Informe de caso
Tumor filoide gigante. Presentación de un caso
Giant phyllodes tumor. A case report
Tumor filode gigante. Apresentação de um caso
Tumor filoide gigante. Presentación de un caso
Revista Información Científica, vol. 102, 4257, 2023
Universidad de Ciencias Médicas Guantánamo
Recepción: 08 Mayo 2023
Aprobación: 11 Julio 2023
RESUMEN: Los tumores filoides son una de las tumoraciones raras de la mama. Su forma habitual de presentación es en forma de masa firme, sin dolor, generalmente de un solo lado y móvil. Se presentó el caso de paciente de 17 años, del sexo femenino, con seropositividad para VIH, que se consultó por aumento de volumen de mama izquierda con crecimiento acelerado en los últimos seis meses. Al examen físico se palpó tumoración gigante ulcerada de mama izquierda, indolora y de consistencia firme multilobulada, con red venosa superficial. La tumoración, de unos 33 cm, ocupaba prácticamente toda la mama izquierda. No se palparon adenopatías. Luego de los estudios imaginológicos realizados fue intervenida quirúrgicamente. El estudio anatomopatológico informó tumor filoide de alto grado. La paciente evolucionó favorablemente durante el posoperatorio y se le dio alta médica con buen estado general y sin fiebre. Se revisó el estudio y manejo de esta patología, así como la importancia de un correcto diagnóstico diferencial.
Palabras clave: Tumor filoide, neoplasia de mama, mama, cáncer de mama.
ABSTRACT: Giant phyllodes tumors are one of the rarest breast tumors. This tumor typically presents itself as a firm and painless mass, mobile and generally located in one of the breasts. An HIV-positive 17 years old female patient presented a left breast swelling with a history of fast growing pace in the previous 6 months. Physical examination showed an ulcerated painless giant phyllodes tumor on the left breast, with multilobed firm characteristics and considerable blood vessel network. The tumor, with a 33cm circumference, took most of the left breast volume. No lymphadenopathies were detected. After radiographic tests, surgical procedure was performed. The anatomopathological report confirmed the presence of a high grade phyllodes tumor. The patient evolved favorably after surgery and was discharged in good general condition, with no fever. The study and management of this pathology was reviewed, as well as the importance of a correct differential diagnosis.
Keywords: Phyllodes tumor, breast neoplasm, breast, breast cancer.
RESUMO: Tumores filoides são um dos tumores raros da mama. Sua forma usual de apresentação é como uma massa firme, indolor, geralmente unilateral e móvel. Foi apresentado o caso de uma paciente de 17 anos com soropositividade para HIV, que foi consultada devido ao aumento do volume da mama esquerda com crescimento acelerado nos últimos seis meses. Ao exame físico, palpava-se tumoração gigante ulcerada em mama esquerda, indolor e firme, multilobulada, com rede venosa superficial. O tumor, de cerca de 33 cm, ocupava praticamente toda a mama esquerda. Não havia adenopatias palpáveis. Após a realização dos exames de imagem, foi submetida a cirurgia. O estudo anatomopatológico relatou um tumor phyllodes de alto grau. A paciente evoluiu bem no pós-operatório, recebendo alta em bom estado geral e sem febre. Foi revisto o estudo e tratamento desta patologia, bem como a importância de um correto diagnóstico diferencial.
Palavras-chave: Tumor filode, neoplasia da mama, mama, câncer de mama.
