Resumo: Introdução: a sarcoidose é uma granulomatose sistêmica de etiologia desconhecida, que se pode manifestar de forma aguda como síndrome de Löfgren em 20 %-50 % dos indivíduos, a qual, não obstante ter um curso benigno, exige uma vigilância e acompanhamento cuidadosos dos doentes. Esta síndrome caracterizada pela tríade eritema nodoso, linfadenopatias hilares bilaterais e poliartralgia ou poliartrite, não carece de confirmação histológica para o diagnóstico e é mais prevalente em mulheres caucasianas até aos 35 anos de idade. Apresenta bom prognóstico e pode ter resolução espontânea das queixas no primeiro ano após o aparecimento. Caso Clínico: os autores apresentam o caso clínico de uma doente de 20 anos que recorreu ao serviço de urgência com lesões nodulares, avermelhadas e dolorosas nos membros inferiores, acompanhadas de mal-estar geral e gonalgias bilaterais com compromisso funcional. Constataram-se linfadenopatias e hilares bilaterais e elevação da enzima conversora da angiotensina sérica. Conclusão: a doente teve resposta favorável a um ciclo curto de corticoterapia e analgesia com anti-inflamatórios não esteroides.
Palavras-chave:síndrome Löfgrensíndrome Löfgren, sarcoidose sarcoidose, eritema nodoso eritema nodoso.
Abstract: Introduction: Sarcoidosis is a systemic granulomatosis of unknown etiology that can manifest acutely as Löfgren’s syndrome in 20-50% of the individuals, which despite having a benign course, requires careful monitoring and follow-up of patients. This syndrome characterized by erythema nodosum, bilateral hilar lymphadenopathy and polyartralgia or polyarthritis, does not require histological evidence for the diagnosis and is more prevalent in caucasian women until the age of 30 years. It has good prognosis and may have spontaneous resolution of complaints usually occur in the first year after the onset. Case Presentation: The authors present the case of a 20-year-old female who went to the emergency department with complaints of nodular, reddish and painful lesions in the lower limbs, accompanied by general malaise and bilateral knee pain associated with functional impotence. Conclusion: Radiographic changes and elevation of the serum angiotensin converting enzyme were observed, with the patient responding well to a short course of corticosteroids and analgesia with nonsteroidal anti-inflammatory drugs.
Keywords: Löfgren syndrome, sarcoidosis, erythema nodosum.
Resumen: Introducción: la sarcoidosis es una granulomatosis sistémica de etiología desconocida, que se puede manifestar de forma aguda como síndrome de Löfgren en 20 %-50 % de los individuos, la cual, a pesar de tener un curso benigno, exige una vigilancia y acompañamiento cuidadoso de los enfermos. Este síndrome, caracterizado por la triada eritema nodoso, linfadenopatias hilares bilaterales y poliartralgia o poliartritis, no carece de confirmación histológica para el diagnóstico y es más prevalente en mujeres caucasianas hasta los 35 años. Presenta buenos pronósticos y puede tener resolución espontánea de las quejas en el primer año después del aparecimiento. Caso clínico: los autores presentan el caso clínico de una paciente de 20 años que acudió al servicio de urgencia con lesiones nodulares, enrojecidas y dolorosas en los miembros inferiores, acompañadas de malestar general e gonalgias bilaterais com compromiso funcional. Se confirmaron linfadenopatías y hilares bilaterales y aumento de la enzima conversora de la angiotensina sérica. Conclusión: la paciente tuvo respuesta favorable a un ciclo corto de corticoterapia y analgesia con antinflamatorios, no esteroides.
Palabras clave: síndrome Löfgren, sarcoidosis, eritema nodoso.
