Artículo casos clínicos
Received: 11 May 2020
Accepted: 20 September 2020
Published: 20 November 2020
DOI: https://doi.org/10.22265/acnef.8.1.418
Resumen:
La pielonefritis enfisematosa es una enfermedad grave y de alta mortalidad, pero de baja frecuencia, que suele presentarse en población con factores de riesgo, dentro de los que destacan la diabetes mellitus tipo 2, la uropatía obstructiva, el etilismo y la inmunosupresión. La clasificación radiológica de la pielonefritis enfisematosa va desde clase 1, que comprende el gas que compromete el sistema colector, hasta clase 4, que es la afección de un solo riñón o bilateral.
El tratamiento de la pielonefritis enfisematosa depende del grado de severidad: los casos más leves pueden tratarse con catéter o drenaje percutáneo más terapia antibiótica, mientras que los más graves pueden necesitar intervención quirúrgica para nefrectomía. Aquellos pacientes con choque séptico, trombocitopenia, insuficiencia renal aguda e hipoalbuminemia generalmente tienen pronóstico desfavorable.
A continuación, se presentan dos casos de pacientes diabéticos mal controlados mayores de 50 años de edad, quienes fueron diagnosticados a través de estudios imagenológicos. Uno de los pacientes tenía uropatía obstructiva y el otro, riñón en herradura; ambos fueron tratados exitosamente con manejo médico y procedimiento mínimamente invasivo.
Palabras clave: Pielonefritis, diabetes mellitus, Escherichia coli, hiperglicemia.
Abstract:
Emphysematous pyelonephritis is a serious disease with an infrequent presentation and high mortality. It tends to occur more frequently in the population with risk factors, among which the following stand out: type 2 diabetes mellitus, obstructive uropathy, alcoholism, immunosuppression. The radiological classification of emphysematous pyelonephritis ranges from type one, which comprises gas that involves the collecting system, to type 4, which is a single or bilateral kidney disease.
Treatment will depend on the degree of severity, milder cases can be treated with catheter or percutaneous drainage plus antibiotic therapy, while more severe cases may require paranephrectomy surgery.
Patients with septic shock, thrombocytopenia, acute renal failure, and hypoalbuminemia generally have a poor prognosis.
We present two poorly controlled diabetic patients over 50 years of age diagnosed through computed tomography. One of the patients with obstructive uropathy and the other with horseshoe kidney, both patients successfully treated with medical management and minimally invasive procedure.
Keywords: Pyelonephritis, urinary tract infection, diabetes mellitus, Escherichia coli, hyperglycemia.
Introducción
La pielonefritis enfisematosa (PNE) es una enfermedad renal severa muy poco frecuente, incluso catalogada como rara, con una alta tasa de mortalidad dada su rápida progresión y cuadro clínico, el cual puede variar desde dolor abdominal leve y difuso, hasta choque séptico y la falla multiorgánica1. Es usual que esta enfermedad se presente en pacientes con diabetes mellitus (DM) y pobre control metabólico; sin embargo, existen otros factores predisponentes como el sexo femenino, la presencia de uropatía obstructiva o factores ectásicos ureterales, la enfermedad renal quística y la inmunosupresión2. La edad media de presentación es 47 años, con un rango de 20 a 80 años.
Hasta el momento no existe un consenso general sobre el manejo adecuado de la PNE, sin embargo, lo que está descrito en la literatura soporta que el estudio imagenológico utilizado para el diagnóstico es la urografía por tomografía computarizada o UROTAC, y que el tratamiento va desde un manejo medico mínimamente invasivo, hasta, en el peor de los casos, nefrectomía. Los pacientes aquí reportados respondieron de manera adecuada al manejo instaurado.
Presentación del caso 1
Paciente masculino de 69 años con antecedente de hipertensión arterial, DM tipo 2 de 8 años de evolución (HbA1c 8,1%), prostatectomía secundaria a cáncer de próstata, multiconsultante en el servicio de urgencias en contexto de singulto persistente y edema progresivo (inicialmente palpebral y luego en miembros inferiores). El sujeto no manifestó picos febriles; sintomatología urinaria irritativa u obstructiva, ni otros síntomas.
