Presentaciones de Caso
Intervención temprana de la mordida cruzada por la pista directa de Planas: relato de siete años de seguimiento
Early Intervention of Crossbite by Planas Direct Tracks: Follow up Report After Seven Years
Intervenção precoce da mordida cruzada pela Pistas Diretas de Planas: relato de sete anos de seguimento
Intervención temprana de la mordida cruzada por la pista directa de Planas: relato de siete años de seguimiento
Revista Ciencias de la Salud, vol. 18, núm. 2, 2020
Universidad del Rosario

Recepción: 30 Septiembre 2019
Aprobación: 28 Febrero 2020
Resumen: Introducción: entre las maloclusiones, la mordida cruzada es la de mayor prevalencia entre los niños en edad preescolar y se considera la principal depreciadora del sistema estomatognático, con un alto riesgo de desarrollar secuelas musculoesqueléticas irreparables en la edad adulta. Por lo tanto, es fundamental elegir un tratamiento eficaz que no requiera la cooperación directa del paciente y que utilice técnicas simples de ortodoncia. El objetivo de este artículo es informar la eficacia del tratamiento de rehabilitación neuroclusal (RNO) con la técnica de las pistas directas de Planas en la corrección temprana de la mordida cruzada posterior y el seguimiento de su estabilidad oclusal durante siete años. Presentación del caso: niña de 4 años de edad, que usó biberón, diagnosticada con mordida cruzada posterior funcional unilateral izquierda y desviación de la línea media. Para el tratamiento de la RNO, se realizaron los ajustes oclusales en los dientes 63, 64 y 65, y después de la desprogramación neuromuscular, se confeccionaron las pistas directas de Planas en los dientes cruzados. Después de 29 días, se corrigió la mordida y se hicieron ajustes oclusales para proporcionar una mayor armonía oclusal. Hubo monitoreamiento cada seis meses durante siete años para verificar el equilibrio y la estabilidad del tratamiento. Conclusiones: la RNO con el uso de pista directa de Planas fue eficaz para corregir la mordida cruzada posterior con una técnica simple y de bajo costo que puede ejecutar el clínico general.
Palabras clave: maloclusión, ortodoncia preventiva, ajuste oclusal.
Abstract: Introduction: Among malocclusions, that of cross-bite is the most prevalent among preschool children and is considered to be the main depreciator of the stomatognathic system and is further linked to a high risk of developing irreversible musculoskeletal sequelae in adulthood. Thus, it is important to choose an effective treatment early on that does not require the direct cooperation of the patient and that utilizes simple orthodontic techniques in its execution. The objective of this study was to report the efficacy of the Neuroclusal Rehabilitation (RNO) treatment, with the Planas Direct Tracks technique in a case of early treatment of posterior crossbite, and the follow up of its occlusal stability for seven years. Case presentation: a 4-year-old female patient, who was bottle-fed, was diagnosed with a left unilateral functional posterior crossbite and midline deviation. For treatment of RNO, occlusal adjustments were made on the teeth 63, 64 and 65 and after neuromuscular deprogramming, the Direct Planks were made in the crossed teeth. After 29 days, the bite was corrected, and occlusal adjustments were made in order to provide greater occlusal harmony. Monitoring and evaluation took place every six months for seven years in order to verify the balance and stability of the treatment. Conclusion: the RNO treatment with the use of Planas Direct Tracks is an effective solution for the correction of posterior crossbite using a simple, low-cost technique that can be performed by general practitioners.
Keywords: Malocclusion, preventive orthodontics, occlusal adjustment.
