Artículos
Uso de aloinjerto esponjoso en fracturas y pseudoartrosis en defectos óseos: experiencia en el Hospital Luis Vernaza
Use of spongy allograft in fractures and pseudoarthrosis in bone defects: experience in the Luis Vernaza Hospital
Uso de aloinjerto esponjoso en fracturas y pseudoartrosis en defectos óseos: experiencia en el Hospital Luis Vernaza
Archivos Venezolanos de Farmacología y Terapéutica, vol. 37, núm. 4, pp. 396-399, 2018
Sociedad Venezolana de Farmacología Clínica y Terapéutica

Resumen: La utilización de injerto óseo es frecuente en las cirugías traumatológicas, siendo necesario en ocasiones utilizar grandes cantidades de aporte óseo tanto para defectos como en pacientes con pseudoartrosis. Son escasos los estudios en Latinoamérica que describan los resultados obtenidos con estas nuevas y prometedoras técnicas ortopédicas, por lo cual el objetivo de este reporte es describir una serie de casos de pacientes con fracturas complicadas con defectos óseos que fueron sometidos a injerto heterólogo en el Hospital Luis Vernaza, Guayaquil, Ecuador. Se realizó un estudio de series de casos de 17 pacientes ingresados en el servicio de traumatología y ortopedia del Hospital Luis Vernaza, que durante su evolución intrahospitalaria fueron sometidos a injertos heterólogos. La utilización del autoinjerto es de fácil acceso e, incluso, es el más económico, y el que tiene las propiedades de osteogénesis, osteoconducción y osteoinducción. Sin embargo, está asociado con un alto grado de morbilidad con una limitación en la cantidad por extraer, y con la presencia de complicaciones, como dolor, lesión vasculo-nerviosa o infección. En nuestros pacientes se evidenciaron buenos resultados con el uso del aloinjerto en la mayoría, con una muy baja tasa de complicaciones. La utilización de aloinjertos es cada vez más frecuente en la práctica ortopédica, ya que tienen diferentes capacidades para activar la formación ósea
Palabras clave: injerto óseo, aloinjertos, fracturas, complicaciones.
Abstract: Bone grafts are frequently used in trauma surgeries, and sometimes it is necessary to use large amounts of bone for defects and pseudoarthrosis patients. There are few studies in Latin America that describe the results obtained with these new and promising orthopedic techniques, for which the purpose of this report is to describe a series of cases of patients with complicated fractures with bone defects that were submitted to heterologous graft in the Hospital Luis Vernaza, Guayaquil, Ecuador. A case series study of 17 patients admitted to the traumatology and orthopedic service of the Hospital Luis Vernaza was carried out. They underwent heterologous grafts during their hospitalization. The use of the autograft is easy to access and, it even is the less expensive. However, the most economical, and the one that has osteogenesis, osteoconduction and osteoinduction properties. However, it is associated with a high degree of morbidity, with a limitations in the amount to be extracted, and with the presence of complications, such as pain, nerve injury or infection. In our patients, good results were shown with allografts in the majority, with a very low rate of complications. The use of allografts is increasingly common in orthopedic practice, since they have different capacities to activate bone formation
Keywords: bone graft, allografts, fractures, complications.
INTRODUCCIÓN
El tratamiento de las pérdidas de sustancias óseas es una situación cada vez más frecuente para el cirujano ortopédico, el origen de las lesiones puede ser muy variado (congénito, traumático, ortopédico, infeccioso o tumoral) y cada causa presenta aspectos específicos que influyen en la elección del método de relleno, cuyo objetivo es lograr una regeneración y una consolidación ósea de buena calidad y suprimir o limitar las consecuencias funcionales del defecto óseo1. Disponer del injerto óseo adecuado tanto en el tipo como en la cantidad es una problemática diaria en traumatología, teniendo en cuenta que su uso tiene básicamente dos funciones primarias: 1. Facilitar que el área con defectos óseos tenga una estabilidad en sus movimientos de manera inmediata o temprana y 2. realizar la reconstrucción de defectos óseos por medio de sus diferentes propiedades, siendo estas la osteoconductiva, osteoinductiva y osteogénica.
Clásicamente, los cirujanos han optado por utilizar autoinjertos o injertos de hueso autólogos para tratar estos defectos, siendo considerado el “patrón de oro”2. A pesar de esto, existen numerosas morbilidades asociadas a la zona donadora, la cual a menudo es la cresta ilíaca. Entre estas se encuentran el sangrado, riesgo elevado de infección, dolor posterior a la cirugía, una cantidad de tejido óseo limitada, así como el sacrificio de estructuras sanas. Todo esto implica límites para su utilización3. Por ello, existen alternativas tales como los aloinjertos, en los cuales el tejido donador es de otro paciente, lo cual implica una disponibilidad más amplia, no existe morbilidad en la zona donadora, el tiempo de cirugía y sangrado es menor y grandes defectos pueden ser abordados. Entre sus desventajas se encuentran los tiempos de incorporación más prolongados y que las características de osteoconducción y osteoinducción no son tan patentes si son comparadas con el autoinjerto4.