Los paraclínicos de ingreso evidenciaron leucocitosis a expensas de neutrofilia, anemia microcítica hipocrómica, elevación de azoados y parcial de orina con bacteriuria, leucocituria y hematuria, sin presencia de eritrocitos dismórficos,nitritos, proteínas ni cetonas (Tabla 1).

El paciente fue valorado por el servicio de medicina interna, el cual indicó inicio de manejo antibiótico de amplio espectro (ampicilina sulbactam) ajustado a función renal con impresión diagnóstica de infección de vías urinarias complicada y enfermedad renal crónica agudizada secundaria a uropatía obstructiva.
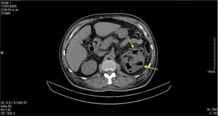
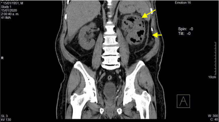
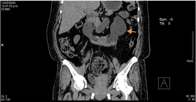
La ecografía abdominal total mostró hallazgos sugestivos de PNE izquierda (Figura 1), por lo que se solicitó valoración por urología; este servicio indicó continuar con la misma terapia antibiótica y realizar UROTAC que mostró microlitiasis renal bilateral, litiasis ureteral izquierda y proceso infeccioso inflamatorio con presencia de gas en el riñón izquierdo, lo que indicó diagnóstico de PNE izquierda tipo 2 (Figuras 2 y 3). Ante los hallazgos radiológicos y el reporte de urocultivo positivo para Escherichia coli multisensible, se decidió hacer rotación de cubrimiento antibiótico a carbapenémicos debido al alto riesgo de mortalidad.



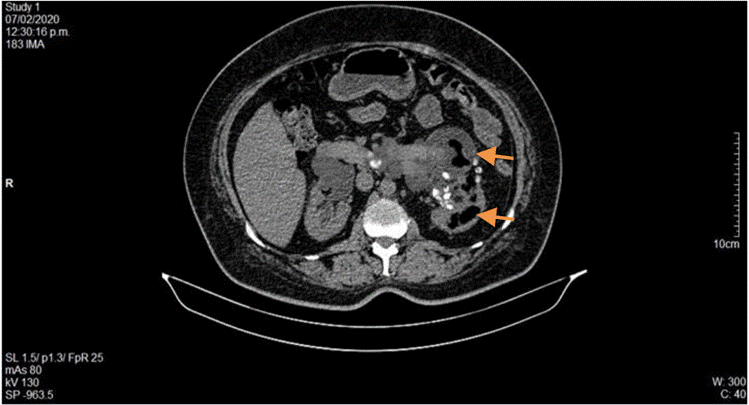
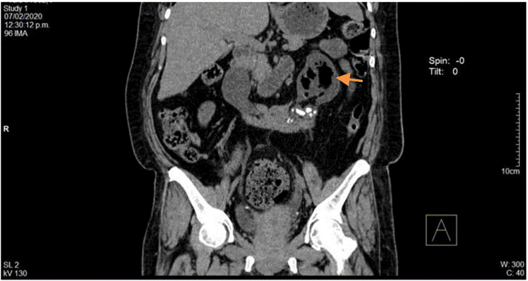
Durante su estancia hospitalaria, el paciente presentó expulsión espontánea de lito, con posterior descenso de azoados desde 2,48 mg/dL de creatinina al ingreso, hasta 1,5 mg/dL, por lo que fue llevado a implante de catéter doble J sin complicaciones. Luego de 21 días de antibiótico, los hallazgos radiológicos (Figura 4) mostraron una disminución de gas en el parénquima renal, por lo cual se le dio el alta hospitalaria y se definió el control para retiro de catéter doble J ambulatoriamente.

Presentación del caso 2
Paciente femenina de 57 años de edad con antecedente de DM tipo 2 en manejo con insulina glargina (lantus) 40 UI/día, quien consultó por dolor abdominal irradiado hacia región lumbar y asociado a picos febriles no cuantificados, náuseas y deposiciones líquidas sin moco ni sangre en #3. La mujer, que presentó paraclínicos extrainstitucionales compatibles con infección de vías urinarias y deterioro de función por enfermedad renal crónica estadio 3b (creatinina previa extrainstitucional de 1,4 mg), recibió manejo ambulatorio con ciprofloxacino oral por 3 días sin mejoría del cuadro, razón por la cual consultó a la institución.
