Artículos

Recepción: 28 Diciembre 2020
Aprobación: 15 Enero 2021
Publicación: 10 Febrero 2021
DOI: https://doi.org/10.5281/zenodo.4661937
Abstract: The wound healing properties of the cAMP/PKA-signaling blocker was investigated. On the model of the skin wound the pronounced wound healing effects of the PKA inhibitor have been revealed. Implementation of the identified effects was associated with activation of mesenchymal progenitors (MPC) functions in granulation tissue. The development of this phenomenon is associated with direct exposure of the pharmacological agent to MPC in the conditions of their influence of growth factors (in particular, the growth factor of fibroblasts (FGF) secreted by stromal cells in situ. In this case, there is an increase not only in the proliferation of activity but also in the intensity of the specialization processes of progenitors. In a medium without cytokines, the cAMP/PKA-signaling blocker causes the progression of the cell signal but does not affect the rate of maturation of precursors.
Keywords: cAMP, PKA-signaling, progenitors, skin wound, targeted therapy, regenerative medicine.
Resumen: Se investigaron las propiedades curativas de la herida del bloqueador de señalización de cAMP/PKA. En el modelo de la herida de la piel se han revelado los efectos pronunciados de curación de heridas del inhibidor de la PKA. La implementación de los efectos identificados se asoció con la activación de funciones progenitoras mesenquimales (MPC) en el tejido de granulación. El desarrollo de este fenómeno se asocia con la exposición directa del agente farmacológico a MPC en las condiciones de su influencia de los factores de crecimiento (en particular, el factor de crecimiento de los fibroblastos (FCF) secretados por células estromales in situ. En este caso, hay un aumento no sólo en la proliferación de la actividad, sino también en la intensidad de los procesos de especialización de los progenitores. En medio sin citoquinas, el bloqueador de señalización de cAMP/PKA provoca la progresión de la señal celular, pero no afecta a la tasa de maduración de precursores.
Palabras clave: señalización de cAMP, PKA, progenitores, herida cutánea, terapia dirigida, medicina regenerativa.
Introduction
A promising approach to solving the problems of regenerative medicine is a new direction of pharmacotherapy - "Strategy of targeted pharmacological regulation of intracellular signal transduction in regeneration-competent cells"1-4.
It is assumed that the selectivity of stimulation of regeneration of the organs and tissues in need of this will be determined by the specific role of certain signaling molecules6-7in the realization of the growth potential of progenitors against the background of tissue specificity of their different types and isoforms (including alternative splicing products)1,5,8.
It is known that one of the key roles in the regulation of proliferation and differentiation of the progenitor cells, as well as in the secretion of cells microenvironment of tissues of growth factors plays cAMP-mediated pathways9,10. However, new evidence has recently been obtained showing much more complex signal transduction through cAMP than previously thought. The implementation of effects involving this second messenger can take place not only through its interaction with the PKA and in the further activation of CREB, but also through the activation of Ca2+/calmodulin-dependent protein kinase and changes in the pattern of regulation of MAPK-pathways11, or the phosphorylation of Epac (exchange protein directly activated by cAMP)12, etc. Previous studies of the role of cAMP-mediated signaling in the regulation of the functions of different types of progenitors have revealed some ambiguous phenomena13,14. It was concluded that to effectively manage the regulatory processes by modulating the cAMP-pathways, a targeted effect on the molecules responsible for certain directions of signal transduction is necessary.
A convenient model for the development of new approaches to solving the problems of regenerative medicine is the skin wound. Besides, the creation of fundamentally new wound healing facilities remains relevant. These products should not only speed up the process of tissue repair but also lead to the formation of full-fledged skin15. At the same time, it is believed that achieving such a result is possible due to the pharmacological activation of resident progenitor cells functions of the skin and the underlying tissues16, 17, as well as the mobilization and migration of multipotent stem cells (SC) from their tissue-depots (primarily from bone marrow)18-20.
The work aimed to study the wound healing effects of the cAMP/PKA-signaling blocker and the mechanisms of their development.
