Reporte de caso
Nefritis túbulo intersticial por leflunomida
Nephritis Tubule Interstitial for Leflunomide
Nefritis túbulo intersticial por leflunomida
Revista Colombiana de Nefrología, vol. 3, núm. 2, pp. 132-136, 2016
Asociación Colombiana de Nefrología e Hipertensión Arterial
Recepción: 16 Mayo 2016
Aprobación: 22 Agosto 2016
Resumen: La asociación entre compromiso renal como nefritis túbulo intersticial y el uso de leflunomide no está descrito en la literatura, pues en la medida en que este medicamento no es reconocido como nefrotóxico, no se realiza seguimiento de la función renal bajo su uso. Presentamos el caso de una paciente que ingresó al Hospital Universitario Clínica San Rafael por síntomas clínicos inespecíficos y deterioro rápido de la función renal. Tras descartar las principales causas fue llevada a biopsia renal, y se comprobó la presencia de nefritis túbulo intersticial severa. En ese momento el único agente exposicional era leflunomida. Con posterioridad a la suspensión del medicamento se evidenció la recuperación completa de la función renal. Es nuestra intención exponer este caso con el fin de llamar la atención sobre la relación entre el uso de leflunomida y nefrotoxicidad, y de tal forma promover la documentación de casos similares.
Palabras clave: Nefritis túbulo intersticial, leflunomida.
Abstract: The link between renal Tubule Interstitial Nephritis and the use of Leflunomide has not been described in the literature yet, this drug is not recognized as a nephrotoxic; therefore tracking renal function is not usually performed. We report the case of a patient admitted to the University Hospital of Clinic San Rafael by non-specific clinical symptoms and rapid deterioration of renal function. After ruling out the usual causes, we performed a renal biopsy, documenting the presence of severe tubule interstitial nephritis. By the time the use of Leflunomide was the only unusual precedent. After we suspended the treatment, the patient showed full recovery of the renal function. It is our intention to describe this case to highlight the connection between renal Tubule Interstitial Nephritis and the use of Leflunomide in order to promote keeping track of similar cases.
Keywords: Nephritis, Tubule Interstitial, Leflunomide.
Introducción
La leflunomida es un agente inmunomodulador no citotóxico, inhibidor de la síntesis de novó de las pirimidinas, por lo que finalmente la sustancia bloquea la expansión clonal de los linfocitos T1-5.
Las guías de práctica clínica de artritis reumatoide recomiendan el uso de leflunomida como alternativa al tratamiento con metotrexate en pacientes con dicha enfermedad. La dosis usual es de 20 mg/día o 100 mg/semana para los pacientes con esta patología; su uso se soporta en publicaciones y guías de manejo internacionales11-15.
Las principales reacciones adversas descritas en pacientes bajo el uso de leflunomida, en más del 10 % de los casos, son: cefalea, alopecia, diarrea, náuseas, e infección del tracto respiratorio; se describen, además, otras reacciones menos frecuentes como falla hepática; sin embargo, dentro de estas no se encuentra el reporte de efectos adversos a nivel renal, como nefritis túbulo intersticial11,15-18.
Descripción del caso
Se trata de una paciente de género femenino, 50 años de edad, con antecedente de artritis reumatoide diagnosticada hace 10 años, en tratamiento inicial con metotrexate, sulfasalazina, cloroquina, prednisona y aines ocasional, por dolor. En seguimiento por su patología reumatológica, el último control realizado hace ocho meses mostró inactividad de la enfermedad, y una función renal de la misma fecha en rango normal (creatinina de 0,7 mg/dl). Por indicación del reumatólogo se suspendió el tratamiento previo y se inició tratamiento con leflunomida en una dosis de 20 mg al día; desde entonces la paciente afirma que consumió en dos oportunidades aines por dolor, la última vez hace cuatro meses.