A su ingreso la mujer se encontraba en regulares condiciones generales, con aspecto tóxico, taquicárdica (FC 104 lpm), sin taquipnea y tensión arterial dentro de metas. Los paraclínicos de ingreso (Tabla 2) mostraron leucocitosis marcada, a expensas de neutrófilos, azoados elevados y parcial de orina sugestivo de infección para bacilos gramnegativos.

La paciente fue valorada por el servicio de medicina interna, el cual consideró hospitalizar con diagnóstico de infección de vías urinarias complicada sin respuesta a tratamiento antibiótico inicial, enfermedad diarreica aguda y enfermedad renal crónica agudizada, por lo que se inició manejo con fluidoterapia, cobertura antibiótica con piperacilina tazobactam, ajustado a función renal (TFG 20,2 mL/min/1,73 m2), y se solicitaron cultivos. Asimismo, se realizó ecografía con evidencia de riñón izquierdo aumentado de volumen, de contornos regulares, con presencia de ecogenicidades puntiformes en el grupo calicial superior con aspecto de gas. Se solicitó UROTAC (Figuras 5 y 6) que reportó gas en el sistema colector del riñón izquierdo, más específicamente en pelvis renal izquierda y dentro del uréter izquierdo, además de anomalía congénita de fusión renal (riñón en herradura), hidronefrosis leve izquierda con pelvis globulosa y múltiples litiasis a nivel de uréter distal y unión ureterovesical izquierda. La paciente tuvo expulsión espontánea de litos y descenso de azoados hasta niveles basales (1,9 mg/dL).


Dados los hallazgos compatibles con PNE Huang I (pielitis enfisematosa y ureteritis enfisematosa izquierda), se solicitó valoración por servicio de urología.
En el UROTAC de control (Figura 7) no se evidenció gas a nivel de parénquima renal.

El urocultivo fue positivo para E. coli sensible a piperacilina tazobactam; los hemocultivos fueron negativos y la diarrea se resolvió (tenía coprológico normal). Tras 15 días de hospitalización y al considerar adecuada respuesta al manejo instaurado, se planteó completar manejo antibiótico en extensión hospitalaria por 21 días con mejoría clínica en el seguimiento ambulatorio.
Discusión
La PNE es una infección causada por bacterias gramnegativas que se comportan como anaerobios facultativos productores de gas a nivel del parénquima renal y sus áreas circundantes. Los primeros reportes de casos de este tipo de infección datan de 1898 y fueron registrados por Kelly y Mac Callum3. El término fue acuñado años después por Schultz y Klorfein. Esta patología se presenta con mayor frecuencia en pacientes con antecedentes de DM, siendo potencialmente grave. Sin embargo, se cataloga como una complicación rara en la que los factores pronósticos y su patogénesis siguen siendo muy inciertos. Además, su clasificación radiológica y el régimen terapéutico adecuado todavía son muy controvertidos.
Los agentes etiológicos más frecuentemente reportados son uropatógenos típicos:
E. coli, Klebsiella pneumoniae, Proteus spp, Citrobacter spp y Pseudomonas spp4.
Respecto a la etiología fúngica, rara vez ha sido reportada con Candida albicans, Candida tropicalis, Candida glabrata y Cryptococcus. La fisiopatología de la PNE aún no es clara, pero se han propuesto varias teorías en relación con la producción del gas como que la fermentación de glucosa y lactato produce grandes cantidades de dióxido de carbono e hidrógeno que generan gas al interior del calice renal y este es evidente en los estudios imagenológicos; otra hipótesis es que en bacterias productoras de gas puede haber un trastorno en la motilidad del sistema urinario, lo que lleva a un trasporte disminuido de gas producto del hipercatabolismo bacteriano y conlleva a acumulación de gas en el tejido5-6.
Asimismo, se han identificado factores involucrados en la patogénesis y el desarrollo de la PNE, tales como concentración tisular de glucosa elevada, presencia de bacterias fermentadoras de glucosa, disminución de la perfusión tisular, alteración en los mecanismos de defensa de huésped y obstrucción de la vía urinaria en el caso de pacientes no diabéticos7.