Un punto conflictivo es en relación con la transmisión de enfermedades, afortunadamente la adecuada selección del donante, la utilización de estudios mcirobiológicos adecuados así como la esterilización y preservación de los tejidos involucrados con dosis de radiación gamma han reducido esta complicación, que por ejemplo en el caso del VIH, se estima en un riesgo de transmisión menor que 1 en 1,6 millones2.
Son escasos los estudios en Latinoamérica que describan los resultados obtenidos con estas nuevas y prometedoras técnicas ortopédicas, por lo cual el objetivo de este reporte es describir una serie de casos de pacientes con fracturas complicadas con defectos óseos que fueron sometidos a injerto heterólogo en el Hospital Luis Vernaza, Guayaquil, Ecuador.
CASOS CLÍNICOS
Durante el periodo 2014-2016 fueron manejados 17 pacientes con fracturas complicadas con defectos óseos en el servicio de traumatología y ortopedia del Hospital Luis Vernaza, que durante su evolución intrahospitalaria fueron sometidos a injertos heterólogos (chip de esponjosa), obteniéndose del banco de huesos y tejidos del mencionado hospital, el cual dispone de dos unidades de Crio-conservación: congeladores eléctricos de -40° C y de -80° C. Para conservar el hueso esponjoso se hace uso de la primera unidad, mientras que la segunda unidad se utiliza para conservar huesos largos, así como tejidos de tipo tendinoso.
De los 17 pacientes, 56% fueron de sexo masculino 44% de sexo femenino, con un promedio de edad de 49 años (22-89 años) y cuya distribución fue la siguiente:
· 2 pacientes con fracturas de húmero proximal, 1 de ellas expuesta Gustilo G1 para la cual se utilizaron 20 cc de chip de esponjosa en cada una.
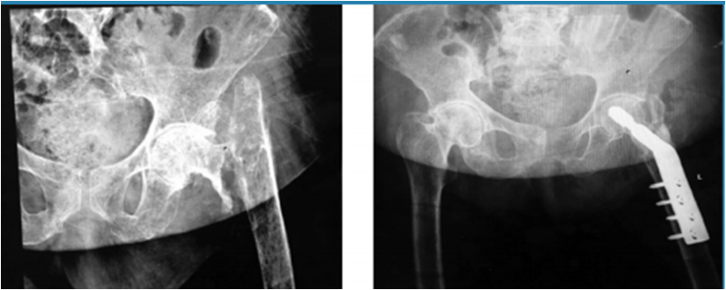
· 6 pacientes con fracturas pertrocantéricas, una de ellas expuesta GIIIB (Fig. 1) manejada inicialmente con limpiezas quirúrgicas y sistema VAC, se utilizó osteosíntesis con DHS en todas, y uso de aloinjerto de chip esponjosa en 3 pacientes 30 cc y en 2 pacientes 60 cc.

· 3 pacientes con fracturas de meseta tibial, en las cuales se realizó osteosíntesis con placa bloqueada más aloinjerto de 30 cc.
· 3 fracturas de calcáneo estabilizadas con placa LAMBDA utilizándose en una 15cc y en dos 30 cc del aloinjerto.
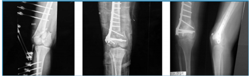
· 3 pacientes con fracturas de tercio distal de fémur supraintercondíleas con gran defecto óseo, para las cuales se utilizó placa condilar bloqueada en todas, se usó en un paciente 30 cc de aloinjerto de chip de esponjosa y en 2 aloinjerto de 60 cc de chip esponjosa (Fig. 2 y 3).


· 5 pacientes con pseudoartrosis, 3 correspondientes a meseta tibial a quienes se realizó osteosíntesis con placa de soporte en L y aloinjerto de chip de esponjosa 50 cc, 2 de fémur distal resueltas con placa condilar bloqueada con 60 cc de chip esponjosa y un paciente con fatiga de material de osteosíntesis (Fig. 4 y 5).


La consolidación fue definida mediante radiografía evaluando la estabilidad y callo formado, de las 7 fracturas pertrocantéricas 6 de ellas se les hizo un seguimiento por 8 meses con estudios radiológicos mensuales donde en los últimos controles se observaron signos de consolidación completa, con continuidad de corticales y paso de trabéculas en la zona medular, uno de ellos no se realizó seguimiento por pérdida de contacto con el paciente, el promedio de hospitalización fue de 10 días (8 - 40 días) todos con evolución favorable de la herida quirúrgica, solo uno de ellos debido a fractura expuesta Gustilo IIIB con herida a nivel de glúteo que requirió de limpiezas quirúrgicas en 6 ocasiones y se utilizó sistema VAC, una vez con mejoría de partes blandas se realizó la osteosíntesis definitiva.
