Informe de caso
Neumotórax catamenial. Presentación de un caso
Catamenial pneumothorax. Case presentation
Pneumotórax catamenial. Apresentação do caso
Neumotórax catamenial. Presentación de un caso
Revista Información Científica, vol. 98, núm. 6, pp. 794-801, 2019
Universidad de Ciencias Médicas Guantánamo
Recepción: 11 Octubre 2019
Aprobación: 02 Diciembre 2019
RESUMEN: Se reportó un caso de paciente femenina, mestiza de 29 años de edad con antecedentes de hipotiroidismo y conización por neoplasia intraepitelial cervical grado II, que realizó tres neumotórax en un plazo de 2 años, estando en reposo y durante el segundo día del ciclo menstrual. Es ingresada en la sala de Neumología del Hospital General “Dr. Juan Bruno Zayas Alfonso”, con el diagnóstico probable de neumotórax secundario a endometriosis pleural. Se le realizó videotoracoscopia y laparoscopia con toma de muestra para estudio histológico. Se estableció el diagnóstico definitivo de neumotórax catamenial, se le hizo pleurodesis química con talco, tratamiento hormonal y antiinflamatorios no esteroideos (AINES), con lo que presentó una evolución satisfactoria.
Palabras clave: endometriosis, endometriosis pleural, neumotórax catamenial, pleurodesis.
ABSTRACT: A case of a 29-year-old female, mixed race patient with a history of hypothyroidism and conization due to cervical intraepithelial neoplasia grade II was reported, who performed three pneumothorax within 2 years, being at rest and during the second day of the menstrual cycle. She is admitted to the Pulmonology ward of the General Hospital “Dr. Juan Bruno Zayas Alfonso”, with the probable diagnosis of pneumothorax secondary to pleural endometriosis. He underwent videotoracoscopy and laparoscopy with sampling for histological study. The definitive diagnosis of catamenial pneumothorax was established, chemical pleurodesis was made with talc, hormonal treatment and non-steroidal anti-inflammatory drugs (NSAIDs), which presented a satisfactory evolution.
Keywords: endometriosis, pleural endometriosis, catamenial pneumothorax, pleurodesis.
RESUMO: Foi relatado o caso de uma paciente do sexo feminino, 29 anos, de raça mista, com história de hipotireoidismo e conização por neoplasia intraepitelial cervical grau II, que realizou três pneumotórax em 2 anos, estando em repouso e durante o segundo dia do ciclo menstrual. Ela é internada na enfermaria de Pneumologia do Hospital Geral “Dr. Juan Bruno Zayas Alfonso”, com provável diagnóstico de pneumotórax secundário à endometriose pleural. Foi submetido a videotoracoscopia e laparoscopia com amostragem para estudo histológico. Foi estabelecido o diagnóstico definitivo de pneumotórax catamenial, realizada pleurodese química com talco, tratamento hormonal e antiinflamatórios não esteróides (AINEs), que apresentaram evolução satisfatória.
Palavras-chave: endometriose, endometriose pleural, pneumotórax catamenial, pleurodese.
Introducción
La endometriosis se define como la presencia de tejido glandular y estromal endometrial fuera de la cavidad uterina.1,2) En teoría cualquier sitio anatómico podría considerarse asiento para el tejido endometrial desde el mismo tejido muscular uterino, ligamentos uterinos, ovarios, trompas, hasta a nivel intestinal, pancreático, vesical, cerebral, hueso y tórax en sus diferentes estructuras.3
La endometriosis torácica es la presencia de tejido endometrial ectópico funcional dentro de la cavidad torácica.4) Se manifiesta de dos formas: la pleural y la parenquimatosa, entre ambas formas dan origen a cuatro tipos de cuadro clínico: neumotórax, hemotórax, hemoptisis y nódulo o nódulos pulmonares, con una frecuencia respectiva de 73, 14, 7 y 6 %. La endometriosis pleural es la más común.3-5
Se reconocen tres teorías de endometriosis torácica:
El objetivo de este artículo es describir un caso de neumotórax catamenial, pues se asume que es importante que los profesionales de la salud conozcan las bases diagnósticas y terapéuticas de esta enfermedad tan poco frecuente.
Presentación del caso
Paciente femenina, mestiza de 29 años de edad, con antecedentes de hipotiroidismo, acudió al cuerpo de guardia por haber presentado estando en reposo, tos seca molesta, dolor de aparición súbita, punzante en el lado derecho del pecho y falta de aire, en el segundo día de su ciclo menstrual, le diagnostican un neumotórax y es remitida a Cirugía General donde es tratada y egresada como neumotórax espontáneo primario.
