Articulo casos clínicos
Glomerulonefritis rápidamente progresiva secundaria a vasculitis pauciinmune, entidad poco frecuente: caso clínico y revisión de la literatura
Rapidly progressive glomerulonephritis secondary to pauciinmune vasculitis, a rare entity: case report and review of the literatura
Glomerulonefritis rápidamente progresiva secundaria a vasculitis pauciinmune, entidad poco frecuente: caso clínico y revisión de la literatura
Revista Colombiana de Nefrología, vol. 9, no. 2, 402, 2022
Asociación Colombiana de Nefrología e Hipertensión Arterial
Received: 25 March 2021
Accepted: 17 August 2021
Published: 21 July 2022
Resumen
Introducción: las vasculitis asociadas a anticuerpos anticitoplasma de neutrófilos (ANCA) son un grupo heterogéneo de patologías, caracterizadas por la inflamación y la destrucción de vasos sanguíneos de pequeño y mediano calibre, asociados a la presencia de ANCA circulantes. Se presentan con una amplia variedad de signos y síntomas y, si no se tratan, conllevan a una alta morbimortalidad. Estos constituyen una causa poco frecuente de glomerulonefritis rápidamente progresiva y lesión renal aguda con necesidad de soporte renal, por lo que se requiere un alto índice de sospecha en el abordaje inicial.
Objetivo: con el presente artículo se busca sensibilizar al personal médico sobre la necesidad de una búsqueda activa de vasculitis como causa de glomerulonefritis y el impacto del diagnóstico y tratamiento tempranos en la condición clínica del paciente.
Presentación del caso:
paciente masculino de 65 años atendido en un centro hospitalario de referencia en la ciudad de Pereira, Risaralda, quien debuta con glomerulonefritis rápidamente progresiva secundaria a poliangeítis microscópica en su posoperatorio de prostatectomía, y que progresa a lesión renal aguda con necesidad de inicio de soporte renal de tipo hemodiálisis intermitente; posterior a realizar biopsia renal y perfil de autoinmunidad, se confirma el diagnóstico de vasculitis tipo poliangeítis microscópica, se inicia manejo específico inmunosupresor, con lo que se logra la remisión de la enfermedad y con ello una mejoría en la función renal que permite suspender la terapia de reemplazo renal. Actualmente el paciente permanece asintomático, con remisión de su enfermedad con manejo inmunosupresor, asistiendo a controles ambulatorios con Nefrología sin mención de complicaciones secundarias a terapia farmacológica.
Discusión y conclusión: En las vasculitis asociadas a los anticuerpos anticitoplasma de neutrólos (ANCA), el diagnóstico oportuno y el establecimiento de una terapia inmunomoduladora adecuada son el pilar fundamental en el abordaje de esta entidad. Un diagnóstico tardío está directamente relacionado con un pobre pronóstico a corto plazo. El diagnóstico oportuno requiere de un índice de sospecha apropiado
Palabras clave: Caso clínico+ lesión renal aguda+ glomerulonefritis+ vasculitis+ biopsia renal.
Abstract
Introduction: Vasculitis associated with antineutrophil cytoplasmic antibodies (ANCA) are a heterogeneous group of pathologies; characterized by the inflammation and destruction of small and medium caliber blood vessels associated with the presence of circulating ANCA. They present with a wide variety of signs and symptoms and, if left untreated, lead to high morbidity and mortality; They are a rare cause of rapidly progressive glomerulonephritis and acute kidney injury requiring renal support, which is why a high index of suspicion is required in the initial approach.
Purpose: This article seeks to sensitize the medical personnel for the need of an active search for vasculitis as a cause of glomerulonephritis and the impact of early diagnosis and treatment in the patient's clinical condition.