Introducción
Del término griego phyllos (hoja), el tumor filoide (TP) es una neoplasia fibroepitelial que se forma en el tejido conjuntivo de la mama, presenta una arquitectura intracanalicular, cubierto por epitelio luminal y se caracteriza por una hipercelularidad estromal.1
En 1838, Johannes Muller lo describió como una neoplasia mixta de la glándula mamaria. Tiene un gran número de formas clínicas y comportamiento biológico. La resección quirúrgica es generalmente el tratamiento de elección. En esta patología es raro que se afecten ambas mamas. De los pocos casos registrados, los dos tumores tenían los mismos comportamientos como benignos, malignos o combinados.2
Las mujeres entre los 35 y 55 años son las más afectadas por este tipo de tumor, con una edad promedio de 45 años. De los tumores primarios de mama, representa cerca del 0,3 al 1 %. Las féminas de edades más avanzadas generalmente presentan una histología maligna, mientras en menores de 40 años es menos frecuente. Las mujeres de los países asiáticos y de América Latina tienen mayor probabilidad de desarrollar la enfermedad y son pocos los casos diagnosticados durante la gestación.3
La literatura no define de forma clara los factores de riesgo. El síndrome de Li-Fraumeni, que surge por una mutación del gen p53, se ha relacionado con estos factores.4
Se presenta como una masa firme, sin dolor, generalmente de un solo lado y móvil. Puede estar presente en cualquier cuadrante de la mama, el pezón y el tejido mamario ectópico. El aumento de tamaño puede exceder los 10 cm de diámetro; esto afecta la anatomía de la glándula y aparecen úlceras a nivel de la piel, sin embargo, esto no implica la malignidad. En la piel pueden existir isquemias por la erosión de los bordes y los aumentos de volumen benigno. El sobrecrecimiento intraductal o la transgresión espontánea del ducto puede estar asociada con la salida de sangre a través del pezón. La hipocalcemia está relacionada con los síndromes paraneoplásicos.5
Los tumores según las características histológicas se clasifican en benignos, malignos o borderline. Para realizar esta clasificación se tienen en cuenta los criterios morfológicos, como son: celularidad del estroma, borde del tumor y presencia de elementos heterólogos malignos. En el estroma: presencia de atipia celular, la actividad mitótica y el sobrecrecimiento.6
La teoría sobre la patogenia se basa en las interacciones epitelio-estroma. El estado de márgenes de resección y el grado histológico están correlacionados con las recurrencias locales, las que representan un 20 % de los casos. Esta correlación es mayor que con el tamaño tumoral. Pueden presentar metástasis a distancia hasta el 20 % de los tumores malignos, la vía hematógena es la que predomina. Para los pacientes con estos tumores malignos, la tasa de supervivencia a los 5 años es del 60-80 % y del 13-40 % en pacientes con presencia de metástasis. En cuanto a manejo y tratamiento, este tumor representa un desafío porque tiene una alta tasa de recurrencia, en correspondencia con el gran aumento de volumen y el acelerado crecimiento de las lesiones.7
El examen físico es importante para el diagnóstico de esta patología y los complementarios como los estudios de Imagenología, fundamentalmente la ecografía en pacientes jóvenes. Pero el estudio histológico mediante la biopsia permite el diagnóstico definitivo. Se debe valorar individualmente la conducta a seguir en cada caso.6
Presentación del caso
Paciente de 17 años, con seropositividad para VIH, del sexo femenino, con antecedentes ginecológicos, ciclo menstrual regular, menarquia a los 15 años, con aumento de volumen de mama izquierda que notó rápido crecimiento en los últimos seis meses, por esta causa acude a consulta. Es remitida para estudio y tratamiento.
Se presentó tumoración gigante ulcerada de mama izquierda, indolora y de consistencia firme multilobulada, con acelerado crecimiento y red venosa superficial. Tumoración que ocupa prácticamente toda la mama izquierda, de unos 33 cm, ulcerada en la unión de cuadrantes inferior y externo, con la piel adelgazada, a tensión con aumento de la vascularización superficial, eritema y aumento de temperatura local. En la palpación no se encontraron adenopatías.
En la ecografía de la mama se encontró tumoración grande sólida de hasta 30×25cm, multilobulada, los cuatro cuadrantes fueron ocupados, presentó gran vascularización, en su interior se observaron áreas líquidas, lo que sugirió necrosis o hemorragia. Fue imposible realizar una mamografía por las características del tumor.
Se realizó ultrasonido abdominal, se visualizó hígado, vías biliares, vesícula, glándulas suprarrenales, bazo y riñones con tamaño y textura normales. Los marcadores tumorales (CEA, CA 15-3) estaban dentro de la normalidad, así como el hemograma, el electrocardiograma y la radiografía de tórax. El estudio de la biopsia incisional de mama izquierda informó tumor filoide de mama.
Con el diagnóstico histológico se programó la intervención quirúrgica. Se realizó mastectomía total simple izquierda y luego se colocó injerto cutáneo.
