Case reports
INFECTED PULMONARY INFARCTION CASE REPORT
INFARTO PULMONAR INFECTADO. REPORTE DE CASO
INFECTED PULMONARY INFARCTION CASE REPORT
Case reports, vol. 3, no. 1, pp. 1-8, 2017
Universidad Nacional de Colombia
ABSTRACT
Introduction: Pulmonary infarction occurs in 29% to 32% of patients with pulmonary thromboembolism (PTE). The infection of a pulmonary infarction is a complication in approximately 2 to 7% of the cases, which makes it a rare entity.
Case Presentation: 49-year-old woman with pleuritic pain in the left hemithorax that irradiated to the dorsal region, associated with dyspnea and painful edema in the left lower limb of two days of evolution. Two weeks prior to admission, the patient suffered from a left knee trauma that required surgical intervention; however, due to unknown reasons, she did not receive antithrombotic prophylaxis. Physical examination showed tachycardia, tachypnea and painful edema with erythema in the left leg. After suspecting a pulmonary thromboembolism, anticoagulation medication was administered and a chest angiotomography was requested to confirm the diagnosis. The patient experienced signs of systemic inflammatory response, and respiratory deterioration. A control tomography was performed, suggesting infected pulmonary infarction. Antibiotic treatment was initiated, obtaining progressive improvement; the patient was subsequently discharged, and continued with anticoagulation medication and follow-up on an outpatient basis.
Conclusions: Pulmonary infarction is a frequent complication in patients with PTE. Therefore, infected pulmonary infarction should be suspected in patients with clinical deterioration and systemic inflammatory response. The radiological difference between pulmonary infarction and pneumonia is not easily identified, thus the diagnostic approach is clinical, and anticoagulant and antimicrobial treatment should be initiated in a timely manner.
Keywords: Pulmonary infarction+ Pulmonary embolism+ Anticoagulation.
RESUMEN
Introducción : El infarto pulmonar ocurre entre un 29 y un 32% de pacientes con tromboembolismo pulmonar (TEP). Por su parte, la infección de un infarto pulmonar complica aproximadamente del 2 al 7% de los casos, lo que hace que el infarto pulmonar infectado sea una entidad poco frecuente.
Descripción del caso :
Mujer de 49 años con dolor pleurítico en hemitórax izquierdo, irradiado a región dorsal, asociado a disnea y edema doloroso de miembro inferior izquierdo de dos días de evolución. Dos semanas antes de su ingreso la paciente sufrió trauma de rodilla izquierda, el cual que requirió intervención quirúrgica; sin embargo, por motivos desconocidos, no recibió profilaxis anti trombótica. En el examen físico se encontró taquicardia, taquipnea y edema doloroso con eritema en pierna izquierda. Al existir alta sospecha de tromboembolia pulmonar se inició anticoagulación y se solicitó angiotomografía de tórax, con la cual fue posible confirmar el diagnóstico. Durante su evolución, la paciente experimentó signos de respuesta inflamatoria sistémica, deterioro respiratorio. Se realizó tomografía de control sugestiva de infarto pulmonar infectado. Se inició antibiótico y la paciente mejoró de forma progresiva; después de esta mejora, fue dada de alta para continuar anticoagulación y seguimiento ambulatorios.
Conclusiones : El infarto pulmonar es una complicación frecuente en pacientes con TEP. Por lo tanto, debe sospecharse infarto pulmonar infectado en pacientes con deterioro clínico y respuesta inflamatoria sistémica. La diferencia radiológica entre infarto pulmonar y neumonía no es fácil de identificar, su enfoque diagnóstico es clínico y el tratamiento anticoagulante y antimicrobiano debe iniciarse de manera oportuna.
Palabras clave: Infarto pulmonar, Embolismo pulmonar, Anticoagulación.
INTRODUCTION
Pulmonary thromboembolism (PTE) is the third leading cause of death related to cardiovascular disease, in which acute right ventricular failure and pulmonary infarction are the main complications 1. Some studies have reported that pulmonary infarction occurs in 29% to 32% of patients with PTE 1-3.
