Resumen
Introducción: el síndrome cardiorrenal es una patología dada por la disfunción en la interdependencia de estos órganos por interacciones bidireccionales (agudas o crónicas), los cuales pueden afectar indistintamente la función renal o ventricular.
Objetivo: presentar y justificar la enfermedad renal crónica como desencadenante de cuadros congestivos por falla cardiaca de novo.
Presentación del caso: se reporta el caso de un paciente masculino de 69 años revascularizado percutáneamente hace tres años con múltiples comorbilidades que ingresa en el contexto de una falla cardiaca de novo, secundaria a su enfermedad renal crónica estadio V de base, en manejo con hemodiálisis y en quien se descartó enfermedad coronaria aguda y miocardiopatía infiltrativa. Se logró estabilizar la injuria renal y cardiaca dando egreso y continuando manejo ambulatorio de sus patologías, al llevar un control adecuado de las mismas con Nefrología y Cardiología.
Discusión y conclusión: la enfermedad cardiovascular generada por antecedentes renales tiene una gran repercusión en la función ventricular izquierda, causando hipertrofia, lo que lleva a una congestión con posterior sobrecarga debido a la caída del filtrado glomerular y que resulta en la disminución de la fracción de eyección. La enfermedad renal crónica predispone a alteraciones en la función cardiaca, lo que aumenta el riesgo cardiovascular.
Palabras clave: Síndrome cardiorrenal, insuficiencia cardiaca, enfermedad renal crónica, revascularización miocárdica, diálisis.
Abstract
Background: Cardiorenal syndrome is a pathology caused by dysfunction in the interdependence of these organs due to bidirectional interactions (acute or chronic), which can affect either renal or ventricular function.
Purpose: To present and justify chronic kidney disease as a trigger of congestive conditions due to de novo heart failure.
Case presentation: We report the case of a 69-year-old male patient percutaneously revascularized 3 years ago with multiple comorbidities who was admitted in the context of de novo heart failure secondary to his stage V chronic kidney disease on hemodialysis, in whom acute coronary artery disease and infiltrative cardiomyopathy were ruled out. The renal and cardiac injury was stabilized and the patient was discharged and continued outpatient management of his pathologies with adequate control of the same with nephrology and cardiology.
Discussion and conclusion: Cardiovascular disease generated by renal history has great repercussion in left ventricular function causing hypertrophy that leads to congestion with subsequent overload due to the fall of glomerular filtration resulting in a decrease of the ejection fraction. Chronic kidney disease predisposes to alterations in cardiac function increasing cardiovascular risk.
Keywords: Cardiorenal syndrome, heart failure, chronic renal insufficiency, myocardial revascularization, dialysis.
Artículo casos clínicos
Síndrome cardiorrenal tipo 4 en paciente revascularizado percutáneamente
Cardiorenal syndrome type 4 in a percutaneously revascularized patient
Received: 13 March 2023
Accepted: 25 September 2023
Published: 29 December 202
La relación entre el corazón y los riñones se ha estudiado desde 1836, entre la proteinuria y las anomalías cardiacas. El primer estudio sobre este tema fue publicado por Robert Bright en 1836, quien encontró que la incidencia de la enfermedad cardiovascular (ECV) en pacientes con enfermedad renal estaba relacionada con la excreción urinaria de albúmina (1); donde el síndrome cardiorrenal (SCR) se define como un trastorno fisiopatológico multiorgánico en el que la disfunción aguda o crónica de un órgano puede conducir a la disfunción de otro órgano que involucra los sistemas cardiovascular y renal (2, 3). Se han descrito cinco tipos de SCR: según un factor patogénico común del corazón (SCR 1 y 2), riñón (SCR 3 y 4) o ambos (SCR 5) (4).