Macroscópicamente, se recibió mama izquierda sustituida por una masa tumoral ulcerada (Figura 1) que midió 32x20x10 cm (6,5 kg de peso), con aspecto fibroso de color gris blanquecino, semejante sarcoma con áreas enquistadas gelatinosas. Al corte, la superficie fue mucoide, con áreas de hemorragias carnosas y con quistes que se alternaron con zonas fibrosas (Figura 2).


El estudio anatomopatológico informó un tumor filoide de alto que respetó margen quirúrgico profundo y con presencia de úlcera a nivel de epidermis.
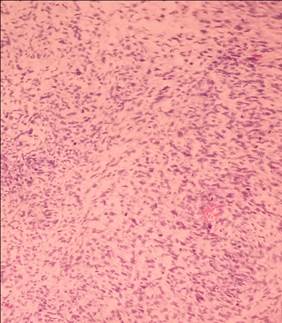
En el estudio histológico solo se observó un estroma hipercelular con marcada atipia nuclear (Figura 3), mitosis, el tumor mostró solo estroma sarcomatoso con elementos epiteliales, ductos mamarios (Figura 4). Diagnóstico: tumor filoide gigante maligno.


La paciente evolucionó favorablemente durante el posoperatorio. A los 8 días de apirexia se le dio alta con buen estado general.
Discusión del caso
Esta neoplasia inicialmente se denominó cistosarcoma phyllodes, luego, este término se dejó de utilizar porque no son sarcomas de acuerdo a su comportamiento biológico y origen celular. Es un tumor bifásico que contiene elementos estromales y epiteliales.8
Ante la presencia de una masa palpable, están indicados los estudios imagenológicos. En el diagnóstico inicial se utiliza la mamografía, donde se visualiza un tumor con sus contornos definidos, macrolobulada, que recuerda a un fibroadenoma. El ultrasonido permite clasificar como un tumor BIRADS IV y los bordes del tumor son lisos, con presencia de quistes intramurales y no presentan reforzamiento acústico posterior. Cuando en el interior del tumor se visualiza necrosis, es signo de malignidad. Se recomienda el uso de la tomografía y resonancia magnética.3,9
Pero estos medios diagnósticos no permiten definir si es benigno o maligno; por lo que es necesaria la biopsia, que da el diagnóstico definitivo. Se prefieren las agujas gruesas, ya que por las finas se presenta un elevado porcentaje de falsos negativos. Microscópicamente, se visualiza un epitelio dispuesto en hendidura con doble capa, a su alrededor se observa estroma hipercelular que sobresale del revestimiento epitelial que crea una forma de hoja. Este tumor tiene las siguientes características: sobrecrecimiento del estroma, hipercelularidad estromal, cantidad de estroma con respecto al epitelio glandular, atipia nuclear, número de mitosis y bordes del tumor infiltrativos. En el fibroadenoma no es significativa la celularidad estromal, por lo que es importante para el el diagnóstico diferencial de la entidad.3
Es común el uso de los marcadores mioepiteliales p63, los cuales al igual que las citoqueratinas (CKs) (CK5/6, 34βE12, cam5.2, CKAE1/AE3) aportan resultados negativos en los tumores filoides, esto contribuye a diferenciarlos de los sarcomas. Los receptores de progesterona y estrógenos no aportan resultados significativos para el componente estromal de la patología.5
El tratamiento de elección que se utiliza es el quirúrgico, con resección tumoral con un borde de tejido circundante de apariencia normal de al menos 1 cm, no se usan linfadenectomía ni terapias adyuvantes. El factor predictivo de recidiva más importante es tener un amplio borde libre de tumor (>1 cm), por esto la elección de la técnica operatoria se debe evaluar para cada paciente en dependencia de las condiciones para lograr este margen. La quimioterapia o la radioterapia son utilizadas cuando no se obtiene un adecuado margen quirúrgico, pero no se ha demostrado una eficacia real.5,10
La diseminación metastásica es poco frecuente. Por vía hematógena es por donde más ocurren las metástasis y afectan generalmente pulmón y tejido óseo, aunque se reportan algunos casos de metástasis en hígado, piel, cerebro, tiroides, laringe, pleura, entre otros. Cuando el tamaño del tumor sea mayor a 5 cm, se debe realizar seguimiento continuo acompañado de radiografía o tomografía computarizada de tórax, pues existe un mayor riesgo de presentar metástasis. La mortalidad ocurre en los tres primeros años del diagnóstico y la sobrevida es corta.3
En los dos primeros años luego del tratamiento ocurren las recurrencias, por lo que el seguimiento con evaluación clínica debe realizarse dos veces en el año durante este periodo de tiempo y después una vez al año; se debe utilizar la mamografía todos los años en las pacientes que no se les realizó mastectomía. La recurrencia va a estar relacionado con la naturaleza del tumor, la escisión no completa de los bordes del tumor y el tipo biológico más agresivo.3
Referencias bibliográficas
Tse GKJTA. Phyllodes tumor. In: International Agency for Researchon Cancer. WHO Classification of Tumours. 5ed. Lyon, France: Editorial Board Breast Tumours; 2019. p. 172-6.
