Reporte de caso
Cistitis enfisematosa. Reporte de un caso
Emphysematous cistitis. A case report
Cistitis enfisematosa. Reporte de un caso
Revista Colombiana de Nefrología, vol. 7, núm. 1, pp. 143-148, 2020
Asociación Colombiana de Nefrología e Hipertensión Arterial
Recepción: 29 Septiembre 2019
Aprobación: 18 Noviembre 2019
Publicación: 08 Febrero 2019
Resumen: La cistitis enfisematosa hace referencia a una entidad infrecuente, generalmente secundaria a infecciones de vías urinarias bajas, que por diferentes mecanismos producen gas alrededor de la vejiga. Esta patología se asocia a gérmenes (E. Coli, Enterobacter Arogenes, y Klebsiella, entre otros), y factores de riesgo como género femenino, edad avanzada y diabetes. Este diagnóstico requiere un manejo oportuno, con antibioticoterapia dirigida y control de comorbilidades asociadas; a continuación, se reporta el caso de un paciente masculino de 81 años, en el hospital de San José de Bogotá, a quien se le diagnostica esta patología, con el respectivo aislamiento microbiológico, factores de riesgo, diagnóstico y manejo instaurado.
Palabras clave: cistitis, diabetes mellitus tipo 2, infecciones urinarias, antibacterianos.
Abstract: The emphysematous cystitis refers to an uncommon entity generally secondary to low urinary tract infections producing gas around the bladder. It is associated with infections by E. Coli, Enterobacter Arogenes, and Klebsiella as well as patient risk factors such as advanced age, diabetics and female gender. The diagnosis requires a timely management as well as directed antibiotic and associated comorbidities control. In the following case report a male patient is described in the hospital of San José de Bogotá in whom this pathology is diagnosed. In the following case report we going to describe etiologies diagnosis and therapy.
Keywords: Cystitis, diabetes mellitus, type 2, urinary tract infections, anti-bacterial agents.
Introducción
La cistitis enfisematosa se caracteriza por la presencia de gas entre la pared y el lumen vesical, se describe como una complicación de las infecciones de la vía urinaria1. Inicialmente se describió en animales hacia el año 19261; posteriormente, hacia el año 1930, se evidencia la presencia de esta patología en reportes de autopsias de pacientes femeninas con diabetes asociada2.
En la cistitis enfisematosa se encuentran como agentes etiológicos más frecuentes E. Coli y Klebsiella Pneumoniae; sin embargo, se han descrito casos con Enterobacter aerogenes, Proteus mirabilis y Streptococcus Spp. El diagnóstico suele ser difícil dado que en muchas ocasiones su presentación es asintomática; sin embargo, clínicamente se pueden presentar escalofríos, dolor en los flancos, fiebre, dolor a la palpación y percusión en el ángulo costovertebral; es de resaltar la asociación de esta patología con la glucosuria, las infecciones complicadas del tracto urinario y la diabetes, siendo esta última el factor de riesgo de mayor frecuencia. En el resultado del uroanálisis es frecuente hallar la presencia de hematuria, piuria y bacteriuria, y en el urocultivo el microorganismo asociado; dada la importancia de evidenciar presencia de gas a nivel vesical, las imágenes tomográficas juegan un rol vital en el diagnóstico de esta entidad. 3 Para el tratamiento, el enfoque antimicrobiano dirigido y el cateterismo vesical hacen parte fundamental del manejo. Debido al alto riesgo de complicaciones que se pueden generar por un diagnóstico tardío, es necesario incluir esta patología dentro de las complicaciones del tracto urinario y tenerla en cuenta como diagnóstico diferencial, aunque su incidencia sea baja; de ahí la importancia del reporte de este caso.
Presentación de caso
Paciente masculino de 81 años, con antecedente de diabetes mellitus de tipo II desde hace 30 años, en manejo ambulatorio con glibenclamida, sin alergias, ni exposición a tóxicos ni antecedentes previos quirúrgicos, quien ingresa a la institución para resección de masa en muslo derecho y posteriormente para estudios histopatológicos de la misma. Procedimiento realizado por cirugía plástica, en el que intraoperatoriamente se evidencia compromiso de planos profundos (hasta el músculo) y compromiso linfático hasta base de los testículos, razón por la cual realizan vaciamiento ganglionar regional; dado el gran defecto de cobertura se decide realizar colgajo de la zona. Posoperatoriamente sin complicaciones adicionales, excepto episodio de retención urinaria, por lo que considera dejar sonda vesical indefinidamente.