La enfermedad cardiaca en todas sus etapas es una complicación común de la enfermedad renal crónica (ERC) avanzada o terminal, especialmente cuando se combina con insuficiencia cardiaca (IC), que es la principal causa de muerte en pacientes que reciben terapia de reemplazo renal. La alta incidencia de morbimortalidad cardiovascular en pacientes con ERC terminal, especialmente con IC, origina inicialmente un daño miocárdico que conduce a un remodelado ventricular, lo que induce la activación de mecanismos compensatorios, donde el riñón es una ficha clave porque regula la homeostasis hidroelectrolítica y, por ende, la circulación, lo que se ve más claramente en la fase de diálisis (5).
La incidencia y la prevalencia de la ERC y la IC vienen en aumento, estas dos se involucran en el SCR tipo 4, que se define como una entidad que se asocia con la progresión de la ERC, también con aterosclerosis secundaria a diabetes y enfermedad arterial, hipertrofia ventricular izquierda más disfunción sistólica, diastólica y fibrosis cardiaca. Además, involucra varias líneas patogénicas que incluyen activación neurohormonal, lesión oxidativa, inflamación, alteraciones electrolíticas e incluso del eje hueso-mineral (6, 7, 8). Es importante la identificación temprana del paciente en potencial riesgo de desarrollo de SCR tipo 4, ya que el aumento de la actividad simpática renal lleva a la reducción de la tasa de filtración glomerular (TFG) y la fracción de eyección con el consecuente riesgo de eventos cardiovasculares y de resultar en una gran morbimortalidad (9). En este sentido, presentamos el caso de un paciente con afectación cardiaca inducida por ERC en diálisis, donde se describe su evolución y las pruebas diagnósticas usadas con el fin de descartar primero otras posibles causas de problemas cardiacos agudos.