Resumo: Introdução: entre as más oclusões, a mordida cruzada é a de maior prevalência entre as crianças em idade pré-escolar, e se considera a principal depreciadora do sistema estomatognático, com um alto risco de desenvolver sequelas musculoesqueléticas irreparáveis na idade adulta. Portanto, é fundamental escolher um tratamento eficaz que não requeira a cooperação direta do paciente e que utilize técnicas simples de ortodontia em sua execução. O objetivo deste estudo foi informar a eficácia do tratamento de Reabilitação Neuroclusal (RNO), com a técnica das Pistas Diretas de Planas na correção precoce da mordida cruzada posterior e o seguimento de sua estabilidade oclusal durante 7 anos. Apresentação do caso: paciente de sexo feminino de 4 anos de idade, que usou mamadeira, diagnosticada com mordida cruzada posterior funcional unilateral esquerda e desvio da linha média. Para o tratamento da RNO, se realizaram os ajustes oclusais nos dentes 63, 64 e 65, depois da desprogramação neuromuscular, se confeccionaram as Pistas Diretas de Planas nos dentes cruzados. Depois de 29 dias, se corrigiu a mordida e se fizeram ajustes oclusais para proporcionar uma maior harmonia oclusal. O monitoramento se realizou cada seis meses por 7 anos para verificar o equilíbrio e a estabilidade do tratamento. Conclusões: a RNO com o uso de Pista Direta Planas foi eficaz para a correção da mordida cruzada posterior com uma técnica simples, de baixo custo que pode ser realizada pelo clínico geral.
Palavras-chave: má oclusão, ortodontia preventiva, ajuste oclusal.
Introducción
Las oclusopatías ocupan la tercera posición de los problemas bucales en el mundo, y aunque no se ha considerado una enfermedad, debe priorizarse su atención, dada su influencia disarmónica en el desarrollo craneofacial del individuo en crecimiento. Entre las principales maloclusiones, se destaca la mordida cruzada posterior, con una prevalencia del 14,6 % al 23 % en denticiones decidua y mixta (1).
La mordida cruzada posterior se caracteriza por una anomalía transversal, en la que las cúspides de los dientes superiores se colocan hacia la palatina en relación con los dientes opuestos. Esta maloclusión puede ocurrir uni o bilateralmente, y puede ser esquelética, dental o funcional. Por esta razón, para el diagnóstico diferencial es imprescindible evaluar la oclusión en la intercuspidación máxima, así como en relación céntrica, a fin de confirmar el origen de estas disarmonías (2).
En relación con la mordida cruzada posterior funcional, es considerada la más frecuente entre los preescolares, y ello hace necesario una intervención temprana, porque no son autocorregibles y pueden influir en el desarrollo asimétrico de las bases óseas (3). Además, esta oclusopatía se diagnostica por la presencia de contactos prematuros, en los cuales estos obstáculos dentales dislocan la mandíbula a una región inadecuada en la fosa articular, cuando busca una posición más cómoda y confortable para el individuo (4).
Teniendo en cuenta que entre el 50 % y el 90 % de las mordidas cruzadas posteriores diagnosticadas en la dentición decidua se perpetúan en la fase adulta, es fundamental la intervención temprana de la maloclusión para evitar alteraciones morfológicas, funcionales y estéticas del individuo, así como para generar impactos negativos en su calidad de vida (5). En este sentido, al considerar las limitaciones del paciente odontopediátrico en relación con la motivación y colaboración frente al tratamiento ortopédico temprano, asociado a la elección del mejor recurso y forma de intervenir la maloclusión en este grupo de edad, es posible elegir la terapia de rehabilitación neuroclusal (RNO) con el uso de pistas directas (6). Esta técnica fue aclarada por Pedro Planas a partir de la década de 1970, basada en la premisa de investigar las causas del desequilibrio oclusal y eliminarlas de manera temprana para lograr que se equilibren el sistema estomatognático y las estructuras adyacentes. Por lo tanto, esta filosofía se basa en la actuación de los centros receptores neuronales mediante una función equilibrada, que permite la correcta excitación de las terminaciones neuromusculares del periodonto y de la articulación temporo-mandibular y el desarrollo fisiológico armónico de las estructuras craneofaciales (7).