Una semana después del posoperatorio el paciente presenta signos clínicos de respuesta inflamatoria sistémica, paraclínicamente con respuesta leucocitaria y elevación de reactantes de fase aguda, razón por la cual en la búsqueda de foco infeccioso documentan signos de infección local a nivel del colgajo, inician antibioticoterapia empírica con cefalosporina de primera generación (cefazolina), realizan cultivos de secreción y se espera evolución clínica. Posterior a tres días la respuesta clínica es de evolución tórpida; se reciben cultivos de secreción del colgajo y herida reportando flora polimicrobiana con rescate de Proteus mirabilis de patrón usual, E. coli patrón de resistencia BLEE (betalactamasas de espectro extendido) y pseudomona aureginosa. En contexto con lo anterior se considera por parte de Cirugía Plástica llevar a desbridamiento y lavado quirúrgico, retirando colgajo. Es valorado por Infectología, donde consideran que los microorganismos aislados son secundarios a estancia hospitalaria, indicando manejo antibiótico con ertapenem y ciprofloxacina durante 14 días.
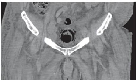
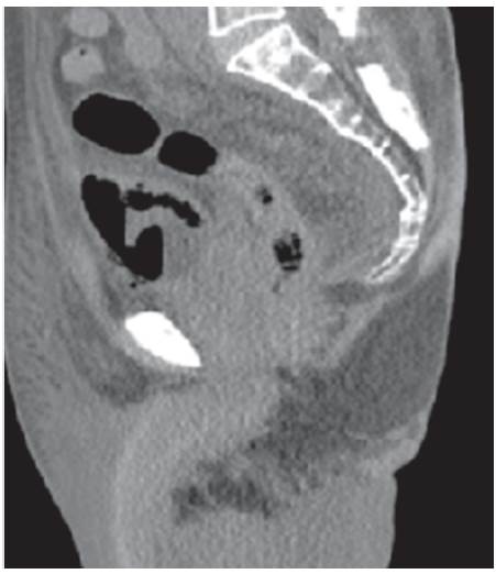
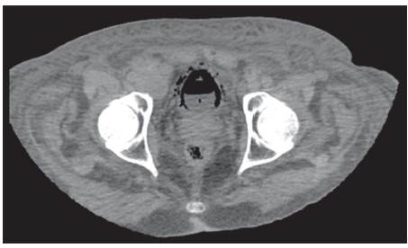
Se recibe reporte de patología, el cual evidencia tumor neuroendocrino tipo células de Merckel; entonces se valora por Oncología, donde indican inicio de quimioterapia ambulatoria, una vez se dé el egreso hospitalario. Una semana después el paciente presenta hematuria franca y oliguria; en estudios de laboratorios evidencian uroanálisis con hematuria, proteinuria en rango nefrótico y sedimento activo, con función renal dentro de parámetros de normalidad. Dados los nuevos hallazgos clínicos y el antecedente de diabetes, se decide solicitar estudios adicionales, descartando por oftalmología retinopatía diabética; adicionalmente el equipo de Nefrología descarta síndrome nefrótico, al evidenciar orina de 0,3 g en 24 horas, hipoalbuminemia y perfil lipídico normal; así mismo la morfología globular se encontraba en el 60% de hematíes eumorfos, descartando glomerulopatías. Investigando el origen de la hematuria, se complementa con estudios anatómicos; en efecto, se inicia con ecografía de vías urinarias que reportan buena diferenciación cortico-medular con riñones conservados de tamaño; posteriormente se solicita UROTAC para observar el tracto urinario bajo, evidenciándose engrosamiento de la pared vesical, gas perivesical como se observa en las imágenes 1, 2 y 3, y con conglomerados ganglionares retroperitoneales, hallazgos compatibles con cistitis enfisematosa.