Cardozo NM, Buhl L, Betancourt Á, Saldivia F. Tumor Filodes Bilateral. A propósito de un caso. Rev Ven Oncol [Internet]. 2021 [citado 12/07/2023]; 33(3):155-161. Disponible en: https://www.redalyc.org/articulo.oa?id=375666698004
Rockbrand Campos LP, Koutsowris Sáenz S, García Carranza MA, Castro González M, Sibaja Matamorros DA. Tumor Phyllodes: revision de la literatura. Rev Med Legal Costa Rica [Internet]. 2020 Mar [citado 12/07/2023]; 37(1):148. Disponible en: https://www.scielo.sa.cr/pdf/mlcr/v37n1/2215-5287-mlcr-37-01-146.pdf
Bezerra de Souza Fede Â, Pereira Souza R, Doi M, Brot M de, Bueno de Toledo Osorio CA, Rocha Melo Gondim G, et al. Malignant Phyllodes Tumor of the Breast: A Practice Review. Clin Pract [Internet]. 2021 Apr [citado 12/07/2023]; 6; 11(2):205-15. DOI: https://doi.org/10.3390/clinpract11020030
Frías García-Lago R. Análisis del tratamiento del tumor filodes de mama en la unidad de mama del humv. [Tesis Grado en Medicina]. Santander: Universidad de Cantabria; 2022 jun. [citado 12/07/2023]. Disponible en: https://repositorio.unican.es/xmlui/bitstream/handle/10902/25748/2022_FriasGarciaLagoR.pdf?sequence=1
Calderón G, Pajuelo A, Guerra H, Cruz M de la, Hammond R. Tumor Phyllodes de la Mama. Interciencia Méd [Internet]. 2022 [citado 12/07/2023]; 12(2):18-25. DOI: https://doi.org/10.56838/icmed.v12i2.91
Espuelas Malóna S, Nicolau Batalla P, Fabregó Capdevila B, Alcántara da Silva R, Vázquez de las Heras I, Rodríguez Bouzad EM, et al. Abordaje multidisciplinar de un tumor phyllodes maligno de mama en una mujer de 16 años. Rev Senol Patol Mama [Internet]. 2020 [citado 12/07/2023]; 33(2):72-75. DOI: https://doi.org/10.1016/j.senol.2020.01.001
Moretti E, Cifuentes X, Falzone S, Ospina M, Godoy A, Lattante R, et al. Citosarcomafilodes maligno. Nuestra experiencia reconstructiva y revisión bibliográfica. Rev Colom Cir Plast Reconst [Internet]. 2021 [citado 12/07/2023]; 27(1). Disponible en: https://www.ciplastica.com/ojs/index.php/rccp/article/view/166
Gutierrez-Pantoja MA, Arriaga-Piñeiro J, Valdez-Fernández B, Cordido-Henrriquez F, Vallejo-Desviat P, Molina-López-Nava P. Lesión bordeline de la mama. Sanid Mil [Internet]. 2021 Sep [citado 26/04/2023]; 77(3):156-157. Disponible en: https://scielo.isciii.es/pdf/sm/v77n3/1887-8571-sm-77-03-156.pdf
Santos JA, Garcia J, Garcia J, Bonal E, Martin R, Aparicio M. Tumores filoides de la mama: características clínicas en imagen y anatomopatológicas: a propósito de 18 casos. Rev Chil Radiol [Internet]. 2007 [citado 26/04/2023]; 13(2):90-97. DOI: http://dx.doi.org/10.4067/S0717-93082007000200008
Financiación
Notas de autor
*Autora para la correspondencia: anniamoragarodriguez@gmail.com
Declaración de intereses