Reporte de caso
Microangiopatías trombóticas en la UCI, síndrome hemolítico urémico atípico posparto: reporte de caso y revisión de la literature
Thrombotic microangiophatic in the ICU, hemolytic uremic syndrome relate to pregnancy: case report and literature review
Microangiopatías trombóticas en la UCI, síndrome hemolítico urémico atípico posparto: reporte de caso y revisión de la literature
Revista Colombiana de Nefrología, vol. 3, núm. 1, pp. 41-51, 2016
Asociación Colombiana de Nefrología e Hipertensión Arterial
Recepción: 05 Octubre 2015
Aprobación: 03 Febrero 2016
Resumen:
El síndrome hemolítico urémico es una entidad clínica definida por la tríada: anemia hemolítica no inmune, trombocitopenia y compromiso de órgano, en la que las lesiones subyacentes están mediadas por un proceso de Microangiopatía Trombótica (MAT) sistémica. El SHU atípico (SHUa) es un subtipo de SHU en el que los fenómenos de MAT son consecuencia de la pérdida de regulación de la vía alternativa del complemento sobre las superficies celulares, secundario a una causa genética. Se ha establecido el papel clave que desempeña la desregulación del sistema de complemento en la inducción de daño endotelial en los pacientes con SHUa, esto mediado por múltiples mutaciones y polimorfismos en los genes que codifican determinadas proteínas reguladoras del complemento. Cada día se describen más casos de SHUa relacionados al embarazo, teniendo en cuenta la gran actividad del complemento de manera fisiológica durante el estado de gestación. Eculizumab es un anticuerpo monoclonal que inhibe la fracción terminal del complemento (C5), bloqueando la formación del complejo de ataque de membrana, con mejoría significativa de la morbimortalidad asociada a esta enfermedad, logrando recuperación de la función renal a largo plazo y con una reducción importante en la necesidad de diálisis o terapia plasmática. Se presenta un caso de una mujer de 17 años de edad en puerperio inmediato, quien presentó síndrome ictérico considerado como síndrome de HELLP, cuya evolución atípica hizo pensar en diagnóstico alternativo de Microangiopatía Trombótica en mujer embarazada tipo SHUa. Se realizó diagnóstico de descarte entre sepsis, HELLP y coagulación intravascular diseminada. Se hizo medición de ADAMST13, cuyo valor normal permitió hacer el diagnóstico diferencial con una Púrpura Trombocitopénica Trombótica (PTT). De esta manera, se logró realizar el diagnóstico clínico de SHUa e iniciar tratamiento dirigido con excelente respuesta clínica.
Palabras clave: Síndrome hemolítico urémico atípico, eculizumab, microangiopatía trombótica, embarazo.
Abstract:
Hemolytic uremic syndrome is a clinical entity defined by the triad of not immune hemolytic anemia, thrombocytopenia and organ damage, in which the underlying lesions are mediated by a process called systemic thrombotic microangiopathy (TMA). The atypical HUS (aHUS) is a subtype of HUS in which TAM phenomena result from the loss of regulation of the alternative pathway of complement on the cell surfaces secondary to a genetic cause. It has been established the key role of the deregulation of the complement system in the induction of endothelial damage in patients with aHUS, mediated by multiple mutations and polymorphisms in genes encoding complement regulatory proteins. Increasingly cases of pregnancy related a HUS have been described, considering the physiologically great increase in complement activity during pregnancy status. Eculizumab is a monoclonal antibody that inhibits terminal complement fraction (C5) blocking the formation of membrane attack complex, with significant improvement in morbidity and mortality associated with this disease, achieving recovery of renal function in the long term and a significant reduction of the need for dialysis or plasma therapy. A case of a 17 years old woman in immediate postpartum period, who presented with jaundice syndrome considered secondary to HELLP syndrome. The atypical evolution of it made think of an alternative diagnosis of thrombotic microangiopathy in which a HUS related to pregnancy was considered. Different possible diagnosis where rule out, as sepsis, HELLP and disseminated intravascular coagulation. ADAMST13 measuring whose normal value allowed a differential diagnosis with thrombotic thrombocytopenic purpura (TTP) was performed. Thereby the clinical diagnosis of aHUS was done andeculizumab treatment was initiated with excellent clinical response.
Key words: Atypical Hemolytic Uremic Syndrome, Eculizumab, Thrombotic Microangiopathy.
