Artículo casos clínicos
Received: 22 December 2020
Accepted: 25 January 2021
Published: 25 January 2021
DOI: https://doi.org/10.22265/acnef.8.1.485
Resumen:
La glomerulonefritis posestreptocócica puede ser desencadenada por virus, bacterias hongos o parásitos, pues estos agentes son capaces de provocar una respuesta inflamatoria no controlada sobre el glomérulo y túbulo renal, en la cual participan la formación de inmunocomplejos y la activación de la vía alterna del complemento. Se han planteado múltiples mecanismos que involucran la generación de anticuerpos contra proteínas que hacen parte de la estructura del estreptococo y son conocidos como antígenos nefritogénicos, de los cuales los más estudiados recientemente son la exotoxina pirogénica B del estreptoco y la gliceraldehido-3-fosfato deshidrogenasa.
Por su parte, la glomerulonefritis posestreptocócica suele tener un curso benigno con complicaciones que pueden ser controladas mediante manejo de soporte y es infrecuente en los adultos; sin embargo, en esta población tiene peor pronóstico que en los niños. Las lesiones proliferativas extracapilares son inusuales en la glomerulonefritis posestreptocócica. Se reporta el caso de un paciente adulto que presentó glomerulonefritis rápidamente progresiva secundaria a una infección por estreptococo.
Palabras clave: Streptococcus, glomerulonefritis, lesión renal aguda.
Abstract: Post-infectious glomerulonephritis can be triggered by viruses, bacteria, fungi, or parasites. These agents can trigger an uncontrolled inflammatory response on the glomerulus and renal tubule, where the formation of immunocomplexes and the activation of the alternative complement pathway participate. Multiple mechanisms have been proposed that involve the generation of antibodies against proteins that are part of the structure of streptococcus and are known as nephrytogenic antigens of which the most recently studied are pyrogenic exotoxin B of streptococcus and glyceraldehyde 3 phosphate dehydrogenase. Post-streptococcal glomerulonephritis usually has a benign course with complications that can be controlled with supportive management. It is rare in adults, however, when it occurs, it has a worse prognosis compared to children. Extracapillary proliferative lesions are unusual in post-streptococcal glomerulonephritis. The case of an adult patient who debuted with rapidly progressive glomerulonephritis secondary to a strep infection is presented.
Keywords: Streptococcus, glomerulonephritis, acute kidney injury.
Introducción
La glomerulonefritis posestreptocócica o postinfecciosa (GNPI) es un síndrome clínico que puede ser desencadenado por múltiples agentes como bacterias, virus, hongos y parásitos1. Estos agentes infecciosos generan una respuesta inflamatoria no controlada sobre el glomérulo y túbulo renal en la que se forman inmunocomplejos y el complemento se activa a través de la vía alternativa2. El tipo más usual de GNPI a nivel mundial es el causado por el estreptococo beta-hemolítico del grupo A. Al respecto, la revisión sistemática de Carapetis et al.3 mostró que la incidencia anual de esta condición en la población general es de 472.000 casos, de los cuales 456.000 se presentan en países en vía de desarrollo, con una mortalidad del 1%, afectando en su mayoría a población pediátrica.
Aunque las condiciones de pobreza, los sistemas de salud ineficientes y el inicio tardío de tratamiento antimicrobiano han sido los condicionantes más relevantes en la prevalencia de las enfermedades estreptocócicas, en los estudios poblacionales realizados en los últimos años se ha registrado una disminución significativa en la incidencia de GNPI; sin embargo, registros de biopsias renales han identificado casos en poblaciones vulnerables como los ancianos en condiciones debilitantes por el consumo crónico de alcohol, entre otros4,5.
Las observaciones clínicas de Clemens von Pirquet en 1903 fueron la base fundamental para desarrollar las teorías actuales sobre la patogénesis de la GNPI. En aquel entonces, el científico postuló la existencia de una probable reacción inmunológica a la cual llamó alergia. Dicha teoría fue tomando fuerza al sumarse los trabajos experimentales de Dick y de Dochez y colaboradores sobre la relación del estreptoco beta-hemolítico con la fiebre escarlatina y de las infecciones estreptocócicas en piel y vías respiratorias con los casos reportados de glomerulonefritis6-8.
Las contribuciones al respecto hechas en los últimos años han llevado a tener un mejor entendimiento de los mecanismos fisiopatológicos involucrados en la GNPI, y en la actualidad se plantean múltiples mecanismos que involucran la generación de anticuerpos contra proteínas que hacen parte de la estructura del estreptococo y son conocidos como antígenos nefritogénicos. Otros posibles mecanismos están relacionados con la reactividad cruzada inmunológica contra moléculas propias de la membrana basal glomerular; con la producción de anticuerpos contra neuraminidasa estreptocócica y contra receptores de inmunoglobulinas antiestreptocócica, y con la acción inflamatoria causada por las proteínas de unión a plasmina presentes en las cepas de estreptococos nefritogénicos2,9.
