingresada en el servicio de angiología por presentar dolor intenso y cambio de coloración en miembro inferior izquierdo hasta el nivel de la rodilla.
Al examen físico se observó cianosis de pierna izquierda, sin palpación de pulso pedio; frecuencia cardiaca de 83 por minuto y tensión arterial: 130/80 mmHg. Estudios complementarios sin alteraciones.
Se le realizó diagnóstico de insuficiencia arterial y se le indica tratamiento con heparina (1 cc cada cuatro horas). Al segundo día de su ingreso al no mejorar el compromiso arterial, se decide tratamiento quirúrgico de amputación supracondilia del miembro inferior izquierdo.
Al tercer día de su estadía hospitalaria, la paciente fallece y al realizársele la autopsia se concluyó como causa de muerte: infarto agudo de miocardio de 48 horas de evolución en tabique y pared anterior de ventrículo izquierdo, además, en el estudio de aparato genitourinario se observó un útero disminuido de tamaño que en el análisis microscópico con tinción de hematoxilina y eosina; se observó presencia de arterias de mediano calibre con depósitos de calcio en el espesor de la capa muscular media, lo cual se corresponde con el diagnóstico anatomopatológico de arterioesclerosis de Mönckeberg de vasos del útero.
Otros diagnósticos fueron: aneurisma de arteria ilíaca izquierda con trombosis mural; periesplenitis hialina; nefroangioesclerosis arterio-arteriolar hialina; endometritis crónica; y quistes de Naboth.
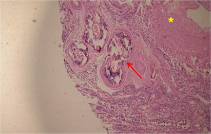
En la figura 1 se observa corte de útero con miometrio y arterias con calcificación de la túnica media.

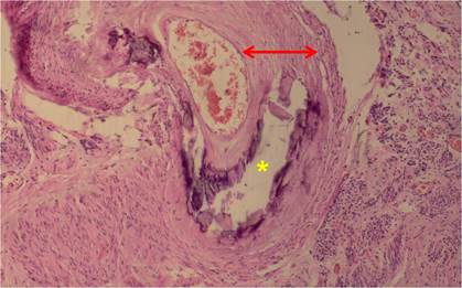
En el espesor de la túnica media arterial (figura 2) se observa depósito de calcio, el cual fue destruido parcialmente durante el procesamiento del corte quedando un espacio vacío.

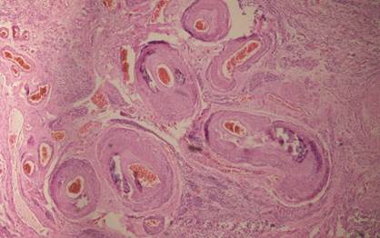
Obsérvese en la figura 3, la calcificación de gran número de arterias.

Discusión
La arteriosclerosis de Mönckeberg es una enfermedad degenerativa y no inflamatoria que afecta a las arterias musculares de pequeño y mediano calibre7,en las cuales se forman depósitos de calcio que se localizan completamente dentro de la capa media de la pared arterial y las membranas elásticas internas y externas de la pared.1
En un estudio reciente, se encontró que la prevalencia de arteriosclerosis Mönckeberg en la población era del 13,3 % para los hombres y del 6,9 % para las mujeres, y es un fenómeno muy relacionado con la edad1; de tal manera, que es más común en personas mayores de 50 años de edad7) y en individuos con enfermedad macrovascular diabética.8
En contraste con la calcificación de la íntima aterosclerótica, que es excéntrica, asociada con estrechamiento de la luz y, por lo general, presente en las arterias más proximales, la esclerosis de Mönckeberg tiende a ser concéntrica, simétrica y predominantemente afecta a arterias distales8; en ambos casos se produce una pérdida de flexibilidad de las paredes de los vasos.9
Mönckeberg describió inicialmente que la calcinosis de la media afectaba principalmente a las arterias de las extremidades inferiores y en ocasiones, a las arterias periféricas de las extremidades superiores. Sin embargo, el proceso rara vez afecta a las arterias intraabdominales, con excepción de las arterias renales y esplénicas. Al respecto las notificaciones de tales casos han sido muy escasas, en 1977, Lachman, et al.10) describieron la afectación de las arterias coronarias, periféricas y viscerales con la calcificación de Mönckeberg. Lanzer informó un caso que afectaba a la aorta, a la pelvis y a las extremidades inferiores en 1998.1) Pesona, et al7 en 2014 comunicaron sobre el caso de arteriosclerosis de Mönckeberg con afectación de los vasos uterinos en un prolapso útero-vaginal.
