Artículos
Neurocisticercosis. Caso clínico
Neurocysticercosis. Case report
Neurocisticercosis. Caso clínico
Archivos Venezolanos de Farmacología y Terapéutica, vol. 40, núm. 7, pp. 680-685, 2021
Sociedad Venezolana de Farmacología Clínica y Terapéutica

Recepción: 28 Enero 2021
Aprobación: 15 Febrero 2021
Publicación: 10 Junio 2021
Resumen: Introducción: La neurocisticercosis es una enfermedad causada por la ingestión accidental de huevos de Taenia solium, cuyas larvas se alojan en el sistema nervioso central, se estima que aproximadamente 50 millones de personas en todo el mundo tienen infección por cisticercosis. Presentación del caso: Se presenta un caso clínico de un paciente masculino de 32 años de edad, ecuatoriano, que acude al Hospital del Instituto Ecuatoriano de Seguridad Social de Riobamba, tras presentar crisis hace seis meses, con diagnóstico presuntivo de epilepsia y síndromes epilépticos sintomáticos relacionados con localizaciones, se solicita tomografía axial computarizada simple de cráneo y se evidencia cisticerco viable, determinando el diagnóstico de neurocisticercosis, recibe tratamiento con carbamazepina, ibuprofeno y prednisona. Conclusiones: La neurocisticercosis en zonas endémicas, es causa frecuente de convulsiones, cuyo diagnóstico definitivo se logra a través de estudios de imagen principalmente por tomografía axial computarizada simple de cráneo o por resonancia magnética.
Palabras clave: Neurocisticercosis, Taenia solium, Epilepsia, Tomografía.
Abstract: Introduction: Neurocysticercosis is a disease caused by the accidental ingestion of Taenia solium, whose eggs larvae are lodged in the central nervous system, it is estimated that approximately 50 million people worldwide have cysticercosis infection. Case presentation: A case report is presented of a male patient of 32 years of age, Ecuadorian, who came to the Hospital of the Ecuadorian Institute of Social Security of Riobamba, after presenting a crisis six months ago, with presumptive diagnosis of epilepsy and symptomatic epileptic syndromes related to locations. A simple computed tomography scan of the skull was requested, where a viable cysticercus was observed, determining the diagnosis of neurocysticercosis. He received treatment with carbamazepine, ibuprofen, and prednisone. Conclusions: Neurocysticercosis in endemic areas is a frequent cause of seizures, whose definitive diagnosis is achieved through imaging studies mainly by simple computerized axial tomography of the skull or magnetic resonance.
Keywords: Neurocysticercosis, Taenia solium, Epilepsy, Tomography.
Introducción
La Neurocisticercosis (NCC) es la enfermedad parasitaria más frecuente del sistema nervioso central (SNC) en todo el mundo y es causada por la ingestión accidental de huevos de Taenia solium, cuyas larvas se alojan en el SNC, puede ser asintomática o provocar una gama de manifestaciones clínicas, siendo la principal causa de convulsiones y epilepsia en países en vías de desarrollo.1,2 La Taenia solium, pertenece al reino animal, filo Platyhelminthes, clase Cestoda, orden Ciclofilidea, familia Taeniidae y género Taenia.3,4
Aunque la NCC puede ser potencialmente erradicada, sigue siendo un problema en muchos países en desarrollo, es así que es, considerada como endémica en América Latina, África Subsahariana y el Sudeste Asiático.1,5 Donde las deficientes prácticas de higiene, son el principal factor que contribuye a la transmisión de la enfermedad por heteroinfestación o autoinfestación externa o interna.2 Además, se estima que aproximadamente 50 millones de personas en todo el mundo se encuentran infectados, aunque las estimaciones son probablemente bajas debido a que muchas infecciones son subclínicas, y existen relativamente pocos datos sobre la prevalencia.6,7 Incluso, más del 80% de los 50 millones de personas afectadas en el mundo por epilepsia viven en países de ingresos bajos y medianos bajos 8. Mientras que, en Ecuador existe mayor incidencia en las provincias de Pichincha, Loja, Tungurahua y Chimborazo.9
