Presentación de caso
Tumor fibroso solitario gigante de pleura en paciente joven
Giant Solitary Fibrous Tumor of the Pleura in Young Patient
Tumor fibroso solitário gigante de pleura em paciente jovem
Tumor fibroso solitario gigante de pleura en paciente joven
Revista Ciencias de la Salud, vol. 17, núm. 2, pp. 373-384, 2019
Universidad del Rosario

Recepción: 08 Marzo 2018
Aprobación: 11 Abril 2019
Resumen: Introducción: el tumor fibroso solitario de pleura (tfsp) es una patología poco frecuente, corresponde a menos del 5 % de los tumores primarios de pleura, siendo aún más raros los tumores mayores de 15 cm y aquellos en pacientes menores de 35 años, ya que el pico de incidencia es entre los 60 a 70 años con un solo caso reportado en Colombia. Presentación del caso: paciente femenina de 33 años, sin exposición a asbesto o cigarrillo. Consultó por cuadro de disnea de moderados esfuerzos y dolor dorsal derecho. La tomografía axial computarizada (tac) contrastada de tórax evidenció una gran masa sólida de contornos lobulados que comprometía el 70 % del hemitórax derecho de origen extrapulmonar y que comprimía la aurícula derecha, la inmunohistoquímica de la biopsia percutánea clasificó la lesión como tumor fibroso solitario. Fue llevada a toracotomía posterolateral derecha extendida, donde se encontró un tumor dependiente de la pleura parietal derecha resecado en su totalidad. Histopatología e inmunohistoquímica del producto de resección quirúrgica, compatibles con tumor fibroso solitario de pleura, tamaño 30 x 23 x 16 cm sin características de malignidad. La evolución posoperatoria fue satisfactoria, con un egreso hospitalario temprano. Discusión: en una paciente joven, el tfsp gigante es inusual, posterior a su diagnóstico, y a pesar de tener algunas características que sugerían malignidad: tamaño y origen en la pleura parietal, la resección quirúrgica fue el tratamiento indicado para este tumor, con posterior confirmación histopatológica compatible con tumor benigno.
Palabras clave: tumor fibroso solitario, tumor fibroso solitario de pleura, neoplasia pleural, procedimientos quirúrgicos, embolización terapéutica.
Abstract: Introduction: The solitary fibrous tumor of the pleura (sftp) is an uncommon pathology. It corresponds to less than 5 % of the primary tumors of the pleura. Even much rare is to find one solitary fibrous tumor, of more than 15 cm in patients younger than 35 years since the incidence peak is between 60 to 70 years. There has been only one case reported in Colombia. Case presentation: The subject of study was a 33-year-old female patient, no exposure to asbestos or cigarette. The chief complaints of the patient were mild dyspnea and right dorsal pain. Thoracic contrast-enhanced computerized tomography showed a large solid mass of lobulated contours that compromised 70 % of the right hemithorax, of extrapulmonary origin compressing the right atrium. Immunohistochemistry of the percutaneous biopsy demonstrated a solitary fibrous tumor. The patient underwent an extended right posterolateral thoracotomy. We found and completely resected a tumor hanging on the right parietal pleura. Histopathology and immunohistochemistry of the product of the surgical resection were compatible with a solitary fibrous tumor of the pleura, 30 x 23 x 16cm in size, and no malignancy. The evolution after surgery was satisfactory with an early hospital discharge. Discussion: In a young patient, a giant tfsp is unusual. After diagnosis and despite having some characteristics that suggested malignancy: its size and origin in the parietal pleura, surgical resection was the appropriate procedure for this tumor, with subsequent histopathological confirmation compatible with a benign tumor.
Keywords: Solitary fibrous tumors, solitary fibrous tumor, pleural, pleural neoplasms, pleura, surgical procedures, operative, embolization, therapeutic.