Case presentation: We report the case of a 65-year-old male patient treated in a reference hospital in the city of Pereira, Risaralda, who debuted with rapidly progressive glomerulonephritis secondary to microscopic polyangiitis in his postoperative period of a prostatectomy, progressing to acute kidney injury needing to start renal support such as intermittent hemodialysis; after performing a renal biopsy and autoimmunity profile, the diagnosis of microscopic polyangiitis-type vasculitis is confirmed, specific immunosuppressive management is initiated, which achieves remission of the disease and with it an improvement in renal function that allows the suspension of renal replacement therapy, y, currently a patient He remains asymptomatic, with remission, with immunosuppressive management, attending outpatient controls with nephrology without mention of complications secondary to pharmacological therapy.
Discussion and conclusion: In antineutrophil cytoplasmic antibody(ANCA)-Associated Vasculitis , timely diagnosis and the establishment of adequate immunomodulatory therapy are the fundamental pillars in the approach to this entity. A late diagnosis is directly related to a poor short-term prognosis. Timely diagnosis requires an appropriate index of suspicion.
Keywords: Case report, Acute kidney injury, Glomerulonephritis, Vasculitis, renal biopsy.
Introducción
Las vasculitis asociadas a anticuerpos anticitoplasma de neutrófilos (ANCA) son un conjunto de enfermedades autoinmunes relativamente raras de causa desconocida, con una prevalencia estimada de 200 a 400 casos por millón de habitantes, caracterizadas por una infiltración de células inflamatorias que provocan necrosis de los vasos sanguíneos. La asociación entre ANCA y vasculitis se describió por primera vez en 1982, en un breve informe que describía el curso clínico de ocho pacientes diagnosticados con glomerulonefritis necrotizante segmentaria (1).
Las vasculitis asociadas a ANCA (VAA) comprenden tres importantes entidades: granulomatosis con poliangeítis (GPA), anteriormente conocida como granulomatosis de Wegener, poliangeítis microscópica (PAM) y granulomatosis eosinofílica con poliangeítis (GEPA), anteriormente conocida como síndrome de Churg-Strauss (1, 2). Su espectro clínico es muy amplio e incluye desde una erupción cutánea hasta una enfermedad multisistémica fulminante (3). Estas tres entidades difieren en su compromiso de órgano, anticuerpos predominantes, tasa de recaídas y resultado clínico, los cuales se detallarán más adelante.
El descubrimiento de patrones perinucleares y citoplasmáticos en inmunofluorescencia indirecta (P-ANCA y C-ANCA) y las principales especificaciones de mieloperoxidasa (MPO) y proteinasa 3 (PR3) fueron reconocidas en la década de 1980, y desde entonces continúan siendo el pilar fundamental para la clasificación de esta entidad en las tres patologías previamente descritas (4).
La PAM se asocia más comúnmente con anticuerpos P-ANCA y anti MPO positivos e histológicamente se caracteriza por presentar vasculitis sin granulomatosis. Las manifestaciones clínicas dependen en gran medida del lecho vascular afectado, siendo más frecuente el compromiso renal y el pulmonar, lo cual incluye glomerulonefritis pauciinmune rápidamente progresiva y hemorragia alveolar, su prevalencia varía de 66 casos por millón de habitantes entre los países europeos y 86 casos por millón en Japón (5), se desconoce la prevalencia de esta entidad en Colombia.
La GPA cursa con inflamación granulomatosa del tracto respiratorio, superior e inferior, glomerulonefritis necrotizante focal y vasculitis necrotizante de vasos de pequeño y mediano calibre (capilares, vénulas, arteriolas y arterias). Junto a ello, se detectan anticuerpos anticitoplasma de neutrófilo con patrón citoplasmático, dirigidos contra la proteinasa 3 (C-ANCA / anti-PR 3), en el 90 % de los pacientes.
En los pacientes con GPA (granulomatosis con poliangeítis) y MPA (poliangeítis microscópica), los fenotipos clínicos más comunes suelen ser adultos mayores. Por el contrario, los pacientes con EGPA (GPA eosinofílica) tienden a ser más jóvenes.