Para la ejecución de la RNO, se hacen desgastes selectivos de los contactos prematuros para eliminar los traumas oclusales y reprogramar los estímulos neuromusculares. Asociada a esta terapéutica, son oportunas las instalaciones de las pistas directas, que están hechas en resina compuesta en las caras incisales u oclusales en los dientes de la región cruzada, para permitir el estímulo funcional para el desarrollo ortopédico requerido y favorecer la masticación bilateral (7, 8).
Expuesto lo anterior, el objetivo de este estudio fue informar la estabilidad y la armonía oclusal de un tratamiento de mordida cruzada posterior unilateral, basado en la terapia de RNO con el uso de pistas directas, después de siete años de seguimiento.
Presentación del caso
Diagnóstico
Niña, actualmente de 10 años, diagnosticada a los 4 años de edad con mordida cruzada posterior funcional unilateral izquierda, desviación de la línea media, preferencia de masticación en el lado izquierdo y uso frecuente de tetero y biberón. Los responsables informaron como la principal queja para la búsqueda de tratamiento “la mordida torcida al sonreír”.
En el examen clínico intraoral se evidenció que la niña estaba en el periodo de dentición decidua, presentaba buena higiene bucal, ausencia de apiñamiento dental y tenía arco tipo II con diastema de primate en el maxilar y la mandíbula, sin lesiones cariosas y gingivales.
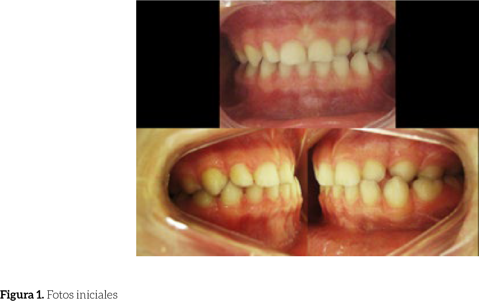
En el análisis del plano horizontal se verificó la armonía oclusal del lado derecho e izquierdo, con llave canina en clase I y la presencia del escalón distal, por la relación de las superficies distales de los segundos molares deciduos superiores e inferiores. En el plano sagital se observó equilibrio entre las bases óseas y las disposiciones dentales, con sobrepase vertical normal (1.5 mm). Con respecto al plano transversal, se diagnosticó mordida cruzada posterior unilateral izquierda que, por los contactos prematuros, también mostró una inclinación inadecuada del diente 62 (figura 1).

Tratamiento
Con base en el protocolo de la RNOR, la mandíbula se manipuló en relación céntrica para nivelar la línea media e identificar la presencia de interferencias oclusales. En este momento se evidenciaron los contactos prematuros con papel carbón, y luego con el uso de fresas de diamante de baja granulación se realizaron ajustes oclusales en los dientes 63, 65, 73 y 75. Así, con la dinámica de esta nueva biomecánica, se redefinió el estímulo neuromuscular, a través de la transición de la excitación cinestésica patológica a la posibilidad de una propiocepción equilibrada.
Con el fin de ayudar en el proceso de rehabilitación de los estímulos neuromusculares, se confeccionaron las pistas directas en los dientes del lado cruzado. Para ello, se realizó la profilaxis con piedra pómez y el aislamiento relativo en la región que se iba a trabajar. Se aplicó ácido fosfórico al 37 % en los dientes 63, 64 y 65, y luego se lavó y se secó. Después de aplicar el sistema adhesivo a los mismos dientes, los excesos se eliminaron y se fotopolimerizaron. Para la confección de las pistas, se insertaron incrementos de resina compuesta en planos inclinados a 45º y se fotopolimerizaron. En esta situación, se realizaron los ajustes oclusales, el acabado y el pulido.
Así, de acuerdo con la filosofía RNO con el uso de pistas directas, fue posible bloquear la oclusión y dirigir los estímulos neuromusculares favorables a equilibrar la región. Además, con esta mecanoterapia, la mandíbula pudo encontrar la mínima dimensión vertical en el lado opuesto e inconscientemente estimular el lado de balanceo.
Acompañamiento
Después de la instalación de las pistas directas, se orientó a los responsables de la niña sobre la importancia de eliminar los hábitos deletéreos y se hicieron las recomendaciones sobre la alimentación a fin de evitar fracturas de las resinas.
