Reporte de caso
Nefropatía por agente catártico basado en fosfato de sodio en paciente renal trasplantado. Reporte de un caso
Phosphated-based cathartic agent nephropathy in kidney trasplantation patient. Case report
Nefropatía por agente catártico basado en fosfato de sodio en paciente renal trasplantado. Reporte de un caso
Revista Colombiana de Nefrología, vol. 3, núm. 1, pp. 52-57, 2016
Asociación Colombiana de Nefrología e Hipertensión Arterial
Recepción: 24 Febrero 2016
Aprobación: 01 Mayo 2016
Resumen:
La nefropatía por fosfato de sodio es una forma de lesión renal que ocurre posterior al uso de laxantes que contienen fosfato de sodio. Puede presentarse de manera aguda o crónica según el tiempo de utilización de dichos medicamentos utilizados para la preparación colónica. La forma aguda puede resolverse con un adecuado tratamiento, pero la forma crónica puede causar daño renal irreversible. Este caso se trata de una paciente con trasplante renal, en seguimiento en la Fundación Cardioinfantil en Bogotá, Colombia, en quien se utilizó fosfato de sodio para una preparación de colonoscopia y se presentó a nuestro servicio con una lesión renal aguda.
Palabras clave: Enfermedad renal crónica, nefropatía por fosfato de sodio, diagnóstico.
Abstract:
Sodium phosphate nephropathy is a form of renal injury that occurs following the use of laxatives containing sodium phosphate, which can present acutely or chronically after the administration of these drugs used in colonic preparation for colonoscopy. The acute form can resolve with adequate treatment, but the chronic form may cause irreversible kidney damage. The case we report is about a kidney transplantantion patient in whom sodium phosphate was used for colonoscopy preparation debuting with acute kidney injury.
Key words: Chronic Kidney Disease, Acute phosphate nephropathy, Diagnosis.
Descripción general
Paciente mujer de 40 años, quien asistió a consulta de control de trasplante renal, con elevación aguda de azoados. Se decidió hospitalizarla para estudio de lesión renal aguda en trasplante renal.
Al interrogatorio, refería deposiciones diarreicas (más de 3 veces al día) de cerca de 5 meses de evolución, sin emesis ni dolor abdominal. Se había estudiado dicho cuadro con colonoscopia dos semanas atrás. La preparación intestinal se realizó con enema de fosfato. El resto de la revisión por sistema fue negativa.
Como antecedentes patológicos, la paciente refería hipertensión arterial, infección de vías urinarias a repetición, trombosis venosa profunda 10 años atrás, tromboembolismo pulmonar, hace 10 años, y lupus eritematoso sistémico que produjo enfermedad renal crónica que requirió terapia de reemplazo renal, inicialmente hemodiálisis y luego trasplante renal, 5 años antes. La inmunosupresión constaba de Tacrolimus XL 4 mg/día, Micofenolato de Mofetil 720 mg/d, Omeprazol 20 mg/día, Deflazacort 6 mg/día, Enalapril 20 mg/día.
No había alteraciones en su examen físico, sus signos vitales eran TA: 139/76, Fc: 72/m, Fr: 16/m. Los paraclínicos se resumen en la tabla 1:
Colonoscopia ambulatoria: estudio dentro de límites normales.
Uroanálisis: densidad: 1010, Ph: 5,5, proteínas: negativo; sedimento= leucocitos: 3,96, eritrocitos: 1,78, bacterias: +.

Anti DNA: negativo, Complemento: normal. Niveles de tacrolimus: 5,39.
Eco doppler de riñón trasplantado: normal.
Coprológico= Ph: 8, sangre oculta: negativo, no se observan parásitos. ZN modificado de materia fecal: negativo para criptosporidium, ciclospora y microsporidium.
VIH: negativo.
