Artículos
Cistoadenoma seroso con células endocervicales en una paciente pediátrica caso clínico
Endocervical serous cystoadenoma in a pediatric patient clinical case
Cistoadenoma seroso con células endocervicales en una paciente pediátrica caso clínico
Archivos Venezolanos de Farmacología y Terapéutica, vol. 39, núm. 2, pp. 195-197, 2020
Sociedad Venezolana de Farmacología Clínica y Terapéutica

Recepción: 07 Febrero 2020
Aprobación: 02 Marzo 2020
Resumen: Las neoplasias ováricas son poco frecuentes en la edad pediátrica, con una incidencia de 2.6 en 100000 niñas, el tipo histológico más frecuente corresponde al de células germinales seguidos en menor número por los de células epiteliales. La patología de ovario es poco frecuente en la edad pediátrica, la mayoría de éstas son de origen benigno, el signo clínico más frecuente es el dolor abdominal y debe ser considerado en el diagnóstico diferencial de patología gastrointestinal y urológica. En el presente reporte, describimos el caso clínico sobre cistoadenoma de ovario considerado como el más frecuente entre la tercera y sexta década de la vida. Se limitan a un solo ovario, en el 10% de los casos pueden afectar de manera bilateral, la manera indicada de resolver esta patología es quirúrgica preservando la fertilidad, y una oforectomía o salpingo-oforectomia por laparotomía es la conducta adecuada.
Palabras clave: Cistoadenoma Seroso, Masa Abdominal, Pediátrico, ovario, adolecentes.
Abstract: Ovarian neoplasms are rare in pediatric age, with an incidence of 2.6 in 100,000 girls, the most frequent histological type being germ cells followed in smaller numbers by epithelial cells. Ovarian pathology is rare in pediatric age; most of these are of benign origin; the most frequent clinical sign is abdominal pain and should consider in the differential diagnosis of gastrointestinal and urological pathology. In the present report, we describe the clinical case of ovarian cystadenoma considered as the most frequent between the third and sixth decade of life. They are limited to a single ovary, in 10% of cases, they can affect bilaterally. The indicated way to resolve this pathology is surgical, preserving fertility, and an ophthalmectomy or salpingo-oophorectomy by laparotomy is the appropriate behavior.
Keywords: Serosal cystoadenoma, abdominal mass, pediatrics, ovary, adolescents.
Reporte de caso
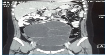
Adolescente de 13 años sin menarquia con dolor abdominal de 4 meses evolución, constipación y aumento del diámetro abdominal, un mes antes del ingreso nota la presencia de una masa dura en región de hipogastrio que se extiende desde la pelvis hasta la región umbilical. La ecografía abdominal evidenció una masa que ocupa todo hipogastrio (figura N°1), la tomografía abdominal mostró una masa dependiente de ovario 15cm de diámetro (figura N°2). Se realizaron los siguientes marcadores tumorales, CA 125, CA 199, ALFAFETROPROTENINA, BHCG, LDH cuyos resultados fueron normales.

Masa quística tabicada de contenido hetrogeneo de 20*15*17cm. Volumen aproximado 280cm

Masa de características quísticas, tabicada, dependiente de anexo derecho
Con esos resultados se sospechó de patología benigna de ovario por lo que se realizó laparotomía exploratoria con resección de masa de 15X10X5cm (figura N°3) dependiente de ovario derecho cuyo resultado de anatomía patológica fue cistoadenoma mucinoso de ovario con células endocervicales (figura N°4).

Masa multilobulada de apariencia quística dependiente de anexo derecho de 20 x 15 x 18 cm.

