Reporte de caso
Vasculitis ANCA y esclerosis sistémica
Vasculitis ANCA and Systemic Scleroderma
Vasculitis ANCA y esclerosis sistémica
Revista Colombiana de Nefrología, vol. 3, núm. 2, pp. 137-142, 2016
Asociación Colombiana de Nefrología e Hipertensión Arterial
Recepción: 16 Mayo 2016
Aprobación: 22 Septiembre 2016
Resumen: La esclerosis sistémica es una enfermedad autoinmune de etiología incierta que se caracteriza por la inflamación y fibrosis de la piel y de múltiples órganos. Quienes la padecen pueden experimentar complicaciones renales severas y de carácter amenazante para la vida, o de un curso insidioso y benigno. Así, el compromiso más frecuente es la crisis renal esclerodérmica, que se presenta en 5-10 % de los casos, requiere tratamiento con hipotensores y empeora con el uso de esteroide. Las vasculitis asociadas a ANCA son enfermedades que pueden afectar tracto respiratorio, riñón, piel, corazón y sistema nervioso y requieren de tratamiento con esteroide y citostáticos. La asociación entre vasculitis pauciinmune y esclerosis sistémica es infrecuente: 1,6 % en una cohorte de 35 pacientes, pero acarrea compromiso severo de la función renal, incluso con probable requerimiento de diálisis e intercambio plasmático, en el tratamiento es prioritario el inicio de inmunosupresores, pues de ello dependerá la evolución y el pronóstico de la enfermedad. Se describe el caso clínico de una mujer de 59 años con esclerosis sistémica, que presentando glomerulonefritis rápidamente progresiva, se descartó crisis renal esclerodérmica y luego se documentó vasculitis pauciinmune asociada a p-ANCA, por lo cual recibió tratamiento inmunosupresor con metilprednisolona y ciclofosfamida, con respuesta inicial favorable; sin embargo, como tuvo recaída severa, durante el seguimiento se decidió cambiar esquema de inducción a Rituximab, con lo que presentó remisión completa. Dado lo infrecuente de esta asociación, tener un alto índice de sospecha diagnóstica es fundamental.
Palabras clave: Vasculitis asociada con anticuerpos citoplasmáticos antineutrófilos, esclerodermia sistémica, rituximab, ciclofosfamida, enfermedades renales.
Abstract: Systemic sclerosis (SSc) is an autoimmune disorder with microvascular endothelial cell apoptosis, excessive extracellular matrix protein and perivascular infiltration of mononuclear cells in the skin, producing damage and progressive fibrosis of the skin and visceral organs (lungs, heart and kidney). The most common renal diseases linked with SSc is renal scleroderma crisis, which is found in 5 to10% of the cases. ANCA associated vasculitis also has been described but less frequent. It can affect multiple organs and become life-threatening condition. The association between paucity-immune vasculitis and systemic sclerosis is uncommon 1.6% in a cohort of 35 patients. It could lead to severe renal dysfunction including renal replacement therapy and plasma exchange as part of the treatment. Early and timely treatment it is essential for the prognosis of the diseases. We present this rare association and our experiences highlighting the successful evolution due to early diagnosis and treatment. A 59 years old woman with systemic sclerosis who showed a rapidly progressive glomerulonephritis caused by to paucity-immune vasculitis associated with p-ANCA. We dismissed scleroderma crisis and renal biopsy confirmed the diagnosis. We start prednisolone and cyclophosphamide, with a favorable initial response, however, during the follow-up the patient had severe relapse, and therefore we decided to switch to Rituximab induction. After we performed the treatment the patient evolved favorably, included complete remission of the disease. We show you the rare association between paucity-immune vasculitis and systemic sclerosis, and the excellent response taking account an early diagnosis and therapy.
Keywords: Anti-neutrophil cytoplasmic antibody-associated vasculitis kidney diseases, scleroderma, systemic, rituximab, cyclophosphamide, kidney diseases.