En forma general, la prevalencia de NCC con respecto al género es mayor en los hombres que en las mujeres.10 Por otro lado, hay investigaciones que han demostrado que las mujeres jóvenes son más afectadas.11 Aunque, el género puede no desempeñar un papel importante en los datos epidemiológicos de esta patología, se considera que la variación de la prevalencia basada en el género es ambigua.10
La presentación clínica de la patología se caracteriza por: convulsiones (78.8%), cefaleas (37.9%), déficits neurológicos focales (16.0%) y signos de hipertensión intracraneal (11.7%), que dependen del número, tamaño, ubicación y el estadio de los cisticercos.1
Es importante mencionar que para lograr el diagnóstico de la enfermedad se debe incluir una anamnesis y un examen físico minucioso, junto con estudios de neuroimagen, como tomografía axial computarizada (TAC) simple de cráneo o resonancia magnética (RM).12
La importancia del estudio de esta patología parasitaria en nuestra realidad, se debe a su elevada incidencia y prevalencia en la provincia de Chimborazo, donde una cantidad relativa de pacientes han sido tratados para disminuir las crisis epilépticas, sin haber recibido el diagnóstico de la patología primaria y por ende una adecuada prevención terciaria de la enfermedad. Y en consecuencia a la falta de publicaciones acerca de esta entidad clínica en la provincia, a más de ello, motivados por fortalecer el conocimiento médico respecto al tema, nos hemos visto en la necesidad de analizar y discutir el presente caso clínico.
1. Caso clínico
1.1 Información del Paciente
Paciente masculino de 32 años de edad, casado, nacido en Alausí, reside en el Cantón Riobamba-Ecuador, bachiller, de ocupación soldador.
Antecedentes patológicos personales:
Clínicos: No refiere
Quirúrgicos: Apendicectomía más peritonitis hace 8 años
Alergias: No refiere
Hábitos:
Tabaquismo: 1 unidad / día
Alcohol: No refiere
Drogas: No refiere
Hábitos alimenticios: 3 veces al día
Horas de sueño: 8 horas
Micción: Diurna: 3-4 veces al día; nocturna: 0
Defecación: 2 veces al día
Transfusiones: No refiere
Medicamentos: No refiere
Antecedentes Patológicos Familiares: Padre vivo de 71 años de edad diagnosticado con Diabetes Mellitus II.
Antecedentes Socioeconómicos: Paciente reside en casa propia en zona urbana, de cemento, piso de madera. Consta de 3 habitaciones, viven 5 personas. Cuenta con todos los servicios básicos. Fuente de información directa.
Motivo de consulta: Crisis
1.2 Hallazgos clínicos
Signos vitales en la primera consulta en el Hospital del Instituto Ecuatoriano de Seguridad Social (IESS), en junio del 2018:
Temperatura Axilar: 36.6°C
Tensión Arterial: 120/75 milímetros de mercurio (mmHg)
Frecuencia Cardíaca: 85 latidos por minuto (lpm)
Frecuencia Respiratoria: 18 respiraciones por minuto (rpm)
Pulso: 85 latidos por minuto (lpm)
Medidas Antropométricas: Peso 70 kilogramos. Talla 1.65 metros. Índice de Masa Corporal (IMC) 25.7 kg/m2.
Paciente consciente, orientado en persona, tiempo y espacio, afebril, hidratado, de pie, biotipo pícnico.
Piel y Faneras: Piel hidratada, turgencia y elasticidad normal, al examen del pliegue cutáneo normal; cabellos de color negro, de implantación normal según edad y sexo. Uñas color rosado con buena higiene y llenado capilar de 2 segundos.
Tórax: Caja Torácica simétrica, expansibilidad conservada, no se evidencia uso de musculatura accesoria.
Pulmones: Murmullo vesicular conservado, sin ruidos sobreañadidos.
Corazón: Ruidos cardíacos rítmicos, no se auscultan soplos.
Abdomen: Plano, sin presencia de lesiones, cicatrices, blando, depresible, sin visceromegalias, no se observa circulación venosa colateral. No doloroso a la palpación superficial y profunda. Ruidos hidroaéreos presentes.
Extremidades: Simétricas, fuerza y tono conservado, movimientos activos y pasivos normales, no edemas, llenado capilar 2 segundos. Pulsos distales bilaterales presentes: radial, braquial, cubital, poplíteo, pedio.