Introducción
Desde la descripción inicial de las dos principales categorías de Síndrome Hemolítico Urémico, se ha avanzado mucho en el conocimiento de la fisiopatología del SHUa. Hoy en día se reconoce como una enfermedad genética que amenaza la vida, caracterizada por la activación no controlada del complemento, lo que condiciona la aparición de Microangiopatía Trombótica Sistémica (MAT) y daño severo de órgano blanco.
A partir de las dos principales categorías de MAT sistémica, Púrpura Trombocitopénica Trombótica (PTT), El primer caso fue descrito en 1924 por Moschcowitz, y Síndrome Hemolítico Urémico (SHU), por Gasseren en 1955, no ha existido más que un puñado de avances críticos en el diagnóstico y terapéutica; sin embargo, cada uno de estos descubrimientos ha alterado geométricamente el curso del SHUa.
El reconocimiento del Intercambio Plasmático Terapéutico (IPT) como el tratamiento de elección para la PTT; el aislamiento de la E.coli productora de la toxina Shiga STEC como agente etiológico de muchos de los casos de SHU asociado a diarrea, conocido ahora como SHU STEC; y, más recientemente, la descripción de la actividad en una proteasa específica (ADAMTS13) como el método diagnóstico correcto de la PTT, ha permitido mejorar las posibilidades diagnósticas y terapéuticas de estos pacientes. No obstante, el gran avance de la última década en la descripción del rol fundamental del sistema del complemento en la fisiopatología del SHUa, ha permitido ampliar el conocimiento y las posibilidades de tratamiento dirigido para esta última entidad. Esta revisión se enfoca en el SHUa como enfermedad rara crónica y sistémica, amenazadora de la vida con un muy alto grado de mortalidad y morbilidad dentro del primer año de presentación, a menos que sea tratada de manera adecuada.
Normalmente, pueden definirse dos formas de SHU4; la más frecuente, que se presenta en el 90% de los casos, se denomina SHU clásico otípico y se asocia con diarrea provocada por infección por E.coli productora de toxina Shiga STEC, capaz de unirse a los receptores Gb3 de las superficies de las células endoteliales y provocar la destrucción de estas, ya sea de forma directa o a través de la activación de los mecanismos inflamatorios y procoagulantes. La mayoría de los pacientes con SHU STEC evoluciona satisfactoriamente al cabo de 2 a 3 semanas, y si bien el 10% puede evolucionar hacia la enfermedad renal crónica, solo un 25% de estos desarrolla secuelas renales permanentes. El 10% de los casos restante presenta SHUa, enfermedad multisistémica mediada por la desregulación del sistema de complemento y de peor pronóstico, pues 40% de los pacientes fallece o queda en diálisis con la primera manifestación y el 63% de los sobrevivientes progresa a Enfermedad Renal Crónica Terminal (ERCT) o fallece en el transcurso del primer año posterior al diagnóstico3. El SHUa tiene una incidencia de aproximadamente 2 casos por millón de habitantes/año y una prevalencia reportada de 4 a 6 por millón de habitantes4.
A continuación se describirá el primer caso de SHUa relacionado al embarazo publicado en Colombia.
Caso clínico
Paciente de sexo femenino, de 17 años de edad, sin antecedentes de importancia, previamente sana, en postoperatorio inmediato de cesárea por sospecha diagnóstica de síndrome de HELLP. Remitida a la Unidad de Cuidados Intensivos (UCI) por cuadro de tres días caracterizado por ictericia progresiva, embarazo de 36 semanas, sin controles prenatales; a su ingreso con examen físico: paciente alerta, consciente con signos vitales de TA: 123/93mmhg, FR: 18, FC:105, SCG: 15/15, SAT: 98% al aire, ictericia de piel y mucosas generalizadas, ruidos cardíacos rítmicos taquicárdicos, ruidos respiratorios sin agregados, abdomen blando depresible, útero infra umbilical, herida quirúrgica sin sangrado, edema grado 1 de miembros inferiores, hiperreflexia universal. Paraclínicos de ingreso: Leucocitos: 15.900, Hb: 15, PT: 14 (13), PTT:30 (23), Plaquetas: 88000, Bilirrubina total: 12.5, Bilirrubina Directa: 10.8, Bilirrubina Indirecta: 1.7,GPT: 44, GOT:10, Creatinina: 2.3, BUN:27, LDH: 1143U/L, radiografía de tórax con leve redistribución de fluidos.
Se consideró paciente con embarazo a término con síndrome de HELLP, con síndrome ictérico con bilirrubinas en 11 a expensas de la directa, por lo que se descartó colestasis y/o coledocolitiasis mediante la realización de ecografía hepatobiliar, la cual fue reportada como normal, al igual que la colangioresonancia, buscando obstrucción extra hepática de la vía biliar. Se realizan múltiples cultivos para búsqueda de procesos infecciosos con sospecha de foco intra-abdominal y se inicia cubrimiento antibiótico con Cefepime y Metronidazol.
