Case report
Received: 16 June 2017
Accepted: 19 July 2017
Published: 27 July 2017
DOI: https://doi.org/10.22265/acnef.4.2.248
Abstract:
Hyponatremia is one of the adverse effects in patients treated with oxcarbazepine. This can be seen masked by multiple symptoms which are simply attributable to other diseases, but we must always keep it in mind in a patient with a history of taking that medication. Many of patients are asymptomatic; Doses lower than 120 mmol/L show symptoms of severity which presented a patient with multiple sclerosis, which we will show below, so that diagnostic ability of clinicians plays a fundamental role.
This is why the case is exposed in which a woman treated with oxcarbazepine for one of the clinical forms of multiple sclerosis, arrives at emergency departament with manifestations of this electrolytic disorder. For this reason, the clinical case served by the authors is chosen directly.
It is concluded that this adverse reaction is not uncommon and that it must be taken into account in the differential diagnosis.
Key words: Hyponatremia, sodium, carbamacepine, multiple sclerosis, effects, paresthesia, oxcarbazepine.
Resumen:
La hiponatremia es uno de los efectos adversos en los pacientes tratados con oxcarbazepina. Se puede ver enmascarada por múltiples síntomas, atribuibles a otras enfermedades, pero siempre debemos tenerla en mente en un paciente con antecedente de ingesta de dicho medicamento. Muchos de los pacientes son asintomáticos; cifras inferiores a 120 mmol/L ponen de manifiesto síntomas de severidad, como los presentados en el paciente con esclerosis múltiple que mostraremos a continuación. La habilidad diagnóstica del clínico, por tanto, juega un rol fundamental.
Debido a esto, se expone un caso en el que una mujer tratada con oxcarbacepina, para una de las formas clínicas de esclerosis múltiple, llega a urgencias con manifestaciones de este trastorno electrolítico. Por esto se escoge el caso clínico atendido por los autores directamente. Se concluye que no es infrecuente esta reacción adversa y que hay que tenerla en cuenta a la hora de los diagnósticos diferenciales.
Palabras clave: hiponatremia, sodio, carbamacepina, esclerosis múltiple, efectos, parestesia, oxcarbazepine.
Introduction
Oxcarbazepine is a compound with a chemical structure similar to that of carbamazepine and probably a similar mechanism of action. The side effects observed with the use of oxcarbazepine are sedation, headache, dizziness, rash, vertigo, ataxia, nausea, hyponatremia, and diplopia.
Except for hyponatremia1, these side effects appear to occur with moderate frequency in patients taking carbamazepine.
Hyponatremia is due, at least in part, to the increased responsiveness of the collecting duct system to the antidiuretic hormone. It is also considered to be one of the forms of the syndrome of inappropriate secretion of antidiuretic hormone (SIADH).
Serum sodium levels below 125 mEq/L emerged during the first months in 3 % of patients treated with oxcarbazepine in clinical trials2. Elderly patients, especially those who take concomitant medications, are significantly more likely to develop hyponatremia. Generally, hyponatremia develops gradually during the first months of treatment, which may ex plain why most patients are asymptomatic3.
Objectives
To present a case of hyponatremia caused by oxcarbazepine at a clinic in Cartagena in 2016.
To show the adverse effect that oxacarbazepine can produce. This can be even more unpleasant than the benefit provided by its use.
Description of the clinical case
A 41-year-old female patient with a history of multiple sclerosis and optic neuromyelitis diagnosed 3 years ago was being treated with oxcarbazepine every 8 hours, pregabalin every 8 hours, and azathioprine 50 mg a day. She was admitted at the Clínica Cartagena del Mar due to a clinical picture of 1 day of evolution, consisting of fatigue, adynamia, dizziness and generalized pain, associated with vomiting of food content (4 episodes). She did not report fever or other accompanying symptoms.
Upon physical examination, the patient was found to be alert with mild mucocutaneous pallor and anicteric sclerae. Symmetrical, mobile neck, without lumps. Symmetrical, normally expanded thorax, diffusely painful to the superficial palpation, with clear respiratory noises and no aggregates. Rhythmic heart sounds of good tone, without murmurs. Soft, depressible, non-painful abdomen. Symmetrical, eutrophic limbs, without edema. Neurological examination: Conscious and oriented with no language alterations, bilateral amaurosis and no pupillary photoreactivity. 5/5 muscular strength in all limbs, paresthesia in 4 limbs. Preserved osteotendinous reflexes (++/++++), with a moderate increase in the base of support.
Admission laboratory tests revealed normality regarding red line, white line and thrombocytes, with an admission ionogram that reported severe hyponatremia of 111 mmol/L and glycemia levels of 109 mmol/L (Table 1).

