Casuística
Hidrotórax agudo: complicación poco frecuente en diálisis peritoneal en pediatría. Reporte de un caso
Acute hydrothorax: rare complication in pediatric peritoneal dialysis. Case report
Hidrotórax agudo: complicación poco frecuente en diálisis peritoneal en pediatría. Reporte de un caso
Revista de nefrología, diálisis y transplante, vol. 39, núm. 01, pp. 46-49, 2019
Asociación Regional de Diálisis y Trasplantes Renales de Capital Federal y Provincia de Buenos Aires
Recepción: 07 Noviembre 2018
Corregido: 04 Diciembre 2018
Aprobación: 12 Diciembre 2018
Resumen: Se comunica un caso de hidrotórax agudo derecho en un adolescente de 13 años con Insuficiencia renal crónica terminal (IRCT) en Diálisis Peritoneal Crónica Ambulatoria (DPCA) de sostén. Es una complicación poco frecuente, siendo en nuestra experiencia en el Programa de DPCA del Hospital del Niño Jesús en 12 años de duración, el primer caso. Describimos su evolución, diagnóstico y resolución.
Palabras clave: hidrotórax.
Abstract: A case of right acute hydrotorax is reported in a 13 years old boy with terminal chronic renal failure in CPD (chronic peritoneal diálysis); it is a rare complication and in our experience in the chronic peritoneal dialysis program in Hospital del niño Jesus, Tucuman, in 12 years of duration is the first case. We inform the evolution, diagnosis and resolution.
Keywords: hydrothorax.
INTRODUCCIÓN
Una de las complicaciones de la diálisis peritoneal aguda o crónica son las fugas de líquido dialítico hacia cavidades vecinas, como pleura, retroperitoneo o conducto inguinal. El hidrotórax es infrecuente, siendo la incidencia comunicada en adultos entre 1.6-10%,(1-2,13) mientras que en la población pediátrica sería del 0.66 - 3 %.(3)
Puede producirse por el paso del líquido de diálisis del peritoneo a pleura cuando existe una comunicación congénita o adquirida de la barrera diafragmática. Generalmente es de aparición brusca y se manifiesta por disnea, tos irritativa, taquipnea, dolor toráxico, disminución del volumen de drenaje simulando un déficit de ultrafiltración. Se sospecha por clínica y se confirma con una radiografía de tórax, toracocentesis con estudio del líquido, y eventual gamagrafía.
Si bien es infrecuente, su forma de presentación y tendencia a la recidiva la transforman en una complicación seria que puede ocasionar el abandono temporal o definitivo de la diálisis peritoneal.(10)
CASO CLÍNICO
Paciente de sexo masculino, de 13 años de edad, con diagnóstico de IRCT secundaria a uropatía, reflujo vesico ureteral bilateral grado V, con pielonefritis crónica. Inició Terapia de Reemplazo Renal en octubre de 2017, realizando DPCA. A los 5 meses de su ingreso presentó episodio de peritonitis por Acinetobacter. Cumplió tratamiento antibiótico con ciprofloxacina intraperitoneal por 21 días y gentamicina IP por 10 días. Evolucionó favorablemente, con cultivo de control negativo al final del esquema antibiótico.
Al mes de dicho evento consultó por dificultad en el drenaje del líquido peritoneal y aumentó de peso. Al examen físico se constató taquipnea, tiraje, disminución del murmullo vesicular en campo pulmonar derecho, columna mate y desaturación en oximetría de pulso.
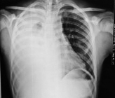
Se realizó radiografía de tórax observándose derrame masivo en campo pulmonar derecho.
Ante la sospecha de hidrotórax secundario a DP se realizó toracocentesis diagnóstica y terapéutica, drenándose 1600 ml de líquido claro, con características bioquímicas compatibles con líquido peritoneal. (Figura 1,Tabla 1).