Ingresó al hospital con un cuadro clínico de tres meses de evolución consistente en sensación vertiginosa, náuseas, pérdida involuntaria de 10 kilogramos de peso; un mes antes de ser recibida por nuestro servicio, la paciente independientemente se realizó exámenes de forma ambulatoria en los que llama la atención los siguientes resultados: (i) creatinina de 3,7 mg/dl, y (ii) parcial de orina con proteínas 100mg/dl, leucocitos 20 xc, sin hematuria. Por persistencia de síntomas, consulta a nuestra institución. La paciente presentó los siguientes signos vitales: FC 84 LPM, FR 19 RPM, TA 120/75 mmHg, T 36,6 °C, SatO2 94 % con FIO2 al 21 %, sin hallazgos relevantes en el examen físico. A su ingreso se realizaron nuevos exámenes de laboratorio, con creatinina de 4,7 mg/dl, BUN 59,2 mg/dL, parcial de orina densidad 1.015, pH 6, proteínas 100 md/dl, glucosa 50 mg/dl, leucocitos 11/CPA, sin hematuria, hemograma con leucocitos 11500, neutrófilos 65 %, linfocitos 26 %, hemoglobina 12.6 d/dl, hematocrito 37 %, VCM 76,5 fL, HCM 36,5 pg, RDW 14,8 %, plaquetas 360000, sodio 140 mmol/L, potasio 4,4 mmol/L, cloro 111 mmol/L.
Valorada por este servicio de nefrología, por el rápido deterioro de la función renal, con uroanálisis en el que se evidencia sedimento activo, se decidió completar estudios. Como único antecedente de importancia en este momento de la evolución era el uso de leflunomida, razón por la cual se prescribió la suspensión del medicamento, y se empezó a suministrar prednisona en dosis de 1 mg/ kg. Luego se realizaron exámenes adicionales que mostraron los siguientes resultados: calcio iónico 1,21 mmol/L, fósforo 4,1 mg/dL, PTH 124,2 pg/ml, ácido úrico 4,4 mg/dL, albúmina 4 g/dL, glucosa 104 mg/dl, ANAS positivos 1/160 patrón moteado, anti DNA negativo, anti LA negativo, anti RO negativo, anti SM negativo, anti RNP negativo, C3 y C4 normales, C anca negativo, P anca positivo 1/80; hepatitis B, hepatitis C, VIH y VDRL negativos. La ecografía renal mostró riñones de tamaño normal (riñón derecho 107 x 37 x 39 mm, parénquima de 15 mm; riñón izquierdo 107 x 37 x 38 mm, parénquima de 13 mm, adecuada diferenciación cortico-medular), por lo que se realizó biopsia de este órgano. Durante los ocho días siguientes se evidenció azoados en descenso (Figura 1).

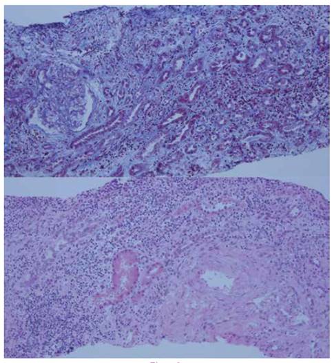
La biopsia renal confirmó diagnóstico histopatológico de nefritis tubulointersticial (NTI) con componente inflamatorio agudo (Figura 2).
Discusión
La leflunomida, agente inmunomodulador no citotóxico, es una sustancia profármaco que tras su metabolismo hepático pasa a teriflunomida, es decir, un inhibidor selectivo y reversible de la dihidroorotato deshidrogenasa, enzima que participa en la formación de uridinmonofosfato, elemento esencial en la síntesis de novó de las pirimidinas. Estas son un componente básico para completar el ciclo celular de los linfocitos T activados, por lo que finalmente la leflunomida bloquea la expansión clonal de estos linfocitos1-5.

El mecanismo previamente mencionado no explica totalmente sus efectos antiinflamatorios, analgésicos, inmunorreguladores y antiproliferativos, por lo que además se han descrito otros mecanismos de acción como: 1. Inhibición de la adhesión leucocitaria al endotelio vascular y de la producción de metaloproteasas y citoquinas (principalmente factor de necrosis tumoral alfa, factor nuclear kappa, e interleuquina 1), 2. Inhibición de la tirocinasa en los linfocitos T activados lo que bloquea la producción de anticuerpos por los linfocitos B y ocasiona menor proliferación celular, 3. Disminución de la expresión de las moléculas de adhesión (ICAM-1 y VCAM-1), 4. Inhibición de la 5 lipooxigenasa y ciclooxigenasa 2, 5. Inhibición de la glucosilacion de membranas6-10.