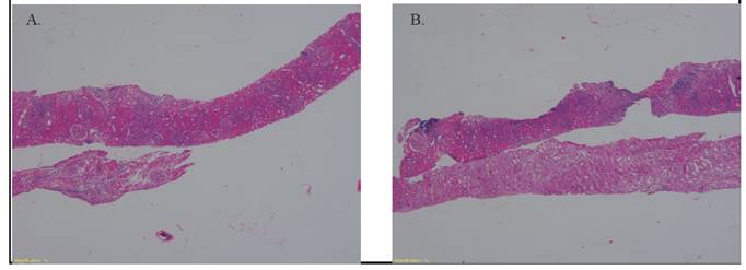
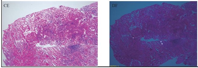
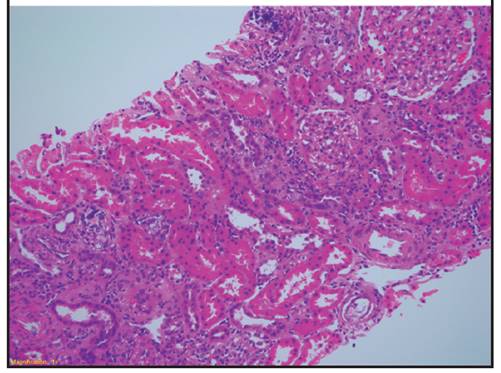
Se decidió realizar biopsia renal, la cual mostró existencia de daño tubular agudo con cambios de regeneración, presencia de cristales de fosfato de calcio y distribución en bandas. Daño tubular por presencia de nefritis tubular intersticial moderada con tubulitis leve. Sin evidencia de nefropatía por poliomavirus ni de nefropatía por complejos inmunes.
En este caso en particular se identifican cambios consistentes con rechazo celular agudo, dados por la presencia de infiltrado inflamatorio tubulointersticial en suficiente cantidad, asociado a la presencia de tubulitis. Se destaca la presencia de dos tipos de cristales: 1) calcio, cuya presencia indica dos tipos de daño tubular asociados a su presencia, el primero de ellos, oxalatos de calcio, caracterizados por la presencia de cristales amarillentos poco aparentes en la coloración de Hematoxilina y Eosina, los cuales sobresalen al ser expuestos a la luz polarizada; y 2) cristal derivado del daño tubular renal y su presencia indica ya un estado resuelto cicatrizal, que indica el daño tubular ocurrido por la catarsis por enema de fosfato de sodio.
Se determinó la presencia de nefropatía por cristales de fosfato, se inició manejo con aluminio posprandial, carbonato de calcio posprandial y se administró un curso corto de esteroides, con lo que la paciente mostró mejoría de su función renal hasta valores basales.
Comentarios
Existen diversos agentes utilizados para la preparación o limpieza de colon. Uno de los más frecuentemente empleados es el enema a base de fosfato de sodio, que fue introducido terapéuticamente por primera vez por Vanner y colaboradores en 19901.



Las preparaciones de fosfato de sodio para enema funcionan como laxantes osmóticos, es decir, por su alta osmolaridad “obligan” a la excreción de agua en la luz intestinal, llevando a un aumento de la peristalsis y a la evacuación intestinal2. La dosis habitual de fosfato de sodio es de dos dosis con un intervalo entre 8-12 horas3. Cuarenta y cinco mililitros de fosfato de sodio contienen 5 gr de sodio y 17 gr de fosfato (equivalentes a 11,5 g de fósforo elemental). Con esa dosis, se puede causar una pérdida de hasta 1,6 l de líquido intestinal. Esta pérdida de volumen, en unión con la ingesta oral, limitada dictada por protocolos de precolonoscopia, puede producir alteraciones de electrolitos y aumenta el riesgo de lesión renal en los pacientes que reciben estos agentes4.
En 2003 se describió por primera vez una forma poco usual de nefrocalcinosis cortical debida a “nefropatía aguda por fosfato”. Desde entonces, varios reportes se han asociado a injuria renal, tanto aguda como crónica2,3. A partir de su descubrimiento, se han documentado aproximadamente 37 casos (entre 2003 y 2010). La mayoría de los casos provienen de centros de estudio en EE. UU., Noruega, Países Bajos, Bélgica, Reino Unido, Líbano, Corea, Nueva Zelanda y cinco de Israel, lo que refleja el uso generalizado del fosfato de sodio5.
El estudio retrospectivo de la doctora Ehrenpreis y colaboradores, realizado a partir de la base de datos de eventos adversos de la Food and Drug Administration (FDA), desde 2004 hasta 2009, demostró que la tableta de fosfato de sodio se asocia a eventos de lesión renal, más frecuentemente en mujeres con un promedio de peso más bajo de lo normal (68.57 ± 1.78 kg)6.
En Brasil, una de cada mil dosis vendidas de fosfato de sodio desarrolla nefropatía aguda por fosfato. La relación entre la ingesta y el depósito de calcio y fosfato se relaciona con lesiones renales, con la posterior cicatrización intersticial y pérdida concomitante de la función renal.