Entre 1980 y 1990 se realizaron los primeros trabajos para identificar proteínas con actividad de plasmina en pacientes que cursaron con infección estreptocócica10-14. Los antígenos nefritogénicos que hasta la fecha han tenido un interés creciente son la exotoxina B y el receptor de plasmina asociada a la nefritis15-20.
Presentación del caso
Paciente femenina de 50 años quien consultó por cuadro clínico de 5 días de evolución caracterizado por edemas en cara y en extremidades inferiores y orina aspecto marrón con posterior hematuria macroscópica y disminución progresiva de la diuresis que progresó a anuria. Como antecedente, la mujer indicó haber presentado odinofagia, sensación de masa en cuello, otalgia, fiebre y malestar general durante los 20 días previos.
En el examen físico se documentaron lesiones maculares en piel de distribución generalizada, eritematosas, pruriginosas, sobreelevadas y de aparición intermitente en brazos y tronco con episodio previo de lesiones similares hace 4 meses. Se solicitaron laboratorios que mostraron estado acido base normal, hemograma con leucocitosis sin neutrofilia, recuento plaquetario normal, anemia normocítica normocrómica y deterioro severo de la función renal, así como una ecografía renal que evidenció signos de nefropatía aguda. Adicionalmente, la serología fue negativa para infección por virus de la hepatitis y virus de la inmunodeficiencia humana; la función hepática no mostró alteraciones y en estudios inmunológicos solo se identificó disminución de C3 con C4 normal. El resto de estudios descartaron enfermedades autoinmunes y vasculitis. La medición de AELOS indicó 160 y el uroanálisis reportó proteinuria, hematuria microscópica, leucocituria e ionograma sin alteraciones (Tablas 1 y 2).


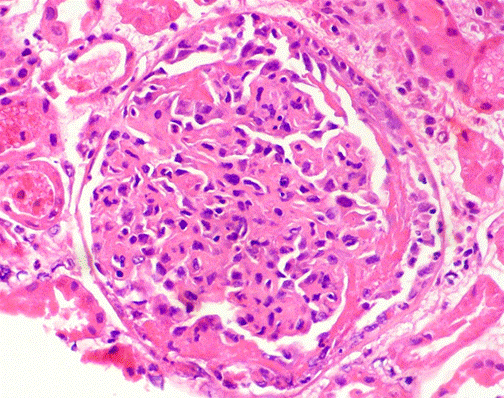
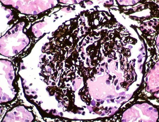
Se realizó diagnóstico de síndrome nefrítico agudo de etiología a determinar y en el seguimiento se identificó deterioro progresivo y severo de la función renal, por lo que se hizo impresión diagnóstica de glomerulonefritis rápidamente progresiva y se decidió iniciar bolos endovenosos de esteroides por tres días consecutivos y realizar biopsia renal guiada por ecografía con estudio histológico que reportó glomerulonefritis con proliferación endocapilar y extracapilar con semilunas epiteliales (Figuras 1, 2, 3 y 4).




Ante el deterioro progresivo de la función renal se inició terapia sustitutiva renal intermitente y bolos de 500 mg de ciclofosfamida endovenoso mensual por tres meses. Luego de dos meses del egreso la paciente salió del programa de hemodiálisis por signos clínicos de recuperación de la función renal y continuó en seguimiento ambulatorio por el servicio de nefrología (Tabla 3).

Discusión
En la actualidad, la GNPI es una entidad infrecuente en los adultos; sin embargo, cuando se produce tiene peor pronóstico con respecto a la población pediátrica. Al respecto, el análisis retrospectivo de Wen21 muestra que de 20 casos de pacientes adultos con esta patología, el 60% estuvo relacionado con infecciones estafilocócicas y el 15%, con estreptococos. En dicha investigación la proliferación endocapilar difusa y la proliferación mesangial focal fueron los patrones histológicos más frecuentemente encontrados, sin una diferencia entre ellos en cuanto a pronóstico. Según el autor, este cambio epidemiológico puede estar relacionado con el número creciente de adultos diabéticos, consumidores crónicos de licor o usuarios permanentes de drogas intravenosas21.