Cistoadenoma endocervical
Discusión
La patología ovárica es muy rara en la edad pediátrica. El estudio anatomopatologico es el que permite realizar un diagnóstico definitivo1. Dentro de los diagnósticos diferenciales de la patología ovárica en la población pediátrica se deben incluir: neoplasias malignas o benignas, quistes funcionales y torsión ovárica2,3.
a mayoría de estos tumores no produce síntomas y en caso de presentarlos el más común es la distensión abdominal seguida de dolor abdominal. La ecografía corresponde al examen de primera línea que debe ser realizado al momento de encontrar una masa abdominal palpable, en caso de existir dudas diagnosticas el siguiente examen en realizar es una tomografía computada5.
Los marcadores tumorales son muy importantes en la evaluación preoperatoria de estos pacientes, además se pueden usar como seguimiento posterior a la cirugía; el CA 125 identifica los tumores epiteliales de ovario, el CA 19-9 ha sido relacionado con múltiples tumoraciones, además se utiliza en tumoraciones con grandes volúmenes, ya que sus paredes quísticas son delgadas y producieno inflamación o rotura de las mismas aumentando la secreción de este marcador6.
Los cistadenomas corresponden a tumores de tamaño variable llegando hasta tamaños gigantes, crecen libremente en la cavidad abdominal, pueden estar formados por los elementos del ovario y al crecer puede que la trompa quede englobada en su masa7.
Para la resolución se aconseja que se realice una laparotomía con una incisión mediana o tipo Pfannenstiel8,9. El Colegio Americano de Obstetricia y Ginecología contraindica la video-laparoscopia en masas anexiales sospechosas de malignidad, debido al riesgo de ruptura de la misma, siendo recomendada la cistectomía u oforectomía mas salpinguectomía ipsilateral10. En los casos donde se evidencia comportamientos benignos de estas lesiones tanto clínicamente, imagenologicamente y de laboratorio no ha sido considerado oportuno la toma de biopsia del ovario contralateral11, es así que en este caso se realizó valoración ecográfica y tomografía preoperatoria se identificaron los marcadores tumorales, con estos resultados nos orientamos a una patología benigna del ovario por lo que se decidió con la paciente realizar laparotomía exploratoria más cistectomía conservando la fertilidad de la paciente.
Conclusiones
En la edad pediátrica la patología de ovario es rara creando dilemas diagnósticos y demoras en la toma de decisiones. Una vez realizado el diagnostico la conducta es enfocada en preservar la fertilidad y evitar la recurrencia.
Referencias Bibliográficas
1. Cass D, Hawkins E, Brandt ML, Chintagumpala M, Bloss R S, Milewicz AL, et al. Surgery for ovarian masses in infants, children and adolescents: 102 consecutive patients treated in a15 year period. J Pediatr Surg. 2001;36:693-9.
2. Brown M, Hebra A, Mcgeehin K, Ross A, Ovarian masses in children; a reviwe of 91 cases of malignant and beningn masses.J Pediatr surg 1993; 28: 930-933.
3. Flotho C, Ruckauer K, Duffner U, Bergstasser E, Bohm N, Nieymeyer C. Mucinous cystoadenoma of ovary in a 15 year old girl. J Pediatr Sure2001: 36:1-3.
4. Alobaid A. Mucinous cystadenoma of the ovary in a 12-year-old girl. Saudi Med J. 2008 Jan;29(1):126-8.
5. Álvarez A. Correlación ultrasonográfica e histopatológica de los tumores de ovario. Rev Cubana ObstetGinecol. 2010;36(1): 1-10.
6. Karaman A, Azili MN, Boduroglu EC et al: A huge ovarian mucinous cystadenoma in a 14-year-old premenarchal girl: review on ovarian mucinous tumor in premenarchal girls. J Pediatr Adolesc Gynecol, 2008; 21: 41–44.
7. Chao A, Chao A, Yen YS, Huang CH: Abdominal compartment syndrome secondary to ovarian mucinous cystadenoma. Obstet Gynecol, 2004; 104: 1180–82.
8. Aggarwal A, Lucco KL, Lacy J, Kires S, et al. Ovarian epithelialtumors of low malignant potential: a case series of 5 adolescent patients. J Pediatr Surg 2009;44:2023-27.
9. Iwasaki M, Taira K, Kobayashi H, Saiga T. Ovarian mucinouscystadenoma of borderline malignancy in a premenarchal girl. J Pediatr Adolesc Gynecol 2010;23:e119-23.
10. Allmen D. Malignant lesions of the ovary in childhood.Semin Pediatr Surg 2005;14:100-05.
11. Yazici M, Etensel B Gürsoy H, Erkuş M: Mucinous cystadenoma: a rare abdominal mass in childhood. Eur J Pediatr Surg, 2002; 12: 330–32.