Paciente evoluciona de manera tórpida con deterioro sistémico y, al segundo día, persiste con disfunción orgánica múltiple (renal, hepática, hematológica) coagulopática con trombocitopenia y consumo del fibrinógeno, evidencia de sobrecarga hídrica en radiografía de tórax, HTA con necesidad de manejo con nitroglicerina endovenosa y requerimiento de ventilación mecánica no invasiva. Así mismo, requiere apoyo inodilator con dobutamina. Paciente persiste con evolución tórpida, signos de respuesta inflamatoria sistémica sin foco infeccioso, persistencia de acidosis metabólica, a pesar de la reanimación y el apoyo inodilatador, y buen gasto urinario. Al día tres, la paciente se torna oligoanúrica con respuesta irregular al manejo médico, por lo que es valorada por nefrología, quienes inician infusión de Furosemida a 2 mg hora. Se aprecia descenso de la HB a 8 sin sitio evidente de sangrado.
Al cuarto día, la paciente muestra mejoría parcial hemodinámica, mejores índices de perfusión y de gasto urinario; sin embargo, presenta compromiso neurológico dado por cuadro delirante asociado a insuficiencia cardiorrespiratoria, que requiere inicio de ventilación mecánica convencional. Paraclínicos de control: HB: 10.1, Leucocitosis: 18500, Plaquetas: 56000, Creatinina: 3, BUN: 65, TGO: 51.6, TGP: 23.1, el ácido úrico elevado, la ecografía muestra un hematoma de pared con hemoperitoneo por lo que es llevada a cirugía para laparotomía exploratoria encontrando líquido sero-ascítico y hematoma de pared, que no explica la anemización aguda que presenta la paciente.
El quinto día, la paciente evoluciona con deterioro clínico progresivo, con Insuficiencia Renal Aguda establecida con HB de 8 en el contexto de disfunción orgánica múltiple evoluciona dependiente de soporte vasopresor, sin demostrar sitio de infección, falla renal con azoados en ascenso (Creatinina 3,4, BUN:76) y sobrecarga de volumen. Tiempos de coagulación prolongados, suero lipémico y se decide realizar escalonamiento a Meropenem por sospecha de sepsis. Alto requerimiento transfusional (6 UGRE, 24 U plaquetas y 8U de plasma). Ante la severidad del cuadro y la no evolución clínica a la mejoría posterior a cinco días de desembarazar, se consideran posibles diagnósticos diferenciales al síndrome HELLP y, ante la no presencia de foco infeccioso, se inicia estudio de posibles causas diferentes de MAT. Se ordena haptoglobina, ADAMTS13, pruebas de complemento y extendido de sangre periférica, se toman otros paraclínicos para completar estudios: perfil de autoinmunidad: negativo, VIH: negativo, Coombs directo e indirecto: negativo, Leptospira: negativo.
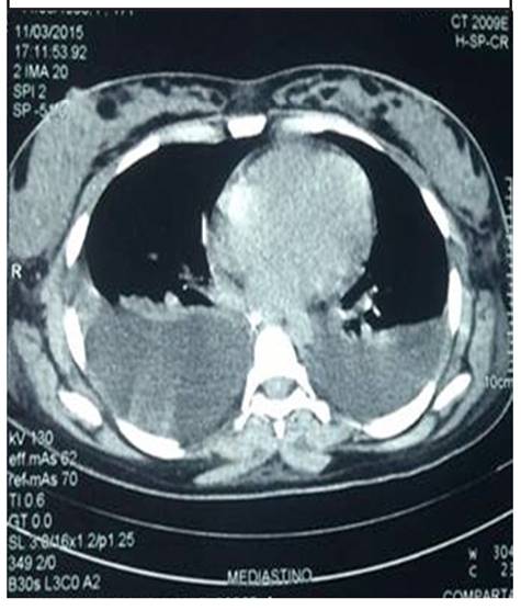
Al sexto día, continúa en disfunción orgánica múltiple con compromiso renal severo, oligúrica, acidosis metabólica y con sobre carga hídrica. Se logra controlar la coagulopatía, pero persiste con signos claros de hemólisis intravascular, dados por LDH en incremento persistente pese al manejo médico instaurado y trombocitopenia en progresión. Se realiza TAC de tórax (figura 1), encontrando derrame pleural bilateral y presencia de ascitis severa. Endoscopia de vías digestivas altas realizada no demostró sangrado digestivo pese a anemización persistente. Paraclínicos de control: Plaquetas: 67000mm, Creatinina: 2,5, BUN: 96,TGO: 103,TGP: 33,BT: 12,Triglicéridos: 1354, HB: 8.