Introducción
La esclerosis sistémica es una enfermedad autoinmune de etiología desconocida, que afecta predominantemente a las mujeres, tiene una incidencia de 10-43 casos/millón de personas/año y su prevalencia es de alrededor 56341 casos/millón de personas1; se caracteriza por vasculopatía y fibrosis progresiva de la piel y órganos internos2,3. Las alteraciones fisiopatológicas encontradas son: daño endotelial, proliferación de la íntima, activación plaquetaria y estrechamiento de las arteriolas renales, lo que genera disminución de la perfusión renal, hiperplasia del aparato yuxtaglomerular, hiperreninemia e hipertensión acelerada. En la histopatología a nivel glomerular, se describen trombos de fibrina intracapilares, edema endotelial y fragmentación de glóbulos rojos; a nivel vascular se encuentran trombos de fibrina y edema de la mucosa intimal, característicamente hablando no hay células inflamatorias (linfocitos y monocitos)1. Las manifestaciones clínicas son: astenia, cefalea, convulsiones, encefalopatía, visión borrosa, edema pulmonar, microangiopatía trombótica e hipertensión acelerada, que lleva a lesión renal, entre otras. La mayoría de pacientes con esclerosis sistémica tienen función renal normal, pero se presentan alteraciones en 26 % de los casos, y de amplio espectro: desde un curso insidioso y benigno hasta la experimentación de complicaciones que pueden ser severas y amenazantes para la vida4,5,1. El compromiso renal más frecuente es la crisis renal esclerodérmica, que en 5-10 % de los casos2 requiere de tratamiento con hipotensores y puede empeorar con el uso de moderadas a altas dosis de esteroide6.
La glomerulonefritis rápidamente progresiva (GMNRP) es un complejo sindromático, caracterizado por falla renal que avanza durante el lapso de pocas semanas a meses y que se asocia a hallazgos urinarios como proteinuria, hematuria, cilindros hemáticos y, cilindros granulares. Sin tratamiento la mayoría de pacientes progresa a enfermedad renal crónica estadio 5. El diagnóstico se confirma en la biopsia renal, con la presencia de glomerulonefritis necrotizante crescéntica. Se clasifica en tres tipos, dependiendo de los hallazgos en la inmunofluorescencia: tipo 1 depósitos lineales (enfermedad antimembrana basal glomerular y síndrome de Goodpasture), tipo 2 depósitos granulares (lupus eritematoso sistémico, crioglobulinemia, glomerulonefritis postinfecciosa, nefropatía por IgA), y tipo 3 patrón pauciinmune (granulomatosis con poliangiitis, poliangiitis microscópica y granulomatosis eosinofílica con poliangiitis), este último habitualmente con positividad para ANCA7.
La causa más frecuente de GMNRP es el tipo 3; las vasculitis asociadas a anticuerpos contra el citoplasma de los neutrófilos (ANCA) (VAA) son enfermedades que se clasifican en localizadas o sistémicas, estas últimas pueden afectar tracto respiratorio, riñón, piel, corazón y sistema nervioso. El tratamiento está dirigido a frenar la respuesta inmunológica y controlar el proceso inflamatorio, buscando disminuir el daño orgánico. Se divide en fase de inducción de remisión y mantenimiento. El pilar del manejo es el esteroide, indicado en casos de afección orgánica que amenace la vida, por ejemplo, GMNRP y hemorragia alveolar, acompañado de ciclofosfamida o rituximab8,9,10. El intercambio plasmático terapéutico debe ser considerado para pacientes con VAA y creatinina sérica mayor de 5,7 mg/dL debida a GMNRP en el debut o en recaída (recomendación 1B), y puede utilizarse en pacientes con hemorragia alveolar (recomendación 3)9. La fase de mantenimiento inicia luego de alcanzar la remisión y puede realizarse con azatioprina o con rituximab11.
Es una entidad que si no se atiende, puede incluso llevar a la muerte. La respuesta al tratamiento se evalúa con el índice de actividad BVAS (Birmingham vasculitis activity score)12 por tanto, la refractariedad se define como: la ausencia de cambio o el aumento en la actividad después de cuatro semanas con terapia estándar; la pérdida de respuesta está definida como reducción menor al 50 % en el índice de actividad (BVAS) después de seis semanas de tratamiento, o la persistencia de enfermedad, pese a 12 semanas de terapia9. Las VAA tienden a recaer, incluso después de años de haber logrado remisión.