Al año comienza nuevamente estando en reposo con tos seca molesta, dolor de aparición súbita, punzante en el lado derecho del pecho y falta de aire, durante el segundo día de su ciclo menstrual, se diagnostica un segundo neumotórax, es tratada, egresada y remitida al Servicio de Neumología del Hospital General “Dr. Juan Bruno Zayas Alfonso”, donde es ingresada por la sospecha de neumotórax catamenial. Durante su ingreso realiza un tercer neumotórax estando en su segundo día del ciclo menstrual.
Antecedentes ginecobstétricos: menarquia a los 15 años de edad, con períodos menstruales irregulares, cada 28 o 30 días. Un aborto espontáneo, conización por neoplasia intraepitelial cervical grado II (NIC II), no ha tomado tabletas anticonceptivas.
Examen físico al ingreso en servicio de Neumología
Aparato respiratorio: expansibilidad torácica disminuida en hemitórax derecho, frecuencia respiratoria 21 respiraciones por minuto, vibraciones vocales disminuidas en todo el campo pulmonar derecho, submatidez en base pulmonar derecha, murmullo vesicular disminuido en todo el campo pulmonar derecho.
Tacto vaginal: cérvix duro, con nodulación palpable en labios menores.
Resto del examen físico: normal.
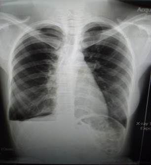
En la radiografía de tórax digital, vista posteroanterior (PA) (Figura 1), realizada al ingreso, no se observó neumotórax.

Radiografía digital de tórax vista PA (Figura 2), realizada durante el ingreso: se observó hidroneomotórax derecho.

Ultrasonido abdominal y ginecológico: normales.
Tomografía axial computarizada (TAC) de tórax: informó neumotórax en hemitórax derecho de un 30 %.
Laparoscopia durante el ciclo menstrual: se observaron fenestraciones diafragmáticas derechas, con siembras nodulares en pelvis menor de color rojo grisáceo sugestiva de endometriosis y sangre en fondo de saco.
Videotoracoscopia durante el ciclo menstrual: no se encuentran alteraciones en cavidad pleural.
Informe histológico de las muestras tomadas por laparoscopia: muestra de tejido abdominal constituida por área focal de hemorragia. No se observan glándulas endometriales.
Complementarios hematológicos: hemoglobina 130 g/l; leucocitos 7 x 109/l; tiempo de sangramiento 1 segundo; tiempo de coagulación 7 segundos; conteo de plaquetas 255 x 109/l; serología para VIH y antígeno de superficie negativos.
Discusión del caso
En 1958, Maurer describió que el neumotórax catamenial se considera como aquel neumotórax recurrente que aparece dentro de las 72 horas después del inicio de la menstruación, pero que no ocurre necesariamente con cada ciclo menstrual. Se produce con la presencia de actividad menstrual cíclica, aunque puede aparecer aún durante el tratamiento de reemplazo hormonal.6 En la paciente se produjo durante el segundo día del ciclo menstrual y no ocurrió en todos los ciclos menstruales.
La incidencia del neumotórax catamenial es de 5,6 %, según una revisión retrospectiva de 196 casos de neumotórax espontáneos en mujeres, realizada por Shearin en la Clínica Mayo, la edad promedio de presentación es de los 32 a los 37 años. El 98,9 % de las pacientes lo presentan en el lado derecho.6 Se trató de una paciente de 29 años, con neumotórax catamenial derecho y de raza mestiza.
Se han determinado varios factores como predictores: la edad (> 28 años o> 31 años), nunca fumó o no es actual fumadora, antecedentes de endometriosis pélvica, lado derecho del neumotórax, infertilidad y antecedentes de cirugía pélvica o raspado uterino.4 Como factor de riesgo en la paciente, se encontró la realización de una conización por NIC II.
El diagnóstico de endometriosis torácica puede ser laborioso y tardío, por lo tanto, se basa en un cuadro clínico sugerente, idealmente en combinación con imágenes torácicas y la confirmación de hallazgos intraoperatorios.2) En la paciente se llegó al diagnóstico por la clínica y los resultados observados por laparoscopia, debido a que el informe histológico de las muestras tomadas de las lesiones abdominales no fueron concluyentes para endometriosis.
El tratamiento estándar incluye una combinación de cirugía torácica y terapia hormonal. Varios tratamientos hormonales han sido utilizados después de la cirugía para disminuir el riesgo de recurrencia incluyendo terapias anticonceptivas orales (ACO), dispositivos intrauterinos, danazol y progestinas.4,8 Además de AINES para el dolor.9
Se ha propuesto iniciar de manera gradual, esto significa comenzar con los ACO o las progesteronas y avanzar a otros medicamentos en caso de intolerancia o ineficacia. Si fracasa el tratamiento con estrógenos y progestágenos o en caso de que exista alguna contraindicación, se puede plantear la inyección de agonistas de la hormona liberadora de gonadotropina (GnRH) o el tratamiento con danazol.10 En la paciente se comenzó tratamiento con progestágenos (medroxiprogesterona) y AINES para el dolor.