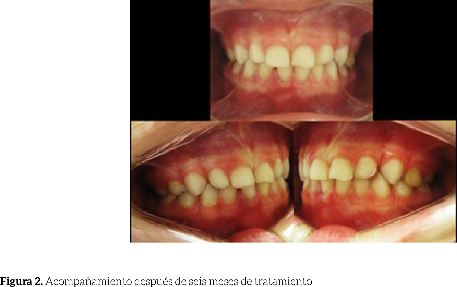
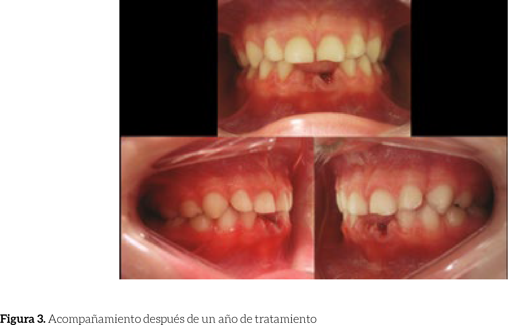
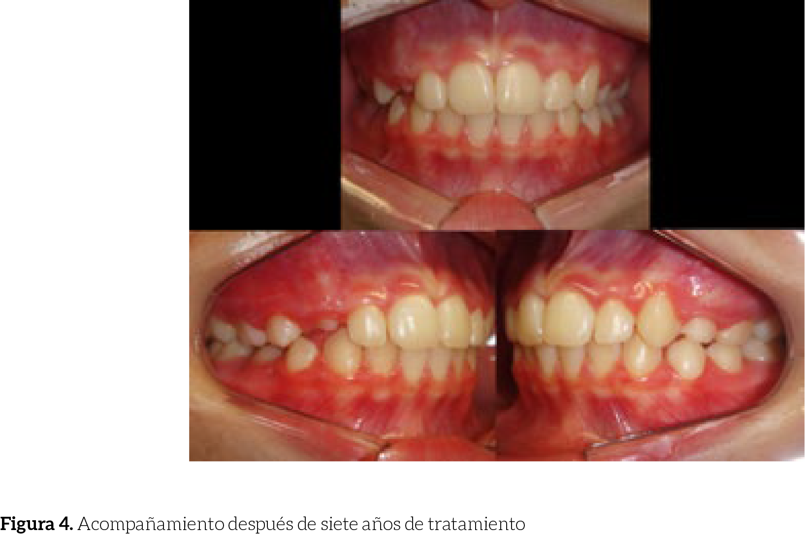
Después de 29 días de tratamiento, se niveló la línea media, el descruce de la mordida y la suspensión del uso de tetero y biberón. Los seguimientos fueron inicialmente cada dos semanas hasta cuando se obtuvo equilibrio oclusal; posteriormente, de forma gradual: se programaron mensualmente y cada seis meses durante 7 años (figuras 2, 3 y 4).



Discusión
La intervención temprana de la mordida cruzada posterior en el periodo de mayor potencial de desarrollo craneofacial del niño mejora de forma significativa las discrepancias transversales, por los efectos tridimensionales del crecimiento inducido terapéuticamente. Con esta acción ortopédica es posible colocar el diente en una oclusión normal en relación con las bases óseas, lograr el crecimiento y desarrollo equilibrado del sistema estomatognático, reducir costos futuros con un tratamiento ortodóntico más complejo y aumentar la calidad de vida de estos individuos (9-13).
Además, al considerar que la mordida cruzada posterior no se autocorrige y que su perpetuación durante la edad adulta puede generar cambios fisiológicos irreparables, como asimetría facial, hipertrofias y disfunciones musculares, trastornos temporomandibulares dtm, asimetría condilar y asimetría mandibular, se reitera la necesidad de corregir esta oclusión tan pronto como se diagnostica (14-19).