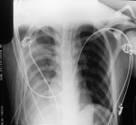
Requirió una segunda punción y drenaje a las 24 hs de la primera, por persistencia del derrame en radiografía de control y con sintomatología de dificultad respiratoria. (Figura 2)

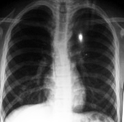
Luego de la evacuación, reinició DP automatizada con volumen bajo de infusión (20 ml /Kg.) disminuyendo el tiempo de permanencia y ubicando al paciente en posición semisentada. A pesar de las medidas adoptadas reapareció el derrame y persistió la dificultad en el drenaje. Debido a la recidiva del derrame, se transfirió al paciente a hemodiálisis. (Figura 3)

Figura 3. Control radiológico un mes más tarde con desaparición completa del derrame
DISCUSIÓN
Ante la aparición de derrame pleural en un paciente en diálisis peritoneal, se debe sospechar de la existencia de hidrotórax secundario, sobre todo si su presentación es precoz y brusca. El hidrotórax secundario es una complicación poco frecuente de la diálisis peritoneal aguda o crónica. En nuestra unidad a lo largo de 12 años de experiencia, tuvimos un sólo caso en los 31 pacientes pediátricos tratados, lo cual implica una incidencia de 0,31%, inferior a lo publicado,(3) sin dejar de reconocer que pudo haber ocurrido algún caso previo que pasara inadvertido por no presentar sintomatología.
Se han propuesto tres mecanismos fisiopatológicos posibles: a) Presencia de un defecto congénito diafragmático b) Gradiente de presión pleuroperitoneal elevada y c) Un trastorno en el drenaje linfático(4)
Algunos autores también refieren el antecedente de episodios de peritonitis previas,(1) que exarcebaron los defectos antes mencionados, tal como presentó nuestro paciente. Existe una marcada preferencia por el lado derecho, esto se cree que se debe a la protección que ejerce el pericardio en el hemotórax izquierdo.(4) El diagnóstico de esta entidad es sencillo y lo más importante es su sospecha clínica. Ante un paciente en DP que presenta disnea de aparición más o menos brusca, con pérdida de ultrafiltración y derrame pleural, hay que descartar la existencia de una comunicación pleuro-peritoneal.(7) El análisis de una muestra obtenida mediante toracocentesis, en la que se evidencia una concentración de glucosa mayor a la plasmática, es de utilidad para confirmar la presencia de líquido de diálisis en la cavidad pleural.(5-8,12)
Como confirmación de la alteración natómica, ha demostrado alta eficacia el peritoneograma isotópico, en el que se demuestra el paso del isotopo desde la cavidad peritoneal hacia el tórax a través de la pleura.(6-7,9, 12-13)
Aún no hay consenso en el tratamiento, ya que no existen ensayos controlados que comparen las diferentes alternativas, dada la baja frecuencia de esta complicación.(4,6)
Existen diversas variantes de tratamiento descritas en la bibliografía: manejo conservador, pleurodesis o cirugía; la decisión depende de la situación clínica y preferencia del paciente, informándole previamente de los riesgos y beneficios de las distintas terapéuticas existentes.(9-10)
Debería inicialmente suspenderse la DP para evitar el incremento del derrame, hasta definir la continuidad o no en esta modalidad dialítica.
La toracocentesis estaría indicada como método diagnóstico y como terapéutica en casos de pacientes con síntomas agudos o persistentes.(7,11)
La pleurodesis convencional implica la administración de agentes químicos que favorecen la reacción inflamatoria y la fibrosis pleural. Se pueden utilizar distintos agentes: tetraciclinas, talco, sangre autóloga o fibrina.(4-6,12) El porcentaje de recidiva luego de este tratamiento es de aproximadamente el 50%.(12) La corrección quirúrgica es el tratamiento más eficaz aunque también el mas invasivo, ya sea por vía convencional o por videotoracoscopia, el porcentaje de recidiva referido en la literatura es menor al 10%.(12)
Es también muy importante regular el tránsito intestinal, evitando la constipación que pudiera favorecer migración del catéter y cambios en la presión intraperitoneal (PIP). Esta alteración en la PIP puede ocasionar pequeñas debilidades de la pared abdominal o del diafragma, que dieran lugar a fugas o hernias.(1,10)
CONCLUSIÓN
Concluimos que el hidrotórax secundario es una complicación poco frecuente, de diagnóstico relativamente sencillo, cuya patogenia es multifactorial y no está completamente dilucidada. En nuestro caso reportado, a pesar de las distintas opciones terapéuticas disponibles, ante la posibilidad de recidiva y dadas las características psicoemocionales del paciente, consideramos apropiado el cambio de modalidad dialítica.