Las publicaciones de casos de patrones de glomerulonefritis con proliferación extracapilar secundarias a procesos infecciosos en el adulto son escasas. Sin embargo, existen registros en población pediátrica como el de Dewan et al.22, donde 19 de los 22 casos de glomerulonefritis con proliferación extracapilar estuvieron relacionados con depósitos de inmunocomplejos, predominantemente de etiología postinfecciosa. Adicionalmente, otros trabajos han mostrado resultados similares con una incidencia de alrededor del 12% de proliferación extracapilar relacionada con GNPI23,24.
La GNPI con proliferación extracapilar tiene un peor pronóstico con respecto a los patrones clásicos de presentación de la nefritis. Pero además, es de anotar que su pronóstico también depende del número de semilunas encontradas, su tipo histológico, el compromiso tubulointersticial y si hay acompañamiento clínico de proteinuria en rango nefrótico o compromiso severo de la función renal en el debut25.
Conclusión
La GNPI suele tener un curso benigno con complicaciones que se pueden controlar con manejo de soporte. El patrón clínico de glomerulonefritis proliferativa extracapilar es inusual y en dichos casos se recomienda el inicio oportuno de la terapia inmunosupresora con esteroides y ciclofosfamida.
Consideraciones éticas
Los autores declaran que los procedimientos seguidos se realizaron conforme a las normas éticas del comité de experimentación humana responsable y de acuerdo con lo establecido por la Asociación Médica Mundial en la Declaración de Helsinki; que han seguido los protocolos de su centro de trabajo sobre la publicación de datos de pacientes, y que han obtenido el consentimiento informado de los pacientes y/o sujetos referidos en el artículo.
Conflicto de intereses
Ninguno declarado por los autores.
Financiación
Ninguna declarada por los autores.
Contribución de los autores
Omar Cabarcas Barbosa: discusión del caso, recolección de la información, búsqueda bibliográfica y diseño de la historia clínica. Joaquín Rodelo Ceballos: asesoría metodológica y discusión del caso. Luis Fernando Arias: imágenes de patología con sus descripciones y correlación clinicopatológica. Daniel Agudelo y María San Juanelo: recolección de datos, búsqueda de bibliografía y elaboración de la historia clínica.
References
Kambham N. Postinfectious glomerulonephritis. Adv Anat Pathol. 2012;19(5):338-47. https://doi.org/10.1097/PAP.0b013e31826663d9.
Rodriguez-Iturbe B, Batsford S. Pathogenesis of poststreptococcal glomerulonephritis a century after Clemens von Pirquet. Kidney Int. 2007;71(11):1094-104. https://doi.org/10.1038/sj.ki.5002169.
Carapetis JR, Steer AC, Mulholland EK, Weber M. The global burden of group A streptococcal diseases. Lancet Infect Dis. 2005;5(11):685-94. https://doi.org/10.1016/S1473-3099(05)70267-X.
Coppo R, Gianoglio B, G Porcellini MG, Maringhini S. Frequency of renal diseases and clinical indications for renal biopsy in children (report of the Italian National Registry of Renal Biopsies in Children). Group of Renal Immunopathology of the Italian Society of Pediatric Nephrology and Group of Renal Immunopathology of the Italian Society of Nephrology. Nephrol Dial Transplant. 1998;13(2):293-7 p. https://doi.org/10.1093/oxfordjournals.ndt.a027821.
Simon P, Ramee MP, Autuly V, Laruelle E, Charasse C, Cam G, et al. Epidemiology of primary glomerular diseases in a French region. Variations according to period and age. Kidney Int. 1994;46(4):1192-8. https://doi.org/10.1038/ki.1994.384.
Nelson JD, Brooksaler F. Gabritschewsky-The Forgotten Man of Scarlet Fever. Am J Dis Child. 1971;121(3):189-91. https://doi.org/10.1001/archpedi.1971.02100140055001.
Dochez AR. The significance of streptococcus hemolyticus in scarlet fever: and the preparation of a specific antiscarlatinal serum by immunization of the horse to streptococcus hemolyticus-scarlatinae. JAMA. 1924;82(7):542-4. https://doi.org/10.1001/jama.1924.02650330034013.
Bisno AL, Brito MO, Collins CM. Molecular basis of group A streptococcal virulence. Lancet Infect Dis. 2003;3(4):191-200. https://doi.org/10.1016/s1473-3099(03)00576-0.
Oda T, Yoshizawa N, Yamakami K, Tamura K, Kuroki A, Sugisaki T, et al. Localization of nephritis-associated plasmin receptor in acute poststreptococcal glomerulonephritis. Hum Pathol. 2010;41(9):1276-85. https://doi.org/10.1016/j.humpath.2010.02.006.