Paciente masculino de 69 años, raza mestiza, natural y procedente de Cartagena, Colombia, quien ingresa a urgencias, remitido de consulta externa por cuadro clínico de una semana de evolución, consistente en disnea progresiva de medianos a pequeños esfuerzos, asociado a edema en miembros inferiores. El paciente tiene múltiples comorbilidades: revascularización percutánea de hace tres años, diabetes mellitus tipo 2 (DM2) e insulino requirente, hipertensión arterial sistémica (HTA) en manejo diurético y antihipertensivo, ERC en estadio 5 en hemodiálisis y sin antecedentes de falla cardiaca.
En el examen físico, el paciente se encuentra alerta, hipertenso (160/80 mmHg), saturación al 90 % al aire ambiente (nivel del mar), con ortopnea, disnea de clase funcional grado IV según la NYHA (New York Heart Association), uso de musculatura accesoria e ingurgitación yugular grado II, a la auscultación del ritmo sinusal se encuentran: estertores crepitantes bibasales, reflejo hepatoyugular positivo y edemas grado II en miembros inferiores. Por lo anterior, se clasificó al paciente con sospecha de falla cardiaca estadio B (caliente-húmedo), según la escala de Stevenson, por lo que se hospitaliza y se programa hemodiálisis intrahospitalaria.
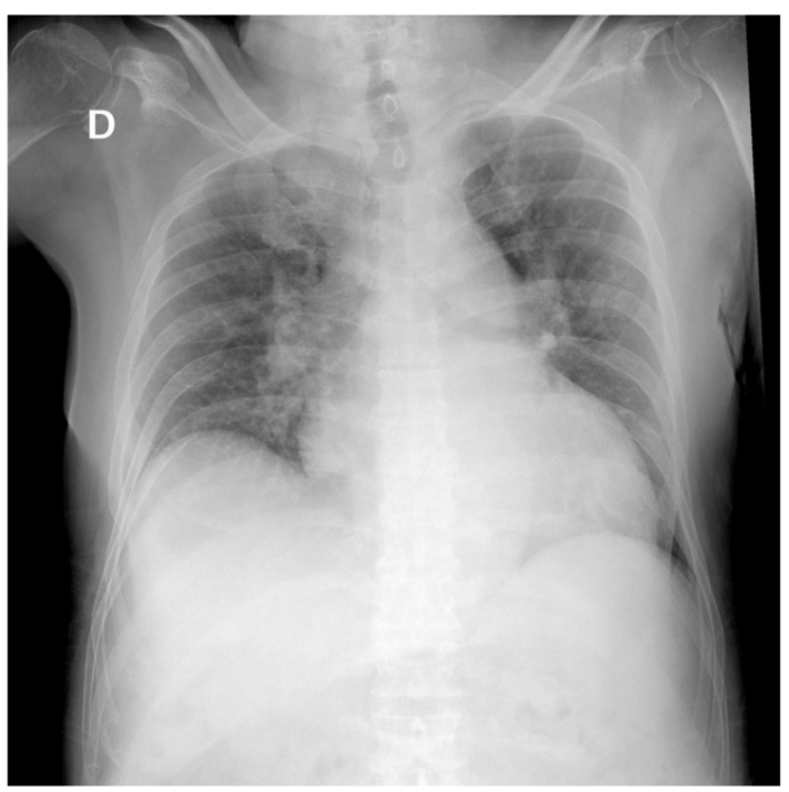
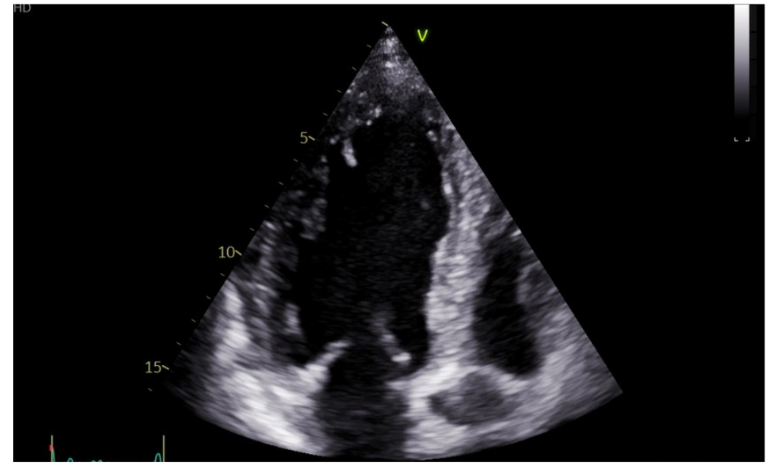
Ingresa a hospitalización y se toman los paraclínicos, los cuales reportan: péptido natriurético tipo B (NT PROBNP): muy elevado de 66.526, electrocardiograma (ECG) con ritmo sinusal, eje desviado a la izquierda y sin trastorno de la repolarización del segmento ST; radiografía de tórax con opacidades en vidrio deslustrado, sin consolidaciones, cardiomegalia y derrame pleural bilateral (figura 1); ecocardiograma transtorácico (ECO TT), donde se evidencia una cardiopatía isquémica con hipertrofia excéntrica del ventrículo izquierdo (VI) con alteraciones de la contractilidad y disfunción sistólica severa, una fracción de eyección del ventrículo izquierdo (FEVI) del 30 %, STRAIN global longitudinal de -7,3 %, disfunción diastólica moderada y una severa dilatación de la aurícula izquierda (AI); además de hipertensión pulmonar de PSAP de 49 mmHg (probabilidad intermedia), ventrículo derecho de tamaño y función normal (figura 2).