La paciente persiste con anemia, trombocitopénica, con falla renal en incremento, hiperbilirrubinemia y enzimas hepáticas elevadas sin encontrar foco infeccioso o de sangrado y con compromiso neurológico dado por delirium. Cultivos negativos, sin lograr respuesta clínica a pesar de estar más de una semana bajo manejo médico, lo cual no es frecuente en preeclampsia, HELLP, y hace preponderante considerar SHUa posparto como su diagnóstico de base.
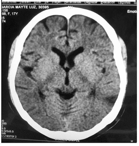
El día 12 continúa con MAT activa y severo compromiso neurológico, encefalopática y presenta, adicionalmente, episodio de convulsión por lo que se realiza TAC de cráneo (figura 2), evidenciando: zona isquémica temporal izquierda. Nuevamente es valorada por ginecología, quienes realizan junta médica descartando procesos infecciosos relacionados y continúa manejo expectante en UCI. Se reciben paraclínicos adicionales para abordajes diferenciales de MAT sistémicas con reporte de actividad de ADAMTS 13: 64%; pruebas de complemento: C3: 73,4mg/dl (90-180mg/dl); C4: 8.6 mg/dl (10-40mg/ dl),ambas disminuidas, sin evidencia de enfermedad autoinmune concomitante. Se considera cuadro de MAT asociada al embarazo, con evolución tórpida pese a manejo del síndrome HELLP como primera aproximación diagnóstica, con resultado de ADAMTS13 que descarta la presencia de PTT asociado a la gestación y se considera el diagnóstico de SHUa como el diagnóstico definitivo, que explica la persistencia del severo compromiso sistémico, la MAT persistente, la HTA de difícil manejo que requiere polifarmacia y el compromiso multisistémico actual, por lo que se decide iniciar plasmaféresis, en espera de disponibilidad de tratamiento dirigido a bloquear el complemento. Se ordena vacunación previa contra meningococo. La paciente continúa encefalopática, en estatus convulsivo, manejada con ácido valproico, sedación con benzodiacepinas y Propofol, sangrado espontáneo por tubo orotraqueal.

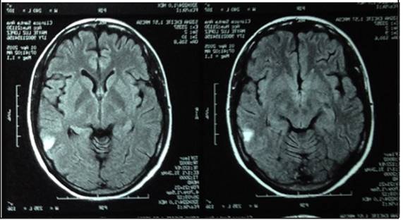
El día 13, hematología ordena inicio de Eculizumab por tratarse de SHUa. Al día siguiente de la aplicación, se observa franca respuesta hemodinámica, logrando disminuir la MAT y extubar a la paciente de manera programada. Se realiza RMN (figura 3) de control. Continúa infusión de Eculizumab según programación semanal. Posterior a tres semanas de manejo dirigido bloqueando el complemento, la paciente evolucionó de manera muy adecuada con mejoría de cifras tensionales, de disfunción hepática y con normalización de la función renal.
Discusión
El SHUa es una patología crónica, genética y que amenaza la vida, donde la desregulación de la ruta alterna del complemento genera el compromiso multisistémico. Se han descrito diferentes entidades que por su capacidad de amplificar el sistema de complemento, ya sea de manera fisiológica, como el embarazo, o patológica, como infecciones, cirugías entre otras, se desenmascara el SHUa subyacente. Como se mencionó previamente en este artículo, el SHUa hace parte de las MAT sistémicas donde el diagnóstico se realiza de manera clínica, posterior a descartar otras causas de MAT (que se mencionarán más adelante). En esta oportunidad, se describe un caso de SHUa relacionado al embarazo. El SHUa es causa de MAT en el tercer trimestre de la gestación o en el postparto. El embarazo está asociado con una activación sistémica del complemento para proteger tanto a la madre como al feto de posibles infecciones, se ha demostrado que los niveles de las proteínas anafilotóxicas C3a, C4a y C5a son más altos en las mujeres embarazadas que en las no embarazadas, alrededor de tres veces más1. De cada 100 mujeres con SHUa, 21% lo han presentado relacionado al embarazo2. El SHUa relacionado con el embarazo ha sido reportado en el registro internacional SHUa/ PTT y se encuentran anormalidades del complemento en el 86% de estas pacientes3. El caso reportado en este artículo se considera el primero publicado en Colombia.