La presentación clínica de esta enfermedad es variable: generalmente los pacientes presentan síntomas inespecíficos que van desde fiebre (79%), emesis (17%), diarrea (3%), dolor en fosa renal o flanco (71%), polaquiuria y tenesmo vesical, hasta otros más graves como neumaturia, acidosis metabólica,encefalopatia, choque séptico, falla renal y muerte8-10.
La mortalidad reportada en la literatura alcanza hasta un 45%9,10, pero es de mencionar que la lesión renal aguda, la trombocitopenia, la alteración del estado de conciencia y el choque séptico con hipotensión sistólica <90 mmHg son los factores de riesgo que más se han asociado con mal pronóstico11-13. La presentación bilateral, que ocurre hasta en el 5% de los casos, representa una mayor tasa de mortalidad14,15.
La lesión renal aguda es un síndrome clínico definido (según KDIGO 2012)16 como el aumento de la concentración de creatinina sérica ≥0,3 mg/dL (26,5 µmol/L) durante 48 horas o aumento ≥1,5 veces en los últimos 7 días, o diuresis <0,5 mL/kg/h durante 6 horas, siendo el compromiso renal el factor con mayor asociación a rápida progresión de la infección, necrosis renal masiva y daño estructural grave irreversible2.
La edad, el sexo, el sitio de la infección y el valor de glicemia central no se correlacionan ni tienen influencia en el pronóstico1, por lo que la sospecha clínica en pacientes diabéticos descompensados, en mal estado general, con escasa respuesta al tratamiento médico-antibiótico habitual es fundamental para poder llegar al diagnóstico certero. Las manifestaciones clínicas no se correlacionan con el compromiso estructural o la inflamación2.
En los casos presentados ambos pacientes tenían antecedente de diabetes, y a pesar de tener una anomalía congénita estructural, no hubo necesidad de cirugía y con el manejo médico y las medidas de soporte fue suficiente.
La PNE puede ser complicada o no, por lo que sin imágenes diagnósticas resulta indistinguible una pielonefritis aguda de una enfisematosa, ya que los paraclínicos pueden ser similares. De este modo, su diagnóstico requiere estudios imagenológicos como la tomografía axial computarizada, que es el método de elección para clasificación y manejo ya que presenta mayor sensibilidad al permitir evaluar la extensión del proceso, medir la cantidad de parénquima afectado y determinar la existencia de litiasis renal asociada2,8,15; además, permite plantear la mejor alternativa terapéutica2,3,11. Actualmente la clasificación radiológica más utilizada es la propuesta por Huang & Tseng2, la cual distingue la PNE en 4 clases al evaluar la gravedad y conducta recomendada a seguir (Tabla 3).

El tratamiento debe ser individualizado en cada paciente para ofrecer la mejor alternativa con base en la afección y compromiso renal, los factores de riesgo de mal pronóstico y el diagnóstico imagenológico. Se debe iniciar con un manejo conservador con antibióticos y medidas de soporte. El control metabólico y la corrección de trastornos hidroelectrolíticos están recomendados en todos los casos; sin embargo, posterior a la clasificación imagenológica, se deben tomar decisiones terapéuticas más agresivas que incluyen la realización de nefrectomía2,8,11.
Las formas más benignas de PNE son las clases 1 y 2, para lo cual se recomienda terapia con antibioticoterapia y drenaje percutáneo o nefrostomía con una tasa de mortalidad de alrededor del 13%. En los casos más avanzados (clase 3 y 4) el manejo recomendado se elige según la presencia de factores de mal pronóstico en el paciente2. Los factores de riesgo para mal pronóstico son trombocitopenia,lesión renal aguda, alteración del estado de conciencia y que la PNE sea bilateral2:
Bajo riesgo (0-1 factor de riesgo): nefrostomía bilateral.
Alto riesgo (>2 factores de riesgo): nefrectomía.