BIBLIOGRAFÍA
1) Aguilera Flórez AI, Alonso Rojo AC, Linares Fano B, Sastre López A, Prieto Velasco M. Hidrotórax en Diálisis Peritoneal. A propósito de dos casos. Enferm Nefrol. 2015:18(4):321-5.
2) Van Dijk CM, Ledesma SG, Teitelbaum I. Patient characteristics associated with defects of the peritoneal cavity boundary. Perit Dial Int. 2005;25(4):367-73.
3) Dufek S, Holtta T, Fischbach M, Ariceta G, Jankauskiene A, Cerkauskiene R, et al. Pleuro-peritoneal or pericardio-peritoneal leak in children on chronic peritoneal dialysis-A survey from the European Paediatric Dialysis Working Group. Pediatr Nephrol. 2015;30(11):2021-7.
4) Garcia Bustinza JJ, Loza Munarriz R, Miyahira Arakaki J. Hidrotórax como complicación de diálisis peritoneal. A propósito de un caso. Rev Med Hered. 2007;18(2):106-9.
5) Chow KM, Szeto CC, Li PK. Management options for hydrothorax complicating peritoneal dialysis. Semin Dial. 2003;16(5):389-94.
6) González Rico M, Pérez García D, Martínez Lloret A, García Díez JV, García Ramón R, Miguel A. Hidrotórax secundario: una complicación de la diálisis peritoneal poco frecuente. Diagnóstico y tratamiento. Nefrología. 1998;18(2):147-50.
7) Díaz Mancebo R, del Peso Gilsanz G, Rodríguez M, Fernández B, Ossorio González M, Bajo Rubio MA, Selgas Gutiérrez R. Comunicación pleuro-peritoneal en pacientes en diálisis peritoneal. Experiencia en un centro y revisión de la literatura. Nefrología. 2011; 31(2):213-7.
8) Chow KM, Szeto CC, Wong TY, Li PK. Hydrothorax complicating peritoneal dialysis: diagnostic value of glucose concentration in pleural fluid aspirate. Perit Dial Int. 2002;22(4):525-8.
9) Mangana P, Arvanitis D, Vlassopoulos D. Acute hydrothorax in peritoneal dialysis patients: diagnosis and treatment options. Nephrol Dial Transplant. 2003;18(11):2451; author reply 2452.
10) Remón C, Miguel A, Molina A. Complicaciones propias de la técnica: hernias, escapes, hidrotórax, hemotórax, neumotórax y quiloperitoneo. Guías de práctica clínica en diálisis peritoneal. Guías Sociedad Española de Nefrología. Nefrología. 2006;26(4):1-184.
11) Szeto CC, Chow KM. Pathogenesis and management of hydrothorax complicating peritoneal dialysis. Curr Opin Pulm Med. 2004;10(4):315-9.
12) Yaxley J, Twomey K. Peritoneal Dialysis Complicated by Pleuroperitoneal Communication and Hydrothorax. Ochsner J. 2017;17(1):124-7.
13) Cho Y, D'Intini V, Ranganathan D. Acute hydrothorax complicating peritoneal dialysis: a case report. J Med Case Rep. 2010;4:35.
Notas de autor
barrosmariaisabel@hotmail.com
Información adicional
Conflicto de intereses:: Los autores declaran no poseer ningún interés comercial o asociativo que presente un conflicto de intereses con el trabajo presentado.
Cómo citar este artículo:: Barros MI, Aralde A, Fernández S, Humacata A, Guanca M, Lizarraga J. Hidrotórax agudo: complicación poco frecuente en diálisis peritoneal en pediatría. Reporte de un caso. Rev Nefrol Dial Traspl. 2019; 39(1):46-9.