Dado el hallazgo anterior se solicita urocultivo y baciloscopia en orina para determinar la etiología, y adicionalmente se pide valoración por urología, descartando indicación de manejo quirúrgico. Las baciloscopias seriadas de orina son negativas y en el urocultivo se aisla E. coli patrón BLEE; se indicó continuar manejo antibiótico con ertapenem por 14 días y seguir con sonda vesical; posteriormente cesa hematuria macroscópica y aumento el gasto urinario. En relación con conglomerados ganglionares descritos, se planteó posible compromiso tumoral para posterior seguimiento de forma ambulatoria con servicio de oncología. Ver cuadro paraclínicos.

Discusión
Grupper et al. (2007) 4, en una serie de 53 casos entre 1986 y 2006, describen en cuanto a la cistitis enfisematosa que la mayoría eran mujeres de edad avanzada con diabetes mellitus (62,2%). Los síntomas clásicos de infección del tracto urinario estaban presentes en solo el 53,3% de los casos. La sensibilidad abdominal y la hematuria se observaron en el 65,6 y el 82,3% de los casos, respectivamente. La radiografía simple de abdomen era muy sensible (97,4%), mientras que la tomografía computarizada abdominal era la herramienta de diagnóstico más sensible y específica. Se describió un curso complicado atribuible a la cistitis enfisematosa en el 18,8% de los casos. Se desconoce el mecanismo exacto que contribuye a la formación de gas en tales casos. Se han sugerido varias teorías, incluida la fermentación de glucosa en orina, con énfasis en el desequilibrio entre la formación y la eliminación de gases4.
Aun así se consideran múltiples factores de riesgo en la patogenia de la cistitis enfisematosa: 1) hiperglucemia persistente, que proporciona exceso de glucosa a las bacterias, 2) fragilidad del mecanismo de defensa de la infección debido a la hiperglucemia, 3) disuria debido a la nefropatía diabética y 4) obstrucción del tracto urinario inferior, como infección urinaria refractaria y recurrente, vejiga neurogénica e hiperplasia prostática benigna5.
La cistitis enfisematosa tiene una presentación y curso muy variable, con un potencial considerable de complicaciones. Wang (2010) 6 describe que la cistitis enfisematosa es una enfermedad infecciosa inusual de la vejiga y más del 50% de los casos de cistitis enfisematosa tienen diabetes mellitus; otros factores de riesgo incluyen obstrucción de la salida de la vejiga, vejiga neurogénica y pacientes que reciben terapia de inmunosupresión.
Los síntomas clínicos habituales son fiebre, escalofríos, diarrea, disuria y dolor abdominal bajo. Por lo general, también se observan piuria, hematuria, neumaturia y leucocitosis. E. coli es el organismo causal en la mayoría de los casos, pero también se ha informado de Klebsiella pneumoniae, Enterobacter aerogenes, Enterobacter cloacae, Citrobacter spp, Proteus mirabilis , Acinetobacter baumannii , Corynebacterium genitalium , Staphylococcus aureus, Aspergillus spp y Candida albicans7.
El pronóstico de esta afección es generalmente favorable; sin embargo, se han presentado informes con complicaciones como cistitis necrotizante severa con requerimiento de cistectomía y una tasa de mortalidad del 20%8. Otras complicaciones dadas por diagnóstico tardío pueden ser la ruptura vesical, sepsis y abdomen agudo, e incluso ascenso del proceso inflamatorio a la vía urinaria superior provocando pielonefritis enfisematosa, la cual aumenta la morbilidad y la mortalidad9.
Para el diagnóstico de la CE y para descartar diagnósticos diferenciales como fístula vésicocólica, abscesos intraabdominales, neoplasias adyacentes y pielonefritis enfisematosa, se hace necesario el uso de métodos imagenológicos como la radiografía abdominal convencional simple, la ecografía abdominal y la tomografía computarizada, donde pueda ser evidenciado el gas en la vejiga, el engrosamiento de las paredes vesicales9.