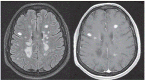
A brain MRI was performed to rule out other etiologies causing the current symptoms, which only evidenced periventricular hyperintense lesions suggestive of demyelination, compatible with multiple sclerosis (Figure 1). It was considered to be of relapsing-remitting type, due to time of evolution and diagnosis.

Replenishment of sodium was initiated from admission, with subsequent control after 24 h, at 120 mmol/L, and decreased symptoms. In addition, oxcarbazepine intake was suspended, but pregabalin and azathioprine were maintained as the basic treatment for multiple sclerosis in this case.
After treatment, 48 hours post-admission, we obtained a new sodium result, with an improvement compared to the previous figures: 129 mmol/L (Table 2). Now, these were safe numbers for the patient to prevent neurological symptoms or convulsions.

The patient felt stable, without exhibiting any new emetic episode. Normal diuresis.
At 24 hours, a new serum sodium control was obtained at 135 mmol/L (Table 3). Subsequently, we proceeded to take urine sodium levels, obtaining a value in the normal range: 75 mmol/L in 24 hours.

Then, we performed the other complementary para-clinical tests to evaluate other alterations, all within acceptable ranges in this patient.
In the absence of symptoms, oxcarbazepine was alternated with tizanidine at the suggestion of neurology. Favorable results were not obtained, since symptoms of multiple sclerosis reappeared (gait alteration, vertigo, paresthesia and fatigue) with this treatment. Therefore, we decided to suspend tizanidine and reinitiate oxacarbazepine gradually, with half a tablet in the morning only, again showing a decrease in serum sodium levels to 128 mmol/L (Table 4).