Patogenia
El sistema del complemento es uno de los responsables de la defensa contra microorganismos, su objetivo es la lisis de estos mediante la activación de tres vías: vía clásica, vía de la lectina y vía alterna. Aclarando que es el trastorno en la regulación de una de estas tres vías, la de la vía alterna, la que induce las manifestaciones clínicas del SHUa, cabe destacar que esta vía se encuentra activa constantemente, por la activación espontánea de C3 y es amplificada rápidamente gracias a la acción de proteínas como endotoxinas e inmunoglobulinas, entre otras. La C3 convertasa está formada por C3b/Bb; el C3b recubre las superficies celulares y funciona como opsonina en las paredes de los microorganismos. Al unirse a la C3 convertasa, para crear la C5 convertasa, esta escinde o divide a C5 en C5a y C5b, liberando C3a y C5a que son quimio-tácticos de leucocitos y plaquetas, los cuales activan la ruta de la coagulación y participan en la activación endotelial, siendo C5a altamente proinflamatorio.
Todo este mecanismo es controlado por proteínas inhibitorias o mecanismos reguladores como son el Factor I (CFI), el Factor H (CFH), la Proteína del Cofactor de la Membrana (PCM), la Trombomodulina (THBD), el Factor de Aceleración del Deterioro (DAF/CD55), Protectina o CD59, encargados de parar la respuesta inmune, evitando así daños al propio huésped4.
Los pacientes con SHUa carecen, intrínsecamente, de los reguladores del complemento, permitiendo una respuesta hiperactiva, induciendo a daño endotelial y trombosis microvascular secundaria a inflamación y a una continua activación del complemento, lo que permite conocer las diferentes manifestaciones clínicas, sus complicaciones y alta morbimortalidad.
El término MAT (Microangiopatía Trombótica) identifica un daño histológico de arteriolas y capilares, caracterizado por el engrosamiento e inflamación de la pared vascular, ensanchamiento subendotelial por acumulación de proteínas y material de lisis celular, y la presencia de trombos plaquetarios ocluyendo las luces vasculares5.
El término MAT (microangiopatía trombótica) significa un daño histológico de arteriolas y capilares, caracterizado por el engrosamiento e inflamación de la pared vascular, el desprendimiento de las células endoteliales; el alargamiento subendotelial, ocasionado por los depósitos de proteínas y el material de la lisis celular; y la presencia de trombos plaquetarios que ocluyen los espacios vasculares, la cual puede sospecharse por la disminución del recuento plaquetario, hemolisis, e incluso de forma sistémica con múltiples daños a diferentes órganos4.
Existen dos entidades clínicas caracterizadas por lesiones de microangiopatía trombótica primaria, de causa y base fisiopatológica diferente: la Púrpura Trombocitopénica Trombótica (PTT) y el SHU6.
El 90% de los casos de SHU son causados por una infección entérica por STEC, a partir de alimentos contaminados (SHU típico/STEC)7. En los EE.UU., el SHUa se estima que tiene una tasa de incidencia anual de 1-2 casos por millón de habitantes5 y, en Europa, un estudio internacional multicéntrico informó una incidencia de 0,11 casos por millón de habitantes entre las edades de 0 y 18 años6,9. La distribución hombre: mujer es equitativa en la infancia, pero tiende a predominar en las mujeres en la vida adulta Las manifestaciones clínicas pueden ser múltiples y muy variadas en cada paciente. La realización de un buen interrogatorio y un buen examen físico nos llevará a una historia clínica completa. El inicio suele ser abrupto9, aunque en el 20% de los pacientes puede ser progresivo con anemia subclínica, trombocitopenia fluctuante y función renal conservada. El cuadro se caracteriza por la tríada de anemia hemolítica microangiopática no inmune, trombocitopenia -o consumo del 25%- y compromiso de órgano, como la falla renal aguda10. Los niveles altos de deshidrogenasa láctica, los niveles indetectables de haptoglobina y/o la presencia de esquistocitos confirma la existencia de hemólisis intravascular11. La presencia de HTA por sobrecarga de volumen o por lesión vascular es frecuente, al igual que la oligoanuria en el fracaso renal agudo. Las lesiones del SHUa afectan, predominantemente, los vasos renales, el carácter difuso de la MAT conduce a la afectación de la microvasculatura de los órganos (cerebro, corazón, intestinos, páncreas y pulmones), lo que explica la aparición de la signo-sintomatología extrarrenal9,12. Los más frecuentes son los de tipo neurológico (48%), incluyendo irritabilidad, somnolencia, confusión, convulsiones, encefalopatía, accidente cerebrovascular, hemiparesias, hemiplejia o coma12-14, como ocurrió con esta paciente. El infarto agudo de miocardio se ha descrito hasta en un 3% de los pacientes con SHUa, pudiéndose relacionar con muerte súbita12,15. La variabilidad de la sintomatología dificulta el diagnóstico diferencial con otras causas de MAT.