El compromiso renal está presente en un importante número de pacientes con vasculitis asociada a ANCA (VAA), a veces es el único órgano comprometido de la entidad denominada “vasculitis limitada al riñón”, su curso clínico puede ser lento e insidioso presentando síntomas como hematuria, proteinuria y elevación leve de azoados o un curso rápido y tórpido enmarcado en el síndrome de glomerulonefritis rápidamente progresiva que, en algunos casos, puede requerir el inicio de terapia de remplazo renal. Esta última entidad requiere de diagnóstico y tratamiento oportuno, ya que de lo contrario las consecuencias son potencialmente mortales.
El gold standard (o el estándar de oro) para su diagnóstico continúa siendo la biopsia renal, cuyos hallazgos representativos en la fase aguda corresponden a necrosis fibrinoide segmentaria e infiltración leucocitaria, algunas veces con trombosis secundaria. En la fase crónica, las células mononucleares se vuelven predominantes, además que se desarrollan fenómenos fibróticos. Asimismo, característicamente estos hallazgos están asociados a: formaciones crescénticas, escasa o nula reactividad para tinciones de inmunoglobulina y fenómenos de angeítis leucocitoclástica de la vasa recta medular (6).
La supervivencia y el riesgo de enfermedad renal terminal, en los pacientes que presentan vasculitis asociada a ANCA y glomerulonefritis rápidamente progresiva, están estrechamente relacionados con el compromiso de la función renal en el momento de la presentación clínica y las intervenciones diagnósticas y terapéuticas iniciales. En la actualidad, la remisión se puede lograr y mantener en la mayoría de los casos con una combinación de esteroides en dosis altas e inmunosupresores (7).
En el caso que presentaremos a continuación, es claro cómo la sospecha clínica inicial es fundamental para encaminar esfuerzos tanto diagnósticos como terapéuticos, dirigidos a resolver el rápido y progresivo deterioro de la función renal que habitualmente se presenta en este grupo de pacientes, buscando como objetivo inicial el manejo de la glomerulonefritis rápidamente progresiva, mientras de manera paralela se continúa el tratamiento para la vasculitis sospechada, la cual, posteriormente mediante resultado de la biopsia renal, podrá ser confirmada.
Presentación del caso
Paciente masculino de 65 años con antecedente de diabetes mellitus tipo 2, diagnosticada hace cinco años en manejo ambulatorio con metformina, sin complicaciones macro o microvasculares documentadas, sin historia de alergias ni exposición a tóxicos, con antecedente importante de prostatectomía ocho días antes de la enfermedad actual, fue un procedimiento sin complicaciones e ingresa a la institución por cuadro de hematuria persistente en el posoperatorio asociado a hipertensión arterial, síndrome anémico y función renal alterada.



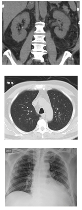
Al examen físico se describe la presencia de edemas en miembros inferiores sin oliguria. En estudios de laboratorio de ingreso se evidencia un uroanálisis con hematuria, proteinuria y sedimento urinario activo, función renal alterada. Dados los hallazgos de sedimento activo, se deciden solicitar estudios adicionales en los cuales se documentó la presencia de proteinuria significativa en rango nefrótico 4 gr/dl, resultado no explicable únicamente por nefropatía diabética. Se realizó una ecografía renal y un tracto urinario que demostró que los riñones derecho e izquierdo no tenían obstrucciones y sí había aumento de la reflectividad cortical, de 11,8 y 12 cm respectivamente.
Durante su hospitalización, el paciente presenta un deterioro persistente de la función renal, progresando a lesión renal aguda KDIGO 3 con criterios de urgencia dialítica, por lo cual se comienza terapia de remplazo renal tipo hemodiálisis intermitente. Ante la persistencia de las manifestaciones clínicas y los paraclínicos alterados, entre ellos se resalta el sedimento urinario activo y el perfil de autoinmunidad comprometido, se decide realizar una biopsia renal y comenzar manejo con inmunosupresión por sospecha de glomerulonefritis rápidamente progresiva secundaria a patología autoinmune tipo vasculitis primaria.