Materials and Methods
Experiments were carried out on C57B1/6 mice (n = 119) at the age of 2-2.5 months, weighing 20-22 g. Animals of the 1st category (conventional linear mice) were obtained from the Experimental Biological Models Department of Goldberg Research Institute of Pharmacology and Regenerative Medicine (Tomsk, Russia). Before the beginning of experiments (during 10 days) and over the study period, animals were contained in the vivarium (air temperature 20–22.C, humidity 50-60 %) in plastic cages (10-15 mice) on a normal diet (solid diet pellets (Limited Liability Company «Assortiment Firm», Sergiev Posad city, Russia), water ad libitum. To exclude seasonal fluctuations of studied parameters, all the experiments were performed in the autumn-winter period. The animals were removed from the experiment (sacrificed) using CO. cameras. All animal experiments were carried out following the U.K. Animals (Scientific Procedures) Act, 1986 and associated guidelines, EU Directive 2010/63/EU for animal experiments. The study was approved by the Institute`s local Ethics Committee (Goldberg Research Institute of Pharmacology and Regenerative Medicine, Tomsk National Research Medical Center, Russian Academy of Sciences).
Wound healing activity was studied on the model of the flap skin wound19, 21. To do this, on the depilated area of the back in mice under light ethereal anesthesia cut a flap of skin the size of 10×10 mm. For longer healing of the scab from the wound regularly (through 24 hours) removed. The cAMP/PKA-signaling blocker (PKA Inhibitor «KT3761», Sigma-Aldrich, USA) was applied to the wound of the experimental mice (n=52) from the first day after the modeling of the wound, daily throughout the healing period of 20 µl (at a concentration of 10 µM). Control animals (n=52) were applied to the wound by the equivalent volume.
The criteria for early healing were the average diameter of the wound (control and experienced group: n=20/20) and the results of the histological study of the biopsies of the skin of mice obtained on the 3rd and 5th day of the wound defect (control and experienced group: n=12/12). The histological preparations of the skin (preparations were fixed in 10% neutral formalin, dehydrated in a series of alcohols with rising concentration, impregnated with paraffin, and cut into pieces of 4-5 microns thick,) were stained with hematoxylin and eosin.
Studies of functional activity of mesenchymal progenitors in the wound were conducted on the 3rd and 5th day of experience (control and experienced group: .= 20/20). Cells obtained after scraping from the wound surface in the concentration of 105 / ml were incubated in StemMACS™ MSC Expansion Media for 7 days in a CO2 incubator at 37°C, 5% CO2, and 100% air humidity. After incubation, the content of clonogenic cells, their proliferative activity, and the intensity of specialization (differentiation/maturation) were calculated. The number of MPC was determined by the yield in the respective cultures of fibroblast colony-forming units (CFU-F, colonies containing more than 50 cells). The proliferative activity of the progenitor cells by the method of cell suicide using hydroxyurea (1 µM) (Calbiochem, USA). The pool of CFU in the S-phase of the cell cycle was determined according to the formula: N = [(a-b)/a] × 100%, where a is the average for the group the number of CFU-F from cells not treated with hydroxyurea; b - the average for the group the number of CFU-F from cells treated with hydroxyurea. The intensity of the processes of specialization of progenitors was determined by calculating the ratio of the corresponding cluster-forming (ClFU-F, clusters containing 20 - 30 cells) to CFU-F (differentiation index)19, 21.
Using cultural methods we studied the production of growth factors that stimulate the growth of CFU-F (colony-stimulating activity - CSA) by stromal cells scraped from the surface of the wound. To do this, adherent cells obtained after scraping from the wound surface in concentrations of 2 × 106 / ml were incubated in StemMACS™ MSC Expansion Media for 2 days in a CO2 incubator at 37°C, 5% CO2, and 100% air humidity. After that, we received the conditioned media and determined their effect on the growth of CFU-F in the test system, which is a culture of bone marrow cells at a concentration of 105 / ml 21.
Using the cultural methods, we studied the direct effect of the cAMP/PKA-signaling blocker on the realization of the growth potential of MPC in vitro. Bone marrow cells of concentration of 105 / ml were incubated in StemMACS™ MSC Expansion Media for 7 days in a CO2 incubator at 37°C, 5% CO2, and 100% air humidity. After incubation, the content of CFU-F, their proliferative activity, and the intensity of specialization was calculated as described above.
Changes in these parameters under the influence of the cAMP/PKA-signaling blocker (at a concentration of 10 µM) were investigated in cell incubation in the StemMACS™ MSC Expansion Media environment without FGF-basic and when the main 20 ng FGF-basic (FGF-basic, Sigma-Aldrich, USA) was added to the medium.