La relación de SHUa y embarazo ha sido expuesta previamente por otros autores, de igual manera la relación de MAT y embarazo, reportada por Fakhouri, et al. 2, con una incidencia aproximada de 1 en 25000 embarazos. La disfunción del sistema del complemento se ha visto relacionada, recientemente, con patologías como el HELLP. Este aumento del complemento durante el estado de gestación es controlado en mujeres normales mediante proteínas reguladoras, como DAF, MCP y CD59, las cuales se encuentran localizadas en la superficie celular del trofoblasto. Por el contrario, en mujeres con alteraciones en la regulación del complemento, como ocurre en el SHUA, podría explicar el desenmascaramiento del SHUa asociado al embarazo. Más aún, como también fue descrito por Fakhouri et al. 2, posterior al parto, lo cual podría aumentar, per se, la activación del sistema del complemento y explicaría el mayor número de casos de SHUa diagnosticados posteriores al parto.
Diagnóstico
El SHUa es una patología de diagnóstico clínico. Dentro de los múltiples parámetros estudiados, el método más preciso para el diagnóstico se basa en la exclusión de otras MAT y se deben tener en cuenta, más allá de los síntomas comunes de compromiso de órganos por la microangiopatía, valores de laboratorio compatibles con la presencia de hemólisis intravascular no inmunológica, como es la elevación de la LDH secundario a fragmentación de glóbulos rojos, presencia de esquistocitos en el extendido de sangre periférica, Coombs negativo, valores de hemoglobina bajos o niveles de haptoglobina no detectables; cabe destacar la tríada clásica caracterizada por:1) hemólisis microangiopática, 2) trombocitopenia, y 3) daño a órganos, con mayor frecuencia la lesión renal aguda (hematuria, proteinuria o disminución de la función renal). Condición que es potencialmente mortal y requiere tratamiento inmediato para evitar el daño irreversible de los órganos o la muerte.
Las causas más comunes de MAT son la Púrpura Trombótica Trombocitopénica (PTT), el Síndrome Urémico Hemolítico (SUH), el cual, a su vez, se divide en SHU STEC (causado por la Shiga toxina de la E. coli entero invasiva) y SHUa (enfermedad crónica, genética por desregulación del sistema de complemento). A diferencia del SHU que se describió previamente, la trombosis intravascular en la PTT es consecuencia de una deficiencia severa de la actividad de la metaloproteasa ADAMST13, una enzima plasmática encargada de fragmentar los multímeros ultra largos de factor von Willebrand15. Actualmente, una deficiencia severa adquirida o congénita de ADAMTS13 (<5-10%) confirma el diagnóstico de Púrpura Trombocitopénica Trombótica (PTT). Esta muestra de sangre se debe tomar antes de iniciada la plasmaféresis o infusión de plasma, para no alterar su resultado12. Por otra parte, el SHUSTEC es provocado por la Shiga, toxina producida por la Escherichia coli entero invasiva, la cual es detectada mediante técnicas de PCR en materia fecal o en un cultivo positivo para este germen.
La MAT puede presentarse en otros contextos, antiguamente reconocidos como MAT secundaria por su asociación con otras patologías; sin embargo, vale la pena recalcar que existen condiciones amplificadoras del complemento que pueden desenmascarar el diagnóstico de SHUa de base. Entre estas, las más frecuentes son: hipertensión arterial maligna, síndrome de HELLP, enfermedades autoinmunes (LES), VIH, infección por neumococo, glomerulopatías, neoplasias y medicamentos, entre otras. En dichas condiciones, estos eventos o patologías son considerados el factor desencadenante del SHUa, exponiendo al paciente a padecer todas las manifestaciones clínicas de esta patología.
Estudios recientes han demostrado que entre el 4060% de pacientes con SHUa son portadores de mutaciones específicas en los genes del complemento, causando desregulación15 de la vía alterna del complemento, en las más comunes se encuentran Factor H(CHF) (20-30%), MCP (5-15%), Factor I (4-10%), C3 (2-10%), Factor B (1-4%) y THBP (3-5%)12.