Para la intervención temprana de la mordida cruzada posterior existen innumerables recursos a disposición del profesional, entre los principales quad helix y placa de expansión removible. Sin embargo, revisiones sistemáticas recientes han señalado que no hay pruebas suficientes de superioridad entre estos aparatos ortodóncicos, así como otros mecanismos empleados para corregir la maloclusión (5, 19). Esta suposición también la plantearon Khosravi et al., quienes comprobaron que los dispositivos de expansión maxilar de implicaciones mecánicas dentarias y óseas presentan resultados semejantes en relación con la cantidad de expansión del arco maxilar, malestar, inclinaciones dentarias y estabilidad postratamiento (20).
La utilización de la terapia basada en la RNO con el uso de las pistas directas se torna ventajosa a través de los tratamientos ortodóncicos y ortopédicos convencionales, debido a los recursos utilizados y a que funcionan durante todo el día, sin necesidad de la colaboración directa con el paciente. Además, no afectan la dicción, no son invasivos y presentan baja densidad tecnológica y alta complejidad terapéutica (6, 7, 21).
En el presente estudio se verificó que hubo equilibrio y armonía oclusal después de 29 días de tratamiento, lo que confirma la efectividad de la técnica explicada por Planas. Varios artículos informaron la eficacia de la RNO y pista directa en la corrección de la mordida cruzada funcional, además de las ventajas de la técnica, la estabilidad y la armonía oclusal de los casos finalizados (6, 8, 21-30). La elección de esta mecánica ortopédica se vuelve atractiva, debido a su confección en una sola sesión clínica, a la posibilidad de que la ejecute el profesional especialista o el médico general y a que es una alternativa de tratamiento accesible tanto en la atención odontológica privada como en el contexto de la salud pública.
Chibinski et al. confirmaron el presupuesto de la RNO, cuando informaron cambios en el tamaño de los arcos y en las distancias intercaninos e intermolares después del tratamiento con las pistas directas (21). Ese mismo resultado fue encontrado en comparación con el grupo control. En una investigación realizada por Garbin et al. se reiteró la eficacia de la técnica en la intervención de la maloclusión, al constatar el restablecimiento oclusal de toda la muestra, en el periodo de 14 a 91 días de tratamiento (6). Además, se observó que la interrupción del uso de hábitos perjudiciales influyó en el menor tiempo de descruzamiento de la mordida.
En este contexto, se resalta la importancia de la intercepción de la mordida cruzada cuando se diagnostica, ya que en la infancia, en el periodo de 3 a 6 años, por el alto potencial de crecimiento y desarrollo cráneo-muscular, los resultados terapéuticos se vuelven más efectivos. En el caso clínico presentado, la corrección de la maloclusión se produjo en la primera infancia, por lo que se realizaron seguimientos periódicos durante 7 años para garantizar la estabilidad posterior al tratamiento con la erupción de los dientes permanentes. Durante este periodo, se observó el equilibrio y la armonía oclusal, sin recidiva y necesidad de un nuevo tratamiento de la maloclusión.
Se concluye con el presente estudio que la RNO y las pistas directas fueron eficaces en la corrección de la mordida cruzada posterior funcional, porque presenta estabilidad, equilibrio y armonía oclusal durante los 7 años de acompañamiento. Además, se resalta la aplicabilidad y las ventajas de esa técnica en la corrección de la maloclusión por utilizar materias primas de bajo costo y por ser un tratamiento de baja densidad técnica y alta complejidad terapéutica, accesible a la atención odontológica privada y pública.
Referencias
1. Santos RR, Nayme JGR, Garbin AJI, Saliba N, Garbin CAS, Moimaz SAS. Prevalence of malocclusion and related oral habits in 5to 6-year-old children. Oral Health Prev Dent. 2012;10(4):311-8.
2. Almeida RR, Almeida MR, Oltramari Navarro PVP, Conti ACCF, Navarro RL, Marques HVA. Posterior crossbite treatment and stability. J Appl Oral Sci. 2012;20(2):286-94. Doi: 10.1590/S1678-77572012000200026
3. Lopatienė K, Trumpytė K. Relationship between unilateral posterior crossbite and mandibular asymmetry during late adolescence. Stomatologija. 2018;20(3):90-5. PubMed PMID: 30531163.