Adicionalmente, las preparaciones de enema de fosfato de sodio causan aumento de fósforo sérico, incluso entre pacientes con función renal normal. Un estudio encontró niveles de fósforo, entre los pacientes con función renal normal, que oscilaron entre 3,7 a 7,3 mg/dL, después de la administración de fosfato de sodio7. Otro estudio encontró niveles de fósforo superiores a 8 mg/dl en 28% de los pacientes tratados con fosfato de sodio8.
Por otra parte, algunos estudios informan sobre una tendencia significativa hacia mejores resultados en desenlaces renales después de la utilización de fosfato de sodio, en comparación con otros laxantes9-11, como es el caso de un estudio en población asiática, que no pudo demostrar alteraciones en la función renal durante un seguimiento de 12 a 24 meses, posterior a la utilización de fosfato de sodio para preparación colónica5.
La nefropatía aguda por fosfato de sodio (APN, por sus siglas en inglés) se produce después del uso de estos agentes de preparación de colon, y tiene dos formas de presentación: la lesión renal aguda (LRA) y la enfermedad renal crónica (ERC)3.
En su presentación como LRA, puede ocurrir en cuestión de horas a días, se acompaña de hipocalcemia y, normalmente, es de corta duración. Se puede manejar con agentes quelantes de fósforo y terapia conservadora, que suele llevar a recuperación renal total12. La hipocalcemia aguda es casi característica de esta entidad y es secundaria a la precipitación de calcio y fosforo, que se puede agravar aún más si el paciente se presenta, además, una alcalosis respiratoria aguda, lo que pudiese llevar a la manifestación de tetania1.
La forma crónica de APN se puede presentar semanas después de la exposición inicial, lo que dificulta su identificación, siendo casi siempre diagnóstico basado en un interrogatorio juicioso y en biopsia renal, ya que sus síntomas son inespecíficos y fácilmente explicables por el deterioro de la función renal. La biopsia renal en pacientes con ERC debida a APN, generalmente, muestra nefrocalcinosis. La nefrocalcinosis es una enfermedad tubulointersticial, con prominente calcificación tubular con atrofia tubular y fibrosis intersticial. Hay lesión tubular, secundaria al depósito de cristales de calcio y fósforo, y al aumento de la concentración de fosfato intratubular e hiperfosfatemia. La mayoría de la precipitación de fosfato de calcio se encuentra en los túbulos distal y colector.
La depleción de volumen que acompaña el uso de estos agentes laxantes osmóticos, probablemente, exacerba este proceso, llevando a un aumento de la reabsorción de agua y sodio en el túbulo proximal (que es impermeable al fósforo) y a la reabsorción de agua sin reabsorción de fósforo en el asa de Henle, lo que resulta en una mayor concentración relativa de fósforo y calcio en el túbulo distal13. El depósito de cristales de fosfato de calcio en el túbulo renal distal solo puede ser confirmado por biopsia, porque el depósito intrarrenal, en la hiperfosfatemia aguda, no es, generalmente, detectable en imágenes radiológicas2,4,14,15.
La presentación de APN es potencial, cada vez que un paciente con disfunción renal es expuesto a altas dosis de fosfato.
Además del riesgo potencial de APN, las preparaciones de enema de fosfato de sodio se acompañan, incluso en función renal normal, de hipocalcemia transitoria e hipopotasemia en más de 50% de las personas en edad avanzada16. La hipopotasemia e hipocalcemia que se producen después de su uso pueden afectar el ritmo cardiaco, al prolongar el intervalo QT y producir arritmias ventriculares, así como cambios macroscópicos e histológicos en la mucosa, por lo que se debe evitar su uso en la enfermedad intestinal inflamatoria17.
Los factores de riesgo para nefropatía por fosfato de sodio son: ERC, edad mayor de 55 años, sexo femenino, medicamentos que disminuyan el volumen intravascular y la perfusión renal (p.e. diuréticos, antagonista del receptor de angiotensina II, inhibidores de la enzima convertidora de angiotensina, antiinflamatorios no esteroideos, etc.), la frecuencia de la dosis del medicamento (cada 6 horas vs. cada 12 horas aumenta los niveles de fósforo) y se debe evitar su uso en obstrucción intestinal y colitis activa18.
La forma de prevenirla19:
Conflicto de interés
Los autores declaran que no tienen conflicto de interés.
Referencias
1. Vanner SJ, MacDonald PH, Paterson WG, Prentice RS, Da Costa LR, Beck IT. A randomized prospective trial comparing oral sodium phosphate with standard polyethylene glycol-based lavage solution [Golytely] in the preparation of patients for colonoscopy. Am J Gastroenterol. 1990 Abr;85(4):422-7.