Pulmonary infarction secondary to pulmonary embolism is more common in patients with low cardiopulmonary reserve 4. A study showed that pulmonary infarctions in patients with PTE occurred in 36% of congestive heart failure cases, and in 54% of patients with hypotension and shock 5. Nevertheless, more recent studies have indicated that young patients with good health status prior to PTE can have a higher incidence of pulmonary infarction 6,3. In addition, a high thrombotic burden has been associated with an increased probability of pulmonary infarction, although this is observed in small pulmonary arteries 7.
In general, pulmonary infarction causes pleuritic pain, tachypnea, dyspnoea and, in extremely rare cases, coughing with hemoptysis 8; therefore, radiological differentiation from other entities such as masses, atelectasis and pneumonia is difficult.
Pulmonary infarction is usually observed in subpleural regions and occurs predominantly in the lower lobes, especially the right lobe. The most common radiological finding is a triangular consolidation of the pulmonary parenchyma (50%), although segments with a ground glass pattern (35.9%) and Hampton sign (14.5%) can also be observed, which help to differentiate it from masses and pneumonia 6,9,10.
Multiple complications have been associated with pulmonary infarction, including pneumonia, pneumothorax, bronchopulmonary fistula, alveolar hemorrhage, cavitations, empyema and pulmonary abscess 11. Infection associated with pulmonary infarction is a rare but important complication, as it may result in the formation of abscesses and empyemas that may require surgical drainage.
The obstruction of a pulmonary vessel secondary to a sterile plunger is suggested to be the cause of blood extravasation into the surrounding tissues, of edema in adjacent bronchial walls, and of the increase of endo-bronchial secretion, which forms a favorable environment for colonization and bacterial infection by air or blood 12. Bashir & Benson 13, based on a series of postmortem studies, estimated the incidence of lung infarction infection in 2 to 7% 13. The presence of fever, sweating, tachycardia, purulent sputum, as well as of deterioration of the general condition and leukocytosis after pulmonary infarction, is highly suggestive of infection, which is why the spectrum of etiological agents is considered similar to that described in nosocomial pneumonia 11. In cases of infected pulmonary infarction, anticoagulant and antibiotic therapies should be initiated timely and selected according to local resistance patterns, associated pathogens, patient characteristics and clinical context in general 5.
This paper reports a case compatible with pulmonary thromboembolism complicated by infected pulmonary infarction.
CASE PRESENTATION
49-year-old female, public accountant, from Bogotá, Colombia who consulted due to a two-day long clinical picture involving pleuritic pain in the left hemithorax, irradiated to the dorsal region, associated with sudden dyspnea, edema, and warm sensation on the lower left limb; no fever, coughing or hemoptysis were reported. Two weeks prior to consultation, the patient underwent meniscus reconstruction, and anterior and posterior cruciate ligament and left knee chondroplasty secondary to a closed trauma. No postoperative antithrombotic prophylaxis was performed after the procedure due to unknown reasons. The patient had an important history of class 1 obesity, with no previous pathological, toxic or allergic symptoms nor previous hospitalizations.
Physical examination on admission showed a normal general condition, with blood pressure of 97/63 mmHg, heart rate of 106 bpm, respiratory rate of 20 rpm, oxygen saturation at 96%, oxygen inspired fraction of 0.21, and axillary temperature of 36.5°C. Her height was 160 cm and weight 83 kg, which showed a body mass index (BMI) of 32.4 kg/m2. Thorax auscultation showed P2> A2 without murmurs; fine crackles were also identified in the base of the left lung. Edema in the foot and proximal third of the leg was found in the lower left limb, with local erythema and superficial pain on palpation.
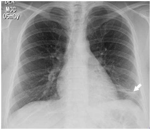
The following tests were performed: blood count, electrolytes, blood urea nitrogen (BUN) and creatinine, which were within normal limits. On the other hand, the electrocardiogram showed sinus tachycardia, while the echo-cardiogram had a structural and functionally normal heart. Finally, the chest X-ray revealed left basal lamellar atelectasis and right atrium growth (Figure 1).

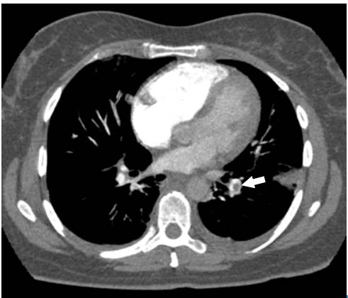
The Wells scale was applied, finding a high probability for pulmonary thromboembolism. Anticoagulation was initiated with low molecular weight heparin (enoxaparin) at a dose of 1 mg/kg every 12 hours, and a computed axial angiography (AngioCAT) of the chest was performed, confirming the diagnostic suspicion by reporting pulmonary artery obstruction in the trunk of the lower left basal segment (Figure 2).

