Imágenes en Nefrología
Recepción: 11 Julio 2019
Aprobación: 23 Julio 2019
INTRODUCCIÓN
La tumefacción de las glándulas salivales, siguiendo a la administración de contrastes yodados, se conoce en la literatura como sialadenitis por contraste o “paperas” por yodo (iodide mumps), un efecto adverso extremadamente raro, caracterizado por el desarrollo rápido de edema indoloro, predominantemente de las glándulas submaxilares con rápida restitución ad-integrum. La patogénesis puede ser tóxica o idiosincrática. Alrededor del 98% de las sales de yodo son eliminadas por vía renal, y solo el 2% son excretadas por otros órganos, tales como las glándulas tiroides, salivales, sudoríparas y lagrimales. Así, esta entidad, ha sido observada principalmente en pacientes con insuficiencia renal avanzada, siendo esta, un factor de riesgo para su aparición. Sin embargo, la descripción de esta entidad en pacientes con función renal normal, respalda la existencia de otros mecanismos patogénicos.(1)
CASO CLÍNICO
Paciente de 56 años con diagnóstico de enfermedad renal crónica (estadio V) relacionada con poliquistosis renal. Otros antecedentes a destacar, extabaquista (abandono del hábito 2011). En junio de 2013 sufre traumatismo cerrado de tórax con neumotórax izquierdo, con hallazgo de nódulo en el hemitórax derecho que resulta ser un Carcinoma pulmonar de células grandes. Ingresa en hemodiálisis el 9 de febrero de 2018. El 13 de agosto consulta por dolor lumbar derecho, irradiado al flanco homolateral, se acompaña de síntomas urinarios bajos y orinas oscuras. Se interpreta como quiste renal complicado, se indican antibacterianos (toma de muestra de urocultivo previa), analgésicos y reposo. Unas horas después de la consulta elimina coágulos por la orina y cambian las características del dolor: cólico renal. A las 48 horas continúa eliminando coágulos en la orina, afebril. Urocultivo negativo. Se solicita TC de abdomen a fin de descartar patología renal agregada. Al finalizar el mes, alivio de la sintomatología y orina más clara. La TC de abdomen y pelvis informa dos imágenes focales a nivel de la cortical del riñón izquierdo que se presentan espontáneamente densas (¿quistes complicados?).
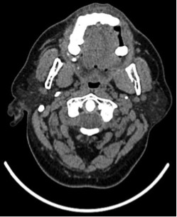
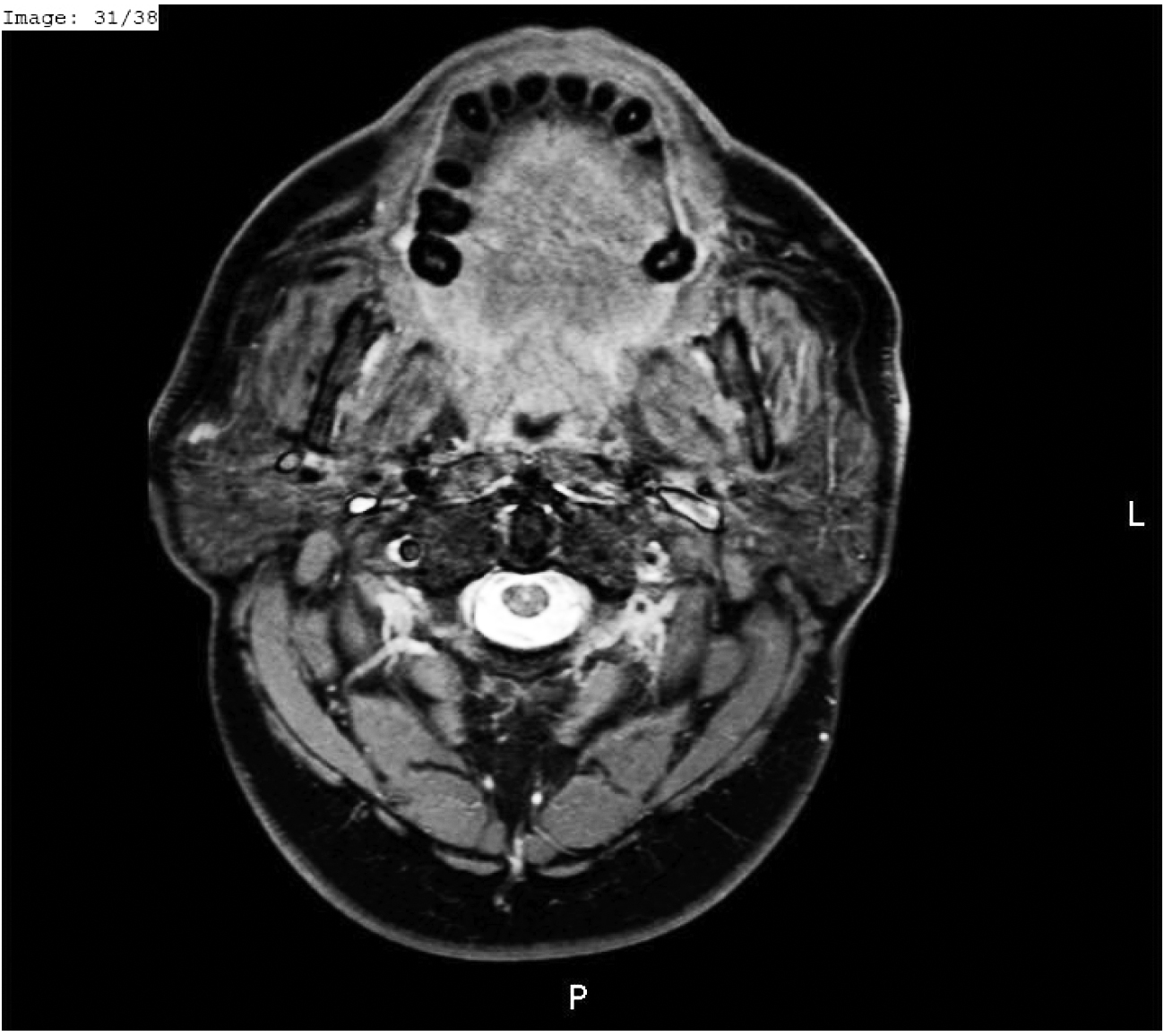
Durante la primera semana del mes de noviembre de 2018 le efectúan una TC de encéfalo y tórax con contraste EV (iopamidol); 36 horas más tarde, el paciente concurre a la consulta relatando dolor en región submandibular y cuello. Minutos después de finalizar el estudio comienza a percibir molestias mal caracterizadas en dichas zonas, notando edema progresivo y dolor. Al examen se constata tumefacción de región submandibular, retromandibular, cuello y piso de la boca, Lóbulos de las orejas desplazados hacia afuera, simétricos. Se palpan las seis glándulas salivales principales agrandadas de manera simétrica, dolorosas, sin rodetes eritematosos en las desembocaduras de los conductos salivales. Las glándulas submaxilares se palpan de forma ovoide y miden aproximadamente 6 cm de largo, se encuentran tensas y despiertan intenso dolor (Imagenes 1 y 2). El resto de las glándulas principales muestran similares características palpatorias. Niega fiebre y sus equivalentes.