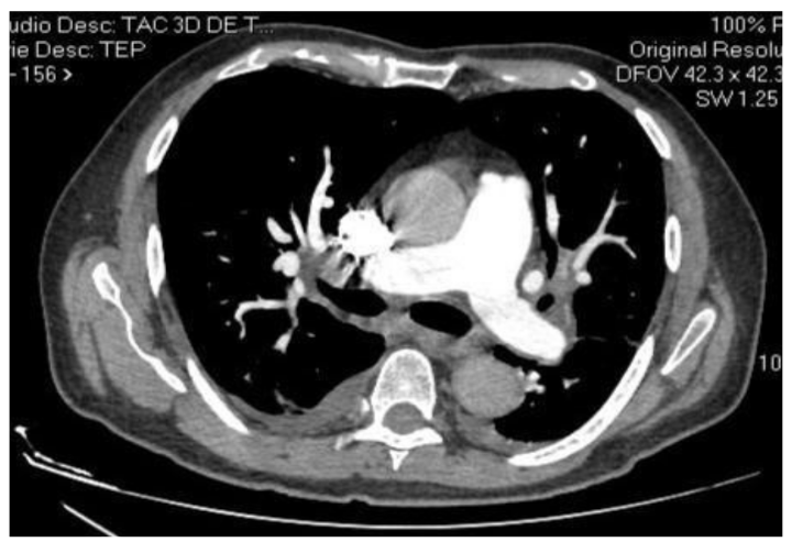
El paciente es valorado por el servicio de Nefrología, el cual ordena hemodiálisis diaria, con sesiones de 4 horas cada una, sin heparina y volumen de 350 ml/min - ultrafiltrado de 3000 cc. Posteriormente, el paciente presentó exacerbación de la disnea y se solicita dímero D con reporte de 700, ante lo cual se complementa con una angiotomografía de vasos pulmonares (angiotac), de acuerdo con el protocolo para tromboembolismo pulmonar (TEP) con reporte negativo para TEP (figura 3). Adicionalmente, se realizaron laboratorios de control creatinina en suero: 9,23 mg/dl, potasio: 5,33 meq/l, sodio: 138 meq/l, hematocrito: 36,7 %, hemoglobina: 11,2 gr/dl, leucocitos: 11.590, neutrófilos: 80,9 %, plaquetas: 275.000 y HBA1C fuera de metas (9,5 %), lo que aumenta su riesgo cardiovascular.

Además, el paciente fue valorado por el servicio de Cardiología que inició manejo para falla cardiaca e indicó descartar el sustrato isquémico por reducción de la FEVI, según reporte previo de ECO TT de hace tres meses con FEVI preservada del 50 %. Se pasó a arteriografía coronaria con reporte de stents permeables sin rastro de enfermedad coronaria aguda, pero el paciente continuaba congestivo y ante la presencia de derrame pleural bilateral, se pidió una ecografía de bases pulmonares con hallazgo de derrame bilateral (derecho: 377 cc, izquierdo: 268 cc) con predominio derecho, previo a hemodiálisis.
Ante el hallazgo positivo del derrame bilateral se indicó toracentesis bilateral, la cual no se realizó debido a que el ecografista no encontró presencia de líquido significativo para drenar.
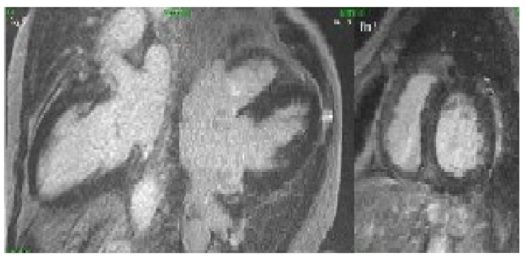
Al seguimiento de Cardiología, en vista de no tener enfermedad coronaria aguda, se indicó descartar miocardiopatía infiltrativa a través de una resonancia magnética (RMN) cardiaca con contraste (figura 4), la cual fue negativa, por lo que se requirió hemodiálisis antes y después del procedimiento, de acuerdo con las pautas por Nefrología. En este momento el paciente estaba estable y no congestivo, por lo cual con el esquema de hemodiálisis ya prescrito y el manejo para falla cardiaca ya establecido, se indicó el alta médica con diagnóstico de SCR tipo 4.

Discusión
Se trata de un paciente con múltiples antecedentes patológicos y con gran tendencia a asociarse con efectos cardiorrenales, entre los que destacan la hipertensión arterial, la dislipidemia y la DM2, todas prevalentes en individuos con ERC que a su vez generan más carga entre ellas mismas; dicho esto, se convierte en un círculo vicioso con riesgo de otros resultados adversos como hospitalizaciones por IC. De este modo, la enfermedad renal estimula al avance de la ECV y viceversa (10, 11, 12, 13).