Examen Neurológico: Psíquico normal (Mini Mental State con una puntuación de 35/35), horario de sueño de 22:00 - 6:00, sin trastornos de sueño, lenguaje y praxia normal, sin facies patológicas, actitud, equilibrio y motricidad normales, sensibilidad superficial y profunda conservada, sin alteraciones tróficas ni disturbios neurovegetativos, pares craneales y fondo de ojo normales.
Exámenes Complementarios:
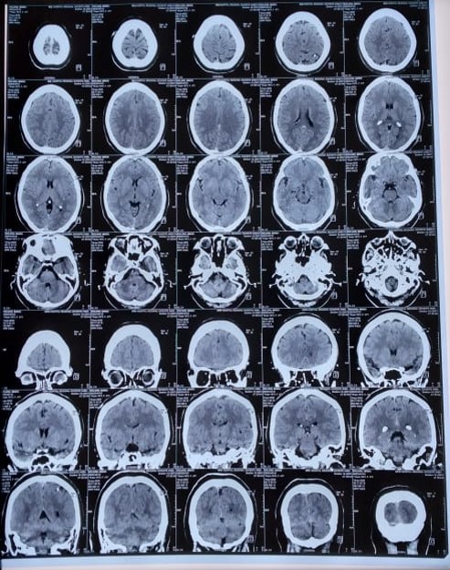
Julio del 2018: TAC simple de cráneo se evidencia cisticerco viable en región parietooccipital izquierda.
Febrero del 2019: TAC simple de cráneo se evidencia lesión quística. Diagnóstico de NCC en fase coloidal.
Diciembre 2020: TAC simple de cráneo se observa NCC en fase de calcificación nodular (Ver imagen 1).

1.3 Timeline
Paciente acudió en junio del 2018 a cita médica en el Servicio de Neurología por presentar desde hace seis meses y sin causa aparente crisis caracterizadas por abalos tonicoclónicos en miembro inferior derecho, todos los días por 2 - 3 veces, con una duración de 30 segundos aproximadamente, teniendo como diagnóstico presuntivo epilepsia y síndromes epilépticos sintomáticos relacionados con localizaciones (CIE-10: G401); inicia tratamiento con carbamazepina 200 mg por vía oral, cada 8 horas, por 30 días y se solicita TAC simple de cráneo. En julio del 2018 acude a cita médica, en el cual el paciente refiere mejoría del cuadro clínico, a pesar de que presentó por una ocasión crisis hace 15 días por supresión de medicación acompañado de cefalea; en la primera TAC simple de cráneo se evidencia cisticerco viable en región parietooccipital izquierdo, determinando el diagnóstico de cisticercosis del SNC (CIE 10: B690), por lo cual recibe tratamiento con carbamazepina 200 mg por vía oral, cada 8 horas, además ibuprofeno 400 mg por vía oral, cada 8 horas y prednisona 20 mg por vía oral, cada día.
Paciente evoluciona favorablemente, se mantiene estable, presentando su última y única crisis en febrero del 2019.
En marzo del 2019 acude a cita médica en Neurología con TAC simple de cráneo, donde se evidencia NCC en fase coloidal, se decide continuar con la medicación.
En diciembre del 2020 en la TAC simple de cráneo se observa NCC en fase calcificada nodular.
1.4 Evaluación Diagnóstica
El paciente proviene de un área endémica, criterio epidemiológico, y en estudios de neuroimagen como TAC simple de cráneo se evidencian NCC en fase coloidal, siendo un criterio absoluto, según los Criterios diagnósticos para NCC según Del Brutto y cols., confirmándose el diagnóstico de NCC.
1.5 Intervención terapéutica
Junio del 2018: Carbamazepina 200 mg por vía oral, cada 8 horas.
Julio del 2018 - 2021: Carbamazepina 200 mg por vía oral, cada 8 horas. Ibuprofeno 400 mg por vía oral cada 8 horas. Prednisona 20 mg por vía oral cada 24 horas.
1.6 Seguimiento y resultados
El paciente ha acudido regularmente a los controles médicos, donde se ha podido constatar que responde adecuadamente al tratamiento instaurado desde el año 2018 hasta la actualidad, presentando 1 crisis en febrero del 2019, la cual se acompañó de cefalea postictal.