La nefritis túbulo intersticial (NTI) es una lesión renal que causa disminución aguda del aclaramiento de la creatinina, se presenta clínicamente con síntomas inespecíficos como náusea, vómito, malestar general, o incluso el paciente puede estar asintomático. Los exámenes paraclínicos muestran un aumento de creatinina, eosinofilia y eosinofiluria, sedimento urinario activo y un grado variable de proteinuria que puede hasta situarse en rango nefrótico. La biopsia renal se caracteriza por infiltrado inflamatorio en el intersticio renal. De acuerdo con la literatura revisada la principal causa de NTI son los fármacos (hasta el 75 % de los casos); virtualmente cualquier medicamento puede causar NTI aguda; sin embargo, solo algunos se han asociado a esta patología, pero los fármacos más frecuentementes vinculados son los antibióticos como meticilina, penicilinas, rifampicina, y sulfonamidas. Y el otro grupo frecuentemente asociado son los antinflamatorios no esteroideos incluyendo los inhibidores selectivos de la cicloxigenasa-2. Las otras causas descritas son: infecciones (4-10 %), síndrome de nefritis túbulo intersticial con uveítis (5-10 %), y enfermedades autoinmunes o sistémicas, entre 10 y 20 % de los casos (sarcoidosis, síndrome de Sjogren, y lupus eritematoso sistémico). Estas causas deben ser estudiadas una vez se realiza la confirmación histopatológica19-23.
Durante la búsqueda en la literatura se encontró la descripción de dos casos de reacciones adversas renales asociadas al uso de leflunomida. La primera se trata de una paciente de género femenino de 36 años con artritis seronegativa, tratada con leflunomida 20 mg y que después de iniciar la medicación se documenta acidosis tubular renal. Y el segundo caso refirió un hombre de 70 años, con diagnóstico de artritis reumatoide, que presenta nefritis túbulo intersticial asociada a una dosis elevada de leflunomida (equivalente a 34 mg/día). Esta búsqueda no encontró ningún caso de nefritis túbulo intersticial con la dosis recomendada de leflunomida24,25.
El caso presentado genera un reto diagnóstico, dada la ausencia de descripciones en la literatura del compromiso renal por este medicamento y la evolución satisfactoria de la paciente cuando se le suspendió. Consideramos compartir nuestra experiencia como un aporte importante para crear una base de casos sobre la relación entre la NTI y un agente etiológico hasta el momento no descrito.
Responsabilidades éticas
Protección de personas y animales. Los autores declaran que para esta investigación no se han realizado experimentos en seres humanos ni en animales.
Confidencialidad de los datos. Los autores declaran que en este artículo no aparecen datos de pacientes.
Derecho a la privacidad y consentimiento informado. Los autores declaran que en este artículo no aparecen datos de pacientes.
Conflicto de interés
Los autores declaran no tener conflicto de interés.
Referencias bibliográficas
1. Greene S, Watanabe K, Braatz-Trulson J. Inhibition of dihydroorotate dehydrogenase by the immunosuppressive agent leflunomide. Biochem Pharmacol. 1995; 50(6): 861-7.
2. Rückemann K, Fairbanks LD, Carrey EA, et al. Leflunomide inhibits pyrimidine de novo synthesis in mitogen-stimulated T lymphocytes from healthy humans. J Biol Chem. 1998; 273(34): 21682-91.
3. Cherwinski HM, Cohn RG, Cheung P, et al. The immunosuppressant leflunomide inhibits lymphocyte proliferation by inhibiting pyrimidine biosynthesis. J Pharmacol Exp Ther. 1995; 275(2): 1043-9.
4. Williamson RA, Yea CM, Robson PA, et al. Dihydroorotate dehydrogenase is a target. Transplant Proc. 1996; 28(6): 3088-91.
5. RI F. Mechanism of action of leflunomide in rheumatoid arthritis. J Rheumatol. 1998; 25(53): 20-6.
6. Xu X, Williams JW, Bremer EG, Finnegan A CA. Inhibition of protein tyrosine phosphorylation in T cells by a novel immunosuppressive agent, leflunomide. J Bio Chem. 1995; 270: 12398-12403.