Dada la extensa variedad de mutaciones y la incompleta penetración de las mismas, además de que, en aproximadamente el 50% de los casos no es posible la identificación de la mutación, las pruebas genéticas no son hoy en día un criterio diagnóstico4. En todos los pacientes con sospecha clínica de SHUa, es recomendable medir los niveles de C3 y C4 en suero, lo cual puede ayudar a aclarar el diagnóstico sin ser esto un factor fundamental (figura 4).

Tratamiento
Plasmaféresis: Evidencia reciente sugiere que la terapia de intercambio de plasma / infusión de plasma(PF/IPes) es inefectiva para controlar de manera adecuada la activación sistémica y permanente del complemento en pacientes con SHUa. La terapia de plasma es razonablemente eficaz en la normalización de los parámetros hematológicos de Microangiopatía Trombótica, pero no es uniformemente eficaz en la prevención de la progresión de la enfermedad renal16.
El estudio de Noris y colaboradores12 demuestra que un 70% de los pacientes con diagnóstico de SHUa con mutaciones CFH, CFI, C3 o THBD, o anticuerposanti-CFH murieron o llegaron a la etapa final de la enfermedad renal durante los primeros tres años posteriores al diagnóstico, aun en el curso de la plasmaféresis como manejo estándar del momento.
Eculizumab: Es un anticuerpo monoclonal humanizado que bloquea la escisión del complemento terminal proteína C5 en la proteína inflamatoria C5a y C5b, impidiendo la generación del complejo C5b9 del complemento terminal1. Teniendo en cuenta la fisiopatología de la enfermedad, en relación a la desregulación del sistema de complemento, el Eculizumab, al bloquear la acción terminal del complemento, evita la lesión y daño crónico de órgano, protegiendo así al paciente de las consecuencias devastadoras de la sobreactividad del sistema de complemento. Múltiples estudios clínicos han demostrado los beneficios de esta terapia al cambiar la historia natural de esta patología devastadora y ultra-huérfana4.
La dosis recomendada de Eculizumab para pacientes menores de 18 años de edad se realiza según el peso corporal, teniendo en cuenta la tabla 1.
Es recommendable considerar al Eculizumab como estrategia terapéutica en los pacientes con MAT, en quienes no se observe respuesta terapéutica al intercambio plasmático o exista16 dependencia de esta terapia. La inhibición de la MAT, mediada por el complemento con Eculizumab, condujo a rápidas mejoras hematológicas, mejoras significativas en los resultados renales y la interrupción del intercambio de plasma/infusión de plasma (PE/PI) y la diálisis en la mayoría de los pacientes, así como en el caso del presente artículo.
Según Roxanne y colaboradores15, en pacientes con SHUa, con y sin mutaciones del complemento identificados, se indica que el bloqueo del complemento terminal con Eculizumab interrumpe la progresión de la inflamación a la lesión renal y disfunción de órganos, a pesar de la evidencia de AP persistente y activación de células endoteliales.

Conclusión
El SHUa es una enfermedad ultra-huérfana, caracterizada por la presencia de MAT, la cual es definida por la tríada: anemia hemolítica no inmune, trombocitopenia y compromiso de órgano. En la fisiopatología del SHUa, los fenómenos de MAT son consecuencia de la pérdida de regulación de la vía alternativa del complemento sobre las superficies celulares, secundaria a una causa genética, lo que induce a daño endotelial y compromiso multiorgánico. Cada día se describen más casos de SHUa relacionados al embarazo, teniendo en cuenta la gran actividad del complemento de manera fisiológica durante el estado de gestación. El caso aquí reportado se considera el primero de su tipo en nuestro país. Eculizumab es un anticuerpo monoclonal que inhibe la fracción terminal del complemento (C5), bloqueando la formación del complejo de ataque de membrana, con mejoría significativa de la morbimortalidad asociada a esta enfermedad, logrando recuperación de la función renal a largo plazo y con una reducción importante en la necesidad de diálisis o terapia plasmática. El adecuado entendimiento y diagnóstico oportuno de esta entidad, y su relación con el embarazo, permitirá tratar de manera oportuna estos pacientes, evitando las secuelas severas de morbilidad asociada como la ERC V y/o mortalidad prematura.
Financiamiento
No hay fuentes de financiamiento.
Conflictos de interés
El Dr. Juan Pablo Córdoba es el director médico de Alexion Pharma Colombia. El resto de autores no reportan ningún conflicto de interés.
Referencias
1. Mok C, Raymond C, Kwok L, Paul SF. Effect of renal disease on the standardized mortality ratio and life expectancy of patients with systemic lupus erythematosus. Arthritis and Rheumatism. 2013;65:2154-60.