2. Discusión
El caso que se presenta se trata de un paciente que acude por atención médica debido a que manifiesta crisis, enmarcado en el síndrome neurológico, cuyo diagnóstico diferencial abarca: NCC, tuberculoma, meningoencefalitis, absceso cerebral piógeno o granuloma micótico, traumatismo craneoencefálico (TCE) y tumor cerebral primario o metastásico.13–15
Se descarta el tuberculoma, puesto que son conglomerados de focos granulomatosos dentro del parénquima cerebral que se desarrollan a partir de tubérculos coalescentes adquiridos durante un período anterior de bacilemia hematógena, pero el paciente no presentó clínica característica de tuberculosis.16 Mientras que el absceso cerebral piógeno también es descartado, ya que el paciente no presentaba un deterioro importante, fiebre baja, signos de hipertensión intracraneana, datos de compromiso neurológico focal (parálisis de pares craneales, hemiparesia y otros), confusión, letargia ni coma, ni signos imagenológicos característicos.17 La meningoencefalitis queda descartada debido a la ausencia de su tríada clásica que consiste en fiebre, rigidez nucal y un cambio en el estado mental.18 De igual forma sucede con el granuloma micótico que da sintomatología de encefalitis.19
Por otro lado, el TCE es descartado debido a que el paciente no tiene antecedentes de traumatismos. En contraste, el tumor cerebral primario o metastásico produce cefalea, crisis focales en relación a la localización de la lesión y pueden ser repetitivas y estereotipadas, déficits focales, disfunción cognitiva, y manifestaciones de aumento de la presión intracraneal.20,21Sin embargo, el usuario procedía de un área endémica, lo que se traduce en el cumplimiento del criterio epidemiológico según Del Brutto y cols., lo cual es apoyado por los datos estadísticos a nivel mundial, que afirman que la NCC es la causa más frecuente de epilepsia adquirida a nivel mundial, principalmente si proviene de un área endémica15 (Ver tabla 1 y 2). En consecuencia, se plantea como diagnóstico presuntivo a la NCC.
Por lo que, se decide realizar una TAC simple de cráneo, y a su vez, iniciar tratamiento sintomático temporal hasta la aclaración del panorama. Más tarde, se obtiene los resultados de la TAC simple de cráneo, que confirma el diagnóstico de NCC, puesto que se logró evidenciar todos los estadios de la patología, que constituye un criterio absoluto propuesto por Del Brutto y cols. para el diagnóstico definitivo de esta entidad clínica22,23 (Ver tabla 1 y 2).
Es así que, se vuelve a rectificar la importancia de realizar la anamnesis y examen físico de forma minuciosa, y su vez, el desarrollo de la perspicacia del profesional para determinar un diagnóstico presuntivo basado en las características epidemiológicas de la localidad y las manifestaciones clínicas del paciente, rectificando o descartando definitivamente el diagnóstico con los estudios de neuroimagen: TAC simple de cráneo y RM, a más de ello, se recomienda pruebas serológicas como el test electroinmunotransferencia (EITB por sus siglas en inglés) como prueba confirmatoria en pacientes con sospecha de NCC.12
| Criterio Absoluto · Demostración histológica del parásito a partir de una biopsia de un cerebro o una lesión de la médula espinal. · Evidencia de lesiones quísticas que muestran el escólex en estudios de neuroimagen. · Visualización directa de parásitos subretinianos mediante examen fundoscópico. · Resolución espontánea de pequeñas lesiones de realce único. |
| Criterios Mayores · Evidencia de lesiones altamente sugestivas de neurocisticercosis en estudios de neuroimagen. · Inmunoblot positivo en suero para la detección de anticuerpos antiquisticercales. · Resolución de lesiones quísticas intracraneales después del tratamiento con albendazol o praziquantel. |
| Criterios Menores · ELISA de LCR positivo para la detección de anticuerpos anticisticercos o antígenos cisticercales. · Evidencia de cisticercosis fuera del sistema nervioso central. |
| Criterios Epidemiológicos · Personas que provienen o viven en un área donde la cisticercosis es endémica. · Historia de viajes frecuentes a áreas endémicas de enfermedad. · Evidencia de un contacto familiar con la infección por T. solium. |
Fuente: Bazan, R., y otros. «Clinical Symptoms, Imaging Features and Cyst Distribution in the Cerebrospinal Fluid Compartments in Patients with Extraparenchymal Neurocysticercosis.» PLoS Negl Trop Dis 10, nº 11 (November 2016).