7. Siemasko KF, Chong AS.F, Williams JW, et al. Regulation of B cell function by the immunosuppressive agent leflunomide. Trasplantation. 1996; 61: 35-641.
8. Kraan MC, Reece RJ, Barg EC, et al. Expression of ICAM-1 and MMP-1 in rheumatoid synovial tissue after treatment with leflunomide or methotrexate. Arthritis Rheum. 1999; 42: 162.
9. Hamilton LC, Vojnovic I WT. A771726, the active metabolite of leflunomide, directly inhibits the activity of cyclo-oxygenase-2 in vitro and in vivo in a substrate-sensitive manner. Br J Pharmacol. 1999; 127(7): 1589-1596.
10. Weithmann KU, Jeske S S V. Effect of leflunomide on constitutive and inducible pathways of cellular eicosanoid generation. Agents Actions. 1994; 41(3-4): 164-70.
11. B R. Clinical Experience With Leflunomide in Rheumatoid Arthritis. J Rheumatol . 1998; 53: 27-32.
12. Essalud. Guía de práctica clínica para la detección temprana, diagnóstico y tratamiento de la artritis reumatoide. Minist Protección Soc. 2004; 1-50.
13. Popovic M, Stefanovic D, Pejnovic N, et al. Comparative study of the clinical efficacy of four DMARDs (leflunomide, methotrexate, cyclosporine, and levamisole) in patients with rheumatoid arthritis. Transpl Proc. 1998; 30(8): 4135-6.
14. Singh JA, Furst DE, Bharat A, et al. Update of the 2008 American College of Rheumatology (ACR) Recommendations for the use of Disease-Modifying AntiRheumatic Drugs and Biologics in the treatment of Rheumatoid Arthritis (RA). Arthritis Care Res. 2012; 64(5): 625-39.
15. Smolen JS, Kalden JR, Scott DL, et al. Efficacy and safety of leflunomide compared with placebo and sulphasalazine in active rheumatoid arthritis: a double-blind, randomised, multicentre trial. Lancet. 1999; 23(353(9149)): 259-66.
16. Baede M. Arava (leflunomide) [product characteristics]. Fourth Assess Rep 2007 [Internet]. 1990; mixi: 941-54. Available from: http://www.ipcc.ch/publications_and_data/publications_and_data_reports.shtml. Ùltima fecha de consulta 13 de marzo de 2016.
17. Sanofi-aventis Canada Inc. 2015, January. Arava (leflunomide) Antirheumatic, Immunomodulator Agent [product monograph]. Laval, Quebec CS-ACI. Sanofi 2015.
18. Sanofi-aventis U.S. LLC. 2011. Arava (leflunomide) [prescribing information]. Bridgewater(Massachusetts), NJ 08807. Sanofi-aventis U.S. LLC.
19. Rossert JA FE. Acute interstitial nephritis. In: Limited E, editor. Comprehensive Clinical Nephrology. Philadelphia: Elsevier; 2003. p. 769.
20. Ten RM, Torres VE, Milliner DS, et al. Acute interstitial nephritis: immunologic and clinical aspects. Mayo Clin Proc. 1988; 63(9): 921.
21. Michel DM KC. Acute interstitial nephritis. J Am Soc Nephrol. 1998; 9(3): 506-15.
22. J R. Drug-induced acute interstitial nephritis. Kidney Int. 2001; 60(2): 804-17.
23. Praga M GE. Acute interstitial nephritis. Kidney Int . 2010; 77(11): 956-61.
24. Evans SJ, Webb D, Lawson TM, et al. Renal tubular acidosis associated with leflunomide. Rheumatology [Internet]. 2007; 46(6): 1040. Available from: http://www.rheumatology.oxfordjournals.org/cgi/doi/10.1093/rheumatology/kem044. Última fecha de consulta 13 de marzo de 2016.
25. Hayda A, Hujair N, Kirkha B, et al. Chronic overdose of leflunomide inducing interstitial nephritis. Nephrol Dial Transpl. 2004; 19: 1334-5.
Notas