Los tratamientos hormonales administrados como monoterapia tienen tasas de recurrencia a los seis meses de más del 50 %, la hormonoterapia postquirúrgica no sólo previene recidivas, sino que ayuda a prevenir un embarazo.6
En Japón, el tratamiento con pleurodesis para el neumotórax no se realiza activamente. En los países occidentales, la práctica estándar es realizar la pleurodesis después del segundo episodio de neumotórax y el uso de talco ha proporcionado mejores resultados que la ablación pleural en cuanto a la prevención de la recurrencia.4 En el caso se realizó pleurodesis química con talco después del tercer neumotórax.
Consideraciones finales
La sospecha clínica del neumotórax catamenial en toda fémina con neumotórax recidivante asociado al ciclo menstrual, es fundamental para llegar al diagnóstico.
Agradecimientos al colectivo de Cirugía del Hospital Militar de Santiago de Cuba.
Los autores declaran no tener conflictos de intereses.
Referencias bibliográficas
. Méndez Fernández R, Barrera Ortega J. Resonancia magnética de la endometriosis pelviana. Radiología [en línea]. 2017 [citado 13/09/2019]; 59(4):286-296. Disponible en: http://www.webcir .org/revistavirtual//articulos/2018/3_agosto/esp/endometriosis_esp.pdf
. Berríos Silva R, Bulboa Foronda C, Santolaya Cohen R, Undurraga Machicao F, Pérez Castro P, Sandoval Sepúlveda C. Endometriosis diafragmática: a propósito de un caso. Rev Chil Obst Gin [en línea]. 2016 [citado 13/09/2019]; 81(4):317-320. Disponible en: https://scielo.conicyt.cl/pdf/rchog/v81n4/art09.pdf
. Rojas Vera J, Vásquez Tirado G. Endometriosis pulmonar parenquimal. Rev Soc Peru Med Int [en línea]. 2014 [citado 13/09/2019]; 27(1):40-43. Disponible en: http://www.medicinainterna.org.pe/pdf/SPMI%202014-1%20articulo%207%20endometriosis%20pulmonar.pdf
. Zelada I, Agüero A, Lee Ch, Farina C. Endometriosis Torácica y Neumotórax Espontáneo. Rev Cir Parag [en línea]. 2018 Abr [citado 13/09/2019]; 42(1):38-40. Disponible en: http://scielo.iics.una.py/pdf/sopaci/v42n1/2307-0420-sopaci-42-01-38.pdf
. Brindis Zabaleta M, Piña Oviedo S, Baquera Heredia J, Green L, Ortiz Hidalgo C. Neumotórax catamenial secundario a endometriosis pleural. Estudio clínico-patológico e inmunohistoquímico de un caso. Neumol Cir Tórax [en línea]. 2007 [citado 09/10/2019]; 66(4):178-181. Disponible en: https://www.medigraphic.com/pdfs/neumo/nt-2007/nt074f.pdf
. Velásquez ME, Velásquez M. Neumotórax catamenial. Rev Colom Cir [en línea]. 2015 [citado 13/09/2019]; 30:286-291. Disponible en: http://www.scielo.org.co/pdf/ rcci/v30n4/v30n4a5.pdf
. Molinar L, Romero P, Padilla MA. Endometriosis parenquimatosa pulmonar multifocal. Patología [en línea]. 2011 Oct-Dic [citado 16/09/2019]; 49(4):262-266. Disponible en: https://www.medigraphic.com/pdfs/patrevlat/rlp-2011/rlp114f.pdf
. Marjánski T, Katarzyna S, Czapla A, Witold R. Catamenial pneumothorax-a review of the literature. Rev Kardiochir Torakochir Pol [en línea]. 2016 Jun [citado 16/09/2019]; 13(2): 117-121. Doi: https://doi.org/10.5114/kitp.2016.61044
. Durón González R, Bolaños Morena P. Endometriosis. Rev Med Legal Costa Rica [en línea]. 2018 Mar [citado 16/09/2019]; 35(1):[aprox. 20 p.]. Disponible en: https://www.scielo.sa.cr/pdf/mlcr/v35n1/1409-0015-mlcr-35-01-23.pdf
.Ulett Araya NM. Actualización en los puntos clave de la endometriosis. Rev Méd Siner [en línea]. 2019 May [citado 16/09/2019]; 4(5):35-43. Disponible en: https://www.medigraphic.com/pdfs/sinergia/rms-2019/rms195d.pdf
Notas de autor
*Autor para la correspondencia: dcosta@infomed.sld.cu