La presencia de factores de riesgo conlleva, de manera intrínseca, a una tasa elevada de fallo terapéutico con respecto a quienes no presentan factores de riesgo, es por esto que en las clases 3 y 4 se prefiere la nefrectomía, ya que la combinación de terapia conservadora y drenaje percutáneo no conduce a resultados favorables, lo que resulta en mortalidad en más del 92% de los casos2,8. La única excepción se encuentra en pacientes con compromiso bilateral, por lo que debe intentarse el manejo conservador con el fin de preservar la función renal. Respecto al antibiótico, este debe ser dirigido a los microorganismos que con mayor frecuencia son aislados en pacientes con PNE, con alcance a gramnegativos, a la espera de cultivo + antibiograma para direccionamiento6.
En el primer caso aquí reportado el paciente cursaba con obstrucción secundaria a cálculos ureterales, por lo que la derivación de la vía urinaria y el drenaje del gas se logró mediante la colocación de un catéter doble J. Es de mencionar que una persistencia de gas en la imagen radiológica no implica infección activa y que el tratamiento conservador basado en antibióticos y fluidoterapia puede llevar a la resolución del cuadro con expulsión espontanea de cálculos y mejoría de la función renal12.
A partir de los hallazgos se confirma lo encontrado en otros estudios con respecto al logro de resultados exitosos a partir de un diagnóstico temprano y una combinación de intervenciones médicas y quirúrgicas oportunas, cuando sean necesarias, junto con un monitoreo meticuloso del progreso mediante evaluación radiológica secuencial, bien sea con radiografía como en el caso 1, o con tomografía como en el caso 2.
Conclusiones
Hasta el momento no existe un consenso que determine la conducta a tomar frente al manejo de los pacientes con PNE. Los casos reportados corresponden a PNE estadio 1 y 2; ambos, a pesar de la presentación atípica (singulto persistente + edema y dolor abdominal y diarrea), concuerdan con lo descrito en la literatura: pacientes diabéticos mal controlados, uno con uropatía obstructiva y el otro con anomalía renal congénita, evolución tórpida a antibioticoterapia inicial incluyendo hallazgos radiológicos y tratamiento instaurado que en este caso fue manejado de forma mínimamente invasiva con endourología de manera exitosa.
El propósito de este artículo fue mostrar a la comunidad científica dos casos de una patología mal catalogada como rara y que requiere mayor visibilidad al ser una entidad clínica importante cuyo diagnóstico es cada vez más frecuente a partir de la adecuada realización de imágenes: estos dos casos se presentaron en la misma institución con una diferencia de 15 días.
Con respecto al manejo, se considera que para poder definir de manera clara la conducta a seguir se necesita de más ensayos clínicos; sin embargo, la guía de tratamiento antibiótico sugiere que si hay invasión en el parénquima renal se debe realizar un drenaje percutáneo o cirugía, y que si la formación de gas se ha extendido ampliamente al riñón y no hay mejoría, incluso después del drenaje percutáneo, se debe considerar la nefrectomía. No obstante, siempre es necesario contextualizar a cada paciente estableciendo su condición clínica y grado de severidad.
Consideraciones éticas
Los autores declaran que los procedimientos seguidos se realizaron conforme a las normas éticas del comité de experimentación humana responsable y de acuerdo con lo establecido por la Asociación Médica Mundial en la Declaración de Helsinki; que han seguido los protocolos de su centro de trabajo sobre la publicación de datos de pacientes, y que han obtenido el consentimiento informado de los pacientes y/o sujetos referidos en el artículo.
Conflicto de intereses
Ninguno declarado por los autores.
Financiación
Ninguna declarada por los autores.
Contribución de los autores
La participación de todos los autores fue activa e importante en el desarrollo de este artículo: María Cristina Martínez Ávila y Alejandro de Jesús Blanquicett Díaz recolectaron los datos de las historias clínicas, consentimientos informados y laboratorios; Harold Enrique Vásquez Ucros recolectó y editó las imágenes de los pacientes; Alejandro de Jesús Blanquicett Díaz elaboró las tablas de paraclínicos; Zulay Margarita Mondol Almeida, María Cristina Martínez Ávila y Alejandro de Jesús Blanquicett Díaz crearon la discusión del trabajo; Harold Enrique Vásquez Ucros, Alejandro de Jesús Blanquicett Díaz y Orlando José González Macea elaboraron los casos clínicos; Amilkar José Almanza Hurtado corrigió detalles de redacción e hizo la conclusión e introducción, y Zulay Margarita Mondol Almeida elaboró el resumen.