Presentación de caso
Síndrome Löfgren – o melhor cenário da sarcoidose
Löfgren Syndrome – Sarcoidosis’s Best Scenario
Síndrome Löfgren – El mejor escenario de la sarcoidosis
Recepção: 11 Abril 2018
Aprovação: 15 Outubro 2018
A tríade que tradicionalmente descreve a síndrome de Löfgren (SL) foi inicialmente descrita em 1953, por Sven Löfgren (1). É definida pela associação entre eritema nodoso, linfadenopatia hilar bilateral (LHB), usualmente com artralgias ou artrite e é reconhecida como uma apresentação aguda de sarcoidose em 20 a 50% dos doentes (2, 3). A poliartrite aguda ocorre em 10 a 39% dos doentes com sarcoidose, particularmente no início da doença e a LHB está quase invariavelmente presente na artrite aguda sarcoidótica (4, 5). Na SL, a poliartrite é caracteristicamente simétrica afetando, essencialmente, tornozelos, mas também joelhos e pequenas articulações dos pés e mãos (6, 7). Tem bom prognóstico, ao contrário da sarcoidose, que é uma doença crônica e por isso exige terapêutica a longo prazo (8, 9).
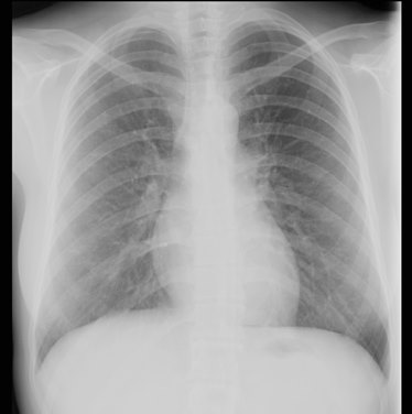
Os autores apresentam o caso de uma doente do sexo feminino, com 20 anos, que recorreu ao serviço de urgência por lesões cutâneas máculo-papulares, avermelhadas, dolorosas e pruriginosas, coalescentes em certas áreas e localizadas sobretudo ao nível dos membros inferiores (figuras 1, 2 e 3), mas também na região dorsal e membros superiores. A doente não apresentava antecedentes pessoais relevantes ou toma de medicação habitual. Negava presença de febre mas referia artralgias, com cerca de 2 meses de evolução, sobretudo nos joelhos, com rigidez articular e compromisso funcional coincidindo, geralmente, com as lesões cutâneas. Descrevia ainda adenopatias cervicais ocasionais e, nos períodos em que apresentou as lesões cutâneas, foram identificadas adenopatias inguinais, indolores, bilaterais e infra-centimétricas. Analiticamente apresentou um discreto aumento da velocidade de sedimentação (máximo de 20 mm/h) e uma elevação da enzima de conversão da angiotensina sérica (SACE, máximo de 67 ug/L). Realizou tomografia computorizada torácica que, numa fase inicial, não mostrou alterações sugestivas de sarcoidose mas cujo controlo radiológico posterior, evidenciou adenopatias hilares bilaterais (figura 4), sobretudo ao nível hilar direito. Constatou-se associadamente, hiperventilação em repouso, no estudo funcional respiratório. Foi excluída patologia hematológica e infeciosa, nomeadamente, tuberculose, como etiologias possíveis de granulomas não caseosos e adenopatias múltiplas. Assim, e perante a indiscutível presença da tríade clássica a que acima se aludiu, foi diagnosticada a SL, optando-se por dispensar confirmação histológica. Considerando a gravidade das queixas articulares, foi iniciada prednisolona 10mg/dia associada a anti-inflamatórios não esteroides, consoante necessidade, durante 2 semanas. Constatou-se resolução total das lesões cutâneas e melhoria franca das queixas álgicas ao fim de 4 semanas. Um ano após o diagnóstico, a doente permanece assintomática, sem recidivas das lesões cutâneas, com parâmetros inflamatórios negativos apesar de valores de SACE no limite superior do normal mantendo, por essa razão, seguimento em consulta.