Resumo: Introdução: o tumor fibroso solitário de pleura (tfsp) é uma patologia pouco frequente, corresponde a menos do 5 % dos tumores primários de pleura, sendo ainda mais estranhos os tumores maiores de 15 cm e aqueles em pacientes menores de 35 anos, pois o pico de incidência é entre os 60 a 70 anos com um só caso reportado na Colômbia. Apresentação de caso: paciente feminina de 33 anos, sem exposição a asbesto ou cigarro. Consultou por quadro de dispneia de moderados esforços e dor dorsal direita. A tomografia axial computadorizada (tac) contrastada de tórax evidenciou uma grande massa sólida de contornos lobulados que comprometia o 70 % do hemitórax direito de origem extrapulmonar e que comprimia a aurícula direita, imuno-histoquímica da biopsia percutânea classificou a lesão como tumor fibroso solitário. Foi levada à toracotomia posterolateral direita estendida, encontrando um tumor dependente da pleura parietal direita ressecado em sua totalidade. Histopatologia e imuno-histoquímica do produto de ressecção cirúrgica, compatíveis com tumor fibroso solitário de pleura, tamanho 30 x 23 x 16cm sem características de malignidade. A evolução pós-cirúrgica foi satisfatória, conseguindo um egresso hospitalar precoce. Discussão: em uma paciente jovem, o tfsp gigante é inusual, posterior a seu diagnóstico e apesar de ter algumas características que sugeriam malignidade; tamanho e origem na pleura parietal, a ressecção cirúrgica foi o tratamento indicado para este tumor, com posterior confirmação hispatológica compatível com tumor benigno.
Palavras-chave: tumor fibroso solitário, tumor fibroso solitário de pleura, neoplasia pleural, procedimentos cirúrgicos, embolização terapêutica.
Introducción
El tumor fibroso solitario de pleura (tfsp) es una patología poco frecuente, corresponde a menos del 5 % de los tumores primarios de pleura (1, 2). Se reportaron más de 900 casos en la literatura hasta el 2005, aproximadamente 500 nuevos casos hasta la fecha actual (tabla 1) y solo un caso reportado en Colombia (2,3,4,5).




Son más inusuales los tumores mayores de 15 centímetros y aquellos en pacientes menores de 35 años, con un pico de incidencia entre los 60 a 70 años. La distribución es similar entre hombres y mujeres (2, 6). Estos tumores son de predominio benigno. Sin embargo, entre el 10 % al 20 % son malignos, caracterizados patológicamente según la actividad mitótica, atipia, hipercelularidad y necrosis (7,8,9).
En 1870, Wagner reportó el primer caso de un tumor pleural primario localizado. Posteriormente, Klemperer y Rabin publicaron en 1931 la descripción patológica y clasificaron estos tumores en localizados y difusos. Con el avance de la tecnología y las nuevas técnicas de inmunohistoquímica, se considera que este tumor es de origen mesenquimal (tumor localizado), y actualmente se denomina tumor fibroso solitario de pleura (10). Los tfsp varían en tamaño, siendo reportados pocos casos de tumores gigantes (9, 11,12,13).
Estos tumores pueden surgir de órganos viscerales y tejido mesotelial, de localización extratorácica en un 10 % de los casos, en órganos como meninges, glándulas salivales, boca, hígado, páncreas, vejiga y riñones, entre otros (8, 10, 14). Su localización más frecuente es la pleura: 80 % en la pleura visceral y el 20 % a la pleura parietal (1).
Aparentemente, no hay predisposición genética y no hay relación con exposición a asbesto, tabaco u otro factor ambiental (15).
La clínica del tumor fibroso solitario de pleura (tfsp) gigante suele seguir un curso silente, cuyo hallazgo suele ser incidental en la radiografía o tomografía axial computarizada (tac) de tórax (1, 2, 9, 14).
Presentación del caso
Paciente femenina de 33 años de edad, de bajo nivel educativo y socioeconómico, manejada en un hospital de tercer nivel público perteneciente al Estado. Antecedente de dos gestaciones, como producto dos mortinatos. El primero lo tuvo a los 32 años de edad, presentó una corioamnionitis aguda severa. Era de sexo masculino, de 29 semanas de gestación, con malformaciones congénitas asociadas (Dolicocefalia, orejas de implantación baja y micrognatia). El segundo mortinato lo tuvo a los 33 años de edad, era de sexo femenino, de 24 semanas de gestación, sin malformaciones reportadas, la placenta evidenció numerosos infartos antiguos, deciduitis aguda y subcorionitis aguda. Ningún otro antecedente de importancia, ni exposición a asbesto o cigarrillo.