Referencias
Falagas ME, Alexiou VG, Giannopoulou KP, Siempos II. Risk factors for mortality in patients with emphysematous pyelonephritis: a meta-analysis. J Urol. 2007;178(3 Pt 1):880-5. https://doi.org/10.1016/j.juro.2007.05.017.
Huang JJ, Tseng CC. Emphysematous pyelonephritis: clinicoradiological classification, management, prognosis and pathogenesis. Arch Intern Med. 2000;160(6):797-805. https://doi.org/10.1001/archinte.160.6.797.
Kangjam SM, Irom KS, Khumallambam IS, Sinam RS. Role of conservative management in emphysematous pyelonephritis: A retrospective study. J Clin Diagn Res. 2015;9(11): 09-11. https://doi.org/10.7860/JCDR/2015/16763.6795.
Gállego-Sales S, Jamaica-Verduzco E, González-Rangel G, López-Retamosa AK. Pielonefritis enfisematosa bilateral; presentación de un caso tratado exitosamente con procedimiento mínimamente invasivo. Rev Mex Urol. 2010;70(5): 315-18.
Ćelic D, Božci D, Petrovi K, Živojinov S, Djurdjevic-Mirkovic T, Popovic M. Emphysematous pyelonephritis - case report and review of literature. Vojnosanit Pregl. 2017;74(12):312. https://doi.org/10.2298/VSP160328312C.
Somani BK, Nabi G, Thorpe P, Hussey J, Cook J, N’Dow J. Is percutaneous drainage the new gold standard in the management of emphysematous pyelonephritis? Evidence from a systematic review. J Urol. 2008;179(5):1844-9. https://doi.org/10.1016/j.juro.2008.01.019.
Duggal A, Koury G, Waraich KK. Medical therapy in emphysematous pyelonephritis. Infect Dis Clin Pract. 2011;19(2):1245.https://doi.org/10.1097/IPC.0b013e3181e9b805.
Piedra-Valoy I, Medina-Holguín JL, Varela-Pinedo L, Zegarra-Montes L, Melgarejo-Zevallos W, Medina-Ninaconcor R, et al. Pielonefritis enfisematosa: reporte de dos casos y revisión de la literatura. Rev Med Hered. 2007;18(4):212-7.
Derouiche A, El Attat R, Hentati H, Blah M, Slama A, Chebil M. Emphysematous pyelitis: epidemiological, therapeutic and evolutive features. Tunis Med. 2009;87(3):180-183.
Ríos-Quijano MV, Pamo-Reyna OG, Alvarado-López AK, Cumpa-Quiroz R, Cruzado-Grau C. Pielonefritis enfisematosa. Rev Soc Peru Med Interna. 2012;25(3):140-5.
Blanco-Díez A, Barbagelata-López A, Fernández-Rosado E, Casas-Muíño R, Chantada-Abal V, González-Martín M. Pielonefritis enfisematosa. Presentación de un caso y revisión de la literatura. Actas Urol Esp. 2003;27(9):721-5.
Aguilar-García CR, Naranjo-Tadeo I. Pielonefritis enfisematosa. Med Int Méx. 2014;30:215-20.
Mokabberi R, Ravakhan K. Emphysematous urinary tract infections: diagnosis, treatment and survival (case review series). Am J Med Sci. 2007;33(2):111-6. https://doi.org/10.1097/00000441-200702000-00009.
Nayeemuddin M, Wiseman O. Emphysematous pyelonephritis. Nature Clinical Practice Urology. 2005;2(2):108-12.
hat RA, Bashir G, Wani M, Lone S. Emphysematous pyelonephritis caused by Candida parapsilosis: an unknown etiological agent. N Am J Med Sci. 2012;4(8):364-6. https://doi.org/10.4103/1947-2714.99521.
Free F. KDIGO 2012 Clinical Practice Guideline for the Evaluation and Management of Chronic Kidney Disease. Kidney International Supplements. 2013;3(1).
Notes
Author notes
*Correspondencia: zumamoal@hotmail.com