A sarcoidose é uma doença granulomatosa não-caseosa, multisistêmica de etiologia desconhecida, amplamente disseminada e que, embora possa atingir qualquer órgão, afeta predominantemente os pulmões (80 %) (3). A incidência da sarcoidose varia consideravelmente entre as regiões do globo, sobretudo devido a diferentes exposições ambientais, métodos de diagnóstico e vigilância, mas também a fatores genéticos, sendo a maior prevalência verificada nos países do Norte da Europa e menor nos países mediterrânicos e Japão (10). O SL, particularmente, parece afetar mais as mulheres e os europeus caucasianos, particularmente aqueles descendentes de escandinavos. As manifestações específicas do SL diferem consoante género, enquanto o eritema nodoso predomina nas mulheres, a artropatia/artrite afeta mais o sexo masculino (10, 11). Em ambos os casos é mais comum em indivíduos com menos de 35 anos, e surge maioritariamente nos meses de Primavera (10, 11, 12, 13). A sua patogênese não está totalmente esclarecida, embora se reconheça a existência de uma interação entre a imunidade celular e um antigênio ainda por identificar, desencadeando um processo inflamatório não específico, que ocorre em resposta a fatores genéticos e ambientais, no qual os macrófagos ativados e os linfócitos T CD4+ libertam citocinas que levam à formação dos granulomas (3, 14).
O diagnóstico da síndrome de Löfgren exige a presença de 2 dos 3 aspectos da tríade: eritema nodoso (EN), linfadenopatia hilar bilateral (LHB) e artralgias/artrite. Ainda que o SL se considere uma variante da sarcoidose, a distinção entre estas duas entidades é de extrema importância pelas implicações no prognóstico e tratamento. Um aspecto fundamental no diagnóstico da SL é o reconhecimento do eritema nodoso, uma vez que uma significativa percentagem de doentes com esta manifestação cutânea apresenta SL (5). A necessidade de biópsia confirmadora do diagnóstico não reúne consenso, sendo que vários autores defendem que uma clínica sugestiva tem um valor preditivo positivo suficientemente elevado, podendo nestes casos dispensar-se a realização daquele procedimento invasivo (6, 15).
Considerando o caso descrito, a doente apresentava, além de evidência imagiológica de LHB, poliartralgias simétricas generalizadas, com maior incidência nas articulações dos joelhos, com evidentes sinais de artrite e compromisso funcional. Queixas estas que eram exacerbadas sempre que o eritema nodoso se apresentava mais exuberante. De acordo com séries descritas na literatura, a associação de poliartrite com eritema nodoso é geralmente superada pela poliartrite associada à LHB (6, 7, 8, 9). Importa ressalvar que a SACE está elevada em 50 %-80 % dos doentes com sarcoidose (16). No entanto, estudos recentes demonstraram que a avaliação deste parâmetro, no diagnóstico e monitorização da doença, não apresentou a sensibilidade e especificidade expectáveis, contudo, é aceite que a persistência deste título enzimático elevado aumenta a probabilidade de doença persistente ou recorrente em 14 % e 4 % dos casos, respectivamente (5, 17). Tendo este fato em consideração, a doente será submetida a vigilância clínica e analítica anual.
O tratamento da maioria dos casos de SL é conservador e inclui repouso e anti-inflamatórios não esteroides e, em alguns casos, ciclos curtos de corticoterapia (18). O prognóstico da síndrome de Löfgren é excelente, com a maioria dos doentes atingindo a remissão ao fim de 1 ano, com reduzida taxa de recorrência das queixas (3, 19).
Para citar este artigo: Cascais-Costa J, Lucas C, Paixão J, Rodrigues A. Síndrome Löfgren
– o melhor cenário da sarcoidose. Rev Cienc Salud. 2019;17(1):149-155.
doi: http://dx.doi.org/10.12804/revistas.urosario.edu.co/revsalud/a.7624
Ao Dr. Amílcar Silva, Serviço de Medicina Interna B, Hospital Geral, Centro Hospitalar e Universitário de Coimbra.
Autora para correspondência: joanacascaiscosta@gmail.com



