Informe de caso
Mesenquimoma pélvico maligno. Informe de caso
Pelvic malignant mesenchymoma. A case report
Mesenquimoma pélvico maligno. Apresentação de um caso
Mesenquimoma pélvico maligno. Informe de caso
Revista Información Científica, vol. 102, 4240, 2023
Universidad de Ciencias Médicas Guantánamo
Recepción: 14 Abril 2023
Aprobación: 26 Junio 2023
RESUMEN: Se presentó un enfermo de 73 años en el Hospital Clínico Quirúrgico Docente “Amalia Simoni” de la ciudad de Camagüey, Cuba, que fue intervenido quirúrgicamente hace cinco años y cuyo resultado fue desconocido. En aquel entonces presentó dolor y limitación funcional del miembro inferior derecho, lo que motivó la resección de un tumor en el fémur ipsilateral; cinco años después recidiva, esta vez con invasión de la pelvis ósea y del recto, evidenciándose trastornos miccionales y constipación. La radiografía de pelvis ósea, tomografía computarizada y resonancia magnética de dicha región evidenciaron una imagen tumoral mixta con lesiones líticas que invadió y desplazó los órganos de la cavidad pélvica. El paciente fue sometido a exéresis del tumor, el cual fue de 173×156 mm, con un peso de aproximadamente 1 380 g. El análisis histopatológico de la pieza quirúrgica evidenció un mesenquimoma pélvico maligno.
Palabras clave: Mesenquimoma maligno, histología, tratamiento.
ABSTRACT: It was reported a case of a 73 years old patient with a history of an unknown outcomes surgical procedure 5 years ago at the Hospital Clínico Quirúrgico Docente “Amalia Simoni” in Camaguey, Cuba. He presented pain and functional limitation of the right lower limb, which led to the resection of a tumor in the ipsilateral femur; five years later the tumor present signs of recurrence, this time with invasion of the bony pelvis and rectum and resulting in urinary disorders and constipation. Pelvis bone radiology, computed tomography scan and magnetic resonance imaging of the pelvis showed a mixed tumor with lytic lesions that invaded and displaced the organs in the pelvic cavity. The patient underwent excision of the tumor, which was 173×156 mm, weighing approximately 1.380 g. Histopathological analysis of the surgical resection specimen revealed a pelvic malignant mesenchymoma.
Keyword: Malignant mesenchymoma, histology, treatment.
RESUMO: Apresentou-se um paciente de 73 anos, operado há 5 anos no Hospital Provincial Amalia Simoni, na cidade de Camagüey, Cuba, cujo resultado era desconhecido. Na época, apresentava dor e limitação funcional do membro inferior direito, o que levou à ressecção de tumoração no fêmur ipsilateral; cinco anos depois, recidiva, desta vez com invasão de pelve óssea e reto, evidenciando distúrbios miccionais e constipação. A radiografia óssea da pelve, a tomografia computadorizada e a ressonância magnética da referida região revelaram uma imagem tumoral mista com lesões líticas que invadiam e deslocavam os órgãos da cavidade pélvica. A paciente foi submetida à exérese do tumor, que media 173×156 mm, com peso aproximado de 1380 g. A análise histopatológica da peça cirúrgica revelou um mesenquimoma pélvico maligno.
Palavras-chave: Mesenquimoma maligno, histologia, tratamento.
Introducción
El término mesenquimoma maligno (MM) fue introducido por Stout1) en 1948 para definir los tumores de tejidos blandos de origen mesenquimal que estaban constituido por dos o más tipos celulares, en los cuales podían por sí mismo considerarse como el proceso neoplásico primario. Son tumores poco frecuentes, con dos o más elementos sarcomatosos, con la inclusión del osteosarcoma, condrosarcoma, leiomiosarcoma, rabdomiosarcoma y liposarcoma.
El término mesenquimoma maligno (MM) se ha aplicado a los sarcomas que presentan dos o más líneas especializadas de diferenciación. Sin embargo, es evidente que este grupo no constituye una entidad clínico-patológica, y que puede ser más conveniente clasificarlos de otras maneras, ya que la aparición de la diferenciación divergente en otros tipos de sarcoma es más útil para su definición.2 Desde entonces muchas áreas fibrosarcomatosas fueron encontradas en muchos de los tumores mesenquimales.
Los mesenquimomas pueden ser malignos o benignos. Los sarcomas representan un porcentaje pequeño dentro de los tumores malignos, la incidencia estimada es de 5,6 por 100 000 al año. El 84 % son sarcomas de partes blandas y el 15 % sarcomas óseos. 2
Se presenta el caso de un paciente con un MM de bajo grado de malignidad y localización pélvica, que se adapta a la definición histológica actual y que constituye el primer caso reportado en este centro de salud.
Presentación del Caso
Paciente masculino, de piel color negro, jubilado, de 73 años de edad, sin antecedentes patológicos de interés, que presentó dolor en la cadera derecha y limitación funcional desde hace más o menos cinco años, por lo cual fue operado de un tumor en el extremo proximal del fémur derecho, realizándose osteotomía.