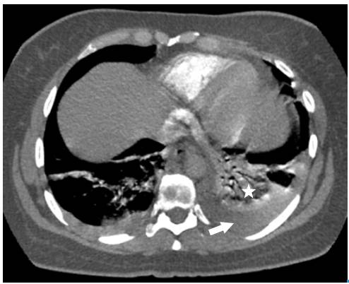
Surprisingly, after initiating anticoagulation and other general treatment measures indicated for pulmonary thromboembolism, and about three days after her hospitalization, the patient required increased oxygen flow through nasal cannula, her chest pain worsened, and presented with dyspnea, fever, leukocytosis, tachycardia, and tachypnea. Control para-clinical exams were requested, revealing high C-reactive protein and a significant increase in leukocytes at neutrophils expense. A new chest tomographic evaluation was performed, in which wedge densities were identified in the middle and lower right lobes and in the lower left lobe, as well as an aerial bronchogram of the right lower lobe and bilateral pleural effusion (Figure 3 and 4). No blood cultures or sputum cultures were performed.

With this in mind, infected pulmonary infarction was diagnosed and broad-spectrum antibiotic therapy with piperacillin + tazobactam was initiated at a dose of 4.5 g intravenously every six hours, considering that the infection was nosocomial and that the patient had undergone a recent hospitalization, thus increasing the risk of resistant germs.
The patient improved progressively, and oral anticoagulation with warfarin was initiated at a dose of 5 mg every 24 hours. After completing the seventh day of antibiotic treatment and with INR (International Normalized Ratio) within the therapeutic range, she was discharged with anticoagulation prescription for three months initially, and internal medicine outpatient controls. No adverse reactions to treatments during hospitalization were observed. Figure 4 shows the timeline of the reported case


DISCUSSION
This case shows the clinical evolution of a patient with PTE, which progressed to pulmonary infarction and infection of the necrotic lung tissue. This case is relevant from several points of view, since it points the importance of thrombus prophylaxis in patients at risk, and exposes complications that endanger patients' lives and generate diagnostic, therapeutic and research challenges.
Many risk factors are associated with pulmonary thromboembolism; in this case, the patient presented trauma, surgery, immobility and obesity 14. The incidence of PTE can be reduced by performing thrombus prophylaxis in patients undergoing orthopedic knee surgery, particularly in the presence of additional risk factors 15. Therefore, prophylaxis until patients recover mobility is highly recommended 16.
PTE diagnosis was obtained by following the guidelines for clinical practice 17, that is to say, by classifying the probabilities through Wells scale and confirming the diagnosis with the test of choice, in this case, chest AngioCAT.
On the other hand, the evolution of the patient's clinical picture, besides the development of systemic inflammatory response, elevation of acute phase reactants, exacerbation of pleuritic pain and respiratory deterioration, caused the suspicion of infected pulmonary infarction 8. This clinical presentation, along with compatible diagnostic images, was the basis of the diagnosis. In this case, a significant improvement was achieved, allowing hospital discharge and a good short- and long-term prognosis.
Nevertheless, it is important to mention that this report has significant limitations: the lack of microbiological isolates to determine the etiological agent, the lack of clinical practice guidelines for the diagnosis and treatment of infected pulmonary infarction, and the radiological difficulty to differentiate bacterial pneumonia and pulmonary infarction 11. In addition, antibiotic treatment was selected based on the extrapolation of the local guidelines for the treatment of nosocomial pneumonia. Further research on the subject is necessary to better understand, diagnose, treat and prevent this entity, in order to improve care and clinical outcomes of patients.
In conclusion, pulmonary infarction is a common complication of pulmonary thromboembolism, which can become infected on rare occasions. Consequently, a high degree of clinical suspicion and adequate interpretation of the evolution are necessary to establish the diagnosis and to provide timely management.
Patient Perspective: the patient expressed gratitude for receiving medical care in an appropriate and humanized way.
Informed consent: the patient consented the publication of the information used in this case report.