Using this therapeutic test of restarting medication, and a new sodium decrease, we corroborated our initial diagnosis of hyponatremia secondary to oxcarbazepine, since the other medications that the patient was taking were always maintained. A new alternating treatment was proposed by the neurology service.
Discussion
The metabolism of oxcarbazepine occurs in the liver, but minimally affects the CYP system. This represents a great advantage over carbamazepine, particularly in patients who require multiple drugs, as in the case of our patient. Therefore, drug interaction and loss of effect of one of the drugs is unlikely.
Hyponatremia associated with oxcarbazepine is due, in part, to the increased responsiveness of the renal collecting tubules to the antidiuretic hormone. It is regarded, then, as one of the forms of the syndrome of inappropriate secretion of antidiuretic hormone (SIADH). Although early reports had suggested that oxcarbamazepine could induce vasopressin release and cause syndrome of inappropriate antidiuretic hormone secretion, other studies have dismissed this mechanism3.
Other studies have documented that, after water overload, serum sodium and clearance of free water decreased in individuals medicated with oxcarbamazepine, whether healthy or ill, without elevated vasopressinemia in the latter3.
These findings indicate that oxcarbazepine-induced hyponatremia is not entirely attributable to the syndrome of inappropriate antidiuretic hormone secretion. For example, it was observed how the levels of urine sodium in our patient were in the normal range (in this syndrome, they are usually above 40 mEq/L in a simple urine sample). Potassium levels remained at normal levels4.
There are some risk factors for OXC hyponatremia, such as age greater than 40. As demonstrated by the higher rate of hyponatremia in people over 40 years of age, it has a stronger correlation with taking either OXC (60 %) or CBZ (20 %)5. This is also evidenced by the age of our patient, 41 years old. Moreover, it is clinically demonstrated in this case that, as the drug was withdrawn and gradually reinstated as a therapeutic test, symptoms varied proportionally to the medication, further corroborating the diagnosis.
It is important to analyze this case and consider it in the clinical practice of physicians who handle this type of medication, since acute hyponatremia can cause cerebral edema, leading to potentially fatal seizures and encephalopathy6. Due to brain adaptation, the degree of cerebral edema is lower with chronic hyponatremia and, in the majority of patients, seems to be asymptomatic7. Furthermore, it should be mentioned, first, that the replacement of sodium should be gradual in these patients, given the risk of central pontine myelinolysis8; and, secondly, that the suspension of the triggering drug must be the mainstay of our treatment, as was done from the beginning with our patient, according to our observations.
Conclusions
Health personnel should always be monitoring the interactions and adverse effects that may occur when administering a drug. The risk/benefit that administering this drug represents for patients should be logically balanced. Also, the differential diagnoses of this type of disorders, which help us even more to rule out other etiologies, should always be pondered. This case is not frequent, but it may occur and, as shown, if it is not considered, it will not be diagnosed.
Ethical disclosures
Protection of people and animals
The authors state that no human or animal experiments have been performed for this research.
Data confidentiality
The authors declare that patient data is not included in this article.
Right to privacy and informed consent
The authors state that no patient data appears in this article.
Contribution of authors
Diego Beltrán: Main author and writer of the article. Mario Montoya: Supervised the article, obtained bibliography, was treating physician in the reported case, and provided the medical record.
Referencias
1. Dong X, Leppik IE, White J, Rarick J. Hyponatremia from oxcarbazepine and carbamazepine. Neurology. 2005;65(12):1976-78. Disponible en: http://doi.org/10.1212/01.wnl.0000188819.45330.90.
2. Glauser TA. Oxcarbazepine in the treatment of epilepsy. Pharmacotherapy 2001;21:904-19. Disponible en: https://doi.org/10.1592/phco.21.11.904.34513.
3. Sachdeo R, Wasserstein A, Mesenbrink J, D'Souza J. Effects of oxcarbazepine on sodium concentration and water handling. Ann Neurol. 2002; 51(5): 613-20. Disponible en: https://doi.org/10.1002/ana.10190.
4. Food and Drug Administration. Highlights of Prescribing Information [Internet]. East Hanover: Novartis Pharmaceuticals Corporation. 2011. 34 p. Disponible en: http://www.accessdata.fda.gov/drugsatfda_docs/label/2014/021014s035,021285s030lbl.pdf.
5. Schmidt D, Arroyo S, Baulac M, et al. Recommendations on the clinical use of oxcarbazepine in the treatment of epilepsy: a consensus view. Acta Neurol Scand. 2001;104(3):167-70. Disponible en: https://doi.org/10.1034/j.1600-0404.2001.00870.x.
6. Berghuis B, de Haan G-J., van den Broek, MPH., Sander JW, Lindhout D, Koeleman, BPC. Epidemiology, pathophysiology and putative genetic basis of carbamazepine- and oxcarbazepine-induced hyponatremia. Eur J Neurol. 2016,23(9):139-9. Disponible en: https://www.doi.org/10.1111/ene.13069.
7. Spasovski G, Vanholder, Allolio B, et al. Clinical practice guide on the diagnosis and treatment of hyponatremia. Eur J Endocrinol. 2014;170: L5-6. Disponible en https://doi.org/doi:10.1530/EJE-14-0393.
8. Koch MW, Polman SK. Oxcarbazepine versus carbamazepine monotherapy for partial onset seizures. Cochrane Database Syst Rev. 2009;4:Art. No. CD006453. Disponible en: https://doi.org/10.1002/14651858.CD006453.pub2.
Notes
Author notes
* Correspondence author: Diego Leonardo Beltrán Garzón, diegoleonardo18@yahoo.com