Las fracturas de meseta tibial, calcáneo y fémur distal presentaron una media de hospitalización de 12 días, se logró la consolidación en 90%, el tiempo promedio fue de 8 meses (4 -9 meses). En uno de los casos se realizó una reintervención quirúrgica por mala técnica.
DISCUSIÓN
A Mediados del siglo XIX, Ollier fue el primero en informar sobre los primeros estudios que contenían un enfoque científico de los injertos óseos (referidos a los xenoinjertos), mientras que el primer aloinjerto óseo en el ser humano fue atribuido a Mac Ewen5. Sin embargo, las indicaciones seguían siendo básicamente traumatológicas y el índice de infecciones era alto a pesar de la aparición de la antisepsia tras los trabajos de Pasteur. Para que estas técnicas fueran viables hubo que esperar a la segunda mitad del siglo XX y la aparición de los antibióticos6.
A partir de 1980, dos avances primordiales de la cirugía ortopédica dieron un impulso considerable al uso de aloinjertos óseos: por una parte, los progresos de la quimioterapia, que permitieron desarrollar una cirugía de reconstrucción tras exéresis tumoral, sobre todo de osteosarcomas y, por otra parte, el desarrollo considerable de la cirugía protésica de la cadera y la rodilla, que, debido al desgaste y el despegamiento de las piezas, llevó al desarrollo de la reintervención quirúrgica5.
En la actualidad, el gran avance de la industria ortopédica le brinda al cirujano una amplia gama de opciones al momento de decidir un implante en el tratamiento mecánico de una fractura o pseudoartrosis. Cuando la causa principal es biológica, el injerto óseo es útil para suplir la pérdida de capital óseo y favorecer la capacidad del organismo de formar hueso .
Las alternativas para utilizar son el autoinjerto (esponjoso, cortical, corticoesponjoso), el aloinjerto (molido o estructural) y los sustitutos óseos sintéticos (matriz ósea desmineralizada, cerámicas, polímeros, entre otros). Actualmente el más utilizado es el autoinjerto, ya que produce los mejores resultados, es de fácil acceso y es la opción más rentable, siendo el injerto vigente que a diferencia de los demás, tiene características importantes de tipo osteogénesis, osteoinducción y osteoconducción. Sin embargo, está asociado con un alto grado de morbilidad (10-30%), con una limitación en la cantidad por extraer, y con la presencia de complicaciones, como dolor, lesión vasculonerviosa o infección8.
Desde hace varios años la utilización de aloinjertos es cada vez más frecuente en la práctica ortopédica, ya que tienen diferentes capacidades para activar la formación ósea. Si bien no son ontogénicos, dado que carecen de células madre con capacidad de transformación a células precursoras óseas, tienen la propiedad de inducir a las células del lecho a formar hueso (osteoinducción) y sirven como andamiaje para el crecimiento óseo en sus trabéculas (osteoconducción). Para ubicar los aloinjertos se requiere su incorporación, lo cual se define como el proceso mediante el cual se recubre e interdigita con el hueso receptor, requiere que se cumplan ciertas condiciones en el lecho receptor, como en la unión donante-receptor. En cuanto al lecho, este debe ser biológicamente activo (sangrante, no fibrótico) para poder responder al estímulo inductor del injerto. La otra condición que debe cumplirse es la estabilidad. Se ha demostrado experimentalmente (sobre todo en los estructurales) que para lograr la integración esta unión requiere un adecuado contacto entre ambos y que este contacto se produzca en un ambiente mecánicamente estable, donde el injerto servirá de andamiaje para el hueso neoformado, después de la integración el aloinjerto es remodelado según la carga axial, igual a lo que realiza el esqueleto usualmente9.
Estos aloinjertos se usan principalmente para brindar apoyo en lo referente a cargas mecánicas, así como formar parte de la resistencia en las zonas en las cuales soporte estructural es necesario. Como se ha dicho previamente, tienen propiedades osteoconductivas, tienen las ventajas de estar disponibles en cantidades importantes y en diferentes formas y tamaños, las estructuras del huésped no se ven afectadas y el sitio donador no tiene riesgo de comorbilidad. La mayor preocupación cuando se utilizan aloinjertos es la posibilidad de transmitir algunos virus como el VIH o el de hepatitis C o B, asimismo, la utilización de procesos (congelamiento e irradiación) para la erradicación de componentes antigénicos del injerto para disminuir el riesgo de una respuesta inmune adversa por parte del huésped y garantizar la esterilidad del injerto, tiene un efecto dosis dependiente sobre las propiedades biológicas y biomecánicas de los injertos10.