| Diagnóstico Definitivo · Presencia de un criterio absoluto. · Presencia de dos criterios mayores más uno menor y uno de carácter epidemiológico |
| Diagnóstico Probable · Presencia de un criterio mayor más dos criterios menores · Presencia de un criterio mayor más uno menor y uno epidemiológico · Presencia de tres criterios menores más uno epidemiológico |
En los estudios de neuroimagen como la TAC simple de cráneo o RM, se pueden identificar las diferentes etapas de la NCC, las cuales consisten fisiopatológicamente en la presencia del quiste en el parénquima cerebral que evoluciona en cuatro etapas; en la etapa vesicular, el quiste se llena con un líquido claro, tiene una pared semitransparente delgada y un escólex opaco excéntrico de 4 a 5 mm que producen cambios inflamatorios escasos y generalmente son asintomáticos.24 Cuando el sistema inmunitario del huésped supera los mecanismos protectores del quiste, este comienza a degenerar, y la larva sufre una degeneración hialina y el líquido transparente del quiste se reemplaza con material gelatinoso, a esta fase se la conoce como coloidal. Posteriormente, el quiste se contrae, las paredes se reemplazan por nódulos linfoides focales y necrosis, y el escólex se transforma en gránulos mineralizados gruesos que forman la etapa nodular granular. Finalmente, el tejido de granulación se reemplaza por estructuras de colágeno y la calcificación que da lugar a la fase calcificada nodular, en este momento el edema cede, pero hay cambios astrocíticos perilesionales. Por otra parte, cuando los quistes se alojan fuera del parénquima cerebral, como sucede en los ventrículos, el espacio subaracnoideo o las cisternas, tienden a crecer de manera irregular según el espacio disponible y por lo general, provocan una fuerte respuesta inflamatoria. En ocasiones, los quistes se agrandan considerablemente, se vuelven en forma de racimos sin escólices y causan efectos de masa. Mientras que la hidrocefalia puede deberse a una obstrucción directa de las vías del líquido cefalorraquídeo (LCR) por quistes intraventriculares o secundaria a una obstrucción inflamatoria.10,25
En cuanto al manejo y tratamiento, las pautas fueron realizadas y analizadas por un equipo de especialistas de la Sociedad de Enfermedades Infecciosas de América (IDSA por sus siglas en inglés) y la Sociedad Americana de Medicina Tropical e Higiene (ASTMH por sus siglas en inglés),6,12 la cual tiene como pilar fundamental el manejo sintomático, a través del uso de medicamentos antiepilépticos, y probablemente se necesite de los esteroides para controlar el edema y la inflamación asociado con las lesiones, como la dexametasona o prednisona. Pese a ello, debido a la existencia de diferencias referentes a la ubicación, tamaño y etapa de degeneración del quiste, el tratamiento también puede variar.26
Sumándose a lo anterior, se sugiere hacer pruebas de detección de la infección de tuberculosis latente en pacientes que probablemente requieran corticoesteroides prolongados. Una vez confirmado el diagnóstico, también debería hacerse un cerco epidemiológico, sobre todo cuando el caso se presenta fuera de zonas endémicas.12
Actualmente, existe una fuerte controversia entre el uso o no de cisticidas para la NCC como el praziquiantel o el albendazol, debatiéndose si la aceleración de la destrucción de los quistes en el cerebro es sintomáticamente beneficiosa o no para el huésped, aunque intuitivamente podría ser beneficiosa, debe reconocerse que las manifestaciones del NCC surgen de la involución o destrucción espontánea del parásito, puesto que la reacción inflamatoria que acompaña a la muerte del parásito aparece de forma aguda como edema cerebral alrededor del parásito junto con la liberación de citoquinas proinflamatorias, que dan lugar a la formación de una cicatriz gliótica (crónico). Concluyendo que los sucesos agudos y crónicos, pueden llevar a la manifestación de incremento de la presión intracraneal (por el edema), convulsiones (por liberación de citoquinas y otros neurotóxicos) y una cicatriz epiléptica crónica, siendo este fundamento la base para el argumento en contra de la administración de medicamentos cisticidas.13,27–30