Aún cuando no tiene importancia clínica, las lesiones se describen como una arteria de vástago de tubo, que es visible en las radiografías simples como líneas de riel4 y en el estudio histopatológico con tinción de hematoxilina y eosina se observan como un material púrpura.7
El mecanismo patogénico exacto de la calcinosis de la media no se conoce bien. Sin embargo, los procesos degenerativos que conducen a la apoptosis o necrosis de las células del músculo liso y los procesos osteogénicos que llevan a la formación de estructuras similares a los huesos son dos mecanismos patológicos distintos que se han sugerido para la arteriosclerosis de Mönckeberg.1
Meema, et al.11) sugirieron dos tipos de calcificaciones de la media, clínica e histológicamente diferentes. El primer tipo es una forma benigna, lentamente progresiva, esencialmente asintomática con calcificaciones mediales delgadas y poco o ningún estrechamiento de la luz arterial. Esta afección no conduce a síntomas o signos de isquemia de extremidades u órganos. En contraste, el segundo tipo, es una forma maligna, rápidamente progresiva, en la cual calcificaciones de la media masiva y extensa pueden desplazar la elástica interna hacia la luz, causando un estrechamiento luminal.
En los diabéticos, fisiopatológicamente se presume que la disfunción autonómica de la neuropatía diabética es la responsable de la aparición de este tipo de arteriosclerosis.1 En general, se cree que la lesión se producirían por degeneración grasa de las células musculares lisas de la capa media, formando una masa que sufre una degeneración hialina y luego se calcifica.
Estudio reciente6) plantea que existen alteraciones inflamatorias y genéticas estrechamente relacionadas con la calcificación media vascular. También, que el depósito de estos nanocristales es capaz de inducir una plasticidad fenotípica de las células mesenquimales derivadas de las células de músculo liso vasculares, llevándolas a una transdiferenciación tanto in vitro como in vivo, ganando características osteogénicas que se relacionan directamente con calcificación vascular media.
Otra hipótesis plantea que la deficiencia de CD73, causada por la mutación del gen CD73 que genera pérdida de su actividad, ocasiona un aumento de la actividad de la fosfatasa alcalina tisular no específica, una proteína clave en la formación ósea y principal conductora de la calcificación vascular media.12
Existen dos teorías que explican como la calcificación de la túnica media favorece episodios de remodelación y mineralización, con la consecuente disminución de la elasticidad vascular, la primera propone la pérdida de expresión de proteínas relacionadas con la inhibición de la calcificación como son: GLA (Ácido gama-linolénico), osteoprotegerina, fibrilina I y la anhidrasa carbónica. La segunda teoría plantea que la calcificación es consecuencia de cambios metabólicos por lesión necrobiótica de la pared del vaso.13
En la actualidad, aún hay desacuerdos sobre el compromiso asociado por calcificación de la lámina elástica interna, el cual no fue descrito en el artículo original del doctor Mönckeberg, pero según estudios histopatológicos, pareciera estar igualmente implicado.6
A pesar de lo diverso de las explicaciones sobre la patogenia de la esclerosis de Mönckeberg, todas las investigaciones coinciden en que esta podría ser la manifestación de un compromiso vascular mediado por alteraciones genéticas, inmunológicas e inflamatorias que complementan a la aterosclerosis.
Consideraciones finales
El desarrollo de la esclerosis de Mönckeberg está muy relacionado con la senectud, pero factores de riesgo como diabetes mellitus y la enfermedad renal crónica pueden contribuir de forma directa en su desarrollo y progresión. Su diagnóstico es un hallazgo incidental en muestras histopatológicas.