El reporte del perfil autoinmune y la biopsia renal confirman la presencia de una poliangeítis microscópica, por lo cual se indicó tratamiento con ciclofosfamida de manera permanente. Posterior a seis meses del tratamiento, se logra remisión de la enfermedad, lo que le permite recuperar al paciente la función renal, con lo que se suspende terapia de remplazo renal. Actualmente, continúa asistiendo a controles ambulatorios con Nefrología sin mención de complicaciones secundarias a terapia farmacológica.
Discusión
Las vasculitis son un grupo de enfermedades que afectan la pared vascular mediante un proceso inflamatorio y son clasificadas tradicionalmente bajo el consenso de Chapel Hill, según el tipo de vaso sanguíneo que involucre en vasculitis de grandes vasos, vasos de mediano calibre y vasculitis de pequeños vasos; en este último, un grupo importante corresponde a las vasculitis asociada a anticuerpos anticitoplasma de neutrófilos (ANCA), las cuales se subdividen en poliangeítis microscópica (PAM), granulomatosis con poliangeítis (previamente llamada enfermedad de Wegener) (GPA) y granulomatosis eosinofílica con poliangeítis (Churg-Strauss) (GEPA), así como vasculitis limitada al riñón con glomerulonefritis necrotizante pauciinmune sola, sin evidencia de vasculitis sistémica.
La vasculitis pauciinmune tiene una incidencia anual de alrededor de 5-20 casos por cada millón de habitantes y varía de una región a otra. La literatura describe una mayor prevalencia en la población caucásica que en afroamericanos, así como una tendencia a mayores casos de GPA en climas fríos y de PAM en climas cálidos.
Respecto a la edad de presentación, hay una mayor frecuencia en la edad adulta entre la quinta y la séptima década de la vida, sin embargo, las glomerulonefritis pauciinmunes con patrón rápidamente progresivo, como en el caso de nuestro paciente, pueden presentarse en todas las edades, incluidas las personas de edad avanzada.
Los hallazgos clínicos que presentan este grupo de pacientes se relacionan con los de las enfermedades inflamatorias sistémicas y son bastante heterogéneos e inespecíficos: fiebre, malestar, anorexia, pérdida de peso, mialgias y artralgias, entre otros; además, un número no despreciable de pacientes cursan con compromiso renal de manera asintomática hasta etapas avanzadas de la enfermedad (7).
En cuanto al compromiso renal, los pacientes pueden presentar glomerulonefritis rápidamente progresiva, lo cual es un síndrome clínico que se manifiesta por signos de daño glomerular junto con un deterioro progresivo de la función renal, en un periodo que puede comprender desde días hasta semanas o meses. Histológicamente, se caracteriza por el desarrollo de semilunas epiteliales glomerulares explicadas por el daño en las paredes de los capilares, lo cual induce una respuesta inflamatoria a nivel del espacio de Bowman y finalmente conducirá al desarrollo de semilunas fibroepiteliales y fibrosas (8).
La etiología del compromiso glomerular es amplia, los principales mecanismos implicados corresponden a la presencia de anticuerpos antimembrana basal glomerular (enfermedad de Goodpasture), depósito de inmunocomplejos circulantes de patologías como la nefropatía IgA, nefropatía membranosa, glomerulonefritis posinfecciosa, nefropatía lúpica o crioglobulinemia mixta esencial. Otra etiología infrecuente pero importante a tener en cuenta corresponde a glomerulonefritis pauciinmune, donde no hay presencia de depósitos inmunes en inmunofluorescencia o de microscopia electrónica en este último grupo y la mayoría de los pacientes presentan títulos de ANCA elevados, como el caso de nuestro paciente (9).