4. Almeida MAO, Quintão CCA, Brunharo IHVP, Koo D, Coutinho BR. A correção da mordida cruzada posterior unilateral com desvio funcional melhora a assimetria facial? Revista Dental Press de Ortodontia e Ortopedia Facial. 2009;14(2):89-94. Doi: 10.5335/ rfo.v24i1.8633
5. Agostino P, Ugolini A, Signori A, Silvestrini-Biavati A, Harrison JE, Riley P. Orthodontic treatment for posterior crossbites. Cochrane Database Syst Rev. 2014;8(8):CD000979. Doi: 10.1002/14651858
6. Garbin AJI, Wakayama B, Rovida TAS, Garbin CAS. Neuroclusal rehabilitation and planas direct tracks in the posterior crossbite treatment. RGO, Rev Gaúch Odontol. 2017;65(2):109-14. Doi: 10.1590/1981-863720170002000023046
7. Planas P. Reabilitação neuroclusal. 2.ª ed. Río de Janeiro: Medsi; 1997.
8. Garbin AJI, Wakayama B, Santos RR, Rovida TAS, Garbin CAS. Pistas diretas Planas para o tratamento de mordida cruzada posterior. Rev Cubana Estomatol. 2014;51(1):113-20.
9. Lippold C, Stamm T, Meyer U, Végh A, Moiseenko T, Danesh G. Early treatment of posterior crossbite a randomised clinical trial. Trials. 2013;14:20. Doi: 10.1186/1745-6215-14-20
10. López OP, López LM, Osorio Forero A, Restrepo F. Relación molar, actividad y fuerza muscular en escolares entre 7 y 12 años con deglución atípica. Rev Cienc Salud. 2017;15(3):373-85. Doi: 10.12804/revistas.urosario.edu.co/revsalud/a.6121
11. Bukhari A, Kennedy D, Hannam A, Aleksejūnienė J, Yen E. Dimensional changes in the palate associated with slow maxillary expansion for early treatment of posterior crossbite. The Angle Orthodontist. 2018;2018(4):390-6. Doi: 10.2319/082317-571.1
12. Petrén S, Bjerklin K, Marké LÅ, Bondemark L. Early correction of posterior crossbite--a cost-minimization analysis. Eur J Orthod. 2013;35(1):14-21. Doi: 10.1093/ejo/cjr047
13. Barbosa TS, Gavião MBD, Leme MS, Castelo PM. Oral health-related quality of life in children and preadolescents with caries, malocclusions or temporomandibular disorders. Oral Health Prev Dent. 2016;14:389-401. Doi: 10.3290/j.ohpd.a36097
14. Harrison JE, Ashby D. Orthodontic treatment for posterior crossbites. Cochrane Database Syst Rev. 2001;1:CD000979. Doi: 10.1002/14651858.CD000979.pub2
15. Cutroneo G, Vermiglio G, Centofanti A, Rizzo G, Runci M, Favaloro A, et al. Morphofunctional compensation of masseter muscles in unilateral posterior crossbite patients. Eur J Histochem. 2016;13;60(2):2605. Doi: 10.4081/ejh.2016.2605
16. Bilgiç F, Gelgör IE. Prevalence of temporomandibular dysfunction and its association with malocclusion in children: an epidemiologic study. J Clin Pediatr Dent. 2017;41(2):1615. Doi: 10.17796/1053-4628-41.2.161
17. Michelotti A, Iodice G, Piergentili M, Farella M, Martina R. Incidence of temporomandibular joint clicking in adolescents with and without unilateral posterior cross-bite: a 10-year follow-up study. J Oral Rehabil. 2016;43(1):16-22. Doi: 10.1111/joor.12337
18. Kasimoglu Y, Tuna EB, Rahimi B, Marsan G, Gencay K. Condylar asymmetry in different occlusion types. Cranio. 2015;33(1):10-4. Doi: 10.1179/0886963414Z.00000000039
19. O’Neill J. Quad-helix appliances may be more successful than removable expansion plates at correcting posterior crossbites. Evid Based Dent. 2015;16(1):25-6. Doi: 10.1038/ sj.ebd.6401083
20. Khosravi M, Ugolini A, Miresmaeili A, Mirzaei H, Shahidi-Zandi V, Soheilifar S, Karami M, Mahmoudzadeh M. Tooth-borne versus bone-borne rapid maxillary expansion for transverse maxillary deficiency: A systematic review. Int Orthod. 2019;17(3):425-36. Doi: 10.1016/j.ortho.2019.06.003
21. Chibinski ACR, Czlusniak GD. Evaluation of treatment for functional posterior crossbite of the deciduous dentition using Planas’ direct tracks. Indian J Dent Res. 2011;22(5):654-58.