Se solicita ecografía que demuestra glándulas salivales agrandadas sin alteraciones en el parénquima a destacar. Relata que unas pocas horas después del estudio contrastado, al comer, nota incremento del dolor y deformación en el cuello. Se efectúa tratamiento de hemodiálisis habitual y, durante el mismo, se administra hidrocortisona 500 mg por vía EV, AINE´s por vía oral. Una hora más tarde, refiere atenuación del dolor y se observa disminución generalizada del edema en forma simétrica. Se le indican AINE´s y antibacterianos. En la tercera semana muestra resolución parcial con tumefacción de las glándulas parótidas y submaxilar izquierda.(Imagines 3, 4 y 5)



DISCUSIÓN Y CONCLUSIONES
Esta entidad fue descripta por primera vez en 1956, por Sussman y Miller, asociada a la administración de contraste yodado para efectuar un urograma excretor.(2) Hasta el año 2012 se hallaban 40 casos informados en la literatura de lengua inglesa. Existe un caso reportado de un paciente con 2 episodios de edema de las glándulas submaxilares, con intervalo de un año entre ambos; el primero de ellos, relacionado a contraste EV y el segundo, a la administración de medio de contraste acuoso por vía oral.(3)
A pesar de las modificaciones llevadas a cabo sobre los agentes de contraste yodados, tales como, solubilidad en agua, tipo iónico, osmolalidad y viscosidad, las reacciones adversas de estos agentes ha disminuido, mientras su seguridad se ha desplazado en sentido contrario. La utilización de compuestos de baja osmolalidad, no iónicos, no eliminan el riesgo de sialadenitis por contraste como puede observarse en este caso y otros.(4) Sin embargo, la heterogeneidad entre los individuos ha causado algunas reacciones adversas raras, tales como la sialadenitis por contraste. Aunque la patogénesis de esta entidad no es clara, la acumulación tóxica de sales de yodo en los ductos glandulares o la función renal deteriorada, conducen a un trastorno en la excreción de yodo, pudiendo estar involucrados en el desarrollo de este trastorno, o bien se atribuye a reacciones alérgicas. Por otra parte, al examinar los casos reportados en la literatura, se presentan en pacientes sin antecedentes familiares y personales de alergia, la mayoría tenían función renal conservada, algunos habían recibido medios de contraste yodados previamente sin experimentar un evento de estas características.
BIBLIOGRAFÍA
1) Guilian Zhang, Tao Li, Heying Wang, Jiao Liu. The pathogenesis of iodide mumps. A case report. Medicine (Baltimore). 2017;96(47):e8881.
2) Miller J, Sussman RM. Iodide mumps after intravenous urography. N Engl J Med. 1956;255(9):433-4.
3) Linn JF, Fichtner J, Düber C, Hohenfellner R. Iodide mumps after intravenous and oral administration of contrast medium. J Urol. 1996;156(5):1774.
4) Chow KM, Wong KT, Szeto CC. A lady with rapid onset of swollen parotid glands. South Med J. 2008;101(4):428-31.
Notas de autor
guillermobraslavsky@gmail.com
Información adicional
Cómo citar este artículo:: Braslavsky GJ, Taylor MF, Malinar M, Miranda F. Sialadenitis por contraste en paciente con insuficiencia renal crónica. Rev Nefrol Dial Traspl. 2020; 40(1):86-9.