The effect of the cAMP/PKA-signaling blocker on the secretion of growth factors by stromal cells in vitro was also studied. To do this, the bone marrow cells in a concentration of 2 × 106 / ml incubated in StemMACS™ MSC Expansion Media for 2 hours in a CO2 incubator at 37°C, 5% CO2, and 100% air humidity. Then adherent cells incubated in StemMACS™ MSC Expansion Media containing 10 µM the cAMP/PKA-signaling blocker for 2 days in a CO2 incubator at 37°C, 5% CO2, and 100% air humidity. After that, we received the conditioned media and determined their effect on the growth of CFU-F in the test system21.
The results were analyzed with one-way ANOVA followed by the Mann–Whitney test for independent samples. The data are expressed as arithmetic means (and standard errors in a table). The significance level was p<0.0522.
Results and Discussion
In the controls, the wounds healed by day 18 of the experiment. External use of the cAMP/PKA-signaling blocker led to a significant reduction in the period of repair of the tissue defect. By 14 a day there was a complete regeneration of the skin (table). At the same time, there was a decrease in the size of wounds for all observation periods, starting with the 3rd day of the experiment. The average wound diameter in mice that were treated at the wound of the PKA inhibitor was 12.2, 12.4, 20.8, 17.2, 39.3, and 100% smaller than control animals on 3, 5, 7, 9, 12, and 14 days, respectively).
Table. Effects of the cAMP/PKA-signaling blocker on the dynamics of skin wound healing in C57BL/6 Mice, (m±SEM)

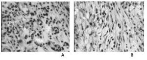
In a histological study on the 3rd day after modeling the skin wound in control and experimental groups necrotic layer on the surface of the wound contained fibrin, under which there was a layer of granular tissue with a large number of cells (mostly neutrophils and macrophages). The inflammatory process (interstitial swelling and leukocyte infiltration) extended to the underlying layer of striated muscles. At the edges of the wound were swelling, dermis hyperemia, and overgrowth of the epidermis, consisting of 8-10 layers of undifferentiated cells. On the 5th day, the newly formed epithelium at the edges of the wound was a layer of isomorphic cells. In the group of mice after the external use of the cAMP/PKA-signaling blocker, leukocyte infiltration of the edges of the wound, dermis, and underlying tissues on the 3rd day of experience was significantly lower. On the 5th day of the experiment in this group of animals, there was a significant increase in the number of fibroblasts in the granulation tissue (Figure 1).

These morphological findings were not only a criterion for accelerating tissue repair processes but also a sign of better skin regeneration (tissue restitution) in the future17-19.
The study of the mechanisms of wound healing action of the cAMP/PKA-signaling blocker revealed its pronounced effect on mesenchymal progenitors in the wound. There was a significant increase in the content of CFU-F in the wound (up to 1134.3 and 315.5% of control at 3 and 5 days respectively), their proliferative activity (up to 279.4 and 198.4% of control at 3 and 5 days respectively), and the intensity of differentiation (up to 216.4 and 229.2% of control at 3 and 5 days respectively) (Figure 2).

The experiments did not detect changes in the secretion of growth factors by stromal cells obtained from the surface of the wound. The level of the conditioned media CSA of these cells in animals of the experimental group did not differ from that of control mice (Figure 3).

The addition of the cAMP/PKA-signaling blocker to the culture of bone marrow cells increased the number of CFU-F and their mitotic activity (to 248.7 and 206.7% of control (media without PKA inhibitor) respectively). There was no change in the intensity of the specialization processes of mesenchymal predecessors (Figure 4).

Studies of these parameters using the cultural environment with FGF-basic have revealed slightly different phenomena. In this case, there was not only an increase in the number of CFU-F and their number in the S-phase of the cell cycle but also a significant increase in the intensity of maturation of progenitors (up to 263.8% of the similar parameter in the media with FGF-basic without the cAMP/PKA-signaling blocker). Moreover, these changes look particularly interesting given that the FGF-basic without the cAMP/PKA-signaling blocker did not affect the specialization processes of mesenchymal precursors. Also, the increase in proliferative activity of CFU-F when the PKA inhibitor was added in the media with FGF-basic compared to the value of this indicator without the PKA inhibitor was 208.5%. This was higher than the increase in the mitosis rate of mesenchymal progenitors under the influence of the PKA inhibitor in the media without FGF-basic (Figure 4).
The introduction of the cAMP/PKA-signaling blocker in vitro into the culture of bone marrow cells did not affect the formation of the level of the CSA conditioned media. The values of this parameter were 4.52±0.31 and 4.49±0.27 arbitrary units from supernatants from cells cultivated in the media without the cAMP/PKA-signaling blocker and with this inhibitor, respectively.