22. Santos RR, Garbin AJI, Garbin CAS. Early correction of malocclusion using Planas direct tracks. Case Rep Dent. 2013;2013:395784. Doi: 10.1155/2013/395784
23. Chibinski ACR, Czlusniak GD, Melo MD. Pistas diretas Planas: terapia ortopédica para correção de mordida cruzada funcional. R Clin Ortodon Dental Press. 2005;4(3):64-72.
24. Gribel MN. Planas direct tracks in the early treatment of unilateral crossbite with mandibular postural deviation: why worry so soon? World J Orthod. 2002;3:239-49.
25. Ramírez Yáñez GO. Planas direct tracks for early crossbite correction. J Clin Orthod. 2003;37(6):294-8.
26. Garcia Lopes R, Mendes Pinto M, de Godoy CH, Jansiski Motta L, Carvalho Bortoletto C, Olivan S, Kalil Bussadori S. Aesthetic and functional rehabilitation of child using mockup combined with stratified technique. Eur J Paediatr Dent. 2014;15(2 Suppl):234-6.
27. Garbin AJI, Peres GT, Saliba TA, Wakayama B, Garbin CAS. Neuro-occlusal rehabilitation by the Planas direct tracks method: case report. Annali Distomatologia. 2018;9(1):53-38. Doi: 10.11138/ads/2018.9.1.053
28. Jiménez Yong Y, Véliz Concepción OL, Jiménez Mesa L, Grau Abalo R. Efectos del tratamiento temprano en las variables funcionales con técnicas de la rehabilitación neuro-oclusal. Acta Méd Cent. 2016;10(1):17-23.
29. Oliveira MF, Araujo KP, Araujo KP, Buelau MIM, Buelau PJ. Reabilitação neuroclusal em paciente odontopediátrico com mordida cruzada posterior unilateral – relato de caso clínico. RFO-UPF. 2019;24(1):31-7. Doi: 10.5335/rfo.v24i1.8633
30. Echeverri JC, Barbosa Liz D. Direct anterior tracks: early and functional management of class III malocclusions-case report and literature review. Case Rep Dent. 2019;27;2019:9323969. Doi: 10.1155/2019/9323969
Notas
Notas de autor
Autor de correspondencia: brunowakayama@gmail.com
Información adicional
Para citar este artículo:: Garbin AJI, Wakayama B, Saliba TA, Garbin CAS. Intervención temprana de la mordida cruzada por la pista directa de Planas: relato de siete años de seguimiento. Rev Cienc Salud. 2020;18(2):1-10. https://doi.org/10.12804/revistas.urosario.edu.co/revsalud/a.9261
Contribución de los autores: Clea Adas Saliba Garbin: planeación del artículo, revisión del contenido intelectual importante y aprobación final de la versión que se pubica. Bruno Wakayama: concepción y diseño, selección del caso e imágenes para el manuscrito. Tania Adas Saliba: planeación del artículo y revisión de contenido intelectual importante. Artenio José Isper Garbin: planeación del artículo, revisión del contenido intelectual importante y aprobación final de la versión que se publica.