Llegó al Hospital Clínico Quirúrgico Docente “Amalia Simoni” presentando estreñimiento pertinaz y dificultad miccional. Este paciente fue intervenido en otro hospital de esta misma provincia (Holguín, Cuba), sin conocerse los pormenores de dicha intervención.
En el examen físico, los únicos datos positivos fueron encontrados en la cavidad pélvica, donde se palpó una tumoración de aproximadamente 15 cm, de consistencia dura, poco movible, ligeramente dolorosa, que desplazaba los órganos de la cavidad pélvica. El tacto rectal mostró una ampolla rectal ocupada en su totalidad por heces fecales.
El electrocardiograma: normal.
A continuación se describen los estudios de imagenología realizados:
Radiografía de tórax posteroanterior: normal.
Radiografía de pelvis ósea: se observó imagen osteolítica infiltrante en región hemipélvica derecha, como se muestra en la Figura 1.

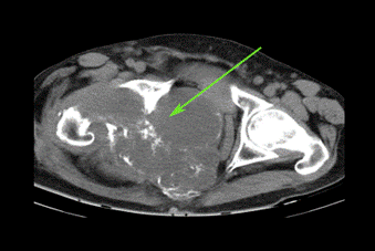
La Figura 2 muestra tomografía axial computarizada (TAC) realizada, donde se apreció imagen tumoral mixta en hemipelvis derecha que invadió y desplazó los órganos de la cavidad.

La TAC de cráneo, cavidad abdominal y retroperitoneo no revelaron anormalidades.
La resonancia magnética nuclear (RMN) mostró imagen hipointensa localizada delante del hueso sacro con desplazamiento de la vejiga hacia delante (Figura 3).

El paciente fue intervenido quirúrgicamente, realizándose exéresis de una tumoración de 173x156 mm en varios segmentos aparentemente delimitados de color blanco amarillento, con algunos parches de calcificación de aspecto abigarrado y mucinoso constituido por tejido óseo y partes blandas de color blanco grisáceo. El tumor fragmentado pesó alrededor de 1 380 g.
El estudio histopatológico mostró un tumor constituido por áreas bien diferenciadas de tejido graso maduro con tractos fibrovascularizados de pared gruesa e hiperplásica, (Figura 4,) que recuerda el componente vascular de los hamartomas, presencia de músculo y áreas mucinosas, que en algunas localizaciones separan las fibras musculares, presencia de cartílago maduro tipo condroma (Figura 5), así como huesos trabeculados no calcificados con hiperplasia de la matriz ósea tipo osteoma (Figura 6).



Por el tamaño, la edad del paciente, la recurrencia y la presencia de mucina infiltrando las fibras musculares, se catalogó como un MM de bajo grado de malignidad. El paciente fue egresado a los 18 días con buen estado general, negándose a recibir tratamiento coadyuvante.
Después de 10 meses de la intervención quirúrgica se encuentra libre de recidivas o metástasis.
Discusión del caso
Los MM son tumores muy infrecuentes de los tejidos blandos, que están compuestos por dos o más elementos mesenquimatosos malignos diferenciados o indiferenciados.1 Estos tumores afectan predominantemente el retroperitoneo y muslo. No obstante se han descrito localizaciones que afectan corazón, pared torácica, pulmones, pleura, cordón espermático, órbita y laringe.1,2) Occhionorelli, et al.2, advirtieron que los criterios de Stout insisten fundamentalmente en cada uno de los elementos tisulares que permiten la suficiente diferenciación del tumor y el fácil reconocimiento histogenético por el microscopio de luz, ya sea histológica o ultraestructuralmente.
Este término de MM es usado desde entonces por diferentes especialidades médicas. Sin embargo, Siegel, et al.3, acorde a los criterios morfológicos, mostraron que no había diferenciación específica con fibrosarcoma, hemangiopericitoma, fibroma maligno pleomórfico, fibrosarcoma mixoide y otros sarcomas. Hay muchas neoplasias que no cumplen la definición de Stout de MM, por lo que se incluye en este grupo el tumor de Tritón, liposarcoma indiferenciado y el condrosarcoma con un segundo componente diferenciado.4,5
La Organización Mundial de la Salud en su última clasificación señala que este grupo de tumores no son separados como entidades clínico-patológicas y se agrupan en un ambiente engañoso, por esta razón se ha propuesto una nueva clasificación que considera otros mecanismos.4 Siegel GW, et al.6 señalan que el tumor de la pelvis es raro, lo más significativo es que se trate de un proceso metastásico como se pensó desde el inicio por el número de ingreso, el tipo de intervención quirúrgica y el desconocimiento del tipo histológico del tumor intervenido quirúrgicamente.
Las manifestaciones clínicas de estos procesos dependen de su localización o áreas de metástasis, que en ocasiones es el retroperitoneo. Estos tumores tienen factores pronósticos, tales como: alto grado de malignidad y agresividad, recurrencia y producción de metástasis y peor pronóstico en menores de 40 años, así como presencia de componentes rabdomiosarcomatosos.7,8
El examen radiológico no es específico y, por lo regular, muestra masas voluminosas del área afectada; en este caso, la región pélvica en las imágenes de la TAC y la RMN. La biopsia por aspiración es importante para el diagnóstico tanto positivo como diferencial, en este paciente se realizó por la cirugía y la histopatología, aunque la histogénesis de este tipo de tumores es aún desconocida.9 Estos tumores se desarrollan de una célula mesenquimatosa primitiva con la habilidad de diferenciarse en varios componentes o neoplasias que contienen múltiples clonos de la cual derivan varios componentes.