REFERENCES
1. Kirchner J, Obermann A, Stückradt S, Tüshaus C, Goltz J, Liermann D, et al. Lung Infarction Following Pulmonary Embolism: A Comparative Study on Clinical Conditions and CT Findings to Identify Predisposing Factors. Rofo. 2015;;187(6):440-4. http://doi.org/bx9z.
2. Gadkowski LB, Stout JE. Cavitary pulmonary disease. Clin Microbiol Rev. 2008;21(2):305-33, table of contents. http://doi.org/dq4kf8.
3. Miniati M, Bottai M, Ciccotosto C, Roberto L, Monti S. Predictors of Pulmonary Infarction. Medicine (Baltimore). 2015;94(41):e1488. http://doi.org/f3pjf5.
4. Morgenthaler TI, Ryu JH, Utz JP. Cavitary Pulmonary Infarct in Immunocompromised Hosts. Mayo Clin Proc. 1995;70(1):66-8. http://doi.org/dzxf35.
5. Hampton AO, Castleman B. Correlation of postmortem chest teleroentgenograms with autopsy findings with special reference to pulmonary embolism and infarction. AJR Am J Roentgenol. 1940;43:305-26.
6. Miniati M. Pulmonary Infarction: An Often Unrecognized Clinical Entity. Semin Thromb Hemost. 2016;42(8):865-9. http://doi.org/bx92.
7. Cha S-I, Shin K-M, Lee J, Hwangbo Y, Yoo S-S, Lee J, et al. Clinical relevance of pulmonary infarction in patients with pulmonary embolism. Thromb Res. 2012;130(3):e1-5. http://doi.org/bx93.
8. Stein PD, Henry JW. Clinical Characteristics of Patients With Acute Pulmonary Embolism Stratified According to Their Presenting Syndromes. Chest. 1997;112(4):974-9. http://doi.org/bkzg44.
9. Kuriakose J, Patel S. Acute Pulmonary Embolism. Radiol Clin N Am. 2010;48(1):31-50. http://doi.org/dgsj4k.
10. He H, Stein MW, Zalta B, Haramati LB. Pulmonary infarction: spectrum of findings on multidetector helical CT. J Thorac Imaging. 2006 Mar;21(1):1-7. http://doi.org/bj9n4b.
11. Djordjevic I, Pejcic T. Cavitary Pulmonary Infarct: The Differential Diagnostic Dilemma - A Case Report. In: Okuyan Erugrul (Ed.). Venous Thrombosis - Principles and Practice. InTech; 2012 http://doi.org/bx94.
12. Janes RM. Abscess of the Lung. Can Med Assoc J. 1942 [cited 2016 Jul 30];47(6):540-5. Available from: Available from: https://goo.gl/Hrn5Hj.
13. Bashir Y, Benson MK. Necrotising pneumonia and empyema due to Clostridium perfringens complicating pulmonary embolus. Thorax. 1990;45(1):72-3. http://doi.org/fqkc8t.
14. Steffen LM, Cushman M, Peacock JM, Heckbert SR, Jacobs DR Jr, Rosamond WD, et al. Metabolic syndrome and risk of venous thromboembolism: Longitudinal Investigation of Thromboembolism Etiology. J Thromb Haemost. 2009;7(5):746-51. http://doi.org/dqjbcx.
15. Kearon C. Natural History of Venous Thromboembolism. Circulation. 2003;107(23 suppl 1):122-30.
16. National Institute for Health and Care Excellence (NICE). Venous thromboembolism: reducing the risk for patients in hospital. Londres: NICE; 2010 [cited 2016 Jul 30]. Clinical guideline [CG92]. Available from: Available from: https://goo.gl/wbRNc7.
17. Konstantinides S, Torbicki A, Agnelli G, Danchin N, Fitzmaurice D, Galiè N, et al. Guía de práctica clínica de la ESC 2014 sobre el diagnóstico y el tratamiento de la embolia pulmonar aguda. Rev Española Cardiol. 2015;68(1):64.e1-64.e45. http://doi.org/f2xz6j.
Notes
Author notes
*Corresponding author Sebastián Felipe Sierra Umaña. Universidad Nacional de Colombia Facultad de Medicina, Departamento de Medicina Interna - Sede Bogotá - Colombia. Email: sfsierrau@unal.edu.co