Consultó por cuadro de 5 meses de evolución, de disnea de moderados esfuerzos y dolor de intensidad variable en dorso derecho manejado con acetaminofén a necesidad. Adicionalmente, refirió pérdida no cuantificada de peso. No presentó síntomas B asociados.
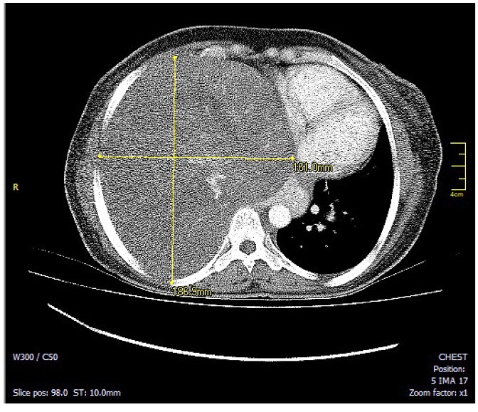
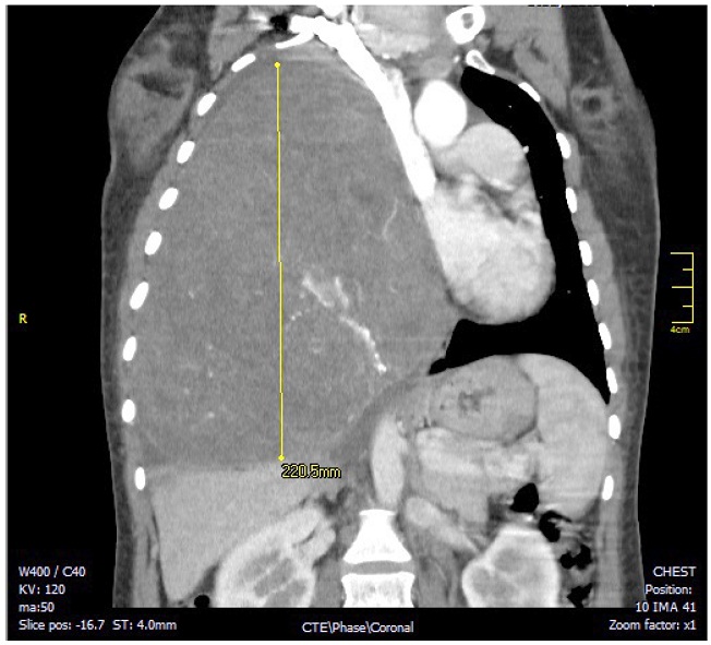
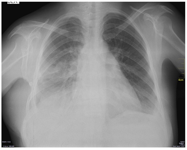
La radiografía de tórax inicial evidenció una opacidad que ocupaba el 70 % del hemitórax derecho, la tac contrastada de tórax evidenció una gran masa sólida de contornos lobulados que comprometía el 70 % del hemitórax derecho de origen extrapulmonar, heterogénea y con densidad de tejidos blandos, que desplazaba el mediastino y comprimía el corazón (figuras 1 y 2). Las dimensiones de la masa eran 16 x 18 x 22cm. Los diagnósticos planteados por el radiólogo fueron teratoma, tumor fibroso pleural o secuestro pulmonar. La histopatología de la muestra, obtenida por biopsia percutánea con aguja cortante de la lesión, reportó un tumor fusocelular de aspecto benigno que pudiera tratarse de un tumor fibroso de la pleura; posteriormente, la inmunohistoquímica confirmó el diagnóstico por inmunoreactividad de las células tumorales para bcl2, cd34, cd99 y stat6 compatible con un tumor fibroso solitario.

Nota: muestra el tfsp gigante que desplaza el mediastino y comprime la aurícula derecha.

Nota: evidencia el tfsp gigante que desplaza el mediastino y comprime la aurícula derecha.