La biopsia renal se utiliza a menudo para confirmar el diagnóstico mediante la identificación de una glomerulonefritis necrotizante y en media luna pauciinmune, el cual es el patrón típico histopatológico (2, 10), el número de glomérulos afectados y el tipo de lesión tienen implicaciones pronósticas y se utilizan para estadificar el compromiso renal: los pacientes que tienen > 50 % de glomérulos escleróticos en el momento de la presentación tienen peor pronóstico, mientras que aquellos con compromiso focal (< 50 % de glomérulos afectados) tienen el mejor pronóstico.
Respecto a la necesidad de soporte de remplazo renal, la literatura lo describe en el 50 % de los pacientes en el momento del diagnóstico y entre el 70 y el 85 % en el curso de la enfermedad, siendo la hemodiálisis intermitente la terapia de elección.
El tratamiento de estos pacientes normalmente consta de dos fases. Una inicial de “inducción” que tiene como objetivo mitigar la inflamación y disminuir la cicatrización renal y, una vez que se logra el control de la enfermedad, el tratamiento pasa a una segunda fase de “mantenimiento”, con el objetivo principal de prevenir las recaídas de la enfermedad.
Respecto a la fase inicial, durante décadas el tratamiento convencional de esta entidad ha sido con dosis altas de ciclofosfamida y glucocorticoides, prednisona oral a una dosis de 1 mg/kg/d (máximo 80 mg/d) y en los pacientes con glomerulonefritis rápidamente progresiva, a menudo reciben pulsos de metilprednisolona a una dosis de 250 a 1000 mg por día antes de comenzar con prednisona oral; este esquema ha permitido la remisión en aproximadamente el 75 % de los pacientes a los tres meses y hasta el 90 % a los seis meses, aunque las recaídas y los efectos secundarios adversos son frecuentes con este esquema, por lo cual recientemente se han desarrollado nuevos regímenes de tratamiento para limitar la exposición a ciclofosfamida y glucocorticoides.
Durante las fases de mantenimiento, las terapias biológicas que se dirigen a componentes celulares y moleculares específicos de la respuesta autoinmune y los mediadores de la lesión inflamatoria pueden ser más efectivas y menos tóxicas, como es el caso del uso de rituximab. La duración de la terapia debe continuarse durante al menos 24 meses después de que se haya obtenido una remisión sustancial, porque la interrupción temprana del tratamiento se asocia con un mayor riesgo de recaída. Por esta razón, los pacientes deben ser monitoreados regularmente para diagnosticar y tratar rápidamente una posible recurrencia (11, 3).
A pesar de la alta tasa de remisión en pacientes con VAA, la tasa de enfermedad renal crónica terminal es de alrededor del 8 % a los seis meses y aumenta al 14 % al año; los pacientes con MPA tienen más probabilidades de desarrollar enfermedad renal crónica terminal en comparación con aquellos con GPA (20,0 frente a 9,0 %, respectivamente, p < 0,01).
Conclusiones
Para concluir, el diagnóstico oportuno y el establecimiento de una terapia inmunomoduladora adecuada son el pilar fundamental en el abordaje de esta entidad. Un diagnóstico tardío está directamente relacionado con un pobre pronóstico (12) a corto plazo. El diagnóstico oportuno requiere de un índice de sospecha apropiado, familiaridad con la amplia gama de síntomas y signos de presentación y el conocimiento necesario para distinguir con precisión la vasculitis ANCA y GN de otras formas de vasculitis de vasos pequeños y GN con presentaciones similares (10, 13).
Los avances continuos en la comprensión de los mecanismos fisiopatológicos de la enfermedad y el desarrollo de terapias más efectivas, menos tóxicas indudablemente, conducirán a resultados aún mejores en el futuro, que impacten en la sobrevida de los pacientes.
En cuanto al caso clínico, consideramos que una sospecha precoz y el inicio oportuno de un tratamiento multimodal adecuado, incluyendo inmunosupresión y una terapia de reemplazo renal con acompañamiento estrecho, fueron fundamentales para la recuperación de la función renal del paciente.