La asociación entre vasculitis pauciinmune y esclerosis sistémica es infrecuente: 1,6 % en una cohorte de 35 pacientes13; sin embargo, acarrea compromiso severo de la función renal, e implica peor pronóstico. Se presenta predominantemente entre la quinta y sexta década de la vida, con edad promedio de 57 años y una relación hombre: mujer de 1:4. La duración promedio de la enfermedad antes de la aparición de la vasculitis es de nueve años. La mayoría de los pacientes que manifiestan esta presentación sufren de la variante difusa 57 % mientras 38 %, de la variante limitada de la esclerosis sistémica14, y hay algunos casos reportados asociados con el uso de D-penicilamina, aines, falla cardiaca e hipertensión pulmonar15.
La mortalidad en los casos con compromiso renal es alrededor de 39,4 %; la gran mayoría ocurre dentro del primer año, debido principalmente a procesos infecciosos14, hemorragia alveolar o intracraneal por coagulopatía, falla cardiaca aguda y arritmias cardiacas4. Esto difiere completamente de las tasas de supervivencia de los pacientes con esclerosis sistémica sin compromiso renal (70 a 80 % a 7 años)14. No existe recomendación específica para el tratamiento de las VAA asociadas con esclerodermia, por lo que se utiliza la terapia inmunosupresora habitual (esteroide, ciclofosfamida). Evidencia reciente indica que los linfocitos B tienen un papel muy importante en las VAA, por lo que el uso de anticuerpos anti CD 20 resulta eficaz en esta entidad16,17. Nos permitimos presentar un caso inusual de VAA en una paciente con esclerodermia, con refractariedad a ciclofosfamida y respuesta al manejo con rituximab.
Descripción del caso
Paciente de 54 años de género femenino, con antecedente de esclerodermia difusa e hipertensión pulmonar moderada diagnosticadas hace 15 años, quien recibió tratamiento con losartán 50 mg/día, sildenafil 50 mg/día, atorvastatina 20 mg/día y colchicina. Nunca estuvo expuesta a D-penicilamina. Consultó por 15 días de malestar general, astenia, adinamia, emesis postprandial, dolor abdominal inespecífico irradiado a la región lumbar y hematuria macroscópica sin síntomas irritativos urinarios, ni fiebre. Al ingreso registró PA 112/83mmHg, FC 66 latidos por minuto, FR 21 respiraciones por minuto, saturación 02 96 %, con limitación para la apertura oral, piel acartonada, esclerodactilia e hipocratismo digital, sin edemas ni otros hallazgos al examen físico.
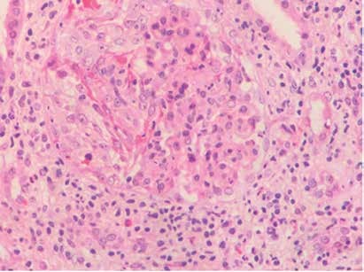
Los paraclínicos de ingreso mostraron hemograma con leucocitos 6410/uL, hemoglobina 9,8 g/dL, hematocrito 29,7 % plaquetas 244700/uL, uroanálisis con proteinuria de 300 mg/dL, hematíes incontables dismórficos y leucocitos de 9-12 x campo; creatinina 5 mg/dL que aumentó a 5,5 mg/dL, con previa en 1,2 mg/dL (dos meses atrás), proteinuria 3 gramos/24 horas, complemento C3 y C4 normal, perfil de hemólisis negativo, frotis de sangre periférica sin esquistocitos, ANAS 1/1280 patrón moteado, antígeno de superficie para hepatitis B negativo, Elisa para VIH negativo, anticuerpos para virus de hepatitis C negativos y positividad para p-ANCA (1/640), c-ANCA negativos, anticuerpos antimembrana basal glomerular negativos; ecografía renal y de vías urinarias y doppler de vasos renales normal. Se hizo diagnóstico clínico de glomerulonefritis rápidamente progresiva, y se solicitó biopsia renal, que mostró glomerulonefritis necrotizante, medias lunas celulares en 19 de 34 glomérulos evaluados, nefritis túbulo-intersticial 80 %, fibrosis y atrofia tubular 20 %, e inmunofluorescencia negativa (Figura 1); se calculó BVAS (Birmingham vasculitis activity score) en 20, lo que indicaba actividad severa.