En estudios preoperatorios: el ecocardiograma transtorácico reportó una masa extra cardiaca que comprimía la aurícula derecha, fevi 63 %, insuficiencia mitral leve, no trombos intracavitarios. Se consideró candidata para manejo quirúrgico y fue llevada a resección por toracotomía posterolateral derecha extendida asistida por video (cirugía de tórax oncológica), encontrándose un tumor dependiente de la pleura parietal derecha de aproximadamente 30 x 25 x 20cm (figura 3), con adherencias laxas y firmes a pleura parietal, lóbulo inferior del pulmón derecho y hemidiafragma derecho. Vasos de irrigación provenientes de la pleura parietal y del lóbulo inferior derecho del pulmón y escaso líquido serohemático libre en la cavidad. Presento un sangrado intraoperatorio estimado de 1000cc, la cirugía se completo sin otras complicaciones. Fue trasladada a la unidad de cuidados intensivos sin soporte vasopresor y con ventilación mecánica invasiva con parámetros bajos. La evolución clínica y radiológica (Figura 4) fue satisfactoria y su egreso hospitalario se registró al sexto día postoperatorio.

La citología del líquido pleural reportó hiperplasia mesotelial reactiva. Histopatología de la pieza quirúrgica (30 x 23 x 16cm) fue compatible con un tumor fibroso solitario, con menos de 1 mitosis por campo, ausencia de necrosis y márgenes de sección libres de tumor. La inmunohistoquímica reportó inmunoreactividad de las células tumorales para bcl2, cd34, cd99, stat6, cd99 asociado con negatividad para los marcadores cd31, ck y desmina. El índice de proliferación medido con Ki-67 fue menor al 5 %, sin evidencia de mitosis ni pleomorfismo celular, confirmando el diagnóstico de tfsp gigante benigno. De acuerdo con los hallazgos de la patología, se consideró que la paciente no requería manejo oncológico sistémico.
A la fecha, completa 4 meses de seguimiento clínico; sin signos de recidiva local y con una adecuada evolución postoperatoria (figura 4).

Nota: muestra una re-expansión pulmonar derecha y reposicionamiento del mediastino.
Discusión
Entre el 50 % al 60 % de los pacientes con tfsp debutan con múltiples signos y síntomas descritos en la tabla 1 (1,2,3, 6,7,8,9, 11,12,13,14,15,16,17,18,19,20,21,22,23,24,25). Disnea, dolor torácico y tos son los más frecuentes (5, 26). Algunos son secundarios a la localización y tamaño del tumor. Y más frecuentes por lesiones malignas hasta en el 75 % de los casos, incluyendo síntomas sistémicos como la pérdida de peso, fiebre y astenia (2, 5, 10, 14).
Un tfsp gigante se define por un tamaño superior a 15cm de diámetro mayor o que ocupe más del 40 % del hemitórax afectado (13). Por esta razón, en los tumores intratorácicos se han descrito síntomas asociados al efecto compresivo de la masa sobre el corazón, incluyendo taponamiento cardiaco o en el pulmón como derrame pleural y compresión bronquial, lo que genera hemoptisis, atelectasias y neumonitis obstructiva (2, 8, 10, 19). Otros menos frecuentes, como edema de miembros inferiores y dolor de huesos largos, se presentan en el síndrome de Pierre-Marie-Bamberg —posiblemente por producción excesiva de ácido hialurónico por el tumor— siendo este el síndrome más frecuentemente asociado a los tfsp gigantes, entre el 10 % al 20 % de los casos. Entre el 3% al 5 % de los casos de tfsg presentan episodios intermitentes de hipoglicemia refractaria como manifestación del síndrome paraneoplásico denominado Doeg-Potter, causado por la producción del factor similar a la insulina tipo ii (1, 2, 8,9,10, 14, 26).
El enfoque diagnóstico inicia con una radiografía de tórax que evidencia una lesión solitaria, redondeada, bien definida y homogénea (8). Los tumores pequeños originados en la pleura parietal forman ángulos obtusos con la pared torácica, más comúnmente localizados en las porciones medias e inferiores del hemitórax, pudiendo estar asociados con derrame pleural entre el 6 %-17 % de los casos (2, 10, 26).