Las complicaciones comunes a largo plazo asociadas con las lesiones de NCC calcificada del parénquima incluyen convulsiones (38.0%) y cefaleas (34.0%).2,12,31 Además, entre las complicaciones que se han descrito se encuentran: las deficiencias neurocognitivas, los problemas de aprendizaje, la depresión, los episodios psicóticos y la enfermedad cerebrovascular. Mientras que, las alteraciones agudas del estado mental pueden reflejar convulsiones en curso o hidrocefalia.32 De igual forma, los mecanismos implicados en la asociación entre la NCC y el deterioro cognitivo continúan siendo desconocidos.23
Finalmente, es importante mencionar que la NCC es una enfermedad que afecta a la población ecuatoriana, sin un claro panorama de la realidad en cuanto a la incidencia y prevalencia, puesto que puede presentarse de forma subclínica y ser infra diagnosticados. Por lo tanto, ante la presencia de un paciente con antecedentes de crisis, procedente de una zona endémica, debe emerger la perspicacia clínica y sospecharse de NCC. Dicha hipótesis se confirma o se descarta con estudios de imagen.
Entre las fortalezas para la discusión del caso clínico se encuentran la facilidad de acceso a la información del paciente, de igual forma la gran cantidad de artículos científicos referentes al tema. Entre las debilidades fueron la falta de datos estadísticos actualizados de la patología a nivel local y nacional.
Referencias bibliográficas
1. Bazan R, Hamamoto Filho PT, Luvizutto GJ, Nunes HR de C, Odashima NS, Dos Santos AC, et al. Clinical Symptoms, Imaging Features and Cyst Distribution in the Cerebrospinal Fluid Compartments in Patients with Extraparenchymal Neurocysticercosis. PLoS Negl Trop Dis. 2016;10(11):e0005115.
2. Saito EK, Mehta B, Wang F, Nakamoto B, McMurtray AM. Headaches More Common among Epilepsy Sufferers with Neurocysticercosis than Other Structural Brain Lesions. Hawaii J Med Public Health. 2017;76(6):152–5.
3. García HH, Gonzalez AE, Evans CAW, Gilman RH, Cysticercosis Working Group in Peru CWG in. Taenia solium cysticercosis. Lancet (London, England). 2003 Aug;362(9383):547–56.
4. Lesh EJ, Brady MF. Tapeworm (Taenia Solium, Taenia Saginata, Diphyllobothrium, Cysticercosis, Neurocysticercosis). StatPearls. StatPearls Publishing; 2019.
5. Segamwenge IL, Kioko NP, Mukulu C, Jacob O, Humphrey W, Augustinus J. Neurocysticercosis among patients with first time seizure in Northern Namibia. Pan Afr Med J. 2016;24:127.
6. Clinton W. Cysticercosis: Treatment - UpToDate. UpToDate. 2019;
7. John CC, Carabin H, Montano SM, Bangirana P, Zunt JR, Peterson PK. Global research priorities for infections that affect the nervous system. Nature. 2015 Nov;527(7578):S178-86.
8. Organización Mundial de la Salud (OMS). Teniasis y cisticercosis. 2019.
9. Símbala Ibarra GA. Análisis de años de vida perdidos ajustados en función de neurocisticercosis y epilepsia en Ecuador mediante base de datos de morbimortalidad en la Región Costa. Quito; 2018.
10. Thamilselvan P, Muthuraman KR, Thasan SA, Kasinathan G, Mandal J, Parija SC. A Stratified Analysis of Clinical Manifestations and Different Diagnostic Methods of Neurocysticercosis-Suspected Tamilian Population Residing in and Around Puducherry. J Clin Diagn Res. 2017 May;11(5):DC10–5.
11. Croker C, Redelings M, Reporter R, Sorvillo F, Mascola L, Wilkins P. The Impact of Neurocysticercosis in California: A Review of Hospitalized Cases. Flisser A, editor. PLoS Negl Trop Dis. 2012 Jan;6(1):e1480.