Como las presiones arteriales permanecieron normales, se descartó crisis renal asociada con escleroderma y se inició tratamiento inductor de inmunosupresión con metilprednisolona 500 mg/día en fase celular, nefritis tubulointersticial de predominio mononuclear por tres días, seguido de prednisolona 1 mg/kg/día con descenso gradual y ciclofosfamida endovenosa 12,5 mg/kg/mes8. No requirió terapia de reemplazo renal ni de intercambio plasmático. Presentó evolución clínica favorable con descenso progresivo de creatinina hasta 2,1 mg/dL y descenso de BVAS a 10. Durante el seguimiento la proteinuria incrementó a 9 g/24 horas, persistió con hematuria y el BVAS ascendió nuevamente a 20, pese a la aplicación de cinco dosis de ciclofosfamida. Se hace diagnóstico de enfermedad refractaria9,18 y se cambia de esquema a rituximab 375 mg/m2 SC semanal por cuatro semanas; se realizó PPD en 0mm y se adicionó profilaxis para Pneumocystis jirovecii con trimetoprim sulfa.
Luego de dos meses de completar la inducción con rituximab, los paraclínicos mostraron creatinina de 1,2 mg/dL, el uroanálisis con sedimento urinario se presentó normal y la proteinuria descendió a 700 mg/24 horas, con BVAS de 0 y p-ANCA negativos, cumpliendo los criterios de remisión completa. En la actualidad continúa tratamiento de mantenimiento con rituximab11 para administrar los meses 6, 12 y 18. Acusó un episodio de herpes zóster intercostal, que respondió al tratamiento con Aciclovir; no ha presentado hemorragia alveolar y se encuentra libre de síntomas en la actualidad.
Conclusiones
Este caso es ejemplo de una patología que supone un reto diagnóstico por la asociación infrecuente entre estas dos entidades3,13. Teniendo en cuenta la epidemiología de la enfermedad y la forma de presentación clínica, se descartó crisis renal esclerodérmica, paso fundamental, dado que el uso de esteroides en esos casos puede ser deletéreo6, contrario a lo que sucede con las vasculitis, donde es la piedra angular del tratamiento de inducción y mantenimiento. El inicio temprano influye en la evolución y el pronóstico de la enfermedad19. La utilización de la escala BVAS para el seguimiento es de gran utilidad, la meta con el tratamiento es obtener un puntaje de 0. En dicho caso no se utilizó terapia de recambio plasmático, dado que no presentó creatinina mayor a 5,7 mg/dL, no requirió diálisis ni tuvo hemorragia alveolar. En casos como este, con refractariedad al tratamiento inmunosupresor convencional, el rituximab es una herramienta segura y eficaz16 que puede ser utilizada tanto en la fase de inducción como en la de mantenimiento10,20 y que ha demostrado tasas de inducción de remisión similares a las de ciclofosfamida, con un adecuado perfil de seguridad.
Debe mantenerse alto índice de sospecha diagnóstica para la detección temprana de entidades clínicas como esta.
Responsabilidades éticas
Protección de personas y animales. Los autores declaran que para esta investigación no se han realizado experimentos en seres humanos ni en animales.
Confidencialidad de los datos. Los autores declaran que en este artículo no aparecen datos de pacientes.
Derecho a la privacidad y consentimiento informado. Los autores declaran que en este artículo no aparecen datos de pacientes.
Conflicto de interés
Los autores declaran no tener conflicto de interés.
Referencias bibliográfícas
1. Bose N, Chiesa-Vottero A, Chatterjee S. Scleroderma renal crisis. Semin Arthritis Rheum. 2015; 44(6): 687-694. doi: 10.1016/j.semarthrit.2014.12.001.
2. Arad U, Balbir-Gurman A, Doenyas-Barak K, Amit-Vazina M, Caspi D, Elkayam O. Anti-Neutrophil Antibody Associated Vasculitis in Systemic Sclerosis. Semin Arthritis Rheum . 2011; 41(2): 223-229. doi:10.1016/j.semarthrit.2010.11.001.
3. Omair MA, Mohamed N, Johnson SR, Ahmad Z, Lee P. ANCA-associated vasculitis in systemic sclerosis report of 3 cases. Rheumatol Int. 2013; 33(1): 139-143. doi: 10.1007/s00296-011-2359-z.