La tomografía axial computarizada de tórax es la imagen de elección para el diagnóstico de los tfsp. Caracterizándolos por su tamaño, morfología y relación con estructuras adyacentes, además de ser una herramienta para el planeamiento quirúrgico (8, 18). Generalmente, demuestra una masa única, con atenuación de tejidos blandos, bien definida, ocasionalmente lobuladas y homogéneas (8, 10, 26). Puede presentarse heterogeneidad secundaria a degeneración mixoide, hemorragia o necrosis del tumor (26). En el caso de tumores de mayor volumen, las lesiones pueden presentar características atípicas, incluyendo la formación de ángulos agudos con la pleura adyacente, imitando tumores pulmonares periféricos (6, 10).
La diferenciación imagenológica de los tfsp benignos frente a los malignos continua siendo limitada, a pesar del uso de la tac, resonancia magnética nuclear y la tomografía por emisión de positrones fgd (3, 8, 13, 15). Incluso, la evaluación citológica prequirúrgica de estos tumores reporta una exactitud menor del 50 % con el uso de la biopsia con aguja fina guiada por tac, por lo cual su uso se limita a casos específicos, incluyendo resecciones quirúrgicas extensas, alto riesgo quirúrgico y tumores irresecables (3, 15).
Los tumores de 10 cm de diámetro o mayores, no pedunculados, con adherencias fibrosas, derrame pleural asociado, originados de la pleura parietal o con un índice de proliferación medido con Ki-67 del 10 % o mayor, son signos sugestivos de malignidad en este tipo de lesiones (3, 8, 15, 17). La angioembolización es una opción prequirúrgica para reducir el tamaño de los tfsp gigantes, con el fin de disminuir el riesgo de sangrado y facilitar la resección (11).
La resección quirúrgica en bloque, mediante toracotomía, es el patrón de oro para el tratamiento de los tfsp gigantes. El abordaje depende de la localización del tumor y tamaño, manteniendo la resección del parénquima pulmonar al mínimo. Se deben garantizar márgenes de seguridad entre 1-2 centímetros. El sangrado intraoperatorio es una de las mayores complicaciones, con tasas de mortalidad entre 0 %-1.5 % (8, 13). La toracoscopía es un abordaje complementario, útil para disminuir el tamaño de la incisión de la toracotomía y así su morbilidad (27). En este caso, se utilizó la toracoscopía para asistir por video la resección en los puntos posteriores donde la masa no permitía una disección y sección segura.
El diagnóstico confirmatorio se realiza mediante las pruebas de inmunohistoquímica para los tfsp, siendo los marcadores positivos más comunes el cd34, cd99, bcl-2, stat6 y vimentina (16).
En este paciente, a pesar de tener signos sugestivos de malignidad como el tamaño tumoral y su origen en la pleura parietal, el diagnóstico definitivo por patología e inmunohistoquímica fue benigno.
El seguimiento es imprescindible; con tac de tórax cada 6 meses por 2 años y después, anualmente por la posibilidad de recurrencia reportada entre el 9 % hasta el 30 % de los casos y una sobrevida libre de enfermedad a 10 años del 95.7 % para los tfsp benignos (2, 8, 11, 18, 28).
La paciente autorizó y firmo consentimiento informado para la publicación de este caso.
En una paciente joven, es poco frecuente esta patología. Posterior a su diagnóstico, y a pesar de tener algunas características que sugerían malignidad como su tamaño y origen en la pleura parietal, la resección quirúrgica fue el tratamiento indicado para este tumor. La patología e inmunohistoquímica confirmaron el diagnóstico de tfsp gigante benigno, ofreciendo un manejo curativo y egreso hospitalario temprano.
Contribución de los autores
Tatiana Carolina Beltrán-García: autora principal. Selección del caso e imágenes para el manuscrito, búsqueda de la literatura, revisión de la historia clínica, escritura del caso y del manuscrito, redacción y edición de la Tabla 1.
Isabella Vargas-Parada y Camilo Andrés Amaya-Dueñas: selección del caso e imágenes para el manuscrito, búsqueda de la literatura, revisión de la historia clínica, redacción y edición de la Tabla 1.
Mario Andrés López-Ordóñez: autor senior. Selección del caso e imágenes para el manuscrito, revisión de la historia clínica, edición del caso y del manuscrito.
Descargos de responsabilidad
La financiación del trabajo se realizó con recursos propios y no hubo otras fuentes. Los autores no declaran conflictos de interés. La responsabilidad de los conceptos que se publican es íntegramente de los autores.