Referencias bibliográficas
1. Tahmasbi-Arashlow M, Barghan S, Kashtwari D, Madhu KN. Radiographic manifestations of Mönckeberg arteriosclerosis in the head and neck región. Imaging Sci Dentv [en línea]. 2016 Mar [citado 05/03/2019]; 46(1):53-56. DOI: https://doi.org/10.5624/isd.2016.46.1.53
2. Lanzer P, Boehm M, Sorribas V, Thiriet M, Janzen J, Zeller T, et al. Medial vascular calcification revisited: Review and perspectives. Eur Heart J [en línea]. 2014 [citado 05/03/2019]; 35(23):1515-25. DOI: 10.1093/eurheartj/ehu163
3. Santos VP, Caffaro RA, Pozzan G, Saieg MA, Castelli VJ. Comparative histological study of atherosclerotic lesions andmicrovascular changes in amputated lower limbs of diabeticand non-diabetic patients. Arq Bras Endocrinol Metabol [en línea]. 2008 [citado 05/03/2019]; 52(7):1115-23. Disponible en: http://www.scielo.br/pdf/abem/v52n7/07.pdf
4. Castling B, Bhatia S, Ahsan F. Mönckeberg's arteriosclerosis: vascular calcification complicating microvascular surgery. Int J Oral Maxillofac Surg [en línea]. 2015 [citado 05/03/2019]; 44(1):34-36. DOI: https://doi.org/10.1016/j.ijom.2014.10.011
5. Sheppard MN. Diseases of blood vessels. Surg (Oxford) [en línea]. 2015 [citado 05/03/2019]; 33(7):295-301. DOI: https://doi.org/10.1016/j.mpsur.2015.04.006
6. Díaz CJ, Herrera Uribe S, González MR, Posada GC, Mejía Zuluaga M. Manifestaciones clínicas de la esclerosis de Monckeberg. Reporte de caso y revisión de la Literatura. Rev Colomb Reumatol [en línea]. 2017 [citado 05/03/2019]; 24(2):118-122. DOI: http://dx.doi.org/10.1016/j.rcreu.2016.12.004
7. Pesona L, Latha K, Nikhil S, Amlan G. Monckeberg's Arteriosclerosis in Uterine Vessels: An Unusual Presentation. J Obstet Gynaecol India [en línea]. 2014 Dec [citado 05/03/2019]; 64(6):436-437. DOI: 10.1007/s13224-012-0306-x
8. Mansilha A. Tratamiento y gestión del pie diabético. Angiología [en línea]. 2017 [citado 05/03/2019]; 69(1):1-3. DOI: http://dx.doi.org/10.1016/j.angio.2016.08.012
9. Hernández Puentes YZ. Aterosclerosis y sistema aterométrico. Rev Cubana Med Mil [en línea]. 2016 Abr-Jun [citado 05/03/2019]; 45(2):183-194. Disponible en: http://scielo.sld.cu/pdf/mil/v45n2/mil07216.pdf
10. Lachman AS, Spray TL, Kerwin DM, Shugoll GI, Roberts WC. Medial calcinosis of Mönckeberg. A review of the problem and a description of a patient with involvement of peripheral, visceral and coronary arteries. Am J Med [en línea]. 1977 [citado 05/03/2019]; 63(4):615-622. Disponible en: https://www.ncbi.nlm.nih.gov/pubmed/910809
11. Meema HE, Oreopoulos DG, Rapoport A. Serum magnesium level and arterial calcification in end-stage renal disease. Kidney Int [en línea]. 1987 [citado 05/03/2019]; 32(3):388-394. Disponible en: https://www.ncbi.nlm.nih.gov/pubmed/3669498
12. Lefthériotis G, Omarjee L, Le Saux O, Henrion D, Abraham P, Prunier F. The vascular phenotype in Pseudoxanthoma elasticum and related disorders: Contribution of a genetic disease to the understanding of vascular calcification. Front Genet [en línea]. 2013 [citado 05/03/2019]; 4:4. DOI: http://dx.doi.org/10.3389/fgene.2013.00004
13. Hruska KA. Vascular smooth muscle cells in the pathogenesis of vascular calcification. Circ Res [en línea]. 2009 [citado 05/03/2019]; 104:710-711. DOI: http://dx.doi.org/10.1161/CIRCRESAHA.109.195487
Notas de autor
*Autor para la correspondencia: b51amazonas@gmail.com