Se solicitó consentimiento informado al paciente para publicar su caso, publicar sus resultados, respetándose siempre la reserva a su identidad. De acuerdo con la clasificación de la resolución N.° 008430 de 1993 (4 de octubre de 1993), según la Republica de Colombia y su Ministerio de Salud, este reporte de caso se considera una investigación sin riesgo, por lo cual no se solicitó aval por el comité de bioética. Además, los autores declaran que este artículo no contiene información personal que permita identificar al paciente.
Referencias
Geetha D, Jefferson JA. ANCA-Associated Vasculitis: Core Curriculum 2020. Am J Kidney Dis. 2020;75(1):124-37. https://doi.org/10.1053/j.ajkd.2019.04.031
Jain V, Tiwari V. Microscopic Polyangiitis. StatPearls. Treasure Island, Florida: StatPearls Publishing; 2020.
Yates M, Watts R. ANCA-associated vasculitis. Clin Med. 2017;17(1):60-4. https://doi.org/10.7861/clinmedicine.17-1-60
Watts RA, Mahr A, Mohammad AJ, Gatenby P, Basu N, Flores-Suárez LF. Classification, epidemiology and clinical subgrouping of antineutrophil cytoplasmic antibody (ANCA)-associated vasculitis. Nephrol Dial Transplant. 2015;30 supl. 1:i14-22. https://doi.org/10.1093/ndt/gfv022
Berti A, Cornec D, Crowson CS, Specks U, Matteson EL. The Epidemiology of Antineutrophil Cytoplasmic Autoantibody-Associated Vasculitis in Olmsted County, Minnesota: A Twenty-Year US Population-Based Study. Arthritis Rheum. 2017;69(12):2338-50. https://doi.org/10.1002/art.40313
Moiseev S, Cohen-Tervaert JW, Arimura Y, Bogdanos DP, Csernok E, Damoiseaux J, et al. 2020 International consensus on ANCA testing beyond systemic vasculitis. Autoimmun Rev. 2020;19(9):102618. https://doi.org/10.1016/j.autrev.2020.102618
Binda V, Moroni G, Messa P. ANCA-associated vasculitis with renal involvement. J Nephrol. 2018;31(2):197-208. https://doi.org/10.1007/s40620-017-0412-z
Han Y, Ma FY, Tesch GH, Manthey CL, Nikolic-Paterson DJ. Role of macrophages in the fibrotic phase of rat crescentic glomerulonephritis. Am J Physiol-Renal Physiol. 2013;304(8):F1043-53. https://doi.org/10.1152/ajprenal.00389.2012
Sethi S, Zand L, De Vriese AS, Specks U, Vrana JA, Kanwar S, et al. Complement activation in pauci-immune necrotizing and crescentic glomerulonephritis: results of a proteomic analysis. Nephrol Dial Transplant. 2017;32(supl. 1):i139-45. https://doi.org/10.1093/ndt/gfw299
Karras A. Microscopic Polyangiitis: New Insights into Pathogenesis, Clinical Features and Therapy. Semin Respir Crit Care Med. 2018;39(4):459-64. https://doi.org/10.1055/s-0038-1673387
Wallace ZS, Miloslavsky EM. Management of ANCA associated vasculitis. BMJ. 2020;368:m421. https://doi.org/10.1136/bmj.m421
Atanov PV, Geetha D, Jefferson JA. ANCA-Associated Vasculitis: Core Curriculum 2020. Arkhiv patologii. 2020;75(1):124-37. https://doi.org/10.1053/j.ajkd.2019.04.031
Jennette JC, Nachman PH. ANCA Glomerulonephritis and Vasculitis. Clin J Am Soc Nephrol. 2017;12(10):1680-91. https://doi.org/10.2215/CJN.02500317
Cómo citar:
Declaración de fuentes de financiación
Conflictos de interés
Contribución de los autores
Author notes
*christiancamilo.giraldo@utp.edu.co