Referencias
1.Furukawa N, Hansky B, Niedermeyer J, Gummert J, Renner A. A silent gigantic solitary fibrous tumor of the pleura: case report. J Cardiothorac Surg 2011;6:122. Doi: 10.1186/1749-8090-6-122
2.Vejvodova S, Spidlen V, Mukensnabl P, Krakorova G, Molacek J, Vodicka J. Solitary Fibrous Tumor - Less Common Neoplasms of the Pleural Cavity. Ann Thorac Cardiovasc Surg 2017;23(1):12-18. Doi: 10.5761/atcs.oa.16-00108
3.Lococo F, Cesario A, Cardillo G, Filosso P, Galetta D, Carbone L, et al. Malignant solitary fibrous tumors of the pleura: retrospective review of a multicenter series. J Thorac Oncol 2012;7(11):1698-706. Doi: 10.1097/JTO.0b013e3182653d64
4.Luján Piedrahíta M, Mejía Espinosa S, Rojas Múnera S, Mira Uribe S. Síndrome de Doege-Potter: Tumor fibroso de pleura irresecable asociado a hipoglucemia. Acta Med 2009;34(4):185-8.
5.Sung SH, Chang JW, Kim J, Lee KS, Han J, Park SI. Solitary fibrous tumors of the pleura: surgical outcome and clinical course. Ann Thorac Surg 2005;79(1):303-7. Doi: 10.1016/j.athoracsur.2004.07.013
6.Agarwal VK, Plotkin BE, Dumani D, French SW, Becker R, Lee P. Solitary fibrous tumor of pleura: a case report and review of clinical, radiographic and histologic findings. J Radiol Case Rep 2009;3(5):16-20. Doi: 10.3941/jrcr.v3i5.200
7.Milano MT, Singh DP, Zhang H. Thoracic malignant solitary fibrous tumors: A population-based study of survival. J Thorac Dis 2011;3(2):99-104. Doi: 10.3978/j.issn.2072-1439.2011.01.04
8.Hohenforst-Schmidt W, Grapatsas K, Dahm M, Zarogoulidis P, Leivaditis V, Kotoulas C, et al. Solitary fibrous tumor: A center’s experience and an overview of the symptomatology, the diagnostic and therapeutic procedures of this rare tumor. Respir Med Case Rep 2017; 21:99-104. Doi: 10.1016/j.rmcr.2017.04.007
9.Crnjac A, Veingerl B, Vidovic D, Kavalar R, Hojski A. Giant solitary fibrous tumour of the pleura. Case report and review of the literature. Radiol Oncol 2015;49(4):395-401. Doi: 10.2478/raon-2014-0036
10.Abu Arab W. Solitary fibrous tumours of the pleura. Eur J Cardiothorac Surg 2012;41(3):587-97. Doi: 10.1093/ejcts/ezr009
11.Guo J, Chu X, Sun YE, Zhang L, Zhou N. Giant solitary fibrous tumor of the pleura: an analysis of five patients. World J Surg 2010;34(11):2553-7. Doi: 10.1007/s00268-010-0715-x
12.Liu B, Liu L, Li Y. Giant solitary fibrous tumor of the pleura: A case report. Thorac Cancer 2015;6(3):368-71. Doi: 10.1111/1759-7714.12175
13.Perrotta F, Cerqua FS, Cammarata A, Izzo A, Bergaminelli C, Curcio C, et al. Integrated therapeutic approach to giant solitary fibrous tumor of the pleura: report of a case and review of the literature. Open Med (Wars) 2016;11(1):220-5. Doi: 10.1515/med-2016-0042
14.Zhu Y, Du K, Ye X, Song D, Long D. Solitary fibrous tumors of pleura and lung: report of twelve cases. J Thorac Dis 2013;5(3):310-3. Doi: 10.3978/j.issn.2072-1439.2013.05.19
15.Boddaert G, Guiraudet P, Grand B, Venissac N, Le Pimpec-Barthes F, Mouroux J, et al. Solitary fibrous tumors of the pleura: a poorly defined malignancy profile. Ann Thorac Surg 2015;99(3):1025-31. Doi: 10.1016/j.athoracsur.2014.10.035