Dado que en la mayoría de los casos los microorganismos gram negativos son los más asociados, la antibioticoterapia empírica inicial debe ir dirigida al cubrimiento de estos, empleando quinolonas o cefalosporinas, y una vez se obtenga el resultado del urocultivo se debe modificar la terapia antibiótica de acuerdo con el antibiograma10.
Adicionalmente la cateterización de la vejiga como terapia es generalmente exitosa, con una tasa de complicaciones inferior al 20%8; al igual que el manejo de las comorbilidades como el control glucémico11, esta estrategia disminuye la mortalidad sin necesidad de intervención quirúrgica y así mismo preserva la función renal. En caso de complicaciones existen otros procedimientos de rescate tales como drenaje percutáneo, implantación de stent ureteral, desbridamiento quirúrgico y cistectomía12.
El caso aquí reportado se correlaciona con lo encontrado en la literatura desde el punto de vista del aislamiento microbiológico que corresponde a una Escherichia coli, aunque el nuestro es una E. Coli con patrón de resistencia a betalactamasas de espectro extendido (BLEE), probablemente por las complicaciones anotadas, como la hospitalización previa para el manejo posoperatorio del colgajo de piel y el uso de antibióticos en dicha hospitalización. También, se correlaciona con la literatura en la presentación del cuadro clínico, el antecedente de diabetes como el factor de riesgo más asociado, y en el abordaje diagnóstico, en el cual se pudo documentar el aire perivesical por medio del UROTAC, que es el examen con mayor sensibilidad y especificidad para el diagnóstico de esta patología.
Referencias
Amano M, Shimizu T. Emphysematous Cystitis: A Review of the Literature. Intern Med. 2014;53(2):79-82. Available from: https://doi.org/10.2169/internalmedicine.53.1121
Mills RG. Cystitis emphysematosa, II report of series of cases in women. JAMA. 1930;94:321-32. Available from: https://doi.org/10.1001/jama.1930.02710310017005
Dekeyzer S, Houthoofd B. Emphysematous Cystitis. J Belg Soc Radiol. 2018;102(1):66. Available from: https://doi.org/10.5334/jbsr.1192
Anders H, Huber T, Isermann B, Schiffer M. CKD in diabetes: diabetic kidney disease versus nondiabetic kidney disease. Nat Rev Nephrol. 2018;14(6):361-77. Available from: https://doi.org/10.1038/s41581-018-0001-y
Perlmutter AE, Mastromichaelis M, Zaslau S. Emphysematous cystitis: a case report and literature review. W V Med J. 2004;100:232-3.
Wang J. Emphysematous Cystitis. Urol Sci. 2010;21(4):185-6. Available from: https://doi.org/10.1016/S1879-5226(10)60041-3
Schicho A, Stroszczynski C, Wiggermann P. Emphysematous cystitis: mortality, risk factors, and pathogens of a rare disease. Clin Pract. 2017;7(2):930. Available from: https://doi.org/10.4081/cp.2017.930
Ahmed N, Sabir S, Khan N. Emphysematous cystitis due to Klebsiella pneumoniae. Ann Saudi Med. 2008;28(1):50-2. Available from: https://doi.org/10.5144/0256-4947.2008.50
Eken A, Alma E. Emphysematous cystitis: The role of CT imaging and appropriate treatment. Can Urol Assoc J. 2013;7(11-12): E754-E756. Available from: https://doi.org/10.5489/cuaj.472
Li S, Wang J, Hu J, He L, Wang C. Emphysematous pyelonephritis and cystitis: A case report and literature review. J Int Med Res. 2018;46(7):2954-60. Available from: https://doi.org/10.1177/0300060518770341
Bjurlin MA, Hurley S, Kim DY, Cohn MR, Jordan MD, Kim R, et al. Clinical outcomes on nonoperative management in emphysematous urinary tract infections. Urology 2012;79(6): 1281-5. Available from: https://doi.org/10.1016/j.urology.2012.02.023
Amano M, Shimizu T. Emphysematous Cystitis: A Review of the Literature. Intern Med. 2014;53(2):79-82. Available from: https://doi.org/10.2169/internalmedicine.53.1121
Notas
Notas de autor
*Correspondencia: Alejandro Dueñas Gutiérrez, alejandrodg94@gmail.com
Declaración de intereses