The results indicate the presence of pronounced wound healing properties in the cyclic AMP-dependent protein kinase A inhibitor in its external application. It was found that the implementation of the identified pharmacological effects of this substance is its direct effect on the progenitors in the wound (Figure 5). Moreover, the most significant increase in their functional activity occurs if they are influenced by growth factors (in particular FGF23) secreted by the stromal cells of the microenvironment (as well as, probably, migrating to the wound immunocompetent cells24). In this case, in situ, there is an increase in both proliferation activity and the intensity of progenitor specialization processes. Without this cytokine stimulation, the change in the pattern of cellular cAMP-mediated signaling does not affect the maturation rate of fibroblast precursors playing one of the key roles in skin reparation15, 16. However, the experiments have shown that the "basic" level of production of growth factors (since the blockage of cAMP/PKA-pathways in the cells of the microenvironment of granular tissue did not affect their secretory function) is sufficient to implement the described mechanism.

At the same time, the progenitor cells pool, participating in this case in skin regeneration is represented by the cells of the basal layer of the skin located near the site of the injury15, resident committed mesenchymal precursors of nearby tissues16,17, as well as multipotent SC, mobilized from the "tissue-depots", primarily bone marrow, and migrated to the skin wound18-20. Therefore, the development of therapeutic approaches with PKA inhibitors is consistent with the principles of carcinogenic drug safety25-27. This criterion is an inalienable factor for the creation of drugs for regenerative medicine (in terms of minimizing the potential risks of tumor transformation of progenitors while stimulating their proliferative activity).
Conclusions
The use of adenylate cyclase and PKA inhibitors in skin wounds is a promising approach to this particular problem of regenerative medicine (skin repair) as part of the implementation of the "Strategy of targeted pharmacological regulation of intracellular signal transduction in regeneration-competent cells"28.
Conflict of interest
The authors declare no conflict of interest.
Acknowledgments
The study was supported by the Ministry of Science and Higher Education of the Russian Federation (subsidy agreement No. 0550-2019-0011.
References
1. Zyuz’kov, G.N., Zhdanov, V.V., Udut, E.V., Miroshnichenko, L.A., Polyakova, T.Yu., Stavrova, L.A., Udut, V.V., 2019. Strategy of Pharmacological Regulation of Intracellular Signal Transduction in Regeneration-Competent Cells. Bull Exp Biol Med, 166(4):448-455. https://doi.org/10.1007/s10517-019-04370-x.
2. Zyuz’kov, G.N., Suslov, N.I., Miroshnichenko, L.A., Simanina, E.V., Polyakova. T.Yu., Stavrova, L.A., Zhdanov, V.V., Minakova, M.Yu., Udut, E.V., Udut, V.V., 2019. Halogenated (Cl-ion) songorine is a new original agonist of fibroblast growth factor receptors of neuronal-committed progenitors possessing neuroregenerative effect after cerebral ischemia and hypoxia in experimental animals. Biointerface Res Appl Chem, 9(5):4317-4326. https://doi.org/10.33263/BRIAC95.317326.
3. Zyuz’kov, G.N., Zhdanov, V.V., Miroshnichenko, L.A., Simanina, E.V., Polyakova, T.Yu., Stavrova, L.A., Agafonov, V.I., Minakova, M.Yu., Danilets, M.G., Ligacheva, A.A., 2020. Hemostimulating Effects of c-Jun N-Terminal Kinase (JNK) Inhibitor during Cytostatic Myelosuppression and Mechanisms of Their Development. Bull Exp Biol Med, 169(3):332-337. https://doi.org/10.1007/s10517-020-04880-z.
4. Zyuz’kov, G.N., Stavrova, L.A., Miroshnichenko, L.A., Polyakova, T.Yu., Simanina, E.V., 2021. Prospects for the Use of NF-кb Inhibitors to Stimulate the Functions of Regeneration-Competent Cells of Nerve Tissue and Neuroregeneration in Ethanol-Induced Neurodegeneration. Biointerface Res Appl Chem, 11(1):8065-8074. https://doi.org/10.33263/briac111.80658074.
5. Mavers, M., Ruderman, E.M., Perlman H., 2009. Intracellular signal pathways: potential for therapies. Curr Rheumatol Rep, 11(5):378–385. https://doi.org/10.1007/s11926-009-0054-9.