2. Fakhouri F, Roumenina L, Provot F, Sallée M, Caillard S, Couzi L,et al.Pregnancy-Associated Hemolytic Uremic SyndromeRevisited in the Era of Complement Gene Mutations. J Am SocNephrol.2010;21:859-867. doi: 10.1681/ASN.2009070706.
3. Noris M, Caprioli J, Bresina E, Mossali C, Pianetti G, et al. Relative Role of genetic Complement abnormalities in Sporadic and Familial aHUS and Their Impact on Clinical Phenotype. Clin J Am SocNephrol . 2010;5(10):1844-59.
4. Córdoba JP, Contreras KM, Larrarte C, Espitaleta Z, González LE, Ibarra M. et al. Síndrome hemolítico urémico atípico, revisión de la literatura y documento de consenso.Revista Colombiana de Nefrologia. 2015;2(1):19-40.
5. Siegler R, Oakes R. Hemolytic uremic syndrome; pathogenesis, treatment, and outcome.CurrOpinPediatr. 2005;17(2):200-4.
6. Campistol JM, Arias M, Ariceta G, Blasco M, Espinosa M, Grinyó JM, et al. Actualización en síndrome heolítico urémico atípico: diagnóstico y tratamiento.Nefrología.2013;33(1):27-45.
7. Loirat C, Saland J, Bitzan M. Management of hemolytic uremic syndrome. Presse Med. 2012 Mar;41(3 Pt 2):e115-35. doi: 10.1016/j.lpm.2011.11.013. Epub 2012 Jan 27.
8. ConstantinescuAR, Bitzan M, Weiss LS, Christen E, Kaplan BS, Cnaan A, et al. Non-enteropathic hemolytic uremic syndrome: causes and short-term course.Am J Kidney Dis. 2004 Jun;43(6):976-82.
9. Sellier-Leclerc AL, Fremeaux-Bacchi V, Dragon-Durey MA. French Society of Pediatric Nephrology. Differential impact of complement mutations on clinical characteristics in atypical hemolytic uremic syndrome.J Am Soc Nephrol.2007;18:2392-2400. doi: 10.1681/ASN.2006080811.
10. Loirat C, Fremeaux-Bacchi V. Atypical hemolytic uremic syndrome.Orphanet Journal of Rare Diseases. 2011;6:60. doi:10.1186/1750-1172-6-60.
11. Caprioli J, Noris M,Brioschi S, Pianetti G,Castelletti F, Bettinaglio P. Genetics of HUS:the impact of MCP, CFH, and IF mutations on clinical presentation, response to treatment, andoutcome. Blood. 2006 Aug 15;108(4):1267-79. Epub 2006 Apr 18.
12. Noris M, Caprioli J, Bresina E, Mossali C, Pianetti G. Relative Role of genetic Complement abnormalities in Sporadic and Familial aHUS and Their Impact on Clinical Phenotype. Clin J Am Soc Nephrol . 2010 Oct;5(10):1844-59. doi: 10.2215/CJN.02210310. Epub 2010 Jul 1.
13. Neuhaus TJ, Calonder S, Leumann EP. Heterogeneity of atypical haemolytic uraemic syndromes. Arch Dis Child. 1997 Jun;76(6):518-21.
14. Ohanian M, Cable C,Halka K. Eculizumad safely reverses neurologic impairment and eliminates need for dialysis in sevee atypical hemolytic uremic syndrome.Clinical Pharmacology: Advances and Applications. 2011;3:5-12.
15. Cofiel R, Kukreja A,Bedard K, Yan Y, Mickle A,Ogawa M, et al. Eculizumab reduces complement activation, inflammation, endothelial damage, thrombosis, and renal injury markers in aHUS. Blood. 2015 May 21;125(21):3253-62. doi: 10.1182/blood-2014-09-600411. Epub 2015 Apr 1.
16. Nester CM. Managing atypical hemolytic uremic syndrome: chapter 2.Kidney International. 2015;87:882-884. doi:10.1038/ki.2015.60.
17. Moschcovitz: E. «An acute febrile pleiochromic anemia with hyaline thrombosis of terminal arteriols and capillaries: An undescribed disease». Arch Intern Med 36: 89. 1925
18. Gasser C, Gautier E, Tek A, Siebenmann E, Oechslin R. Haemolytisch urämische Syndrome: bilaterale Nierenrindennekrosen bei akuten erworbenen haemolytischen Anemien. Schweiz Med Wochenschr 1955; 85: 905-9.