2. Heher EC, Thier SO, Rennke H, Humphreys BD. Adverse renal and metabolic effects associated with oral sodium phosphate bowel preparation. Clin J Am Soc Nephrol. 2008 Sep;3(5):1494-503. doi: 10.2215/CJN.02040408. Epub 2008 Jul 2.
3. Weiss J, Thorp ML. Acute phosphate nephropathy: a cause of chronic kidney disease. BMJ Case Reports. 2011. doi:10.1136/bcr.04.2010.2876.
4. Cho SG, Yi JH, Han SW, Kim HJ. Electrolyte Imbalances and Nephrocalcinosis in Acute Phosphate Poisoning on Chronic Type 1 Renal Tubular Acidosis due to Sjögren’s Syndrome. J Korean Med Sci. 2013 Feb;28(2):336-9. doi: 10.3346/jkms.2013.28.2.336.
5. Seol DC, Hong SN, Kim JH, Sung IK, Park HS, Lee JH, et al. Change in renal function after sodium phosphate preparation for screening colonoscopy. World J Gastroenterol. 2010 April 28;16(16):2010-6. doi: 10.3748/wjg.v16.i16.2010.
6. Ehrenpreis ED, Parakkal D, Semer R, Du H. Renal risks of sodium phosphate tablets for colonoscopy preparation: a review of adverse drug reactions reported to the US Food and Drug Administration. Colorectal Dis. 2011 Sep;13(9):e270-5. doi: 10.1111/j.1463-1318.2011.02679.x.
7. Sica DA, Carl D, Zfass AM. Acute phosphate nephropathy-an emerging issue. Am J Gastroenterol . 2007 Sep;102(9):1844- 7.
8. Gumurdulu Y, Serin E, Ozer B, Gokcel A, Boyacioglu S. Age as a predictor of hyperphosphatemia after oral phosphosoda administration for colon preparation. J Gastroenterol Hepatol. 2004 Ene;19(1):68-72.
9. Abaskharoun R, Depew W, Vanner S. Changes in renal function following administration of oral sodium phosphate or polyethylene glycol for colon cleansing before colonoscopy. Can J Gastroenterol. 2007 Abr;21(4):227-31.
10. Brunelli SM, Lewis JD, Gupta M, Latif SM, Weiner MG, Feldman HI. Risk of kidney injury following oral phosphosoda bowel preparations. J Am Soc Nephrol. 2007 Dic;18(12):3199-205.
11. Russmann S, Lamerato L, Marfatia A, Motsko SP, Pezzullo JC, Olds G, et al. Risk of impaired renal function after colonoscopy: a cohort study in patients receiving either oral sodium phosphate or polyethylene glycol. Am J Gastroenterol . 2007 Dic;102(12):2655-63.
12. Lieberman DA, Ghormley J, Flora K. Effect of oral sodium phosphate colon preparation on serum electrolytes in patients with normal serum creatinine. Gastrointest Endosc. 1996 May;43(5):467-9.
13. Gonlusen G, Akgun H, Ertan A, Olivero J, Truong LD. Renal failure and nephrocalcinosis associated with oral sodium phosphate bowel cleansing: clinical patterns and renal biopsy findings. Arch Pathol Lab Med. 2006 Ene;130(1):101-6.
14. Desmeules S, Bergeron MJ, Isenring P. Acute phosphate nephropathy and renal failure. N Engl J Med. 2003 Sep 4;349(10):1006-7.
15. Beloosesky Y, Grinblat J, Weiss A, Grosman B, Gafter U, Chagnac A. Electrolyte disorders following oral sodium phosphate administration for bowel cleansing in elderly patients. Arch Intern Med. 2003 Abr 14;163(7):803-8.
16. Markowitz GS, Perazella MA. Acute phosphate nephropathy. Kidney Int. 2009 Nov;76(10):1027-34.
17. Adamcewicz M, Bearelly D, Porat G, Friedenberg FK. Mechanism of Action and Toxicities of Purgatives Used for Colonoscopy Preparation. Expert Opin Drug Metab Toxicol. 2011 Ene;7(1):89-101.
18. Joo WC, Lee SW, Yang DH, Han JY, Kim MJ. A case of biopsy-proven chronic kidney disease on progression from acute phosphate nephropathy. Kidney Res Clin Pract. 2012 Jun;31(2):124-7.
19. Chevarría J, de Arriba G. Nephroprevention in acute phosphate nephropathy. Kidney Int . 2010;77:646. doi:10.1038/ki.2009.533.