6. Zyuz’kov, G.N., Zhdanov, V.V., Udut, E.V., Miroshnichenko, L.A., Polyakova, T.Yu., Stavrova, L.A., Chaikovskii, A.V., Simanina, E.V., Minakova, M.Y., Udut, V.V., 2019. Peculiarities of Intracellular Signal Transduction in the Regulation of Functions of Mesenchymal, Neural, and Hematopoietic Progenitor Cells. Bull Exp Biol Med, 167(2):201-206. https://doi.org/10.1007/s10517-019-04491-3.
7. Zyuz’kov, G.N., Miroshnichenko, L.A., Polyakova, T.Yu., Stavrova, L.A., Simanina, E.V., Zhdanov, V.V., Chaikovskii, A.V., 2020. Peculiarities of the Involvement of MAPKS ERK1/2 and р38 in the Implementation of the Functions of Neural Stem Cells and Neuronal Committed Precursors in Ethanol-Induced Neurodegeneration. Bull Exp Biol Med, 169(5):609-613. https://doi.org/10.1007/s10517-020-04938-y.
8. Mu, Y., Lee, S.W., Gage, F.H., 2010. Signaling in adult neurogenesis. Curr Opin Neurobiol, 20(4):416-423. https://doi.org/10.1016/j.conb.2010.04.010.
9. Smith, S.A., Newby, A.C., Bond, M., 2019. Ending Restenosis: Inhibition of Vascular Smooth Muscle Cell Proliferation by cAMP. Cells, 8(11):1447. https://doi.org/10.3390/cells8111447.
10. Koga, Y., Tsurumaki, H., Aoki-Saito, H., Sato, M., Yatomi, M., Takehara, K., Hisada, T., 2019. Roles of Cyclic AMP Response Element Binding Activation in the ERK1/2 and p38 MAPK Signalling Pathway in Central Nervous System, Cardiovascular System, Osteoclast Differentiation and Mucin and Cytokine Production. Int J Mol Sci, 20(6):1346. https://doi.org/10.3390/ijms20061346.
11. Chen, R., Ji, G., Wang, L., Ren, H., Xi, L., 2016. Activation of ERK1/2 and TNF-α production are regulated by calcium/calmodulin signaling pathway during Penicillium marneffei infection within human macrophages. Microb Pathog, 93:95-99. https://doi.org/10.1016/j.micpath.2016.01.026.
12. Cheng, X., Ji, Z., Tsalkova, T., Mei, F., 2008. Epac and PKA: a tale of two intracellular cAMP receptors. Acta Biochim Biophys Sin (Shanghai), 40(7):651–662. https://doi.org/10.1111/j.1745-7270.2008.00438.x.
13. Zyuz’kov, G.N., Zhdanov, V.V., Danilets, M.G., Udut, E.V., Miroshnichenko, L.A., Ligacheva, A.A., Simanina, E.V., Chaikovskii, A.V., Trofimova, E.S., Minakova, M.Yu., Udut, V.V., Dygai, A.M., 2014. Involvement of cAMP- and IKK-2-Dependent Signal Pathways in the Growth Capacity of Mesenchymal Progenitor Cells under the Influence of Basic Fibroblast Growth Factor. Bull Exp Biol Med, 157(2):224-227. https://doi.org/10.1007/s10517-014-2530-0.
14. Zyuz’kov, G.N., Miroshnichenko, L.A., Polyakova, T.Yu., Stavrova, L.A., Simanina, E.V., Agafonov, V.I., Zhdanov, V.V., 2019. Participation of cAMP/PKA-Mediated Signaling Pathways in Functional Activity of Regeneration-Competent Cells in the Nervous Tissue under Conditions of Ethanol-Induced Neurodegeneration. Bull Exp Biol Med, 167(6):223-227. https://doi.org/10.1007/s10517-019-04608-8.
15. Dehkordi, A.N., Babaheydari, F.M., Chehelgerdi, M., Dehkordi, S.R., 2019. Skin tissue engineering: wound healing based on stem-cell-based therapeutic strategies. Stem Cell Res Ther, 10(1):111. https://doi.org/10.1186/s13287-019-1212-2.
16. Driskell, R.R., Lichtenberger, B.M., Hoste, E., Kretzschmar, K., Simons, B.D., Charalambous, M., Ferron, S.R., Herault, Y., Pavlovic, G., Ferguson-Smith, A.C., Watt, F.M., 2013. Distinct fibroblast lineages determine dermal architecture in skin development and repair. Nature, 504(7479):277-281. https://doi.org/10.1038/nature12783.