La resección quirúrgica del tumor en su totalidad es el más efectivo de los tratamientos en el MM; no obstante, la resección paliativa ofrece resultados satisfactorios, ya que la quimioterapia y la radioterapia tienen muy pobres resultados en estos casos. La asociación de cirugía, quimioterapia y radioterapia tienen efectos no muy satisfactorios.7 Especialmente, los MM son sarcomas agresivos, los cuales demoran en recurrir después del diagnóstico y la resección quirúrgica como se presentó en este paciente. Debido a la efectividad no comprobada de la terapéutica adyuvante, la gran toxicidad y la edad de los pacientes, se decidió la vigilancia estricta y demorar la aplicación del tratamiento.10,11
Consideraciones finales
La realización de los estudios complementarios necesarios y la oportuna intervención quirúrgica posibilitaron la evolución favorable del estado del paciente con posterioridad a la operación. El análisis histopatológico de la pieza quirúrgica evidenció un mesenquimoma pélvico maligno de bajo grado de malignidad. El mayor problema se plantea en como denominar a este tumor, pues existen casos que se han diagnosticado como mesenquimomas y otros como condrosarcomas mesenquimales. Además, el condrosarcoma desdiferenciado (una variante de condrosarcoma muy reconocida en hueso) en tejidos blandos no está descrita.
Referencias Bibliográficas
Stout AP. Mesenchymoma: the mixed mesenchymal derivates. Ann Surg. 1948; 127:278-90.
Occhionorelli S, Pigato I, Malvicini E, Pascale G, Stano R, Rinaldi R, Vasquez G. Solitary fibrous tumour of gluteus: a case report an uncommon localization of a rare neoplasm. J Surg Case Rep [Internet] 2016 [citado 10/06/2023]; 2016(6):rjw111. DOI: https://doi.org/10.1093/jscr/rjw111
Siegel RL, Miller KD, Jemal A. Cancer Statistics, 2020. CA Cancer J Clin [Internet]. 2020 [citado 10/06/2023]; 70(1):7-30. DOI: https://doi.org/10.3322/caac.21590
WHO Cancer Mortality Database. www.who.int. [citado 10/01/2023]. Disponible en: https://www.who.int/data/data-collection-tools/who-mortality-database
Bray F, Colombet M, Mery L, Piñeros M, Znaor A, Zanetti R, et al. Cancer incidence in Five Continents. v. XI. Lyon: International Agency for Research on Cancer; 2017. [citado 19/01/2023]. Disponible en: https://ci5.iarc.fr/Default.aspx
Siegel GW, Biermann JS, Lucas D, Chugh R, Jacobson JA, Lucas D, et al. The multidisciplinary management of bone and soft tissue sarcoma: an essential organizational framework. J Multidiscip Healthc [Internet]. 2015 [citado 10/06/2023]; 8:109-15. DOI: https://doi.org/10.2147/jmdh.s49805
Gronchi A, Ferrari S, Quagliuolo V, Broto JM, Lopez-Pousa A, Grignani G, et al. Sarcoma Full-dose neoadjuvant anthracycline + ifosfamide chemotherapy is associated with relapse free survival (RFS) and overall survival (OS) benefit in localized high-risk adult soft tissue sarcoma (STS) of the extremities and trunk wall: interim analysis of a prospective randomized trial. Ann Oncol. 2016; 27(6):VI587. DOI: https://doi.org/10.1093/annonc/mdw435.52
American Cancer Society. Cancer Facts and Figures 2015. Atlanta: Ga: American Cancer Society; 2015. Disponible en: http://www.cancer.org/acs/groups/content/@editorial/documents/document/acspc-044552.pdf
Ferlay J, Ervik M, Lam F, Colombet M, Mery L, Pineros M, et al. Global Cancer Observatory: Cancer Today. gco.iarc.fr. Lyon, France: International Agency for Research on Cancer; 2018 [citado 24/04/2023]. Disponible en: https://gco.iarc.fr/today
Claudia S, Patel L, Malvezzi M, Wojtyla C, La Vecchia C, Negri E, et al. Persisting cancer mortality gap between western and eastern Europe. Eur J Cancer [Internet]. 2022 [citado 10/06/2023]; 165:1-12. DOI: https://doi.org/10.1016/j.ejca.2022.01.007
Mesquijo JJ, Santori F, Inmocenti S. Mesenquimoma fibrocartilaginoso de húmero proximal: reporte de un caso. Arch Argent Pediatr [Internet]. 2014 [citado 10/06/2023]; 112(5):301-5. DOI: http://dx.doi.org/10.5546/aap.2014.e222
Financiación
Notas de autor
*Autor para la correspondencia: leonp3726@gmail.com
Declaración de intereses