Villarreal HJ, Fischetti VA, van de Rijn I, Zabriskie JB. The occurrence of a protein in the extracellular products of streptococci isolated from patients with acute glomerulonephritis. J Exp Med. 1979;149(2):459-72. https://doi.org/10.1084/jem.149.2.459.
Lottenberg R, Broder CC, Boyle MD. Identification of a specific receptor for plasmin on a group A streptococcus. Infect Immun. 1987;55(8):1914-8. https://doi.org/10.1128/IAI.55.8.1914-1918.1987.
Broeseker TA, Boyle MD, Lottenberg R. Characterization of the interaction of human plasmin with its specific receptor on a group A streptococcus. Microb Pathog. 1988;5(1):19-27. https://doi.org/10.1016/0882-4010(88)90077-0.
Pancholi V, Fischetti VA. A major surface protein on group A streptococci is a glyceraldehyde-3-phosphate-dehydrogenase with multiple binding activity. J Exp Med. 1992;176(2):415-26. https://doi.org/10.1084/jem.176.2.415.
Poon-King R, Bannan J, Viteri A, Cu G, Zabriskie JB. Identification of an extracellular plasmin binding protein from nephritogenic streptococci. J Exp Med. 1993;178(2):759-63. https:// doi.org/10.1084/jem.178.2.759.
Oda T, Yoshizawa N, Yamakami K, Sakurai Y, Takechi H, Yamamoto K, et al. The role of nephritis-associated plasmin receptor (NAPlr) in glomerulonephritis associated with streptococcal infection. J Biomed Biotechnol. 2012;2012:417675. https:// doi.org/10.1155/2012/417675.
Yamakami K, Yoshizawa N, Wakabayashi K, Takeuchi A, Tadakuma T, Boyle MD. The potential role for nephritis-associated plasmin receptor in acute poststreptococcal glomerulonephritis. Methods. 2000;21(2):185-97. https:// doi.org/10.1006/meth.2000.0990.
Yoshizawa N, Yamakami K, Fujino M, Oda T, Tamura K, Matsumoto K, et al. Nephritis-associated plasmin receptor and acute poststreptococcal glomerulonephritis: characterization of the antigen and associated immune response. J Am Soc Nephrol. 2004;15(7):1785-93. https:// doi.org/10.1097/01.asn.0000130624.94920.6b.
Parra G, Rodríguez-Iturbe B, Batsford S, Vogt A, Mezzano S, Olavarría F, et al. Antibody to streptococcal zymogen in the serum of patients with acute glomerulonephritis: A multicentric study. Kidney Int. 1998;54(2):509-17. https://doi.org/10.1046/j.1523-1755.1998.00012.x.
Cu GA, Mezzano S, Bannan JD, Zabriskie JB. Immunohistochemical and serological evidence for the role of streptococcal proteinase in acute post-streptococcal glomerulonephritis. Kidney Int. 1998;54(3):819-26. https://doi.org/10.1046/j.1523-1755.1998.00052.x.
Batsford SR, Mezzano S, Mihatsch M, Schiltz E, Rodríguez-Iturbe B. Is the nephritogenic antigen in post-streptococcal glomerulonephritis pyrogenic exotoxin B (SPE B) or GAPDH? Kidney Int. 2005;68(3):1120-9. https:// doi.org/10.1111/j.1523-1755.2005.00504.x.
Wen YK. The spectrum of adult postinfectious glomerulonephritis in the new millennium. Ren Fail. 2009;31(8):676-82. https:// doi.org/10.3109/08860220903118616.
Dewan D, Gulati S, Sharma RK, Prasad N, Jain M, Gupta A, et al. Clinical spectrum and outcome of crescentic glomerulonephritis in children in developing countries. Pediatr Nephrol. 2008;23(3):389-94. https:// doi.org/10.1007/s00467-007-0647-3.
Free article A clinico-pathologic study of crescentic glomerulonephritis in 50 children. A report of the Southwest Pediatric Nephrology Study Group. Kidney Int. 1985;27(2):450-8. https://doi.org/10.1038/ki.1985.30.
El-Husseini AA, El-Agroudy AE, Moustafa FE, Fouda MA, Sobh MA. Impact of clinical and histopathological factors on outcome of Egyptian patients with crescentic glomerulonephritis. Int Urol Nephrol. 2003;35(4):543-51. https://doi.org/10.1023/b:urol.0000025607.41722.aa.
Sasatomi Y, Kiyoshi Y, Takabeyashi S. A clinical and pathological study on the characteristics and factors influencing the prognosis of crescentic glomerulonephritis using a cluster analysis. Pathol Int. 1999;49(9):781-5. https://doi.org/10.1046/j.1440-1827.1999.00943.x.
Notes
Author notes
*Correspondencia: Omarcabarcas27@hotmail.com