El paciente ingresa con cifras tensionales fuera de metas y en su estancia hospitalaria se documenta HbA1C también fuera de metas, aunque estas explicarían el deterioro de su función renal primaria antes de su IC, ya que los pacientes con SCR tipo 4 pueden debutar con enfermedad renal diabética y su posterior remodelado ventricular es explicado por la sobrecarga, la anemia y los cambios microvasculares generados por la uremia (23).
La ECV causada por la lesión renal crónica es generada por diferentes mecanismos fisiopatológicos. En este caso, la uremia produce una hipertrofia ventricular izquierda importante, hay una disminución de la eficiencia diurética, una reducción de la resistencia a los diuréticos y un empeoramiento de la congestión, dando lugar a una mayor sobrecarga generada por la caída de la TFG que determina el deterioro de la función ventricular, con una evidente disminución de la fracción de eyección (14, 15, 16, 17).
Por otro lado, los efectos intravasculares como el estrés oxidativo, la sobrecarga de citoquinas y los mecanismos de remodelación endotelial, como efecto de la terapia de reemplazo renal, provocan un aumento de la resistencia vascular periférica, donde el riesgo de ateromatosis está presente en sus antecedentes patológicos, sumado a que la principal causa de IC con fracción de eyección reducida en los pacientes con SCR es la isquémica, de acuerdo con las guías americanas. Asimismo, el 80 % de los pacientes en hemodiálisis tienen alguna cardiopatía (10, 16, 18). Por lo anterior, se descarta la enfermedad coronaria como causante del deterioro de la función ventricular con estratificación coronaria invasiva que evidencia permeabilidad de los stents.
La ERC aumenta la incidencia de eventos cardiovasculares en la población general (19), donde la evidencia describe que el remodelado ventricular, la disfunción diastólica izquierda y la prevalencia de hipertrofia ventricular izquierda aumentan un 75 % en un 30 % de los pacientes antes de iniciar la terapia de reemplazo renal y aumenta al 90 % después del inicio de la hemodiálisis (2, 3). El análisis del ensayo SOLVD (estudio de disfunción ventricular izquierda) mostró que la insuficiencia renal moderada aumenta el riesgo de un mayor número de hospitalizaciones por falla cardiaca y muerte por fallo de bomba, de este modo, la SCR tipo IV aumenta de 10 a 30 veces la mortalidad en comparación con la población general (16, 20, 21, 22).
También se descarta una miocardiopatía infiltrativa por resonancia cardiaca, a pesar de no presentar antecedentes de enfermedad amiloide. Las formas adquiridas de amiloidosis cardiaca sugieren a la terapia de reemplazo renal como asociada a la aparición de la forma amiloide Aβ2M por mal plegamiento de la microglobulina β2. A su vez, el uso de la resonancia también permitió evaluar la función ventricular y la presencia de fibrosis miocárdica, la cual se puede presentar por la inflamación y el estrés oxidativo en el compromiso cardiaco por uremia, al tener en cuenta que esta avanza paralelamente a la falla renal y cardiaca (14, 24, 25).
El SCR bien conocido puede generar múltiples escenarios con variedad de desenlace. Es claro que a pesar de la información clínica ya existente, aún sigue teniendo una importante repercusión cardiorenovascular.
Presentamos el caso de un paciente sin antecedentes de IC, donde inicialmente se enfatizó en la búsqueda o el descarte inicial de otras causas, al tener en cuenta cambios importantes en la fracción de eyección y la sintomatología propia de una falla cardiaca. Por su patología renal de base se concluyó SCR de tipo 4, sumado a su condición cardiaca; por ello, es vital indagar la sintomatología y los antecedentes, para tener una guía de posible diagnóstico y manejo al ingreso del paciente, con el fin de evitar repercusiones cardiovasculares que compliquen su estado. Hacemos esta presentación de caso clínico para contribuir al conocimiento científico, con la intención de ampliar la información y mejorar los resultados en este tipo de pacientes.
A nuestros colegas participantes en este trabajo por sus aportes y dedicación, y al paciente y sus familiares por permitir que su caso sea publicado para el enriquecimiento científico.
*mayialgarin@gmail.com