17. Motegi, S.I., Ishikawa, O., 2017. Mesenchymal stem cells: The roles and functions in cutaneous wound healing and tumor growth. J Dermatol Sci, 86(2):83-89. https://doi.org/10.1016/j.jdermsci.2016.11.005.
18. Mishra, P.J., Banerjee, D., 2017. Activation and Differentiation of Mesenchymal Stem Cells. Methods Mol Biol, 1554:201-209. https://doi.org/10.1007/978-1-61779-024-9_14.
19. Goldberg, E.D., Dygai, A.M., Zhdanov, V.V., Zyuz’kov, G.N., Gur’yantseva, L.A., Pershina, O.V., Povet`eva, T.N., Stavrova, L.A., Khrichkova, T.Yu., 2006. Participation of mesenchymal precursor cells in wound healing on skin flap model. Bull Exp Biol Med, 142(1):116-118. https://doi.org/10.1007/s10517-006-0307-9.
20. Dygai, A.M., Zyuz’kov, G.N., Zhdanov, V.V., Udut, E.V., Miroshnichenko, L.A., Simanina, E.V., Minakova, M.Yu., Madonov, P.G., 2013. Specific Activity of Electron-Beam Synthesis Immobilized Hyaluronidase on G-CSF Induced Mobilization of Bone Marrow Progenitor Cells. Stem Cell Rev Rep, 9(2):140-147. https://doi.org/10.1007/s12015-012-9423-2.
21. Zyuz’kov, G.N., Krapivin, A.V., Nesterova, Yu.V., Povetieva, T.N., Zhdanov, V.V., Suslov, N.I., Fomina, T.I., Udut, E.V., Miroshnichenko, L.A., Simanina, E.V., Semenov, A.A., Kravtsova, S.S., Dygai, A.M., 2012. Mechanisms of Regeneratory Effects of Baikal Aconite Diterpene Alkaloids. Bull Exp Biol Med, 153(6):847-851. https://doi.org/10.1007/s10517-012-1841-2.
22. Curtis, M.J., Bond, R.A., Spina, D., Ahluwalia, A., Alexander, S.P., Giembycz, M.A., 2015. Experimental design and analysis and theirreporting: new guidance for publication in BJP. Br J Pharma-col, 172(14):3461-3471. https://doi.org/10.1111/bph.12856.
23. Yang, L., Zhang, D., Wu, H., Xie, S., Zhang, M., Zhang, B., Zhang, B., Tang, S., 2018. Basic Fibroblast Growth Factor Influences Epidermal Homeostasis of Living Skin Equivalents through Affecting Fibroblast Phenotypes and Functions. Skin Pharmacol Physiol, 31(5):229-237. https://doi.org/10.1159/000488992.
24. Jiang, W., Xu, J., 2020. Immune modulation by mesenchymal stem cells. Cell Prolif, 53(1):e12712. https://doi.org/10.1111/cpr.12712.
25. Drelon, C., Berthon, A., Sahut-Barnola, I., Mathieu, M., Dumontet, T., Rodriguez, S., Batisse-Lignier, M., Tabbal, H., Tauveron, I., Lefrançois-Martinez, A.M., Pointud, J.C., Gomez-Sanchez, C.E., Vainio, S., Shan, J., Sacco, S., Schedl, A., Stratakis, C.A., Martinez, A., Val, P., 2016. PKA inhibits WNT signalling in adrenal cortex zonation and prevents malignant tumour development. Nat Commun, 7:12751. https://doi.org/10.1038/ncomms12751.
26. James, M.A., Lu, Y., Liu, Y., Vikis, H.G., You, M., 2009. RGS17, an overexpressed gene in human lung and prostate cancer, induces tumor cell proliferation through the cyclic AMP-PKA-CREB pathway. Cancer Res, 69(5):2108-2116. https://doi.org/10.1158/0008-5472.CAN-08-3495.
27. Moggs, J.G., MacLachlan, T., Martus, H.J., Bentley, P., 2016. Derisking Drug-Induced Carcinogenicity for Novel Therapeutics. Trends Cancer, 2(8):398-408. https://doi.org/10.1016/j.trecan.2016.07.003.
28. Zyuzkov, G.N., Zhdanov, V.V., Danelets, M.G., Miroshnichenko, L.A., Udut, E.V., Dygai, A.M., 2016. Tissue regeneration stimulating agent. Patent RU 2599289, Bull, 28.