El tiempo de consolidación de los aloinjertos puede variar desde los 2 meses hasta 2 años según diferentes factores que influyen en esto. Los aloinjertos de esponjosa tienen un promedio de 6 meses para su integración mientras que hasta 2 años puede ser el tiempo de integración de los corticales. Dentro de los factores que influyen en la consolidación tenemos la edad, tipo de osteosíntesis, el tipo de unión entre el injerto y el hueso receptor, otros tratamientos que se estén utilizando, entre otros factores. Según distintas series de estudio, se observan tasas variables de pseudoartrosis, reportándose un aproximado de 2% para uniones metafisiarias y tan altas como 15% en el caso de las diafisiarias. Sin embargo, en resultados menor prometedores, se ha reportado una unión positiva en sólo 25% de los casos. El uso de quimioterapia en pacientes con aloinjertos osteocondrales se asocia hasta a un 32% de pseudoartrosis mientras que este porcentaje solo asciende hasta un 12% sin la quimioterapia11. En el seguimiento de la consolidación se han utilizado diferentes escalas de valoración, encontrándose que se consideran con buenos resultados aquellas con una consolidación sin dificultad, complicaciones mínimas, ausencia de intervenciones posterior al injerto, no desarrollo de deformidades o adecuada funcionalidad del miembro; los resultados regulares se suelen considerar aquellos con consolidación asociada a otro procedimiento, deformidad “no invalidadnte”, buena función del miembro o presencia de complicaciones no severas y aquellos malos resultados: la ausencia de consolidación, deformidades invalidantes, mala función del miembro u otras complicaciones severas12.
CONCLUSIÓN
Los beneficios para el paciente, así como el aporte para abordar un amplio número de patologías complejas en el área de traumatología y ortopedia se encuentran relacionados de forma directa con la utilización de aloinjertos óseos así como con un banco de huesos y tejidos. A pesar de esto, en nuestro país no existe una adecuada utilización de este recurso, ya que no hay una red de bancos de huesos que pudiera permitir una óptima utilización y distribución de estos aloinjertos. Es por ello que consideramos que, al momento de formar un banco de huesos, la rama organizacional es de primordial importancia, especialmente con respecto al mantenimiento de un protocolo estricto, que se guíe según los estándares internacionales para así poder proveer la mejor atención a los pacientes atendidos.
REFERENCIAS BIBLIOGRÁFICAS
1. Mainard D. Sustitutos óseos. EMC - Aparato locomotor. 2014; 47(2):
2. Calvo R, Figueroa D, Diaz-Ledezma C, Vaisman A, Figueroa F. Aloinjertos óseos y la función del banco de huesos. Rev Med Chile. 2011 Mayo; 139(5): 660-666.
3. Leighton R, Russel T. Comparison of Autogenous Bone Graft and Endothermic Calcium Phosphate Cement for Defect Augmentation in Tibial Plateau Fractures. JBJS. 2008; 90(10):
4. Kurz L, Garfin S, Booth Jr R. Harvesting autogenous iliac bone grafts: a review of complications and techniques. Spine. 1989; 14(12): 1324-1331.
5. Espinosa V. Los aloinjertos óseos en Cirugía Ortopédica y Traumatología. Patologia Aparato Locomot. 2004; 2(4):
6. Zárate-Kalfópulos B, Reyes-Sánchez A. Injertos óseos en cirugía ortopédicA. Cirugía y Cirujanos, 74(3), 217-222. 2006; 74(3): 217-222.
7. Dotor S, Hernandez V. Alternativas para obtener un injerto óseo. Acta Ortopédica Mexicana. 2002; 16(4):
8. Fernandez I, et al. Resultados de la utilización de aloinjerto criopreservado en fracturas y consolidaciones fallidas de huesos largos. Rev Asoc Argent Ortop Traumatol. 2015; 80(2): 85-93.
9. Matus-Jiménez J, Martínez H. Tratamiento de ruptura de tendón calcáneo no reciente con uso de aloinjertos. Reporte de serie de casos. Act Ortop Mex, 2011; 25(2): 114-118.
10. Páez D, Lemus O, Martínez R. Banco de hueso y tejidos: Alta tecnología disponible. Acta Ortopédica Mexicana. 204; 18(6): 261-265.
11. Dotor S, Hernandez V. Alternativas para obtener un injerto óseo. Acta Ortopédica Mexicana. 2002; 16(4):
12. Mej N, Cambras R, Noda E, Riveron L. Pseudoartrosis de los huesos largos tratadas con osteosíntesis e injerto óseo de banco de tejidos. Rev Cubana Ortop Traumatol. 2004 Diciembre; 2004(2).