12. White AC, Coyle CM, Rajshekhar V, Singh G, Hauser WA, Mohanty A, et al. Diagnosis and Treatment of Neurocysticercosis: 2017 Clinical Practice Guidelines by the Infectious Diseases Society of America (IDSA) and the American Society of Tropical Medicine and Hygiene (ASTMH). Am J Trop Med Hyg. 2018 Apr;98(4):945–66.
13. Rajshekhar V. Neurocysticercosis: Diagnostic problems & current therapeutic strategies. Indian J Med Res. 2016 Sep;144(3):319.
14. Kobayashi K, Nakamura-Uchiyama F, Nishiguchi T, Isoda K, Kokubo Y, Ando K, et al. Rare case of disseminated cysticercosis and taeniasis in a Japanese traveler after returning from India. Am J Trop Med Hyg. 2013 Jul;89(1):58–62.
15. Rodrigues A, Neves D, Maury I, Sargento D, Pereira A. A Classic Neurocysticercosis Case with an Unusual Complication. Eur J case reports Intern Med. 2018;5(1):000762.
16. Leonard J. Central nervous system tuberculosis - UpToDate. UpToDate. 2019.
17. Arteaga R, Arteaga M. Absceso cerebral piógeno. Vol. 43, Revista de la Sociedad Boliviana de Pediatría. Sociedad Boliviana de Pediatría; 2004. 26–28 p.
18. Tunkel A. Clinical features and diagnosis of acute bacterial meningitis in adults - UpToDate. UpToDate. 2018.
19. Del Brutto Perrone OH. Infecciones micóticas del sistema nervioso central. Rev Neurol. 2000;30(05):447.
20. White AC. Cysticercosis: Clinical manifestations and diagnosis - UpToDate. UpToDate. 2019.
21. Wong E, Wu J. Overview of the clinical features and diagnosis of brain tumors in adults - UpToDate. UpToDate. 2018.
22. Cangalaya C, Bustos JA, Calcina J, Vargas-Calla A, Mamani J, Suarez D, et al. Radiological evolution of porcine neurocysticercosis after combined antiparasitic treatment with praziquantel and albendazole. Mackenzie CD, editor. PLoS Negl Trop Dis. 2017 Jun;11(6):e0005624.
23. Del Brutto OH, Nash TE, White AC, Rajshekhar V, Wilkins PP, Singh G, et al. Revised diagnostic criteria for neurocysticercosis. J Neurol Sci. 2017 Jan;372:202–10.
24. Sarria Estrada S, Verzelli LF, Montilva SS, Acosta CA, Cañellas AR. Neurocisticercosis. Hallazgos radiológicos. 2013;55(2):130–41.
25. Singhi P, Saini AG. Pediatric neurocysticercosis: current challenges and future prospects. Pediatr Heal Med Ther. 2016;7:5–16.
26. Paiva ALC, Araujo JLV, Ferraz VR, Lovato RM, Pedrozo CAG, Aguiar GB de, et al. Surgical treatment of neurocysticercosis. Retrospective cohort study and an illustrative case report. Sao Paulo Med J. 2017 Apr;135(2):146–9.
27. Garcia HH, Del Brutto OH, Cysticercosis Working Group in Peru. Antiparasitic treatment of neurocysticercosis - The effect of cyst destruction in seizure evolution. Epilepsy Behav. 2017;76:158–62.
28. Centros para el Control y la Prevención de Enfermedades. CDC - Parasites. 2019.
29. Toledo A, Osorio R, Matus C, Martinez Lopez Y, Ramirez Cruz N, Sciutto E, et al. Human Extraparenchymal Neurocysticercosis: The Control of Inflammation Favors the Host…but Also the Parasite. Front Immunol. 2018 Nov;9:2652.
30. Carpio A, Fleury A, Romo ML, Abraham R. Neurocysticercosis: the good, the bad, and the missing. Expert Rev Neurother. 2018 Apr;18(4):289–301.
31. Biswas RSR, Nath JD. Neurocysticercosis : A Case Report. Chattagram Maa-O-Shishu Hosp Med Coll J. 2015 Apr;14(1):59–60.
32. Ellenbogen RG, Sekhar LN, Kitchen ND. Principles of neurological surgery.