16.Sánchez-Mora N, Cebollero-Presmanes M, Monroy V, Carretero-Albiñana L, Herranz-Aladro M, Álvarez-Fernández E. Tumor fibroso solitario pleural: características clinicopatológicas de una serie de casos y revisión de la bibliografía. Arch Bronconeumol 2006;42(2):96-9. Doi: 10.1157/13084401
17.Miyoshi K, Okumura N, Kokado Y, Matsuoka T, Kameyama K, Nakagawa T. Solitary fibrous tumor of the pleura with a minute malignant component and diaphragmatic vascular supply: report of a case. Surg Today 2008;38(4):344-7. Doi: 10.1007/s00595-007-3618-1
18.Cardillo G, Carbone L, Carleo F, Masala N, Graziano P, Bray A, et al. Solitary fibrous tumors of the pleura: an analysis of 110 patients treated in a single institution. Ann Thorac Surg 2009;88(5):1632-37. Doi: 10.1016/j.athoracsur.2009.07.026
19.Tamenishi A, Matsumura Y, Okamoto H. Solitary fibrous tumor causing cardiac tamponade. Ann Thorac Surg 2013;96(1):319-21. Doi: 10.1016/j.athoracsur.2012.11.062
20.Chu X, Zhang L, Xue Z, Ren Z, Sun YE, Wang M, et al. Solitary fibrous tumor of the pleura: An analysis of forty patients. J Thorac Dis 2012;4(2):146-54. Doi: 10.3978/j.issn.2072-1439.2012.01.05
21.León F, Bannura F, Salas P. Tumor fibroso solitario de la pleura asociado a síndromes paraneoplásicos. Rev Chil Cir. 2013;65(3):255-9. Doi: 10.4067/S0718-40262013000300010
22.Cieslik-Wolski B, Pryt L, Szlachcinska A, Walczak-Pasz G, Jesionek-Kupnicka D, Kozak J. Solitary fibrous tumor of the pleura - analysis of 18 cases. Kardiochir Torakochirurgia Pol 2015;12(3):208-15. Doi: 10.5114/kitp.2015.54456
23.Fattahi Masuom SH, Bagheri R, Sadrizadeh A, Nouri Dalouee M, Taherian A, Rajaie Z. Outcome of surgery in patients with solitary fibrous tumors of the pleura. Asian Cardiovasc Thorac Ann 2016;24(1):18-22. Doi: 10.1177/0218492315614977.
24.Santolaya CR, Meneses CM, López SJ, Prats MR, Fica DM, González CC, et al. Tumor fibroso solitario de la pleura: Análisis de 41 casos. Rev Chil Enferm Respir. 2007;23(1):11-6. Doi: 10.4067/S0717-73482007000100002
25.Rakovich G, Laflamme M, Ouellette D, Beauchamp G. Solitary fibrous tumour of the pleura: A case report. Can Respir J 2010;17(3). Doi: 10.1155/2010/509607
26.De Perrot M, Fischer S, Brundler MA, Sekine Y, Keshavjee S. Solitary fibrous tumors of the pleura. Ann Thorac Surg 2002;74(1):285-93. Doi: https://doi.org/10.1016/S0003-4975(01)03374-4
27.Takahama M, Kushibe K, Kawaguchi T, Kimura M, Taniguchi S. Video-assisted thoracoscopic surgery is a promising treatment for solitary fibrous tumor of the pleura. Chest 2004;125(3):1144-7. Doi: https://doi.org/10.1378/chest.125.3.1144
28.Rena O, Filosso PL, Papalia E, Molinatti M, Di Marzio P, Maggi G, et al. Solitary fibrous tumour of the pleura: surgical treatment. Eur J Cardiothorac Surg 2001;19(2):185-9. Doi: https://doi.org/10.1016/S1010-7940(00)00636-9
Notas de autor
* Autora de correspondencia: tatiana.beltran2009@gmail.com
Información adicional
Para citar este artículo: Beltrán-García TC, Vargas-Parada I, Amaya-Dueñas CA,
López-Ordóñez MA. Reporte de caso: tumor fibroso solitario gigante de pleura en
paciente joven. Rev Cienc
Salud. 2019;17(2):373-84. Doi: https://dx.doi.org/10.12804/revistas.urosario.edu.co/revsalud/a.7946