4. Denton CP, Lapadula G, Mouthon L, Müller-Ladner U. Renal complications and scleroderma renal crisis. Rheumatology. 2009; 48 Suppl 3: iii32-5. doi: 10.1093/rheumatology/ken483.
5. Denton CP, Black CM. Scleroderma--clinical and pathological advances. Best Pract Res Clin Rheumatol. 2004; 18(3): 271-290. doi:10.1016/j.berh.2004.03.001.
6. Trang G, Steele R, Baron M, Hudson M. Corticosteroids and the risk of scleroderma renal crisis: A systematic review. Rheumatol Int . 2012; 32(3): 645-653. doi: 10.1007/s00296-010-1697-6.
7. Greenhall GHB, Salama AD. What is new in the management of rapidly progressive glomerulonephritis? Clin Kidney J. 2015; 8(2): 143-150. doi:10.1093/ckj/sfv008.
8. Groot K De, Harper L, Jayne DRW, Felipe L, Suárez F, Gregorini G. Pulse Versus Daily Oral Cyclophosphamide for Induction of Remission. Ann Intern Med. 2009; 150(8): 670-680. doi: 10.1007/s00393-009-0509-4.
9. Yates M, Watts RA, Bajema IM, et al. Eular/ERA-EDTA recommendations for the management of ANCA-associated vasculitis. Ann Rheum Dis. 2016: 1-12. doi: 10.1136/.
10. Stone JH, Merkel PA, Spiera R, et al. Rituximab versus Cyclophosphamide for ANCA-Associated Vasculitis. N Engl J Med. 2010; 363(3): 221-232. doi:10.1056/NEJMoa0909905.
11. Guillevin L, Pagnoux C, Karras A, et al. Rituximab versus azathioprine for maintenance in ANCA-associated vasculitis. N Engl J Med . 2014; 371(19): 1771-1780. doi: 10.1056/NEJMoa1404231.
12. Agnes H, Kalman P, Jozsef A, Henrik B, Mucsi I. The birmingham vasculitis activity score (BVAS) predicts all cause mortality in patients with ANCA associated vasculitis. Nephrol Dial Transplant. 2012; 27: ii378.
13. Derrett-Smith EC, Nihtyanova SI, Harvey J, Salama AD, Denton CP. Revisiting ANCA-associated vasculitis in systemic sclerosis: clinical, serological and immunogenetic factors. TL-52. Rheumatology (Oxford). 2013; 52 VN-r(10): 1824-1831. doi: 10.1093/rheumatology/ket213.
14. Zurita P, Martin S, Urrego C, et al. Vasculitis ANCA positivo en un paciente con esclerosis sistémica. Reum Clin. 2013; 9(1): 72-74. doi: 10.1007/s00296-011-2359-z.Pablo.
15. Bienaimé F, Clerbaux G, Plaisier E, Mougenot B, Ronco P, Rougier JP. d-Penicillamine-Induced ANCA-Associated Crescentic Glomerulonephritis in Wilson Disease. Am J Kidney Dis. 2007; 50(5): 821-825. doi:10.1053/j.ajkd.2007.05.026.
16. Alba MA, Flores-Suárez LF. Rituximab como terapia de mantenimiento en las vasculitis asociadas a ANCA: ¿cómo, cuándo y por qué? Reumatol Clínica. 2015; 12(1): 39-46. doi: 10.1016/j.reuma.2015.06.002.
17. Cohen Tervaert JW. Rituximab in ANCA-associated vasculitis: a revolution? Nephrol Dial Transplant . 2011; 26(10): 3077-3079. doi: 10.1093/ndt/gfr507.
18. Åhlström A, Kuitunen A, Peltonen S, et al. Comparison of 2 Acute Renal Failure Severity Scores to General Scoring Systems in the Critically Ill. Am J Kidney Dis . 2006; 48(2): 262-268. doi: 10.1053/j.ajkd.2006.04.086.
19. Luqmani RA. State of the art in the treatment of systemic vasculitides. Front Immunol. 2014; 5(Oct): 1-9. doi: 10.3389/fimmu.2014.00471.
20. Guillevin L, Pagnoux C, Karras A, et al. Rituximab versus azathioprine for maintenance in ANCA-associated vasculitis. A prospective study in 117 patients. Presse Med. 2013; 42(4, part 2): 679 [abstract]. doi:10.1056/NEJMoa1404231.
Notas